Sign in to use this feature.

Years

Between: -

Subjects

remove_circle_outline
remove_circle_outline
remove_circle_outline
remove_circle_outline
remove_circle_outline
remove_circle_outline
remove_circle_outline
remove_circle_outline

Journals

Article Types

Countries / Regions

Search Results (69)

Search Parameters:
Keywords = stratification score matching

Order results
Result details
Results per page
Select all
Export citation of selected articles as:
9 pages, 434 KB  
Article
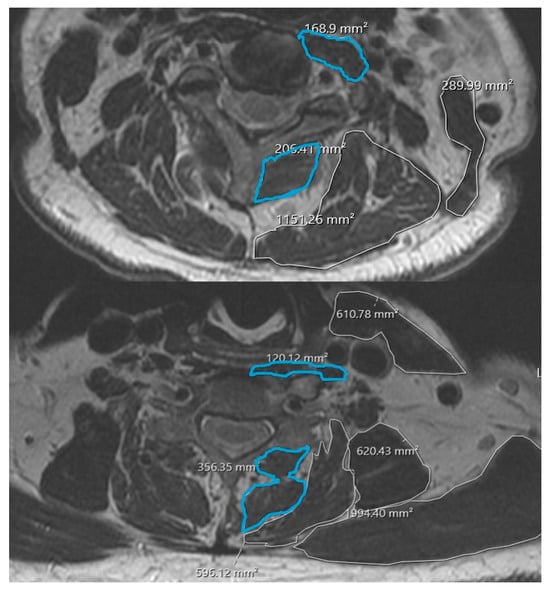
Vertebral Ankylosis Is Associated with Reduced Cervical Extensor Muscle Bulk and Increased Fatty Degeneration
by Junho Song, Austen D. Katz, Alex Ngan, Andrew C. Hecht, Sheeraz A. Qureshi and Sohrab Virk
J. Clin. Med. 2026, 15(1), 119; https://doi.org/10.3390/jcm15010119 - 24 Dec 2025
Abstract
Background/Objectives: Ankylosing spondylitis and diffuse idiopathic skeletal hyperostosis produce long-segment spinal ankylosis, altered biomechanics, and high fracture risk in the cervical spine. Paraspinal muscle degeneration (“spine-specific sarcopenia”) has been linked to pain, disability, and worse outcomes after cervical spine surgery, but the relationship [...] Read more.
Background/Objectives: Ankylosing spondylitis and diffuse idiopathic skeletal hyperostosis produce long-segment spinal ankylosis, altered biomechanics, and high fracture risk in the cervical spine. Paraspinal muscle degeneration (“spine-specific sarcopenia”) has been linked to pain, disability, and worse outcomes after cervical spine surgery, but the relationship between vertebral ankylosis and cervical paraspinal muscle health is unknown. We aimed to evaluate the association between vertebral ankylosis and cervical paraspinal muscle health using MRI-based measures of muscle quantity and quality. Methods: Adult patients with cervical vertebral ankylosis and available cervical MRI were identified at a single academic center and propensity score-matched 1:1 to patients without ankylosing conditions based on age, sex, body mass index, American Society of Anesthesiologists class, and comorbidity index. Axial T2-weighted images at C2-3 through C7-T1 were used to manually trace bilateral deep extensor and deep flexor muscles to obtain bilateral cross-sectional areas (CSAs) at each level. Extensor fatty infiltration was graded using the Goutallier classification. CSAs and Goutallier grades were compared between the matched groups. Results: Compared with matched controls, patients with vertebral ankylosis demonstrated significantly smaller deep extensor CSA at multiple cervical levels and higher Goutallier grades in the lower cervical spine and at the cervicothoracic junction. Deep flexor CSA tended to be smaller in the ankylosis group, but differences did not reach statistical significance. Conclusions: Vertebral ankylosis is associated with poorer cervical paraspinal muscle health, characterized by reduced extensor muscle bulk and increased fatty degeneration. These findings support conceptualizing ankylosing spinal conditions as disorders of both bone and muscle and highlight the cervicothoracic extensors as a potential target for risk stratification and rehabilitation strategies. Full article
(This article belongs to the Special Issue Spine Surgery: Clinical Advances and Practice Updates)
Show Figures

Figure 1

14 pages, 265 KB  
Article
Association of Inflammation-Based Ratios with Endothelial Dysfunction Markers and Clinical Parameters in Limited Cutaneous Systemic Sclerosis
by Leyla Schweiger, Andreas Meinitzer, Heimo Strohmaier, Florentine Moazedi-Fürst, Viktoria Nemecz, Katharina Kurzmann-Gütl, Marianne Brodmann, Franz Hafner and Philipp Jud
J. Clin. Med. 2025, 14(24), 8806; https://doi.org/10.3390/jcm14248806 - 12 Dec 2025
Viewed by 204
Abstract
Background: Limited cutaneous systemic sclerosis (lcSSc) is an autoimmune disease with a wide range of different biomarkers, while inflammation-based ratios have been less extensively investigated. This study aimed to evaluate the associations between inflammation-based ratios, disease-specific parameters, and endothelial dysfunction, as well [...] Read more.
Background: Limited cutaneous systemic sclerosis (lcSSc) is an autoimmune disease with a wide range of different biomarkers, while inflammation-based ratios have been less extensively investigated. This study aimed to evaluate the associations between inflammation-based ratios, disease-specific parameters, and endothelial dysfunction, as well as to assess the predictive role of inflammation-based ratios in lcSSc. Methods: A total of 38 lcSSc patients and 38 matched controls with primary Raynaud’s phenomenon were analyzed at baseline regarding inflammation-based ratios, lcSSc-specific parameters, and parameters of endothelial dysfunction. LcSSc patients were prospectively observed during a 3-year follow-up period in which lcSSc complications were recorded annually. Results: LcSSc patients had a significantly higher neutrophil-to-lymphocyte ratio, monocyte-to-lymphocyte ratio (MLR), fibrinogen-to-albumin ratio, monocyte/high-density lipoprotein (HDL) ratio, and neutrophil/HDL ratio versus controls (all p < 0.05). During follow-up, the MLR, C-reactive protein (CRP)/albumin ratio, monocyte/HDL ratio, and neutrophil/HDL ratio increased significantly (all p < 0.05) in lcSSc patients. The monocyte/HDL ratio correlated positively with the DETECT score step 2 (r = 0.453, p = 0.032) and negatively with the UCLA SCTC GIT total score (r = −0.469, p = 0.024). The CRP/albumin ratio correlated significantly with the EUSTAR index (r = 0.473, p = 0.024) and the fibrinogen-to-albumin ratio correlated with asymmetric dimethylarginine (r = 0.452, p = 0.044). The MLR and CRP/albumin ratio were associated with development of pulmonary arterial hypertension (p = 0.036, p = 0.006), and the lymphocyte/HDL ratio was associated with newly developed interstitial lung disease (p = 0.004). Conclusions: Readily available inflammation-based ratios may reflect vascular and inflammatory activity and could contribute to risk stratification for pulmonary complications in lcSSc; however, these exploratory findings require confirmation in larger cohorts. Full article
12 pages, 1397 KB  
Article
Prediction of Cardiogenic Shock in Acute Myocardial Infarction Patients Using a Nomogram
by Jie Wang, Changying Zhao, Chuqing Yang, Yang Dong, Xiaohong Yang and Chaofeng Sun
J. Clin. Med. 2025, 14(24), 8789; https://doi.org/10.3390/jcm14248789 - 12 Dec 2025
Viewed by 255
Abstract
Background: Cardiogenic shock (CS) complicating acute myocardial infarction (AMI) is associated with a high mortality rate. Early identification of patients at risk for in-hospital CS is crucial for timely intervention. This study aimed to develop a risk prediction model for CS using [...] Read more.
Background: Cardiogenic shock (CS) complicating acute myocardial infarction (AMI) is associated with a high mortality rate. Early identification of patients at risk for in-hospital CS is crucial for timely intervention. This study aimed to develop a risk prediction model for CS using admission data. Methods: This retrospective case–control study included AMI patients and classified them into case and control groups, based on the development of in-hospital CS. Clinical information at admission was obtained and 1:1 propensity score matching (PSM) was performed based on age, gender, and diagnosis of ST-elevation myocardial infarction. Factors with p < 0.10 at baseline were incorporated to identify the independent risk factors, which were further used to construct a predictive nomogram. Results: After PSM, 374 patients were finally enrolled in both groups. After relaxed least absolute shrinkage and selection operator and multivariate logistic regression, independent risk factors identified for CS in AMI patients included systolic blood pressure [odds ratio (OR): 0.866; 95% confidence interval (CI): 0.844–0.888, p < 0.001], diastolic blood pressure (OR: 1.031; 95% CI: 1.001–1.063, p = 0.046), triglycerides (OR: 0.561; 95% CI: 0.385–0.820, p = 0.003), creatinine (OR: 1.005; 95% CI: 1.000–1.010, p = 0.048), globulin (OR: 0.915; 95% CI: 0.862–0.972, p = 0.004), left ventricular ejection fraction (OR: 0.951; 95% CI: 0.928–0.975, p < 0.001), and coronary angiography (OR: 0.183; 95% CI: 0.058–0574, p = 0.004). The nomogram incorporating these variables demonstrated an area under the curve of 0.937 (95% CI: 0.952–0.967), indicating good discriminatory ability in the calibration curve and decision curve. Conclusions: Seven independent risk factors for CS in AMI patients were identified upon admission. The proposed nomogram might facilitate early risk stratification and guide clinical decision-making to improve outcomes. Full article
(This article belongs to the Special Issue Acute Myocardial Infarction: Diagnosis, Treatment, and Rehabilitation)
Show Figures

Figure 1

11 pages, 1243 KB  
Article
An ETS2 Enhancer Variant May Modulate Gene Expression and Contribute to Defining a Genetic Risk Profile for SLE Susceptibility
by Andrea Latini, Giada De Benedittis, Chiara Morgante, Carlo Perricone, Fulvia Ceccarelli, Fabrizio Conti, Giuseppe Novelli, Cinzia Ciccacci and Paola Borgiani
Genes 2025, 16(12), 1462; https://doi.org/10.3390/genes16121462 - 8 Dec 2025
Viewed by 226
Abstract
Background/Objectives: Systemic lupus erythematosus (SLE) is a multifactorial autoimmune disease strongly influenced by genetic factors. Genome-wide association studies (GWASs) have identified numerous non-coding susceptibility loci, but their functional roles remain poorly understood. The single-nucleotide variant (SNV) rs2836882, located in an enhancer near [...] Read more.
Background/Objectives: Systemic lupus erythematosus (SLE) is a multifactorial autoimmune disease strongly influenced by genetic factors. Genome-wide association studies (GWASs) have identified numerous non-coding susceptibility loci, but their functional roles remain poorly understood. The single-nucleotide variant (SNV) rs2836882, located in an enhancer near the ETS2 proto-oncogene, has been implicated in immune regulation, though its contribution to SLE is unclear. Methods: We analyzed rs2836882 in 246 Italian patients with SLE and 216 matched controls using TaqMan genotyping. A weighted genetic risk score (wGRS) combining rs2836882 with other known SLE variants was calculated. ETS2 mRNA expression was quantified by RT-qPCR in PBMCs from 60 individuals, and in silico analyses assessed the variant’s functional context. Results: The rs2836882 risk allele was significantly associated with SLE (OR = 1.54, p = 0.02). Patients showed a markedly higher wGRS than controls (p < 0.00001), confirming an additive genetic burden. In silico data indicated that rs2836882 lies within an active enhancer region (H3K4me1/H3K27ac+) containing PU.1 binding motifs and functions as an expression quantitative trait locus (eQTL) for ETS2. Expression analysis demonstrated that carriers of the risk allele exhibited significantly increased ETS2 expression compared to non-carriers (p = 0.002) in both groups. Conclusions: In conclusion, rs2836882 is a functional regulatory variant that enhances ETS2 transcription and contributes to increased SLE susceptibility. These findings establish a mechanistic link between a non-coding GWAS locus and disease risk, emphasizing the role of regulatory variants in autoimmune pathogenesis and supporting the integration of functional non-coding variants into genetic risk models for improved patient stratification. Full article
(This article belongs to the Special Issue Genetic and Epigenetic Insights in Autoimmune Diseases)
Show Figures

Figure 1

16 pages, 520 KB  
Article
Stent-Assisted Coiling vs. Flow Diversion in Unruptured Anterior Circulation Aneurysms: A Single-Center Cohort Study
by Mario Martinez-Galdamez, Jorge Galván-Fernández, Lorenzo Ismael Perez-Sanchez, Miguel Arturo Schüller-Arteaga, Fausto Andres Vasconez-Muñoz, Israel Sanchez-Lite and Carlos Alberto Rodriguez-Arias
Brain Sci. 2025, 15(12), 1290; https://doi.org/10.3390/brainsci15121290 - 29 Nov 2025
Viewed by 410
Abstract
Background and purpose: Stent-assisted coiling (SAC) achieves immediate aneurysm occlusion, while flow diversion (FD) promotes progressive remodeling. Comparative data in unruptured anterior circulation aneurysms remain limited. Methods: A retrospective review of our institutional database was conducted between 2021 and 2024. A total of [...] Read more.
Background and purpose: Stent-assisted coiling (SAC) achieves immediate aneurysm occlusion, while flow diversion (FD) promotes progressive remodeling. Comparative data in unruptured anterior circulation aneurysms remain limited. Methods: A retrospective review of our institutional database was conducted between 2021 and 2024. A total of 129 aneurysms treated with SAC (n = 33) or FD (n = 96) were identified and included in the analysis. Outcomes included angiographic occlusion, retreatment, complications, and the modified Rankin Scale (mRS). A 1:1 propensity score matching (PSM) was performed on sex, age, aneurysm size, and location (caliper 0.2, exact sex matching). Results: A total of 130 patients (89 women, 41 men) were included in the study, with a mean age of 59.8 years (range 22–81). In the full cohort, SAC achieved higher immediate complete occlusion (62.5% vs. 8.3%, p < 0.001), while FD demonstrated superior long-term stability (71.9% vs. 60.6%). Retreatment occurred in 18.2% of SAC cases and none with FD (p < 0.001). Complication rates were comparable overall: intraoperative (15.2% SAC vs. 10.4% FD, p = 0.37), periprocedural ≤72 h (15.2% vs. 8.3%, p = 0.34), and delayed ≥12 months (9.1% vs. 10.4%, p = 0.85). In patients aged 70–80 years, periprocedural complications were more frequent with SAC (37.5% vs. 5.9%, p = 0.08). Functional independence (mRS 0–2) at last follow-up was 87.9% for SAC and 89.6% for FD (p = ns). In the matched cohort, SAC preserved higher immediate occlusion (60% vs. 10%, p < 0.001), whereas FD provided greater long-term occlusion (65% vs. 55%, p = 0.33) and required no retreatments versus 15% in SAC (p < 0.001). Subgroup analysis showed that SAC-related complications were largely confined to complex Y/T-stent reconstructions for MCA bifurcation and AComA aneurysms, while single-stent SAC demonstrated a safety profile comparable to FD. Conclusions: SAC offers rapid angiographic exclusion but at the cost of higher retreatment. FD ensures durable occlusion and absence of retreatment, with a consistent safety profile. After stratification by technical complexity, excess morbidity associated with SAC originated from anatomically demanding multistent constructs, whereas single-stent SAC showed safety comparable to FD. Age may influence periprocedural risk, particularly with SAC. These findings reinforce a tailored strategy: “Close fast with SAC, close forever with FD.” Full article
(This article belongs to the Section Neurosurgery and Neuroanatomy)
Show Figures

Figure 1

18 pages, 1301 KB  
Article
Development of a MassARRAY Genotyping Platform and Its Clinical Application for Venous Thromboembolism Risk Assessment in Thai Patients
by Dollapak Apipongrat, Chonlada Laoruangroj, Oytip Nathalang, Pasra Arnutti, Montalee Theeraapisakkun and Wittawat Chantkran
Med. Sci. 2025, 13(4), 282; https://doi.org/10.3390/medsci13040282 - 24 Nov 2025
Viewed by 358
Abstract
Background: Venous thromboembolism (VTE) is a multifactorial disorder influenced by both genetic and environmental factors, with substantial variability in susceptibility across populations. Data on VTE-associated genetic variants in Asian populations, including Thais, remain limited. To address this, we developed a 39-single-nucleotide polymorphism (SNP) [...] Read more.
Background: Venous thromboembolism (VTE) is a multifactorial disorder influenced by both genetic and environmental factors, with substantial variability in susceptibility across populations. Data on VTE-associated genetic variants in Asian populations, including Thais, remain limited. To address this, we developed a 39-single-nucleotide polymorphism (SNP) genotyping panel using the MassARRAY platform and evaluated its association with VTE in a Thai cohort. Methods: A total of 209 individuals, comprising 122 patients with objectively confirmed VTE and 87 age- and sex-matched healthy controls, were genotyped. Allele frequencies were compared, and associations with VTE were assessed. Results: Seven SNPs demonstrated significant associations: five risk alleles (PROC rs146922325, ABO rs8176743, FGG rs2066865, F11 rs4253417, and HIVEP1 rs169713) and two protective alleles (F5 rs4524 and TGFB2 rs57615042). To examine cumulative effects, a polygenic risk score (PRS) integrating genetic and clinical factors was constructed. Higher PRS was significantly associated with recurrence, particularly among patients with unprovoked VTE, conferring more than a threefold increase in recurrence risk (HR = 3.53, 95% CI: 1.04–10.2, p = 0.043). These findings provide the first systematic evidence of population-specific genetic risk factors for VTE in Thais and highlight the clinical potential of PRS for recurrence prediction. Conclusions: The MassARRAY-based panel offers a cost-effective, high-throughput strategy for simultaneous SNP detection, supporting scalable genomic studies and personalized risk stratification. Our results contribute to understanding the genetic architecture of VTE and highlight the value of incorporating non-European populations into genetic studies to advance precision medicine. Full article
Show Figures

Graphical abstract

16 pages, 1302 KB  
Article
Preoperative Risk Factors and Phenotypic Clustering in Periprosthetic Joint Infection: A Matched Case–Control Study
by Tarek Omar Pacha, Sophia K. Klett, Gabi von Lewinski, Maximilian Koblenzer, Hür Özbek, Jorge Mayor, Jan D. Clausen, Axel Gänsslen, Schayan Faraj Tabrizi, Stephan Sehmisch and Gökmen F. Aktas
Life 2025, 15(11), 1762; https://doi.org/10.3390/life15111762 - 17 Nov 2025
Viewed by 597
Abstract
Periprosthetic joint infection (PJI) remains one of the most serious complications after total joint arthroplasty. This retrospective 1:1 matched case–control study investigated preoperative predictors and patient phenotypes associated with PJI in 182 patients (91 cases, 91 controls) undergoing hip or knee arthroplasty between [...] Read more.
Periprosthetic joint infection (PJI) remains one of the most serious complications after total joint arthroplasty. This retrospective 1:1 matched case–control study investigated preoperative predictors and patient phenotypes associated with PJI in 182 patients (91 cases, 91 controls) undergoing hip or knee arthroplasty between 2013 and 2024. Variables with skewed distributions were log-transformed, and multivariable logistic regression with LASSO regularization identified independent risk factors. Unsupervised K-means clustering was applied to perioperative features to explore data-driven patient phenotypes. Preoperative anemia (OR 5.91, p = 0.026), higher ASA score (OR 1.77, p = 0.033), and surgical delay (OR 1.67, p = 0.024) independently predicted infection, while age and CRP showed non-significant trends. The resulting five-variable preoperative model achieved an AUC of 0.718 (optimism-corrected AUC of 0.661) for infection prediction. Clustering analysis revealed three phenotypes: anemia-dominated, elderly but short-procedure, and high surgery duration with significantly different infection rates (χ2 = 23.5, p < 0.001) but similar mortality (p = 0.068). This integrative approach combining regression-based prediction and phenotype discovery enables clinically interpretable, preoperatively applicable risk stratification. The findings identify anemia, comorbidity burden, and surgical delay as key modifiable targets for preventive optimization before arthroplasty. External validation and recalibration to population-level incidence are warranted before clinical implementation. Full article
(This article belongs to the Special Issue Advanced Machine Learning for Disease Prediction and Prevention)
Show Figures

Figure 1

14 pages, 5669 KB  
Article
Integrating CTLA-4 Genetics and Soluble Isoforms for the Stratification of HCV-Related Hepatocellular Carcinoma Risk and Aggressiveness
by Marwa Hassan, Walaa H. El-Maadawy, Sally A. Fahim, Sherihan M. Youssef, Omaima Mostafa Badran and Mahmoud Balata
Int. J. Mol. Sci. 2025, 26(22), 11067; https://doi.org/10.3390/ijms262211067 - 15 Nov 2025
Cited by 1 | Viewed by 428
Abstract
Host genetic factors influencing immune regulation are believed to modulate susceptibility to hepatitis C virus (HCV) and related hepatocellular carcinoma (HCC). This study aimed to investigate the association of Cytotoxic T-lymphocyte-associated antigen-4 (CTLA-4) genetic variants with HCV-related HCC risk, soluble CTLA-4 (sCTLA-4) levels, [...] Read more.
Host genetic factors influencing immune regulation are believed to modulate susceptibility to hepatitis C virus (HCV) and related hepatocellular carcinoma (HCC). This study aimed to investigate the association of Cytotoxic T-lymphocyte-associated antigen-4 (CTLA-4) genetic variants with HCV-related HCC risk, soluble CTLA-4 (sCTLA-4) levels, and disease severity. 225 age- and sex-matched participants (75 controls, 75 HCV, and 75 HCV-HCC) were enrolled. TaqMan allelic discrimination assays were used for genotyping three CTLA-4 SNPs, and sCTLA-4 was quantified by ELISA. Our results demonstrated that the rs231726 TT genotype and T-allele were significantly associated with HCC. The rs11571317 CC genotype and C-allele, alongside the rs13384548 GG genotype and G-allele, conferred increased risk for both HCV and HCC. Clinically, these high-risk genotypes correlated with worse liver function (Child–Pugh C), higher MELD/Na scores, and larger tumors. Moreover, sCTLA-4 levels showed a stepwise elevation from controls to HCV to HCC patients, peaking in carriers of the rs231726 TT and rs13384548 GG genotypes. In conclusion, this study identifies rs231726, rs11571317, and rs13384548 as robust genetic markers for HCV-related HCC susceptibility and cancer aggressiveness. Our findings provide novel evidence of their role in immune evasion through sCTLA-4 upregulation, offering new perspectives into genotype-based risk stratification and tailored immunotherapeutic strategies. Full article
(This article belongs to the Section Molecular Genetics and Genomics)
Show Figures

Figure 1

35 pages, 2963 KB  
Article
Explainable Artificial Intelligence Framework for Predicting Treatment Outcomes in Age-Related Macular Degeneration
by Mini Han Wang
Sensors 2025, 25(22), 6879; https://doi.org/10.3390/s25226879 - 11 Nov 2025
Viewed by 1061
Abstract
Age-related macular degeneration (AMD) is a leading cause of irreversible blindness, yet current tools for forecasting treatment outcomes remain limited by either the opacity of deep learning or the rigidity of rule-based systems. To address this gap, we propose a hybrid neuro-symbolic and [...] Read more.
Age-related macular degeneration (AMD) is a leading cause of irreversible blindness, yet current tools for forecasting treatment outcomes remain limited by either the opacity of deep learning or the rigidity of rule-based systems. To address this gap, we propose a hybrid neuro-symbolic and large language model (LLM) framework that combines mechanistic disease knowledge with multimodal ophthalmic data for explainable AMD treatment prognosis. In a pilot cohort of ten surgically managed AMD patients (six men, four women; mean age 67.8 ± 6.3 years), we collected 30 structured clinical documents and 100 paired imaging series (optical coherence tomography, fundus fluorescein angiography, scanning laser ophthalmoscopy, and ocular/superficial B-scan ultrasonography). Texts were semantically annotated and mapped to standardized ontologies, while images underwent rigorous DICOM-based quality control, lesion segmentation, and quantitative biomarker extraction. A domain-specific ophthalmic knowledge graph encoded causal disease and treatment relationships, enabling neuro-symbolic reasoning to constrain and guide neural feature learning. An LLM fine-tuned on ophthalmology literature and electronic health records ingested structured biomarkers and longitudinal clinical narratives through multimodal clinical-profile prompts, producing natural-language risk explanations with explicit evidence citations. On an independent test set, the hybrid model achieved AUROC 0.94 ± 0.03, AUPRC 0.92 ± 0.04, and a Brier score of 0.07, significantly outperforming purely neural and classical Cox regression baselines (p ≤ 0.01). Explainability metrics showed that >85% of predictions were supported by high-confidence knowledge-graph rules, and >90% of generated narratives accurately cited key biomarkers. A detailed case study demonstrated real-time, individualized risk stratification—for example, predicting an >70% probability of requiring three or more anti-VEGF injections within 12 months and a ~45% risk of chronic macular edema if therapy lapsed—with predictions matching the observed clinical course. These results highlight the framework’s ability to integrate multimodal evidence, provide transparent causal reasoning, and support personalized treatment planning. While limited by single-center scope and short-term follow-up, this work establishes a scalable, privacy-aware, and regulator-ready template for explainable, next-generation decision support in AMD management, with potential for expansion to larger, device-diverse cohorts and other complex retinal diseases. Full article
(This article belongs to the Special Issue Sensing Functional Imaging Biomarkers and Artificial Intelligence)
Show Figures

Figure 1

29 pages, 6851 KB  
Article
Analysis of Immune Cell Infiltration Distribution and Prognostic Value in Obstructive Colorectal Cancer
by Yifan Xue, Zhenxing Jiang, Junnan Gu, Shenghe Deng, Kailin Cai and Ke Wu
Biomedicines 2025, 13(11), 2596; https://doi.org/10.3390/biomedicines13112596 - 23 Oct 2025
Viewed by 670
Abstract
Objective: This study aims to determine how intestinal obstruction influences the tumor immune microenvironment (TIME) and its impact on prognosis in colorectal cancer (CRC). Methods: Immune cell densities (CD4+, CD8+, CD20+, CD68+) within [...] Read more.
Objective: This study aims to determine how intestinal obstruction influences the tumor immune microenvironment (TIME) and its impact on prognosis in colorectal cancer (CRC). Methods: Immune cell densities (CD4+, CD8+, CD20+, CD68+) within central tumor (CT) and invasive margin (IM) compartments were quantitatively analyzed using immunohistochemistry (IHC) and QuPath digital pathology in surgical resection samples from 328 patients (164 obstructed colon cancer [OCRC] vs. 164 non-obstructed [NOCRC], cohorts matched by propensity scoring). Findings on tumor-infiltrating immune cell spatial distribution were integrated with peripheral blood immune cell counts and clinicopathological characteristics to characterize the obstructed colon cancer immune microenvironment. Associations with disease-free survival (DFS) and overall survival (OS) were evaluated. Results: OCRC exhibited higher lymphocytic infiltration, particularly in the CT compartment, compared to NOCRC, with significantly elevated CT-CD8+ T cell density in T4-stage OCRC (p < 0.005). Obstruction enhanced immune cell correlations across compartments, especially in T4 tumors, and the CD68+/CD8+ ratio effectively discriminated obstruction status (CT area under the curve (AUC): T4 = 0.879). Peripheral lymphocytopenia was pronounced in obstructive cases (p = 0.003). Critically, T4 OCRC showed a complete loss of all correlations between tumor-infiltrating immune cells and peripheral parameters. Despite increased infiltration, high CD8+ density in OCRC correlated with worse prognosis, indicating a paradoxical role influenced by obstruction context. CD68+ macrophages in the invasive margin consistently predicted improved survival (Disease-free survival [DFS]: Hazard ratio [HR] = 0.59, p = 0.008). Conclusions: Intestinal obstruction in CRC, particularly in T4-stage tumors, may represent an immunologically active state that alters local immune infiltration and systemic–local immune crosstalk. These findings suggest that obstruction status could refine prognostic stratification and inform therapeutic strategies, although validation in larger cohorts is warranted. Full article
Show Figures

Figure 1

24 pages, 3207 KB  
Article
Reevaluating C-Reactive Protein for Perioperative Risk Stratification: The Overlooked Role of Sleep Apnea in Cardiac Surgery Outcomes
by Andrei Raul Manzur, Caius Glad Streian, Ana Lascu, Maria Alina Lupu, Horea Bogdan Feier and Stefan Mihaicuta
Biomedicines 2025, 13(10), 2546; https://doi.org/10.3390/biomedicines13102546 - 18 Oct 2025
Viewed by 781
Abstract
Background/Objectives: C-reactive protein (CRP) is widely used as a marker of perioperative inflammation, but its predictive value for cardiac surgical outcomes remains uncertain. Obstructive sleep apnea (OSA), a prevalent and underrecognized comorbidity, may independently contribute to postoperative complications through non-inflammatory mechanisms. This study [...] Read more.
Background/Objectives: C-reactive protein (CRP) is widely used as a marker of perioperative inflammation, but its predictive value for cardiac surgical outcomes remains uncertain. Obstructive sleep apnea (OSA), a prevalent and underrecognized comorbidity, may independently contribute to postoperative complications through non-inflammatory mechanisms. This study aimed to reevaluate the prognostic role of CRP and determine the clinical impact of OSA severity on postoperative recovery, focusing on new-onset atrial fibrillation (AF), prolonged intubation time, and postoperative CPAP/AIRVO use as indicators of respiratory burden. Methods: In this prospective cohort of 142 elective cardiac surgery patients, preoperative polysomnography and serial CRP measurements were obtained. Multivariable regression, mediation analysis, and propensity score matching (PSM) were performed to evaluate associations between OSA severity, CRP, and perioperative outcomes (AF, intubation time, CPAP/AIRVO use). Results: OSA severity independently predicted prolonged intubation (β = 1.74, p = 0.0019) and new-onset AF (β = 0.85, p = 0.004), even after excluding patients with preexisting arrhythmia. CRP showed poor discriminatory power as a standalone biomarker (AUC for IOT > 14 h = 0.445) and did not mediate OSA–outcome associations. However, CRP > 2.1 mg/dL doubled the odds of moderate-to-severe OSA (OR = 2.05, p = 0.041). A composite score integrating AHI, BMI, and postoperative CRP strongly correlated with postoperative respiratory support (p < 0.0001). Conclusions: OSA exerts a stronger and more consistent influence on perioperative outcomes than CRP, challenging reliance on CRP for risk stratification. Incorporating objective OSA screening and spirometry into preoperative assessment may enhance perioperative risk prediction and guide personalized management strategies. Full article
Show Figures

Figure 1

16 pages, 403 KB  
Article
Side-Specific Prognostic Factors in Colon Cancer: A Retrospective Analysis of Right- and Left-Sided Tumors
by Michał Serafin, Magdalena Mąka, Julia Szostek, Iga Kania, Beata Jabłońska and Sławomir Mrowiec
Cancers 2025, 17(20), 3315; https://doi.org/10.3390/cancers17203315 - 14 Oct 2025
Viewed by 854
Abstract
Background: Tumor sidedness in colon cancer has been linked to biological and clinical differences, but its impact on survival and prognostic factors remains unclear. This study aimed to find the predictors of overall survival (OS) in patients with right-sided colon cancer (RCC) and [...] Read more.
Background: Tumor sidedness in colon cancer has been linked to biological and clinical differences, but its impact on survival and prognostic factors remains unclear. This study aimed to find the predictors of overall survival (OS) in patients with right-sided colon cancer (RCC) and left-sided colon cancer (LCC) undergoing surgical treatment. Methods: A retrospective single-center study was conducted on 247 patients with colon cancer, including 117 with RCC and 130 with LCC. Clinical, surgical, and pathological variables were analyzed. Cox regression and ROC curve analyses were used to identify independent predictors of OS in the overall cohort and tumor-side subgroups. Results: RCC patients were older (69 vs. 68 years, p = 0.03), had lower hemoglobin levels (11.7 vs. 12.95 g/dL, p < 0.01), and more often presented with anemia (34.18% vs. 11.48%, p < 0.001). LCC patients more frequently underwent emergency surgery (13.74% vs. 5.69%, p = 0.03). Mucinous adenocarcinomas were more frequent in RCC (12.82% vs. 5.38%, p = 0.03), whereas distant metastases (15.38% vs. 6.84%, p = 0.03) and liver metastases (14.61% vs. 6.84%, p = 0.04) were more common in LCC. The one-year overall survival was similar between LCC and RCC before (88.09% vs. 91.52%, p = 0.15) and after propensity score matching (89.32% vs. 91.87%, p = 0.60) In multivariate Cox regression, independent predictors of lower OS included advanced AJCC stage (HR = 34.54, p < 0.001) in RCC, while, in LCC, AJCC stage (HR = 31.14, p = 0.001 and stoma (HR = 5.86, p = 0.01) were significant. Tumor location itself was not associated with OS (p = 0.18). Conclusions: Prognostic factors in colon cancer vary with tumor location. Side-specific risk stratification may improve outcome prediction and guide personalized management. Full article
(This article belongs to the Special Issue Patient-Centered Outcomes of Colorectal Cancer Surgery)
Show Figures

Figure 1

19 pages, 969 KB  
Article
The Prognostic Role of Geriatric Nutritional Risk Index in Periampullary Cancer Patients Undergoing Pancreaticoduodenectomy: A Propensity Score-Matched Survival Study
by Chih-Ying Li, Wei-Feng Li, Yueh-Wei Liu, Yu-Yin Liu, Cheng-Hsi Yeh, Yu-Hung Lin, Jen-Yu Cheng and Shih-Min Yin
Cancers 2025, 17(19), 3273; https://doi.org/10.3390/cancers17193273 - 9 Oct 2025
Viewed by 588
Abstract
Background: The Geriatric Nutritional Risk Index (GNRI) is a simple tool for nutritional assessment, but its long-term prognostic value in patients undergoing pancreaticoduodenectomy (PD) remains unclear. Methods: This retrospective study included adult patients who underwent PD between January 2014 and December 2023 [...] Read more.
Background: The Geriatric Nutritional Risk Index (GNRI) is a simple tool for nutritional assessment, but its long-term prognostic value in patients undergoing pancreaticoduodenectomy (PD) remains unclear. Methods: This retrospective study included adult patients who underwent PD between January 2014 and December 2023 at Chang Gung Memorial Hospital. Patients were grouped by GNRI: inferior (<82), moderate (82–98), and superior (≥98). Propensity score matching was performed based on age, sex, cancer type, surgical approach, and ASA status. Primary outcomes were overall survival (OS) and recurrence-free survival (RFS). Results: Among 371 patients, inferior GNRI was associated with worse median survival time (18.64 vs. 34.62 months, HR = 2.953, p < 0.001). This association was observed in both pancreatic cancer and other periampullary malignancies. Inferior GNRI also correlated with higher short-term mortality and adverse perioperative outcomes, including longer ICU stay, and greater need for ventilator support, reintubation, reoperation and total parenteral nutrition (TPN). Conclusions: Preoperative GNRI is a strong predictor of survival and short-term outcomes in PD patients. Early nutritional assessment may aid risk stratification and intervention. Full article
(This article belongs to the Section Methods and Technologies Development)
Show Figures

Figure 1

16 pages, 681 KB  
Article
Frank’s Sign as a Dose-Dependent Marker of White Matter Burden in CADASIL: A Brain MRI Study
by Sungman Jo, Joon Hyuk Park and Ki Woong Kim
J. Clin. Med. 2025, 14(19), 6865; https://doi.org/10.3390/jcm14196865 - 28 Sep 2025
Viewed by 830
Abstract
Background/Objectives: Frank’s sign, a diagonal earlobe crease, may reflect systemic microvascular dysfunction. We investigated whether Frank’s sign serves as a clinical marker of white matter hyperintensity (WMH) burden in Cerebral Autosomal Dominant Arteriopathy with Subcortical Infarcts and Leukoencephalopathy (CADASIL), a monogenic model of [...] Read more.
Background/Objectives: Frank’s sign, a diagonal earlobe crease, may reflect systemic microvascular dysfunction. We investigated whether Frank’s sign serves as a clinical marker of white matter hyperintensity (WMH) burden in Cerebral Autosomal Dominant Arteriopathy with Subcortical Infarcts and Leukoencephalopathy (CADASIL), a monogenic model of pure cerebral small vessel disease. Methods: We analyzed 81 genetically confirmed CADASIL patients (61.8 ± 12.6 years, 40.7% female) and 54 age/sex-matched controls (70.3 ± 6.6 years, 48.1% female). Frank’s sign was detected using deep learning from brain MRI-reconstructed 3D facial surfaces. WMH volumes were automatically quantified and adjusted for confounders using Random Forest regression residuals. We compared Frank’s sign prevalence between groups, assessed within-CADASIL associations, and evaluated dose–response relationships across WMH tertiles. Results: Frank’s sign prevalence was significantly higher in CADASIL versus controls (66.7% vs. 42.6%, p = 0.020), with strengthened association after multivariate adjustment (OR = 4.214, 95% CI: 1.128–15.733, p = 0.032). Within CADASIL, Frank’s sign-positive patients showed 72% greater WMH burden (51.5 ± 27.1 vs. 30.0 ± 26.1 mL, p < 0.001) and lower Consortium to Establish a Registry for Alzheimer’s Disease (CERAD) total scores (57.7 ± 19.6 vs. 71.2 ± 22.8, p = 0.006), but similar lacunes, microbleeds, and hippocampal volumes. A robust dose–response relationship emerged across WMH tertiles, with Frank’s sign prevalence increasing from 37.0% (lowest) to 74.1% (highest tertile; adjusted OR = 3.571, 95% CI: 1.134–11.253, p = 0.030). Conclusions: Frank’s sign represents an accessible biomarker of WMH burden in CADASIL, demonstrating disease-specificity and dose–response characteristics independent of vascular risk factors. The automated MRI-based detection method of Frank’s sign enables retrospective analysis of existing neuroimaging databases, transforming a bedside observation into a quantifiable neuroimaging biomarker for genetic small vessel disease stratification. Full article
(This article belongs to the Section Nuclear Medicine & Radiology)
Show Figures

Figure 1

15 pages, 1274 KB  
Article
Impact of Hypoglycemia on Morbidity, Mortality, and Resource Utilization in Gastrointestinal Stromal Tumor: A Nationwide Analysis
by Manasa Ginjupalli, Jayalekshmi Jayakumar, Arnold Forlemu, Anuj Raj Sharma, Praneeth Bandaru, Vikash Kumar, Kameswara Santosh Dheeraj Nalluri and Madhavi Reddy
Gastroenterol. Insights 2025, 16(4), 36; https://doi.org/10.3390/gastroent16040036 - 25 Sep 2025
Viewed by 974
Abstract
Background: Non-islet cell tumor hypoglycemia is increasingly reported with gastrointestinal stromal tumors (GIST), but population-level estimates of its clinical impact are limited. We evaluated associations between hypoglycemia and inpatient outcomes among GIST hospitalizations. Methods: We conducted a retrospective cross-sectional study of the National [...] Read more.
Background: Non-islet cell tumor hypoglycemia is increasingly reported with gastrointestinal stromal tumors (GIST), but population-level estimates of its clinical impact are limited. We evaluated associations between hypoglycemia and inpatient outcomes among GIST hospitalizations. Methods: We conducted a retrospective cross-sectional study of the National Inpatient Sample (NIS) 2018–2020. Adult GIST discharges were identified by ICD-10-CM codes and stratified by hypoglycemia. Primary outcomes were in-hospital mortality and resource utilization—length of stay (LOS) and total hospital charge. Secondary outcomes included malnutrition, sepsis, ascites, peritonitis, bowel perforation, intestinal obstruction, gastrointestinal bleeding, and iron deficiency anemia. Analyses used survey-weighted logistic regression for binary outcomes and generalized linear models for continuous outcomes. A propensity score-matched sensitivity analysis balanced sepsis and malnutrition. Results: Among 61,725 GIST hospitalizations, 0.72% had hypoglycemia. Mortality was 12.6% with hypoglycemia vs. 3.1% without; adjusted odds of death were higher (aOR 4.16, 95% CI 2.06–8.37; p < 0.001). Hypoglycemia was also associated with malnutrition (aOR 5.63, 3.37–9.40), sepsis (aOR 4.00, 2.24–7.14), ascites (aOR 3.43, 1.63–7.19), and peritonitis (aOR 2.91, 1.17–7.22). LOS was 4.61 days longer on average (not significant; p = 0.185), and total hospital charge was $5218 higher (β = 19,116.8; p = 0.95). In the matched cohort, the mortality association attenuated but persisted (aOR 1.38, 1.27–1.49; p < 0.001); peritonitis remained significant (aOR 1.10, 1.04–1.17), intestinal obstruction (aOR 4.91, 3.44–7.05) and iron deficiency anemia (aOR 3.54, 1.62–7.74) became significant, while ascites and gastrointestinal bleeding were not significant. Conclusions: Hypoglycemia in GIST, although uncommon, marks a higher-risk inpatient trajectory with increased mortality and several complications; these signals largely persist after balancing severity proxies. Resource-use differences were directionally higher but not statistically significant. Recognition of hypoglycemia may aid risk stratification and inpatient management in GIST. Full article
(This article belongs to the Collection Advances in Gastrointestinal Cancer)
Show Figures

Figure 1

Back to TopTop