Sign in to use this feature.

Years

Between: -

Subjects

remove_circle_outline
remove_circle_outline
remove_circle_outline
remove_circle_outline
remove_circle_outline
remove_circle_outline
remove_circle_outline

Journals

Article Types

Countries / Regions

Search Results (12)

Search Parameters:
Keywords = pachymeninges

Order results
Result details
Results per page
Select all
Export citation of selected articles as:
25 pages, 596 KB  
Review
Duropathies: A Narrative Overview of a Neglected Concept—Part One: Anatomical, Embryological, and Pathophysiological Elements
by Marialuisa Zedde and Rosario Pascarella
NeuroSci 2025, 6(4), 115; https://doi.org/10.3390/neurosci6040115 - 14 Nov 2025
Abstract
Duropathies encompass a spectrum of disorders linked to spinal dural tears and cerebrospinal fluid (CSF) leaks, resulting in significant neurological manifestations. This review synthesizes the current literature on duropathies, focusing on their anatomical and pathophysiological aspects, including conditions such as superficial siderosis, spontaneous [...] Read more.
Duropathies encompass a spectrum of disorders linked to spinal dural tears and cerebrospinal fluid (CSF) leaks, resulting in significant neurological manifestations. This review synthesizes the current literature on duropathies, focusing on their anatomical and pathophysiological aspects, including conditions such as superficial siderosis, spontaneous intracranial hypotension, and spinal cord herniation. The methodologies employed include comprehensive evaluations through neuroimaging techniques such as MRI and CT myelography, alongside clinical assessments of symptoms like ataxia, hearing loss, and cognitive impairment. Key findings highlight the prevalence of dural defects in patients with superficial siderosis and the association of persistent CSF leaks with various neurological impairments. The review emphasizes the need for a standardized diagnostic and therapeutic approach to enhance patient management and improve outcomes. By addressing the interrelated nature of these conditions, the study underscores the importance of early intervention to mitigate long-term neurological consequences. Overall, the findings advocate for further research to elucidate the mechanisms underlying duropathies and the development of effective treatment strategies, ultimately aiming to improve the quality of life for affected individuals. Full article
16 pages, 1030 KB  
Article
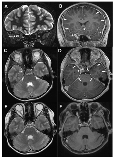
Hyperostosis Cranii Ex Vacuo in Shunted Children: A Proposed Fifth Subtype of CSF Overdrainage Syndrome
by Mateusz Zajączkowski, Łukasz Klasa, Olga Milczarek and Stanisław Kwiatkowski
Int. J. Transl. Med. 2025, 5(4), 51; https://doi.org/10.3390/ijtm5040051 - 28 Oct 2025
Viewed by 318
Abstract
Background: Cerebrospinal fluid (CSF) shunting remains a crucial intervention in the treatment of paediatric hydrocephalus. Overdrainage syndrome is a well-recognised but potentially severe complication, in which hyperostosis cranii ex vacuo—diffuse thickening of the cranial bones—emerges as an adaptive response to chronic intracranial hypotension. [...] Read more.
Background: Cerebrospinal fluid (CSF) shunting remains a crucial intervention in the treatment of paediatric hydrocephalus. Overdrainage syndrome is a well-recognised but potentially severe complication, in which hyperostosis cranii ex vacuo—diffuse thickening of the cranial bones—emerges as an adaptive response to chronic intracranial hypotension. Currently, no established diagnostic criteria exist to reliably identify and classify this phenomenon, nor are there defined strategies to prevent associated complications of reduced intracranial compliance. Objective: This study aimed to characterise the morphoradiological and clinical phenotype of hyperostosis cranii ex vacuo in paediatric patients with long-term shunt dependency and to propose its classification as a fifth subtype of CSF overdrainage syndrome with direct implications for long-term neurosurgical care. Methods: A retrospective observational study was conducted on nine paediatric patients with radiologically confirmed diffuse calvarial thickening secondary to surgical treatment of hydrocephalus. Quantitative morphometric analysis of frontal, parietal, and occipital bones, sella turcica dimensions, and dural enhancement was performed using high-resolution neuroimaging. Clinical records were reviewed for hydrocephalus aetiology, shunt revision history, and neurological impairment. Results: All patients exhibited a mean two-fold increase in age-adjusted calvarial thickness. Premature craniosynostosis was identified in 33.3% of cases. Diffuse pachymeningeal enhancement was noted in all patients with contrast-enhanced imaging. Neurological comorbidities included epilepsy, spastic paraparesis, and features of Chiari type I malformation. Conclusions: Hyperostosis cranii ex vacuo represents a distinct and underrecognised consequence of chronic CSF overdrainage. We propose preliminary diagnostic criteria and a structured management pathway—from radiological recognition through ICP assessment to tiered surgical intervention. Formal recognition of this entity as a fifth subtype of CSF overdrainage syndrome may enhance early diagnosis, improve risk stratification, and guide long-term surveillance of shunted children. Full article
Show Figures

Figure 1

26 pages, 11216 KB  
Case Report
Clinicopathological Pearls and Diagnostic Pitfalls in IgG4-Related Disease: Challenging Case Series and Literature Review
by Sokol Sina, Giulio Luigi Bonisoli, Sofia Vitale, Luigi Marzano, Stefano Francesco Crinò, Maria Cristina Conti Bellocchi, Sara Boninsegna, Simone Conci, Federica Maiolini, Riccardo Nocini, Luca Sacchetto, Giorgio Barbera, Andrea Fior, Nikela Kalaja, Elena Malloggi, Antonietta Brighenti, Alice Parisi, Nicolò Cardobi, Aldo Scarpa, Simonetta Friso and Elisa Tinazziadd Show full author list remove Hide full author list
Diagnostics 2025, 15(18), 2299; https://doi.org/10.3390/diagnostics15182299 - 10 Sep 2025
Viewed by 1216
Abstract
Background: IgG4-related disease (IgG4-RD) is a chronic immune-mediated fibroinflammatory disorder characterized by lymphoplasmacytic infiltrates enriched in IgG4-positive plasma cells, storiform fibrosis, and frequently elevated serum IgG4 levels. Classic forms, such as pancreaticobiliary or retroperitoneal involvement, are often recognized early, whereas atypical manifestations mimic [...] Read more.
Background: IgG4-related disease (IgG4-RD) is a chronic immune-mediated fibroinflammatory disorder characterized by lymphoplasmacytic infiltrates enriched in IgG4-positive plasma cells, storiform fibrosis, and frequently elevated serum IgG4 levels. Classic forms, such as pancreaticobiliary or retroperitoneal involvement, are often recognized early, whereas atypical manifestations mimic malignancy or inflammatory conditions, leading to delayed or inappropriate treatment. Case Series: A 30-year-old man presented with hyperemesis, proptosis, and gait instability. He was found to have colonic stenosis, stomach thickening, pachymeningitis, and polyserositis. Gastroenteric histology and serology confirmed IgG4-RD. Steroids were ineffective, but rituximab produced sustained clinical and radiologic improvement. A 35-year-old woman developed jaundice and cholestasis with a perihilar mass highly suggestive of cholangiocarcinoma. Histopathology revealed IgG4-RD, and rituximab therapy led to marked clinical and serological improvement. A 64-year-old woman with a submandibular mass underwent sialoadenectomy, with histology confirming IgG4-RD; she remained asymptomatic without systemic treatment. Literature Review: A literature review highlighted the diagnostic challenges of atypical IgG4-RD. Gastrointestinal involvement is rare and often misclassified as inflammatory bowel disease. Isolated biliary disease frequently mimics cholangiocarcinoma, while salivary gland involvement may be misdiagnosed as neoplasia. Serum IgG4 levels >135 mg/dL and IgG4/IgG ratio >0.21 may support clinical suspicion, but histopathology remains indispensable for definitive diagnosis and for excluding malignancy. Steroid responsiveness is a hallmark, though relapses after tapering are common, often necessitating B-cell-directed therapy. Conclusions: IgG4-RD should be considered in patients with unexplained, relapsing, or steroid-responsive conditions. Early recognition, multidisciplinary collaboration, and integration of histopathology with clinical features are essential to avoid misdiagnosis and optimize management. Full article
(This article belongs to the Section Pathology and Molecular Diagnostics)
Show Figures

Figure 1

49 pages, 64030 KB  
Review
Pediatric Meningeal Diseases: What Radiologists Need to Know
by Dhrumil Deveshkumar Patel, Laura Z. Fenton, Swastika Lamture and Vinay Kandula
Tomography 2024, 10(12), 1970-2013; https://doi.org/10.3390/tomography10120143 - 8 Dec 2024
Viewed by 5060
Abstract
Evaluating altered mental status and suspected meningeal disorders in children often begins with imaging, typically before a lumbar puncture. The challenge is that meningeal enhancement is a common finding across a range of pathologies, making diagnosis complex. This review proposes a categorization of [...] Read more.
Evaluating altered mental status and suspected meningeal disorders in children often begins with imaging, typically before a lumbar puncture. The challenge is that meningeal enhancement is a common finding across a range of pathologies, making diagnosis complex. This review proposes a categorization of meningeal diseases based on their predominant imaging characteristics. It includes a detailed description of the clinical and imaging features of various conditions that lead to leptomeningeal or pachymeningeal enhancement in children and adolescents. These conditions encompass infectious meningitis (viral, bacterial, tuberculous, algal, and fungal), autoimmune diseases (such as anti-MOG demyelination, neurosarcoidosis, Guillain-Barré syndrome, idiopathic hypertrophic pachymeningitis, and NMDA-related encephalitis), primary and secondary tumors (including diffuse glioneuronal tumor of childhood, primary CNS rhabdomyosarcoma, primary CNS tumoral metastasis, extracranial tumor metastasis, and lymphoma), tumor-like diseases (Langerhans cell histiocytosis and ALK-positive histiocytosis), vascular causes (such as pial angiomatosis, ANCA-related vasculitis, and Moyamoya disease), and other disorders like spontaneous intracranial hypotension and posterior reversible encephalopathy syndrome. Despite the nonspecific nature of imaging findings associated with meningeal lesions, narrowing down the differential diagnoses is crucial, as each condition requires a tailored and specific treatment approach. Full article
(This article belongs to the Section Neuroimaging)
Show Figures

Figure 1

19 pages, 499 KB  
Review
A Systematic Review of Traumatic Brain Injury in Modern Rodent Models: Current Status and Future Prospects
by Evgenii Balakin, Ksenia Yurku, Tatiana Fomina, Tatiana Butkova, Valeriya Nakhod, Alexander Izotov, Anna Kaysheva and Vasiliy Pustovoyt
Biology 2024, 13(10), 813; https://doi.org/10.3390/biology13100813 - 11 Oct 2024
Cited by 3 | Viewed by 3539
Abstract
According to the Centers for Disease Control and Prevention (CDC), the national public health agency of the United States, traumatic brain injury is among the leading causes of mortality and disability worldwide. The consequences of TBI include diffuse brain atrophy, local post-traumatic atrophy, [...] Read more.
According to the Centers for Disease Control and Prevention (CDC), the national public health agency of the United States, traumatic brain injury is among the leading causes of mortality and disability worldwide. The consequences of TBI include diffuse brain atrophy, local post-traumatic atrophy, arachnoiditis, pachymeningitis, meningocerebral cicatrices, cranial nerve lesions, and cranial defects. In 2019, the economic cost of injuries in the USA alone was USD 4.2 trillion, which included USD 327 billion for medical care, USD 69 billion for work loss, and USD 3.8 trillion for the value of statistical life and quality of life losses. More than half of this cost (USD 2.4 trillion) was among working-age adults (25–64 years old). Currently, the development of new diagnostic approaches and the improvement of treatment techniques require further experimental studies focused on modeling TBI of varying severity. Full article
Show Figures

Figure 1

20 pages, 694 KB  
Review
Aural Manifestations of Antineutrophil Cytoplasmic Antibody (ANCA)-Associated Vasculitis—Diagnosis, Symptoms, Treatment
by Michał S. Kaczmarczyk, Dariusz Jurkiewicz, Stanisław Niemczyk and Aleksandra Rymarz
J. Clin. Med. 2024, 13(15), 4298; https://doi.org/10.3390/jcm13154298 - 23 Jul 2024
Cited by 2 | Viewed by 2653
Abstract
Antineutrophil cytoplasmic antibody (ANCA)-associated vasculitis (AAV) is a group of vasculitis sharing a common pathophysiology, which affects small and medium blood vessels. There are three categories of AAV: granulomatosis with polyangiitis (GPA), microscopic polyangiitis (MPA), and eosinophilic granulomatosis with polyangiitis (EGPA). As a [...] Read more.
Antineutrophil cytoplasmic antibody (ANCA)-associated vasculitis (AAV) is a group of vasculitis sharing a common pathophysiology, which affects small and medium blood vessels. There are three categories of AAV: granulomatosis with polyangiitis (GPA), microscopic polyangiitis (MPA), and eosinophilic granulomatosis with polyangiitis (EGPA). As a systemic disease, AAV can affect basically every organ. The goal of this publication is to sum up and underline the problem of the aural manifestation of AAV; it details the definition of Otitis Media with Antineutrophil Cytoplasmic Antibody Associated Vasculitis (OMAAV) and allows for a better understanding of the specific tasks of medical professionals taking part in the diagnostic and therapeutic process. Among others, this publication is directed to otolaryngologists who may encounter patients with AAV and often are the first specialists who see patients with early symptoms of AAV. This publication presents brief characteristics of AAV, descriptions of aural manifestations and symptoms, differential diagnosis, and both pharmacological and surgical treatment options, based on current recommendations and information found in the literature and clinical databases. Full article
(This article belongs to the Section Otolaryngology)
Show Figures

Figure 1

11 pages, 3268 KB  
Article
Magnetic Resonance Imaging Features of Rhino-Orbito-Cerebral Mucormycosis in Post-COVID-19 Patients: Radio-Pathological Correlation
by Rania Mostafa Hassan, Yassir Edrees Almalki, Mohammad Abd Alkhalik Basha, Mai Ahmed Gobran, Saad Misfer Alqahtani, Abdullah M. Assiri, Saeed Alqahtani, Sharifa Khalid Alduraibi, Mervat Aboualkheir, Ziyad A. Almushayti, Asim S. Aldhilan, Sameh Abdelaziz Aly and Asmaa A. Alshamy
Diagnostics 2023, 13(9), 1546; https://doi.org/10.3390/diagnostics13091546 - 25 Apr 2023
Cited by 4 | Viewed by 2801
Abstract
There has been a notable increase in rhino-orbito-cerebral mucormycosis (ROCM) post-coronavirus disease 2019 (COVID-19), which is an invasive fungal infection with a fatal outcome. Magnetic resonance imaging (MRI) is a valuable tool for early diagnosis of ROCM and assists in the proper management [...] Read more.
There has been a notable increase in rhino-orbito-cerebral mucormycosis (ROCM) post-coronavirus disease 2019 (COVID-19), which is an invasive fungal infection with a fatal outcome. Magnetic resonance imaging (MRI) is a valuable tool for early diagnosis of ROCM and assists in the proper management of these cases. This study aimed to describe the characteristic MRI findings of ROCM in post-COVID-19 patients to help in the early diagnosis and management of these patients. This retrospective descriptive study was conducted at a single hospital and included 52 patients with COVID-19 and a histopathologically proven ROCM infection who were referred for an MRI of the paranasal sinuses (PNS) due to sino-orbital manifestations. Two radiologists reviewed all the MR images in consensus. The diagnosis was confirmed by histopathological examination. The maxillary sinus was the most commonly affected PNS (96.2%). In most patients (57.7%), multiple sinuses were involved with the black turbinate sign on postcontrast images. Extrasinus was evident in 43 patients with orbital involvement. The pterygopalatine fossa was involved in four patients. Three patients had cavernous sinus extension, two had pachymeningeal enhancement, and one had epidural collection. The alveolar margin was affected in two patients, and five patients had an extension to the cheek. The awareness of radiologists by the characteristic MRI features of ROCM in post-COVID-19 patients helps in early detection, early proper management, and prevention of morbid complications. Full article
(This article belongs to the Special Issue Advances in Radionuclide Imaging)
Show Figures

Figure 1

6 pages, 3172 KB  
Case Report
Trigeminal Schwannoma Presenting with Masticatory Muscle Atrophy: A Rare Case Report
by Tona Yoshino, Keiji Shinozuka, Kana Yokoyama, Ayana Yamakawa and Morio Tonogi
Appl. Sci. 2022, 12(19), 9919; https://doi.org/10.3390/app12199919 - 1 Oct 2022
Cited by 1 | Viewed by 6132
Abstract
Trigeminal schwannoma (TS) presenting with masticatory muscle atrophy is very rare. Here, we report the case of an 80 year-old male patient with TS presenting with masticatory muscle atrophy in October 2014. The patient had been diagnosed with hypertrophic pachymeningitis and right intracranial [...] Read more.
Trigeminal schwannoma (TS) presenting with masticatory muscle atrophy is very rare. Here, we report the case of an 80 year-old male patient with TS presenting with masticatory muscle atrophy in October 2014. The patient had been diagnosed with hypertrophic pachymeningitis and right intracranial TS in 2013 by his neurologist, for which he was treated with steroids. However, his symptoms in the trigeminal innervation region persisted. He visited our department due to difficulty in opening his mouth as well as eating. Surgery was not performed owing to his advanced age and general condition. His trismus was improved by mouth opening training via manual manipulation for three years. We suggest that TS should be considered in the differential diagnosis of patients with masticatory muscle atrophy. Consultation with a neurologist is also essential. Manual manipulation may be an effective non-surgical treatment option for patients with difficulty in mouth opening owing to TS. Full article
(This article belongs to the Special Issue Advances in Maxillofacial and Oral Surgery)
Show Figures

Figure 1

13 pages, 1205 KB  
Article
Treatment, Outcome, and Relapse of Spontaneous and Nonspontaneous Cerebrospinal Fluid Leak
by Yi-Cheng Tai, Yi-Sheng Tai, Chang-Hsien Ou, Chun-Chung Lui, Hao-Kuang Wang, Hung-Chang Kuo and Shih-Pin Hsu
Brain Sci. 2022, 12(3), 340; https://doi.org/10.3390/brainsci12030340 - 2 Mar 2022
Cited by 7 | Viewed by 6410
Abstract
Cerebrospinal fluid (CSF) leak can be spontaneous or nonspontaneous. The management options include conservative treatments, blood patch, and surgical repairs. We compared clinical symptoms, image findings, management options, hospitalization, and relapse rates among different causes of CSF leaks. Eighty-one patients were recruited: 20 [...] Read more.
Cerebrospinal fluid (CSF) leak can be spontaneous or nonspontaneous. The management options include conservative treatments, blood patch, and surgical repairs. We compared clinical symptoms, image findings, management options, hospitalization, and relapse rates among different causes of CSF leaks. Eighty-one patients were recruited: 20 with spontaneous and 61 with nonspontaneous CSF leaks. Nonspontaneous causes included lumbar puncture, surgery, and trauma. Surgery sites comprised sphenoid, spine, skull base, and calvaria. Spontaneous CSF leak came from the sphenoid or spine. Age, gender, body mass index, initial symptoms, hospitalization, treatment courses, and recurrence rates showed no difference between the groups. The spontaneous group had higher CSF accumulations on their MRIs. MRI pachymeninge enhancement showed the highest sensitivity (78.6%) for intracranial hypotension. Meningitis occurred in 1/3 of sphenoid, skull base, and calvarian surgeries. Earlier reoperation was correlated with shorter hospitalization (r = 0.651), but the recurrence rates were similar. Longer intervals between surgery and CSF leak encouraged reoperation. Among the spontaneous spine and lumbar puncture-related CSF leaks, 57.1% of them responded to 4 days of conservative treatment. Among the trauma-related CSF leaks, 90.9% of them required surgical repair. The demographic data and symptoms were similar in various groups of CSF leak. The symptom onset durations and treatment strategies were different. However, the recurrence rates were similar. Full article
(This article belongs to the Section Neurosurgery and Neuroanatomy)
Show Figures

Figure 1

11 pages, 4889 KB  
Case Report
The First Report of Elaphostrongylus cervi Infection in Two Imported Wapitis (Cervus canadensis) in Slovenia
by Petra Bandelj, Polona Juntes, Gorazd Vengušt and Diana Žele Vengušt
Vet. Sci. 2022, 9(1), 19; https://doi.org/10.3390/vetsci9010019 - 6 Jan 2022
Viewed by 3169
Abstract
This study describes two female wapitis (Cervus canadensis) with neurological signs associated with an Elaphostrongylus cervi (E. cervi) infection. The original host of the nematode parasite is the Eurasian red deer (Cervus elaphus), although other cervids and [...] Read more.
This study describes two female wapitis (Cervus canadensis) with neurological signs associated with an Elaphostrongylus cervi (E. cervi) infection. The original host of the nematode parasite is the Eurasian red deer (Cervus elaphus), although other cervids and small ruminants may also be affected. The two wapitis imported from Canada were kept in an enclosure with the Slovenian red deer herd. After developing debilitating neurological signs, the wapitis were euthanized and examined for possible causes. A histopathological examination of the brain of the first wapiti revealed severe diffuse perivascular meningoencephalitis with chronic vasculitis, and some cross-sections of nematodes were found in the leptomeninges. A necropsy of the second wapiti revealed severe pachymeningitis and leptomeningitis, where several adult nematode parasites were found. E. cervi was confirmed by molecular methods. The prevalence of E. cervi in the European red deer population is high, but no study has been conducted to assess its prevalence in Slovenia. This was the first confirmation of E. cervi in Slovenia and the first infection with this parasite described in Europe in a wapiti. Elaphostrongylus cervi should also be considered as a differential diagnosis in Europe for all ruminants grazing on pastures frequented by red deer and showing neurological clinical signs. Full article
(This article belongs to the Special Issue Parasitic Infections in Wild Animals)
Show Figures

Figure 1

7 pages, 866 KB  
Case Report
Idiopathic Hypertrophic Pachymeningitis: Does Earlier Treatment Improve Outcome?
by Emilia Rizzo, Ailsa Elizabeth Ritchie, Vinay Shivamurthy, Ata Siddiqui and Ming Lim
Children 2021, 8(1), 11; https://doi.org/10.3390/children8010011 - 28 Dec 2020
Cited by 3 | Viewed by 4845
Abstract
Background/goal: Hypertrophic pachymeningitis is a rare chronic inflammatory disorder characterized by marked fibrous thickening of the cerebral and/or spinal dura mater. This condition has largely been reported in adults, but there are very few reports in children. Methods: We describe a 14-year-old boy [...] Read more.
Background/goal: Hypertrophic pachymeningitis is a rare chronic inflammatory disorder characterized by marked fibrous thickening of the cerebral and/or spinal dura mater. This condition has largely been reported in adults, but there are very few reports in children. Methods: We describe a 14-year-old boy with idiopathic hypertrophic pachymeningitis, who presented with deteriorating vision on a background of severe headache. We evaluated pediatric cases of hypertrophic pachymeningitis and compared treatments and their relation to outcomes. Results: There are only eleven pediatric cases of hypertrophic pachymeningitis reported in the literature. In the patients treated with steroids either at presentation or subsequent relapses, a good response was reported. In the cases with delayed initiation of steroid treatment, this was often related to an incomplete recovery. In our patient, this delay may have contributed to his poor visual outcome. Conclusions: Early initiation of steroid treatment in children with idiopathic hypertrophic pachymeningitis may improve outcomes. Full article
(This article belongs to the Section Pediatric Neurology & Neurodevelopmental Disorders)
Show Figures

Figure 1

17 pages, 1307 KB  
Article
Rheumatoid Meningitis a Rare Extra-Articular Manifestation of Rheumatoid Arthritis: Report of 6 Cases and Literature Review
by Mélanie Trabelsi, Xavier Romand, Mélanie Gilson, Mathieu Vaillant, Pierre-André Guerne, Gilles Hayem, Ewa Bertolini, Athan Baillet and Philippe Gaudin
J. Clin. Med. 2020, 9(6), 1625; https://doi.org/10.3390/jcm9061625 - 27 May 2020
Cited by 17 | Viewed by 6381
Abstract
Objectives. Central neurological manifestations of rheumatoid arthritis (RA) like rheumatoid meningitis (RM) are rare, little known and have a high rate of morbi-mortality. METHODS. We described six cases of RM that were directly related to RA activity after exhaustive assessment. RESULTS. They were [...] Read more.
Objectives. Central neurological manifestations of rheumatoid arthritis (RA) like rheumatoid meningitis (RM) are rare, little known and have a high rate of morbi-mortality. METHODS. We described six cases of RM that were directly related to RA activity after exhaustive assessment. RESULTS. They were mainly women, aged of 50 to 69. All were positive for anti-cyclic citrullinated peptide antibodies and half for rheumatoid factors. RA activity, duration, and treatments were heterogeneous including oral steroids, conventional synthetic disease modifying anti-rheumatic drugs (DMARDs) and biologic DMARDs. Symptoms were various, with acute or progressive beginning; main were: generalized or focal seizure (4/6), fever (3/6), headaches (3/6), and frontal syndrome (2/6). Imaging lesions were four leptomeningitis, one pachymeningitis, and one association of both. MRI usually showed hypersignal in various territories in T2-FLAIR (fluid attenuated inversion recovery) mode, and enhancement in T1-weighted mode after gadolinium injection. All patients had lumbar puncture that found sterile cerebrospinal fluid, no neoplasic cell, elevated cell count in 5/6 cases and elevated proteins concentration in 3/6 cases. Cerebral biopsy was possible for three patients, and definitively confirmed the diagnosis of aseptic lepto- or pachymenintis, excluding vasculitis and lymphoma. Different treatments were used like intravenous high dose steroids, immunoglobulins or biologic DMARDs, with variable clinical and imaging outcome: one death, one complete recovery, and four recoveries with sequelae. Conclusions. Clinical symptoms, imaging, lumbar puncture, and serological studies are often nonspecific, only histologic examination can confirm the diagnosis of RM. Any central neurological manifestation in RA patients, even in quiescent and ancient RA, should warn the physician. Full article
(This article belongs to the Special Issue Rheumatoid Arthritis: Pathogenesis, Diagnosis and Therapies)
Show Figures

Figure 1

Back to TopTop