Rheumatoid Meningitis a Rare Extra-Articular Manifestation of Rheumatoid Arthritis: Report of 6 Cases and Literature Review
Abstract
1. Introduction
2. Methods
2.1. Study Design
2.2. Definition of Cases
2.2.1. Data Collection
2.2.2. Statistical Analysis
2.2.3. Ethical Approval Information
2.2.4. Literature Research
3. Results
3.1. Study Population
3.2. Central Neurological Symptoms
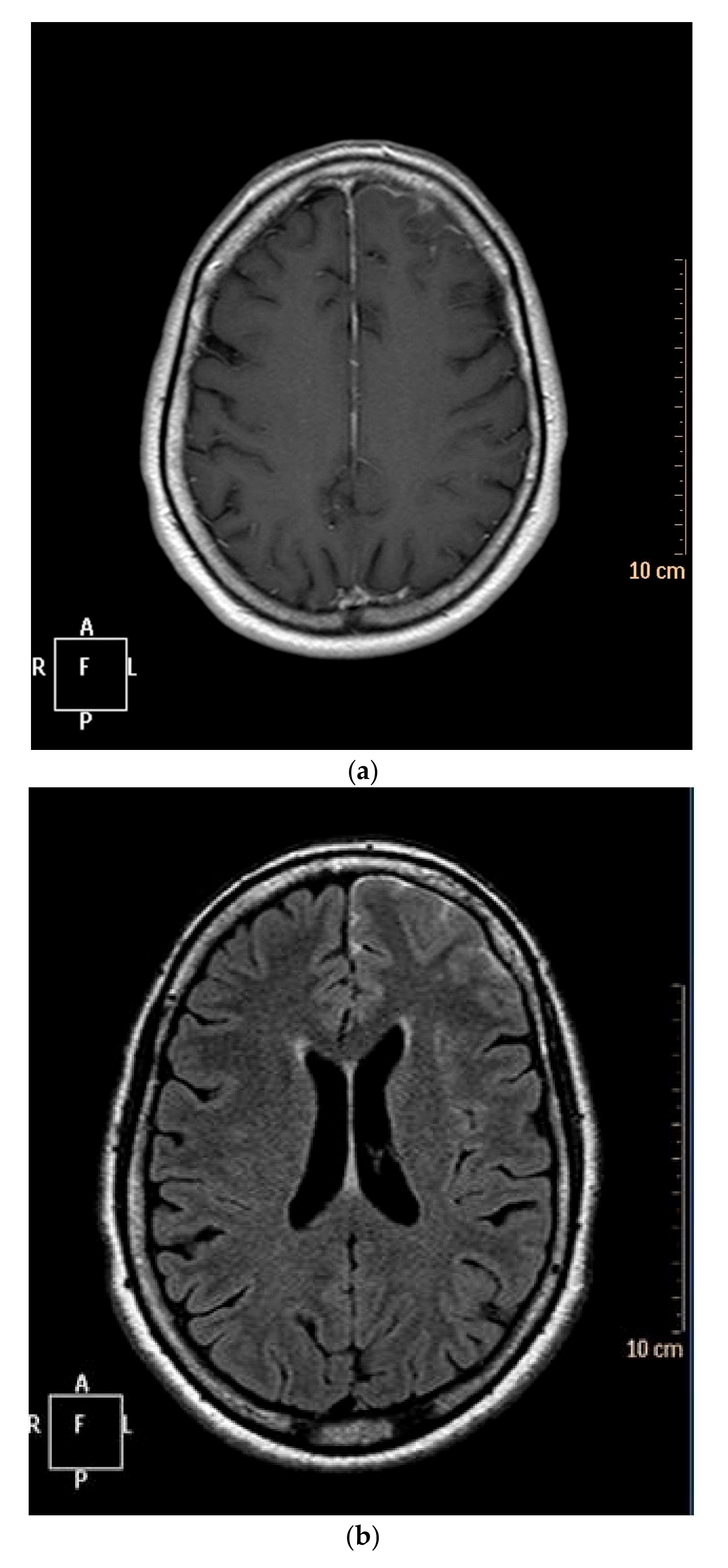
3.3. Cerebral Imaging
3.4. Lumbar Puncture
3.5. Differential Diagnosis
3.6. Cerebral Biopsy
3.7. Treatments
3.8. Outcome and Follow-Up
4. Discussion
4.1. Differential Diagnosis
4.2. Infectious Diseases
4.3. Vasculitis
4.4. Tumoral Diseases
4.5. Drug-Induced Adverse Events
4.5.1. MRI
4.5.2. Lumbar Puncture
4.5.3. Cerebral Biopsy
4.5.4. RM Pathogenesis Hypothesis
| Study (ref) | Gender (F/M) | Age of Diagnosis | Disease History | Auto-Antibodies | Neurological Symptoms | Treatment | Outcome (Follow-Up Duration) |
|---|---|---|---|---|---|---|---|
| Total of 15 studies | 67% F | 63.7 years (+/−10.4) (mean (+/−SD)) | >53% longstanding RA (≥9 years) >33% low activity >33% under treatment >26% erosive RA >26% diagnosis made during RM | 71% RF+ (5/7)* 100% ACPA+ (7/7)* | 67% hemi paraparesis or focal symptoms 53% altered mental status 40% headache 27% seizure | >86% steroids 20% Cyclo-phosphamide | 27% clinical and/or MRI recovery 27% partial recovery/sequelae 20% unknown |
| 1 [39] | F | 50 | Several-years history of RA, csDMARD, low activity | RF N/A, ACPA+ | Aphasia, confusion, transient leg weakness, headache, facial droop | Steroids | Recovery (6 months) |
| 2 [25] | F | 84 | Diagnosis made during RM | RF N/A, ACPA+ | Muscles weakness, cognitive dysfunction | IV steroid pulses | Clinical and MRI improvement (?) |
| 3 [7] | M | 70 | Longstanding erosive RA, high activity | RF+, ACPA N/A | Hemiparesis, sensitive symptoms, headache | IV steroid pulses, then oral steroids with Hydroxy chloroquine and Sulfasalazine | Clinical recovery, MRI lesions improvement (5 months) |
| 4 [12] | M | 68 | 10-years history of erosive RA, low activity | RF N/A, ACPA N/A | Resting tremor, cognitive dysfunction, fever, bedridden | IV steroid pulses | Recovery with sequelae: parkinsonism and MRI hydrocephalus |
| 5 [29] | F | 69 | No arthritis, diagnosis made during RM | RF N/A, ACPA+ | Aphasia, apraxia, hemiparesis, seizure | IV steroid pulses | Clinical and MRI improvement (?) |
| 6 [40] | F | 60 | 23-years history of erosive RA, Auranofin and prednisone | RF+, ACPA+ | Headache, photophobia, delirium, impaired short-term memory, hallucinations, seizure | IV steroid pulses | MRI improvement, clinical recovery with sequelae: minimal memory impairment |
| 7 [41] | M | 37 | Diagnosis made during RM | RF+, ACPA+ | Headache, transient focal neurologic deficits, transient cognitive dysfunction | Dexamethasone, Adalimumab + Leflunomide | Partial improvement (?) |
| 8 [41] | F | 62 | Diagnosis made during RM | RF-, ACPA N/A | Personality change, lower limb weakness, confusion, seizures, tetraplegia | IV steroid pulses | Recovery with sequelae: confusion, hallucination, paraparesia (few months) |
| 9 [24] | F | 65 | 18-years history of RA, low activity | RF N/A, ACPA N/A | Seizure, hemiparesis | IV steroid pulses | MRI and clinical improvement (?) |
| 10 [28] | M | 60 | Several-years history of RA, low activity | RF N/A ACPA N/A | Hemiparesis, hypoesthesia, fever | ? | ? |
| 11 [31] | F | 75 | RA with no treatment | RF+, ACPA N/A | Behavioral changes, cognitive dysfunction | IV steroid pulses, Cyclophosphamide | Mild improvement, then death (few months) |
| 12 [42] | F | 63 | 9-years history of RA | RF N/A, ACPA N/A | Headache, paraparesis | Steroids, Cyclophosphamide | ? |
| 13 [43] | M | 59 | 11-years history of on erosive RA, remission, csDMARD | RF-, ACPA+ | Transient hemiparesis, hypoesthesia, fever | Oral steroids, Rituximab | Clinical and MRI recovery (5 years) |
| 14 [44] | F | 71 | 6-years history of RA, low activity, csDMARD, anti-TNF alpha | RF+, ACPA+ | Dysarthria, hemiparesthesia, headache | IV steroid pulses, Cyclophosphamide | Clinical recovery, stable MRI lesions (6 months) |
| 15 [45] | F | 63 | ? RA, anti-TNF alpha, steroids | RF N/A, ACPA N/A | Apathy, drowsiness | ? | ? |
4.5.5. Treatments
4.5.6. Outcome
5. Conclusions
Author Contributions
Funding
Acknowledgments
Conflicts of Interest
References
- Kato, T.; Hoshi, K.; Sekijima, Y. Rheumatoid meningitis: An autopsy report and review of the literature. Clin. Rheumatol. 2003, 22, 475–480. [Google Scholar] [CrossRef] [PubMed]
- Catananti, C.; Mastropaolo, S.; Calabrese, C.; Silveri, M.C.; Onder, G. A case of normal-pressure hydrocephalus associated with rheumatoid arthritis. Aging Clin. Exp. Res. 2010, 22, 189–191. [Google Scholar] [CrossRef] [PubMed]
- Inan, A.S.; Masatlioglu, S.; Ozyurek, S.C.; Engin, D.; Erdem, I. Unusual central nervous system involvement of rheumatoid arthritis: Successful treatment with steroid and azathioprine. Rheumatol. Int. 2011, 31, 1383–1385. [Google Scholar] [CrossRef] [PubMed]
- Mrabet, D.; Meddeb, N.; Ajlani, H.; Sahli, H.; Sellami, S. Cerebral vasculitis in a patient with rheumatoid arthritis. Joint Bone Spine 2007, 74, 201–204. [Google Scholar] [CrossRef]
- Schmid, L.; Muller, M.; Treumann, T. Induction of complete and sustained remission of rheumatoid pachymeningitis by rituximab. Arthritis Rheum. 2009, 60, 1632–1634. [Google Scholar] [CrossRef]
- Bathon, J.M.; Moreland, L.W.; DiBartolomeo, A.G. Inflammatory central nervous system involvement in rheumatoid arthritis. Semin. Arthritis Rheum. 1989, 18, 258–266. [Google Scholar] [CrossRef]
- Bourgeois, P.; Rivest, J.; Bocti, C. Rheumatoid meningitis presenting with stroke-like episodes. Neurology 2014, 82, 1564–1565. [Google Scholar] [CrossRef]
- Shimada, K.; Matsui, T.; Kawakami, M. Diffuse chronic leptomeningitis with seropositive rheumatoid arthritis: Report of a case successfully treated as rheumatoid leptomeningitis. Mod. Rheumatol. 2009, 19, 556–562. [Google Scholar] [CrossRef]
- Chou, R.C.; Henson, J.W.; Tian, D.; Hedley-Whyte, E.T.; Reginato, A.M. Successful treatment of rheumatoid meningitis with cyclophosphamide but not infliximab. Ann. Rheum Dis. 2006, 65, 1114–1116. [Google Scholar] [CrossRef] [PubMed]
- Huys, A.-C.M.L.; Guerne, P.-A.; Horvath, J. Rheumatoid meningitis occurring during adalimumab and methotrexate treatment. Joint Bone Spine 2012, 79, 90–92. [Google Scholar] [CrossRef]
- Ramos-Remus, C.; Duran-Barragan, S.; Castillo-Ortiz, J.D. Beyond the joints: Neurological involvement in rheumatoid arthritis. Clin. Rheumatol. 2012, 31, 1–12. [Google Scholar] [CrossRef] [PubMed]
- Hayashi, Y.; Namekawa, M.; Ohtani, K.; Watanabe, E.; Nakano, I. Parkinsonism as an initial manifestation of rheumatoid meningitis. Neurol. Sci. 2014, 35, 1139–1141. [Google Scholar] [CrossRef] [PubMed]
- Aguilar-Amat, M.J.; Abenza-Abildúa, M.J.; Vivancos, F. Rheumatoid meningitis mimicking progressive supranuclear palsy. Neurologist 2011, 17, 136–140. [Google Scholar] [CrossRef] [PubMed]
- Rijkers, K.; Postma, A.; Riedl, R.; Schijns, O. Rheumatoid arthritis mimicking an intracranial malignancy. Acta Neurochir. (Wien) 2014, 156, 427–428. [Google Scholar] [CrossRef]
- Chowdhry, V.; Kumar, N.; Lachance, D.H.; Salomao, D.R.; Luthra, H.S. An unusual presentation of rheumatoid meningitis. J. Neuroimaging 2005, 15, 286–288. [Google Scholar] [CrossRef]
- Kim, H.Y.; Park, J.H.; Oh, H.E.; Han, H.J.; Shin, D.I.; Kim, M.H. A case of rheumatoid meningitis: Pathologic and magnetic resonance imaging findings. Neurol. Sci. 2011, 32, 1191–1194. [Google Scholar] [CrossRef]
- Bodaghi, B.; Dauga, C.; CAssoux, N. Whipple’s syndrome (uveitis, B27-negative spondylarthropathy, meningitis, and lymphadenopathy) associated with Athrobacter sp. infection. Ophtalmology 1998, 105, 1891–1896. [Google Scholar] [CrossRef]
- DaSilva, V.; Roux, C.H.; Bernard, E. Neuromeningeal tuberculosis in a patient with rheumatoid arthritis previously exposed to ineffective etanercept therapy and revealed by infliximab. J. Rheumatol. 2010, 37, 471. [Google Scholar] [CrossRef]
- Birnbaum, T.; Baumgarten, L.V.; Dudel, C.; Straube, A. Successful long-term control of lymphomatous meningitis with intraventricular rituximab. J. Clin. Neurosci. 2014, 21, 356–358. [Google Scholar] [CrossRef]
- Ahmed, M.; Luggen, M.; Herman, J.H. Hypertrophic pachymeningitis in rheumatoid arthritis after adalimumab administration. J. Rheumatol. 2006, 33, 2344–2346. [Google Scholar]
- Hawboldt, J.; Bader, M. Intramuscular methotrexate-induced aseptic meningitis. Ann. Pharmacother. 2007, 41, 1906–1911. [Google Scholar] [CrossRef] [PubMed]
- Cohen, J.D.; Jorgensen, C.; Sany, J. Leflunomide-induced aseptic meningitis. Joint Bone Spine 2004, 71, 243–245. [Google Scholar] [CrossRef]
- Houitte, R.; Abgueguen, P.; Masson, C. Salazopyrine-induced aspetic meningitis. Joint Bone Spine 2009, 76, 216–217. [Google Scholar] [CrossRef] [PubMed]
- Yamashita, K.; Terasaki, Y.; Sakaguchi, M.; Nakatsuji, Y.; Yoshizaki, K.; Mochizuki, H. A case of rheumatoid meningitis presented with generalized seizure in whom MRI images were helpful for the diagnosis. Rinsho Shinkeigaku 2015, 55, 926–931. [Google Scholar] [CrossRef] [PubMed][Green Version]
- Abe, T.; Bourgeoisa, K.; Uchino, A.; Sasaki, A.; Tanahashi, N.; Takao, M. A case of anti-cyclic citrullinated peptides antibody positive rheumatoid meningitis without arthritis at the onset of neurological symptoms. Rinsho Shinkeigaku 2016, 56, 627–632. [Google Scholar] [CrossRef][Green Version]
- Starosta, M.A.; Brandwein, S.R. Clinical manifestations and treatment of rheumatoid pachymeningitis. Neurology 2007, 68, 1079–1080. [Google Scholar] [CrossRef]
- Yaguchi, M.; Yaguchi, H. Unilateral supratentorial lesion due to rheumatoid meningitis on MRI. Intern Med. 2008, 47, 1947–1948. [Google Scholar] [CrossRef][Green Version]
- Roques, M.; Tanchoux, F.; Calvière, L. MRI with DWI helps in depicting rheumatoid meningitis. J. Neuroradiol. 2014, 41, 275–277. [Google Scholar] [CrossRef]
- Kawabata, Y.; Miyaji, Y.; Nakano, T.; Joki, H.; Tanaka, F. Aseptic meningitis in a patient with cerebrospinal fluid anti-agalactosyl IgG antibody-positive preclinical rheumatoid arthritis: A case report. Rinsho Shinkeigaku 2015, 55, 904–908. [Google Scholar] [CrossRef]
- Duray, M.C.; Marchand, E.; Gohy, S.; Weynand, B.; De Coene, B.; Laloux, P. Granulomatous meningitis due to rheumatoid arthritis. Acta Neurol. Belg. 2012, 112, 193–197. [Google Scholar] [CrossRef]
- Stretz, C.; Song, X.; Killory, B.D.; Ollenschleger, M.D.; Nouh, A.M. Rheumatoid Meningitis: Diagnostic and Therapeutic Observations. Conn Med. 2016, 80, 163–166. [Google Scholar] [PubMed]
- Nissen, M.S.; Nilsson, A.C.; Forsberg, J. Use of Cerebrospinal Fluid Biomarkers in Diagnosis and Monitoring of Rheumatoid Meningitis. Front Neurol. 2019, 10, 666. [Google Scholar] [CrossRef] [PubMed]
- Humby, F. Ectopic lymphoid structures support ongoing production of classswitched autoantibodies inrheumatoid synovium. PLoS Med. 2009, 6, e1. [Google Scholar] [CrossRef] [PubMed]
- Zhong, X. Cerebrospinal fluid levels of CXCL13 are elevated in neuromyelitis optica. J. Neuroimmunol. 2011, 15, 104–108. [Google Scholar] [CrossRef]
- Londoño, A.C.; Mora, C.A. Role of CXCL13 in the formation of the meningeal tertiary lymphoid organ in multiple sclerosis. F1000Res 2018, 7, 514. [Google Scholar] [CrossRef]
- Smolen, J.S. Rheumatoid arthritis. Nat. Rev. Dis. Primers. 2018, 4, 18001. [Google Scholar] [CrossRef]
- Zhu, J.; Zhou, Y.; Chen, X.; Li, J. A Metaanalysis of the increased Risk of Rheumatoid Arthritis-related. J. Rheumatol. 2014, 41, 1282–1289. [Google Scholar] [CrossRef]
- Louveau, A. Structural and functional features of central nervous system lymphatic vessels. Nature 2015, 523, 337–341. [Google Scholar] [CrossRef]
- Roy, B.; Uphoff, D.; Silverman, I. Rheumatoid Meningitis Presenting With Multiple Strokelike Episodes. JAMA Neurol. 2015, 72, 1973–1976. [Google Scholar] [CrossRef]
- Lu, L.; Chwalisz, B.; Pfannl, R.; Narayanaswami, P. Rheumatoid meningitis: A rare complication of rheumatoid arthritis. BMJ Case Rep. 2015, 2015, bcr2014208745. [Google Scholar] [CrossRef]
- Magaki, S.; Chang, E.; Hammond, R. Two cases of rheumatoid meningitis. Neuropathology 2016, 36, 93–102. [Google Scholar] [CrossRef] [PubMed]
- Yeaney, G.; Denby, E.; Jahromi, B.; Mangla, R. Rheumatoid-associated meningitis and vasculopathy. Neurology 2015, 84, 1717–1719. [Google Scholar] [CrossRef] [PubMed]
- Degboé, Y.; Fajadet, B.; Laurent, C.; Cantagrel, A.; Constantin, A.; Ruyssen-Witrand, A. A rare case of rheumatoid pachyleptomeningitis successfully treated with rituximab. Rheumatology 2017, 56, 1238–1240. [Google Scholar] [CrossRef] [PubMed][Green Version]
- Nihat, A.; Chinthapalli, K.; Bridges, L. Rheumatoid meningitis. Pract. Neurol. 2016, 16, 312–314. [Google Scholar] [CrossRef] [PubMed]
- Koopmansch, C.; D’Haene, N.; Hastir, D.; Sadeghi, N.; Maris, C.; Salmon, I. A 63-Year-Old Woman with a Right Frontal Lesion. Brain Pathol. 2016, 26, 555–556. [Google Scholar] [CrossRef]
- Hasiloglu, Z.I.; Asik, M.; Erer, B.; Dikici, A.S.; Altintas, A.; Albayram, S. Magnetic resonance imaging of rheumatoid meningitis: A case report and literature review. Rheumatol. Int. 2012, 32, 3679–3681. [Google Scholar] [CrossRef]
- Cavazzana, I.; Taraborelli, M.; Fredi, M.; Tincani, A.; Franceschini, F. Aseptic meningitis occurring during anti-TNF-alpha therapy in rheumatoid arthritis and ankylosing spondylitis. Clin. Exp. Rheumatol. 2014, 32, 732–734. [Google Scholar]


| Case | Gender (F/M) | Age of Diagnosis | Disease History | Neurological Symptoms | MRI | Lumbar Puncture | Treatment | Outcome (Follow-Up Duration) |
|---|---|---|---|---|---|---|---|---|
| 1 | F | 57 | 0.5-year history of non-erosive RA, RF-, ACPA+, RA flare, csDMARD | Generalized seizure, headaches | Hypersignal in T2-weighted images and FLAIR mode Enhancement in T1-weighted images after IV gadolinium injection | Cell count: normal Proteins concentration: normal Glycorrhachia: normal | IV steroid pulses, IV Ig | Recovery with sequelae: ongoing anticonvulsant treatment, stable chronic MRI lesions (23 months) |
| 2 | M | 69 | 7-years history of erosive RA, RF-, ACPA+, moderate RA activity, csDMARD + TNFα blocker | Headaches, frontal syndrome | Hypersignal in T2-weighted images and FLAIR mode Enhancement in T1-weighted images after IV gadolinium injection | Cell count: elevated Proteins concentration: normal Glycorrhachia: normal | IV steroid pulses, Etanercept, Rituximab | Death by subarachnoid hemorrhage (6 weeks after second Rituximab infusion) |
| 3 | F | 63 | 25-years history of non-erosive RA, RF-, ACPA+, high RA activity, csDMARD | Generalize seizure, fluctuating fever, frontal syndrome, delirium, depression-anxiety syndrome | Hypersignal in T2-weighted images Enhancement in T1-weighted images after IV gadolinium injection | Cell count: elevated Proteins concentration: elevated Glycorrhachia: missing data Syphilis PCR: negative | IV steroid pulses, Etanercept, Adalimumab | Neurologic sequelae, stable chronic MRI lesions (24 months) |
| 4 | F | 59 | 0.75-year history of non-erosive RA, RF+, ACPA+, RA remission, csDMARD + TNFα blocker | Headaches, psycho motor retardation | Enhancement in T1-weighted images after IV gadolinium injection | Cell count: elevated Proteins concentration: elevated Glycorrhachia: missing data M. tuberculosis PCR: negative | IV steroid pulses, Rituximab | Recovery with sequelae: ongoing anticonvulsant treatment, variable headaches, minor psycho motor retardation (11 months) |
| 5 | M | 50 | 7-years history of erosive RA, RF+, ACPA+, moderate RA activity, csDMARD | Focal then generalized seizure, fever, alteration of the general state, dizziness with loss of consciousness, coma | Hypersignal in T2-weighted images Hyposignal in T1-weighted images without enhancement after injection | Cell count: elevated Proteins concentration: elevated Glycorrhachia: normal HIV PCR: negative | Only usual oral steroids | Recovery with sequelae: ongoing anticonvulsant treatment, stable chronic MRI lesions (10 years) |
| 6 | F | 64 | 2-years history of non-erosive RA, RF-, ACPA+, low RA activity, no treatment | Seizure, fever, headaches, abnormal movements of the lower limb | Hypersignal in T2-weighted images and FLAIR mode Enhancement in T1-weighted images after IV gadolinium injection | Cell count: elevated Proteins concentration: normal Glycorrhachia: normal M. tuberculosis and Whipple PCR: negative | IV steroid pulses | Clinical and MRI recovery, stop anticonvulsant drugs (24 months) |
© 2020 by the authors. Licensee MDPI, Basel, Switzerland. This article is an open access article distributed under the terms and conditions of the Creative Commons Attribution (CC BY) license (http://creativecommons.org/licenses/by/4.0/).
Share and Cite
Trabelsi, M.; Romand, X.; Gilson, M.; Vaillant, M.; Guerne, P.-A.; Hayem, G.; Bertolini, E.; Baillet, A.; Gaudin, P. Rheumatoid Meningitis a Rare Extra-Articular Manifestation of Rheumatoid Arthritis: Report of 6 Cases and Literature Review. J. Clin. Med. 2020, 9, 1625. https://doi.org/10.3390/jcm9061625
Trabelsi M, Romand X, Gilson M, Vaillant M, Guerne P-A, Hayem G, Bertolini E, Baillet A, Gaudin P. Rheumatoid Meningitis a Rare Extra-Articular Manifestation of Rheumatoid Arthritis: Report of 6 Cases and Literature Review. Journal of Clinical Medicine. 2020; 9(6):1625. https://doi.org/10.3390/jcm9061625
Chicago/Turabian StyleTrabelsi, Mélanie, Xavier Romand, Mélanie Gilson, Mathieu Vaillant, Pierre-André Guerne, Gilles Hayem, Ewa Bertolini, Athan Baillet, and Philippe Gaudin. 2020. "Rheumatoid Meningitis a Rare Extra-Articular Manifestation of Rheumatoid Arthritis: Report of 6 Cases and Literature Review" Journal of Clinical Medicine 9, no. 6: 1625. https://doi.org/10.3390/jcm9061625
APA StyleTrabelsi, M., Romand, X., Gilson, M., Vaillant, M., Guerne, P.-A., Hayem, G., Bertolini, E., Baillet, A., & Gaudin, P. (2020). Rheumatoid Meningitis a Rare Extra-Articular Manifestation of Rheumatoid Arthritis: Report of 6 Cases and Literature Review. Journal of Clinical Medicine, 9(6), 1625. https://doi.org/10.3390/jcm9061625

