Sign in to use this feature.

Years

Between: -

Subjects

remove_circle_outline
remove_circle_outline
remove_circle_outline
remove_circle_outline
remove_circle_outline
remove_circle_outline
remove_circle_outline

Journals

Article Types

Countries / Regions

remove_circle_outline
remove_circle_outline
remove_circle_outline
remove_circle_outline
remove_circle_outline
remove_circle_outline

Search Results (231)

Search Parameters:
Keywords = ovarian development and maturation

Order results
Result details
Results per page
Select all
Export citation of selected articles as:
22 pages, 3445 KB  
Article
Decoding the Impacts of Mating Behavior on Ovarian Development in Mud Crab (Scylla paramamosain, Estampador 1949): Insights from SMRT RNA-seq
by Chenyang Wu, Sadek Md Abu, Xiyi Zhou, Yang Yu, Mhd Ikhwanuddin, Waqas Waqas and Hongyu Ma
Biology 2025, 14(10), 1362; https://doi.org/10.3390/biology14101362 (registering DOI) - 4 Oct 2025
Abstract
Pubertal molting represents a pivotal transition in the life cycle of crustaceans, marking the shift from somatic growth to reproductive development. In mud crabs, mating is known to facilitate this process, yet the molecular mechanisms remain poorly understood. Here, we applied full-length transcriptome [...] Read more.
Pubertal molting represents a pivotal transition in the life cycle of crustaceans, marking the shift from somatic growth to reproductive development. In mud crabs, mating is known to facilitate this process, yet the molecular mechanisms remain poorly understood. Here, we applied full-length transcriptome sequencing to characterize changes in gene expression and alternative splicing (AS) across post-mating ovarian development. AS analysis revealed extensive transcript diversity, predominantly alternative first exon (AF) and alternative 5′ splice site (A5) events, enriched in genes linked to chromatin remodeling, protein regulation, and metabolism, underscoring AS as a fine-tuning mechanism in ovarian development. Comparative analyses revealed profound molecular reprogramming after mating. In the UM vs. M1 comparison, pathways related to serotonin and catecholamine signaling were enriched, suggesting early neuroendocrine regulation. Serotonin likely promoted, while dopamine inhibited, oocyte maturation, indicating a potential “inhibition–activation” switch. In the UM vs. M3 comparison, pathways associated with oxidative phosphorylation, ATP biosynthesis, and lipid metabolism were upregulated, reflecting heightened energy demands during vitellogenesis. ECM-receptor interaction, HIF-1, and IL-17 signaling pathways further pointed to structural remodeling and tissue regulation. Enhanced antioxidant defenses, including upregulation of SOD2, CAT, GPX4, and GSTO1, highlighted the importance of redox homeostasis. Together, these findings provide the first comprehensive view of transcriptional and splicing dynamics underlying post-mating ovarian maturation in Scylla paramamosain, offering novel insights into the molecular basis of crustacean reproduction. Full article
(This article belongs to the Section Marine Biology)
Show Figures

Figure 1

15 pages, 1249 KB  
Review
Effects of Phytocannabinoids on Reproductive System and Prenatal Development: Mechanisms and Clinical Implications
by Michał Wesołowski, Aleksandra Sobaś, Kamil Biedka, Jakub Karwacki, Jakub Bulski, Katarzyna Błaszczyk, Kacper Żełabowski, Oliwia Ziobro, Filip Jacek Maj, Karol Sornat, Agata Estreicher, Anna Klasa, Andrzej Dłubak and Tadeusz Sebzda
J. Clin. Med. 2025, 14(18), 6494; https://doi.org/10.3390/jcm14186494 - 15 Sep 2025
Viewed by 642
Abstract
Cannabis is one of the most studied psychoactive substances due to its increasing prevalence and evolving legal status. Of particular concern is the rising consumption among young individuals, where excessive use may disrupt reproductive processes and pose long-term health risks to offspring. This [...] Read more.
Cannabis is one of the most studied psychoactive substances due to its increasing prevalence and evolving legal status. Of particular concern is the rising consumption among young individuals, where excessive use may disrupt reproductive processes and pose long-term health risks to offspring. This narrative review examines the effects of cannabis use on male and female reproductive health, including its impact on male fertility, the female reproductive system, placental function, and prenatal and postnatal outcomes, as well as fetal development. A nonsystematic review was conducted using PubMed, Scopus, Web of Science, and Google Scholar databases in November 2024. After screening titles and abstracts and the full-text analysis, 64 studies were included in this narrative review. In men, cannabinoids can interfere with spermatogenesis, reduce sperm motility and quality, and lower testosterone levels, as demonstrated in clinical and experimental studies. In women, cannabinoid-induced disorders include negative effects on ovarian follicle maturation, ovulation, placental function, and prenatal development. Prenatal exposure to cannabis is associated with the risk of reduced birth weight, birth defects, sudden infant death syndrome (SIDS) or lactation problems due to the penetration of cannabis metabolites into breast milk. The findings highlight the potential negative effects of cannabis on reproductive health and fetal development. Given these risks, individuals attempting to conceive, and pregnant women should be advised against cannabis use. Greater awareness is needed among healthcare professionals and the public regarding the reproductive risks associated with cannabis consumption. While the evidence on teratogenic effects is not always conclusive, caution should be exercised, and further research is essential to deepen the understanding of these effects. Full article
Show Figures

Figure 1

11 pages, 2657 KB  
Case Report
Ovarian Collision Tumor in a Pediatric Patient: A Mature Teratoma Associated with a Combined Tumor Containing a Mucinous Cystadenocarcinoma Component
by Dorotea Keretić, Ivan Petračić, Silvija Mašić Binder, Monika Ulamec, Andrea Plavec Živko, Jasminka Stepan Giljević, Aleksandra Bonevski, Dubravko Habek and Marko Bašković
J. Clin. Med. 2025, 14(18), 6387; https://doi.org/10.3390/jcm14186387 - 10 Sep 2025
Viewed by 357
Abstract
Background: Collision tumors, especially in the ovary, are a rare phenomenon where two distinct types of tumors develop adjacent to each other within the same organ but remain separate histologically. We present a case of the first collision ovarian tumor in a [...] Read more.
Background: Collision tumors, especially in the ovary, are a rare phenomenon where two distinct types of tumors develop adjacent to each other within the same organ but remain separate histologically. We present a case of the first collision ovarian tumor in a 14-year-old girl consisting of a combined tumor and a mature teratoma. Case Report: A 14-year-old girl presented with abdominal swelling for the past three months, without other symptoms. Ultrasound (US) examination of the abdomen revealed a large cystic mass with multiple septa, filling the entire abdomen from the diaphragm to the pelvis. Magnetic resonance imaging (MRI) showed an intraperitoneal mass, inseparable from the right ovary, measuring 22 cm × 13 cm × 30 cm. Serum tumor markers were within normal limits. The tumor mass was completely extirpated along with the fallopian tube. Histological and immunohistochemical analysis determined that it was a mucinous cystadenocarcinoma, characterized by a transition pattern from benign and borderline components to an adenocarcinoma component with a smaller mature teratoma. Six-month follow-up revealed no recurrence or postoperative complications. Conclusions: As the first documented case, this case provides valuable insights into pediatric ovarian neoplasms, guiding future diagnostic and therapeutic approaches. Full article
(This article belongs to the Section Clinical Pediatrics)
Show Figures

Figure 1

15 pages, 1345 KB  
Review
Choline-Mediated Regulation of Follicular Growth: Interplay Between Steroid Synthesis, Epigenetics, and Oocyte Development
by Wenfeng Liu, Xucheng Zheng, Haiming Yang and Zhiyue Wang
Biology 2025, 14(9), 1220; https://doi.org/10.3390/biology14091220 - 8 Sep 2025
Viewed by 359
Abstract
This review article focuses on the role of choline in ovarian follicular development, regulated by nutrient–epigenetic interactions. Choline, a key feed additive, participates in DNA methylation and steroid hormone synthesis via its methyl donor function. However, its role in follicular hierarchy and maturation [...] Read more.
This review article focuses on the role of choline in ovarian follicular development, regulated by nutrient–epigenetic interactions. Choline, a key feed additive, participates in DNA methylation and steroid hormone synthesis via its methyl donor function. However, its role in follicular hierarchy and maturation is unclear. Research lacks an understanding of species-specific choline metabolism, follicular fluid methylation dynamics, and toxicity thresholds. This study combines animal nutrition, epigenetics, and reproductive endocrinology. Using in vitro follicle culture models, metabolomics analysis, and cytochrome P450 family 19 subfamily A member 1 (CYP19a1) methylation site screening, it reveals that choline regulates follicle hierarchy through the betaine-S-adenosylmethionine (SAM) pathway. Proper dietary choline reduces homocysteine (HCY) and boosts CYP19a1 demethylation, enhancing theca cell estradiol (E2) production and accelerating follicle maturation. In contrast, inadequate or excessive choline causes mesoderm-specific transcript (MEST) gene methylation abnormalities or trimethylamine N-oxide (TMAO)-mediated β-oxidation inhibition, increasing follicle atresia. A phenomenon of steroidogenic factor 1 (SF-1) methylation has been observed in poultry, showing that choline affects offspring egg-laying persistence by altering the adrenal–ovarian axis DNA methylation imprint. Future research should establish a precise choline supply system based on the HCY/TMAO ratio in follicular fluid and the CYP19a1 methylation map to improve animal reproduction. Full article
Show Figures

Figure 1

13 pages, 468 KB  
Article
Age-Based Oocyte Yield in Elective Oocyte Cryopreservation: A Retrospective Cohort Study
by Ronit Machtinger, Atalia Tuval, Ariel Hammerman, Ettie Maman, Ravit Nahum, Raoul Orvieto, Meirav Noah Hirsh, Adva Aizer and Tomer Ziv Baran
Diagnostics 2025, 15(17), 2278; https://doi.org/10.3390/diagnostics15172278 - 8 Sep 2025
Viewed by 613
Abstract
Background: Demand for elective oocyte cryopreservation (OC) among healthy women delaying childbearing is rising worldwide. Yet, clinicians and patients often rely on limited or indirect evidence to predict age-specific mature oocyte yield. Robust, real-world benchmarks are needed to guide expectations, estimate live birth [...] Read more.
Background: Demand for elective oocyte cryopreservation (OC) among healthy women delaying childbearing is rising worldwide. Yet, clinicians and patients often rely on limited or indirect evidence to predict age-specific mature oocyte yield. Robust, real-world benchmarks are needed to guide expectations, estimate live birth potential, and optimize treatment planning. Methods: We retrospectively analyzed 400 healthy women aged 30–41 undergoing their first elective OC cycle between 2019 and 2023 at a large, university-affiliated fertility center. Exclusion criteria included infertility, polycystic ovary syndrome, prior ovarian surgery, and other medical indications for OC. All cycles used a standardized GnRH antagonist protocol with an initial gonadotropin dose of 300 IU/day. Only mature (metaphase II) oocytes were cryopreserved. Age-specific percentiles for total and mature oocyte yield were modeled using the General Additive Model for Location, Scale, and Shape (GAMLSS), and nomograms were developed. Results: Mean age was 35.7 years (SD 2.3). Median total and mature oocytes retrieved were 13 (IQR 9–19) and 10 (IQR 7–15), respectively. At the 50th percentile, women aged 30, 35, and 40 yielded 20, 14, and 9 total oocytes, with 15, 11, and 6 mature oocytes cryopreserved. Nomograms across percentiles illustrated a consistent, progressive decline in yield with advancing age. Conclusions: Age-based nomograms derived from real-world data can offer a clinically relevant tool to estimate the likely oocyte yield per cycle. They can help set realistic expectations, guide the number of cycles needed to meet fertility goals, and support evidence-based, shared decision-making in elective OC. Full article
(This article belongs to the Section Clinical Diagnosis and Prognosis)
Show Figures

Figure 1

15 pages, 2792 KB  
Article
A Comprehensive Analysis of Transcriptomics and Proteomics Elucidates the Cold-Adaptive Ovarian Development of Eriocheir sinensis Farmed in High-Altitude Karst Landform
by Qing Li, Yizhong Zhang and Lijuan Li
Genes 2025, 16(9), 1048; https://doi.org/10.3390/genes16091048 - 6 Sep 2025
Viewed by 599
Abstract
Background: In high-altitude regions, sporadic two-year-old immature Chinese mitten crabs (Eriocheir sinensis) would overwinter and mature in their third year, developing into three-year-old crabs (THCs) with a cold-adaptive strategy. Compared to two-year-old crabs (TWCs) from low-altitude Jiangsu, THCs from Karst landform [...] Read more.
Background: In high-altitude regions, sporadic two-year-old immature Chinese mitten crabs (Eriocheir sinensis) would overwinter and mature in their third year, developing into three-year-old crabs (THCs) with a cold-adaptive strategy. Compared to two-year-old crabs (TWCs) from low-altitude Jiangsu, THCs from Karst landform and high-altitude Guizhou exhibit significantly larger final size but lower gonadosomatic index (GSI) (p < 0.01). Methods: To elucidate the molecular mechanisms underlying this delayed ovarian development, integrated transcriptomic and proteomic analyses were conducted. Results: Results showed downregulation of PI3K-Akt and FoxO signaling pathways, as well as upregulation of protein digestion and absorption pathways. Differentially expressed proteins indicated alterations in mitochondrial energy transduction and nutrient assimilation. Integrated omics analysis revealed significant changes in nucleic acid metabolism, proteostasis, and stress response, indicating systemic reorganization in energy-nutrient coordination and developmental plasticity. Conclusions: The observed growth-reproductive inverse relationship reflects an adaptive life-history trade-off under chronic cold stress, whereby energy repartitioning prioritizes somatic growth over gonadal investment. Our transcriptomic and proteomic data further suggest a pivotal regulatory role for FOXO3 dephosphorylation in potentially coupling altered energy sensing to reproductive suppression. This inferred mechanism reveals a potential conserved pathway for environmental adaptation in crustaceans, warranting further functional validation. Full article
(This article belongs to the Section Molecular Genetics and Genomics)
Show Figures

Figure 1

16 pages, 3954 KB  
Article
Liposomal Doxorubicin, but Not Platinum-Taxane, Supports MHC-II Expression and Immune Maturation in the Ovarian Tumor Microenvironment
by Hyojae Lee, Xiao-Lei Chen, Duygu Ozmadenci, Elise Tahon, Terrance J. Haanan, Breana Hill, Safir Ullah Khan, Antonia Boyer, David D. Schlaepfer and Dwayne Stupack
Cancers 2025, 17(17), 2827; https://doi.org/10.3390/cancers17172827 - 29 Aug 2025
Viewed by 608
Abstract
Background: Ovarian cancer is an immunologically cold tumor that is treated with surgery and a chemotherapy regimen of platinum agents with taxanes. Paradoxically, elevated levels of several immune markers are effective at predicting prognosis for patients with ovarian cancer, though it is not [...] Read more.
Background: Ovarian cancer is an immunologically cold tumor that is treated with surgery and a chemotherapy regimen of platinum agents with taxanes. Paradoxically, elevated levels of several immune markers are effective at predicting prognosis for patients with ovarian cancer, though it is not clear how chemotherapy might influence this. Chemotherapy elicits immunogenic cell death, yet tumor-controlling doses of chemotherapy are also immunotoxic. Objectives: To evaluate interactions of chemotherapy with the immune system, we studied the impact of chemotherapy in an aggressive mouse model of ovarian cancer developed within our lab. Methods: Using a single-cell transcriptomics sequencing approach, supported by flow cytometry, we evaluated the influence of a first-line therapy, cisplatin and docetaxel, and a second-line therapy, pegylated liposomal doxorubicin (PLD), on control of tumor growth and on tumor-associated immune populations of cells. Results: Both chemotherapy approaches were effective at controlling tumor growth and selectively depleted tumor cells from distinct transcriptional clusters. Both chemotherapies also resulted in relative increases in immune populations compared to untreated tumor-bearing mice, but immune populations from PLD-treated mice were more abundant and expressed a greater fraction of maturity-associated transcripts and increased proportions of tumor resident macrophage populations. PLD treatment selectively upregulated MHC class II on tumor cells, and this could be replicated in vitro across ovarian cancer cell lines and in patient tumor cells ex vivo. Conclusions: Altogether, the results support the notion that PLD has a greater capacity for immunopotentiation, which may be important to consider if immunotherapy approaches are adapted for ovarian tumors in the future. Full article
(This article belongs to the Section Cancer Therapy)
Show Figures

Graphical abstract

11 pages, 7078 KB  
Article
Proteasome Subunits Regulate Reproduction in Nilaparvata lugens and the Transovarial Transmission of Its Yeast-like Symbionts
by Xin Lv, Jia-Yu Tu, Qian Liu, Zhi-Qiang Wu, Chen Lin, Tao Zhou, Xiao-Ping Yu and Yi-Peng Xu
Insects 2025, 16(9), 895; https://doi.org/10.3390/insects16090895 - 27 Aug 2025
Viewed by 612
Abstract
The brown planthopper, Nilaparvata lugens, a major rice pest, harbors yeast-like symbionts (YLSs) that form mutualistic relationships with the host, significantly influencing its development and reproduction. As proteasome subunits play major roles in the assembly and functional maintenance of the proteasome, but [...] Read more.
The brown planthopper, Nilaparvata lugens, a major rice pest, harbors yeast-like symbionts (YLSs) that form mutualistic relationships with the host, significantly influencing its development and reproduction. As proteasome subunits play major roles in the assembly and functional maintenance of the proteasome, but their regulation on the YLSs in N. lugens are unclear. In this study, we analyzed the spatiotemporal and temporal expression patterns of five N. lugens proteasome subunits (NlPSMA2, NlPSMB5, NlPSMC4, NlPSMD10, NlPSMD13), and further verified their functions on the transovarial transmission of YLSs, in addition to the reproduction of N. lugens, based on RNA interference (RNAi). The results showed that NlPSMA2, NlPSMB5, NlPSMC4, NlPSMD10, and NlPSMD13 were highly expressed in ovarian follicular cells of N. lugens upon sexual maturation. After suppressing the expression of these genes by RNAi, N. lugens exhibited a shortened lifespan, abnormal pear-shaped follicles, and impaired oviposition capacity, but the number of YLSs in the whole body and the oocyte of N. lugens were significantly increased. These results indicate that the proteasome subunits play crucial roles in the reproduction of N. lugens and the transovarial transmission of its YLSs. Full article
(This article belongs to the Section Insect Physiology, Reproduction and Development)
Show Figures

Figure 1

35 pages, 19403 KB  
Article
Effects of Temperature and Salinity on Ovarian Development and Differences in Energy Metabolism Between Reproduction and Growth During Ovarian Development in the Lateolabrax maculatus
by Yangtao Peng, Lulu Yan, Chao Zhao, Bo Zhang, Bo Zhang and Lihua Qiu
Int. J. Mol. Sci. 2025, 26(17), 8295; https://doi.org/10.3390/ijms26178295 - 27 Aug 2025
Viewed by 747
Abstract
Fish reproduction requires suitable salinity and temperature, as well as sufficient energy. This study investigated temperature and salinity effects on ovarian development of Lateolabrax maculatus and energy metabolism differences between reproduction and growth. Two salinities (4‰ and 30‰) and temperatures (18 ± 1 [...] Read more.
Fish reproduction requires suitable salinity and temperature, as well as sufficient energy. This study investigated temperature and salinity effects on ovarian development of Lateolabrax maculatus and energy metabolism differences between reproduction and growth. Two salinities (4‰ and 30‰) and temperatures (18 ± 1 °C and 30 ± 1 °C) formed four treatments: SWNT (30‰, 30 ± 1 °C), SWLT (30‰, 18 ± 1 °C), FWLT (4‰, 18 ± 1 °C), and FWNT (4‰, 30 ± 1 °C). GSI and sex hormones (FSH, LH, E2, and 17α,20β-DHP) were measured. Transcriptome analysis explored how temperature and salinity regulate ovarian development in L. maculatus, while integrated transcriptomic and targeted energy metabolomic analyses revealed energy metabolism differences between ovary and muscle during this process. The results showed that low salinity (4‰) and low temperature (18 ± 1 °C) synergistically promoted ovarian development in the FWLT group, as indicated by a significant increase in GSI and elevated levels of key sex hormones (FSH, LH, E2, and 17α,20β-DHP). Transcriptome analysis showed that low temperature activated pathways involved in steroidogenesis, oocyte maturation, and meiosis, and genes such as ADCY6, PRKACB, CPEB4, FZD7-A, and CCND2 were significantly upregulated. Salinity changes mainly affected amino acid metabolism, cholesterol metabolism, and the insulin signaling pathway. Genes such as PCSK9 and CKM may regulate ovarian development by regulating hormone synthesis and energy metabolism. Comprehensive transcriptome and metabolome analyses show that glycolysis is downregulated and oxidative phosphorylation is upregulated in the ovary, suggesting that ovarian oogenesis tends to be energized by aerobic metabolism. The TCA cycle may be used more for providing biosynthetic precursors and facilitating the transport of substrates between the mitochondrion and the cytoplasm rather than just as a source of ATP. Muscle tissue relies primarily on glycolysis for rapid energy production and may redistribute energy to the gonads, prioritizing the energy needs of the ovaries and contributing to the dynamic balance between reproduction and growth. This study provides insights into the molecular mechanisms of how environmental factors regulate fish reproduction, providing a theoretical basis and potential molecular targets for the regulation of reproduction and optimization of aquaculture environments. Full article
(This article belongs to the Section Molecular Biology)
Show Figures

Figure 1

21 pages, 2581 KB  
Review
Post-Translational Modifications in Mammalian Folliculogenesis and Ovarian Pathologies
by Dake Chen, Yue Feng, Junjing Wu, Jiawei Zhou, Zipeng Li, Mu Qiao, Tong Chen, Zhong Xu, Xianwen Peng and Shuqi Mei
Cells 2025, 14(16), 1292; https://doi.org/10.3390/cells14161292 - 20 Aug 2025
Viewed by 891
Abstract
Post-translational modifications (PTMs) of proteins, as the core mechanism for dynamically regulating follicular development, affect the maintenance of mammalian fertility by precisely coordinating granulosa cell–oocyte interaction, metabolic reprogramming, and epigenetic remodeling. Dysregulation of these modifications directly contributes to major reproductive diseases, including polycystic [...] Read more.
Post-translational modifications (PTMs) of proteins, as the core mechanism for dynamically regulating follicular development, affect the maintenance of mammalian fertility by precisely coordinating granulosa cell–oocyte interaction, metabolic reprogramming, and epigenetic remodeling. Dysregulation of these modifications directly contributes to major reproductive diseases, including polycystic ovary syndrome (PCOS) and premature ovarian insufficiency (POI). Post-translational modifications regulate follicular development through intricate mechanisms. Thus, this review systematically synthesizes recent advances in PTMs, encompassing traditional ones such as phosphorylation, ubiquitination, and acetylation, alongside emerging modifications including lactylation, SUMOylation, and ISGylation, thereby constructing a more comprehensive PTM landscape of follicular development. Furthermore, this study dissects the molecular interaction networks of these PTMs during follicular activation, maturation, and ovulation, and uncovers the common mechanisms through which PTM dysregulation contributes to pathological conditions, including hyperandrogenism in PCOS and follicular depletion in POI. Finally, this review ultimately provides a theoretical basis for improving livestock reproductive efficiency and precise intervention in clinical ovarian diseases. Full article
Show Figures

Figure 1

13 pages, 2845 KB  
Article
Transplantation of Tissue from Native and Cryopreserved Pekin Duck Ovaries to Mulard Ducks with Study of Hormonal Changes After Grafting
by Kitti Buda, Barbara Vegi, Eva Kissne Varadi, Arpad Drobnyak, Eva Török, Zsuzsa Szabo, Bianka Babarczi, Istvan Lehoczky and Krisztina Liptoi
Animals 2025, 15(16), 2401; https://doi.org/10.3390/ani15162401 - 15 Aug 2025
Viewed by 279
Abstract
Orthotopic transplantation of ovarian tissue at one day of age is a promising solution for preserving female genetic material in avian species; using sterile recipients can ensure that all offspring are donor-derived. This study focuses on the suitability of the Mulard duck as [...] Read more.
Orthotopic transplantation of ovarian tissue at one day of age is a promising solution for preserving female genetic material in avian species; using sterile recipients can ensure that all offspring are donor-derived. This study focuses on the suitability of the Mulard duck as a sterile recipient for Pekin duck donors and provides an investigation of the hormonal background. Firstly, native Pekin ovarian tissue was grafted into Mulard duck recipients, resulting in a 40% adhesion rate and follicular development in 50% of the adhered grafts. Secondly, the transplantation of cryopreserved ovarian tissue resulted in a 66% adhesion rate, with 33% of the adhered grafts showing follicular development. Ovulation occurred in 16% of the recipients with adhered grafts, but the eggs did not move into the oviduct. Estrogen levels were elevated in the recipients with adherence but were lower than in the control Pekin group, while progesterone levels remained unchanged. Consequently, recipients received buserelin acetate, a GnRH analogue, to stimulate follicular and oviductal activity. In this group, graft adhesion occurred in 31% of animals, and primordial follicle development in 25%. The hormonal levels of the recipients with adhered ovaries were elevated, but the GnRH analogue treatment did not affect the ovulation process. We conclude that while the Mulard duck shows potential as a sterile recipient in ovarian transplantation, several questions remain unanswered regarding the adequacy of follicular maturation and ovulation. Full article
(This article belongs to the Section Animal Reproduction)
Show Figures

Figure 1

17 pages, 1696 KB  
Review
Reproductive Challenges in Ruminants Under Heat Stress: A Review of Follicular, Oocyte, and Embryonic Responses
by Danisvânia Ripardo Nascimento, Venância Antonia Nunes Azevedo, Regislane Pinto Ribeiro, Gabrielle de Oliveira Ximenes, Andreza de Aguiar Silva, Efigênia Cordeiro Barbalho, Laryssa Gondim Barrozo, Sueline Cavalcante Chaves, Maria Samires Martins Castro, Erica Costa Marcelino, Leopoldo Rugieri Carvalho Vaz da Silva, André Mariano Batista and José Roberto Viana Silva
Animals 2025, 15(15), 2296; https://doi.org/10.3390/ani15152296 - 6 Aug 2025
Viewed by 745
Abstract
This review aims to discuss how heat stress affects ovarian follicles and oocytes, steroidogenesis, and embryo development in ruminants. The literature shows that quiescent primordial follicles appear to be less susceptible to heat stress, but from the primary follicle stage onwards, they begin [...] Read more.
This review aims to discuss how heat stress affects ovarian follicles and oocytes, steroidogenesis, and embryo development in ruminants. The literature shows that quiescent primordial follicles appear to be less susceptible to heat stress, but from the primary follicle stage onwards, they begin to suffer the consequences of heat stress. These adverse effects are exacerbated when the follicles are cultured in vitro. In antral follicles, heat stress reduces granulosa cell viability and proliferation in both in vivo and in vitro models. Oocyte maturation, both nuclear and cytoplasmic, is also compromised, and embryo quality declines under elevated thermal conditions. These effects are linked to intracellular disturbances, including oxidative imbalance, mitochondrial dysfunction, and altered hormonal signaling. The differences between in vivo and in vitro responses reflect the complexity of the biological impact of heat stress and emphasize the protective role of the physiological microenvironment. A better understanding of how heat stress alters the function of ovarian follicles, oocytes, and embryos is crucial. This knowledge is critical to devise effective strategies that mitigate damage, support fertility, and improve outcomes in assisted reproduction for livestock exposed to high environmental temperatures. Full article
Show Figures

Figure 1

25 pages, 3822 KB  
Article
Comparative Transcriptome and MicroRNA Profiles of Equine Mesenchymal Stem Cells, Fibroblasts, and Their Extracellular Vesicles
by Sebastian Sawicki, Monika Bugno-Poniewierska, Jakub Żurowski, Tomasz Szmatoła, Ewelina Semik-Gurgul, Michał Bochenek, Elżbieta Karnas and Artur Gurgul
Genes 2025, 16(8), 936; https://doi.org/10.3390/genes16080936 - 5 Aug 2025
Viewed by 1424
Abstract
Background: Mesenchymal stem cells (MSCs) are a promising tool in regenerative medicine due to their ability to secrete paracrine factors that modulate tissue repair. Extracellular vesicles (EVs) released by MSCs contain bioactive molecules (e.g., mRNAs, miRNAs, proteins) and play a key role in [...] Read more.
Background: Mesenchymal stem cells (MSCs) are a promising tool in regenerative medicine due to their ability to secrete paracrine factors that modulate tissue repair. Extracellular vesicles (EVs) released by MSCs contain bioactive molecules (e.g., mRNAs, miRNAs, proteins) and play a key role in intercellular communication. Methods: This study compared the transcriptomic profiles (mRNA and miRNA) of equine MSCs derived from adipose tissue (AT-MSCs), bone marrow (BM-MSCs), and ovarian fibroblasts (as a differentiated control). Additionally, miRNAs present in EVs secreted by these cells were characterized using next-generation sequencing. Results: All cell types met ISCT criteria for MSCs, including CD90 expression, lack of MHC II, trilineage differentiation, and adherence. EVs were isolated using ultracentrifugation and validated with nanoparticle tracking analysis and flow cytometry (CD63, CD81). Differential expression analysis revealed distinct mRNA and miRNA profiles across cell types and their secreted EVs, correlating with tissue origin. BM-MSCs showed unique regulation of genes linked to early development and osteogenesis. EVs contained diverse RNA species, including miRNA, mRNA, lncRNA, rRNA, and others. In total, 227 and 256 mature miRNAs were detected in BM-MSCs and AT-MSCs, respectively, including two novel miRNAs per MSC type. Fibroblasts expressed 209 mature miRNAs, including one novel miRNA also found in MSCs. Compared to fibroblasts, 60 and 92 differentially expressed miRNAs were identified in AT-MSCs and BM-MSCs, respectively. Conclusions: The results indicate that MSC tissue origin influences both transcriptomic profiles and EV miRNA content, which may help to interpret their therapeutic potential. Identifying key mRNAs and miRNAs could aid in future optimizing of MSC-based therapies in horses. Full article
(This article belongs to the Section Animal Genetics and Genomics)
Show Figures

Figure 1

7 pages, 1853 KB  
Interesting Images
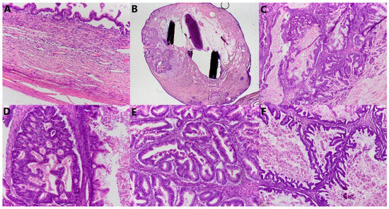
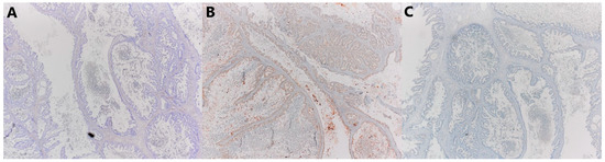
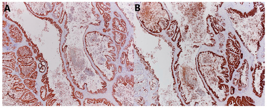
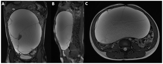
Mucinous Carcinoma, Mucinous Borderline Tumor and Pseudomyxoma Ovarii in a Cystic Teratoma: A Histological Conundrum
by Cinzia Giacometti, Mariateresa Mirandola, Camillo Aliberti, Filippo Molinari, Lisa Marcolini, Daniele Mautone and Guido Martignoni
Diagnostics 2025, 15(15), 1957; https://doi.org/10.3390/diagnostics15151957 - 4 Aug 2025
Viewed by 648
Abstract
Mature teratomas account for approximately 20% of all ovarian tumors identified in pathological studies. Benign or malignant somatic neoplasms developing within teratomas can arise from any tissue in up to 2% of mature cystic teratomas, including low-grade malignant mucinous neoplasms. This report presents [...] Read more.
Mature teratomas account for approximately 20% of all ovarian tumors identified in pathological studies. Benign or malignant somatic neoplasms developing within teratomas can arise from any tissue in up to 2% of mature cystic teratomas, including low-grade malignant mucinous neoplasms. This report presents the case of a 34-year-old woman with no previous gynecological or general health issues, who was admitted to our Hospital after an asymptomatic pelvic mass was detected during a routine exam. A transvaginal ultrasound revealed a unilateral pelvic mass in the left adnexal region, measuring 8 cm. The CT scan showed a cystic-appearing formation measuring nearly 12 cm, which indented the bladder dome. Final diagnosis indicated a mucinous carcinoma arising from a mucinous borderline lesion within the context of a mature ovarian teratoma. No other involvement or lymphadenopathies were detected on 18FDG-PET CT scan, and the patient is now well and free of recurrences. Full article
(This article belongs to the Special Issue Pathology and Diagnosis of Gynecologic Diseases, 3rd Edition)
Show Figures

Figure 1

22 pages, 5939 KB  
Article
Single-Nucleus Transcriptome Sequencing Unravels Physiological Differences in Holstein Cows Under Different Physiological States
by Peipei Li, Yaqiang Guo, Yanchun Bao, Caixia Shi, Lin Zhu, Mingjuan Gu, Risu Na and Wenguang Zhang
Genes 2025, 16(8), 931; https://doi.org/10.3390/genes16080931 - 3 Aug 2025
Viewed by 551
Abstract
Background: Against the backdrop of the large-scale and intensive development of the livestock industry, enhancing the reproductive efficiency of cattle has become a crucial factor in industrial development. Holstein cows, as the most predominant dairy cattle breed globally, are characterized by high milk [...] Read more.
Background: Against the backdrop of the large-scale and intensive development of the livestock industry, enhancing the reproductive efficiency of cattle has become a crucial factor in industrial development. Holstein cows, as the most predominant dairy cattle breed globally, are characterized by high milk yield and excellent milk quality. However, their reproductive efficiency is comprehensively influenced by a variety of complex factors, and improving their reproductive performance faces numerous challenges. The ovary, as the core organ of the female reproductive system, plays a decisive role in embryonic development and pregnancy maintenance. It is not only the site where eggs are produced and developed but it also regulates the cow’s estrous cycle, ovulation process, and the establishment and maintenance of pregnancy by secreting various hormones. The normal functioning of the ovary is crucial for the smooth development of the embryo and the successful maintenance of pregnancy. Methods: Currently, traditional sequencing technologies have obvious limitations in deciphering ovarian function and reproductive regulatory mechanisms. To overcome the bottlenecks of traditional sequencing technologies, this study selected Holstein cows as the research subjects. Ovarian samples were collected from one pregnant and one non-pregnant Holstein cow, and single-nucleus transcriptome sequencing technology was used to conduct an in-depth study on the ovarian cells of Holstein cows. Results: By constructing a cell type-specific molecular atlas of the ovaries, nine different cell types were successfully identified. This study compared the proportions of ovarian cell types under different physiological states and found that the proportion of endothelial cells decreased during pregnancy, while the proportions of granulosa cells and luteal cells increased significantly. In terms of functional enrichment analysis, oocytes during both pregnancy and non-pregnancy play roles in the “cell cycle” and “homologous recombination” pathways. However, non-pregnant oocytes are also involved in the “progesterone-mediated oocyte maturation” pathway. Luteal cells during pregnancy mainly function in the “cortisol synthesis and secretion” and “ovarian steroidogenesis” pathways; non-pregnant luteal cells are mainly enriched in pathway processes such as the “AMPK signaling pathway”, “pyrimidine metabolism”, and “nucleotide metabolism”. Cell communication analysis reveals that there are 51 signaling pathways involved in the pregnant ovary, with endothelial cells, granulosa cells, and luteal cells serving as the core communication hubs. In the non-pregnant ovary, there are 48 pathways, and the interaction between endothelial cells and stromal cells is the dominant mode. Conclusions: This study provides new insights into the regulatory mechanisms of reproductive efficiency in Holstein cows. The differences in the proportions of ovarian cell types, functional pathways, and cell communication patterns under different physiological states, especially the increase in the proportions of granulosa cells and luteal cells during pregnancy and the specificity of related functional pathways, indicate that these cells play a crucial role in the reproductive process of cows. These findings also highlight the importance of ovarian cells in pathways such as “cell cycle”, “homologous recombination”, and “progesterone-mediated oocyte maturation”, as well as the cell communication mechanisms in regulating ovarian function and reproductive performance. Full article
(This article belongs to the Section Animal Genetics and Genomics)
Show Figures

Figure 1

Back to TopTop