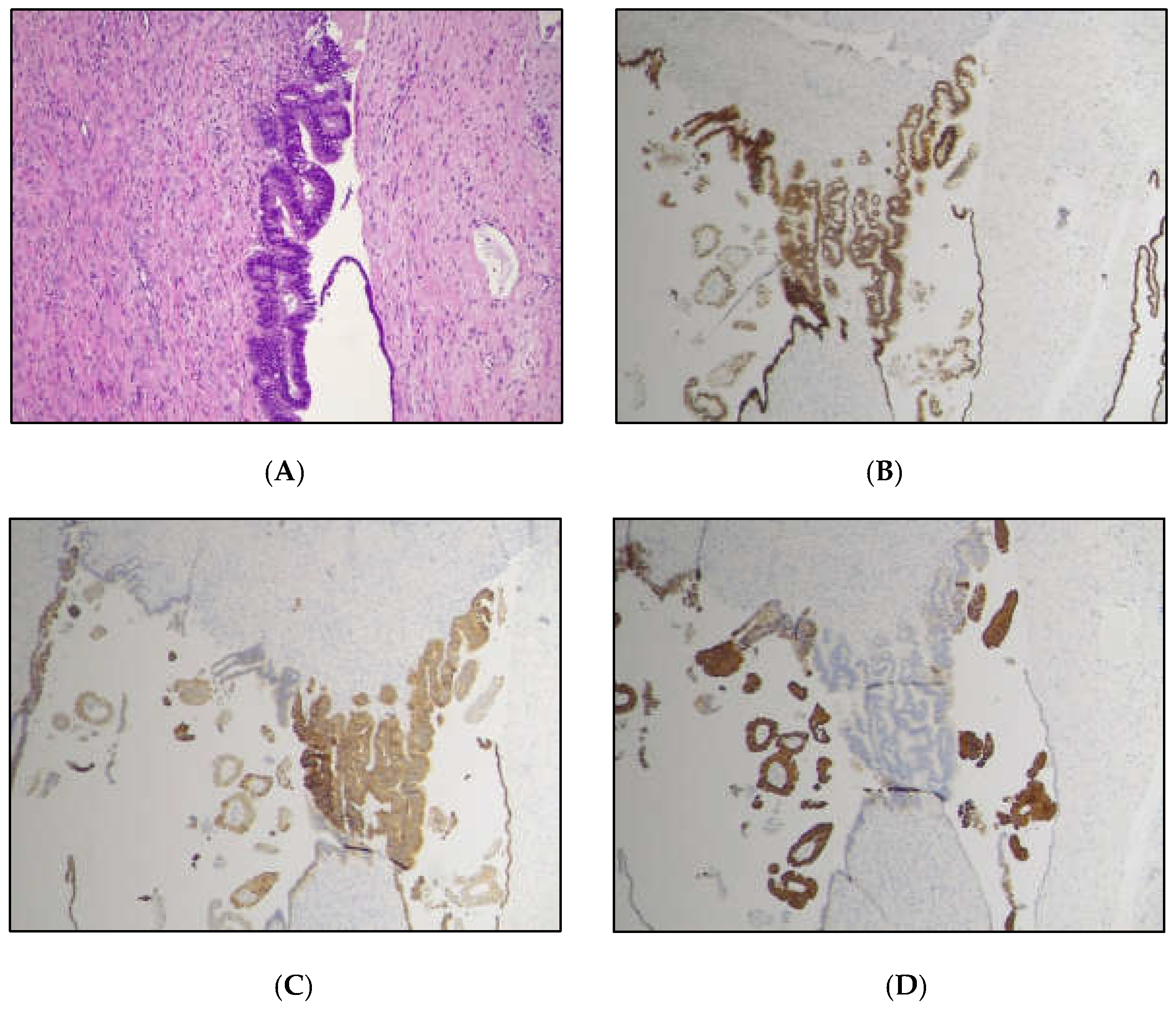
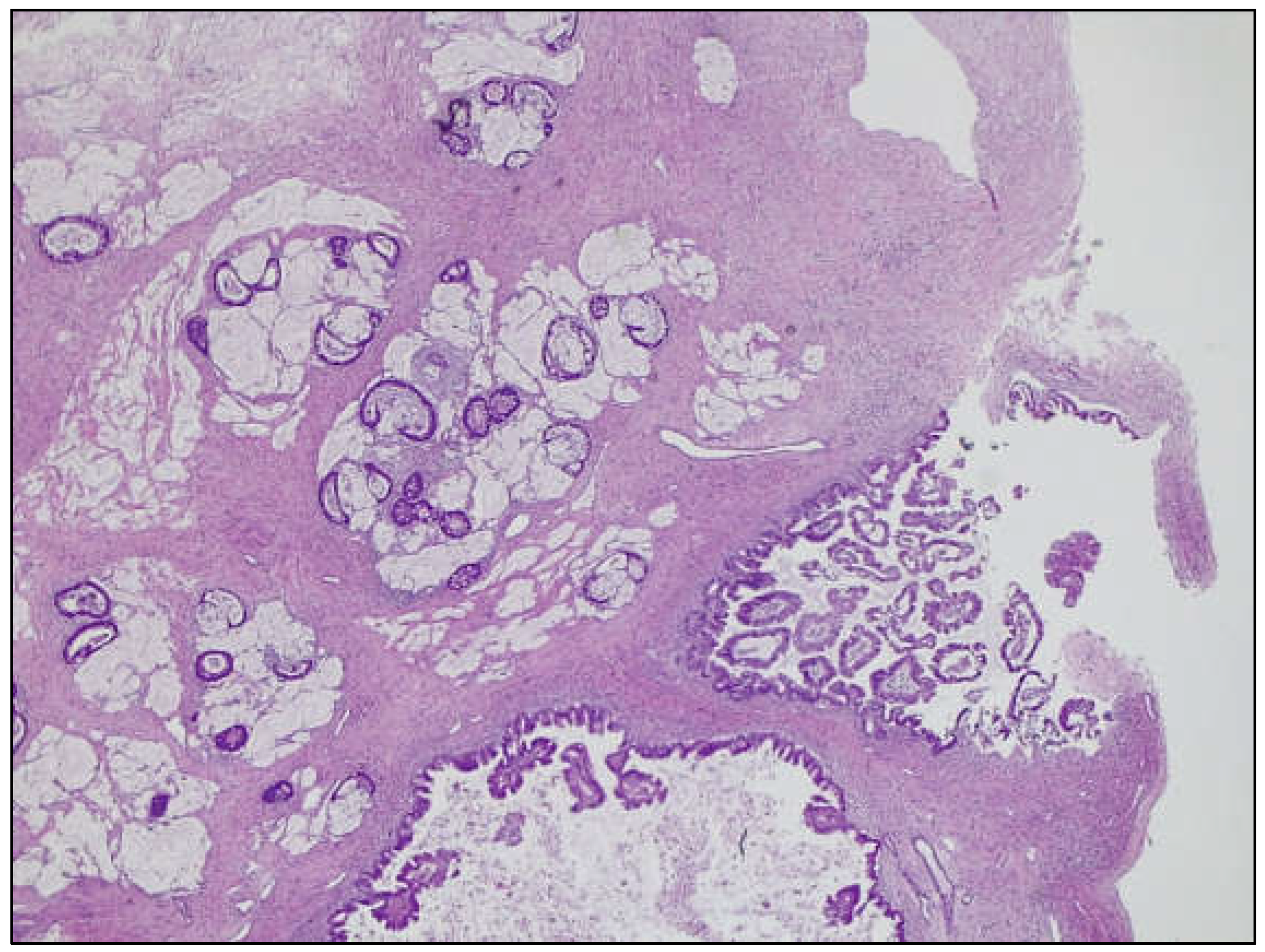
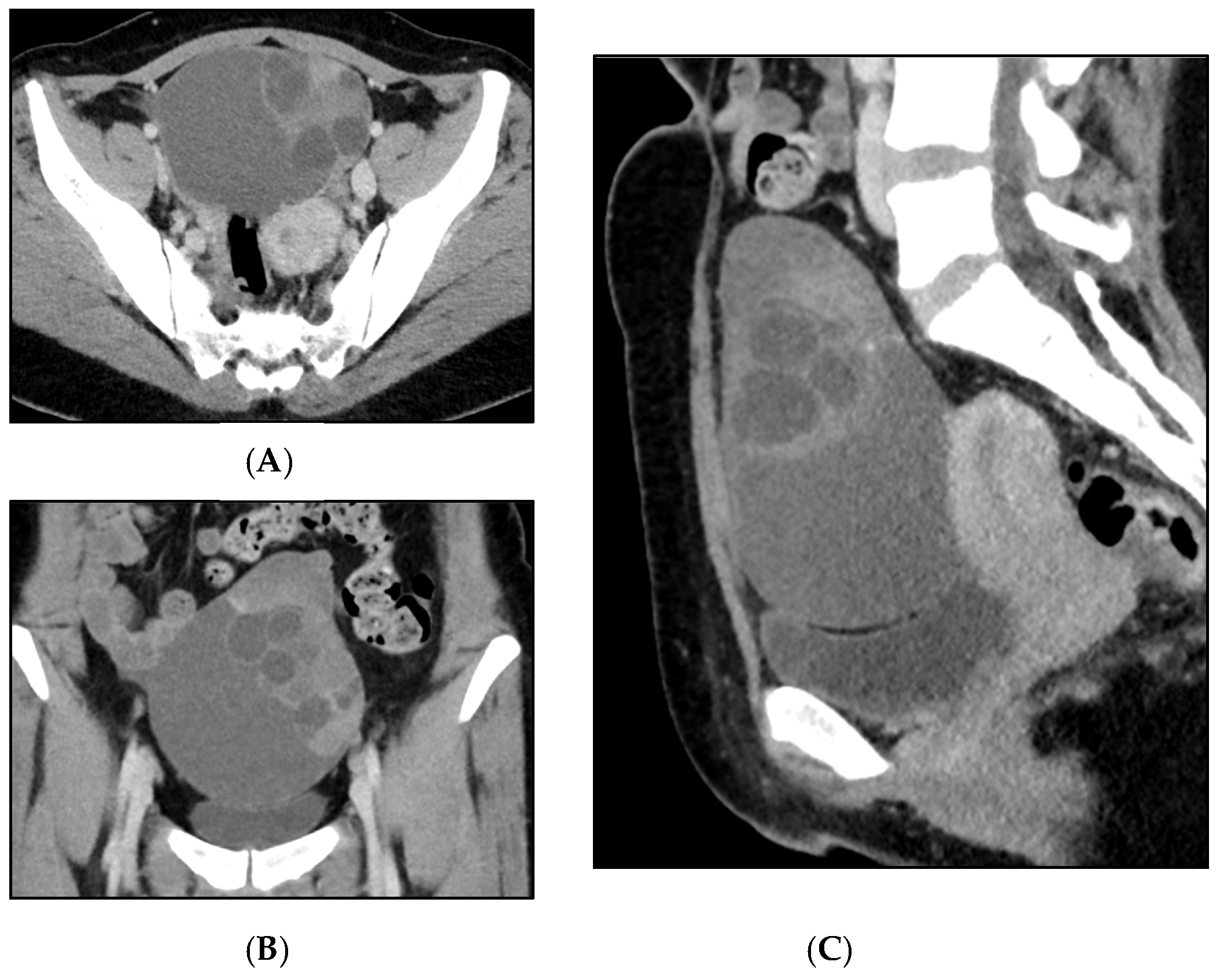
Mucinous Carcinoma, Mucinous Borderline Tumor and Pseudomyxoma Ovarii in a Cystic Teratoma: A Histological Conundrum
Abstract






Supplementary Materials
Author Contributions
Funding
Institutional Review Board Statement
Informed Consent Statement
Conflicts of Interest
References
- Ramalingam, P.; Marques-Piubelli, M.L.; Alvarado-Cabrero, I.; Montiel, M.D.P.; Tandon, N.; Euscher, E.D.; Malpica, A. Mucinous neoplasms associated with mature cystic teratomas: A clinicopathologic study of 50 cases: Are we ready for nomenclature change? Ann. Diagn. Pathol. 2025, 78, 152494. [Google Scholar] [CrossRef] [PubMed]
- Atwi, D.; Kamal, M.; Quinton, M.; Hassell, L.A. Malignant transformation of mature cystic teratoma of the ovary. J. Obstet. Gynaecol. Res. 2022, 48, 3068–3076. [Google Scholar] [CrossRef] [PubMed]
- Li, C.; Zhang, Q.; Zhang, S.; Dong, R.; Sun, C.; Qiu, C.; Zhang, Z.; Yang, X.; Kong, B. Squamous cell carcinoma transformation in mature cystic teratoma of the ovary: A systematic review. BMC Cancer 2019, 19, 217. [Google Scholar] [CrossRef] [PubMed]
- Cooke, S.L.; Ennis, D.; Evers, L.; Dowson, S.; Chan, M.Y.; Paul, J.; Hirschowitz, L.; Glasspool, R.M.; Singh, N.; Bell, S.; et al. The Driver Mutational Landscape of Ovarian Squamous Cell Carcinomas Arising in Mature Cystic Teratoma. Clin. Cancer Res. 2017, 23, 7633–7640. [Google Scholar] [CrossRef] [PubMed]
- Chao, A.; Lai, C.H.; Chao, A.S.; Lin, C.Y.; Wang, Y.C.; Huang, H.J.; Wu, R.C. Molecular characterization of ovarian squamous cell carcinoma originating from mature teratoma. J. Mol. Med. 2025, 103, 101–111. [Google Scholar] [CrossRef] [PubMed]
- Choi, W.K.; Lee, D.H.; Cho, D.H.; Jang, K.Y.; Kim, K.M. Primary malignant melanoma arising from ruptured ovarian mature cystic teratoma with elevated serum CA 19-9: A case report and review of literature. BMC Womens Health 2019, 19, 149. [Google Scholar] [CrossRef] [PubMed]
- Murray, J.; McIlwaine, P.; Morrison, P.J.; McCluggage, W.G. Sebaceous Carcinoma Arising in Ovarian Teratoma: First Report Associated With Germline Mismatch Repair Gene Mutation. Int. J. Gynecol. Pathol. 2022, 41, 608–614. [Google Scholar] [CrossRef] [PubMed]
- Balakrishnan, R.; Oren, N.C.; Kertowidjojo, E.C. Low-grade mucinous neoplasm arising from mature ovarian teratoma with pseudomyxoma peritonei. Int. J. Gynecol. Cancer 2023, 33, 1005–1006. [Google Scholar] [CrossRef] [PubMed]
- Vang, R.; Gown, A.M.; Zhao, C.; Barry, T.S.; Isacson, C.; Richardson, M.S.; Ronnett, B.M. Ovarian mucinous tumors associated with mature cystic teratomas: Morphologic and immunohistochemical analysis identifies a subset of potential teratomatous origin that shares features of lower gastrointestinal tract mucinous tumors more commonly encountered as secondary tumors in the ovary. Am. J. Surg. Pathol. 2007, 31, 854–869. [Google Scholar] [CrossRef] [PubMed]
- Ronnett, B.M.; Seidman, J.D. Mucinous tumors arising in ovarian mature cystic teratomas: Relationship to the clinical syndrome of pseudomyxoma peritonei. Am. J. Surg. Pathol. 2003, 27, 650–657. [Google Scholar] [CrossRef] [PubMed]
- Simons, M.; Simmer, F.; Bulten, J.; Ligtenberg, M.J.; Hollema, H.; van Vliet, S.; de Voer, R.M.; Kamping, E.J.; van Essen, D.F.; Ylstra, B.; et al. Two types of primary mucinous ovarian tumors can be distinguished based on their origin. Mod. Pathol. 2020, 33, 722–733. [Google Scholar] [CrossRef] [PubMed]
- Stewart, C.J.; Ardakani, N.M.; Doherty, D.A.; Young, R.H. An evaluation of the morphologic features of low-grade mucinous neoplasms of the appendix metastatic in the ovary, and comparison with primary ovarian mucinous tumors. Int. J. Gynecol. Pathol. 2014, 33, 1–10. [Google Scholar] [CrossRef] [PubMed]
- Stewart, C.J.; Tsukamoto, T.; Cooke, B.; Leung, Y.C.; Hammond, I.G. Ovarian mucinous tumour arising in mature cystic teratoma and associated with pseudomyxoma peritonei: Report of two cases and comparison with ovarian involvement by low-grade appendiceal mucinous tumour. Pathology 2006, 38, 534–538. [Google Scholar] [CrossRef] [PubMed]
- Ledermann, J.; Matias-Guiu, X.; Amant, F.; Concin, N.; Davidson, B.; Fotopoulou, C.; González-Martin, A.; Gourley, C.; Leary, A.; Lorusso, D.; et al. ESGO-ESMO-ESP consensus conference recommendations on ovarian cancer: Pathology and molecular biology and early, advanced and recurrent disease. Ann. Oncol. 2024, 35, 248–266. [Google Scholar] [CrossRef] [PubMed]
- Timmerman, D.; Planchamp, F.; Bourne, T.; Landolfo, C.; du Bois, A.; Chiva, L.; Cibula, D.; Concin, N.; Fischerova, D.; Froyman, W.; et al. ESGO/ISUOG/IOTA/ESGE Consensus Statement on pre-operative diagnosis of ovarian tumors. Int. J. Gynecol. Cancer 2021, 31, 961–982. [Google Scholar] [CrossRef] [PubMed]
- Nucci, M.R.; Oliva, E. Gynecological, 3rd ed.; Elsevier: Amsterdam, The Netherlands, 2024. [Google Scholar]
- Ionescu, S.; Marincas, M.; Madge, O.L.; Dicu-Andreescu, I.G.; Chitoran, E.; Rotaru, V.; Cirimbei, C.; Gherghe, M.; Ene, A.; Rosca, R.; et al. Ovarian Causes of Pseudomyxoma Peritonei (PMP)—A Literature Review. Cancers 2024, 16, 1446. [Google Scholar] [CrossRef] [PubMed]
- Kim, N.R.; Ha, S.Y.; Shin, J.W.; Lim, S.; Park, C.Y.; Cho, H.Y. Primary ovarian mixed strumal and mucinous carcinoid arising in an ovarian mature cystic teratoma. J. Obs. Gynaecol. Res. 2016, 42, 211–216. [Google Scholar] [CrossRef] [PubMed]
- Morice, P.; Scambia, G.; Abu-Rustum, N.R.; Acien, M.; Arena, A.; Brucker, S.; Cheong, Y.; Collinet, P.; Fanfani, F.; Filippi, F.; et al. Fertility-sparing treatment and follow-up in patients with cervical cancer, ovarian cancer, and borderline ovarian tumours: Guidelines from ESGO, ESHRE, and ESGE. Lancet Oncol. 2024, 25, e602–e610. [Google Scholar] [CrossRef] [PubMed]
Disclaimer/Publisher’s Note: The statements, opinions and data contained in all publications are solely those of the individual author(s) and contributor(s) and not of MDPI and/or the editor(s). MDPI and/or the editor(s) disclaim responsibility for any injury to people or property resulting from any ideas, methods, instructions or products referred to in the content. |
© 2025 by the authors. Licensee MDPI, Basel, Switzerland. This article is an open access article distributed under the terms and conditions of the Creative Commons Attribution (CC BY) license (https://creativecommons.org/licenses/by/4.0/).
Share and Cite
Giacometti, C.; Mirandola, M.; Aliberti, C.; Molinari, F.; Marcolini, L.; Mautone, D.; Martignoni, G. Mucinous Carcinoma, Mucinous Borderline Tumor and Pseudomyxoma Ovarii in a Cystic Teratoma: A Histological Conundrum. Diagnostics 2025, 15, 1957. https://doi.org/10.3390/diagnostics15151957
Giacometti C, Mirandola M, Aliberti C, Molinari F, Marcolini L, Mautone D, Martignoni G. Mucinous Carcinoma, Mucinous Borderline Tumor and Pseudomyxoma Ovarii in a Cystic Teratoma: A Histological Conundrum. Diagnostics. 2025; 15(15):1957. https://doi.org/10.3390/diagnostics15151957
Chicago/Turabian StyleGiacometti, Cinzia, Mariateresa Mirandola, Camillo Aliberti, Filippo Molinari, Lisa Marcolini, Daniele Mautone, and Guido Martignoni. 2025. "Mucinous Carcinoma, Mucinous Borderline Tumor and Pseudomyxoma Ovarii in a Cystic Teratoma: A Histological Conundrum" Diagnostics 15, no. 15: 1957. https://doi.org/10.3390/diagnostics15151957
APA StyleGiacometti, C., Mirandola, M., Aliberti, C., Molinari, F., Marcolini, L., Mautone, D., & Martignoni, G. (2025). Mucinous Carcinoma, Mucinous Borderline Tumor and Pseudomyxoma Ovarii in a Cystic Teratoma: A Histological Conundrum. Diagnostics, 15(15), 1957. https://doi.org/10.3390/diagnostics15151957

