Sign in to use this feature.

Years

Between: -

Subjects

remove_circle_outline
remove_circle_outline
remove_circle_outline
remove_circle_outline
remove_circle_outline
remove_circle_outline
remove_circle_outline

Journals

remove_circle_outline
remove_circle_outline
remove_circle_outline
remove_circle_outline
remove_circle_outline
remove_circle_outline
remove_circle_outline

Article Types

Countries / Regions

remove_circle_outline
remove_circle_outline
remove_circle_outline
remove_circle_outline
remove_circle_outline
remove_circle_outline
remove_circle_outline

Search Results (444)

Search Parameters:
Keywords = neurodevelopmental abnormality

Order results
Result details
Results per page
Select all
Export citation of selected articles as:
18 pages, 1283 KB  
Systematic Review
Clinical and Molecular Spectrum of PPP2R1A-Related Neurodevelopmental Disorders: A Systematic Review
by Jaewoong Lee, Ari Ahn, Jaeeun Yoo and Seungok Lee
Genes 2025, 16(12), 1508; https://doi.org/10.3390/genes16121508 - 16 Dec 2025
Abstract
Background/Objectives: PPP2R1A encodes the scaffold subunit Aα of protein phosphatase 2A (PP2A). Pathogenic variants cause Houge-Janssens syndrome 2, a rare neurodevelopmental disorder characterized by developmental delay, intellectual disability, epilepsy, and brain malformations. We systematically reviewed published cases to define the clinical spectrum, [...] Read more.
Background/Objectives: PPP2R1A encodes the scaffold subunit Aα of protein phosphatase 2A (PP2A). Pathogenic variants cause Houge-Janssens syndrome 2, a rare neurodevelopmental disorder characterized by developmental delay, intellectual disability, epilepsy, and brain malformations. We systematically reviewed published cases to define the clinical spectrum, characterize the mutational landscape, and explore genotype–phenotype correlations. Methods: We conducted systematic searches of PubMed, Embase, and Web of Science from inception to March 2025, supplemented by GeneReviews and OMIM references. Studies reporting PPP2R1A variants with clinical data were included. Data extraction followed PRISMA guidelines, encompassing study characteristics, genetic findings, and phenotypic features. Results: We identified 16 studies representing 60 patients with PPP2R1A-related disorders. Twenty-six distinct pathogenic variants were identified; these were predominantly de novo heterozygous missense changes clustering within HEAT repeats 5–7. Recurrent hotspots included p.Arg182Trp (n = 12) and p.Arg183Gln (n = 5). Developmental delay and intellectual disability were universally present in all patients for whom data were available (100%, 58/58). Epilepsy occurred in 50.9% (29/57), and structural brain abnormalities in 83.1% (49/59), with corpus callosum abnormalities (40.7%, 24/59) and ventriculomegaly (32.2%, 19/59) being most frequent. Microcephaly was reported in 17.2% (10/58) and macrocephaly in 25.9% (15/58), while dysmorphic features were present in 53.4% (31/58). The phenotypic spectrum ranged from severe neonatal presentations with high mortality to milder neurodevelopmental courses, with prenatal manifestations including ventriculomegaly, corpus callosum abnormalities, and rare cardiac defects. Clear genotype–phenotype correlations emerged, with HEAT5 variants (p.Arg182Trp, p.Arg183Gln) associated with severe phenotypes and increased mortality, while p.Arg258His variants demonstrated comparatively milder courses. Conclusions: PPP2R1A-related disorders encompass a broad clinical spectrum ranging from lethal neonatal disease to survivable forms with variable neurodevelopmental outcomes. Prenatal features including ventriculomegaly and corpus callosum abnormalities enable early genetic diagnosis, informing reproductive counseling. Recognition of recurrent hotspot variants and their phenotype associations facilitates diagnosis, prognosis, and genetic counseling. These findings provide evidence-based guidance for clinical management and highlight the importance of variant-specific prognostication in this emerging neurodevelopmental disorder. Full article
(This article belongs to the Section Human Genomics and Genetic Diseases)
Show Figures

Figure 1

16 pages, 302 KB  
Review
Autism Spectrum Disorder and Perivascular Spaces: An Integrative Perspective Across the Lifespan
by Maria Alessandra Sotgiu, Alessandra Carta, Vanna Cavassa, Andrea Montella, Salvatore Masala, Giuseppe Barisano and Stefano Sotgiu
J. Clin. Med. 2025, 14(24), 8886; https://doi.org/10.3390/jcm14248886 - 16 Dec 2025
Viewed by 35
Abstract
Autism Spectrum Disorder (ASD) is a heterogeneous neurodevelopmental condition characterized by persistent social communication difficulties, restricted interests, repetitive behaviors, and frequent medical comorbidities. Although early brain development in ASD has been extensively investigated, its biological progression across adulthood and aging remains largely unexplored. [...] Read more.
Autism Spectrum Disorder (ASD) is a heterogeneous neurodevelopmental condition characterized by persistent social communication difficulties, restricted interests, repetitive behaviors, and frequent medical comorbidities. Although early brain development in ASD has been extensively investigated, its biological progression across adulthood and aging remains largely unexplored. Growing evidence suggests that perivascular space (PVS) abnormalities may indicate impaired neurovascular integrity and reduced glymphatic clearance in ASD. Enlarged perivascular spaces (ePVS) in children commonly present alongside increased extra-axial CSF accumulation and more severe clinical manifestations, consistent with early alterations in CSF homeostasis and neuroimmune signaling. However, whether these abnormalities persist or evolve with aging remains unknown. Given that glymphatic and vascular integrity decline with age, and adults with ASD show elevated rates of sleep, metabolic, and cardiovascular disorders, PVS alterations may represent a unifying mechanism linking early neurodevelopmental divergence with later neurovascular vulnerability and cognitive aging. Advances in ultra-high-field MRI and automated segmentation now enable precise in vivo quantification of PVS burden, offering new opportunities for lifespan studies. By combining structural and functional methodologies, researchers may determine whether PVS constitute enduring traits, dynamic indicators of disease, or actionable therapeutic targets. Understanding their trajectories could provide critical insights into the continuum between neurodevelopmental and neurodegenerative phenomena in autism. Full article
(This article belongs to the Section Mental Health)
10 pages, 1018 KB  
Case Report
Functional Interpretation of a Novel Homozygous METTL5 Variant Associated with ADHD and Neurodevelopmental Abnormalities: A Case Report and Literature Review
by Sheema Hashem, Saba F. Elhag, Ajaz A. Bhat, Waleed Aamer, Aljazi Al-Maraghi, Hala Alhaboub, Dalya Abuthaher, Ammira S. Al-Shabeeb Akil, Mohammad Haris, Khalid Fakhro, Georges Nemer and Madeeha Kamal
Genes 2025, 16(12), 1502; https://doi.org/10.3390/genes16121502 - 15 Dec 2025
Viewed by 103
Abstract
Background and Clinical Significance: Methyltransferase-like protein 5 (METTL5) is a conserved RNA methyltransferase responsible for catalyzing the N6-methyladenosine (m6A) modification of 18S ribosomal RNA, a process critical for ribosome biogenesis and translational regulation. Biallelic variants in METTL5 have been linked to [...] Read more.
Background and Clinical Significance: Methyltransferase-like protein 5 (METTL5) is a conserved RNA methyltransferase responsible for catalyzing the N6-methyladenosine (m6A) modification of 18S ribosomal RNA, a process critical for ribosome biogenesis and translational regulation. Biallelic variants in METTL5 have been linked to autosomal recessive intellectual developmental disorder-72 (MRT72), typically presenting with microcephaly, intellectual disability, and speech delay. However, the association between METTL5 and isolated attention-deficit/hyperactivity disorder (ADHD) remains underexplored. Case Presentation: We report a 14-year-old Qatari female, born to consanguineous parents, who presented with microcephaly, speech delay, learning difficulties, and inattentive-type ADHD. Trio-based whole-genome sequencing identified a novel homozygous METTL5 variant (c.617G > A; p. Arg206Gln), with both parent’s heterozygous carriers. The variant is extremely rare (gnomAD MAF: 0.0000175) and predicted to be deleterious (CADD: 23.7; SIFT: damaging; PolyPhen-2: probably damaging). Structural modeling localized the change within the SAM-dependent catalytic domain, predicting protein destabilization (ΔΔG = +1.8 kcal/mol). The affected residue is highly conserved (ConSurf score: 8), and protein–protein interaction analysis linked METTL5 with METTL14, METTL16, and ZCCHC4, key regulators of rRNA methylation. Conclusions: In silico evidence suggests that the p. Arg206Gln variant disrupts METTL5 function, likely contributing to the observed neurodevelopmental phenotype, including ADHD. This expands the clinical spectrum of METTL5-related disorders and supports its inclusion in neurodevelopmental gene panels. Full article
(This article belongs to the Special Issue Genes and Pediatrics)
Show Figures

Figure 1

33 pages, 6086 KB  
Article
Disturbances in Mitochondrial Network, Biogenesis, and Mitochondria-Mediated Inflammatory Responses in Selected Brain Structures of Rats Exposed to Lead (Pb) During Prenatal and Neonatal Development
by Mikołaj Chlubek, Magdalena Gąssowska-Dobrowolska, Agnieszka Kolasa, Maciej Tarnowski, Patrycja Tomasiak, Agnieszka Maruszewska, Katarzyna Barczak and Irena Baranowska-Bosiacka
Int. J. Mol. Sci. 2025, 26(24), 11907; https://doi.org/10.3390/ijms262411907 - 10 Dec 2025
Viewed by 149
Abstract
Lead (Pb) disrupts mitochondrial function, but its impact on the mitochondrial dynamics and biogenesis during early brain development remains insufficiently understood. This study aimed to investigate the effects of pre- and neonatal Pb exposure on the processes involved in mitochondrial network formation in [...] Read more.
Lead (Pb) disrupts mitochondrial function, but its impact on the mitochondrial dynamics and biogenesis during early brain development remains insufficiently understood. This study aimed to investigate the effects of pre- and neonatal Pb exposure on the processes involved in mitochondrial network formation in the brains of rat offspring, simulating environmental exposure. We quantified mRNA expression (qRT-PCR) and protein levels (ELISA) of key mitochondrial fusion (Mfn1, Mfn2, Opa1), fission (Drp1, Fis1) regulators, as well as biogenesis markers (PGC-1α, TFAM, NRF1) in the hippocampus, forebrain cortex, and cerebellum of rats exposed to Pb. Mitochondrial ultrastructure was evaluated using transmission electron microscopy (TEM), and the expression of mitochondrial electron transport chain (ETC) genes was analysed (qRT-PCR). Furthermore, to examine the involvement of the cGAS–STING pathway in Pb-induced neuroinflammation, we measured the expression of ISGs (qRT-PCR), TBK1 phosphorylation (Western blot), and 2′,3′-cGAMP synthesis (ELISA). Our results showed that Pb exposure markedly reduced PGC-1α and region-specific NRF1 levels, broadly supressed fusion proteins (Mfn1, Mfn2, Opa1), increased Fis1, and depleted Drp1. ETC gene expression (mtNd1, mtCyb and mtCo1) were upregulated in a brain-structure-dependent manner. These molecular changes were accompanied by pronounced mitochondrial morphological abnormalities. Despite upregulation of Mx1, Ifi44, and Sting1, along with synthesis of 2′3′-cGAMP, TBK1 activation was not detected. All these findings demonstrate that early-life Pb exposure, even low-dose, disrupts mitochondrial biogenesis and the fusion–fission machinery, thus impairs brain energy homeostasis, and implicates mitochondria as central mediators of Pb-induced neuroinflammation and neurodevelopmental toxicity. Full article
(This article belongs to the Special Issue Unraveling the Molecular Mechanisms of Neurodegeneration)
Show Figures

Figure 1

11 pages, 2509 KB  
Case Report
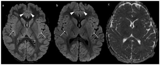
Non-Convulsive Status Epilepticus and Mild Neurodevelopmental Phenotype in a Female with a Novel p.Thr657Ala Variant in the GRIA3 Gene
by Alfonso Rubino, Giorgia Bruno, Gabriella Errichiello, Fabio Acquaviva, Daniele De Brasi, Alfonsina Tirozzi, Pia Santangelo, Carmela Russo, Antonio Varone, Geremia Zito Marinosci and Pia Bernardo
Children 2025, 12(12), 1654; https://doi.org/10.3390/children12121654 - 5 Dec 2025
Viewed by 220
Abstract
Background: The GRIA3 gene encodes the GluA3 subunit of AMPA-type glutamate receptors, which are crucial for excitatory neurotransmission in the central nervous system. Pathogenic GRIA3 variants cause X-linked neurodevelopmental disorders of varying severity, including developmental delay, behavioral abnormalities, and epilepsy. Case Summary: Here, [...] Read more.
Background: The GRIA3 gene encodes the GluA3 subunit of AMPA-type glutamate receptors, which are crucial for excitatory neurotransmission in the central nervous system. Pathogenic GRIA3 variants cause X-linked neurodevelopmental disorders of varying severity, including developmental delay, behavioral abnormalities, and epilepsy. Case Summary: Here, we present the case of a seven-year-old female patient presenting with developmental delay, spastic gait, and non-convulsive status epilepticus (NCSE), who was found to carry a novel de novo GRIA3 missense variant (c.1969A > G; p.Thr657Ala). The EEG revealed high-amplitude diffuse rhythmic theta/delta activity consistent with NCSE. A brain MRI showed transient cortical and thalamic T2-FLAIR hyperintensities, likely postictal. Metabolic investigations were unremarkable. Following intensive treatment with levetiracetam and midazolam, the patient gradually recovered to her baseline neurological status. Genetic Finding: Whole-exome sequencing (WES) identified a novel de novo variant in GRIA3, c.1969A > G; p.Thr657Ala, involving the replacement of threonine with alanine at position 657 within the coding region. Significance: This case expands the clinical and molecular spectrum of GRIA3-related disorders, demonstrating that females with de novo variants may experience severe epilepsy. This is the first reported case of NCSE in a female patient with a GRIA3 variant. Full article
(This article belongs to the Special Issue Advances in Child Neuropsychiatric Disorders)
Show Figures

Graphical abstract

10 pages, 454 KB  
Article
Plasma Metabolite Profiles of Children with Autism Spectrum Disorder
by Benjamin H. Mullin, Madeleine Stuckey, Suzanne J. Brown, Shelby Mullin, Purdey J. Campbell, Frank Dudbridge, Cristina Menni, John P. Walsh, Andrew J. O. Whitehouse and Scott G. Wilson
Metabolites 2025, 15(12), 780; https://doi.org/10.3390/metabo15120780 - 4 Dec 2025
Viewed by 270
Abstract
Background/Objectives: Autism spectrum disorder (ASD), a neurodevelopmental condition characterised by social and communication differences, is complex and aetiologically heterogeneous. Untargeted metabolomics is emerging as a tool in screening for biochemical abnormalities. This research was conducted using the Australian Autism Biobank resource and involved [...] Read more.
Background/Objectives: Autism spectrum disorder (ASD), a neurodevelopmental condition characterised by social and communication differences, is complex and aetiologically heterogeneous. Untargeted metabolomics is emerging as a tool in screening for biochemical abnormalities. This research was conducted using the Australian Autism Biobank resource and involved analysis of plasma metabolites to characterise metabolite differences between autistic children and controls. Methods: We sought to identify molecular signatures in the plasma of study subjects using mass-spectrometry methods. We included 955 untargeted plasma metabolites from autistic children (n = 491; 2–18 years; 78% male) and control subjects (n = 97; 2–17 years of age; 51% male). Statistical analyses were performed using questionnaire data for both groups, including standardised scores from the Autism Diagnostic Observation Schedule—Second Edition (ADOS-2), which measures the severity of autism-related behaviours. We also evaluated intellectual disability by examining the relationships between metabolites and clinical phenotypes. Results: After controlling the false discovery rate at 5%, we identified significant negative associations between the uncharacterised metabolites X-21383 and X-24970 and ASD status (p = 1.85 × 10−6 and p = 1.92 × 10−5 respectively). X-21383 was also found to be significantly reduced in autistic children with coexisting intellectual disability when compared with controls (p = 6.06 × 10−6). No significant associations were identified between the metabolite data and ADOS-2 scores. However, greater levels of X-16938, N1-methyladenosine, and 2-oxoarginine were found to be suggestively associated with higher ADOS-2 scores (p = 2.95 × 10−4–9.6 × 10−5). Conclusion: This metabolomics study in the Australian Autism Biobank has identified several novel metabolites associated with core autism diagnostic behaviours. Full article
(This article belongs to the Section Endocrinology and Clinical Metabolic Research)
Show Figures

Figure 1

31 pages, 2851 KB  
Review
Genetic, Clinical and Neuroradiological Spectrum of MED-Related Disorders: An Updated Review
by Alessandro Fazio, Roberta Leonardi, Lorenzo Aliotta, Manuela Lo Bianco, Gennaro Anastasio, Giuseppe Messina, Corrado Spatola, Pietro Valerio Foti, Stefano Palmucci, Antonio Basile, Martino Ruggieri and Emanuele David
Genes 2025, 16(12), 1444; https://doi.org/10.3390/genes16121444 - 2 Dec 2025
Viewed by 473
Abstract
Background/Objectives: The Mediator (MED) complex is an essential regulator of RNA polymerase II transcription. There is increasing evidence that pathogenic variants in several MED subunits are the cause of neurodegenerative and neurodevelopmental phenotypes, collectively referred to as “MEDopathies”. This review aims to summarize [...] Read more.
Background/Objectives: The Mediator (MED) complex is an essential regulator of RNA polymerase II transcription. There is increasing evidence that pathogenic variants in several MED subunits are the cause of neurodegenerative and neurodevelopmental phenotypes, collectively referred to as “MEDopathies”. This review aims to summarize current knowledge on the genetic basis, clinical manifestations, and neuroradiological features of MED-related disorders. Methods: We undertook a narrative synthesis of the literature focusing on the MED subunits most commonly associated with neurological disorders, including MED1, MED8, MED11, MED12/MED12L, MED13/MED13L, MED14, MED17, MED20, MED23, MED25, MED27, and CDK8. Sources included peer-reviewed genetic, clinical, and imaging studies, supplemented by relevant case reports and cohort analyses. In addition, representative facial phenotypes associated with selected MED variants (MED11, MED12, MED13, MED13L, MED25) were visualized for educational purposes using artificial intelligence-based image generation derived from standardized clinical descriptors. Results: All MEDopathies show converging clinical patterns: global developmental delay/intellectual disability, hypotonia, epilepsy, speech disorders, and behavioral comorbidity. Non-neurological involvement, such as craniofacial or cardiac anomalies, is subunit-specific. Neuroradiological features include callosal abnormalities (agenesis, thinning, dysmorphia), delayed or hypomyelination, progressive cerebral and cerebellar atrophy, basal ganglia signaling changes, pontine hypoplasia, and, in MED27 deficiency, a “hot cross bun” sign. Gene-specific constellations emphasize catastrophic infantile progression (MED11), X-linked syndromes with callosal defects (MED12/MED12L), language-dominant phenotypes (MED13), and syndromic intellectual disability with systemic features (MED13L). Conclusions: The growing spectrum of MEDopathies argues for their recognition as a unified nosological group with overlapping clinical and radiological signatures. Characteristic MRI constellations may serve as diagnostic clues and guide targeted molecular testing. Future directions include longitudinal imaging to describe disease progression and the integration of genomic data with curated clinical radiological datasets to refine genotype-phenotype correlations. Full article
Show Figures

Figure 1

21 pages, 4752 KB  
Article
Titanium Dioxide Nanoparticles Aggravated the Developmental Neurotoxicity of Ammonia Nitrogen on Zebrafish Embryos
by Minglei Lyu, Jiaqian Yu, Qing Yang, Yi Shen, Haoling Liu, Xuanjie Wang, Xiaolin Liu, Fang Shi, Xi Zou, Jinmiao Zha, Guangyu Li and Xufa Ma
Toxics 2025, 13(12), 1031; https://doi.org/10.3390/toxics13121031 - 28 Nov 2025
Viewed by 418
Abstract
Total ammonia nitrogen (TAN) is a common and potent neurotoxic pollutant in aquatic environments. Due to their strong adsorption capacity, titanium dioxide nanoparticles (n-TiO2), a widely used engineered material, can induce combined toxicity with multiple pollutants. However, the combined neurotoxicity of [...] Read more.
Total ammonia nitrogen (TAN) is a common and potent neurotoxic pollutant in aquatic environments. Due to their strong adsorption capacity, titanium dioxide nanoparticles (n-TiO2), a widely used engineered material, can induce combined toxicity with multiple pollutants. However, the combined neurotoxicity of n-TiO2 and TAN and its underlying mechanisms remain unclear. In this study, zebrafish embryos were exposed to TAN (0, 0.1, 1, 10 mg/L) and n-TiO2 (100 µg/L) individually or in combination for 120 h. The results indicated that co-exposure to n-TiO2 and TAN significantly increased the bioaccumulation of TAN in zebrafish embryos compared to TAN alone. Consequently, this led to exacerbated neurotoxicity, manifested as developmental impairments and abnormal motor behavior. Mechanistic investigations revealed that the co-exposure aggravated developmental neurotoxicity by triggering neuronal apoptosis and oxidative stress, disrupting the cholinergic and dopaminergic systems, and impairing neural and retinal development. Transcriptomic analysis further indicated that the co-exposure predominantly perturbed neurodevelopment, oxidative stress, and apoptosis. In conclusion, this study confirms that n-TiO2 significantly amplifies TAN-induced neurodevelopmental toxicity by promoting its bioaccumulation and synergistically disrupting multiple neurophysiological processes. These findings provide crucial scientific evidence for assessing the combined ecological risks of nanomaterials and conventional pollutants. Full article
Show Figures

Figure 1

10 pages, 783 KB  
Case Report
Neurodevelopmental Disorder with Psychomotor Delay, Hearing Loss, and Spasticity Caused by Compound Heterozygous SPATA5L1 Variants—Expanding Phenotype
by Artur Polczyk, Ewelina Wolańska, Anna Zimny, Agnieszka Zubkiewicz-Kucharska, Mateusz Biela, Agnieszka Pawelak and Robert Śmigiel
J. Clin. Med. 2025, 14(23), 8442; https://doi.org/10.3390/jcm14238442 - 28 Nov 2025
Viewed by 500
Abstract
Background: SPATA5L1-related neurodevelopmental disorder is a recently described condition characterized by psychomotor delay, sensorineural hearing loss, and variable motor dysfunction. Because only a few cases have been reported, the full phenotypic spectrum remains poorly defined. Expanding clinical characterization is crucial for [...] Read more.
Background: SPATA5L1-related neurodevelopmental disorder is a recently described condition characterized by psychomotor delay, sensorineural hearing loss, and variable motor dysfunction. Because only a few cases have been reported, the full phenotypic spectrum remains poorly defined. Expanding clinical characterization is crucial for improving early diagnosis and targeted management. Case Presentation: We report a 24-month-old female with compound heterozygous SPATA5L1 variants c.1918C>T (p.Arg640Ter) and c.2066G>T (p.Gly689Val). She presented with global psychomotor delay, bilateral sensorineural hearing loss, strabismus, and craniofacial dysmorphism. Brain MRI showed cortical and white matter atrophy, delayed myelination, and a thin corpus callosum. Vojta neurodevelopmental assessment demonstrated an 11-month motor delay, abnormal responses in all seven Vojta postural reactions, and persistent primitive reflexes. Early EEG recordings were without significant changes, whereas abnormalities emerged later in the clinical course. Genetic testing confirmed the variants in trans. Management and Outcomes: Early rehabilitation including reflex locomotion therapy was initiated. The persistence of primitive reflexes, central hypotonia, and pathological postural reactions provided a coherent neuromotor profile and indicated a high vulnerability to atypical motor development, and do not rule out the possibility of later evolution toward a spastic–dystonic motor pattern. These findings, combined with neuroimaging abnormalities, refined the patient’s neuromotor phenotype and guided individualized therapeutic planning. Conclusions: This case expands the clinical and neurodevelopmental spectrum associated with SPATA5L1 variants and highlights the diagnostic value of integrating genomic sequencing with structured motor assessments. Early, multidimensional evaluation may improve recognition of rare neurodevelopmental disorders and support more precise prognostication and rehabilitation strategies. Full article
(This article belongs to the Section Clinical Neurology)
Show Figures

Graphical abstract

15 pages, 314 KB  
Review
Plastic Pollution and Child Health: A Narrative Review of Micro- and Nanoplastics, Additives, and Developmental Risks
by Nicola Principi, Alberto Argentiero, Beatrice Rita Campana, Hajrie Seferi, Elena Cinti and Susanna Esposito
J. Clin. Med. 2025, 14(23), 8399; https://doi.org/10.3390/jcm14238399 - 27 Nov 2025
Viewed by 715
Abstract
Plastic production and subsequent environmental contamination have increased substantially in recent decades, resulting in pervasive human exposure to microplastics (MPs), nanoplastics (NPs), and plastic-associated additives such as bisphenols and phthalates. These substances are known to induce toxic effects via multiple biological mechanisms, including [...] Read more.
Plastic production and subsequent environmental contamination have increased substantially in recent decades, resulting in pervasive human exposure to microplastics (MPs), nanoplastics (NPs), and plastic-associated additives such as bisphenols and phthalates. These substances are known to induce toxic effects via multiple biological mechanisms, including oxidative stress, inflammation, apoptosis, immune system disruption, and genotoxicity. While exceptions exist, current research generally indicates that these exposures may adversely affect fertility. Notably, children constitute the most vulnerable demographic due to behavioral tendencies, higher intake-to-body-weight ratios, underdeveloped detoxification systems, and critical developmental periods of susceptibility. Evidence demonstrates that exposure commences in utero, with MPs, NPs, and additives identified in placental tissue, amniotic fluid, cord blood, and meconium—factors associated with impaired fetal growth and reduced gestational duration. After birth, additional exposure occurs through diet, inhalation, household dust, feeding equipment, toys, and consumer products. Experimental and epidemiological studies suggest that plastics may adversely affect multiple physiological systems. Reported outcomes include altered pubertal development, reduced fertility, neurodevelopmental abnormalities, respiratory diseases such as asthma, and increased risks of metabolic disorders, including obesity and insulin resistance. However, substantial knowledge gaps remain: the relative toxicity of different polymers and additives, dose–response relationships, critical exposure periods, and long-term consequences are not yet fully defined. Given growing concern and mounting evidence of harm, precautionary measures are warranted. Reducing nonessential plastic use, strengthening regulatory actions, improving product labeling, and promoting public awareness are urgent priorities, particularly in vulnerable and resource-limited communities. Further mechanistic studies and longitudinal human research are essential to clarify health risks, guide safer material substitutions, and inform evidence-based policies aimed at protecting children from avoidable plastic-related toxicity. Full article
(This article belongs to the Special Issue Research Progress in Pediatric Endocrinology)
14 pages, 751 KB  
Review
From ARFID to Binge Eating: A Review of the Sensory, Behavioral, and Gut–Brain Axis Mechanisms Driving Co-Occurring Eating Disorders in Children and Adolescents with Autism Spectrum Disorder
by Marta Kopańska, Izabela Łucka, Maria Siegel, Julia Trojniak and Maria Pąchalska
Nutrients 2025, 17(23), 3714; https://doi.org/10.3390/nu17233714 - 26 Nov 2025
Viewed by 605
Abstract
Background: Autism spectrum disorder (ASD) constitutes a heterogeneous neurodevelopmental condition frequently accompanied by considerable disturbances in feeding behavior and nutritional balance. These difficulties arise from complex and multifactorial mechanisms, exerting a significant impact on physical health, metabolic homeostasis, and psychosocial functioning. The present [...] Read more.
Background: Autism spectrum disorder (ASD) constitutes a heterogeneous neurodevelopmental condition frequently accompanied by considerable disturbances in feeding behavior and nutritional balance. These difficulties arise from complex and multifactorial mechanisms, exerting a significant impact on physical health, metabolic homeostasis, and psychosocial functioning. The present review aims to provide a critical synthesis of current evidence regarding the underlying biological and behavioral mechanisms of feeding difficulties in ASD and to delineate the spectrum of comorbid eating disorders within this population. Methods: A narrative review of the peer-reviewed scientific literature was undertaken, emphasizing studies investigating the interrelationship between ASD and nutritional functioning in pediatric and adolescent populations. Particular focus was placed on research exploring sensory processing abnormalities, gut microbiota alterations, and the clinical manifestation of eating disorders in individuals with ASD. Results: The analysis revealed that sensory hypersensitivity, behavioral inflexibility, and disturbances within the gut–brain axis constitute principal determinants of atypical eating patterns in ASD. Individuals on the autism spectrum frequently exhibit pronounced food selectivity, neophobia, and symptoms consistent with Avoidant/Restrictive Food Intake Disorder (ARFID). Furthermore, an increased prevalence of anorexia nervosa and orthorexia nervosa has been documented, likely reflecting shared cognitive and behavioral features with ASD. “Emotional eating” tendencies and a marked preference for high-caloric, energy-dense foods—often potentiated by psychopharmacological treatment and reduced physical activity—further contribute to an elevated risk of overweight and obesity. Conclusions: Children and adolescents with ASD display a bimodal distribution of body mass, encompassing both undernutrition and obesity, indicative of a multifaceted interplay among sensory, behavioral, cognitive, and metabolic determinants. A comprehensive understanding of this heterogeneity is crucial for the development of individualized, evidence-based interventions integrating nutritional management with behavioral and psychotherapeutic approaches. Full article
Show Figures

Graphical abstract

18 pages, 768 KB  
Review
How Does Maternal Immune Activity Affect Fetal Survival and Brain Development? The Critical Roles of IL-17A and Microglia
by Asumi Kubo, Sara Kamiya, Sae Sanaka, Kenyu Nakamura, Kyoko Kishi and Tetsuya Sasaki
Neuroglia 2025, 6(4), 45; https://doi.org/10.3390/neuroglia6040045 - 20 Nov 2025
Viewed by 698
Abstract
Maternal immune activation (MIA) during pregnancy has been associated with increased risk of fetal loss and neurodevelopmental disorders in offspring. This review summarizes recent findings on the effects of MIA on fetal survival and microglial phenotype. Studies using polyinosinic–polycytidylic acid [poly(I:C)-induced MIA mouse [...] Read more.
Maternal immune activation (MIA) during pregnancy has been associated with increased risk of fetal loss and neurodevelopmental disorders in offspring. This review summarizes recent findings on the effects of MIA on fetal survival and microglial phenotype. Studies using polyinosinic–polycytidylic acid [poly(I:C)-induced MIA mouse models have revealed the crucial role of interleukin-17A (IL-17A) in mediating these effects. Overexpression of RORγt, a key transcription factor for IL-17A production, enhances poly(I: C)-induced fetal loss, possibly due to increased placental vulnerability. Intraventricular administration of IL-17A in fetal brains activates microglia and alters their localization, particularly in periventricular regions and the medial cortex. These activated microglia may contribute to abnormal synaptic pruning and excessive phagocytosis of neural progenitor cells, potentially leading to long-term neurodevelopmental abnormalities. The insights gained from MIA research have important clinical implications, including the potential for early identification of high-risk pregnancies and the development of novel preventive and therapeutic strategies. Future research should focus on elucidating the roles of other cytokines, determining critical periods of MIA susceptibility, and translating findings to human populations, while carefully considering ethical implications and the need for appropriate risk communication. Full article
Show Figures

Figure 1

16 pages, 1034 KB  
Article
Dysfunction of the Autophagy System and MDM2–p53 Axis Leads to the Accumulation of Amyloidogenic Proteins in Angelman Syndrome Models
by Jacqueline Fátima Martins de Almeida, Martina Contestabile, Ilaria Tonazzini, Chiara De Cesari, Laura Baroncelli, Claudia Martini and Simona Daniele
Int. J. Mol. Sci. 2025, 26(22), 11032; https://doi.org/10.3390/ijms262211032 - 14 Nov 2025
Viewed by 518
Abstract
Angelman Syndrome (AS) is a neurodevelopmental disorder caused by the deficiency of the UBE3A gene that for a E3 ligase protein part of the ubiquitin–proteasome system (UPS). Autophagy and UPS systems remove abnormal proteins, but any dysfunction in these processes can affect neuronal [...] Read more.
Angelman Syndrome (AS) is a neurodevelopmental disorder caused by the deficiency of the UBE3A gene that for a E3 ligase protein part of the ubiquitin–proteasome system (UPS). Autophagy and UPS systems remove abnormal proteins, but any dysfunction in these processes can affect neuronal development and wellbeing. Herein, the involvement of the UPS/autophagy system in the regulation of intracellular signaling pathways related to toxic protein accumulation was investigated in cellular/mice AS models, silenced for UB3A (UB3A). The main findings are as follows: (i) autophagy was upregulated in UBE3A cells with respect to control cells; (ii) a dysregulation of the AKT/mTOR pathway, linked to autophagy/synaptic development, was evidenced in cellular/animal models of AS with respect to controls; (iii) the ubiquitin ligase MDM2 was downregulated, and the tumor suppressor p53, normally inhibited by MDM2, enhanced its expression and transcriptional activity in UB3A cells with respect to controls. Finally, UB3A cells presented a significant alteration in the levels of β-amyloids with respect to control cells, and a reduction of α-synuclein levels, typical of neurodevelopmental disorder. Nevertheless, UB3A cells do not show evident morphological abnormalities. Overall, these data suggest that AS models presented an altered signaling pathway related to autophagy/UPS systems, potentially leading to the accumulation of toxic proteins affecting synaptic development. Full article
(This article belongs to the Section Biochemistry)
Show Figures

Figure 1

16 pages, 939 KB  
Review
Maternal–Fetal Implications of Chikungunya Virus Infection: An Updated Review
by Luisa Scomparim, Gustavo Yano Callado, Livian Cássia De Melo, Marina Macruz Rugna, Stefany Silva Pereira, Liris Naomi Noguchi, Camilla Martins dos Santos Maia, Evelyn Traina, Geraldo Duarte, Antonio Braga and Edward Araujo Júnior
Diagnostics 2025, 15(22), 2843; https://doi.org/10.3390/diagnostics15222843 - 10 Nov 2025
Viewed by 846
Abstract
Chikungunya virus (CHIKV) infection during pregnancy represents an increasing public health concern, especially in endemic and epidemic regions. The main concern is vertical transmission, particularly during the peripartum period, which can lead to severe neonatal outcomes such as encephalopathy, hematologic abnormalities, and long-term [...] Read more.
Chikungunya virus (CHIKV) infection during pregnancy represents an increasing public health concern, especially in endemic and epidemic regions. The main concern is vertical transmission, particularly during the peripartum period, which can lead to severe neonatal outcomes such as encephalopathy, hematologic abnormalities, and long-term neurodevelopmental impairment. This review synthesizes current knowledge on pathophysiology, clinical manifestations, diagnosis, maternal and neonatal outcomes, and management of CHIKV infection in pregnancy. Diagnosis relies on clinical evaluation supported by laboratory confirmation, RT-PCR in the acute phase and IgM serology thereafter. Treatment is supportive, using acetaminophen as first-line therapy and corticosteroids for selected refractory cases. No antivirals or vaccines are approved for use in pregnancy as of 2025. Prevention is centered on vector control, personal protection, and epidemiological surveillance. Delivery planning and neonatal monitoring are essential when infection occurs close to term due to the high risk of peripartum transmission. Despite growing recognition of CHIKV’s maternal–fetal impact, significant gaps remain regarding long-term outcomes and optimal management strategies. Strengthening prenatal care, neonatal preparedness, and surveillance systems is crucial to mitigate adverse outcomes and inform future clinical and public health policies. Full article
(This article belongs to the Special Issue Game-Changing Concepts in Reproductive Health)
Show Figures

Figure 1

24 pages, 10420 KB  
Article
Usmani–Riazuddin Syndrome: Functional Characterization of a Novel c.196G>A Variant in the AP1G1 Gene and Phenotypic Insights Using Zebrafish as a Vertebrate Model
by Valentina Imperatore, Alessandra Mirarchi, Emanuele Agolini, Andrea Astolfi, Maria Letizia Barreca, Antonio Novelli, Elisa Vinciarelli, Sara Ferretti, Daniela Zizioli, Giuseppe Borsani, Cataldo Arcuri and Paolo Prontera
Int. J. Mol. Sci. 2025, 26(21), 10590; https://doi.org/10.3390/ijms262110590 - 30 Oct 2025
Viewed by 806
Abstract
Adaptor Protein-1 (AP-1) is a heterotetrameric essential for intracellular vesicular trafficking and polarized localization of somato-dendritic proteins in neurons. Variants in the AP1G1 gene, encoding the gamma-1 subunit of adaptor-related protein complex 1 (AP1γ1), have recently been associated with Usmani–Riazuddin syndrome (USRISD, MIM#619467), [...] Read more.
Adaptor Protein-1 (AP-1) is a heterotetrameric essential for intracellular vesicular trafficking and polarized localization of somato-dendritic proteins in neurons. Variants in the AP1G1 gene, encoding the gamma-1 subunit of adaptor-related protein complex 1 (AP1γ1), have recently been associated with Usmani–Riazuddin syndrome (USRISD, MIM#619467), a very rare human genetic disorder characterized by intellectual disability (ID), speech and neurodevelopmental delays. Here we report a novel variant (c.196G>A; p.Gly66Arg) identified by exome sequencing analysis in a young girl showing overlapping clinical features with USRIS, such as motor and speech delay, intellectual disability and abnormal aggressive behavior. In silico analysis of the missense de novo variant suggested an alteration in AP1G1 protein folding. Patient’s fibroblasts have been studied with immunofluorescence techniques to analyze the intracellular distribution of AP-1. Zebrafish are widely regarded as an excellent vertebrate model for studying human disease pathogenesis, given their transparent embryonic development, ease of breeding, high genetic similarity to humans, and straightforward genetic manipulation. Leveraging these advantages, we investigated the phenotype, locomotor behavior, and CNS development in zebrafish embryos following the microinjection of human wild-type and mutated AP1G1 mRNAs at the one-cell stage. Knockout (KO) of the AP1G1 gene in zebrafish led to death at the gastrula stage. Lethality in the KO AP1G1 fish model was significantly rescued by injection of the human wild-type AP1G1 mRNA, but not by transcripts encoded by the Gly66Arg missense allele. The phenotype was also not rescued when ap1g1−/− zebrafish embryos were co-injected with both human wild-type and mutated mRNAs, supporting the dominant-negative effect of the new variant. In this study, we defined the effects of a new AP1G1 variant in cellular and animal models of Usmani–Riazzudin syndrome for future therapeutic approaches. Full article
(This article belongs to the Section Molecular Genetics and Genomics)
Show Figures

Figure 1

Back to TopTop