Sign in to use this feature.

Years

Between: -

Subjects

remove_circle_outline
remove_circle_outline
remove_circle_outline
remove_circle_outline
remove_circle_outline

Journals

Article Types

Countries / Regions

Search Results (87)

Search Parameters:
Keywords = neonatal lethality

Order results
Result details
Results per page
Select all
Export citation of selected articles as:
11 pages, 2353 KB  
Article
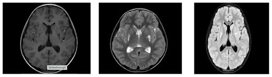
Expanding the Phenotypic Spectrum of NDUFS6-Related Disease: From Neonatal Mitochondrial Encephalopathy to Childhood-Onset Axonal Neuropathy
by Savas Baris, Rojan Ipek, Saniye Tugba Baris and Ibrahim Baris
Int. J. Mol. Sci. 2026, 27(3), 1375; https://doi.org/10.3390/ijms27031375 - 29 Jan 2026
Viewed by 131
Abstract
Biallelic variants in NDUFS6, encoding an accessory subunit of mitochondrial complex I, were initially associated with lethal neonatal mitochondrial encephalopathy and Leigh syndrome. Recent studies have demonstrated that NDUFS6 variants can also cause childhood- or adolescent-onset axonal neuropathy and Charcot–Marie–Tooth (CMT)-like phenotypes, [...] Read more.
Biallelic variants in NDUFS6, encoding an accessory subunit of mitochondrial complex I, were initially associated with lethal neonatal mitochondrial encephalopathy and Leigh syndrome. Recent studies have demonstrated that NDUFS6 variants can also cause childhood- or adolescent-onset axonal neuropathy and Charcot–Marie–Tooth (CMT)-like phenotypes, indicating marked clinical heterogeneity. Here, we report a patient with a novel homozygous truncating NDUFS6 variant presenting with a neuropathy-predominant phenotype accompanied by epilepsy, in the absence of neonatal metabolic decompensation. The patient presented with childhood-onset progressive gait abnormality, pes cavus deformity, distal weakness requiring Achilles tendon-release surgery, pyramidal signs, urinary incontinence, and focal epileptiform EEG findings. Brain MRI showed bilateral lenticular nucleus abnormalities. Whole-exome sequencing identified a novel homozygous NDUFS6 nonsense variant (c.130C>T, p.Gln44*). While neuropathy has previously been reported primarily in association with the recurrent splice-site variant c.309+5G>A, our findings demonstrate that truncating NDUFS6 mutations can also underlie a neuropathy-predominant phenotype. Together with previously published cases, our findings support a phenotypic heterogeneity ranging from lethal encephalopathy to neuropathy and reinforce the role of NDUFS6 as a disease-causing gene for inherited peripheral neuropathy. These data support inclusion of NDUFS6 among established neuropathy and Charcot–Marie–Tooth genes. Full article
(This article belongs to the Section Molecular Genetics and Genomics)
Show Figures

Figure 1

20 pages, 2114 KB  
Article
Does the Chimerization Process Affect the Immunochemical Properties of WNV-Neutralizing Antibody 900?
by Anastasiya A. Isaeva, Valentina S. Nesmeyanova, Daniil V. Shanshin, Nikita D. Ushkalenko, Ekaterina A. Volosnikova, Tatiana I. Esina, Elena V. Protopopova, Victor A. Svyatchenko, Valery B. Loktev, Sergey E. Olkin, Elena D. Danilenko, Elena I. Kazachinskaia and Dmitriy N. Shcherbakov
Int. J. Mol. Sci. 2025, 26(24), 12181; https://doi.org/10.3390/ijms262412181 - 18 Dec 2025
Viewed by 481
Abstract
West Nile fever is an infectious disease caused by the West Nile virus (WNV), which is transmitted by mosquitoes. Epidemiological surveillance confirms the potential risk of WNV infection in human populations. The lack of specific antiviral therapeutics and vaccines against WNV underscores the [...] Read more.
West Nile fever is an infectious disease caused by the West Nile virus (WNV), which is transmitted by mosquitoes. Epidemiological surveillance confirms the potential risk of WNV infection in human populations. The lack of specific antiviral therapeutics and vaccines against WNV underscores the urgent need to develop effective therapeutic approaches. In this study, a recombinant chimeric monoclonal antibody (mAb) 900 was generated based on the broadly neutralizing and protective murine mAb 9E2. The antigen-binding regions of the murine mAb were fused with the constant domains (CH2–CH3) of human IgG1. Two key amino acid clusters, M252/S254/T256 and H433/N434, were introduced into the CH2–CH3 domains to enhance the affinity of mAb 900 for the neonatal Fc receptor (FcRn). The engineered mAb 900 was produced in CHO cells and purified to high homogeneity. Biophysical characterization confirmed its stability and correct dimeric assembly. Comparative analysis demonstrated that mAb 900 retained the high antigen-binding affinity and potent virus-neutralizing activity of its murine predecessor. Most importantly, mAb 900 demonstrated significant protective efficacy in a lethal mouse model of WNV infection. These results establish the proof of concept for mAb 900 as a promising candidate for further preclinical development against WNV infection. Full article
Show Figures

Graphical abstract

18 pages, 1287 KB  
Systematic Review
Clinical and Molecular Spectrum of PPP2R1A-Related Neurodevelopmental Disorders: A Systematic Review
by Jaewoong Lee, Ari Ahn, Jaeeun Yoo and Seungok Lee
Genes 2025, 16(12), 1508; https://doi.org/10.3390/genes16121508 - 16 Dec 2025
Viewed by 540
Abstract
Background/Objectives: PPP2R1A encodes the scaffold subunit Aα of protein phosphatase 2A (PP2A). Pathogenic variants cause Houge-Janssens syndrome 2, a rare neurodevelopmental disorder characterized by developmental delay, intellectual disability, epilepsy, and brain malformations. We systematically reviewed published cases to define the clinical spectrum, [...] Read more.
Background/Objectives: PPP2R1A encodes the scaffold subunit Aα of protein phosphatase 2A (PP2A). Pathogenic variants cause Houge-Janssens syndrome 2, a rare neurodevelopmental disorder characterized by developmental delay, intellectual disability, epilepsy, and brain malformations. We systematically reviewed published cases to define the clinical spectrum, characterize the mutational landscape, and explore genotype–phenotype correlations. Methods: We conducted systematic searches of PubMed, Embase, and Web of Science from inception to March 2025, supplemented by GeneReviews and OMIM references. Studies reporting PPP2R1A variants with clinical data were included. Data extraction followed PRISMA guidelines, encompassing study characteristics, genetic findings, and phenotypic features. Results: We identified 16 studies representing 60 patients with PPP2R1A-related disorders. Twenty-six distinct pathogenic variants were identified; these were predominantly de novo heterozygous missense changes clustering within HEAT repeats 5–7. Recurrent hotspots included p.Arg182Trp (n = 12) and p.Arg183Gln (n = 5). Developmental delay and intellectual disability were universally present in all patients for whom data were available (100%, 58/58). Epilepsy occurred in 50.9% (29/57), and structural brain abnormalities in 83.1% (49/59), with corpus callosum abnormalities (40.7%, 24/59) and ventriculomegaly (32.2%, 19/59) being most frequent. Microcephaly was reported in 17.2% (10/58) and macrocephaly in 25.9% (15/58), while dysmorphic features were present in 53.4% (31/58). The phenotypic spectrum ranged from severe neonatal presentations with high mortality to milder neurodevelopmental courses, with prenatal manifestations including ventriculomegaly, corpus callosum abnormalities, and rare cardiac defects. Clear genotype–phenotype correlations emerged, with HEAT5 variants (p.Arg182Trp, p.Arg183Gln) associated with severe phenotypes and increased mortality, while p.Arg258His variants demonstrated comparatively milder courses. Conclusions: PPP2R1A-related disorders encompass a broad clinical spectrum ranging from lethal neonatal disease to survivable forms with variable neurodevelopmental outcomes. Prenatal features including ventriculomegaly and corpus callosum abnormalities enable early genetic diagnosis, informing reproductive counseling. Recognition of recurrent hotspot variants and their phenotype associations facilitates diagnosis, prognosis, and genetic counseling. These findings provide evidence-based guidance for clinical management and highlight the importance of variant-specific prognostication in this emerging neurodevelopmental disorder. Full article
(This article belongs to the Section Human Genomics and Genetic Diseases)
Show Figures

Figure 1

9 pages, 433 KB  
Brief Report
G2c-Lineage Dominance and S1 Epitope-Glycan Drift of Porcine Epidemic Diarrhea Virus in Guangdong Province, China, 2022–2024
by Liangzong Huang, Liming Yan, Mengyi Zeng, Jianhui Yao, Jiaqi Hu, Weilin Zhong, Lewen Su, Guangzhi Yan, Shengnan Chen, Yuhan Huang and Mingjie Liu
Vet. Sci. 2025, 12(11), 1056; https://doi.org/10.3390/vetsci12111056 - 2 Nov 2025
Viewed by 981
Abstract
Porcine epidemic diarrhea (PED), a severe and highly contagious disease induced by porcine epidemic diarrhea virus (PEDV), impacts pigs across all age groups but has a particularly high lethality in neonatal piglets, with mortality rates reaching 80 to 100%, leading to substantial economic [...] Read more.
Porcine epidemic diarrhea (PED), a severe and highly contagious disease induced by porcine epidemic diarrhea virus (PEDV), impacts pigs across all age groups but has a particularly high lethality in neonatal piglets, with mortality rates reaching 80 to 100%, leading to substantial economic losses in the swine industry. In this investigation, 128 intestinal samples obtained from 65 large-scale pig farms in eight prefectures of Guangdong Province were screened by RT-qPCR between 2022 and 2024. Of these, 50 samples (39.06%) tested positive for Porcine Epidemic Diarrhea Virus (PEDV). The complete S1 genes of 31 representative strains were sequenced. Phylogenetic analysis revealed G2c as the exclusive dominant lineage (29/31, 93.6%), with single representatives of G2a and G2d. Nucleotide identity among the local strains ranged from 88.9 to 100% and 88.1 to 93.5% to prototype CV777 and from 91.2 to 99.1% to vaccine strain AJ1102. The COE neutralizing epitope (aa 499–638) carried 26 substitutions versus AJ1102; T499I/S, A520S/L, F539L, K566N and F615L were most prevalent. The SS2 epitope was fully conserved, whereas SS6 showed three low-frequency changes (S766P, S769F, G770V). Six distinct N-glycosylation patterns were identified relative to AJ1102. The predominance of G2c, accompanied by marked epitope drift and altered glycosylation, indicates the need for further investigation into vaccine efficacy. Continuous surveillance and the careful evaluation of G2c-based vaccine candidates are warranted. Full article
(This article belongs to the Section Veterinary Microbiology, Parasitology and Immunology)
Show Figures

Figure 1

18 pages, 9629 KB  
Article
i2 Signaling Regulates Neonatal Respiratory Adaptation
by Veronika Leiss, Katja Pexa, Andreas Nowacki, James P. Bridges, Benedikt Duckworth-Mothes, Susanne Ammon-Treiber, Ana Novakovic, Franziska Zeyer, Hartwig Wolburg, Petra Fallier-Becker, Roland P. Piekorz, Matthias Schwab, Letizia Quintanilla-Martínez, Sandra Beer-Hammer and Bernd Nürnberg
Int. J. Mol. Sci. 2025, 26(21), 10655; https://doi.org/10.3390/ijms262110655 - 1 Nov 2025
Viewed by 715
Abstract
Heterotrimeric Gi proteins are crucial modulators of G protein-coupled receptor signaling, with Gαi2 ubiquitously expressed and implicated in diverse physiological processes. Previous reports described partial lethality in Gnai2-deficient mice, but the timing and mechanism of death remained unclear. Here, we [...] Read more.
Heterotrimeric Gi proteins are crucial modulators of G protein-coupled receptor signaling, with Gαi2 ubiquitously expressed and implicated in diverse physiological processes. Previous reports described partial lethality in Gnai2-deficient mice, but the timing and mechanism of death remained unclear. Here, we demonstrate that impaired neonatal respiratory adaptation contributes to mortality in Gnai2-deficient neonates. Despite normal Mendelian distribution at birth and no overt malformations, at least 20% of the expected Gnai2-deficient neonates died within minutes after birth, displaying abnormal breathing, cyanosis, and features resembling neonatal respiratory distress syndrome (RDS). Histological and ultrastructural analyses revealed reduced alveolar surface area, thickened septa, increased mesenchymal tissue, and impaired surfactant ultrastructure, despite unaltered alveolar surfactant phospholipid levels. These findings suggest that Gαi2 modulates the structural deployment and functional organization of surfactant within alveoli, although the incomplete phenotype and survival of some neonates indicate a regulatory rather than indispensable role of Gαi2. Our data underscore the complexity of neonatal respiratory adaptation and highlight potential systemic and intercellular mechanisms underlying alveolar stabilization. Full article
Show Figures

Figure 1

16 pages, 616 KB  
Systematic Review
Pediatric Coccidioidal Meningitis: A Systematic Review and Proportional Synthesis of Cases Reported in the Fluconazole Era (2000–2025)
by Maria F. De la Cerda-Vargas, Pedro Navarro-Dominguez, Elizabeth Meza-Mata, Melisa A. Muñoz-Hernandez, Fany Karina Segura-Lopez, Marisela Del Rocio Gonzalez-Martinez, Hector A. Delgado-Aguirre, Sergio Valente Flores-Miranda, David de Jesús Mercado-Rubio, Yair O. Adame-Martínez, Geovanni A. Valadez-Altamira and Jose Antonio Candelas-Rangel
J. Fungi 2025, 11(10), 713; https://doi.org/10.3390/jof11100713 - 1 Oct 2025
Viewed by 1165
Abstract
Coccidioidal meningitis (CM) is a rare but life-threatening complication of disseminated coccidioidomycosis, occurring in ~16% of cases, particularly among children in endemic regions such as the southwestern US and northern Mexico. Without timely diagnosis and antifungal therapy, pediatric CM is almost universally fatal [...] Read more.
Coccidioidal meningitis (CM) is a rare but life-threatening complication of disseminated coccidioidomycosis, occurring in ~16% of cases, particularly among children in endemic regions such as the southwestern US and northern Mexico. Without timely diagnosis and antifungal therapy, pediatric CM is almost universally fatal within the first year. Hydrocephalus develops in up to 50% of cases. In 2000, Galgiani et al. established fluconazole as first-line therapy for CM. Subsequent guidelines refined management but did not specifically address pediatric patients (>1 month–≤19 years). No studies in the fluconazole era have systematically evaluated risk factors for complications in this population. We therefore conducted a systematic review and proportional synthesis of pediatric CM cases, focusing on CNS complications and outcomes. PubMed/MEDLINE, Embase (Ovid), and Web of Science were systematically searched (2000–2025). PROSPERO registration ID (1130290). Inclusion criteria encompassed epidemiological studies, case series, and case reports that described at least one pediatric case of CM or CNS involvement, confirmed by diagnostic methods. Cases in adults, neonates (<1 month), congenital infections, teratogenicity studies, reviews, or incomplete reports were excluded. Only cases with complete individual data (n = 48) were included. Methodological rigor was ensured using JBI Critical Appraisal Tools. Of 1089 studies, 31 met the inclusion criteria, representing 3874 pediatric cases. CM/CNS involvement was confirmed in 165 cases (4.25%; 95% CI: 3.6–4.9%), with hydrocephalus in 62 (37.5%). Among 48 case reports with complete data, fluconazole was first-line therapy in 65%. Serum CF titers ≥ 1:16 were associated with hydrocephalus plus stroke (p = 0.027) and independently predicted adverse outcomes (relapse/death; OR = 4.5, p = 0.037), whereas lifelong azole therapy was associated with improved outcomes (overall survival mean, 82 vs. 32 months; p = 0.002). Pediatric CM remains highly lethal, with hydrocephalus a frequent and severe complication. High serum CF titers (≥1:16) predict poor outcomes, emphasizing the urgent need for standardized, pediatric-specific diagnosis and management guidelines. Full article
(This article belongs to the Special Issue Pediatric Fungal Infections, 2nd Edition)
Show Figures

Figure 1

20 pages, 1048 KB  
Review
How Does Porcine Epidemic Diarrhea Virus Escape Host Innate Immunity?
by Jinyuan Li, Hao Lu, Gaowei Hu, Shengmei Pang, Yuqing Xie, Guoqiang Zhu and Xueyan Ding
Pathogens 2025, 14(10), 971; https://doi.org/10.3390/pathogens14100971 - 25 Sep 2025
Cited by 1 | Viewed by 1199
Abstract
Porcine epidemic diarrhea virus (PEDV), the causative agent of porcine epidemic diarrhea (PED), induces vomiting, watery diarrhea, and severe dehydration in pigs. It exhibits particularly high lethality in neonatal piglets, posing a significant threat to the global swine industry and inflicting substantial economic [...] Read more.
Porcine epidemic diarrhea virus (PEDV), the causative agent of porcine epidemic diarrhea (PED), induces vomiting, watery diarrhea, and severe dehydration in pigs. It exhibits particularly high lethality in neonatal piglets, posing a significant threat to the global swine industry and inflicting substantial economic losses. The host innate immune system serves as the primary defense against viral invasion; however, PEDV employs multiple strategies to evade this response. This review systematically summarizes the multiple molecular mechanisms by which PEDV evaded the host’s innate immunity, including interfering with host intracellular signaling pathways by virally encoded proteins, antagonizing the host’s antiviral factors and related immune genes to suppress the innate immune responses, and regulating the autophagy process of the host cells, thereby achieving the escape of the host’s innate immunity. A comprehensive understanding of how PEDV subverts innate immunity is crucial for developing effective control strategies and therapeutics. This review aims to provide novel insights and potential targets for combating PED. Full article
(This article belongs to the Section Viral Pathogens)
Show Figures

Figure 1

14 pages, 2600 KB  
Article
SADS-CoV nsp5 Inhibits Interferon Production by Targeting Kinase IKKε
by Gaoli She, Chunhui Zhong, Yue Pan, Zexin Chen, Jingmin Li, Mingchong Li, Yufang Liu, Yongchang Cao, Xiaona Wei and Chunyi Xue
Microorganisms 2025, 13(7), 1494; https://doi.org/10.3390/microorganisms13071494 - 26 Jun 2025
Viewed by 799
Abstract
Swine acute diarrhea syndrome coronavirus (SADS-CoV), initially identified in China in February 2017, severely impacts the swine industry by causing lethal watery diarrhea in neonatal piglets. Understanding the molecular mechanism employed by SADS-CoV to evade the host’s immune defenses is of utmost importance. [...] Read more.
Swine acute diarrhea syndrome coronavirus (SADS-CoV), initially identified in China in February 2017, severely impacts the swine industry by causing lethal watery diarrhea in neonatal piglets. Understanding the molecular mechanism employed by SADS-CoV to evade the host’s immune defenses is of utmost importance. In this study, using the porcine ileum epithelial cell line IPI-FX as an in vitro model, we investigated the highly pathogenic SADS-CoV GDS04 strain and its nonstructural protein 5 (nsp5) for their roles in inhibiting interferon-beta (IFN-β) production. Our findings indicated that GDS04 inhibited poly(I:C)-induced IFN-β production by impeding the promoter activities of IRF3 and NF-κB. As a 3C-like protease, SADS-CoV nsp5 functioned as an interferon inhibitor by interacting with IKKε, reducing its protein abundance, and inhibiting its phosphorylation. This study enhances our understanding of the interaction between coronaviruses and their hosts, providing novel insights into the evasion of the immune system by coronaviruses. Full article
(This article belongs to the Special Issue Research on Swine Virus Infection and Immunity)
Show Figures

Figure 1

11 pages, 494 KB  
Case Report
Prenatal Diagnosis of Acrania in One Twin of a Dichorionic Diamniotic Pregnancy: A Case Report on Management and Perinatal Outcome
by Agnieszka Żalińska, Weronika Marcinkowska, Filip Gągorowski, Łukasz Sokołowski, Michał Krekora, Przemysław Oszukowski and Agnieszka Pięta-Dolińska
Reports 2025, 8(2), 75; https://doi.org/10.3390/reports8020075 - 22 May 2025
Viewed by 2036
Abstract
Background and Clinical Significance: Twin pregnancies are associated with an increased risk of congenital malformations. One of them is rare but lethal—acrania—which belongs to the group of neural tube defects. The pathogenesis of acrania is not fully understood. It is presumed that [...] Read more.
Background and Clinical Significance: Twin pregnancies are associated with an increased risk of congenital malformations. One of them is rare but lethal—acrania—which belongs to the group of neural tube defects. The pathogenesis of acrania is not fully understood. It is presumed that the underlying mechanism of its development is a disorder of migration of mesenchymal tissue. The presence of an acrania in one of the twins may lead to complications such as polyhydramnios, preterm labor, or, in severe cases, an intrauterine death in one or both twins. Case Presentation: A 30-year-old woman (G4P4) was admitted to the Labor Department of a tertiary hospital in 30+3 weeks due to preterm labor. The patient was in a dichorionic diamniotic twin pregnancy with a single lethal fetal anomaly and severe polyhydramnios of a second twin. Hence, the caesarean section was immediately performed. Both twins were admitted to the Neonatology Department. The healthy neonate was hospitalized and discharged after 42 days in good condition. Palliative care for the twin with acrania was provided. Conclusions: Early detection of acrania in twin pregnancies is critical. It allows the implementation of appropriate management and targeted counseling, thereby minimizing the risk of complications both for unaffected twins and the mothers. Our case is a good model of action where a twin pregnancy with a diagnosed lethal defect in an ambulatory setting was managed, providing holistic specialized care. Full article
Show Figures

Figure 1

12 pages, 2399 KB  
Case Report
Early Neonatal Fosdenopterin Treatment for Molybdenum Cofactor Deficiency Type A: New Insights into Its Natural History and Potential Role for Fetal Therapy
by Adolfo Etchegaray, Darrah Haffner, Stephanie M. Cruz, Oluseyi Ogunleye, Jason Xia, Amy Schlegel, Oluyinka O. Olutoye and Bimal P. Chaudhari
J. Clin. Med. 2025, 14(10), 3561; https://doi.org/10.3390/jcm14103561 - 20 May 2025
Cited by 1 | Viewed by 1782
Abstract
Introduction: Molybdenum cofactor deficiency (MoCD) is a rare, lethal disorder characterized by early-onset encephalopathy and seizures. In 2021, fosdenopterin (NulibryTM) became the first FDA-approved treatment for MoCD type A (MoCD-A). Case Presentation: A G3P2 woman with a prior affected child underwent [...] Read more.
Introduction: Molybdenum cofactor deficiency (MoCD) is a rare, lethal disorder characterized by early-onset encephalopathy and seizures. In 2021, fosdenopterin (NulibryTM) became the first FDA-approved treatment for MoCD type A (MoCD-A). Case Presentation: A G3P2 woman with a prior affected child underwent prenatal diagnosis of MoCD-A at 16 weeks via amniocentesis. Fetal Magnetic Resonance Imaging (MRI) at 22 weeks was normal but showed a mega cisterna magna by 28 weeks. Concerns of ongoing brain damage led to a cesarean section at 32 weeks 6 days estimated gestational age (EGA). Intravenous fosdenopterin was administered within 10 min of birth. Seizures started around 12 h and escalated to status epilepticus by 24 h but resolved by 60 h with treatment. Early MRI demonstrated acute injury without chronic changes. The infant was discharged on day 37 and diagnosed with spastic quadriplegic cerebral palsy at 6 months, with cognition relatively spared. At 24 months, the child remains seizure-free with moderate motor impairment. Conclusions: This case highlights that brain injury in MoCD-A may commence in utero during the second trimester. Early delivery combined with immediate neonatal fosdenopterin treatment controlled seizures and halted progression, but residual injury suggests that prenatal interventions are necessary to optimize outcomes. Full article
(This article belongs to the Section Clinical Pediatrics)
Show Figures

Graphical abstract

28 pages, 2866 KB  
Review
Gastrointestinal and Intra-Abdominal Mucormycosis in Non-Haematological Patients—A Comprehensive Review
by Benoît Henry, Alain Lefevre Utile, Stephane Jaureguiberry and Adela Angoulvant
J. Fungi 2025, 11(4), 298; https://doi.org/10.3390/jof11040298 - 9 Apr 2025
Cited by 6 | Viewed by 2279
Abstract
Intra-abdominal and gastrointestinal mucormycosis are less frequent than rhino-orbito-cerebral and pulmonary mucormycosis, but highly lethal. Their diagnosis remains challenging due to the non-specific clinical presentation. We collected English-language cases of intra-abdominal and gastrointestinal mucormycosis in non-haematological and non-neonatal patients published up to October [...] Read more.
Intra-abdominal and gastrointestinal mucormycosis are less frequent than rhino-orbito-cerebral and pulmonary mucormycosis, but highly lethal. Their diagnosis remains challenging due to the non-specific clinical presentation. We collected English-language cases of intra-abdominal and gastrointestinal mucormycosis in non-haematological and non-neonatal patients published up to October 2024. This review analysed the epidemiological, clinical, and therapeutic charts of 290 cases. A proportion of 53.4% were reported from India and the USA. The main predisposing conditions were diabetes, solid organ transplant, ICU, and corticosteroid treatment. The most common site was the stomach (53.8%). Gastrointestinal perforation, skin breakdown, and abdominal wall infection were sources of intra-abdominal localisation. The most common symptoms were abdominal pain, vomiting, and gastrointestinal bleeding. The diagnosis relied on histology (93.8%), mycology with microscopy and culture (38.8%), and molecular methods (9.9%). Mortality (52.9%) was lower when treatment was intravenous amphotericin B, combined or not with surgery. Prompt treatment, essential for a favourable outcome, relies on early suspicion and diagnosis. Gastrointestinal and intra-abdominal mucormycosis should also be suspected in patients admitted in ICU with ventilation/nasogastric tube and corticosteroids and those with abdominal trauma or surgery, presenting abdominal distension, pain, and GI bleeding. Mycological diagnosis including direct examination, culture and Mucorales qPCR on tissue should assist with rapid diagnosis and thus treatment. Full article
Show Figures

Figure 1

17 pages, 4416 KB  
Systematic Review
Neonatal Mucormycosis: A Rare but Highly Lethal Fungal Infection in Term and Preterm Newborns—A 20-Year Systematic Review
by Alfredo Valdez-Martinez, Mónica Ingrid Santoyo-Alejandre, Roberto Arenas, Claudia Erika Fuentes-Venado, Tito Ramírez-Lozada, Fernando Bastida-González, Claudia Camelia Calzada-Mendoza, Erick Martínez-Herrera and Rodolfo Pinto-Almazán
Trop. Med. Infect. Dis. 2025, 10(4), 86; https://doi.org/10.3390/tropicalmed10040086 - 24 Mar 2025
Viewed by 1917
Abstract
Background/Objectives: Mucormycosis is a rare but life-threatening fungal infection, particularly in neonates, due to their undeveloped immune system. This systematic review aims to analyze the risk factors, clinical presentations, treatments, and outcomes of neonatal mucormycosis reported between 2004 and 2024. Methods: A systematic [...] Read more.
Background/Objectives: Mucormycosis is a rare but life-threatening fungal infection, particularly in neonates, due to their undeveloped immune system. This systematic review aims to analyze the risk factors, clinical presentations, treatments, and outcomes of neonatal mucormycosis reported between 2004 and 2024. Methods: A systematic literature search was conducted in PubMed, Scopus, and Web of Science following PRISMA guidelines. Only studies reporting cases of mucormycosis in neonates (≤28 days old) were included. Data on risk factors, clinical features, diagnostic methods, antifungal therapies, surgical interventions, and outcomes were extracted and analyzed. Results: A total of 44 studies met the inclusion criteria, comprising 61 neonatal cases. The most common clinical presentations were gastrointestinal (n = 39), cutaneous (n = 19), rhino-orbito-cerebral (n = 2), and disseminated mucormycosis (n = 1). Diagnosis was primarily based on histopathology (93.4%) and fungal culture (26.2%). The main antifungal treatment was liposomal amphotericin B (63.9%), often combined with surgical debridement (60.6%). Mortality rates remained high (47.5%), particularly in cases of prematurely extreme neonates with angioinvasive disease or delayed diagnosis. Conclusions: Neonatal mucormycosis remains a severe condition with high morbidity and mortality. Early diagnosis through a combination of clinical suspicion and laboratory confirmation, along with prompt antifungal therapy and surgical management, apparently is crucial for improving outcomes. Further studies are needed to optimize treatment strategies and improve neonatal survival. Full article
(This article belongs to the Special Issue Monitoring and Diagnosis of Invasive Fungal Infections)
Show Figures

Figure 1

19 pages, 285 KB  
Article
Influence of Sociodemographic Factors on Level Stress and Coping Strategies of Nurses and Midwives Caring for Newborns with Lethal Defects
by Katarzyna Anna Urbańska, Beata Naworska and Agnieszka Drosdzol-Cop
Nurs. Rep. 2025, 15(4), 116; https://doi.org/10.3390/nursrep15040116 - 21 Mar 2025
Cited by 2 | Viewed by 1921 | Correction
Abstract
Introduction: Nurses and midwives caring for newborns with lethal defects experience significant emotional stress. Understanding coping strategies and the factors influencing stress is crucial for improving their well-being and ensuring high-quality care. Objectives: The aim of this study was to identify the coping [...] Read more.
Introduction: Nurses and midwives caring for newborns with lethal defects experience significant emotional stress. Understanding coping strategies and the factors influencing stress is crucial for improving their well-being and ensuring high-quality care. Objectives: The aim of this study was to identify the coping strategies used by nurses and midwives in stressful situations and to analyse the relationship between stress levels and selected sociodemographic and professional factors. Methods: A cross-sectional study was conducted in the second quarter of 2023 among 307 nurses and midwives working in neonatal and obstetric wards in the Silesian metropolitan area, Poland. A diagnostic survey method was applied using a standardised questionnaire. The Perceived Stress Scale (PSS-10) and the MINI-COPE Inventory were used to assess stress levels and coping mechanisms. A stratified random sampling method was employed to ensure representation from various professional backgrounds. Data analysis was conducted using descriptive statistics, chi-square tests, Spearman’s correlation, and Cohen’s d coefficient, with statistical significance set at p < 0.05. Results: High stress levels were associated with shorter professional experience, frequent exposure to lethal defects, and emotional discomfort in interactions with grieving families. The most commonly used coping strategies were active coping (M = 2.06, SD = 0.635) and planning (M = 1.95, SD = 0.590), whereas self-blame (M = 1.20, SD = 0.714, p < 0.001) and denial (M = 0.88, SD = 0.751, p < 0.001) were linked to higher stress levels. Positive reinterpretation (r = −0.211, p < 0.001) and seeking emotional support (r = −0.129, p = 0.024) correlated with lower stress levels. Nurses and midwives with secondary education reported higher stress levels compared to those with higher education (χ2(10) = 30.651, p = 0.001). Work experience played a role, with moderate stress levels most frequently observed among those with 2–5 years of professional experience (χ2(14) = 24.023, p = 0.046). Emotional involvement, particularly supporting parents during their farewell to the child (69.1%), was identified as the most stressful aspect of their work. Conclusions: Promoting adaptive coping strategies, such as positive reinterpretation and emotional support, can help reduce stress and improve the well-being of nurses and midwives. Implementing psychological support programmes and stress management training is essential for maintaining high-quality neonatal care. Full article
14 pages, 888 KB  
Article
Snake Venom Makeover: Age-Dependent Variations in Procoagulant Biochemistry of Egyptian Saw-Scaled Viper (Echis pyramidum pyramidum) Venom
by Alex Barker, Lee Jones, Lachlan A. Bourke, Lorenzo Seneci, Abhinandan Chowdhury, Aude Violette, Rudy Fourmy, Raul Soria, Matt Aldridge and Bryan G. Fry
Toxins 2025, 17(3), 149; https://doi.org/10.3390/toxins17030149 - 19 Mar 2025
Cited by 3 | Viewed by 3958
Abstract
Echis species (saw-scaled vipers) are WHO Category 1 medically significant venomous snakes with potent procoagulant venoms, which cause lethal venom-induced consumptive coagulopathy in human victims. Despite clinical presentations of bites varying significantly between individuals within the same species, the contribution of age-related changes [...] Read more.
Echis species (saw-scaled vipers) are WHO Category 1 medically significant venomous snakes with potent procoagulant venoms, which cause lethal venom-induced consumptive coagulopathy in human victims. Despite clinical presentations of bites varying significantly between individuals within the same species, the contribution of age-related changes in the venom biochemistry has not been investigated. This study investigated the ontogenetic changes in Echis pyramidum pyramidum venom and its impact on therapeutic efficacy. The efficacy of various antivenoms (Echitab, Echitab+ ICP, Inosan MENA, Inosan Pan African, and SAVP-Echis) was tested against both venom phenotypes. While both neonate and adult venoms were procoagulant, there were differences in the underlying biochemistry. Neonate venom was found to potently pathophysiologically activate Factor VII and Factor X, and to a lesser degree Factor XII. In contrast, adult venom was a slower clotter, less potent in activating FVII, equipotent with neonate venom on FXII, and inactive on FX. This is the first documentation of FVII and FXII activation for any Echis venom. The significant ontogenetic toxicological variations in Echis species were shown to impact antivenom efficacy. Among the tested antivenoms, SAVP-Echis was the most effective against both venom phenotypes, with adult venom being better neutralized. These findings suggest the need for a reconsideration of venom mixture selection in antivenom production through the inclusion of neonate venom. Additionally, the results indicate differential ontogenetic predatory ecology, providing a foundation for future natural history investigations. Full article
(This article belongs to the Special Issue Snake Bite and Related Injury)
Show Figures

Figure 1

13 pages, 35894 KB  
Article
An Artificial Intelligence Approach to the Craniofacial Recapitulation of Crisponi/Cold-Induced Sweating Syndrome 1 (CISS1/CISS) from Newborns to Adolescent Patients
by Giulia Pascolini, Dario Didona and Luigi Tarani
Diagnostics 2025, 15(5), 521; https://doi.org/10.3390/diagnostics15050521 - 21 Feb 2025
Viewed by 1493
Abstract
Background/Objectives: Crisponi/cold-induced sweating syndrome 1 (CISS1/CISS, MIM#272430) is a genetic disorder due to biallelic variants in CRFL1 (MIM*604237). The related phenotype is mainly characterized by abnormal thermoregulation and sweating, facial muscle contractions in response to tactile and crying-inducing stimuli at an early [...] Read more.
Background/Objectives: Crisponi/cold-induced sweating syndrome 1 (CISS1/CISS, MIM#272430) is a genetic disorder due to biallelic variants in CRFL1 (MIM*604237). The related phenotype is mainly characterized by abnormal thermoregulation and sweating, facial muscle contractions in response to tactile and crying-inducing stimuli at an early age, skeletal anomalies (camptodactyly of the hands, scoliosis), and craniofacial dysmorphisms, comprising full cheeks, micrognathia, high and narrow palate, low-set ears, and a depressed nasal bridge. The condition is associated with high lethality during the neonatal period and can benefit from timely symptomatic therapy. Methods: We collected frontal images of all patients with CISS1/CISS published to date, which were analyzed with Face2Gene (F2G), a machine-learning technology for the facial diagnosis of syndromic phenotypes. In total, 75 portraits were subdivided into three cohorts, based on age (Cohort 1 and 2) and the presence of the typical facial trismus (Cohort 3). These portraits were uploaded to F2G to test their suitability for facial analysis and to verify the capacity of the AI tool to correctly recognize the syndrome based on the facial features only. The photos which passed this phase (62 images) were fed to three different AI algorithms—DeepGestalt, Facial D-Score, and GestaltMatcher. Results: The DeepGestalt algorithm results, including the correct diagnosis using a frontal portrait, suggested a similar facial phenotype in the first two cohorts. Cohort 3 seemed to be highly differentiable. The results were expressed in terms of the area under the curve (AUC) of the receiver operating characteristic (ROC) curve and p Value. The Facial D-Score values indicated the presence of a consistent degree of dysmorphic signs in the three cohorts, which was also confirmed by the GestaltMatcher algorithm. Interestingly, the latter allowed us to identify overlapping genetic disorders. Conclusions: This is the first AI-powered image analysis in defining the craniofacial contour of CISS1/CISS and in determining the feasibility of training the tool used in its clinical recognition. The obtained results showed that the use of F2G can reveal valid support in the diagnostic process of CISS1/CISS, especially in more severe phenotypes, manifesting with facial contractions and potentially lethal consequences. Full article
Show Figures

Figure 1

Back to TopTop