Prenatal Diagnosis of Acrania in One Twin of a Dichorionic Diamniotic Pregnancy: A Case Report on Management and Perinatal Outcome
Abstract
1. Introduction and Clinical Significance
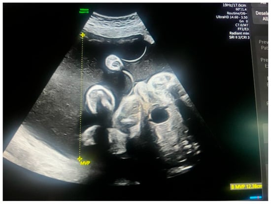
2. Case Presentation
3. Discussion
4. Conclusions
Author Contributions
Funding
Institutional Review Board Statement
Informed Consent Statement
Data Availability Statement
Conflicts of Interest
Abbreviations
| AEAS | Acrania–exencephaly–anencephaly sequence |
| NTDs | Neural tube defects |
| US | Ultrasound |
| MRI | Magnetic resonance imaging |
| pPROM | Premature preterm rupture of membrane |
| MVP | Maximal volume pocket |
| AFI | Amniotic fluid index |
| TTTS | Twin-to-twin transfusion syndrome |
| MTHFR | Methylenetetrahydofolate reductase gene |
| VANGL1 | Van Gogh-like planar cell polarity protein 1 |
References
- Ross, V.; Reidy, K.; Doyle, L.W.; Palma-Dias, R.; Umstad, M.P. Outcome of Twin Pregnancies Complicated by a Neural Tube Defect. Twin Res. Hum. Genet. 2018, 21, 263–268. [Google Scholar] [CrossRef]
- Martins Santana, E.F.; Araujo Júnior, E.; Tonni, G.; Costa, F.D.S.; Meagher, S. Acrania-Exencephaly-Anencephaly Sequence Phenotypic Characterization Using Two- and Three-Dimensional Ultrasound between 11 and 13 Weeks and 6 Days of Gestation. J. Ultrason. 2018, 18, 240–246. [Google Scholar] [CrossRef] [PubMed]
- Fleurke-Rozema, J.H.; van Leijden, L.; van de Kamp, K.; Pajkrt, E.; Bilardo, C.M.; Snijders, R.J.M. Timing of Detection of Anencephaly in The Netherlands. Prenat. Diagn. 2015, 35, 483–485. [Google Scholar] [CrossRef]
- Gorgal, R.; Ramalho, C.; Brandão, O.; Matias, A.; Montenegro, N. Revisiting Acrania: Same Phenotype, Different Aetiologies. Fetal Diagn. Ther. 2011, 29, 166–170. [Google Scholar] [CrossRef] [PubMed]
- Szkodziak, P.; Krzyżanowski, J.; Krzyżanowski, A.; Szkodziak, F.; Woźniak, S.; Czuczwar, P.; Kwaśniewska, A.; Paszkowski, T. The Role of the “Beret” Sign and Other Markers in Ultrasound Diagnostic of the Acrania–Exencephaly–Anencephaly Sequence Stages. Arch. Gynecol. Obstet. 2020, 302, 619–628. [Google Scholar] [CrossRef]
- Moore, K.L.; Persaud, T.V.N.; Torchia, M.G. The Developing Human: Clinically Oriented Embryology, 11th ed.; Elsevier: Amsterdam, The Netherlands, 2020. [Google Scholar]
- Litwinska, E.; Syngelaki, A.; Cimpoca, B.; Sapantzoglou, I.; Nicolaides, K.H. Intertwin Discordance in Fetal Size at 11–13 Weeks’ Gestation and Pregnancy Outcome. Ultrasound Obstet. Gynecol. 2020, 55, 189–197. [Google Scholar] [CrossRef]
- Wegrzyn, P.; Brawura-Biskupski-Samaha, R.; Borowski, D.; Górski, A.; Wielgoś, M. The Chorionic Bump Associated with Acrania—Case Report. Ginekol. Pol. 2013, 84, 1055–1058. [Google Scholar] [CrossRef] [PubMed]
- Egloff, A.; Bulas, D. Magnetic Resonance Imaging Evaluation of Fetal Neural Tube Defects. Semin. Ultrasound CT MRI 2015, 36, 487–500. [Google Scholar] [CrossRef]
- Oftedal, A.; Bekkhus, M.; Haugen, G.N.; Czajkowski, N.O.; Kaasen, A. The Impact of Diagnosed Fetal Anomaly, Diagnostic Severity and Prognostic Ambiguity on Parental Depression and Traumatic Stress: A Prospective Longitudinal Cohort Study. Acta Obstet. Gynecol. Scand. 2022, 101, 1291–1299. [Google Scholar] [CrossRef]
- Society for Maternal-Fetal Medicine; Monteagudo, A. Exencephaly-Anencephaly Sequence. Am. J. Obstet. Gynecol. 2020, 223, B5–B8. [Google Scholar] [CrossRef]
- Wang, M.; Jiang, X.C.; Lai, S.M.; Gan, Z.J.; Wang, J.N.; Zhan, B.D. Associations between Maternal Stressful Life Events Experiences and Risk of Neural Tube Defects in Offspring: A Systematic Review and Meta-Analysis. J. Matern. Fetal Neonatal Med. 2023, 36, 2279021. [Google Scholar] [CrossRef]
- Finnell, R.H.; Caiaffa, C.D.; Kim, S.-E.; Lei, Y.; Steele, J.; Cao, X.; Tukeman, G.; Lin, Y.L.; Cabrera, R.M.; Wlodarczyk, B.J. Gene Environment Interactions in the Etiology of Neural Tube Defects. Front. Genet. 2021, 12, 659612. [Google Scholar] [CrossRef] [PubMed]
- Vena, F.; D’Ambrosio, V.; Paladini, V.; Saluzzi, E.; Di Mascio, D.; Boccherini, C.; Spiniello, L.; Mondo, A.; Pizzuti, A.; Giancotti, A. Risk of Neural Tube Defects According to Maternal Body Mass Index: A Systematic Review and Meta-Analysis. J. Matern. Fetal Neonatal Med. 2022, 35, 7296–7305. [Google Scholar] [CrossRef] [PubMed]
- Daham, N.; AlMuqrin, A.; Madani, A.; AlSaif, F. Fetal Acrania (Exencephaly) in the Context of a Pregnant Female Taking Adalimumab for Psoriasis: A Case Report. Biologics 2020, 14, 127–129. [Google Scholar] [CrossRef]
- Blencowe, H.; Cousens, S.; Modell, B.; Lawn, J. Folic Acid to Reduce Neonatal Mortality from Neural Tube Disorders. Int. J. Epidemiol. 2010, 39, i110–i121. [Google Scholar] [CrossRef]
- Gong, R.; Wang, Z.-P.; Wang, M.; Gao, L.-J.; Zhao, Z.-T. Effects of Folic Acid Supplementation during Different Pregnancy Periods and Relationship with the Other Primary Prevention Measures to Neural Tube Defects. J. Matern. Fetal Neonatal Med. 2016, 29, 3894–3901. [Google Scholar] [CrossRef]
- MRC Vitamin Study Research Group. Prevention of Neural Tube Defects: Results of the Medical Research Council Vitamin Study. Lancet 1991, 338, 131–137. [Google Scholar] [CrossRef]
- Wang, X.; Yu, J.; Wang, J. Neural Tube Defects and Folate Deficiency: Is DNA Repair Defective? Int. J. Mol. Sci. 2023, 24, 2220. [Google Scholar] [CrossRef]
- Kancherla, V. Neural Tube Defects: A Review of Global Prevalence, Causes, and Primary Prevention. Childs Nerv. Syst. 2023, 39, 1703–1710. [Google Scholar] [CrossRef]
- US Preventive Services Task Force; Barry, M.J.; Nicholson, W.K.; Silverstein, M.; Chelmow, D.; Coker, T.R.; Davis, E.M.; Donahue, K.E.; Jaén, C.R.; Li, L.; et al. Folic Acid Supplementation to Prevent Neural Tube Defects: US Preventive Services Task Force Reaffirmation Recommendation Statement. JAMA 2023, 330, 454–459. [Google Scholar] [CrossRef]
- Viswanathan, M.; Urrutia, R.P.; Hudson, K.N.; Middleton, J.C.; Kahwati, L.C. Folic Acid Supplementation to Prevent Neural Tube Defects: Updated Evidence Report and Systematic Review for the US Preventive Services Task Force. JAMA 2023, 330, 460–466. [Google Scholar] [CrossRef]
- Periconceptional Folic Acid Supplementation to Prevent Neural Tube Defects. Available online: https://www.who.int/tools/elena/interventions/folate-periconceptional (accessed on 23 April 2025).
- Recommendations—Maternal and Child Nutrition: Nutrition and Weight Management in Pregnancy, and Nutrition in Children up to 5 Years—Guidance—NICE. Available online: https://www.nice.org.uk/guidance/ng247/chapter/Recommendations?fbclid=IwY2xjawJ1lmpleHRuA2FlbQIxMABicmlkETBUbXdZWTZIM3IzdWo2N1BOAR45Hj5oZ7xPaI6kS5vSxhO-xCYbpCunTNbBr0_v8GvVsyad9IH1pbGEzSStrw_aem_FooWi6nnlT3p-Lo-5yZdvQ#vitamin-supplementation (accessed on 23 April 2025).
- Ştefănescu, B.I.; Mihalache, T.I.; Constantin, G.B.; Ţocu, G.; Ştefănescu, M.M.; Bogdan Goroftei, R.E. Fetal Acrania Diagnosed at 17 Weeks of Gestation by 2D/3D Ultrasound: A Case Report and Literature Review. Rom. J. Morphol. Embryol. 2024, 65, 125–129. [Google Scholar] [CrossRef]
- Sharma, S.; Kaur, N.; Kaur, K.; Pawar, N.C. Role of Echocardiography in Prenatal Screening of Congenital Heart Diseases and Its Correlation with Postnatal Outcome. J. Clin. Diagn. Res. 2017, 11, TC12–TC14. [Google Scholar] [CrossRef] [PubMed]
- Syngelaki, A.; Cimpoca, B.; Litwinska, E.; Akolekar, R.; Nicolaides, K.H. Diagnosis of Fetal Defects in Twin Pregnancies at Routine 11–13-Week Ultrasound Examination. Ultrasound Obstet. Gynecol. 2020, 55, 474–481. [Google Scholar] [CrossRef] [PubMed]
- Gedikbasi, A.; Akyol, A.; Yildirim, G.; Ekiz, A.; Gul, A.; Ceylan, Y. Twin Pregnancies Complicated by a Single Malformed Fetus: Chorionicity, Outcome and Management. Twin Res. Hum. Genet. 2010, 13, 501–507. [Google Scholar] [CrossRef]
- Kristensen, S.E.; Ekelund, C.K.; Sandager, P.; Jørgensen, F.S.; Hoseth, E.; Sperling, L.; Balaganeshan, S.B.; Hjortshøj, T.D.; Gadsbøll, K.; Wright, A.; et al. Risks and Pregnancy Outcome after Fetal Reduction in Dichorionic Twin Pregnancies: A Danish National Retrospective Cohort Study. Am. J. Obstet. Gynecol. 2023, 228, 590.e1–590.e12. [Google Scholar] [CrossRef] [PubMed]
- Legendre, C.-M.; Moutel, G.; Drouin, R.; Favre, R.; Bouffard, C. Differences between Selective Termination of Pregnancy and Fetal Reduction in Multiple Pregnancy: A Narrative Review. Reprod. Biomed. Online 2013, 26, 542–554. [Google Scholar] [CrossRef]
- Mappaware, N.A.; Irianta, T.; Avisha, M. Ethical Dilemmas in Voluntary Termination of Pregnancy with Severe Congenital Anomalies. Ethics Med. Public Health 2025, 33, 101084. [Google Scholar] [CrossRef]
- Pasquini, L.; Ponziani, I.; Pallottini, M.; Masini, G.; Seravalli, V.; Dani, C.; Di Tommaso, M. Obstetric and Neonatal Outcomes in Mild Idiopathic Polyhydramnios. Children 2022, 9, 1624. [Google Scholar] [CrossRef]
- Hamza, A.; Herr, D.; Solomayer, E.F.; Meyberg-Solomayer, G. Polyhydramnios: Causes, Diagnosis and Therapy. Geburtshilfe Frauenheilkd. 2013, 73, 1241–1246. [Google Scholar] [CrossRef]
- Laoreti, A.; Sala, V.; Casati, D.; Faiola, S.; Spaccini, L.; Cetin, I.; Lanna, M.M. Amnioreduction for Polyhydramnios in a Consecutive Series at a Single Center: Indications, Risks and Perinatal Outcomes. Children 2024, 11, 502. [Google Scholar] [CrossRef] [PubMed]
- Mari, G.; Roberts, A.; Detti, L.; Kovanci, E.; Stefos, T.; Bahado-Singh, R.O.; Deter, R.L.; Fisk, N.M. Perinatal Morbidity and Mortality Rates in Severe Twin-Twin Transfusion Syndrome: Results of the International Amnioreduction Registry. Am. J. Obstet. Gynecol. 2001, 185, 708–715. [Google Scholar] [CrossRef]
- Soni, S.; Paidas Teefey, C.; Gebb, J.S.; Khalek, N.; Neary, K.; Miller, K.; Moldenhauer, J.S. Amnioreduction vs Expectant Management in Pregnancies with Moderate to Severe Polyhydramnios. Am. J. Obstet. Gynecol. MFM 2023, 5, 101192. [Google Scholar] [CrossRef]
- Kosinski, P.; Borowski, D.; Brawura-Biskupski-Samaha, R.; Cnota, W.; Debska, M.; Drews, K.; Grzesiak, M.; Jaczynska, R.; Janiak, K.; Kaczmarek, P.; et al. Fetal Therapy Guidelines of the Polish Society of Gynecologists and Obstetricians—Fetal Therapy Section. Ginekol. Pol. 2024, 95, 285–315. [Google Scholar] [CrossRef]
- Gordon, Z.; Fattal-Valevski, A.; Elad, D.; Jaffa, A.J. Controlled Amnioreduction for Twin-to-Twin Transfusion Syndrome. Ther. Adv. Reprod. Health 2022, 16, 26334941221080727. [Google Scholar] [CrossRef]
- Sadlecki, P.; Walentowicz-Sadlecka, M. Prenatal Diagnosis of Fetal Defects and Its Implications on the Delivery Mode. Open Med. 2023, 18, 20230704. [Google Scholar] [CrossRef]
- Hata, T.; Kanenishi, K.; Hanaoka, U.; Sasaki, M.; Yanagihara, T. Inter-Twin Contact in a Case of Monochorionic Diamniotic Twins with Acrania of One Twin Fetus at 10-13 Weeks’ Gestation. J. Med. Ultrason. 2012, 39, 45–47. [Google Scholar] [CrossRef] [PubMed]
- Thompson, M.; Otigbah, C.M. P05.06: Monochorionic Twins Discordant for Acrania with TTTS. Ultrasound Obstet. Gynecol. 2010, 36, 186. [Google Scholar] [CrossRef]
- Sepulveda, W.; Wong, A.E.; Sandoval, R.; Aiello, H.; Otaño, L. Monoamniotic Twin Pregnancy Discordant for Lethal Open Cranial Defect: Management Dilemmas. Prenat. Diagn. 2011, 31, 578–582. [Google Scholar] [CrossRef]
- Gibbs, T.S.; Bass, J.; Andrew, M. Exencephaly with Ectopia Cordis: A Rare Finding in a Twin Pregnancy. J. Diagn. Med. Sonogr. 2012, 28, 233–239. [Google Scholar] [CrossRef]
- Acrania: Review of 13 Cases. Available online: https://thefetus.net/content/acrania-review-of-13-cases (accessed on 16 May 2025).
- Bekkhus, M.; Oftedal, A.; Braithwaite, E.; Haugen, G.; Kaasen, A. Paternal Psychological Stress After Detection of Fetal Anomaly During Pregnancy. A Prospective Longitudinal Observational Study. Front. Psychol. 2020, 11, 1848. [Google Scholar] [CrossRef]
- Carlsson, T.; Mattsson, E. Emotional and Cognitive Experiences during the Time of Diagnosis and Decision-Making Following a Prenatal Diagnosis: A Qualitative Study of Males Presented with Congenital Heart Defect in the Fetus Carried by Their Pregnant Partner. BMC Pregnancy Childbirth 2018, 18, 26. [Google Scholar] [CrossRef]
- Mutti, G.; Ait Ali, L.; Marotta, M.; Nunno, S.; Consigli, V.; Baratta, S.; Orsi, M.L.; Mastorci, F.; Vecoli, C.; Pingitore, A.; et al. Psychological Impact of a Prenatal Diagnosis of Congenital Heart Disease on Parents: Is It Time for Tailored Psychological Support? J. Cardiovasc. Dev. Dis. 2024, 11, 31. [Google Scholar] [CrossRef] [PubMed]
- Zhou, Y.; Huang, J.; Baker, P.N.; Liao, B.; Yu, X. The Prevalence and Associated Factors of Prenatal Depression and Anxiety in Twin Pregnancy: A Cross-Sectional Study in Chongqing, China. BMC Pregnancy Childbirth 2022, 22, 877. [Google Scholar] [CrossRef] [PubMed]
- Coussons-Read, M.E. Effects of Prenatal Stress on Pregnancy and Human Development: Mechanisms and Pathways. Obstet. Med. 2013, 6, 52–57. [Google Scholar] [CrossRef] [PubMed]
- Dunkel Schetter, C.; Tanner, L. Anxiety, Depression and Stress in Pregnancy: Implications for Mothers, Children, Research, and Practice. Curr. Opin. Psychiatry 2012, 25, 141–148. [Google Scholar] [CrossRef]
- McNamara, K.; O’Donoghue, K.; O’Connell, O.; Greene, R.A. Antenatal and Intrapartum Care of Pregnancy Complicated by Lethal Fetal Anomaly. Obstet. Gynaecol. 2013, 15, 189–194. [Google Scholar] [CrossRef]


Disclaimer/Publisher’s Note: The statements, opinions and data contained in all publications are solely those of the individual author(s) and contributor(s) and not of MDPI and/or the editor(s). MDPI and/or the editor(s) disclaim responsibility for any injury to people or property resulting from any ideas, methods, instructions or products referred to in the content. |
© 2025 by the authors. Licensee MDPI, Basel, Switzerland. This article is an open access article distributed under the terms and conditions of the Creative Commons Attribution (CC BY) license (https://creativecommons.org/licenses/by/4.0/).
Share and Cite
Żalińska, A.; Marcinkowska, W.; Gągorowski, F.; Sokołowski, Ł.; Krekora, M.; Oszukowski, P.; Pięta-Dolińska, A. Prenatal Diagnosis of Acrania in One Twin of a Dichorionic Diamniotic Pregnancy: A Case Report on Management and Perinatal Outcome. Reports 2025, 8, 75. https://doi.org/10.3390/reports8020075
Żalińska A, Marcinkowska W, Gągorowski F, Sokołowski Ł, Krekora M, Oszukowski P, Pięta-Dolińska A. Prenatal Diagnosis of Acrania in One Twin of a Dichorionic Diamniotic Pregnancy: A Case Report on Management and Perinatal Outcome. Reports. 2025; 8(2):75. https://doi.org/10.3390/reports8020075
Chicago/Turabian StyleŻalińska, Agnieszka, Weronika Marcinkowska, Filip Gągorowski, Łukasz Sokołowski, Michał Krekora, Przemysław Oszukowski, and Agnieszka Pięta-Dolińska. 2025. "Prenatal Diagnosis of Acrania in One Twin of a Dichorionic Diamniotic Pregnancy: A Case Report on Management and Perinatal Outcome" Reports 8, no. 2: 75. https://doi.org/10.3390/reports8020075
APA StyleŻalińska, A., Marcinkowska, W., Gągorowski, F., Sokołowski, Ł., Krekora, M., Oszukowski, P., & Pięta-Dolińska, A. (2025). Prenatal Diagnosis of Acrania in One Twin of a Dichorionic Diamniotic Pregnancy: A Case Report on Management and Perinatal Outcome. Reports, 8(2), 75. https://doi.org/10.3390/reports8020075

