Sign in to use this feature.

Years

Between: -

Subjects

remove_circle_outline
remove_circle_outline
remove_circle_outline
remove_circle_outline
remove_circle_outline
remove_circle_outline
remove_circle_outline

Journals

Article Types

Countries / Regions

Search Results (22)

Search Parameters:
Keywords = mouse dental pulp cells

Order results
Result details
Results per page
Select all
Export citation of selected articles as:
11 pages, 1820 KB  
Article
Establishment of Dental Pulp Cell Culture System for Analyzing Dentinogenesis in Mouse Incisors
by Yuka Kato, Insoon Chang and Satoshi Yokose
Dent. J. 2025, 13(6), 270; https://doi.org/10.3390/dj13060270 - 18 Jun 2025
Viewed by 757
Abstract
Background: The dentin–pulp complex plays a vital role in tooth health. Dentin forms the main body the tooth and continues to form throughout life to maintain homeostasis and provide protection against deleterious external stimuli. However, the detailed mechanism of dentin formation remains [...] Read more.
Background: The dentin–pulp complex plays a vital role in tooth health. Dentin forms the main body the tooth and continues to form throughout life to maintain homeostasis and provide protection against deleterious external stimuli. However, the detailed mechanism of dentin formation remains poorly understood, and there is a need for new regenerative therapies. This study therefore investigated whether primary dental pulp cells from mice could be used to establish a new culture system. Methods: Mouse mandibles were divided along the ramus to extract dental pulp tissue containing cervical loops. The extracted tissue was cultured in an incubator to promote cell out-growth and increase the number of cells available for experimentation. Results: Cultured cells formed mineralized nodules, confirmed by Alizarin red S staining. The expression levels of dentin sialo protein, bone gamma-carboxyglutamate protein, and type I collagen mRNAs in cultured dental pulp cells on day 15 were lower than those in intact mouse dental pulp tissue, and the expression of all mRNAs was confirmed through electrophoresis. Conclusions: This study established a primary culture system using dental pulp tissue extracted from mouse mandibular incisors. The results demonstrated that dental pulp cells can differentiate into odontoblast-like cells and form dentin-like mineralized nodules, thereby offering a useful system for studying dentin formation and odontoblast differentiation. Full article
Show Figures

Figure 1

18 pages, 2586 KB  
Article
Delayed Tooth Development and the Impaired Differentiation of Stem/Progenitor Cells in Incisors from Type 2 Diabetes Mice
by Yoshifumi Kobayashi, Jia Huang, Brandon K. Barnett, Carla Y. Falcon, Paul A. Falcon, Craig S. Hirschberg, Daniel H. Fine, Yi Ye and Emi Shimizu
Int. J. Mol. Sci. 2024, 25(24), 13619; https://doi.org/10.3390/ijms252413619 - 19 Dec 2024
Cited by 2 | Viewed by 2515
Abstract
Patients with diabetes mellitus (DM) have an increased risk of tooth decay caused by alterations in their tooth development and their oral environment, as well as a tendency to present with pulp infection due to compromised immune response. The present study analyzed the [...] Read more.
Patients with diabetes mellitus (DM) have an increased risk of tooth decay caused by alterations in their tooth development and their oral environment, as well as a tendency to present with pulp infection due to compromised immune response. The present study analyzed the characteristic alterations in tooth development under DM conditions using incisors from db/db type 2 diabetic mouse model (T2DM mice). In micro-CT analyses, T2DM mice showed delayed dentin and enamel formation. Through transcriptomic analyses, pre-ameloblast- and pre-odontoblast-specific genes were found to be significantly decreased in the incisors of T2DM mice, whereas major ameloblast- and mature odontoblast-specific genes were not changed. Stem cell markers were decreased in T2DM mice compared to those from the control mice, suggesting that the stemness of dental pulp cells (DPCs) is attenuated in T2DM mice. In vitro analyses demonstrated that DPCs from T2DM mice have lower colony-forming units (CFU), slower propagation, and diminished differentiation characteristics compared to the control. These data suggest that T2DM conditions could impair the differentiation property of multiple progenitor/stem cells in the tooth, resulting in delayed tooth development in T2DM mice. Full article
Show Figures

Graphical abstract

15 pages, 1564 KB  
Article
Evaluation of Cytotoxicity of the Dental Materials TheraCal LC, TheraCal PT, ApaCal ART and Biodentine Used in Vital Pulp Therapy: In Vitro Study
by Barbora Novotná, Pavel Holík, Yuliya Morozova, Matej Rosa, Adéla Galandáková and Kateřina Langová
Dent. J. 2024, 12(8), 249; https://doi.org/10.3390/dj12080249 - 7 Aug 2024
Cited by 7 | Viewed by 4172
Abstract
(1) Background: The aim of this study was to compare the cytotoxicity of selected resin-modified materials used in direct contact with the dental pulp (TheraCal LC, TheraCal PT, and ApaCal ART) with calcium silicate cement (Biodentine). (2) Methods: The mouse fibroblast Balb/3T3 cell [...] Read more.
(1) Background: The aim of this study was to compare the cytotoxicity of selected resin-modified materials used in direct contact with the dental pulp (TheraCal LC, TheraCal PT, and ApaCal ART) with calcium silicate cement (Biodentine). (2) Methods: The mouse fibroblast Balb/3T3 cell line and the extracts of tested materials in four concentrations were used for the testing. An MTT assay was performed in three independent experiments with six replicates for each concentration of tested material. The cell viability (%) and cytotoxicity were expressed (cytotoxic effect is considered in cases where the cell viability is lower than 70%). The mean of the cell viability and the standard deviation were expressed for each material at all concentrations. ANOVA and Dunnet’s post hoc tests were used for the statistical analysis. All of these tests were performed at the 0.05 significance level. (3) Results: At all concentrations, the cell viability was statistically significantly lower (p ≤ 0.002) for all tested materials compared to Biodentine. ApaCal ART showed a high level of cytotoxicity at all concentrations (cell viability lower than 47.71%, p < 0.0001). The same result was found for TheraCal LC at concentrations of 100%, 50% and 25% and TheraCal PT at concentrations of 100% and 50%. TheraCal LC at a 10% concentration (cell viability 68.18%) and TheraCal PT at a 25% concentration (cell viability 60.63%) indicated potential cytotoxicity. TheraCal PT at a 10% concentration was not found to be cytotoxic (cell viability 79.18%, p = 0.095). (4) Conclusion: The resin-modified calcium silicate and calcium phosphate materials showed higher cytotoxic potential, so they should be used with caution when in direct contact with the dental pulp. Full article
Show Figures

Figure 1

25 pages, 20609 KB  
Article
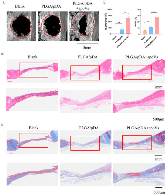
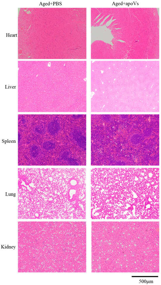
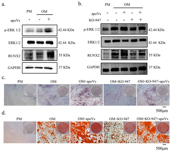
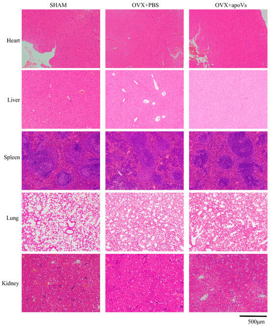
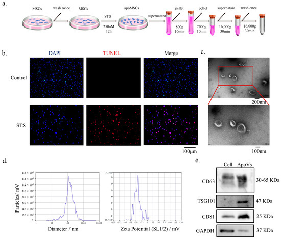
Apoptotic Vesicles Derived from Dental Pulp Stem Cells Promote Bone Formation through the ERK1/2 Signaling Pathway
by Kunkun Yang, Yuan Zhu, Yuzi Shao, Yuhe Jiang, Lei Zhu, Yaoshan Liu, Ping Zhang, Yunsong Liu, Xiao Zhang and Yongsheng Zhou
Biomedicines 2024, 12(4), 730; https://doi.org/10.3390/biomedicines12040730 - 25 Mar 2024
Cited by 10 | Viewed by 2948
Abstract
Osteoporosis is a common degenerative bone disease. The treatment of osteoporosis remains a clinical challenge in light of the increasing aging population. Human dental pulp stem cells (DPSCs), a type of mesenchymal stem cells (MSCs), are easy to obtain and have a high [...] Read more.
Osteoporosis is a common degenerative bone disease. The treatment of osteoporosis remains a clinical challenge in light of the increasing aging population. Human dental pulp stem cells (DPSCs), a type of mesenchymal stem cells (MSCs), are easy to obtain and have a high proliferation ability, playing an important role in the treatment of osteoporosis. However, MSCs undergo apoptosis within a short time when used in vivo; therefore, apoptotic vesicles (apoVs) have attracted increasing attention. Currently, the osteogenic effect of DPSC-derived apoVs is unknown; therefore, this study aimed to determine the role of DPSC-derived apoVs and their potential mechanisms in bone regeneration. We found that MSCs could take up DPSC-derived apoVs, which then promoted MSC osteogenesis in vitro. Moreover, apoVs could increase the trabecular bone count and bone mineral density in the mouse osteoporosis model and could promote bone formation in rat cranial defects in vivo. Mechanistically, apoVs promoted MSC osteogenesis by activating the extracellular regulated kinase (ERK)1/2 signaling pathway. Consequently, we propose a novel therapy comprising DPSC-derived apoVs, representing a promising approach to treat bone loss and bone defects. Full article
(This article belongs to the Section Cell Biology and Pathology)
Show Figures

Graphical abstract

18 pages, 4256 KB  
Article
Dental Pulp Cell Transplantation Combined with Regenerative Endodontic Procedures Promotes Dentin Matrix Formation in Mature Mouse Molars
by Jorge Luis Montenegro Raudales, Yuta Okuwa and Masaki Honda
Cells 2024, 13(4), 348; https://doi.org/10.3390/cells13040348 - 16 Feb 2024
Cited by 1 | Viewed by 3611
Abstract
Regenerative endodontic procedures (REPs) are promising for dental pulp tissue regeneration; however, their application in permanent teeth remains challenging. We assessed the potential combination of an REP and local dental pulp cell (DPC) transplantation in the mature molars of C57BL/6 mice with (REP [...] Read more.
Regenerative endodontic procedures (REPs) are promising for dental pulp tissue regeneration; however, their application in permanent teeth remains challenging. We assessed the potential combination of an REP and local dental pulp cell (DPC) transplantation in the mature molars of C57BL/6 mice with (REP + DPC group) or without (REP group) transplantation of DPCs from green fluorescent protein (GFP) transgenic mice. After 4 weeks, the regenerated tissue was evaluated by micro-computed tomography and histological analyses to detect odontoblasts, vasculogenesis, and neurogenesis. DPCs were assessed for mesenchymal and pluripotency markers. Four weeks after the REP, the molars showed no signs of periapical lesions, and both the REP and REP + DPC groups exhibited a pulp-like tissue composed of a cellular matrix with vessels surrounded by an eosin-stained acellular matrix that resembled hard tissue. However, the REP + DPC group had a broader cellular matrix and uniquely contained odontoblast-like cells co-expressing GFP. Vasculogenesis and neurogenesis were detected in both groups, with the former being more prominent in the REP + DPC group. Overall, the REP was achieved in mature mouse molars and DPC transplantation improved the outcomes by inducing the formation of odontoblast-like cells and greater vasculogenesis. Full article
(This article belongs to the Special Issue Oral Tissue Stem Cells in Regenerative Dentistry)
Show Figures

Graphical abstract

23 pages, 14564 KB  
Article
Efficient Treatment of Pulpitis via Transplantation of Human Pluripotent Stem Cell-Derived Pericytes Partially through LTBP1-Mediated T Cell Suppression
by Anqi Li, Zhuoran Li, Weicheng Chiu, Chuanfeng Xiong, Qian Chen, Junhua Chen, Xingqiang Lai, Weiqiang Li, Qiong Ke, Jia Liu and Xinchun Zhang
Biomedicines 2023, 11(12), 3199; https://doi.org/10.3390/biomedicines11123199 - 1 Dec 2023
Cited by 6 | Viewed by 2371
Abstract
Dental pulp pericytes are reported to have the capacity to generate odontoblasts and express multiple cytokines and chemokines that regulate the local immune microenvironment, thus participating in the repair of dental pulp injury in vivo. However, it has not yet been reported whether [...] Read more.
Dental pulp pericytes are reported to have the capacity to generate odontoblasts and express multiple cytokines and chemokines that regulate the local immune microenvironment, thus participating in the repair of dental pulp injury in vivo. However, it has not yet been reported whether the transplantation of exogenous pericytes can effectively treat pulpitis, and the underlying molecular mechanism remains unknown. In this study, using a lineage-tracing mouse model, we showed that most dental pulp pericytes are derived from cranial neural crest. Then, we demonstrated that the ablation of pericytes could induce a pulpitis-like phenotype in uninfected dental pulp in mice, and we showed that the significant loss of pericytes occurs during pupal inflammation, implying that the transplantation of pericytes may help to restore dental pulp homeostasis during pulpitis. Subsequently, we successfully generated pericytes with immunomodulatory activity from human pluripotent stem cells through the intermediate stage of the cranial neural crest with a high level of efficiency. Most strikingly, for the first time we showed that, compared with the untreated pulpitis group, the transplantation of hPSC-derived pericytes could substantially inhibit vascular permeability (the extravascular deposition of fibrinogen, ** p < 0.01), alleviate pulpal inflammation (TCR+ cell infiltration, * p < 0.05), and promote the regeneration of dentin (** p < 0.01) in the mouse model of pulpitis. In addition, we discovered that the knockdown of latent transforming growth factor beta binding protein 1 (LTBP1) remarkably suppressed the immunoregulation ability of pericytes in vitro and compromised their in vivo regenerative potential in pulpitis. These results indicate that the transplantation of pericytes could efficiently rescue the aberrant phenotype of pulpal inflammation, which may be partially due to LTBP1-mediated T cell suppression. Full article
(This article belongs to the Special Issue The Promise and Challenge of Induced Pluripotent Stem Cells (iPSCs))
Show Figures

Figure 1

19 pages, 2566 KB  
Article
The Secretome of Human Dental Pulp Stem Cells and Its Components GDF15 and HB-EGF Protect Amyotrophic Lateral Sclerosis Motoneurons against Death
by Richard Younes, Youssef Issa, Nadia Jdaa, Batoul Chouaib, Véronique Brugioti, Désiré Challuau, Cédric Raoul, Frédérique Scamps, Frédéric Cuisinier and Cécile Hilaire
Biomedicines 2023, 11(8), 2152; https://doi.org/10.3390/biomedicines11082152 - 30 Jul 2023
Cited by 9 | Viewed by 3027
Abstract
Amyotrophic lateral sclerosis (ALS) is a fatal and incurable paralytic disorder caused by the progressive death of upper and lower motoneurons. Although numerous strategies have been developed to slow disease progression and improve life quality, to date only a few therapeutic treatments are [...] Read more.
Amyotrophic lateral sclerosis (ALS) is a fatal and incurable paralytic disorder caused by the progressive death of upper and lower motoneurons. Although numerous strategies have been developed to slow disease progression and improve life quality, to date only a few therapeutic treatments are available with still unsatisfactory therapeutic benefits. The secretome of dental pulp stem cells (DPSCs) contains numerous neurotrophic factors that could promote motoneuron survival. Accordingly, DPSCs confer neuroprotective benefits to the SOD1G93A mouse model of ALS. However, the mode of action of DPSC secretome on motoneurons remains largely unknown. Here, we used conditioned medium of human DPSCs (DPSCs-CM) and assessed its effect on survival, axonal length, and electrical activity of cultured wildtype and SOD1G93A motoneurons. To further understand the role of individual factors secreted by DPSCs and to circumvent the secretome variability bias, we focused on GDF15 and HB-EGF whose neuroprotective properties remain elusive in the ALS pathogenic context. DPSCs-CM rescues motoneurons from trophic factor deprivation-induced death, promotes axon outgrowth of wildtype but not SOD1G93A mutant motoneurons, and has no impact on the spontaneous electrical activity of wildtype or mutant motoneurons. Both GDF15 and HB-EGF protect SOD1G93A motoneurons against nitric oxide-induced death, but not against death induced by trophic factor deprivation. GDF15 and HB-EGF receptors were found to be expressed in the spinal cord, with a two-fold increase in expression for the GDF15 low-affinity receptor in SOD1G93A mice. Therefore, the secretome of DPSCs appears as a new potential therapeutic candidate for ALS. Full article
Show Figures

Figure 1

16 pages, 8277 KB  
Article
Polyvinylpyrrolidone—Alginate—Carbonate Hydroxyapatite Porous Composites for Dental Applications
by Anna A. Forysenkova, Inna V. Fadeeva, Dina V. Deyneko, Alevtina N. Gosteva, Georgy V. Mamin, Darya V. Shurtakova, Galina A. Davydova, Viktoriya G. Yankova, Iulian V. Antoniac and Julietta V. Rau
Materials 2023, 16(12), 4478; https://doi.org/10.3390/ma16124478 - 20 Jun 2023
Cited by 13 | Viewed by 3069
Abstract
An alternative approach for the currently used replacement therapy in dentistry is to apply materials that restore tooth tissue. Among them, composites, based on biopolymers with calcium phosphates, and cells can be applied. In the present work, a composite based on polyvinylpyrrolidone (PVP) [...] Read more.
An alternative approach for the currently used replacement therapy in dentistry is to apply materials that restore tooth tissue. Among them, composites, based on biopolymers with calcium phosphates, and cells can be applied. In the present work, a composite based on polyvinylpyrrolidone (PVP) and alginate (Alg) with carbonate hydroxyapatite (CHA) was prepared and characterized. The composite was investigated by X-ray diffraction, infrared spectroscopy, electron paramagnetic resonance (EPR) and scanning electron microscopy methods, and the microstructure, porosity, and swelling properties of the material were described. In vitro studies included the MTT test using mouse fibroblasts, and adhesion and survivability tests with human dental pulp stem cells (DPSC). The mineral component of the composite corresponded to CHA with an admixture of amorphous calcium phosphate. The presence of a bond between the polymer matrix and CHA particles was shown by EPR. The structure of the material was represented by micro- (30–190 μm) and nano-pores (average 8.71 ± 4.15 nm). The swelling measurements attested that CHA addition increased the polymer matrix hydrophilicity by 200%. In vitro studies demonstrated the biocompatibility of PVP-Alg-CHA (95 ± 5% cell viability), and DPSC located inside the pores. It was concluded that the PVP-Alg-CHA porous composite is promising for dentistry applications. Full article
(This article belongs to the Special Issue Advanced Dental Materials: From Design to Application)
Show Figures

Figure 1

17 pages, 6747 KB  
Article
Antibacterial Composite Material Based on Polyhydroxybutyrate and Zn-Doped Brushite Cement
by Inna V. Fadeeva, Dina V. Deyneko, Alexander V. Knotko, Anatoly A. Olkhov, Pavel V. Slukin, Galina A. Davydova, Taisiia A. Trubitsyna, Ilya I. Preobrazhenskiy, Alevtina N. Gosteva, Iulian V. Antoniac and Julietta V. Rau
Polymers 2023, 15(9), 2106; https://doi.org/10.3390/polym15092106 - 28 Apr 2023
Cited by 15 | Viewed by 3113
Abstract
A composite material based on electrospinning printed polyhydroxybutyrate fibers impregnated with brushite cement containing Zn substitution was developed for bone implant applications. Powder X-ray Diffraction (PXRD), Fourier Transform Infrared Spectroscopy and Scanning Electron Microscopy were applied for materials characterization. Soaking the composite in [...] Read more.
A composite material based on electrospinning printed polyhydroxybutyrate fibers impregnated with brushite cement containing Zn substitution was developed for bone implant applications. Powder X-ray Diffraction (PXRD), Fourier Transform Infrared Spectroscopy and Scanning Electron Microscopy were applied for materials characterization. Soaking the composite in Ringer’s solution led to the transformation of brushite into apatite phase, accompanied by the morphology changes of the material. The bending strength of the composite material was measured to be 3.1 ± 0.5 MPa. NCTC mouse fibroblast cells were used to demonstrate by means of the MTT test that the developed material was not cytotoxic. The behavior of the human dental pulp stem cells on the surface of the composite material investigated by the direct contact method was similar to the control. It was found that the developed Zn containing composite material possessed antibacterial properties, as testified by microbiology investigations against bacteria strains of Escherichia coli and Staphylococcus aureus. Thus, the developed composite material is promising for the treatment of damaged tissues with bacterial infection complications. Full article
Show Figures

Figure 1

13 pages, 1446 KB  
Article
Effects of Human Deciduous Dental Pulp-Derived Mesenchymal Stem Cell-Derived Conditioned Medium on the Metabolism of HUVECs, Osteoblasts, and BMSCs
by Ryo Kunimatsu, Tomoka Hiraki, Kodai Rikitake, Kengo Nakajima, Nurul Aisyah Rizky Putranti, Takaharu Abe, Kazuyo Ando, Ayaka Nakatani, Shuzo Sakata and Kotaro Tanimoto
Cells 2022, 11(20), 3222; https://doi.org/10.3390/cells11203222 - 14 Oct 2022
Cited by 9 | Viewed by 2660
Abstract
In this study, we assessed the effects of human deciduous dental pulp-derived mesenchymal stem cell-derived conditioned medium (SHED-CM) on the properties of various cell types. The effects of vascular endothelial growth factor (VEGF) in SHED-CM on the luminal architecture, proliferative ability, and angiogenic [...] Read more.
In this study, we assessed the effects of human deciduous dental pulp-derived mesenchymal stem cell-derived conditioned medium (SHED-CM) on the properties of various cell types. The effects of vascular endothelial growth factor (VEGF) in SHED-CM on the luminal architecture, proliferative ability, and angiogenic potential of human umbilical vein endothelial cells (HUVECs) were determined. We also investigated the effects of SHED-CM on the proliferation of human-bone-marrow mesenchymal stem cells (hBMSCs) and mouse calvarial osteoblastic cells (MC3T3-E1) as well as the expression of ALP, OCN, and RUNX2. The protein levels of ALP were examined using Western blot analysis. VEGF blockade in SHED-CM suppressed the proliferative ability and angiogenic potential of HUVECs, indicating that VEGF in SHED-CM contributes to angiogenesis. The culturing of hBMSCs and MC3T3-E1 cells with SHED-CM accelerated cell growth and enhanced mRNA expression of bone differentiation markers. The addition of SHED-CM enhanced ALP protein expression in hBMSCs and MT3T3-E1 cells compared with that of the 0% FBS group. Furthermore, SHED-CM promoted the metabolism of HUVECs, MC3T3-E1 cells, and hBMSCs. These findings indicate the potential benefits of SHED-CM in bone tissue regeneration. Full article
(This article belongs to the Special Issue Recent Advances in Regenerative Dentistry)
Show Figures

Figure 1

17 pages, 3935 KB  
Article
Therapeutic Potential of Human Immature Dental Pulp Stem Cells Observed in Mouse Model for Acquired Aplastic Anemia
by Vivian Fonseca Gonzaga, Cristiane Valverde Wenceslau, Daniel Perez Vieira, Bruna de Oliveira Policiquio, Charbel Khalil, Rodrigo Pinheiro Araldi and Irina Kerkis
Cells 2022, 11(14), 2252; https://doi.org/10.3390/cells11142252 - 21 Jul 2022
Cited by 7 | Viewed by 3479
Abstract
Aplastic anemia (AA) is a rare and serious disorder of hematopoietic stem cells (HSCs) that results in the loss of blood cells due to the failure of the bone marrow (BM). Although BM transplantation is used to treat AA, its use is limited [...] Read more.
Aplastic anemia (AA) is a rare and serious disorder of hematopoietic stem cells (HSCs) that results in the loss of blood cells due to the failure of the bone marrow (BM). Although BM transplantation is used to treat AA, its use is limited by donor availability. In this sense, mesenchymal stem cells (MSCs) can offer a novel therapeutic approach for AA. This is because the MSCs contribute to the hematopoietic niche organization through their repopulating. In our study, we used the human immature dental pulp stem cell (hIDPSC), an MSC-like cell, to explore an alternative therapeutic approach for AA. For this, isogenic C57BL/6 mice were exposed to total body irradiation (TBI) to induce the AA. After 48 h of TBI, the mice were intraperitoneally treated with hIDPSC. The immunohistochemistry analyses confirmed that the hIDPSCs migrated and grafted in the mouse bone marrow (BM) and spleen, providing rapid support to hematopoiesis recovery compared to the group exposed to radiation, but not to those treated with the cells as well as the hematological parameters. Six months after the last hIDPSC transplantation, the BM showed long-term stable hematopoiesis. Our data highlight the therapeutic plasticity and hematoprotective role of hIDPSC for AA and potentially for other hematopoietic failures. Full article
(This article belongs to the Special Issue Dental Pulp Stem Cells and Regenerative Medicine)
Show Figures

Figure 1

13 pages, 1027 KB  
Review
A New Target of Dental Pulp-Derived Stem Cell-Based Therapy on Recipient Bone Marrow Niche in Systemic Lupus Erythematosus
by Soichiro Sonoda and Takayoshi Yamaza
Int. J. Mol. Sci. 2022, 23(7), 3479; https://doi.org/10.3390/ijms23073479 - 23 Mar 2022
Cited by 11 | Viewed by 4506
Abstract
Recent advances in mesenchymal stem/stromal cell (MSC) research have led us to consider the feasibility of MSC-based therapy for various diseases. Human dental pulp-derived MSCs (hDPSCs) have been identified in the dental pulp tissue of deciduous and permanent teeth, and they exhibit properties [...] Read more.
Recent advances in mesenchymal stem/stromal cell (MSC) research have led us to consider the feasibility of MSC-based therapy for various diseases. Human dental pulp-derived MSCs (hDPSCs) have been identified in the dental pulp tissue of deciduous and permanent teeth, and they exhibit properties with self-renewal and in vitro multipotency. Interestingly, hDPSCs exhibit superior immunosuppressive functions toward immune cells, especially T lymphocytes, both in vitro and in vivo. Recently, hDPSCs have been shown to have potent immunomodulatory functions in treating systemic lupus erythematosus (SLE) in the SLE MRL/lpr mouse model. However, the mechanisms underlying the immunosuppressive efficacy of hDPSCs remain unknown. This review aims to introduce a new target of hDPSC-based therapy on the recipient niche function in SLE. Full article
(This article belongs to the Collection Feature Papers in “Molecular Biology”)
Show Figures

Figure 1

14 pages, 6427 KB  
Article
In Vivo Evaluation of Decellularized Human Tooth Scaffold for Dental Tissue Regeneration
by Ik-Hwan Kim, Mijeong Jeon, Kyounga Cheon, Sun Ha Kim, Han-Sung Jung, Yooseok Shin, Chung Min Kang, Seong-Oh Kim, Hyung-Jun Choi, Hyo-Seol Lee, Ko Eun Lee and Je Seon Song
Appl. Sci. 2021, 11(18), 8472; https://doi.org/10.3390/app11188472 - 13 Sep 2021
Cited by 18 | Viewed by 6023
Abstract
Conventional root canal treatment may result in loss of tooth vitality, which can lead to unfavorable treatment outcomes. Notably, a ceased tooth development of immature permanent teeth with open apices, regeneration of periodontal ligaments (PDL), and pulp is highly expected healing process. For [...] Read more.
Conventional root canal treatment may result in loss of tooth vitality, which can lead to unfavorable treatment outcomes. Notably, a ceased tooth development of immature permanent teeth with open apices, regeneration of periodontal ligaments (PDL), and pulp is highly expected healing process. For regeneration, the scaffold is one of the critical components that carry biological benefits. Therefore, this study evaluated a decellularized human tooth as a scaffold for the PDL and pulp tissue regeneration. A tooth scaffold was fabricated using an effective decellularization method as reported in previous studies. PDL stem cells (PDLSCs) and dental pulp stem cells (DPSCs) obtained from human permanent teeth were inoculated onto decellularized scaffolds, then cultured to transplant into immunosuppressed mouse. After 9 weeks, PDLSCs and DPSCs that were inoculated onto decellularized tooth scaffolds and cultured in an in vivo demonstrated successful differentiation. In PDLSCs, a regeneration of the cementum/PDL complex could be expected. In DPSCs, the expression of genes related to revascularization and the hard tissue regeneration showed the possibility of pulp regeneration. This study suggested that the potential possible application of decellularized human tooth could be a scaffold in regeneration PDL and pulp tissue along with PDLSCs and DPSCs, respectively, as a novel treatment method. Full article
(This article belongs to the Special Issue Applied Sciences in Oral Health and Clinical Dentistry)
Show Figures

Figure 1

8 pages, 1902 KB  
Article
Preparation of Absorption-Resistant Hard Tissue Using Dental Pulp-Derived Cells and Honeycomb Tricalcium Phosphate
by Kiyofumi Takabatake, Keisuke Nakano, Hotaka Kawai, Yasunori Inada, Shintaro Sukegawa, Shan Qiusheng, Shigeko Fushimi, Hidetsugu Tsujigiwa and Hitoshi Nagatsuka
Materials 2021, 14(12), 3409; https://doi.org/10.3390/ma14123409 - 20 Jun 2021
Cited by 3 | Viewed by 2372
Abstract
In recent years, there has been increasing interest in the treatment of bone defects using undifferentiated mesenchymal stem cells (MSCs) in vivo. Recently, dental pulp has been proposed as a promising source of pluripotent mesenchymal stem cells (MSCs), which can be used in [...] Read more.
In recent years, there has been increasing interest in the treatment of bone defects using undifferentiated mesenchymal stem cells (MSCs) in vivo. Recently, dental pulp has been proposed as a promising source of pluripotent mesenchymal stem cells (MSCs), which can be used in various clinical applications. Dentin is the hard tissue that makes up teeth, and has the same composition and strength as bone. However, unlike bone, dentin is usually not remodeled under physiological conditions. Here, we generated odontoblast-like cells from mouse dental pulp stem cells and combined them with honeycomb tricalcium phosphate (TCP) with a 300 μm hole to create bone-like tissue under the skin of mice. The bone-like hard tissue produced in this study was different from bone tissue, i.e., was not resorbed by osteoclasts and was less easily absorbed than the bone tissue. It has been suggested that hard tissue-forming cells induced from dental pulp do not have the ability to induce osteoclast differentiation. Therefore, the newly created bone-like hard tissue has high potential for absorption-resistant hard tissue repair and regeneration procedures. Full article
(This article belongs to the Special Issue Materials for Hard Tissue Repair and Regeneration)
Show Figures

Figure 1

15 pages, 2994 KB  
Article
Fibrin Glue Implants Seeded with Dental Pulp and Periodontal Ligament Stem Cells for the Repair of Periodontal Bone Defects: A Preclinical Study
by Natella I. Enukashvily, Julia A. Dombrovskaya, Anastasia V. Kotova, Natalia Semenova, Irina Karabak, Roman E. Banashkov, Dmitry Baram, Tatiana Paderina, Stanislav S. Bilyk, Wolf-Dieter Grimm, Anton N. Kovalenko, Dmitry Ivolgin, Egor M. Prikhodko and Alexey V. Silin
Bioengineering 2021, 8(6), 75; https://doi.org/10.3390/bioengineering8060075 - 1 Jun 2021
Cited by 12 | Viewed by 5497
Abstract
A technology to create a cell-seeded fibrin-based implant matching the size and shape of bone defect is required to create an anatomical implant. The aim of the study was to develop a technology of cell-seeded fibrin gel implant creation that has the same [...] Read more.
A technology to create a cell-seeded fibrin-based implant matching the size and shape of bone defect is required to create an anatomical implant. The aim of the study was to develop a technology of cell-seeded fibrin gel implant creation that has the same shape and size as the bone defect at the site of implantation. Using computed tomography (CT) images, molds representing bone defects were created by 3D printing. The form was filled with fibrin glue and human dental pulp stem cells (DPSC). The viability, set of surface markers and osteogenic differentiation of DPSC grown in fibrin gel along with the clot retraction time were evaluated. In mice, an alveolar bone defect was created. The defect was filled with fibrin gel seeded with mouse DPSC. After 28 days, the bone repair was analyzed with cone beam CT and by histological examination. The proliferation rate, set of surface antigens and osteogenic potential of cells grown inside the scaffold and in 2D conditions did not differ. In mice, both cell-free and mouse DPSC-seeded implants increased the bone tissue volume and vascularization. In mice with cell-seeded gel implants, the bone remodeling process was more prominent than in animals with a cell-free implant. The technology of 3D-printed forms for molding implants can be used to prepare implants using components that are not suitable for 3D printing. Full article
(This article belongs to the Special Issue Cell Sheet Engineering for Stem Cell Delivery and Tissue Modeling)
Show Figures

Figure 1

Back to TopTop