Establishment of Dental Pulp Cell Culture System for Analyzing Dentinogenesis in Mouse Incisors
Abstract
1. Introduction
2. Materials and Methods
2.1. Collection of Dental Pulp Tissue
2.2. Cell Culture
2.3. Alizarin Red S (ARS) Staining
2.4. Real-Time Quantitative PCR (qRT-PCR)
3. Results
3.1. Microscopy
3.2. ARS Staining
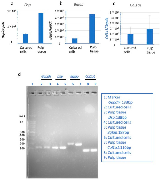
3.3. Expression of Dentin Sialo Protein (Dsp), Bone Gamma-Carboxyglutamic Acid-Containing Protein (Bglap), and Type 1 Collagen (Col1a1) mRNAs in Dental Pulp Cells
4. Discussion
5. Conclusions
Author Contributions
Funding
Institutional Review Board Statement
Informed Consent Statement
Data Availability Statement
Conflicts of Interest
References
- Suguro, H.; Asano, M.; Kaneko, Y.; Omagari, D.; Ogiso, B.; Moro, I.; Komiyama, K. Characterization of human dental pulp-derived cell lines. Int. Endod. J. 2008, 41, 609–616. [Google Scholar] [CrossRef]
- Kasugai, S.; Adachi, M.; Ogura, H. Establishment and characterization of a clonal cell line (RPC-C2A) from dental pulp of the rat incisor. Arch. Oral Biol. 1988, 33, 887–891. [Google Scholar] [CrossRef]
- Hanks, C.T.; Sun, Z.L.; Fang, D.N.; Edwards, C.A.; Wataha, J.C.; Ritchie, H.H.; Butler, W.T. Cloned 3T6 cell line from CD-1 mouse fetal molar dental papillae. Connect. Tissue Res. 1998, 37, 233–249. [Google Scholar] [CrossRef]
- Kodonas, K.; Fardi, A.; Gogos, C.; Economides, N. Top 50 cited articles on dental stem cell research. Restor. Dent. Endod. 2020, 45, e17. [Google Scholar] [CrossRef]
- Hanks, C.T.; Fang, D.; Sun, Z.; Edwards, C.A.; Butler, W.T. Dentin-specific proteins in MDPC-23 cell line. Eur. J. Oral Sci. 1998, 106, 260–266. [Google Scholar] [CrossRef]
- Otsu, K.; Kishigami, R.; Oikawa-Sasaki, A.; Fukumoto, S.; Yamada, A.; Fujiwara, N.; Ishizeki, K.; Harada, H. Differentiation of induced pluripotent stem cells into dental mesenchymal cells. Stem Cells Dev. 2012, 21, 1156–1164. [Google Scholar] [CrossRef]
- Yokose, S.; Kadokura, H.; Tajima, Y.; Fujieda, K.; Katayama, I.; Matsuoka, T.; Katayama, T. Establishment and characterization of a culture system for enzymatically released rat dental pulp cells. Calcif. Tissue Int. 2000, 66, 139–144. [Google Scholar] [CrossRef]
- Whitoson, S.W. Dentin-pulp complex. In Oral Histology; Development, Structure, and Function, 5th ed.; Ten Cate, A.R., Ed.; Mosby: St. Lois, MO, USA, 1998; pp. 150–196. [Google Scholar]
- Deng, P.; Chang, I.; Wang, J.; Badreldin, A.A.; Li, X.; Yu, B.; Wang, C.Y. Loss of KDM4B impairs osteogenic differentiation of OMSCs and promotes oral bone aging. Int. J. Oral Sci. 2022, 14, 24. [Google Scholar] [CrossRef]
- Bryda, E.C. The Mighty Mouse: The impact of rodents on advances in biomedical research. Mo. Med. 2013, 110, 207–211. [Google Scholar]
- Breschi, A.; Gingeras, T.R.; Guigó, R. Comparative transcriptomics in human and mouse. Nat. Rev. Genet. 2017, 18, 425–440. [Google Scholar] [CrossRef]
- Waterston, R.H.; Lindblad-Toh, K.; Birney, E.; Rogers, J.; Abril, J.F.; Agarwal, P.; Agarwala, R.; Ainscough, R.; Alexandersson, M.; An, P.; et al. Mouse Genome Sequencing Consortium, Initial sequencing and comparative analysis of the mouse genome. Nature 2002, 420, 520–562. [Google Scholar]
- Wildner, G. Are rats more human than mice? Immunobiology 2019, 224, 172–176. [Google Scholar] [CrossRef]
- Bult, C.J.; Eppig, J.T.; Blake, J.A.; Kadin, J.A.; Richardson, J.E. Mouse Genome Database Group. Mouse genome database 2016. Nucleic Acids Res. 2016, 44, D840–D847. [Google Scholar] [CrossRef]
- D’Souza, R.N.; Cavender, A.; Sunavala, G.; Alvarez, J.; Ohshima, T.; Kulkarni, A.B.; MacDougall, M. Gene expression patterns of murine dentin matrix protein 1 (Dmp1) and dentin sialophosphoprotein (DSPP) suggest distinct developmental functions in vivo. J. Bone Miner. Res. 1997, 12, 2040–2049. [Google Scholar] [CrossRef]
- Yamashiro, T.; Zheng, L.; Shitaku, Y.; Saito, M.; Tsubakimoto, T.; Takada, K.; Takano-Yamamoto, T.; Thesleff, I. Wnt10a regulates dentin sialophosphoprotein mRNA expression and possibly links odontoblast differentiation and tooth morphogenesis. Differentiation 2007, 75, 452–462. [Google Scholar] [CrossRef]
- Feng, J.Q.; Luan, X.; Wallace, J.; Jing, D.; Ohshima, T.; Kulkarni, A.B.; D’Souza, R.N.; Kozak, C.A.; MacDougall, M. Genomic organization, chromosomal mapping, and promoter analysis of the mouse dentin sialophosphoprotein (Dspp) gene, which codes for both dentin sialoprotein and dentin phosphoprotein. J. Biol. Chem. 1998, 273, 9457–9464. [Google Scholar] [CrossRef]
- MacDougall, M.; Simmons, D.; Luan, X.; Nydegger, J.; Feng, J.; Gu, T.T. Dentin phosphoprotein and dentin sialoprotein are cleavage products expressed from a single transcript coded by a gene on human chromosome 4. Dentin phosphoprotein DNA sequence determination. J. Biol. Chem. 1997, 272, 835–842. [Google Scholar] [CrossRef]
- Butler, W.T.; Bhown, M.; Dimuzio, M.T.; Linde, A. Nonocollagenous proteins of dentin. Isolation and partial characterization of rat dentin proteins and proteoglycans using a three-step preparative method. Collagen Relat. Res. 1981, 1, 187–199. [Google Scholar] [CrossRef]
- Veis, A.; Perry, A. The phosphoprotein of the dentin matrix. Biochemistry 1967, 6, 2409–2416. [Google Scholar] [CrossRef]
- Zhu, Q.; Gibson, M.P.; Liu, Q.; Liu, Y.; Lu, Y.; Wang, X.; Feng, J.Q.; Qin, C. Proteolytic processing of dentin sialophosphoprotein (DSPP) is essential to dentinogenesis. J. Biol. Chem. 2012, 287, 30426–30435. [Google Scholar] [CrossRef]
- Baba, O.; Qin, C.; Brunn, J.C.; Jones, J.E.; Wygant, J.N.; McIntyre, B.W.; Butler, W.T. Detection of dentin sialoprotein in rat periodontium. Eur. J. Oral Sci. 2004, 112, 163–170. [Google Scholar] [CrossRef]
- Kato, Y.; Yokose, S. Oxytocin Facilitates Dentinogenesis of Rat Dental Pulp Cells. J. Endod. 2021, 47, 592–599. [Google Scholar] [CrossRef]
- Li, W.; Machule, D.; Gao, C.; DenBesten, P.K. Growth of ameloblast-lineage cells in a three-dimensional Matrigel environment. Eur. J. Oral Sci. 2006, 114 (Suppl. S1), 159–381. [Google Scholar] [CrossRef]
- Hermans, F.; Hasevoets, S.; Vankelecom, H.; Bronckaers, A.; Lambrichts, I. From Pluripotent Stem Cells to Organoids and Bioprinting: Recent Advances in Dental Epithelium and Ameloblast Models to Study Tooth Biology and Regeneration. Stem Cell Rev. Rep. 2024, 20, 1184–1199. [Google Scholar] [CrossRef] [PubMed]
- Gundberg, C.M.; Hauschka, P.V.; Lian, J.B.; Gallop, P.M. Osteocalcin: Isolation, characterization, and detection. Methods Enzymol. 1984, 107, 516–544. [Google Scholar]
- Linde, A. Dentin matrix proteins: Composition and possible functions in calcification. Anat. Rec. 1989, 224, 154–166. [Google Scholar] [CrossRef]
- Bidder, M.; Latifi, T.; Towler, D.A. Reciprocal temporospatial patterns of Msx2 and Osteocalcin gene expression during murine odontogenesis. J. Bone Miner. Res. 1998, 13, 609–619. [Google Scholar] [CrossRef]





| 1. The mandible of the mice were divided in the sagittal plane at the center of the incisors and removed in two pieces. |
| 2. Soft tissues such as gingival tissue attached to the mandible were carefully removed using forceps, tweezers, and gauze. |
| 3. They were then placed in 70% ethanol for sterilization and washed with PBS. |
| 4. We made a sagittal cut with scissors along the mandible ramus, carefully widened the cut surface using a dental spoon excavator, and collected the pulp tissue, including the cervical loop, with forceps. The pulp tissue was carefully extracted in one piece as much as possible |
| 5. The collected dental pulp tissues were cultured in an incubator (under 37 °C, 5% CO2) to allow out-growth with alpha MEM including 15% FBS and 1% penicillin/streptomycin. |
| 6. The proliferated cells were collected using trypsin EDTA |
| 7. The obtained cells were strained through a cell strainer and then used for all experiments. |
| Primer | Forward (5′-3′) | Reverse (5′-3′) |
|---|---|---|
| Gapdh | ACAACTTTGGCATTGTGGAA | GATGCAGGGATGATGTTCTG |
| Bglap | CTGACCTCACAGATGCCAAGC | TGGTCTGATAGCTCGTCACAAG |
| Dsp | TACACCTCAGGGCTGGAAACTC | GTAGTCTCCAGACCTCGTAAGC |
| Col1a1 | TAGGCCATTGTGTATGCAGC | ACATGTTCAGCTTTGTGGACC |
Disclaimer/Publisher’s Note: The statements, opinions and data contained in all publications are solely those of the individual author(s) and contributor(s) and not of MDPI and/or the editor(s). MDPI and/or the editor(s) disclaim responsibility for any injury to people or property resulting from any ideas, methods, instructions or products referred to in the content. |
© 2025 by the authors. Licensee MDPI, Basel, Switzerland. This article is an open access article distributed under the terms and conditions of the Creative Commons Attribution (CC BY) license (https://creativecommons.org/licenses/by/4.0/).
Share and Cite
Kato, Y.; Chang, I.; Yokose, S. Establishment of Dental Pulp Cell Culture System for Analyzing Dentinogenesis in Mouse Incisors. Dent. J. 2025, 13, 270. https://doi.org/10.3390/dj13060270
Kato Y, Chang I, Yokose S. Establishment of Dental Pulp Cell Culture System for Analyzing Dentinogenesis in Mouse Incisors. Dentistry Journal. 2025; 13(6):270. https://doi.org/10.3390/dj13060270
Chicago/Turabian StyleKato, Yuka, Insoon Chang, and Satoshi Yokose. 2025. "Establishment of Dental Pulp Cell Culture System for Analyzing Dentinogenesis in Mouse Incisors" Dentistry Journal 13, no. 6: 270. https://doi.org/10.3390/dj13060270
APA StyleKato, Y., Chang, I., & Yokose, S. (2025). Establishment of Dental Pulp Cell Culture System for Analyzing Dentinogenesis in Mouse Incisors. Dentistry Journal, 13(6), 270. https://doi.org/10.3390/dj13060270

