Sign in to use this feature.

Years

Between: -

Subjects

remove_circle_outline
remove_circle_outline
remove_circle_outline
remove_circle_outline
remove_circle_outline
remove_circle_outline
remove_circle_outline
remove_circle_outline
remove_circle_outline

Journals

remove_circle_outline
remove_circle_outline
remove_circle_outline
remove_circle_outline
remove_circle_outline
remove_circle_outline
remove_circle_outline
remove_circle_outline
remove_circle_outline
remove_circle_outline
remove_circle_outline
remove_circle_outline
remove_circle_outline
remove_circle_outline
remove_circle_outline
remove_circle_outline
remove_circle_outline
remove_circle_outline
remove_circle_outline

Article Types

Countries / Regions

remove_circle_outline
remove_circle_outline
remove_circle_outline
remove_circle_outline
remove_circle_outline

Search Results (611)

Search Parameters:
Keywords = mobile surgery

Order results
Result details
Results per page
Select all
Export citation of selected articles as:
19 pages, 4961 KB  
Article
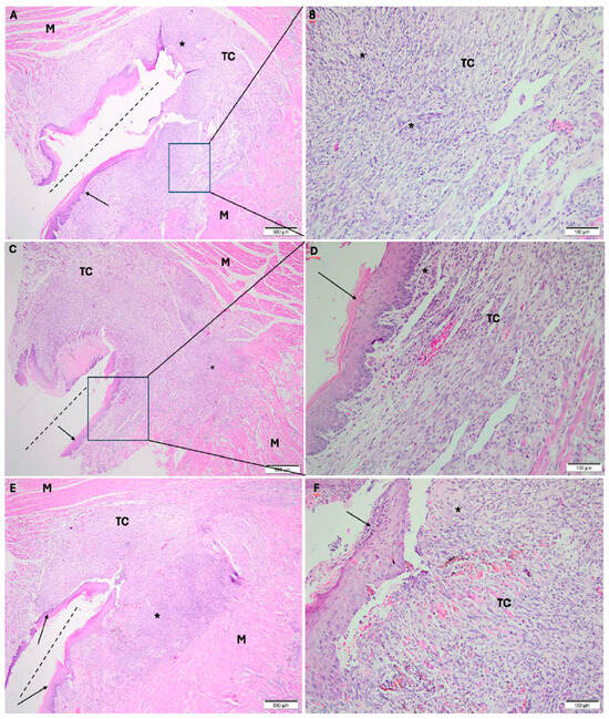
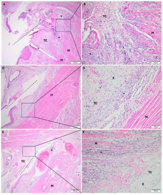
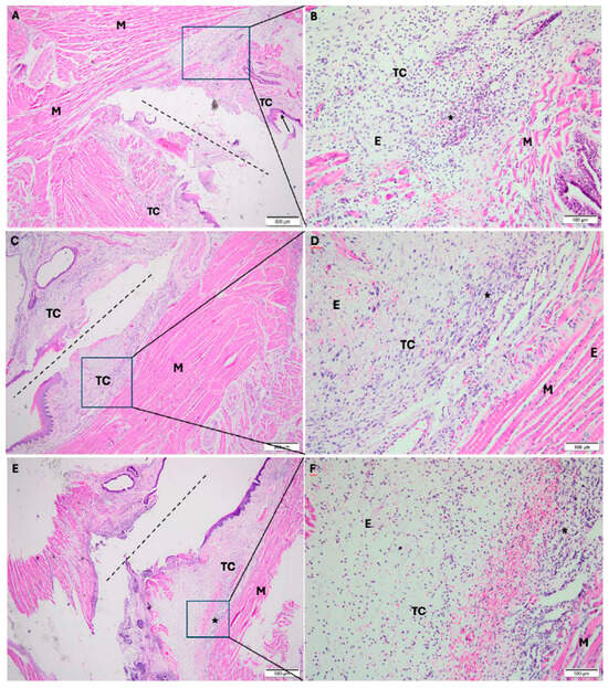
In Vivo Evaluation of Diode Laser Use in Lingual Frenectomy: A Histological and Histomorphometric Study
by Claudia Marcia de Moraes Souza, Adriana Terezinha Neves Novellino Alves, Rodrigo Figueiredo de Brito Resende, Juliana Pires Abdelnur, Jose de Albuquerque Calasans-Maia, Carlos Fernando Mourão, Jamil Awad Shibli, Jose Mauro Granjeiro and Monica Diuana Calasans-Maia
Dent. J. 2026, 14(4), 209; https://doi.org/10.3390/dj14040209 - 3 Apr 2026
Viewed by 228
Abstract
Background/Objectives: Morphological alterations of the lingual frenulum may impair sucking, speech articulation, and tongue mobility. In such cases, frenectomy is considered the most effective therapeutic approach. High-power lasers have been increasingly adopted due to their precision and reduced surgical trauma. This study [...] Read more.
Background/Objectives: Morphological alterations of the lingual frenulum may impair sucking, speech articulation, and tongue mobility. In such cases, frenectomy is considered the most effective therapeutic approach. High-power lasers have been increasingly adopted due to their precision and reduced surgical trauma. This study aimed to compare the effects of frenectomy performed with a cold scalpel, electric scalpel, and diode laser in Wistar rats. Methods: Forty-five female rats, approximately six months old and weighing 250–300 g, were randomly allocated into three experimental groups (n = 15) according to the surgical technique used. Each group was further divided into three subgroups (n = 5) based on postoperative evaluation periods of 1, 3, and 7 days. After surgery, animals were euthanized at the predetermined time points, and tissue samples from the operated area were collected for histological analysis. Specimens were processed histologically, and sections were analyzed descriptively and semi-quantitatively for inflammatory response. Results: All surgical techniques produced similar inflammatory responses across the evaluated periods, with no statistically significant differences among groups. The inflammatory infiltrate was predominantly acute, characterized by the presence of neutrophils, lymphocytes, and macrophages, with scarce plasma cells and no multinucleated giant cells. Although the cold scalpel group showed greater variability in macrophage response over time, the electric scalpel and diode groups exhibited more consistent inflammatory patterns. Conclusions: All evaluated techniques were biologically equivalent with respect to the initial inflammatory response, with the electric scalpel and high-power laser showing slightly greater temporal stability. Full article
(This article belongs to the Special Issue Laser Dentistry: The Current Status and Developments)
Show Figures

Graphical abstract

15 pages, 3825 KB  
Article
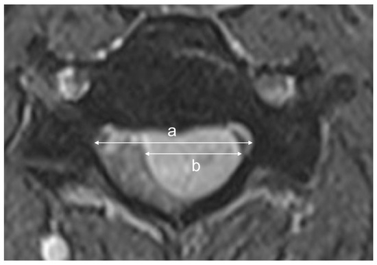
Sagittal Alignment and Segmental Mobility After Cervical Intradural Extramedullary Tumor Surgery: A Comparative Analysis of Unilateral Hemilaminectomy and Laminotomy with Laminoplasty
by Jae Min Kim, Yong Eun Cho, Keun Su Kim, Hyun Jun Jang, Bong Ju Moon and Jun Jae Shin
J. Clin. Med. 2026, 15(7), 2672; https://doi.org/10.3390/jcm15072672 - 1 Apr 2026
Viewed by 372
Abstract
Objectives: In this retrospective comparative cohort study, we aimed to compare surgical efficiency, radiographic facet integrity, and postoperative alignment and mobility between unilateral hemilaminectomy (UL) and laminotomy with laminoplasty (LP) for cervical intradural extramedullary (IDEM) tumors. Methods: Thirty-eight patients (UL: 20; [...] Read more.
Objectives: In this retrospective comparative cohort study, we aimed to compare surgical efficiency, radiographic facet integrity, and postoperative alignment and mobility between unilateral hemilaminectomy (UL) and laminotomy with laminoplasty (LP) for cervical intradural extramedullary (IDEM) tumors. Methods: Thirty-eight patients (UL: 20; LP: 18) were retrospectively reviewed. Operative variables, tumor characteristics, extent of resection, radiographic facet joint violation (graded 1–4), and sagittal alignment parameters, including global and segmental range of motion (ROM), were evaluated at 1 year postoperatively. Propensity score matching was additionally performed to minimize potential baseline imbalance between groups. Results: The UL group had significantly shorter operative time (178.05 ± 61.89 vs. 276.06 ± 121.76 min, p = 0.003) and lower intraoperative blood loss (p < 0.001) than the LP group. Radiographic facet joint violation (Grade ≥ 2) occurred more frequently in the UL group (25.0% vs. 0%, p = 0.048) but was not associated with postoperative sagittal alignment changes or radiographic instability. Global cervical alignment remained in both groups, but the LP group showed a significantly greater reduction in segmental ROM at 1 year (−6.42 ± 8.29° vs. 0.06 ± 7.72°, p = 0.017). These findings were consistent in the propensity score–matched cohort. Conclusions: UL provides favorable operative efficiency and better preservation of segmental cervical mobility than LP, while maintaining comparable clinical and radiographic outcomes. Although radiographic facet joint violation was more frequent in the UL group, postoperative spinal stability was not compromised in this cohort. UL may serve as a safe and motion-preserving alternative in selected patients with cervical IDEM tumors. Full article
(This article belongs to the Special Issue Spine Neurosurgery: Latest Advances and Prospects)
Show Figures

Figure 1

9 pages, 262 KB  
Article
Cost–Benefit Analysis in the Surgical Management of Thumb Carpometacarpal Osteoarthritis: Dual-Mobility Total Joint Replacement Versus Trapeziectomy with Ligament Reconstruction and Suspension Arthroplasty
by Leopoldo Arioli, Giulia Frittella, Fatma Abidi, Edoardo Venturini and Matteo Guzzini
Surgeries 2026, 7(2), 45; https://doi.org/10.3390/surgeries7020045 - 1 Apr 2026
Viewed by 217
Abstract
Background: Trapeziometacarpal (TM) osteoarthritis (OA) is a common condition, especially among postmenopausal women, often requiring surgical intervention when conservative treatment fails. In recent years, dual-mobility prostheses have been increasingly used as an alternative to traditional trapeziectomy with suspension arthroplasty. However, limited data exist [...] Read more.
Background: Trapeziometacarpal (TM) osteoarthritis (OA) is a common condition, especially among postmenopausal women, often requiring surgical intervention when conservative treatment fails. In recent years, dual-mobility prostheses have been increasingly used as an alternative to traditional trapeziectomy with suspension arthroplasty. However, limited data exist regarding their comparative cost-effectiveness in public healthcare systems. Purpose: The aim of this study was to compare the cost–benefit ratio and clinical outcomes of two surgical techniques for TM OA: trapeziectomy with suspension arthroplasty and total joint arthroplasty with a dual-mobility prosthesis. Methods: We conducted a retrospective cohort study of 116 hands treated between 2020 and 2024. Patients were divided into two groups based on the surgery they received: trapeziectomy with suspension arthroplasty or implantation of a dual-mobility TM prosthesis. Clinical outcomes were assessed using VAS, DASH, Kapandji score, grip strength, and pinch strength at 12, 36, and 48 months postoperatively. A cost analysis was performed based on hospital reimbursement (Diagnosis-Related Group) and estimated productivity loss. Results: Both techniques yielded significant improvements in pain and function. Patients who were operated on with a prosthesis showed faster recovery and better early outcomes, while the trapeziectomy group had lower direct surgical costs and fewer complications. At 48 months, clinical scores were comparable. The overall cost–benefit ratio favoured trapeziectomy with suspension arthroplasty, while TM prosthesis’s higher costs were justified due to improved short-term functional recovery. Conclusions: Both surgical techniques achieved satisfactory long-term clinical outcomes. The prosthetic option allows for quicker recovery and reduces indirect social costs, while suspension arthroplasty remains more cost-effective for direct costs. These findings highlight the importance of balancing clinical benefit and economic sustainability in surgical decision-making for TM osteoarthritis. Level of Evidence: Level III, retrospective comparative study. Full article
(This article belongs to the Section Hand Surgery and Research)
25 pages, 1961 KB  
Review
Postoperative Delirium After Cardiac Surgery: Psychiatric Vulnerability, Biological Mechanisms, and Prevention Strategies
by Vasileios Leivaditis, Anastasios Sepetis, Francesk Mulita, Athanasios Papatriantafyllou, Sofoklis Mitsos, Periklis Tomos, Konstantinos Grapatsas, Ejona Shaska, Elias Liolis, Efstratios Koletsis and Nikolaos Baikoussis
Med. Sci. 2026, 14(2), 176; https://doi.org/10.3390/medsci14020176 - 31 Mar 2026
Viewed by 323
Abstract
Introduction: Delirium is one of the most common and serious neuropsychiatric complications following cardiac surgery. It is associated with increased mortality, prolonged intensive care unit (ICU) and hospital stay, long-term cognitive decline, and reduced quality of life. Aims and Objectives: The aim of [...] Read more.
Introduction: Delirium is one of the most common and serious neuropsychiatric complications following cardiac surgery. It is associated with increased mortality, prolonged intensive care unit (ICU) and hospital stay, long-term cognitive decline, and reduced quality of life. Aims and Objectives: The aim of this study is to synthesize current evidence on the epidemiology, psychiatric and psychosocial risk factors, biological mechanisms, perioperative modifiers, prevention strategies, and long-term outcomes of delirium after cardiac surgery, with particular emphasis on its role as a marker of brain vulnerability. Materials and Methods: A narrative literature review was conducted using articles published between 1990 and 2025, identified through the PubMed and ScienceDirect databases. The search strategy included the terms “delirium,” “cardiac surgery,” “psychiatric disorders,” and “cognitive impairment.” Results: Recent evidence suggests that approximately one quarter of patients undergoing cardiac surgery develop delirium, with hypoactive forms frequently remaining underrecognized in clinical practice. Pre-existing depression, cognitive impairment, substance use disorders, low educational level, frailty, and social isolation significantly increase the risk of postoperative delirium. Within a stress–diathesis framework, peripheral physiological insults may be reflected centrally as acute brain dysfunction in vulnerable individuals. Modifiable perioperative factors include sedative choice and depth, as well as sleep and circadian disruption. Multicomponent non-pharmacological interventions, early mobilization, structured psychiatric and cognitive screening, and dexmedetomidine-based sedation have demonstrated consistent efficacy in reducing the incidence and/or duration of delirium. Furthermore, delirium has been associated with persistent cognitive and psychiatric morbidity, functional decline, and increased long-term mortality. Conclusions: Delirium following cardiac surgery is a multifactorial syndrome with significant short- and long-term consequences. A comprehensive, multidisciplinary approach integrating biological, psychiatric, and perioperative perspectives is essential for effective risk stratification, prevention, and long-term follow-up. Full article
Show Figures

Figure 1

14 pages, 1351 KB  
Study Protocol
Individualized 3D Planning for Hip Reconstruction in Cerebral Palsy: Study Protocol
by Britta K. Krautwurst, Thomas Dreher, Franziska L. Hatt, Bastian Sigrist, Tobias Götschi and Domenic Grisch
J. Clin. Med. 2026, 15(7), 2636; https://doi.org/10.3390/jcm15072636 - 30 Mar 2026
Viewed by 350
Abstract
Background: In children with cerebral palsy, bony acetabular deficiencies are common and may be associated with progressive hip subluxation, abnormal joint loading, and ultimately hip dislocation. Hip reconstruction surgery is typically performed to prevent dislocation, and this includes acetabular reshaping using acetabuloplasty. The [...] Read more.
Background: In children with cerebral palsy, bony acetabular deficiencies are common and may be associated with progressive hip subluxation, abnormal joint loading, and ultimately hip dislocation. Hip reconstruction surgery is typically performed to prevent dislocation, and this includes acetabular reshaping using acetabuloplasty. The location of acetabular deficiency may vary among individuals; however, only radiographs are used for planning and intraoperative correction in many centers. Precise reconstruction and preop planning are necessary for the accurate correction of acetabular coverage. This study compares conventional hip reconstruction with a 3D-guided technique using individual preop 3D planning and 3D-printed guides during surgery to determine which method allows for a more accurate correction. We hypothesize that the patient-specific 3D planning leads to more precise anatomical correction of acetabular coverage compared to conventional freehand osteotomy. Methods: This study was registered in the German Clinical Trial Register (DRKS-ID: DRKS00031356) on 14 July 2023. In a randomized controlled trial, various imaging-based parameters were used to assess the bony anatomy preoperatively and postoperatively. Preoperative and 6-week postoperative computed tomography (CT) scans are part of routine clinical care. Additionally, an immediate postoperative CT scan was performed. One hip was operated on using individualized 3D preoperative planning, while the other hip was corrected using a conventional surgical approach. A standardized subtrochanteric osteotomy was performed for the varisation, derotation, and shortening of the proximal femur. This osteotomy was followed by acetabuloplasty under fluoroscopic control. For the 3D-planned operation, patient-specific cutting and repositioning guides were produced based on preoperative CT imaging. Patients with bilateral cerebral palsy (GMFCS levels I–V), aged 4–18 years, with an open triradiate growth plate and a migration index ≥ 40% in at least one hip were included. In a preliminary retrospective part, this project reproduces the existing three-dimensional acetabular index (3-DAI) and compares it with established radiographic methods to determine the utility and reliability of a reconstructed 3D CT measurement technique. A further component of the retrospective part is the creation of an age-adjusted database of typically developed hips and the development of a 3D head coverage index (3D-HCI) as a new 3D parameter to express acetabular coverage; therefore, it will be used as a secondary parameter and correlated to the 3DAI in the prospective part. Conclusions: Improved precision may have meaningful clinical implications for long-term joint congruency, load distribution, pain, and mobility outcomes. Full article
(This article belongs to the Special Issue Cerebral Palsy: Recent Advances in Clinical Management)
Show Figures

Figure 1

23 pages, 1399 KB  
Review
Impact of Perioperative Active Warming Strategies on Surgical Site Infection Rates: A Narrative Review
by Aleksander Joniec, Jedrzej Mikolajczyk, Seweryn Kaczara, Emma Mazul-Kulesza, Tomasz Fajferek and Barbara Pietrzyk
Appl. Sci. 2026, 16(7), 3317; https://doi.org/10.3390/app16073317 - 29 Mar 2026
Viewed by 479
Abstract
Inadvertent perioperative hypothermia increases susceptibility to surgical site infection (SSI) through impaired immune function, reduced oxidative killing, and altered collagen deposition. We performed a narrative review of recent clinical and translational studies evaluating active thermal management for SSI prevention, with emphasis on forced-air [...] Read more.
Inadvertent perioperative hypothermia increases susceptibility to surgical site infection (SSI) through impaired immune function, reduced oxidative killing, and altered collagen deposition. We performed a narrative review of recent clinical and translational studies evaluating active thermal management for SSI prevention, with emphasis on forced-air warming (FAW) and conductive systems, and on high-risk settings (prolonged surgery, elevated BMI, and pediatric patients). Across studies, active warming more reliably maintains intraoperative normothermia than passive insulation; however, evidence for a consistent reduction in SSI rates is strongest in vulnerable cohorts and lengthy procedures and remains heterogeneous across specialties. FAW demonstrates high warming efficiency, yet its use in implant-based operations continues to be debated because of potential airflow disruption and bacterial mobilization concerns. The literature increasingly supports precision approaches, including pre-warming protocols, improved perioperative temperature monitoring, and predictive models to identify patients at greatest risk of hypothermia. In conclusion, effective SSI prevention requires procedure- and patient-specific thermal strategies, selecting devices that balance warming performance with sterility considerations while integrating perioperative risk stratification and real-time monitoring. Full article
Show Figures

Figure 1

55 pages, 2022 KB  
Review
Post-COVID-19 Jaw Osteonecrosis: A Narrative Review
by George Cătălin Alexandru, Loredana-Neli Gligor, Doina Chioran, Ciprian I. Roi, Mircea Riviș, Marius Octavian Pricop, Andrei Urîtu, Aliteia-Maria Pacnejer, Horațiu Cristian Manea and Tudor Rareş Olariu
Medicina 2026, 62(4), 641; https://doi.org/10.3390/medicina62040641 - 27 Mar 2026
Viewed by 491
Abstract
Background and Objectives: Osteonecrosis of the jaw (ONJ) occurring after infection with SARS-CoV-2 has emerged as an increasingly reported complication in the post-COVID-19 era. Post-COVID-19 osteonecrosis of the jaw (PC-ONJ) has been described in association with both COVID-19-associated mucormycosis (CAM) and non-fungal [...] Read more.
Background and Objectives: Osteonecrosis of the jaw (ONJ) occurring after infection with SARS-CoV-2 has emerged as an increasingly reported complication in the post-COVID-19 era. Post-COVID-19 osteonecrosis of the jaw (PC-ONJ) has been described in association with both COVID-19-associated mucormycosis (CAM) and non-fungal phenotypes. This narrative review aims to synthesize and critically analyze the available evidence regarding terminology and classification, epidemiology and risk factors, pathophysiological mechanisms, clinical and imaging characteristics, diagnostic challenges, and management strategies relevant to oral and maxillofacial surgery practice. Materials and Methods: An extensive literature search was conducted in the PubMed/MEDLINE, Scopus, Web of Science, ScienceDirect, and Google Scholar databases. The search targeted peer-reviewed publications published between 2020 and 2025, reflecting the post-pandemic emergence of this clinical spectrum. Original studies, systematic and narrative reviews, multicenter case series, consensus guidelines, and well-documented case reports were considered. Results: Available data, largely derived from case reports and small series, demonstrate a predominance of maxillary involvement and frequent association with diabetes mellitus and systemic corticosteroid therapy. Proposed mechanisms include COVID-19-associated endothelial dysfunction, microvascular thrombosis, immune dysregulation, metabolic imbalance, and treatment-related effects. Clinically, patients may present with persistent orofacial pain, tooth mobility, exposed or probeable bone, and frequent sinonasal extension, with symptoms sometimes preceding bone exposure. Diagnostic challenges arise from the overlap with medication-related osteonecrosis of the jaw (MRONJ), osteoradionecrosis (ORN), and chronic osteomyelitis. Imaging is essential for assessing disease extent but remains insufficient for etiologic differentiation, making histopathological examination and targeted microbiological investigations necessary, particularly to exclude invasive fungal infection. Conclusions: Management must be etiology-driven. CAM requires urgent antifungal therapy combined with surgical debridement, whereas non-fungal forms are generally managed with conservative surgery and appropriate antimicrobial stewardship. Standardized diagnostic criteria and prospective multicenter studies are needed to reduce nosological ambiguity and optimize clinical decision-making in this emerging post-viral condition. Full article
(This article belongs to the Special Issue Research on Oral and Maxillofacial Surgery)
Show Figures

Figure 1

37 pages, 3866 KB  
Review
Open Surgical Management of Renal Cell Carcinoma with Infradiaphragmatic Venous Tumor Thrombus (Mayo Levels 0–III): The Epitome of Surgical Self-Reliance in Urology
by Dorin Novacescu, Adelina Baloi, Silviu Latcu, Flavia Zara, Dorel Sandesc, Cristina-Stefania Dumitru, Cristian Condoiu, Razvan Bardan, Vlad Dema, Radu Caprariu, Talida Georgiana Cut and Alin Cumpanas
Cancers 2026, 18(7), 1080; https://doi.org/10.3390/cancers18071080 - 26 Mar 2026
Viewed by 505
Abstract
Background/Objectives: Renal cell carcinoma (RCC) with venous tumor thrombus (VTT) extending into the inferior vena cava (IVC) occurs in 4–10% of patients and represents one of the most technically demanding scenarios in urologic surgery. Open radical nephrectomy with en bloc thrombectomy remains [...] Read more.
Background/Objectives: Renal cell carcinoma (RCC) with venous tumor thrombus (VTT) extending into the inferior vena cava (IVC) occurs in 4–10% of patients and represents one of the most technically demanding scenarios in urologic surgery. Open radical nephrectomy with en bloc thrombectomy remains the gold standard for infradiaphragmatic disease (Mayo Levels 0–III), offering the only realistic prospect for long-term cure. This narrative review provides a technically oriented, evidence-based guide for surgical urologists managing these complex cases. Methods: PubMed/MEDLINE, Scopus, and Web of Science were searched (1970–March 2025) using terms related to RCC, venous tumor thrombus, IVC thrombectomy, and perioperative management. Priority was given to prospective studies, systematic reviews, large retrospective cohorts, and current guidelines (EAU 2025, NCCN v2.2024). Original intraoperative photographs supplement procedural descriptions. Results: We detail the complete perioperative pathway: VTT classification (Mayo/AJCC), multimodal imaging, patient optimization, and level-specific open surgical techniques—ranging from Satinsky clamping for Level 0–I thrombi to full piggyback liver mobilization with hepatic vascular exclusion for Level III disease. Contemporary perioperative mortality is <2% at high-volume centers (reported in single and multicenter retrospective series from high-volume institutions), with 5-year cancer-specific survival of approximately 50–60% in non-metastatic cases. Adjuvant pembrolizumab is now a standard of care following the KEYNOTE-564 trial. Neoadjuvant immune checkpoint inhibitor plus tyrosine kinase inhibitor combinations show promising VTT downstaging rates (44–100%), though their role remains investigational. Robotic-assisted thrombectomy demonstrates favorable perioperative outcomes for Level I–II thrombi at experienced centers. Conclusions: Open surgery remains the cornerstone of curative treatment for RCC with infradiaphragmatic VTT, requiring meticulous preoperative planning and multidisciplinary collaboration at high-volume centers. Integration of perioperative systemic therapies and robotic-assisted approaches holds promise for further improving outcomes in this challenging patient population. Full article
Show Figures

Figure 1

13 pages, 747 KB  
Article
Pre-Operative Sonographic Assessment of Ovarian Location and Mobility Predicts Intra-Operative Ovarian Resectability During Vaginal Hysterectomy: A Diagnostic Accuracy Study
by Iakovos Theodoulidis, Nikolaos Roussos, Menelaos Zafrakas, Christos Anthoulakis, Pantelis Trompoukis, Grigorios F. Grimbizis and Themistoklis Mikos
Diagnostics 2026, 16(6), 952; https://doi.org/10.3390/diagnostics16060952 - 23 Mar 2026
Viewed by 266
Abstract
Background/Objectives: This study investigates the predictive role of pre-operative sonographic assessment of ovarian mobility in determining intra-operative ovarian resectability among patients undergoing vaginal hysterectomy for pelvic organ prolapse. Methods: This prospective study was conducted in a tertiary academic urogynecology center. Women [...] Read more.
Background/Objectives: This study investigates the predictive role of pre-operative sonographic assessment of ovarian mobility in determining intra-operative ovarian resectability among patients undergoing vaginal hysterectomy for pelvic organ prolapse. Methods: This prospective study was conducted in a tertiary academic urogynecology center. Women with pelvic organ prolapse scheduled for vaginal hysterectomy were consecutively recruited after providing informed consent. Pre-operatively, all patients had a detailed history, pelvic examination (POP-Q), and pelvic floor ultrasound (including assessment of the mobility of both ovaries and sonographic determination of ovarian descent in relation to the pelvic ischial spines). Patients were planned for vaginal hysterectomy, anterior and posterior colporrhaphy, McCall culdoplasty, and bilateral salpingo-oophorectomy (SO), where feasible. During surgery, the location and mobility of the ovaries, as well as the presence of peri-ovarian adhesions, were recorded. Pair-to-pair comparisons between sonographic and clinical findings were performed. Results: From February 2023 to January 2024, 50 Caucasian adult women underwent reconstructive vaginal surgery for prolapse. Thirty-five patients underwent concomitant bilateral SO via vaginal route, seven underwent unilateral SO, and three under went salpingectomy only. ROC analysis indicated that pre-operative ultrasound assessment of ovarian mobility predicts: (1) intra-operative ovarian mobility (sensitivity 95.6%, specificity 77.8%); (2) the presence of peri-ovarian adhesions (sensitivity 46.1%, specificity 94.2%); and (3) resectability, i.e., the ability to perform SO via the vaginal route (sensitivity 96.4%, specificity 50.0%). The absence of ovarian mobility was not associated with an increased risk of intra-operative and post-operative complications. Conclusions: Pre-operative sonographic assessment of ovarian location and mobility can predict ovarian location and resectability during vaginal surgery with high diagnostic accuracy. Full article
Show Figures

Figure 1

14 pages, 952 KB  
Article
Feasibility and Utility of Recumbent Ergometer-Based Cardiopulmonary Exercise Test in Phase 1 Cardiac Rehabilitation Following Cardiac Surgery: A Pilot Study
by Yeon Mi Kim, Bo Ryun Kim, Ho Sung Son, Sung Bom Pyun, Jae Seung Jung and Hee Jung Kim
J. Clin. Med. 2026, 15(6), 2429; https://doi.org/10.3390/jcm15062429 - 22 Mar 2026
Viewed by 294
Abstract
Background/Objectives: Recent guidelines have emphasized the importance of early mobilization and rehabilitation of patients following cardiac surgery. However, studies on the optimal targets and prescription methods for phase I cardiac rehabilitation (CR) are lacking. This study aimed to evaluate the feasibility and utility [...] Read more.
Background/Objectives: Recent guidelines have emphasized the importance of early mobilization and rehabilitation of patients following cardiac surgery. However, studies on the optimal targets and prescription methods for phase I cardiac rehabilitation (CR) are lacking. This study aimed to evaluate the feasibility and utility of an early phase 1 submaximal cardiopulmonary exercise test (CPET) using a recumbent ergometer in patients who have undergone cardiac surgery. Methods: Twenty ambulatory patients who underwent cardiac surgery between December 2021 and February 2023 were referred to the CR department on the fifth postoperative day, and a CR program was initiated. The program was conducted five times a week, with hour-long sessions consisting of warm-up exercises, resistance training, aerobic exercises, and a cool-down period. A recumbent ergometer-based submaximal CPET was performed approximately nine days after the surgery, prior to discharge. Participants initiated the test at 0 W, and the workload was increased by 20 W after 2 min. During the test, researchers evaluated parameters including submaximal peak values of oxygen consumption (VO2), metabolic equivalents of task, respiratory exchange ratio (RER), blood pressure, heart rate (HR), and rating of perceived exertion (RPE). The grip strength test, 6 min walk test (6MWT), Korean Activity Scale/Index (KASI), EuroQol-5 dimension (EQ-5D), and short-form 36-item health survey (SF-36) values were also measured prior to discharge. Results: Twenty patients (75% male, average age 62.50 ± 1.99 years) underwent CPET at a median of 9.0 (8.0; 12.5) days postoperative. The average exercise duration of the CPET was 411.75 ± 168.25 s. During the test, their submaximal peak VO2 was 12.32 ± 0.75 mL/kg/min (corresponding to 46.65 ± 2.08% of VO2 max). The submaximal peak RER was 1.01 (0.98–1.12), and the submaximal peak RPE was 15.00 ± 0.51. Furthermore, the submaximal peak HR was 111.8 ± 3.76 beats/min (equivalent to 70.95 ± 2.09% of age-predicted maximal HR). After adjustment for age and sex, statistically significant positive correlations were observed between the submaximal peak VO2 and 6MWT, squat endurance test, KASI, EQ-5D, and the physical component summary (PCS) of the SF-36 questionnaire. The 6MWT, squat endurance test, KASI, and PCS of SF-36 showed a correlation coefficient (r) of 0.522 (p = 0.026), 0.628 (p = 0.005), 0.586 (p = 0.011), and 0.546 (p = 0.019), respectively. No significant cardiac events, such as ST elevation/depression or hemodynamic instability, were observed during the test. Conclusions: Our findings suggest that performing recumbent ergometer-based CPET during early phase 1 CR is safe and feasible. These results highlight the potential of recumbent ergometer-based CPET as a valuable tool for guiding the appropriate prescription of early CR programs following hospital discharge in patients undergoing cardiac surgery. Full article
(This article belongs to the Special Issue Clinical Update on Cardiac Rehabilitation)
Show Figures

Figure 1

28 pages, 6155 KB  
Article
Plasma Proteomics Reveals Persistent and Surgery-Responsive Molecular Signatures in Osteoarthritis Patients
by Duygu Sari-Ak, Fatih Con, Melike Guvendi, Hayriye E. Yelkenci, Nazli Helvaci-Kurt, Alev Kural, Marcel Zamocky, Cemal Kural and Mustafa C. Beker
Int. J. Mol. Sci. 2026, 27(6), 2862; https://doi.org/10.3390/ijms27062862 - 21 Mar 2026
Viewed by 371
Abstract
Osteoarthritis (OA) represents a degenerative joint disease which advances through cartilage breakdown, synovial inflammation, and subchondral bone transformation until it causes persistent pain and mobility loss. The scientific community lacks complete knowledge about OA disease mechanisms and post-operative healing processes despite arthroplasty surgery [...] Read more.
Osteoarthritis (OA) represents a degenerative joint disease which advances through cartilage breakdown, synovial inflammation, and subchondral bone transformation until it causes persistent pain and mobility loss. The scientific community lacks complete knowledge about OA disease mechanisms and post-operative healing processes despite arthroplasty surgery providing effective symptom relief. This study investigated plasma proteomic changes in OA patients before and after arthroplasty. The cohort included eight OA patients undergoing knee or hip arthroplasty and ten age-, sex-, and body mass index-matched healthy controls. Plasma proteins were analyzed using liquid chromatography–tandem mass spectrometry following enzymatic digestion and depletion of high-abundance components. The bioinformatic analysis together with quantitative methods showed that OA patients experienced changes in inflammatory pathways, extracellular matrix remodeling, immune system regulation and coagulation processes. A total of 93 proteins were differentially abundant in the pre-operative comparison. Among these, 63 proteins were consistently up-regulated and 23 were consistently down-regulated across both pre- and post-operative time points. In addition, 20 proteins exhibited post-operative-specific changes. These findings highlight both persistent disease-associated alterations and transient proteomic shifts linked to post-operative recovery. Overall, this study identifies candidate plasma proteomic signatures associated with OA and surgical intervention, providing exploratory insights into disease monitoring and potential personalized therapeutic strategies. Full article
(This article belongs to the Section Molecular Biology)
Show Figures

Figure 1

22 pages, 891 KB  
Systematic Review
The Use of Augmented Reality for Navigation in Minimally Invasive Abdominal and Thoracic Soft-Tissue Surgery: A Systematic Review
by Inga Steinberga, Victor Gabriel El-Hajj, Laura Cercenelli, Mario Romero, Kenny A. Rodriguez-Wallberg, Erik Edström and Adrian Elmi-Terander
Sensors 2026, 26(6), 1962; https://doi.org/10.3390/s26061962 - 20 Mar 2026
Viewed by 608
Abstract
Surgical navigation and augmented reality (AR) are widely used in neurosurgery, spinal surgery, and orthopedics. However, their use in minimally invasive abdominal and thoracic soft-tissue surgery is limited, as tracking deformable, mobile organs is challenging. Recent advances in AR may address these challenges [...] Read more.
Surgical navigation and augmented reality (AR) are widely used in neurosurgery, spinal surgery, and orthopedics. However, their use in minimally invasive abdominal and thoracic soft-tissue surgery is limited, as tracking deformable, mobile organs is challenging. Recent advances in AR may address these challenges to improve intraoperative navigation. This systematic review, registered in PROSPERO (2024) and based on PRISMA guidelines, analyzes literature from 2014 to 2024 about AR in minimally invasive abdominal and thoracic soft-tissue surgery. It identifies target organs, describes AR hardware and software, and evaluates accuracy levels, usability outcomes, clinical benefits, technical limitations, and research needs. Searches of PubMed, Web of Science, and Embase for English-language studies found 1297 records, of which only 28 (2%) met the inclusion criteria. Nearly half (n =12; 42%) focused on liver surgery; none on gynecologic surgery. The AR devices varied in tracking methods, image processing, visualization, and display. Overall, AR improved anatomical guidance and procedural planning, especially in complex surgeries. Integration with robotic systems may further boost visualization, precision, and workflow, though challenges remain in standardization, large-cohort validation, and workflow integration. Full article
(This article belongs to the Special Issue Virtual, Augmented, and Mixed Reality in Biomedical Engineering)
Show Figures

Figure 1

17 pages, 1485 KB  
Article
A Pilot Study Investigating Clinical and Functional Outcomes of Novel Double-Coil rPMS in Knee Osteoarthritis
by Roman Bednár, Martina Flašková and Nicole Fejková
Biomedicines 2026, 14(3), 722; https://doi.org/10.3390/biomedicines14030722 - 20 Mar 2026
Cited by 1 | Viewed by 489
Abstract
Background: Knee osteoarthritis (KOA) is one of the leading causes of chronic pain and long-term disability worldwide. Despite its high prevalence, KOA remains underrepresented in repetitive peripheral magnetic stimulation (rPMS) research. While total knee arthroplasty remains the definitive treatment, there is a growing [...] Read more.
Background: Knee osteoarthritis (KOA) is one of the leading causes of chronic pain and long-term disability worldwide. Despite its high prevalence, KOA remains underrepresented in repetitive peripheral magnetic stimulation (rPMS) research. While total knee arthroplasty remains the definitive treatment, there is a growing need for non-invasive approaches to reduce symptoms in patients seeking conservative alternatives or awaiting surgery. Methods: Thirty patients with KOA underwent a non-invasive treatment program consisting of eight sessions of double-coil repetitive peripheral magnetic stimulation (rPMS) over three weeks. Outcome measures included pain intensity assessed by the Visual Analog Scale (VAS), functional ability evaluated by the Western Ontario and McMaster Universities Osteoarthritis Index (WOMAC) and the Timed Up and Go test (TUG), and joint mobility measured as knee flexion and extension. Clinical relevance was evaluated using the Minimal Clinically Important Difference (MCID), and subgroup analyses were performed according to Kellgren-Lawrence (KL) grade. Results: Double-coil rPMS was associated with statistically and clinically significant improvements in all outcomes. MCID responder rates exceeded 80% for VAS and TUG, exceeded 70% for WOMAC, and approached 50% for joint mobility outcomes. Subgroup analysis indicated that patients with lower KL grades experienced greater pain reduction, whereas those with higher grades showed greater functional gains. Conclusions: Double-coil rPMS provided preliminary evidence of potential clinical benefit as a non-invasive approach in patients with KOA. Given the single-arm pilot design, the findings should be interpreted cautiously and require confirmation in adequately powered randomized controlled trials with longer follow-up. Full article
(This article belongs to the Section Biomedical Engineering and Materials)
Show Figures

Figure 1

13 pages, 252 KB  
Article
Spatiotemporal and Gait Symmetry Changes Following Osseointegration in Transfemoral Prosthesis Users: A Longitudinal Study
by Reihaneh Ravari, Mayank Rehani, Justin Lewicke, Albert H. Vette and Jacqueline S. Hebert
Prosthesis 2026, 8(3), 33; https://doi.org/10.3390/prosthesis8030033 - 20 Mar 2026
Viewed by 290
Abstract
Background/Objectives: Bone-anchored prostheses provide an alternative to socket prostheses, directly connecting the prosthesis to the residual limb via osseointegration. However, limited evidence exists on how spatiotemporal gait parameters and gait symmetry change over time following osseointegration in individuals with unilateral transfemoral amputation. [...] Read more.
Background/Objectives: Bone-anchored prostheses provide an alternative to socket prostheses, directly connecting the prosthesis to the residual limb via osseointegration. However, limited evidence exists on how spatiotemporal gait parameters and gait symmetry change over time following osseointegration in individuals with unilateral transfemoral amputation. This study aimed to examine changes in spatiotemporal and gait symmetry parameters before osseointegration and at 6 and 12 months post-surgery. Methods: Common spatiotemporal parameters were collected from six individuals with unilateral transfemoral amputation at baseline (with socket prosthesis) and at 6 and 12 months post-osseointegration using a motion analysis system. Group-level differences were assessed using repeated measures ANOVA. Gait symmetry was evaluated using selected spatiotemporal parameters. Results: Following osseointegration, individuals with unilateral transfemoral amputation experienced significant spatiotemporal changes over time. At the group level, walking velocity and stride length decreased at 6 months, with stride length increasing at 12 months. Step width and prosthetic-side step length increased at 12 months relative to 6 months, while intact-side step length decreased. Prosthetic-side toe-off timing was shorter at 12 months. Gait symmetry responses varied individually: some with poor baseline symmetry improved, while those with better baseline symmetry became more asymmetric, indicating heterogeneous outcomes. Conclusions: This study highlights longitudinal changes in gait biomechanics following osseointegration in individuals with unilateral transfemoral amputation. Gait adaptations were highly variable across individuals and time points. Future research should involve larger, more homogeneous samples and incorporate kinetic, muscle activity, and functional outcome measures to better understand the impact of bone-anchored prostheses on gait and mobility. Full article
(This article belongs to the Section Orthopedics and Rehabilitation)
5 pages, 2886 KB  
Interesting Images
Multimodality Diagnostics and Endovascular Large-Bore Aspiration Thrombectomy of the Clot-in-Transit
by Katja Lovoković, Dražen Mlinarević, Vjekoslav Kopačin, Mateo Grigić, Jerko Arambašić, Iva Jurić and Tajana Turk
Diagnostics 2026, 16(6), 917; https://doi.org/10.3390/diagnostics16060917 - 19 Mar 2026
Viewed by 330
Abstract
Clot-in-transit (CIT) is a free-floating thrombus in the right heart and can enter pulmonary circulation at any moment. Possible treatments include anticoagulation, systemic thrombolysis, surgical embolectomy, and endovascular catheter-based therapies. The optimal treatment is still undetermined, heavily relying on clinical judgment and multidisciplinary [...] Read more.
Clot-in-transit (CIT) is a free-floating thrombus in the right heart and can enter pulmonary circulation at any moment. Possible treatments include anticoagulation, systemic thrombolysis, surgical embolectomy, and endovascular catheter-based therapies. The optimal treatment is still undetermined, heavily relying on clinical judgment and multidisciplinary team discussion. We report a case of a 70-year-old woman presenting with tachydyspnoea following recent abdominal surgery, who was diagnosed with massive bilateral pulmonary embolism (PE) complicated by a clot-in-transit. Point-of-care ultrasonography revealed a large mobile thrombus in the right atrium with severe right ventricular dysfunction. Due to haemodynamic instability and a contraindication for systemic thrombolysis, mechanical thrombectomy was performed. A large thrombotic burden was aspirated from the right heart and pulmonary arteries, resulting in haemodynamic stabilization and recovery of right ventricular function. The patient remained stable throughout hospitalization and was discharged on oral anticoagulation therapy with complete recovery on follow-up. This case highlights several points. Firstly, CIT is a rare finding but should be considered in patients with massive pulmonary embolism and shock. Furthermore, POCUS is essential for diagnosing CIT. Finally, mechanical thrombectomy is a valuable therapeutic option in high-risk PE patients with contraindications to systemic thrombolysis and haemodynamic instability. Further studies are needed to establish adequate guidelines for the optimal management of CIT patients. Full article
(This article belongs to the Collection Interesting Images)
Show Figures

Figure 1

Back to TopTop