Sign in to use this feature.

Years

Between: -

Subjects

remove_circle_outline
remove_circle_outline
remove_circle_outline
remove_circle_outline
remove_circle_outline
remove_circle_outline
remove_circle_outline
remove_circle_outline
remove_circle_outline

Journals

remove_circle_outline
remove_circle_outline
remove_circle_outline
remove_circle_outline
remove_circle_outline
remove_circle_outline
remove_circle_outline
remove_circle_outline
remove_circle_outline
remove_circle_outline
remove_circle_outline
remove_circle_outline
remove_circle_outline
remove_circle_outline
remove_circle_outline
remove_circle_outline

Article Types

Countries / Regions

remove_circle_outline
remove_circle_outline
remove_circle_outline
remove_circle_outline

Search Results (420)

Search Parameters:
Keywords = memorize

Order results
Result details
Results per page
Select all
Export citation of selected articles as:
20 pages, 12849 KB  
Review
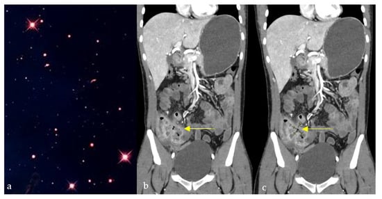
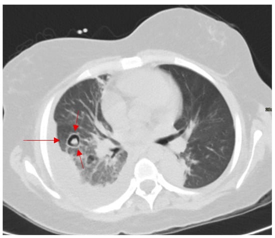
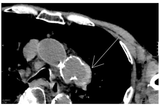
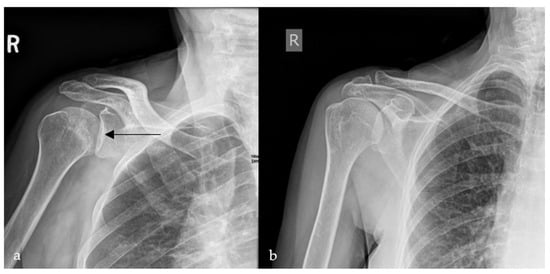
Cosmic Signs in Radiology: A Pictorial Review
by Yara Jabbour, Raquelle El Alam, Sara Amro, Mutaz Kassas, Youssef Ghosn, Reve Chahine, Mihran Khdhir and Lara Nassar
Diagnostics 2025, 15(19), 2528; https://doi.org/10.3390/diagnostics15192528 (registering DOI) - 7 Oct 2025
Abstract
Pattern recognition remains a cornerstone of radiologic interpretation, as it facilitates a confident and comprehensive differential diagnosis. Certain pathologies present with specific and highly recognizable patterns on imaging modalities. These patterns can resemble familiar real-life phenomena, including cosmic bodies that surround us. We [...] Read more.
Pattern recognition remains a cornerstone of radiologic interpretation, as it facilitates a confident and comprehensive differential diagnosis. Certain pathologies present with specific and highly recognizable patterns on imaging modalities. These patterns can resemble familiar real-life phenomena, including cosmic bodies that surround us. We present in this article a compilation of radiologic signs across various modalities that take inspiration from cosmic phenomena. For each sign, we summarize its defining imaging appearance, typical clinical context, and common pitfalls; where available, we note diagnostic performance (e.g., sensitivity/specificity) to guide appropriate weighting in practice. By coupling memorable imagery with succinct clinical guidance, this pictorial review aims to support a faster, more accurate pattern recognition that is applicable in both low-resource and tertiary care settings, while recognizing that these signs function as educational aids rather than validated diagnostic tests. In familiarizing themselves with these classic signs, training radiologists can benefit from an engaging and memorable way of recognizing various pathological conditions. Full article
(This article belongs to the Special Issue An Update on Radiological Diagnosis in 2024)
Show Figures

Figure 1

32 pages, 6098 KB  
Article
Laser-Carved Legacy: Exploring the Scientific Construction and Cultural Significance of the World’s Largest Golden Buddha in Thailand Through a Tourist Perspective
by Pattarinee White, Wuttichai Phae-Ngam, Surachart Kamoldilok, Kittisakchai Naemchanthara, Pichet Limsuwan and Pannee Suanpang
Tour. Hosp. 2025, 6(4), 201; https://doi.org/10.3390/tourhosp6040201 - 2 Oct 2025
Abstract
This research investigates the intersection of construction innovation and cultural heritage through the lens of tourist perceptions of the world’s largest carved golden Buddha, situated at Khao Chi Chan Mountain, Pattaya, Thailand. Positioned as an emerging tourism destination, this site contributes to the [...] Read more.
This research investigates the intersection of construction innovation and cultural heritage through the lens of tourist perceptions of the world’s largest carved golden Buddha, situated at Khao Chi Chan Mountain, Pattaya, Thailand. Positioned as an emerging tourism destination, this site contributes to the rebranding of Pattaya as a globally significant hub for religious tourism. This study highlights how this monumental Buddha statue fosters spiritual experiences, promotes the conservation of art and culture, and encapsulates a historical narrative tied to Thailand’s royal lineage. Notably, the statue’s creation employed a pioneering technique—the only one of its kind worldwide—involving laser-guided carving by artisans, followed by gold leaf application to enhance its aesthetic magnificence. A mixed-methods research approach was adopted, integrating historical document analysis with narrative accounts of the statue’s construction using modern technology, complemented by quantitative data collected through tourist questionnaires. By documenting the historical use of laser technology in creating this iconic Buddhist landmark, this research corrects misconceptions about its construction process and highlights the innovative application of a 20 W Argon ion laser for drawing the image of Buddha on the cliff. This study evaluates tourist perceptions using the DHARMA model, revealing how Destination Identity, Heritage Values, and Memorable Experiences foster emotional connections and spiritual enrichment (β = 0.801, p < 0.001). The findings underscore Khao Chi Chan’s potential to reposition Pattaya as a hub for Buddhist tourism, diversifying its image beyond nightlife-centric tourism. This work contributes to sustainable tourism by demonstrating how sacred sites can balance cultural preservation and economic vitality, offering insights for heritage management and urban tourism development in Southeast Asia. Full article
Show Figures

Figure 1

15 pages, 14339 KB  
Article
Origami Fresnel Zone Plate Lens Reflector Antennas for Satellite Applications
by Massimo Donelli, Sreedevi Menon, Viviana Mulloni, Giada Marchi and Irene Dal Chiele
Electronics 2025, 14(19), 3892; https://doi.org/10.3390/electronics14193892 - 30 Sep 2025
Abstract
This work presents a methodology for designing deployable reflector antennas that combine origami structures and the Fresnel zone plate lens to obtain a compact antenna structure. In particular, Miura and Yoshimura’s origami patterns have been considered for the design of the Fresnel reflector [...] Read more.
This work presents a methodology for designing deployable reflector antennas that combine origami structures and the Fresnel zone plate lens to obtain a compact antenna structure. In particular, Miura and Yoshimura’s origami patterns have been considered for the design of the Fresnel reflector mirror and the conical horn antenna feeder, respectively. A set of memory-form alloy (MFA) actuators have been used to deploy the antenna. The MFA actuators are activated by a direct current aimed at increasing the temperature and activating the memorized shape. The combination of these techniques provides light, inexpensive, and very compact antennas, particularly suitable for satellite applications. A numerical and experimental assessment campaign has been carried out on antenna prototypes operating in the Ku band at 15 GHz. The obtained experimental results are quite promising. Full article
(This article belongs to the Special Issue Theory, Methods and Applications of Electromagnetic Scattering)
Show Figures

Figure 1

24 pages, 4755 KB  
Article
Transfer Entropy and O-Information to Detect Grokking in Tensor Network Multi-Class Classification Problems
by Domenico Pomarico, Roberto Cilli, Alfonso Monaco, Loredana Bellantuono, Marianna La Rocca, Tommaso Maggipinto, Giuseppe Magnifico, Marlis Ontivero Ortega, Ester Pantaleo, Sabina Tangaro, Sebastiano Stramaglia, Roberto Bellotti and Nicola Amoroso
Technologies 2025, 13(10), 438; https://doi.org/10.3390/technologies13100438 - 29 Sep 2025
Abstract
Quantum-enhanced machine learning, encompassing both quantum algorithms and quantum-inspired classical methods such as tensor networks, offers promising tools for extracting structure from complex, high-dimensional data. In this work, we study the training dynamics of Matrix Product State (MPS) classifiers applied to three-class problems, [...] Read more.
Quantum-enhanced machine learning, encompassing both quantum algorithms and quantum-inspired classical methods such as tensor networks, offers promising tools for extracting structure from complex, high-dimensional data. In this work, we study the training dynamics of Matrix Product State (MPS) classifiers applied to three-class problems, using both fashion MNIST and hyperspectral satellite imagery as representative datasets. We investigate the phenomenon of grokking, where generalization emerges suddenly after memorization, by tracking entanglement entropy, local magnetization, and model performance across training sweeps. Additionally, we employ information-theory tools to gain deeper insights: transfer entropy is used to reveal causal dependencies between label-specific quantum masks, while O-information captures the shift from synergistic to redundant correlations among class outputs. Our results show that grokking in the fashion MNIST task coincides with a sharp entanglement transition and a peak in redundant information, whereas the overfitted hyperspectral model retains synergistic, disordered behavior. These findings highlight the relevance of high-order information dynamics in quantum-inspired learning and emphasize the distinct learning behaviors that emerge in multi-class classification, offering a principled framework to interpret generalization in quantum machine learning architectures. Full article
(This article belongs to the Section Quantum Technologies)
Show Figures

Figure 1

18 pages, 898 KB  
Article
TimeWeaver: Time-Aware Sequential Recommender System via Dual-Stream Temporal Network
by Yang Liu, Tao Wang and Yan Ma
Systems 2025, 13(10), 857; https://doi.org/10.3390/systems13100857 - 29 Sep 2025
Abstract
Recommender systems are data-driven tools designed to assist or automate users’ decision-making. With the growing demand of personalized sequential recommendations in business intelligence or e-commerce, effectively capturing temporal information from massive user-sequence data has become a crucial challenge. State-of-the-art attention-based models often struggle [...] Read more.
Recommender systems are data-driven tools designed to assist or automate users’ decision-making. With the growing demand of personalized sequential recommendations in business intelligence or e-commerce, effectively capturing temporal information from massive user-sequence data has become a crucial challenge. State-of-the-art attention-based models often struggle to balance performance with computational cost, while traditional convolutional neural networks suffer from limited receptive fields and rigid architectures that inadequately model dynamic user interests. To address these limitations, this paper proposes TimeWeaver, a time-aware dual-stream network for sequential recommendation, whose core innovations comprise three key components. First, it employs a re-parameterized large-kernel convolution to expand the effective receptive field. Second, we design a Time-Aware Augmentation mechanism that integrates inter-event time-interval information into positional encodings of items. This allows it to perceive the temporal dynamics of user behavior. Finally, we propose a dual-stream architecture to jointly capture dependencies across different time scales. The context stream employs a modern Temporal Convolutional Network (TCN) structure to strengthen the memorization of users’ medium- and long-term interests. In parallel, the dynamic stream leverages an Exponential Moving Average (EMA) mechanism to weight recent behaviors for sensitively capturing users’ immediate interests. This dual-stream design allows TimeWeaver to comprehensively extract both long- and short-term sequential features. Extensive experiments on three public e-commerce datasets demonstrate TimeWeaver’s superiority. Compared to the strongest baseline model, TimeWeaver achieves average relative improvements of 4.62%, 9.59%, and 4.59% across all metrics on the Beauty, Sports, and Toys datasets, respectively. Full article
(This article belongs to the Special Issue Data-Driven Insights with Predictive Marketing Analysis)
Show Figures

Figure 1

30 pages, 696 KB  
Article
SPADR: A Context-Aware Pipeline for Privacy Risk Detection in Text Data
by Sultan Asiri, Randa Alshehri, Fatima Kamran, Hend Laznam, Yang Xiao and Saleh Alzahrani
Electronics 2025, 14(18), 3725; https://doi.org/10.3390/electronics14183725 - 19 Sep 2025
Viewed by 476
Abstract
Large language models (LLMs) are powerful, but they can unintentionally memorize and leak sensitive information found in their training or input data. To address this issue, we propose SPADR, a semantic privacy anomaly detection and remediation pipeline designed to detect and remove privacy [...] Read more.
Large language models (LLMs) are powerful, but they can unintentionally memorize and leak sensitive information found in their training or input data. To address this issue, we propose SPADR, a semantic privacy anomaly detection and remediation pipeline designed to detect and remove privacy risks from text. SPADR addresses limitations in existing redaction methods by identifying deeper forms of sensitive content, including implied relationships, contextual clues, and non-standard identifiers that traditional NER systems often overlook. SPADR combines semantic anomaly scoring using a denoising autoencoder with named entity recognition and graph-based analysis to detect both direct and hidden privacy risks. It is flexible enough to work on both training data (to prevent memorization) and user input (to prevent leakage at inference time). We evaluate SPADR on the Enron Email Dataset, where it significantly reduces document-level privacy leakage while maintaining strong semantic utility. The enhanced version, SPADR (S2), reduces the PII leak rate from 100% to 16.06% and achieves a BERTScore F1 of 88.03%. Compared to standard NER-based redaction systems, SPADR offers more accurate and context-aware privacy protection. This work highlights the importance of semantic and structural understanding in building safer, privacy-respecting AI systems. Full article
Show Figures

Figure 1

17 pages, 623 KB  
Article
Understanding Revisit Intention in Local Culinary Tourism: The Mediating Role of Memorable Culinary Tourism Experience and Destination Image
by Ramon Hurdawaty, Wirawan Dony Dahana and Yuary Farradia
Tour. Hosp. 2025, 6(4), 184; https://doi.org/10.3390/tourhosp6040184 - 19 Sep 2025
Viewed by 562
Abstract
This study examines the impact of food authenticity and social media exposure on revisit intention, mediated by the roles of memorable culinary tourism experience and destination image. This research uses a quantitative approach with an explanatory research type. The survey was conducted on [...] Read more.
This study examines the impact of food authenticity and social media exposure on revisit intention, mediated by the roles of memorable culinary tourism experience and destination image. This research uses a quantitative approach with an explanatory research type. The survey was conducted on 400 domestic tourists who had experienced local culinary tourism in Magelang Regency through the distribution of questionnaires. Data analysis used Structural Equation Modeling (SEM) with the LISREL 8.8 software. The research results indicate that food authenticity and social media exposure have a positive and significant impact on revisit intention, mediated by the Memorable Culinary Tourism Experiences and Destination Image. These findings expand the Consumer Behavior Theory by integrating cultural and digital elements, strengthen the Stimulus–Organism–Response (SOR) Theory, and support the development of Brand Equity Theory in culinary tourism destinations. Full article
(This article belongs to the Special Issue Authentic Tourist Experiences: The Value of Intangible Heritage)
Show Figures

Figure 1

16 pages, 4069 KB  
Article
Exploring Consumer Perception of Augmented Reality (AR) Tools for Displaying and Understanding Nutrition Labels: A Pilot Study
by Cristina Botinestean, Stergios Melios and Emily Crofton
Multimodal Technol. Interact. 2025, 9(9), 97; https://doi.org/10.3390/mti9090097 - 16 Sep 2025
Viewed by 249
Abstract
Augmented reality (AR) technology offers a promising approach to providing consumers with detailed and personalized information about food products. The aim of this pilot study was to explore how the use of AR tools comprising visual and auditory formats affects consumers’ perception and [...] Read more.
Augmented reality (AR) technology offers a promising approach to providing consumers with detailed and personalized information about food products. The aim of this pilot study was to explore how the use of AR tools comprising visual and auditory formats affects consumers’ perception and understanding of nutrition labels of two commercially available products (lasagne ready meal and strawberry yogurt). The nutritional information of both the lasagne and yogurt product were presented to consumers (n = 30) under three experimental conditions: original packaging, visual AR, and visual and audio AR. Consumers answered questions about their perceptions of the products’ overall healthiness, caloric content, and macronutrient composition, as well as how the information was presented. The results showed that while nutritional information presented under the original packaging condition was more effective in changing consumer perceptions, the AR tools were found to be more “novel” and “memorable”. More specifically, for both lasagne and yogurt, the visual AR tool resulted in a more memorable experience compared to original packaging. The use of visual AR and visual and audio AR tools were considered novel experiences for both products. However, the provision of nutritional information had a greater impact on product perception than the specific experimental condition used to present it. These results provide evidence from a pilot study supporting the development of an AR tool for displaying and potentially improving the understanding of nutrition labels. Full article
Show Figures

Figure 1

21 pages, 906 KB  
Article
Math Anxiety, Math Performance and Role of Field Experience in Preservice Teachers
by Bhesh Mainali and Danielle Spalding
Educ. Sci. 2025, 15(9), 1227; https://doi.org/10.3390/educsci15091227 - 16 Sep 2025
Viewed by 380
Abstract
This study investigates the causes of mathematics anxiety, its effect on mathematical performance, and the influence of field placement among preservice teachers enrolled in a field-based elementary mathematics methods course. To investigate this, the study utilized four tools: the Abbreviated Mathematics Anxiety Rating [...] Read more.
This study investigates the causes of mathematics anxiety, its effect on mathematical performance, and the influence of field placement among preservice teachers enrolled in a field-based elementary mathematics methods course. To investigate this, the study utilized four tools: the Abbreviated Mathematics Anxiety Rating Scale (A-MARS), concept maps, Praxis Core test score, and questionnaires. The quantitative analysis indicates a negative correlation between anxiety and math performance. The analysis of concept maps and questionnaires indicate that key contributors to math anxiety include pop-up quizzes, tests, exams, memorization of mathematical ideas, and past negative experiences with school mathematics. The qualitative data analysis revealed that reduced mathematics anxiety during field placements was primarily due to practical teaching experience, constructive feedback, positive student interactions, and opportunities for observation and reflection. Understanding the root causes of mathematics anxiety is essential for supporting preservice teachers and improving their teaching effectiveness. Additionally, field placements play a crucial role in reducing math anxiety by providing hands-on teaching experience and building confidence. It is important to alleviate math anxiety in preservice teachers to have a more positive impact on their future students. Full article
Show Figures

Figure 1

53 pages, 2376 KB  
Review
Cytotoxic T Cells: Kill, Memorize, and Mask to Maintain Immune Homeostasis
by Vijay Kumar
Int. J. Mol. Sci. 2025, 26(18), 8788; https://doi.org/10.3390/ijms26188788 - 9 Sep 2025
Viewed by 843
Abstract
Homeostasis must be maintained for the healthy living of an organism. In addition to physiological and anatomical homeostasis, the maintenance of the immune system, called immune homeostasis or immunohomeostasis, is critical for overall well-being and general homeostasis. CD8+ cytotoxic T cells/lymphocytes (CTLs) [...] Read more.
Homeostasis must be maintained for the healthy living of an organism. In addition to physiological and anatomical homeostasis, the maintenance of the immune system, called immune homeostasis or immunohomeostasis, is critical for overall well-being and general homeostasis. CD8+ cytotoxic T cells/lymphocytes (CTLs) are crucial components of the adaptive immune systems of all vertebrates with a thymus. Hence, the thymus is an essential primary lymphoid organ (PLO) for developing T cell-mediated immunity (TCMI) that comprises CD4+ helper T cells (Th) cells and their subtypes, such as Th0 (naïve helper T cells), Th1 (pro-inflammatory Th cells that secrete IFN-γ), Th2 (secrete type 2 cytokines, such as IL-4, IL-5, IL-6, IL-10, and IL-13), Th9 (secrete IL-9), Th17 (secrete IL-17), Th22 (secrete IL-22), follicular Th cells (Tfhs, secrete IL-21), regulatory T cells (Tregs), and CD8+CTLs. The current article explores the critical role of CD8+CTLs in the maintenance of immune homeostasis. The role of the thymus (PLO) in generating and regulating CD8+CTLs, as well as mobilizing them to distant lymph nodes (LNs) and the spleen, which are referred to as secondary lymphoid organs (SLOs) and target organs, is discussed in section two of the article. The subsequent third section discusses the role of CD8+CTLs’ cytotoxic and immunoregulatory action to maintain immune homeostasis during infection and other inflammatory conditions. Moreover, they mask themselves to different cell types, like Th cells, such as Tc2s, Tc9s, Tc17s, and Tc22s, to maintain immune homeostasis. CD8+CTLs also behave as Tregs to exert their immunoregulatory functions. In addition to conventional CD8+CTLs, granzyme K (GzmK)+CD8+CTLs and CD4+CTLs with their cytotoxic action to maintain immune homeostasis have also been discussed. The next section discusses cell–cell (APC–CD8+CTL) interactions that not only increase the cytotoxic functions of CD8+CTLs but also program APCs to support their cytotoxic functions. These CD8+CTLs secrete different cytokines (IFN-γ and IL-10) and cytotoxic molecules (perforin and Gzms), which exert immunoregulatory actions to maintain immune homeostasis. The article concludes with a future perspective and a conclusion section, highlighting the critical need to understand CD8+CTLs’ cytotoxic and immunoregulatory functions in maintaining immune homeostasis across various diseases, including those with newly identified roles for CD8+CTLs. Full article
(This article belongs to the Special Issue Insights into Cytotoxic Lymphocytes Maintaining Immune Homeostasis)
Show Figures

Graphical abstract

25 pages, 1475 KB  
Article
The Design of Informational and Promotional Messages by Cooperative Banks and Their Perception Among Young Consumers—An Eye-Tracking Analysis Versus Conscious Identification Based on Empirical Research
by Przemysław Pluskota, Kamila Słupińska, Agata Wawrzyniak and Barbara Wąsikowska
Appl. Sci. 2025, 15(17), 9635; https://doi.org/10.3390/app15179635 - 1 Sep 2025
Viewed by 343
Abstract
The article explores how the design of informational and promotional messages from financial institutions influences their reception by young people. The study combined eye tracking, individual in-depth interviews (IDIs), and text mining analysis to examine both visual attention and participants’ conscious reactions. The [...] Read more.
The article explores how the design of informational and promotional messages from financial institutions influences their reception by young people. The study combined eye tracking, individual in-depth interviews (IDIs), and text mining analysis to examine both visual attention and participants’ conscious reactions. The aim was to identify young users’ preferences, determine factors influencing content perception, and assess the effectiveness of visual and audiovisual communication strategies. The main hypothesis proposed that minimalistic and visually attractive messages, enhanced with dynamic graphics, more effectively shape attitudes and elicit positive emotions. Specific aspects examined included the role of infographics, color schemes, message dynamics, and references to financial institutions in attracting attention and engagement. The results indicate that young people operate primarily in virtual space and express limited interest in traditional media such as television or print. They favor short, clear, and visually structured messages. Excessive textual content and lack of clarity provoked negative reactions and discouraged further engagement. Elements like infographics, colors, and logos were found to be strongly associated with brand recognition and memorability. Full article
(This article belongs to the Special Issue Latest Research on Eye Tracking Applications)
Show Figures

Figure 1

22 pages, 3492 KB  
Article
Comparison and Competition of Traditional and Visualized Secondary Mathematics Education Approaches: Random Sampling and Mathematical Models Under Neural Network Approach
by Lei Zhang
Mathematics 2025, 13(17), 2793; https://doi.org/10.3390/math13172793 - 30 Aug 2025
Viewed by 367
Abstract
Graphic design and image processes have a vital role in information technologies and safe, memorable learning activities, which can meet the need for modern and visual aids in the field of education. In this article, the concepts of comparison and competition have been [...] Read more.
Graphic design and image processes have a vital role in information technologies and safe, memorable learning activities, which can meet the need for modern and visual aids in the field of education. In this article, the concepts of comparison and competition have been presented using grades or numbers obtained for two different intelligence quotient (IQ) classes of students. The two classes are categorized as learners having textual (un-visualized) and visualized aids. We use the results and outcomes of the random sampling data of the two classes in the parameters of four different, competitive, two-compartmental mathematical models. One of the compartments is for students who only learn through textual learning, and the other one is for students who have access to visualized text resources. Four of the mathematical models were solved numerically, and their grades were obtained by different iterations using the data of the mean of different random sampling tests taken for thirty months; each sampling involved thirty students. The said data are also drawn by using a neural network approach, showing the fitting curves for all the data, the training data, the validation data, and the testing data with histogram, aggression, mean square error, and absolute error. The obtained dynamics are also compared with neural network dynamics. The results of the scenario pointed out that the best results (determined through high grades) were obtained among the students of visual aid learners, as compared to textual and conventional learners. The visualized resources, constructed within the mathematics syllabus domain, may help to upgrade multidimensional mathematical education and the learning activities of intermediate-level students. For this, the findings of the present study are helpful for education policymakers: there is a directive to focus on visual-based learning, utilizing data from various surveys, profile checks, and questionnaires. Furthermore, the techniques presented in this article will be beneficial for those seeking to build a better understanding of the various methods and ideas related to mathematics education. Full article
(This article belongs to the Special Issue Advances in Nonlinear Analysis: Theory, Methods and Applications)
Show Figures

Figure 1

16 pages, 387 KB  
Review
Narrative Approaches in Science Education: From Conceptual Understanding to Applications in Chemistry and Gamification
by Gregorio Jiménez-Valverde
Encyclopedia 2025, 5(3), 116; https://doi.org/10.3390/encyclopedia5030116 - 8 Aug 2025
Cited by 1 | Viewed by 1380
Abstract
Narrative methods are increasingly recognized in science teaching for their potential to deepen conceptual understanding and foster meaningful connections to scientific content. This review explores their educational significance by examining three main formats—historical narratives, realistic fiction, and science fiction or fantasy—highlighting how each [...] Read more.
Narrative methods are increasingly recognized in science teaching for their potential to deepen conceptual understanding and foster meaningful connections to scientific content. This review explores their educational significance by examining three main formats—historical narratives, realistic fiction, and science fiction or fantasy—highlighting how each can render complex scientific principles more accessible and memorable. Special attention is given to chemistry education, a field where abstract, multilevel concepts often pose significant challenges for students. Furthermore, the review explores the integration of narratives into gamified environments, examining how storytelling functions as both a motivational engine and a cognitive scaffold to support deeper learning in science. Finally, the review proposes directions for future research, underscoring the need for empirically grounded narrative resources that balance imaginative appeal with scientific accuracy across diverse educational settings. Full article
(This article belongs to the Section Social Sciences)
Show Figures

Figure 1

18 pages, 1588 KB  
Article
EEG-Based Attention Classification for Enhanced Learning Experience
by Madiha Khalid Syed, Hong Wang, Awais Ahmad Siddiqi, Shahnawaz Qureshi and Mohamed Amin Gouda
Appl. Sci. 2025, 15(15), 8668; https://doi.org/10.3390/app15158668 - 5 Aug 2025
Viewed by 958
Abstract
This paper presents a novel EEG-based learning system designed to enhance the efficiency and effectiveness of studying by dynamically adjusting the difficulty level of learning materials based on real-time attention levels. In the training phase, EEG signals corresponding to high and low concentration [...] Read more.
This paper presents a novel EEG-based learning system designed to enhance the efficiency and effectiveness of studying by dynamically adjusting the difficulty level of learning materials based on real-time attention levels. In the training phase, EEG signals corresponding to high and low concentration levels are recorded while participants engage in quizzes to learn and memorize Chinese characters. The attention levels are determined based on performance metrics derived from the quiz results. Following extensive preprocessing, the EEG data undergoes several feature extraction steps: removal of artifacts due to eye blinks and facial movements, segregation of waves based on their frequencies, similarity indexing with respect to delay, binary thresholding, and (PCA). These extracted features are then fed into a k-NN classifier, which accurately distinguishes between high and low attention brain wave patterns, with the labels derived from the quiz performance indicating high or low attention. During the implementation phase, the system continuously monitors the user’s EEG signals while studying. When low attention levels are detected, the system increases the repetition frequency and reduces the difficulty of the flashcards to refocus the user’s attention. Conversely, when high concentration levels are identified, the system escalates the difficulty level of the flashcards to maximize the learning challenge. This adaptive approach ensures a more effective learning experience by maintaining optimal cognitive engagement, resulting in improved learning rates, reduced stress, and increased overall learning efficiency. Our results indicate that this EEG-based adaptive learning system holds significant potential for personalized education, fostering better retention and understanding of Chinese characters. Full article
(This article belongs to the Special Issue EEG Horizons: Exploring Neural Dynamics and Neurocognitive Processes)
Show Figures

Figure 1

42 pages, 667 KB  
Article
Canaanite Literary Culture Before the Bible, a View from the Canaanite Amarna Letters
by Alice Mandell
Religions 2025, 16(8), 970; https://doi.org/10.3390/rel16080970 - 26 Jul 2025
Viewed by 1121
Abstract
The present study highlights how the Canaanite Amarna Letters offer unique insight into Canaanite literary culture in the Late Bronze Age. The letters represent the diplomatic acumen of scribes writing letters for local elites that were sent to the Egyptian court in the [...] Read more.
The present study highlights how the Canaanite Amarna Letters offer unique insight into Canaanite literary culture in the Late Bronze Age. The letters represent the diplomatic acumen of scribes writing letters for local elites that were sent to the Egyptian court in the mid-fourteenth century BCE. Yet they also preserve the earliest evidence of Canaanite literary forms and compositional practices. The letters include memorized formulae and expressions, word pairs, poetic devices, and the use of repetition to frame poetic units, which are common in the practices of later first-millennium scribes working in this same region, including those who wrote the Hebrew Bible. The letters also offer insight into the ways that the scribes combined memorized units into new narrative contexts. Such features added literary texture to the letters, but also contributed to their rhetorical aims. While some poetic passages in the letters may be novel compositions, there is also evidence that literary forms and expressions were integral to Canaanite scribal education by the Amarna period. The Canaanite Letters therefore set an important precedent for literary creation, and for the scribes’ bricolage practices in the process of creating new diplomatic letters. Full article
(This article belongs to the Special Issue The Bible and Ancient Mesopotamia)
Back to TopTop