Sign in to use this feature.

Years

Between: -

Subjects

remove_circle_outline
remove_circle_outline
remove_circle_outline
remove_circle_outline
remove_circle_outline
remove_circle_outline

Journals

Article Types

Countries / Regions

Search Results (75)

Search Parameters:
Keywords = malignant edema

Order results
Result details
Results per page
Select all
Export citation of selected articles as:
17 pages, 6251 KB  
Article
Imaging Analysis for Metastatic Risk Assessment in Adamantinoma: The Aid of Radiology in the Absence of a Histological Grading—An MRI-Based Risk Model Proposal
by Mario Simonetti, Marco Colangeli, Paola Di Masi, Gabriele Bilancia, Valerio D’Agostino, Emanuela Palmerini, Gianmarco Tuzzato, Laura Campanacci, Alberto Righi, Amandine Crombé and Paolo Spinnato
Diagnostics 2025, 15(24), 3124; https://doi.org/10.3390/diagnostics15243124 - 8 Dec 2025
Viewed by 336
Abstract
Background: Adamantinoma is a very rare primary malignant bone tumor. A histopathological grading is still lacking, and as a result, metastatic risk stratification at diagnosis is challenging. Due to this, imaging could play a role in prognosis prediction and treatment strategy assessment. We [...] Read more.
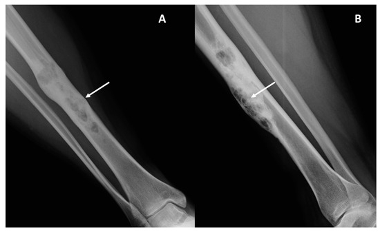
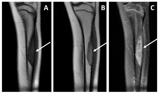
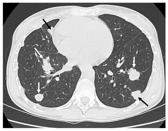
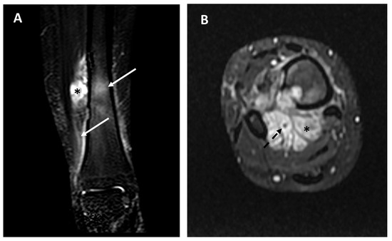
Background: Adamantinoma is a very rare primary malignant bone tumor. A histopathological grading is still lacking, and as a result, metastatic risk stratification at diagnosis is challenging. Due to this, imaging could play a role in prognosis prediction and treatment strategy assessment. We aimed to evaluate baseline imaging features and their correlation with the development of metastatic disease. Methods: We retrospectively collected clinical (metastatic disease) and radiological data at baseline (Conventional Radiography, CT, MRI) of all consecutive patients with a histopathological diagnosis of adamantinoma at our sarcoma center between 2006 and 2022. Tumor location, dimensions, main radiological pattern (lytic, sclerotic, mixed), Lodwick–Madewell grading, periosteal reaction, multifocality, soft-tissue extraskeletal component, peritumoral edema, peritumoral enhancement, and vascular invasion were analyzed. Associations between the above-mentioned radiological features and metastatic disease at diagnosis or during follow-up were assessed. Results: Twenty-two patients were included (15 [68.2%] women, median age 27 years old, range 7–58 years old). Six out of twenty-two patients (27.3%) developed distant metastases (only two of them were dedifferentiated adamantinoma): two patients (9%) presented with metastatic disease at diagnosis, while four patients developed metastases during follow-up (18.2%). The following radiological features represent a significant risk for metastatic disease (p = 0.01): (i) presence of an extra-skeletal component (Odds Ratio [OR] = 75.40; 95% CI = 3.15–1802.71), (ii) vascular invasion (OR = 121.00; 95% CI = 4.28–3424.73), (iii) diffuse peritumoral edema (OR = 75.40; 95% CI = 3.15–1802.71), (iv) peritumoral enhancement (OR = 84.33; 95% CI = 2.93–2423.26). All other features analyzed were not significantly associated with the onset of distant metastases. Based on these above-mentioned MRI features, we built two risk models for metastatic disease (excluding peritumoral enhancement, which was not available in five patients, to be applicable on unenhanced MRIs): Model (A) = simultaneous presence of two of those three features (2/3) with a sensitivity of 100% (54.07–100%) and a specificity of 93.75% (69.67–99.84%). Model (B) = simultaneous presence of all three features (3/3) with a sensitivity of 83.33% (35.88–99.58%) and a specificity of 100% (74.1–100%). Conclusions: An accurate evaluation of baseline imaging studies (particularly MRI) in patients affected by adamantinoma may significantly aid in prognosis prediction and the selection of high-metastatic-risk patients. For these patients, strict follow-up controls and more aggressive treatments should be suggested after multidisciplinary discussions in sarcoma centers. Full article
Show Figures

Figure 1

13 pages, 1428 KB  
Article
Diagnostic Pitfalls of CT in Malignant Superior Cerebellar Artery Infarction: Implications for Treatment Decisions and Future Management Strategies
by Maria Gollwitzer, Baran Atli, Vanessa Seiter, Tobias Rossmann, Eva Horner, Anna Hauser, Gracija Sardi, Verena Sölva, Andreas Gruber and Kathrin Aufschnaiter-Hiessböck
J. Clin. Med. 2025, 14(22), 8229; https://doi.org/10.3390/jcm14228229 - 20 Nov 2025
Viewed by 396
Abstract
Background/Objectives: Superior cerebellar artery (SCA) infarction is a rare but clinically significant subtype of posterior circulation stroke. Extensive swelling in the SCA territory may cause downward brainstem compression and appear as brainstem hypodensity on computed tomography, potentially leading to premature treatment withdrawal. Methods: [...] Read more.
Background/Objectives: Superior cerebellar artery (SCA) infarction is a rare but clinically significant subtype of posterior circulation stroke. Extensive swelling in the SCA territory may cause downward brainstem compression and appear as brainstem hypodensity on computed tomography, potentially leading to premature treatment withdrawal. Methods: We report the case of a 50-year-old woman with acute SCA-territory infarction (NIHSS = 7) presenting with vertigo, dysphagia, dysarthria, and diplopia. Initial computed tomography suggested extensive brainstem infarction, prompting withdrawal of treatment. Diffusion-weighted MRI revealed reversible edema with brainstem sparing. The patient underwent suboccipital decompressive craniectomy and ventricular drainage with favorable neurological recovery. In addition, a systematic literature search was conducted according to PRISMA 2020 guidelines in PubMed, Web of Science, and Scopus (studies published since 1 January 2015). Fifteen studies met predefined eligibility criteria. Results: Magnetic resonance imaging findings were decisive in avoiding a falsely dismal prognosis and inappropriate withdrawal of care. Across the literature, infarct volume (>30–35 mL), brainstem involvement and bilateral cerebellar infarction emerged as key predictors of malignant course. Early decompressive surgery was consistently associated with improved survival, though functional outcomes varied. Fast magnetic resonance imaging techniques and volumetric imaging improved risk stratification and surgical decision-making. Conclusions: SCA infarction can mimic brainstem infarction on computed tomography due to secondary compression rather than true ischemia. Magnetic resonance imaging is essential to guide treatment and prevent avoidable mortality. Multimodal imaging combined with interdisciplinary management allows for accurate prognostication and optimized surgical timing in malignant SCA infarction. Full article
(This article belongs to the Special Issue Current Treatment and Future Options of Ischemic Stroke)
Show Figures

Figure 1

9 pages, 2410 KB  
Case Report
Untreated Non-Hodgkin Cervical Lymphoma Causing Death in a Young Woman Who Shunned Treatment: A Case Report and Review of the Literature on Delayed Diagnosis
by Beatrice Benedetti, Caterina Pesaresi, Stefania Molent, Luigi Carbone and Fabio De-Giorgio
Forensic Sci. 2025, 5(4), 61; https://doi.org/10.3390/forensicsci5040061 - 10 Nov 2025
Viewed by 623
Abstract
Background: Cancer-related cachexia remains a significant cause of death, particularly for undiagnosed or untreated malignancies. Lymphomas, especially in uncommon locations, may go unrecognized until their advanced stages. Methods: We report the case of a 34-year-old woman who died from cancer-related cachexia [...] Read more.
Background: Cancer-related cachexia remains a significant cause of death, particularly for undiagnosed or untreated malignancies. Lymphomas, especially in uncommon locations, may go unrecognized until their advanced stages. Methods: We report the case of a 34-year-old woman who died from cancer-related cachexia due to undiagnosed, untreated cervical non-Hodgkin lymphoma. Four months postpartum, she reported having excluded malignancy through medical investigations, which were later confirmed to have never been performed. The Judicial Authority ordered an autopsy to determine the cause of death. A narrative literature review was conducted via PubMed using the terms “Non-Hodgkin Lymphoma” and “Autopsy,” limited to English-language human studies published between January 2000 and February 2025. Results: At autopsy, marked fat depletion and a 1350 g cervical mass were found, with significant anatomical distortion and airway narrowing due to epiglottic edema. Microscopic examination identified a diffuse large B-cell lymphoma of germinal center origin. A literature review on lymphoma-related autopsy findings identified common diagnostic challenges, including nonspecific symptoms, rapid clinical deterioration, the rarity of certain subtypes, and a lack of medical compliance. Conclusions: Early recognition and proper investigation of lymphoproliferative disorders are crucial to prevent fatal outcomes. Postmortem findings can offer valuable insights into missed diagnoses and inform strategies to reduce diagnostic delay. Full article
Show Figures

Figure 1

8 pages, 2913 KB  
Case Report
A 74-Year-Old Man with Massive Ascites: A Case Report of Yellow Nail Syndrome
by Iliana Stamatiou, Melina Ntoga, Christos Karagiannis, Pipitsa N. Valsamaki, Dimitrios Papazoglou and Petros Rafailidis
Reports 2025, 8(4), 219; https://doi.org/10.3390/reports8040219 - 30 Oct 2025
Viewed by 421
Abstract
Background and clinical significance: Lymphedema is a relatively common clinical manifestation in patients and has a broad differential diagnosis, the main concern being the exclusion of malignancy. However, a rare constellation of lymphedema with systemic features and no underlying malignancy is yellow [...] Read more.
Background and clinical significance: Lymphedema is a relatively common clinical manifestation in patients and has a broad differential diagnosis, the main concern being the exclusion of malignancy. However, a rare constellation of lymphedema with systemic features and no underlying malignancy is yellow nail syndrome (YNS). YNS is a lymphatic abnormality, characterized by a triad of yellow nails, primary lymphedema and respiratory manifestations. Case presentation: Here, we report a 74-year-old male patient who presented to us with massive chylous ascites, cough, yellow nails and recurrent bilateral leg edema. During the last 10 years, he had thrice undergone thoracocentesis, which revealed chylous pleural effusion, although there was no documented diagnosis of yellow nail syndrome. We pursued a thorough work-up to rule out underlying cirrhosis and malignancy (the main causes of chylous ascites). There are only few cases of yellow nail syndrome reported in the literature with chylous ascites as a manifestation of YNS. Conclusions: The co-existence of chylous ascites with the classical triad of pleural effusion, lymphedema and yellow nail changes in the same patient has to be included in the diagnostic process to differentiate this entity from liver cirrhosis and solid or hematological cancer. Full article
Show Figures

Figure 1

8 pages, 629 KB  
Case Report
Persistent Liver Manifestations in Allopurinol-Induced Sweet’s Syndrome: An Uncommon Case Report
by Amalia Papanikolopoulou, Sofia M. Siasiakou, Kosmas Pantazopoulos, Ioannis P Trontzas, Eleni Fyta, Oraianthi Fiste, Ekaterini Syrigou and Nikolaos Syrigos
J. Clin. Med. 2025, 14(20), 7186; https://doi.org/10.3390/jcm14207186 - 12 Oct 2025
Cited by 1 | Viewed by 968
Abstract
Background/Objectives: Sweet’s syndrome (SS), also known as acute febrile neutrophilic dermatosis, is a rare inflammatory skin disorder that may also present with extracutaneous manifestations. Liver involvement is thought to result from sterile neutrophilic infiltration, mirroring the skin pathology and highlighting the syndrome’s systemic [...] Read more.
Background/Objectives: Sweet’s syndrome (SS), also known as acute febrile neutrophilic dermatosis, is a rare inflammatory skin disorder that may also present with extracutaneous manifestations. Liver involvement is thought to result from sterile neutrophilic infiltration, mirroring the skin pathology and highlighting the syndrome’s systemic inflammatory nature. Timely recognition, exclusion of infectious or autoimmune etiologies, and prompt corticosteroid therapy are critical for favorable outcomes. Methods: Herein, we present the case of a 73-year-old man with hyperuricemia who developed both cutaneous and systemic manifestations of SS seven days after initiating allopurinol treatment. His symptoms included fever, conjunctivitis in the right eye, and painful, non-pruritic erythematous plaques, some with pustules, on the lower limbs, palms, and face. Results: Initial laboratory investigations revealed neutrophilic leukocytosis, elevated inflammatory markers, and renal and hepatic dysfunction. Empirical treatment with antibiotics and antivirals failed to improve his condition. The patient discontinued allopurinol and initiated a high-dose corticosteroid regimen, leading to rapid resolution of fever and improvement in skin lesions. Laboratory parameters gradually normalized, except for persistent high liver enzymes. A comprehensive diagnostic workup ruled out infectious, autoimmune, and malignant causes. Imaging studies, including CT, MRI, and MRCP, showed no structural liver abnormalities. Skin biopsy findings were consistent with SS, demonstrating dense neutrophilic infiltrates in the reticular dermis and papillary dermal edema. After his discharge, he was followed up by the Hepatology unit. The patients’ liver enzyme levels normalized within three months with no recurrence or late complications one year later. Conclusions: In the context of drug-induced SS, persistent hepatic abnormalities, although rare, may occur in patients without underlying liver disease. Full article
(This article belongs to the Special Issue Fresh Insights in Skin Disease)
Show Figures

Figure 1

13 pages, 1410 KB  
Article
Clinical, Imaging, and Serum Biomarker Predictors of Malignant Cerebral Infarction
by Alejandro Rodríguez-Vázquez, Salvatore Rudilosso, Antonio Doncel-Moriano, Andrea Cabero-Arnold, Carlos Laredo, Darío Ramis, David Moraleja, Mònica Serrano, Yolanda González-Romero, Arturo Renú, Inés Bartolomé-Arenas, Irene Rosa-Batlle, Guillem Dolz, Ramón Torné, Martha Vargas, Xabier Urra and Ángel Chamorro
J. Cardiovasc. Dev. Dis. 2025, 12(10), 392; https://doi.org/10.3390/jcdd12100392 - 4 Oct 2025
Viewed by 1360
Abstract
Malignant cerebral infarction (MCI) is rare but often fatal. Early identification helps guide monitoring and decompressive surgery. This study evaluated whether serum biomarkers add predictive value beyond clinical and imaging data in severe stroke patients with anterior circulation large vessel occlusion (LVO). In [...] Read more.
Malignant cerebral infarction (MCI) is rare but often fatal. Early identification helps guide monitoring and decompressive surgery. This study evaluated whether serum biomarkers add predictive value beyond clinical and imaging data in severe stroke patients with anterior circulation large vessel occlusion (LVO). In this prospective study, 73 acute severe LVO stroke patients underwent whole-brain CT perfusion (CTP) with rCBV-based core measurement at admission and follow-up MRI at 24 ± 12 h for infarct and edema volume assessment. Serum biomarkers (s100b, NSE, VEGF, ICAM1) were sampled a median of 20.5 h after baseline imaging. Logistic regression models predicted MCI using baseline variables (NIHSS, ASPECTS, rCBV < 30%), adding treatment data (rtPA, mTICI, NIHSS posttreatment), and adding serum biomarkers. Performance was assessed by AUC, accuracy, F1, and cross-validated R2. MCI occurred in 18/73 (24%) patients. Baseline models showed an AUC of 0.72; adding treatment improved the AUC to 0.88. Biomarkers slightly increased the AUC (0.90) but did not improve F1. Higher s100b was associated with more severe injury but did not enhance the prediction of MCI. Models with baseline imaging and treatment best explained infarct (R2 ≈ 0.27) and edema (R2 ≈ 0.58). In conclusion, admission severity, CTP, and early treatment response are the main predictors of MCI and aid early risk stratification of patients. Despite their pathophysiologic relevance, serum biomarkers do not add substantial predictive value. Full article
(This article belongs to the Section Stroke and Cerebrovascular Disease)
Show Figures

Figure 1

19 pages, 1189 KB  
Case Report
Anatomy-Guided Microsurgical Resection of a Dominant Frontal Lobe Tumor Without Intraoperative Adjuncts: A Case Report from a Resource-Limited Context
by Matei Șerban, Corneliu Toader and Răzvan-Adrian Covache-Busuioc
Diagnostics 2025, 15(18), 2393; https://doi.org/10.3390/diagnostics15182393 - 19 Sep 2025
Cited by 3 | Viewed by 940
Abstract
Background: Glioblastoma (GBM), IDH-wildtype, is one of the most aggressive primary brain malignancies, and maximal safe resection is consistently recognized as a significant prognostic factor. Intraoperative adjuncts including functional mapping, neuronavigation, and fluorescence-guidance are not always present in many centers around the world. [...] Read more.
Background: Glioblastoma (GBM), IDH-wildtype, is one of the most aggressive primary brain malignancies, and maximal safe resection is consistently recognized as a significant prognostic factor. Intraoperative adjuncts including functional mapping, neuronavigation, and fluorescence-guidance are not always present in many centers around the world. The aim is not to suggest equivalence to adjunct-assisted resections, but rather to illustrate the feasibility of anatomy-guided surgery in carefully selected cases and to contribute to the broader discussion on safe operative strategies in resource-limited environments. Methods: We present the case of a 54-year-old right-handed male who presented with progressive non-fluent aphasia, seizures, and signs of intracranial hypertension. Pre-operative MRI showed a heterogeneously hyperintense, frontobasal intra-axial mass involving the dominant inferior frontal gyrus, extending toward the corpus callosum and orbitofrontal cortex, and early subfalcine shift. Surgery was performed via a left frontobasal craniotomy, using subpial dissection and cortical–sulcal anatomical landmarks while aiming to preserve eloquent subcortical tracts (frontal aslant tract, superior longitudinal fasciculus). Nueronavigation, functional mapping or fluorescence was not used. We defined our outcomes by the extent of resection, functional preservation, and early radiological stability. Results: The procedure achieved a subtotal-near-total resection (>95% estimated volume) while maintaining functional motor function from prior to surgery and the patient’s baseline expressive aphasia, with no new neurological deficits. Early post-operative CT showed decompression of the resection cavity without hemorrhage or shift. At three months post-operative, CT showed stability of the cavity and resolution of the most perilesional edema with no evidence of recurrence. Clinically, the patient showed gradual improvement in verbal fluency, he remained seizure free, and maintained independence, which allowed for timeliness of the initiation of adjuvant chemoradiotherapy. Conclusions: We intend for the case to illustrate that, in selected dominant frontal GBM, following microsurgical anatomical principles closely may provide a high extent of resection with the preservation of function, even without advanced intraoperative adjuncts. We hope that our experience may support our colleagues who practice in resource-limited settings and contribute to our shared goal of both oncological outcomes and the quality of life of our patients. Full article
(This article belongs to the Special Issue Clinical Anatomy and Diagnosis in 2025)
Show Figures

Figure 1

7 pages, 500 KB  
Case Report
Acquired Angioedema Related to Transient C1- Inhibitor Deficiency Triggered by Mycoplasma pneumoniae Infection: A Case Report
by Athanasia-Marina Peristeri, Olympia Akritidou, Anna Nikopoulou, Konstantina Theodoridou, Michail Leontakianakos, Christina Chrysanthi Theocharidou and Georgios Pilianidis
Reports 2025, 8(3), 164; https://doi.org/10.3390/reports8030164 - 1 Sep 2025
Viewed by 955
Abstract
Background and Clinical Significance: Acquired angioedema (AAE) is a rare and potentially life-threatening condition characterized by acquired deficiency of C1-inhibitor (C1-INH) resulting in hyperactivation of the classical complement pathway. AAE occurs in association with malignancies or autoimmune diseases. Infectious triggers are rarely [...] Read more.
Background and Clinical Significance: Acquired angioedema (AAE) is a rare and potentially life-threatening condition characterized by acquired deficiency of C1-inhibitor (C1-INH) resulting in hyperactivation of the classical complement pathway. AAE occurs in association with malignancies or autoimmune diseases. Infectious triggers are rarely encountered, and the underlying mechanisms have yet to be completely clarified. Case Presentation: This case involves a previously healthy 19-year-old male who was admitted with Mycoplasma pneumonia and oral ulcers, subsequently developing unilateral facial angioedema. Laboratory studies demonstrated reduced C4, decreased levels and activity of C1-INH, and reduced C1q, all consistent with acquired C1-INH deficiency. These findings were attributed to the presence of cold agglutinins, which are frequently observed in Mycoplasma pneumoniae infections. Following treatment with icatibant, a bradykinin B2 receptor antagonist, the patient’s angioedema resolved rapidly. An exhaustive workup found no evidence of underlying systemic disorders, and the patient did not experience any angioedema attacks following resolution of the infection. Conclusions: The presence of cold agglutinins, commonly associated with Mycoplasma infections, can precipitate a decline in C1-INH levels, resulting in complement pathway dysregulation. This disruption leads to an excess of bradykinin, followed by increased vascular permeability and localized edema. Full article
(This article belongs to the Section Allergy/Immunology)
Show Figures

Figure 1

10 pages, 5953 KB  
Case Report
Catastrophic Cerebral Infarctions in a Pediatric Patient with Acute Lymphoblastic Leukemia Due to Mucorales Infection
by Alexander M. Aldejohann, Antonio Uribe Munoz, Miriam A. Füller, Grit Walther, Oliver Kurzai, Frieder Schaumburg, Ronald Sträter, Jenny Potratz, Julia Sandkötter, Daniel Ebrahimi-Fakhari, Christian P. Stracke, Laura Beck, Christian Thomas and Andreas H. Groll
J. Fungi 2025, 11(9), 618; https://doi.org/10.3390/jof11090618 - 25 Aug 2025
Cited by 1 | Viewed by 1069 | Correction
Abstract
Mucormycosis is a rare invasive fungal disease in pediatric patients with hematological malignancies and is associated with poor outcomes. We present a fulminant and ultimately fatal case of rhino-orbito-cerebral mucormycosis, addressing important issues including clinical signs and symptoms, diagnostic approaches and the challenges [...] Read more.
Mucormycosis is a rare invasive fungal disease in pediatric patients with hematological malignancies and is associated with poor outcomes. We present a fulminant and ultimately fatal case of rhino-orbito-cerebral mucormycosis, addressing important issues including clinical signs and symptoms, diagnostic approaches and the challenges of timely diagnosis. The patient was an 11-year old girl undergoing re-induction chemotherapy for Central Nervous System relapse of B-cell precursor acute lymphoblastic leukemia. She presented six days into the second course of chemotherapy in profound neutropenia with aggravating headaches, painful abducens nerve palsy and anisocoria. At first (day −3), no significant radiological or ophthalmological correlations were found, and methyl–prednisolone was started due to suspected vasculitis following ICU admission. After further clinical deterioration, a second MRI scan (day 0) revealed a prolonged occlusion of the left carotid artery, which was successfully stented in a neuroradiological intervention (day +1). However, during the next day the child developed clinical signs indicating severe cerebral dysfunction. An emergency CT scan showed complete infarction of the left hemisphere including a progredient perfusion deficit and beginning brain edema. Based on the unfavorable prognosis, best supportive care was initiated, and the patient deceased on day +2. Pathological and microbiological workup identified thrombotic infarction in all major cerebral arteries. While microscopy was suspicious for mucormycosis, nested PCR from retained blood specimens confirmed the genus Lichtheimia. Final NGS on brain tissue led to the identification of Lichtheimia ramosa. This case illustrates the rapidity and severity of Mucorales infection. It shows the importance of early clinical suspicion and the need for an aggressive laboratory testing algorithms. The stratification of risk factors and definition of red flags may be a future task fighting these infections. Full article
(This article belongs to the Collection Pathogenic Fungal Infections in Cancer and Transplant Patients)
Show Figures

Figure 1

33 pages, 452 KB  
Review
Uncommon Factors Leading to Nephrotic Syndrome
by Ljiljana Bogdanović, Ivana Babić, Mirjana Prvanović, Dragana Mijač, Ana Mladenović-Marković, Dušan Popović and Jelena Bogdanović
Biomedicines 2025, 13(8), 1907; https://doi.org/10.3390/biomedicines13081907 - 5 Aug 2025
Cited by 2 | Viewed by 4414
Abstract
Nephrotic syndrome (NS) is characterized by proteinuria, hypoalbuminemia, edema, and hyperlipidemia. Apart from the traditional causes of NS, such as minimal change disease, focal segmental glomerulosclerosis, diabetes, infections, malignancies, autoimmune conditions, and nephrotoxic agents, there are also rare causes of NS, whose knowledge [...] Read more.
Nephrotic syndrome (NS) is characterized by proteinuria, hypoalbuminemia, edema, and hyperlipidemia. Apart from the traditional causes of NS, such as minimal change disease, focal segmental glomerulosclerosis, diabetes, infections, malignancies, autoimmune conditions, and nephrotoxic agents, there are also rare causes of NS, whose knowledge is of the utmost importance. The aim of this article was to highlight the less well-known causes that have a significant impact on diagnosis and treatment. Genetic syndromes such as Schimke immuno-osseous dysplasia, familial lecithin-cholesterol acyltransferase deficiency with two clinical variants (fish-eye Disease and the p.Leu364Pro mutation), lead to NS through mechanisms involving podocyte and lipid metabolism dysfunction. Congenital disorders of glycosylation and Nail–Patella Syndrome emphasize the role of deranged protein processing and transcriptional regulation in glomerular injury. The link of NS with type 1 diabetes, though rare, suggests an etiology on the basis of common HLA loci and immune dysregulation. Histopathological analysis, particularly electron microscopy, shows mainly podocyte damage, mesangial sclerosis, and alteration of the basement membrane, which aids in differentiating rare forms. Prompt recognition of these novel etiologies by genetic analysis, renal biopsy, and an interdisciplinary panel is essential to avoid delays in diagnosis and tailored treatment. Full article
Show Figures

Graphical abstract

13 pages, 2771 KB  
Case Report
Acquired Hemophilia Associated with Rheumatoid Arthritis: A Case Report and Review of the Literature
by Chiara Gioia, Marino Paroli, Valentina Morace, Lucrezia Nardacci, Sara Martina Ruffo, Elisabetta Rossi, Pasquale Pignatelli and Daniele Accapezzato
Int. J. Mol. Sci. 2025, 26(8), 3628; https://doi.org/10.3390/ijms26083628 - 11 Apr 2025
Viewed by 1652
Abstract
A 63-year-old woman with rheumatoid arthritis and Hashimoto’s thyroiditis was admitted to the emergency room, because of left leg pain associated with spontaneous subcutaneous hematomas, for 15 days. Their symptoms also occurred after the discontinuation of aspirin, which the patient had taken for [...] Read more.
A 63-year-old woman with rheumatoid arthritis and Hashimoto’s thyroiditis was admitted to the emergency room, because of left leg pain associated with spontaneous subcutaneous hematomas, for 15 days. Their symptoms also occurred after the discontinuation of aspirin, which the patient had taken for a previous case of ocular papillitis. Laboratory tests showed anemia, a normal platelet count, but a prolonged activated partial thromboplastin time (aPTT) ratio; a computerized tomography scan of the left lower limb detected a recent hematoma in the left lateral rectus muscle, and subcutaneous soft tissue edema also involving the knee, without vascular involvement. Coagulation tests were performed showing normal levels of Lupus Anticoagulant, very low-factor FVIII activity (2.2%), normal FIX, FXI, and FXII activity, and the detection of FVIII inhibitors by a Bethesda assay (7.6 U). A diagnosis of acquired hemophilia A (AHA) was made, and hemostatic and immunosuppressive treatment was immediately started (activated prothrombin complex concentrates and methylprednisolone). Malignancies and infections were excluded. An autoantibodies panel confirmed the positivity to rheumatoid factor and anti-cyclic citrullinated peptide antibodies. In treatment, the patient did not present any new bruises, with aPTT normalizing, FVIII increasing, and inhibitors reducing until disappearance. A close follow-up continued every 1–2 week after discharge, with hemostatic treatment discontinuation and methylprednisolone decalage. Underlying autoimmune conditions induced this rare, autoimmune and life-threating disorder. Full article
Show Figures

Figure 1

12 pages, 494 KB  
Review
Immune Effector Cell-Associated Neurotoxicity Syndrome After CAR T-Cell Therapy and Other Psychiatric Manifestations: A Review and Case Series
by Adela Georgiana Buciuc, Sabrina Tran, Mary Weber, Vanessa Padilla, Maria Rueda-Lara and Zelde Espinel
J. Clin. Med. 2025, 14(5), 1451; https://doi.org/10.3390/jcm14051451 - 21 Feb 2025
Cited by 2 | Viewed by 3533
Abstract
Background/Objectives: Chimeric antigen receptor (CAR) T-cell therapy has transformed the treatment of hematologic malignancies, achieving durable remissions in cases refractory to standard therapies. A potentially life-threatening complication is immune effector cell-associated neurotoxicity syndrome (ICANS), which poses significant challenges to clinical management. ICANS [...] Read more.
Background/Objectives: Chimeric antigen receptor (CAR) T-cell therapy has transformed the treatment of hematologic malignancies, achieving durable remissions in cases refractory to standard therapies. A potentially life-threatening complication is immune effector cell-associated neurotoxicity syndrome (ICANS), which poses significant challenges to clinical management. ICANS encompasses a range of neuropsychiatric symptoms, including delirium, mood disorders, psychosis, seizures, and cerebral edema. The psychiatric dimensions of ICANS remain underreported, and their interplay with neurologic manifestations is poorly understood. This study reviews the psychiatric manifestations of ICANS and presents a case series illustrating its clinical complexity. Methods: A systematic literature search was conducted using PubMed and Google Scholar for studies published between 2020 and 2024. Search terms included “ICANS”, “delirium”, “CAR T-cell”, “neurotoxicity”, and “psychiatric”. The inclusion criteria included studies published in English that focused on adult patients experiencing neuropsychiatric symptoms of ICANS. Two clinical cases of ICANS with prominent psychiatric features are presented. Results: The literature review found three relevant studies, which emphasized agitation, hypoactivity, and mood disturbances as often-overlooked psychiatric symptoms linked to ICANS. The case series highlights psychiatric manifestations, including delirium, irritability, and cognitive impairment. Recovery was supported through interventions such as corticosteroid tapering, antipsychotic treatment, and multidisciplinary care. Conclusions: ICANS is a multifaceted syndrome with significant neuropsychiatric sequelae that complicate its diagnosis and management. An enhanced recognition of its psychiatric dimensions and interdisciplinary approaches are critical to improving outcomes. Full article
(This article belongs to the Special Issue Hematologic Malignancies: Treatment Strategies and Future Challenges)
Show Figures

Figure 1

4 pages, 457 KB  
Interesting Images
Appendiceal Intussusception: A Rare Diagnosis and the Role of Imaging in Its Detection
by Stefan Milošević, Miljana Bubanja, Anja Zugic, Milica Mitrovic, Katarina Stosic, Vasko Tosic, Dragan Vasin and Aleksandra Djuric-Stefanovic
Diagnostics 2025, 15(3), 256; https://doi.org/10.3390/diagnostics15030256 - 23 Jan 2025
Cited by 1 | Viewed by 1747
Abstract
Appendiceal intussusception is a rare condition characterized by the invagination of the appendix into the base of the cecum. In some cases, this condition can lead to obstruction, ischemia, and perforation. It is more common in elderly patients, particularly women, and is often [...] Read more.
Appendiceal intussusception is a rare condition characterized by the invagination of the appendix into the base of the cecum. In some cases, this condition can lead to obstruction, ischemia, and perforation. It is more common in elderly patients, particularly women, and is often associated with the presence of a lesion, benign or malignant, acting as a “lead point.” This case report details the emergency management of a 54-year-old female patient with severe abdominal pain, nausea, and vomiting. The physical examination was unremarkable, as were the laboratory tests. However, ultrasound revealed a small amount of fluid in the pelvis, leading to further investigation with a CT scan which showed appendiceal intussusception with significant wall edema, fluid in the surrounding fatty tissue, and reactive lymph nodes. The patient then underwent an operation that confirmed an intussuscepted appendix showing signs of ischemia. Histopathology showed the presence of an endometrioma acting as the “lead point”. This case report showcases the crucial role of diagnostic imaging, which is superior to clinical examination and laboratory tests when diagnosing these patients. Diagnostic imaging, coupled with careful differential diagnosis, is vital to distinguishing benign conditions from malignancy and ensuring timely and appropriate intervention. Early diagnosis and surgical intervention are essential to prevent life-threatening complications such as gangrene and perforation and exclude malignancy in adult patients. Full article
(This article belongs to the Special Issue Diagnostics in the Emergency and Critical Care Medicine)
Show Figures

Figure 1

14 pages, 1207 KB  
Article
Meningeal Metastasis from Naso-Ethmoidal Malignancies: Pathogenesis, Risk Factors, and Prognostic Impact
by Remo Accorona, Isabelle Dohin, Davide Mattavelli, Marco Ferrari, Marco Ravanelli, Vittorio Rampinelli, Davide Farina, Piero Nicolai, Cesare Piazza and Alberto Schreiber
J. Pers. Med. 2025, 15(2), 41; https://doi.org/10.3390/jpm15020041 - 22 Jan 2025
Viewed by 1442
Abstract
Introduction: Meningeal metastasis (MM) from naso-ethmoidal malignancies (NEMs) is rare, its metastatic route is still debated, and its prognostic impact remains unclear. Our aim is to analyze a retrospective series of NEMs with non-contiguous MM to study the possible route of spread and [...] Read more.
Introduction: Meningeal metastasis (MM) from naso-ethmoidal malignancies (NEMs) is rare, its metastatic route is still debated, and its prognostic impact remains unclear. Our aim is to analyze a retrospective series of NEMs with non-contiguous MM to study the possible route of spread and the prognostic value of MM. Materials and methods: The institutional database of SNC treated at the University of Brescia between 1995 and 2021 was reviewed. Clinical–pathological data were collected, and survivals were estimated with Kaplan–Meier. Univariate and multivariate logistic regression analysis were run to identify predictors of MM. Results: Among 296 patients, 17 experienced non-contiguous MM, all located along the dura. Intestinal-type adenocarcinoma (10/17) and olfactory neuroblastoma (3/17) were the most frequent histologies. At univariate analysis, brain edema (p < 0.0001), resection (p = 0.026) or invasion (p = 0.006) of brain parenchyma, and local (p = 0.0004) and nodal (p = 0.021) recurrence were predictors of MM. At multivariate analysis, local recurrence was confirmed as an independent factor (odds ratio: 11.88, p = 0.0005). Dural surgical resection was not a risk factor. The five-year disease-specific survival was longer in patients with exclusive MM compared with patients with distant metastasis at other sites (64.3% vs. 30.1% p = 0.046). Conclusions: Dural venous shunt is the most likely pathway of spread of MM. Local recurrence is the only independent risk factor. Exclusive MM has a better prognosis than extrameningeal metastasis. Full article
Show Figures

Figure 1

18 pages, 3015 KB  
Review
Chest Tubes and Pleural Drainage: History and Current Status in Pleural Disease Management
by Claudio Sorino, David Feller-Kopman, Federico Mei, Michele Mondoni, Sergio Agati, Giampietro Marchetti and Najib M. Rahman
J. Clin. Med. 2024, 13(21), 6331; https://doi.org/10.3390/jcm13216331 - 23 Oct 2024
Cited by 10 | Viewed by 32695
Abstract
Thoracostomy and chest tube placement are key procedures in treating pleural diseases involving the accumulation of fluids (e.g., malignant effusions, serous fluid, pus, or blood) or air (pneumothorax) in the pleural cavity. Initially described by Hippocrates and refined through the centuries, chest drainage [...] Read more.
Thoracostomy and chest tube placement are key procedures in treating pleural diseases involving the accumulation of fluids (e.g., malignant effusions, serous fluid, pus, or blood) or air (pneumothorax) in the pleural cavity. Initially described by Hippocrates and refined through the centuries, chest drainage achieved a historical milestone in the 19th century with the creation of closed drainage systems to prevent the entry of air into the pleural space and reduce infection risk. The introduction of plastic materials and the Heimlich valve further revolutionized chest tube design and function. Technological advancements led to the availability of various chest tube designs (straight, angled, and pig-tail) and drainage systems, including PVC and silicone tubes with radiopaque stripes for better radiological visualization. Modern chest drainage units can incorporate smart digital systems that monitor and graphically report pleural pressure and evacuated fluid/air, improving patient outcomes. Suction application via wall systems or portable digital devices enhances drainage efficacy, although careful regulation is needed to avoid complications such as re-expansion pulmonary edema or prolonged air leak. To prevent recurrent effusion, particularly due to malignancy, pleurodesis agents can be applied through the chest tube. In cases of non-expandable lung, maintaining a long-term chest drain may be the most appropriate approach and procedures such as the placement of an indwelling pleural catheter can significantly improve quality of life. Continued innovations and rigorous training ensure that chest tube insertion remains a cornerstone of effective pleural disease management. This review provides a comprehensive overview of the historical evolution and modern advancements in pleural drainage. By addressing both current technologies and procedural outcomes, it serves as a valuable resource for healthcare professionals aiming to optimize pleural disease management and patient care. Full article
(This article belongs to the Section Respiratory Medicine)
Show Figures

Figure 1

Back to TopTop