Sign in to use this feature.

Years

Between: -

Subjects

remove_circle_outline
remove_circle_outline
remove_circle_outline
remove_circle_outline
remove_circle_outline
remove_circle_outline
remove_circle_outline
remove_circle_outline
remove_circle_outline

Journals

remove_circle_outline
remove_circle_outline
remove_circle_outline
remove_circle_outline
remove_circle_outline
remove_circle_outline
remove_circle_outline
remove_circle_outline
remove_circle_outline
remove_circle_outline
remove_circle_outline
remove_circle_outline
remove_circle_outline
remove_circle_outline
remove_circle_outline
remove_circle_outline

Article Types

Countries / Regions

remove_circle_outline
remove_circle_outline
remove_circle_outline
remove_circle_outline
remove_circle_outline
remove_circle_outline

Search Results (1,414)

Search Parameters:
Keywords = lesion classification

Order results
Result details
Results per page
Select all
Export citation of selected articles as:
11 pages, 1181 KB  
Systematic Review
Intrapericardial Extralobar Pulmonary Sequestration: A Case Report and Systematic Review of a Unique Embryologic Variant
by Margherita Roveri, Giada Pedroni, Alessandra Preziosi, Luigi Arcieri, Stefano Marianeschi, Francesco Macchini and Andrea Zanini
J. Clin. Med. 2026, 15(3), 932; https://doi.org/10.3390/jcm15030932 (registering DOI) - 23 Jan 2026
Abstract
Background: Intrapericardial extralobar pulmonary sequestration (ELPS) is an exceptionally rare congenital malformation. The location may mimic neoplastic lesions and poses diagnostic and surgical challenges. We present a new case and a systematic review of the literature. Case Presentation: A 3-month-old male [...] Read more.
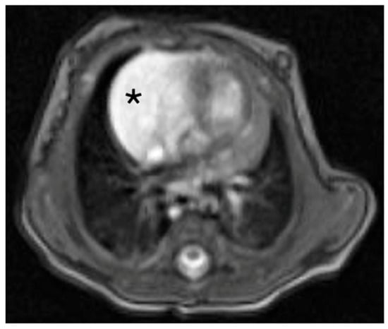
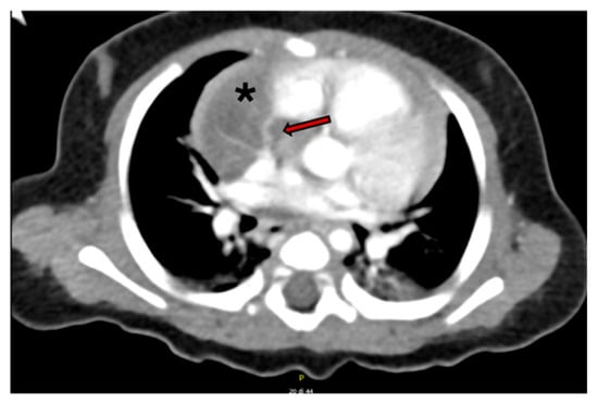
Background: Intrapericardial extralobar pulmonary sequestration (ELPS) is an exceptionally rare congenital malformation. The location may mimic neoplastic lesions and poses diagnostic and surgical challenges. We present a new case and a systematic review of the literature. Case Presentation: A 3-month-old male infant was referred for evaluation of a congenital intrathoracic mass suspected to be an extralobar sequestration. However, intrapericardial location was not recognized. MRI and CT demonstrated a circumscribed lesion with arterial supply from the right pulmonary artery. Thoracoscopic exploration was attempted but converted to sternotomy. The mass was excised en bloc. Histopathological analysis confirmed extralobar pulmonary sequestration with cystic components, consistent with a hybrid lesion. Postoperative recovery was uneventful. Methods: A systematic literature review was conducted according to PRISMA guidelines across PubMed, Scopus and Embase databases, including only histologically confirmed intrapericardial ELPS. Results: Ten cases were identified. Including the present case, eleven cases have been reported. Prenatal detection occurred in 54% of cases. Fetal demise occurred in two cases due to cardiac tamponade. Aberrant arterial supply originated from the pulmonary arteries in 54% of patients and venous drainage into the right atrium or superior vena cava in 45%. Surgery via sternotomy was performed in all cases with excellent outcomes. Conclusions: Intrapericardial ELPS is an exceptionally rare but surgically curable entity. Early recognition and complete resection are essential to prevent life-threatening complications. This systematic review highlights a consistent vascular pattern supporting its classification as a unique embryologic variant within the CPAM–sequestration spectrum. Full article
(This article belongs to the Special Issue Latest Advances in Pediatric Surgery)
Show Figures

Figure 1

27 pages, 10518 KB  
Article
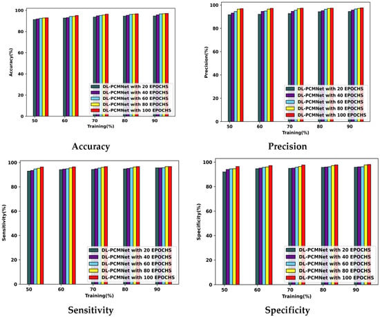
DL-PCMNet: Distributed Learning Enabled Parallel Convolutional Memory Network for Skin Cancer Classification with Dermatoscopic Images
by Afnan M. Alhassan and Nouf I. Altmami
Diagnostics 2026, 16(2), 359; https://doi.org/10.3390/diagnostics16020359 (registering DOI) - 22 Jan 2026
Abstract
Background/Objectives: Globally, one of the most dreadful and rapidly spreading illnesses is skin cancer, and it is acknowledged as a lethal form of cancer due to the abnormal growth of skin cells. Mostly, classifying and diagnosing the types of skin lesions is [...] Read more.
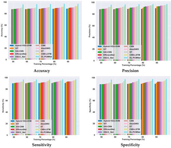
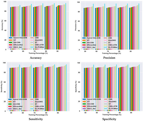
Background/Objectives: Globally, one of the most dreadful and rapidly spreading illnesses is skin cancer, and it is acknowledged as a lethal form of cancer due to the abnormal growth of skin cells. Mostly, classifying and diagnosing the types of skin lesions is complex, and recognizing tumors from dermoscopic images remains challenging. The existing methods have limitations like insufficient datasets, computational complexity, class imbalance issues, and poor classification performance. Methods: This research presents a method named the Distributed Learning enabled Parallel Convolutional Memory Network (DL-PCMNet) model to effectively classify skin cancer by overcoming the existing limitations. Hence, the proposed DL-PCMNet model utilizes a distributed learning framework to provide greater flexibility during the learning process, and it increases the reliability of the model. Moreover, the model integrates the Convolutional Neural Network (CNN) and Long Short-Term Memory model (LSTM) in a parallel distribution, which enhances robustness and accuracy by capturing the information of long-term dependencies. Furthermore, the utilization of advanced preprocessing and feature extraction techniques increases the accuracy of classification. Results: The evaluation results exhibit an accuracy of 97.28%, precision of 97.30%, sensitivity of 97.17%, and specificity of 97.72% at 90% of training by using the ISIC 2019 skin lesion dataset, respectively. Conclusions: Specifically, the proposed DL-PCMNet model achieved efficient and accurate skin cancer classification compared with other existing models. Full article
(This article belongs to the Special Issue Artificial Intelligence in Dermatology)
Show Figures

Figure 1

31 pages, 1700 KB  
Review
Prospective of Colorectal Cancer Screening, Diagnosis, and Treatment Management Using Bowel Sounds Leveraging Artificial Intelligence
by Divyanshi Sood, Surbhi Dadwal, Samiksha Jain, Iqra Jabeen Mazhar, Bipasha Goyal, Chris Garapati, Sagar Patel, Zenab Muhammad Riaz, Noor Buzaboon, Ayushi Mendiratta, Avneet Kaur, Anmol Mohan, Gayathri Yerrapragada, Poonguzhali Elangovan, Mohammed Naveed Shariff, Thangeswaran Natarajan, Jayarajasekaran Janarthanan, Shreshta Agarwal, Sancia Mary Jerold Wilson, Atishya Ghosh, Shiva Sankari Karuppiah, Joshika Agarwal, Keerthy Gopalakrishnan, Swetha Rapolu, Venkata S. Akshintala and Shivaram P. Arunachalamadd Show full author list remove Hide full author list
Cancers 2026, 18(2), 340; https://doi.org/10.3390/cancers18020340 - 21 Jan 2026
Abstract
Background: Colorectal cancer (CRC) is the second leading cause of cancer-related mortality worldwide, accounting for approximately 10% of all cancer cases. Despite the proven effectiveness of conventional screening modalities such as colonoscopy and fecal immunochemical testing (FIT), their invasive nature, high cost, and [...] Read more.
Background: Colorectal cancer (CRC) is the second leading cause of cancer-related mortality worldwide, accounting for approximately 10% of all cancer cases. Despite the proven effectiveness of conventional screening modalities such as colonoscopy and fecal immunochemical testing (FIT), their invasive nature, high cost, and limited patient compliance hinder widespread adoption. Recent advancements in artificial intelligence (AI) and bowel sound-based signal processing have enabled non-invasive approaches for gastrointestinal diagnostics. Among these, bowel sound analysis—historically considered subjective—has reemerged as a promising biomarker using digital auscultation and machine learning. Objective: This review explores the potential of AI-powered bowel sound analytics for early detection, screening, and characterization of colorectal cancer. It aims to assess current methodologies, summarize reported performance metrics, and highlight translational opportunities and challenges in clinical implementation. Methods: A narrative review was conducted across PubMed, Scopus, Embase, and Cochrane databases using the terms colorectal cancer, bowel sounds, phonoenterography, artificial intelligence, and non-invasive diagnosis. Eligible studies involving human bowel sound-based recordings, AI-based sound analysis, or machine learning applications in gastrointestinal pathology were reviewed for study design, signal acquisition methods, AI model architecture, and diagnostic accuracy. Results: Across studies using convolutional neural networks (CNNs), gradient boosting, and transformer-based models, reported diagnostic accuracies ranged from 88% to 96%. Area under the curve (AUC) values were ≥0.83, with F1 scores between 0.71 and 0.85 for bowel sound classification. In CRC-specific frameworks such as BowelRCNN, AI models successfully differentiate abnormal bowel sound intervals and spectral patterns associated with tumor-related motility disturbances and partial obstruction. Distinct bowel sound-based signatures—such as prolonged sound-to-sound intervals and high-pitched “tinkling” proximal to lesions—demonstrate the physiological basis for CRC detection through bowel sound-based biomarkers. Conclusions: AI-driven bowel sound analysis represents an emerging, exploratory research direction rather than a validated colorectal cancer screening modality. While early studies demonstrate physiological plausibility and technical feasibility, no large-scale, CRC-specific validation studies currently establish sensitivity, specificity, PPV, or NPV for cancer detection. Accordingly, bowel sound analytics should be viewed as hypothesis-generating and potentially complementary to established screening tools, rather than a near-term alternative to validated modalities such as FIT, multitarget stool DNA testing, or colonoscopy. Full article
(This article belongs to the Section Methods and Technologies Development)
21 pages, 1747 KB  
Review
The Role of Advanced MR Imaging in Gliomas
by Anastasia K. Zikou, Eleni Romeo, George A. Alexiou, Marios Lampros, Spyridon Voulgaris, Loukas Astrakas and Maria I. Argyropoulou
Appl. Sci. 2026, 16(2), 1027; https://doi.org/10.3390/app16021027 - 20 Jan 2026
Abstract
Gliomas are a significant health problem with a lot of imaging challenges. The role of imaging is no longer limited to only providing anatomic details, but with the advancement of Magnetic Resonance Imaging (MRI) techniques, it now permits the assessment of the freedom [...] Read more.
Gliomas are a significant health problem with a lot of imaging challenges. The role of imaging is no longer limited to only providing anatomic details, but with the advancement of Magnetic Resonance Imaging (MRI) techniques, it now permits the assessment of the freedom of water molecule movement, the microvascular structure, the hemodynamic characteristics, and the chemical makeup of certain metabolites of lesions. These advanced imaging techniques include diffusion-weighted imaging, diffusion tensor imaging, dynamic contrast-enhanced MRI, Magnetic Resonance (MR) perfusion, MR angiography, and magnetic resonance spectroscopy. their role in the diagnosis, classification, and post-treatment follow-up of gliomas, as well as their application in radiogenomics and glioma analysis with the aid of artificial intelligence, is presented and discussed. Full article
(This article belongs to the Special Issue MR-Based Neuroimaging, 2nd Edition)
Show Figures

Figure 1

23 pages, 5756 KB  
Article
MG-HGLNet: A Mixed-Grained Hierarchical Geometric-Semantic Learning Framework with Dynamic Prototypes for Coronary Artery Lesions Assessment
by Xiangxin Wang, Yangfan Chen, Yi Wu, Yujia Zhou, Yang Chen and Qianjin Feng
Bioengineering 2026, 13(1), 118; https://doi.org/10.3390/bioengineering13010118 - 20 Jan 2026
Abstract
Automated assessment of coronary artery (CA) lesions via Coronary Computed Tomography Angiography (CCTA) is essential for the diagnosis of coronary artery disease (CAD). However, current deep learning approaches confront several challenges, primarily regarding the modeling of long-range anatomical dependencies, the effective decoupling of [...] Read more.
Automated assessment of coronary artery (CA) lesions via Coronary Computed Tomography Angiography (CCTA) is essential for the diagnosis of coronary artery disease (CAD). However, current deep learning approaches confront several challenges, primarily regarding the modeling of long-range anatomical dependencies, the effective decoupling of plaque texture from stenosis geometry, and the utilization of clinically prevalent mixed-grained annotations. To address these challenges, we propose a novel mixed-grained hierarchical geometric-semantic learning network (MG-HGLNet). Specifically, we introduce a topology-aware dual-stream encoding (TDE) module, which incorporates a bidirectional vessel Mamba (BiV-Mamba) encoder to capture global hemodynamic contexts and rectify spatial distortions inherent in curved planar reformation (CPR). Furthermore, a synergistic spectral–morphological decoupling (SSD) module is designed to disentangle task-specific features; it utilizes frequency-domain analysis to extract plaque spectral fingerprints while employing a texture-guided deformable attention mechanism to refine luminal boundary. To mitigate the scarcity of fine-grained labels, we implement a mixed-grained supervision optimization (MSO) strategy, utilizing anatomy-aware dynamic prototypes and logical consistency constraints to effectively leverage coarse branch-level labels. Extensive experiments on an in-house dataset demonstrate that MG-HGLNet achieves a stenosis grading accuracy of 92.4% and a plaque classification accuracy of 91.5%. The results suggest that our framework not only outperforms state-of-the-art methods but also maintains robust performance under weakly supervised settings, offering a promising solution for label-efficient CAD diagnosis. Full article
Show Figures

Graphical abstract

17 pages, 1796 KB  
Article
Optical Genome Mapping Enhances Structural Variant Detection and Refines Risk Stratification in Chronic Lymphocytic Leukemia
by Soma Roy Chakraborty, Michelle A. Bickford, Narcisa A. Smuliac, Kyle A. Tonseth, Jing Bao, Farzana Murad, Irma G. Domínguez Vigil, Heather B. Steinmetz, Lauren M. Wainman, Parth Shah, Elizabeth M. Bengtson, Swaroopa PonnamReddy, Gabriella A. Harmon, Liam L. Donnelly, Laura J. Tafe, Jeremiah X. Karrs, Prabhjot Kaur and Wahab A. Khan
Genes 2026, 17(1), 106; https://doi.org/10.3390/genes17010106 - 19 Jan 2026
Viewed by 42
Abstract
Background: Optical genome mapping (OGM) detects genome-wide structural variants (SVs), including balanced rearrangements and complex copy-number alterations beyond standard-of-care cytogenomic assays. In chronic lymphocytic leukemia (CLL), cytogenetic and genomic risk stratification is traditionally based on fluorescence in situ hybridization (FISH), karyotyping, targeted next-generation [...] Read more.
Background: Optical genome mapping (OGM) detects genome-wide structural variants (SVs), including balanced rearrangements and complex copy-number alterations beyond standard-of-care cytogenomic assays. In chronic lymphocytic leukemia (CLL), cytogenetic and genomic risk stratification is traditionally based on fluorescence in situ hybridization (FISH), karyotyping, targeted next-generation sequencing (NGS), and immunogenetic assessment of immunoglobulin heavy chain variable region (IGHV) somatic hypermutation status, each of which interrogates only a limited aspect of disease biology. Methods: We retrospectively evaluated fifty patients with CLL using OGM and integrated these findings with cytogenomics, targeted NGS, IGHV mutational status, and clinical time-to-first-treatment (TTFT) data. Structural variants were detected using OGM and pathogenic NGS variants were derived from a clinical heme malignancy panel. Clinical outcomes were extracted from the electronic medical record. Results: OGM identified reportable structural variants in 82% (41/50) of cases. The most frequent abnormality was del(13q), observed in 29/50 (58%) and comprising 73% (29/40) of all OGM-detected deletions with pathologic significance. Among these, 12/29 (42%) represented large RB1-spanning deletions, while 17/29 (58%) were focal deletions restricted to the miR15a/miR16-1 minimal region, mapping to the non-coding host gene DLEU2. Co-occurrence of adverse lesions, including deletion 11q/ATM, BIRC3 loss, trisomy 12, and deletion 17p/TP53, were recurrent and strongly associated with shorter TTFT. OGM also uncovered multiple cryptic rearrangements involving chromosomal loci that are not represented in the canonical CLL FISH probe panel, including IGL::CCND1, IGH::BCL2, IGH::BCL11A, IGH::BCL3, and multi-chromosomal copy-number complexity. IGHV data were available in 37/50 (74%) of patients; IGHV-unmutated status frequently co-segregated with OGM-defined high-risk profiles (del(11q), del(17p), trisomy 12 with secondary hits, and complex genomes whereas mutated IGHV predominated in OGM-negative or structurally simple del(13q) cases and aligned with indolent TTFT. Integration of OGM with NGS further improved genomic risk classification, particularly in cases with discordant or inconclusive routine testing. Conclusions: OGM provides a comprehensive, genome-wide view of structural variation in CLL, resolving deletion architecture, identifying cryptic translocations, and defining complex multi-hit genomic profiles that tracked closely with clinical behavior. Combining OGM and NGS analysis refined risk stratification beyond standard FISH panels and supports more precise, individualized management strategies in CLL. Prospective studies are warranted to evaluate the clinical utility of OGM-guided genomic profiling in contemporary treatment paradigms. Full article
Show Figures

Figure 1

13 pages, 1559 KB  
Article
Use of Leg-Mounted Monitors to Assess the Effects of Treponeme-Associated Hoof Disease on Elk (Cervus canadensis) Activity
by Trent O. Hill, Lisa A. Shipley, Steven N. Winter, Holly R. Drankhan, Kong Moua and Margaret A. Wild
Animals 2026, 16(2), 306; https://doi.org/10.3390/ani16020306 - 19 Jan 2026
Viewed by 27
Abstract
Treponeme-associated hoof disease (TAHD) is an emerging disease of free-ranging elk (Cervus canadensis) in the northwestern United States. Affected elk develop chronic foot lesions, lameness, debilitation, and an apparent increase in mortality, but the onset of lameness and associated changes in [...] Read more.
Treponeme-associated hoof disease (TAHD) is an emerging disease of free-ranging elk (Cervus canadensis) in the northwestern United States. Affected elk develop chronic foot lesions, lameness, debilitation, and an apparent increase in mortality, but the onset of lameness and associated changes in activity are not fully understood. We evaluated the accuracy of a newly developed leg-mounted tri-axial accelerometer monitor (Advanced Telemetry Systems) on captive elk and collected monitor-derived data to assess activity before and during an experimental TAHD challenge. Monitors provided reliable data with 85% overall accuracy of the continuous onboard classification of activity as standing, moving, or bedded against direct visual observation using seven healthy elk. Further, following TAHD challenge, monitor-derived data were able to detect that treatment elk exhibiting abnormal locomotion spent more time bedded and less time moving or standing. During the challenge period, treatment elk spent roughly 10% more of the day bedded than control elk. These findings suggest that leg-mounted activity monitors can detect changes in elk activity and may serve as a useful tool for future wildlife disease monitoring efforts. Full article
Show Figures

Figure 1

19 pages, 2204 KB  
Article
Machine Learning Approach for Differentiation of Pheochromocytoma from Adrenocortical Cancer and Non-Functioning Adrenal Adenomas
by Timur Nurkhabinov, Irena Ilovayskaya, Anna Lugovskaya, Victor Popov and Lidia Nefedova
Life 2026, 16(1), 164; https://doi.org/10.3390/life16010164 - 19 Jan 2026
Viewed by 43
Abstract
Background: The differentiation of pheochromocytoma (PCC) from other adrenal lesions, particularly in incidentalomas with non-benign radiological characteristics (size > 4 cm or density > 10 HU), remains a clinical challenge. The study aimed to develop and validate an interpretable machine learning (ML) model [...] Read more.
Background: The differentiation of pheochromocytoma (PCC) from other adrenal lesions, particularly in incidentalomas with non-benign radiological characteristics (size > 4 cm or density > 10 HU), remains a clinical challenge. The study aimed to develop and validate an interpretable machine learning (ML) model for pairwise differentiation of PCC from adrenocortical carcinomas (ACCs) and non-functioning adrenal adenomas (NAAs) and to identify the most important clinical features. Methods: We analyzed a dataset of 50 clinical, laboratory, and radiological parameters from 123 patients with histologically verified adrenal tumors (63 PCC, 30 ACC, 30 NAA). Four classifiers—Logistic Regression (LR), Random Forest (RF), Linear Discriminant Analysis (LDA), and Extreme Gradient Boosting (XGBoost)—were trained for binary classification tasks (PCC vs. ACC, PCC vs. NAA, ACC vs. NAA) using a robust nested stratified cross-validation pipeline to ensure generalizability and avoid overfitting. Results: All four models showed strong predictive performance, with discrimination (AUC) more than 0.8. Our analysis, based on the interpretable LR model, identified the key discriminators differentiated PCC from both ACC and NAA: maximum systolic blood pressure, grade 3 hypertension, headache, palpitation, tachycardia, male sex, and concomitant gastric and duodenal ulcers. In contrast, lower back pain and general weakness were strong signs of lower probability of PCC. The tumor density specifically differentiated PCC from NAA, whereas tumor size was an important marker for distinguishing PCC and ACC. Conclusions: We developed robust ML models capable of accurately differentiating PCC from other adrenal tumors in complex cases. The models provide a clinically actionable tool for pre-surgical decision support. Furthermore, the identification of key discriminative features enhances the clinical understanding of PCC and facilitates its differential diagnosis prior to histological verification. Full article
(This article belongs to the Special Issue Advanced Machine Learning for Disease Prediction and Prevention)
Show Figures

Figure 1

20 pages, 726 KB  
Review
The Diagnostic and Prognostic Role of Combined p16 and MTAP Immunohistochemistry in Melanocytic Tumors of Uncertain Malignant Potential: A Comprehensive Review and Clinical Practice Analysis
by Ludovica Pepe, Vincenzo Fiorentino, Cristina Pizzimenti, Maurizio Martini, Mariacarmela Santarpia, Antonina Fazio, Mario Vaccaro, Maria Lentini and Antonio Ieni
Int. J. Mol. Sci. 2026, 27(2), 971; https://doi.org/10.3390/ijms27020971 - 19 Jan 2026
Viewed by 43
Abstract
Melanocytic Tumors of Uncertain Malignant Potential (MELTUMPs) remain among the most challenging entities in dermatopathology due to overlapping morphologic features and marked inter-observer variability. This comprehensive review critically assesses the diagnostic and potential prognostic significance of combining p16 and methylthioadenosine phosphorylase (MTAP) immunohistochemistry [...] Read more.
Melanocytic Tumors of Uncertain Malignant Potential (MELTUMPs) remain among the most challenging entities in dermatopathology due to overlapping morphologic features and marked inter-observer variability. This comprehensive review critically assesses the diagnostic and potential prognostic significance of combining p16 and methylthioadenosine phosphorylase (MTAP) immunohistochemistry (IHC) as a practical surrogate for genomic alterations involving the 9p21 (CDKN2A/MTAP) locus. We analyzed the molecular underpinnings of the CDKN2A/MTAP axis and systematically reviewed existing literature to define an integrated IHC strategy for ambiguous melanocytic lesions. The combined use of p16, a sensitive marker of CDKN2A inactivation, and MTAP, a highly specific marker for homozygous 9p21 deletion, was assessed for its diagnostic complementarity and potential clinical utility. p16 IHC demonstrates high sensitivity but limited specificity due to heterogeneous staining in borderline lesions. In contrast, MTAP loss exhibits near-absolute specificity for CDKN2A/MTAP co-deletion, albeit with lower sensitivity. Concordant loss of both markers strongly supports melanoma or high-risk melanocytoma, while MTAP retention may predict responsiveness to adjuvant interferon therapy. Combined p16/MTAP IHC provides a synergistic, biologically grounded approach that refines diagnostic accuracy in MELTUMPs. This dual-marker algorithm promotes a shift from purely morphology-based evaluation toward a reproducible, molecularly informed classification, improving both diagnostic confidence and patient management. Full article
(This article belongs to the Special Issue Molecular Mechanisms and Therapies for Melanoma)
Show Figures

Figure 1

20 pages, 2671 KB  
Review
An Updated Review of Combined Hepatocellular Cholangiocarcinoma: A Rare and Poorly Understood Neoplasm
by Gavin Low, Xu Jing Qian, Ali Ramji, Blaire Anderson, Safwat Girgis, Karim Samji and Mitchell P. Wilson
Diagnostics 2026, 16(2), 314; https://doi.org/10.3390/diagnostics16020314 - 19 Jan 2026
Viewed by 187
Abstract
Combined hepatocellular cholangiocarcinoma (cHCC-CC) is a rare and poorly understood primary liver cancer. First identified over a century ago, it has been referred to by various names and reclassified multiple times since the initial description. Diagnosis is extremely challenging as the tumor can [...] Read more.
Combined hepatocellular cholangiocarcinoma (cHCC-CC) is a rare and poorly understood primary liver cancer. First identified over a century ago, it has been referred to by various names and reclassified multiple times since the initial description. Diagnosis is extremely challenging as the tumor can mimic hepatocellular carcinoma (HCC) or intrahepatic cholangiocarcinoma (ICC) on imaging or show overlapping features of both. The tumor may also be incorrectly diagnosed with biopsy due to inadequate tissue sampling. As such, many tumors are only correctly diagnosed histologically following surgical resection or transplantation for presumptive HCC. A variety of treatment options are available, although no national or international consensus exists regarding the optimal treatment strategy. Treatment outcomes vary with cHCC-CC showing an intermediate prognosis between HCC and ICC. In this updated review, we provide a conceptual overview of this intriguing neoplasm, including its classification and origins, epidemiology, clinical characteristics, and diagnostic and treatment options. Finally, we discuss the use of radiomics artificial intelligence (AI) to address challenges in lesion differentiation from HCC and ICC, and in predicting post-treatment survival and recurrence. Full article
Show Figures

Figure 1

18 pages, 1540 KB  
Article
Overestimation of the Apparent Diffusion Coefficient in Diffusion-Weighted Imaging Due to Residual Fat Signal and Out-of-Phase Conditions
by Maher Dhanani, Dominika Skwierawska, Tristan Anselm Kuder, Sabine Ohlmeyer, Michael Uder, Sebastian Bickelhaupt and Frederik Bernd Laun
Tomography 2026, 12(1), 11; https://doi.org/10.3390/tomography12010011 - 16 Jan 2026
Viewed by 93
Abstract
Background/Objectives: Diffusion-weighted imaging (DWI) is a magnetic resonance technique used to map the apparent diffusion coefficient (ADC) of water in human tissue. ADC assessment plays a central role in clinical diagnostics, as malignant tissues typically exhibit [...] Read more.
Background/Objectives: Diffusion-weighted imaging (DWI) is a magnetic resonance technique used to map the apparent diffusion coefficient (ADC) of water in human tissue. ADC assessment plays a central role in clinical diagnostics, as malignant tissues typically exhibit reduced water mobility and, thus, lower ADC values. Accurately measuring the ADC requires effective fat suppression to prevent contamination from the residual fat signal, which is commonly believed to cause ADC underestimation. This study aimed to demonstrate that ADC overestimation may occur as well. Methods: Our theoretical analysis shows that out-of-phase conditions between fat and water signals lead to ADC overestimations. We performed demonstration experiments on fat–water phantoms and the breasts of 10 healthy female volunteers. In particular, we considered three out-of-phase conditions: First and second, short-time inversion recovery (STIR) fat suppression with incorrect inversion time and incorrect flip angle, respectively. Third, phase differences due to spectral fat saturation. The ADC values were assessed in regions of interest (ROIs) that included both water and residual fat signals. Results: In the phantoms and the volunteer data, ROIs containing both fat and water signals consistently exhibited lower ADC values under in-phase conditions and higher ADC values under out-of-phase conditions. Conclusions: We demonstrated that out-of-phase conditions can result in ADC overestimation in the presence of residual fat signals, potentially resulting in false-negative classifications where malignant lesions are misinterpreted as benign due to an elevated ADC. Out-of-phase fat and water signals might also reduce lesion conspicuity in high b-value images, potentially masking clinically relevant findings. Full article
Show Figures

Figure 1

12 pages, 3805 KB  
Article
Primary Hepatic Angiosarcoma: Distinct Imaging Phenotypes Mirroring Histopathologic Growth Patterns in a Retrospective Human Study
by Byoung Je Kim, Jung Hee Hong and Hye Won Lee
Diagnostics 2026, 16(2), 291; https://doi.org/10.3390/diagnostics16020291 - 16 Jan 2026
Viewed by 95
Abstract
Background/Objectives: To date, no studies have examined radiologic findings by histologic patterns of primary hepatic angiosarcoma; this study clarified radiologic findings of primary hepatic angiosarcoma according to distinct histologic patterns. Methods: From January 2010 to October 2024, 17 individuals (mean age, 69 years [...] Read more.
Background/Objectives: To date, no studies have examined radiologic findings by histologic patterns of primary hepatic angiosarcoma; this study clarified radiologic findings of primary hepatic angiosarcoma according to distinct histologic patterns. Methods: From January 2010 to October 2024, 17 individuals (mean age, 69 years ± 11; 11 men) with pathologically confirmed primary hepatic angiosarcoma underwent computed tomography (CT) with or without magnetic resonance imaging (MRI). Histologic patterns were classified as mass-forming, subdivided into vasoformative and non-vasoformative (epithelioid and spindled) patterns, or non-mass-forming, subdivided into sinusoidal and peliotic patterns. Two radiologists independently reviewed CT and MRI images, classifying lesions as non-mass-forming or mass-forming. Hypervascular portions and targetoid patterns were also assessed. Associations between histologic patterns and radiologic findings were evaluated using Fisher’s exact test. Results: Mass-forming tumors were observed in 13 individuals (76.5%), and non-mass-forming tumors in 4 individuals (23.5%). Significant correlation (p < 0.05) was found between radiologic classification (non-mass-forming or mass-forming) and corresponding pathologic patterns. Pathologic subdivision into vasoformative and non-vasoformative patterns did not correlate with hypervascular portions on imaging. Conclusions: Pathological classification into mass-forming and non-mass-forming patterns corresponds closely to radiologic classification of mass-forming and non-mass-forming lesions, indicative of strong pathologic features in imaging. Full article
(This article belongs to the Special Issue Innovations in Medical Imaging for Precision Diagnostics)
Show Figures

Figure 1

21 pages, 2947 KB  
Article
HFSOF: A Hierarchical Feature Selection and Optimization Framework for Ultrasound-Based Diagnosis of Endometrial Lesions
by Yongjun Liu, Zihao Zhang, Tongyu Chai and Haitong Zhao
Biomimetics 2026, 11(1), 74; https://doi.org/10.3390/biomimetics11010074 - 15 Jan 2026
Viewed by 155
Abstract
Endometrial lesions are common in gynecology, exhibiting considerable clinical heterogeneity across different subtypes. Although ultrasound imaging is the preferred diagnostic modality due to its noninvasive, accessible, and cost-effective nature, its diagnostic performance remains highly operator-dependent, leading to subjectivity and inconsistent results. To address [...] Read more.
Endometrial lesions are common in gynecology, exhibiting considerable clinical heterogeneity across different subtypes. Although ultrasound imaging is the preferred diagnostic modality due to its noninvasive, accessible, and cost-effective nature, its diagnostic performance remains highly operator-dependent, leading to subjectivity and inconsistent results. To address these limitations, this study proposes a hierarchical feature selection and optimization framework for endometrial lesions, aiming to enhance the objectivity and robustness of ultrasound-based diagnosis. Firstly, Kernel Principal Component Analysis (KPCA) is employed for nonlinear dimensionality reduction, retaining the top 1000 principal components. Secondly, an ensemble of three filter-based methods—information gain, chi-square test, and symmetrical uncertainty—is integrated to rank and fuse features, followed by thresholding with Maximum Scatter Difference Linear Discriminant Analysis (MSDLDA) for preliminary feature selection. Finally, the Whale Migration Algorithm (WMA) is applied to population-based feature optimization and classifier training under the constraints of a Support Vector Machine (SVM) and a macro-averaged F1 score. Experimental results demonstrate that the proposed closed-loop pipeline of “kernel reduction—filter fusion—threshold pruning—intelligent optimization—robust classification” effectively balances nonlinear structure preservation, feature redundancy control, and model generalization, providing an interpretable, reproducible, and efficient solution for intelligent diagnosis in small- to medium-scale medical imaging datasets. Full article
(This article belongs to the Special Issue Bio-Inspired AI: When Generative AI and Biomimicry Overlap)
Show Figures

Figure 1

18 pages, 4656 KB  
Review
Pancreatic Cystic Lesions: From Basic Knowledge to Recent Guidelines
by Ginevra Danti, Ludovica Scalzone, Lavinia Mattolini, Matilde Anichini, Francesca Treballi, Linda Calistri, Diletta Cozzi and Vittorio Miele
J. Clin. Med. 2026, 15(2), 585; https://doi.org/10.3390/jcm15020585 - 11 Jan 2026
Viewed by 335
Abstract
Pancreatic cystic lesions (PCLs) are increasingly detected due to widespread use of cross-sectional imaging. They encompass a heterogeneous group of lesions, ranging from benign pseudocysts and serous cystic neoplasms (SCNs) to premalignant mucinous cystic neoplasms (MCNs) and intraductal papillary mucinous neoplasms (IPMNs), as [...] Read more.
Pancreatic cystic lesions (PCLs) are increasingly detected due to widespread use of cross-sectional imaging. They encompass a heterogeneous group of lesions, ranging from benign pseudocysts and serous cystic neoplasms (SCNs) to premalignant mucinous cystic neoplasms (MCNs) and intraductal papillary mucinous neoplasms (IPMNs), as well as rare malignant entities such as solid pseudopapillary epithelial neoplasm (SPENs) and cystic pancreatic neuroendocrine tumors (cystic PanNETs). Management of PCLs depends on their malignant potential; therefore, an accurate classification is essential for optimizing treatment. This narrative review summarizes current knowledge on the epidemiology, imaging characteristics, diagnosis, and management of PCLs, highlighting the role of CT, MRI, MRCP, and endoscopic ultrasound. Recent advances in radiomics for lesion characterization and risk stratification, particularly in IPMNs, are discussed. Full article
(This article belongs to the Special Issue Clinical Updates in the Use of Artificial Intelligence for Radiology)
Show Figures

Figure 1

15 pages, 665 KB  
Review
Duodenal Trauma: Mechanisms of Injury, Diagnosis, and Management
by Raffaele Bova, Giulia Griggio, Serena Scilletta, Federica Leone, Carlo Vallicelli, Vanni Agnoletti and Fausto Catena
J. Clin. Med. 2026, 15(2), 567; https://doi.org/10.3390/jcm15020567 - 10 Jan 2026
Viewed by 313
Abstract
Background: Traumatic injuries of the duodenum are generally rare but when they occur, they can result in serious complications. Inaccurate injury classification, delayed diagnosis, or late treatment can significantly raise morbidity and mortality. A multidisciplinary approach is often necessary. Mechanisms of injury [...] Read more.
Background: Traumatic injuries of the duodenum are generally rare but when they occur, they can result in serious complications. Inaccurate injury classification, delayed diagnosis, or late treatment can significantly raise morbidity and mortality. A multidisciplinary approach is often necessary. Mechanisms of injury: Isolated duodenal injuries are relatively uncommon due to the duodenum’s proximity to pancreas and major vascular structures. Duodenal injuries can result from blunt or penetrating trauma. Classification: The 2019 World Society of Emergency Surgery (WSES)-American Association for the Surgery of Trauma (AAST) guidelines recommend incorporating both the AAST-OIS grading and the patient’s hemodynamic status to stratify duodenal injuries into four categories: Minor injuries WSES class I, Moderate injuries WSES class II, Severe injuries WSES class III, and WSES class IV. Diagnosis: The diagnostic approach involves a combination of clinical assessment, laboratory investigations, radiological imaging and, in particular situations, surgery. Prompt diagnosis is critical because delays exceeding 24 h are associated with a higher incidence of postoperative complications and a significant rise in mortality. Contrast-enhanced abdominal computed tomography (CT) represents the gold standard for diagnosis in patients who are hemodynamically stable. Management: Duodenal trauma requires a multimodal approach that considers hemodynamic stability, the severity of the injury and the presence of associated lesions. Non-operative management (NOM) is reserved for hemodynamically stable patients with minor duodenal injuries without perforation (AAST I/WSES I), as well as all duodenal hematomas (WSES I–II/AAST I–II) in the absence of associated abdominal organ injuries requiring surgical intervention. All hemodynamically unstable patients, those with peritonitis, or with CT findings consistent with duodenal perforations or AAST grade III or higher injuries are candidates for emergency surgery. If intervention is required, primary repair should be the preferred option whenever feasible, while damage control surgery is the best choice in cases of hemodynamic instability, severe associated injuries, or complex duodenal lesions. Definitive reconstructive surgery should be postponed until the patient has been adequately resuscitated. The role of endoscopic techniques in the treatment of duodenal injuries and their complications is expanding. Conclusions: Duodenal trauma is burdened by potentially high mortality. Among the possible complications, duodenal fistula is the most common, followed by duodenal obstruction, bile duct fistula, abscess, and pancreatitis. The overall mortality rate for duodenal trauma persists to be significant with an average rate of 17%. Future prospective research needed to reduce the risk of complications following duodenal trauma. Full article
Show Figures

Figure 1

Back to TopTop