Sign in to use this feature.

Years

Between: -

Subjects

remove_circle_outline
remove_circle_outline
remove_circle_outline
remove_circle_outline
remove_circle_outline
remove_circle_outline
remove_circle_outline

Journals

Article Types

Countries / Regions

Search Results (87)

Search Parameters:
Keywords = jaw fracture

Order results
Result details
Results per page
Select all
Export citation of selected articles as:
11 pages, 12478 KB  
Interesting Images
When CBCT Looks Borderline and Standard Radiology Is Inconclusive: Should We Plate or Should We Wait?
by Ömer Uranbey, Ece Gülbağ, Büşra Ekinci, Angela Rosa Caso, Jan Nienartowicz, Krzysztof Żak and Kamil Nelke
Diagnostics 2025, 15(24), 3140; https://doi.org/10.3390/diagnostics15243140 - 10 Dec 2025
Viewed by 1
Abstract
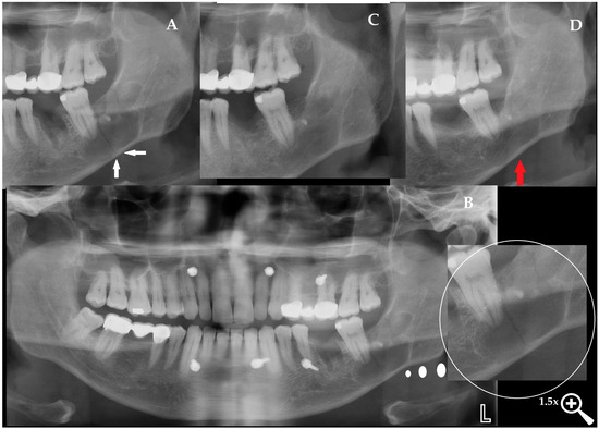
The main role of panoramic radiography lies in its rapid screening capability and its ability to detect and identify bone lesions, pathologies, and tooth-bearing structures. Since panoramic radiographs are widely used, they provide a good view of the jaw bones, maxillary sinus, and [...] Read more.
The main role of panoramic radiography lies in its rapid screening capability and its ability to detect and identify bone lesions, pathologies, and tooth-bearing structures. Since panoramic radiographs are widely used, they provide a good view of the jaw bones, maxillary sinus, and temporomandibular area. However, their major limitation is the reduced ability to accurately assess bone conditions, particularly in evaluating cortical integrity or identifying subtle, nondisplaced, or greenstick-type fracture lines. Other limitations include the presence of artifacts, image distortion, magnification variability, and high sensitivity to patient and film positioning, all of which can compromise image quality and diagnostic confidence. This 2D imaging method is still used worldwide, especially by dentists; however, this type of radiograph can be unpredictable due to structural superimposition and reduced ability to clearly establish, measure, and verify the precise dimensions, boundaries, and areas occupied by selected lesions. Many patients undergo panoramic imaging to assess possible mandibular fractures after trauma or following the removal of cysts, tumors, or impacted teeth. In most cases, the occurrence of a fracture without displacement can be misjudged, omitted, or underestimated. In such cases, either cone-beam computed tomography is performed or a detailed clinical examination before or during surgery, followed by intraoperative assessment, helps identify a possible fracture line, bone bending, mandibular instability, or the potential need for simultaneous prophylactic plating during dental procedures or the use of maxillomandibular fixation. This paper presents the author’s own experience regarding the limitations of panoramic radiographs in estimating bone condition and detecting fracture lines. Therefore, it is essential to highlight the role of prophylactic (preventive) mandibular plating (PMP) or fixation and to clarify when it should be considered. Full article
(This article belongs to the Collection Interesting Images)
Show Figures

Figure 1

8 pages, 2543 KB  
Case Report
Synchronous Dentigerous Cysts Managed by Decompression in Non-Syndromic Pediatric Patients: Two Cases with Three-Year Follow-Up
by Antonella Buljubasic, Dinko Martinovic, Ante Mihovilovic, Kristian Jerkovic, Ante Pojatina, Andrija Rados and Daniel Jerkovic
J. Clin. Med. 2025, 14(23), 8264; https://doi.org/10.3390/jcm14238264 - 21 Nov 2025
Viewed by 381
Abstract
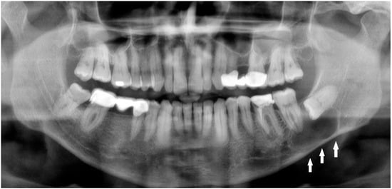
Dentigerous cysts (DCs), usually linked to unerupted teeth, are the second most common odontogenic cysts. However, synchronous DCs are rarely seen in children without syndromic conditions. This study reports two cases of male children with no systemic illnesses who showed multiple cystic lesions [...] Read more.
Dentigerous cysts (DCs), usually linked to unerupted teeth, are the second most common odontogenic cysts. However, synchronous DCs are rarely seen in children without syndromic conditions. This study reports two cases of male children with no systemic illnesses who showed multiple cystic lesions in the jaw. Conventional treatment typically involves enucleation and tooth extraction, which can lead to significant complications, including infection, nerve damage that may cause temporary or permanent numbness, damage to nearby teeth, and, in cases of large cysts, jaw fractures—potentially impacting the child’s quality of life. A conservative decompression method was used, employing custom-made tubes to keep communication between the cystic and oral cavities, thereby lowering intracystic pressure. This approach resulted in complete healing of the lesions and successful eruption of permanent teeth, while safeguarding vital anatomical structures and avoiding more invasive surgery, with an uneventful clinical course. Additionally, 3-year postoperative orthopantomograms are presented, showing complete resolution of the lesions with no recurrence. These results demonstrate the effectiveness of decompression in treating multiple dentigerous cysts in pediatric patients, highlighting its advantages in preserving oral function and aesthetics while reducing surgical risks. Full article
(This article belongs to the Section Dentistry, Oral Surgery and Oral Medicine)
Show Figures

Figure 1

9 pages, 11103 KB  
Interesting Images
Mandibular Brown Tumor as a Result of Secondary Hyperparathyroidism—Radiological and Clinical Pitfalls and Dilemmas
by Ömer Uranbey, Furkan Diri, Büşra Ekinci, Michał Gontarz, Piotr Kuropka, Maciej Dobrzyński and Kamil Nelke
Diagnostics 2025, 15(21), 2798; https://doi.org/10.3390/diagnostics15212798 - 5 Nov 2025
Viewed by 458
Abstract
Brown tumors (BTs) are rare osteolytic lesions that typically occur in association with primary or secondary hyperparathyroidism (PHP and SHP). Excessive secretion of parathyroid hormone induces increased bone resorption, resulting in lesions characterized by fibrosis, vascularization, and hemosiderin deposition. The most common sites [...] Read more.
Brown tumors (BTs) are rare osteolytic lesions that typically occur in association with primary or secondary hyperparathyroidism (PHP and SHP). Excessive secretion of parathyroid hormone induces increased bone resorption, resulting in lesions characterized by fibrosis, vascularization, and hemosiderin deposition. The most common sites include the jaws, ribs, pelvis, and long bones. Clinical manifestations may involve pain, swelling, or pathological fractures. We present the case of a mandibular BT in a 48-year-old female with chronic renal failure and secondary hyperparathyroidism. The patient exhibited progressive mandibular swelling with radiological features resembling an aggressive odontogenic or malignant lesion. Laboratory analysis confirmed markedly elevated parathyroid hormone levels, while scintigraphy demonstrated increased focal uptake in the mandible and ribs. Histopathological evaluation revealed multinucleated giant cells within a fibrous stroma, consistent with BT. Despite initiation of systemic endocrine therapy, the lesion continued to enlarge, necessitating complete surgical excision of the mandibular mass. This case underscores the diagnostic dilemmas of mandibular BT, which may closely mimic aggressive jaw pathologies. Importantly, while many BTs regress after systemic management of hyperparathyroidism, this case illustrates that surgical excision may be unavoidable in patients with unstable systemic status or progressive local disease. Comprehensive clinical, radiological, laboratory, and histopathological evaluation remains essential to ensure timely diagnosis and appropriate treatment. Full article
(This article belongs to the Section Clinical Diagnosis and Prognosis)
Show Figures

Figure 1

17 pages, 2002 KB  
Article
Hippotherapy in the Treatment of CMD and Bruxism in Dentistry
by Margrit-Ann Geibel, Daniela Kildal, Amina Maria Geibel and Sibylle Ott
Animals 2025, 15(17), 2587; https://doi.org/10.3390/ani15172587 - 3 Sep 2025
Viewed by 826
Abstract
Dysfunctions and disorders of the craniomandibular system are accompanied by pathophysiological changes of muscle groups in the throat/neck and facial area, e.g., pain in the jaw and muscles of mastication and disturbance of occlusion, leading to teeth injury (loss of dental hard tissue, [...] Read more.
Dysfunctions and disorders of the craniomandibular system are accompanied by pathophysiological changes of muscle groups in the throat/neck and facial area, e.g., pain in the jaw and muscles of mastication and disturbance of occlusion, leading to teeth injury (loss of dental hard tissue, fractures/sensibility disorders, etc.). For muscular dysfunctions, even in the context of psychosomatic disorders and chronic stress, hippotherapy is particularly suitable, since it helps actively to relieve muscle tensions. In the current project we combined hippotherapy with progressive muscle relaxation (PMR) to achieve a synergistic effect. The horses used for therapy (two mares and five geldings between seven and twenty-one years old) were especially suitable because of their calm temperament. In two cases, trained therapy horses were used; in five other cases, the patients used their own horses, which were not specially trained. Right from the beginning, the project was accompanied by veterinary support. Conditions of horse keeping (active stable, same-sex groups, no boxes) were assessed as well as the horses themselves prior to, during, and after each therapy unit. In patients, cortisol, as a quantifiable parameter for stress, was measured before and after each therapy unit. From before the start until the end of each therapy unit of 15 min, the heart rate variability (HRV) of both patients and horses was registered continuously and synchronously. In addition, the behavior of the horses was monitored and recorded on video by an experienced coach and a veterinarian. The stress load during the tension phases in the therapy units was low, perceivable in the horses lifting their heads and a slightly shortened stride length. Likewise, the horses reflected the patients’ relaxation phases, so that at the end of the units the horses were physically and psychically relaxed, too, noticeable by lowering their necks, free ear movement, and a decreasing heart frequency (HF). Altogether, the horses benefited from the treatment, too. Obvious stress signs like unrest, head tossing, tail swishing, or tense facial expressions were not noticed at any time. Twenty jumpers served as a control group in different situations (training, tournament, and leisure riding). Full article
(This article belongs to the Section Veterinary Clinical Studies)
Show Figures

Figure 1

23 pages, 1976 KB  
Review
Preventing Skeletal-Related Events in Newly Diagnosed Multiple Myeloma
by Benjamin Massat, Patrick Stiff, Fatema Esmail, Estefania Gauto-Mariotti and Patrick Hagen
Cells 2025, 14(16), 1263; https://doi.org/10.3390/cells14161263 - 15 Aug 2025
Viewed by 2119
Abstract
Despite the increasing number of novel therapies to treat newly diagnosed multiple myeloma (NDMM), preventing skeletal-related events (SREs) remains a challenge. This review summarizes the mechanistic causes of myeloma bone disease, data supporting the use of bisphosphonates and RANKL inhibitors, and the optimal [...] Read more.
Despite the increasing number of novel therapies to treat newly diagnosed multiple myeloma (NDMM), preventing skeletal-related events (SREs) remains a challenge. This review summarizes the mechanistic causes of myeloma bone disease, data supporting the use of bisphosphonates and RANKL inhibitors, and the optimal management of preventing SREs in NDMM patients. Both zoledronic acid (ZA) and denosumab are acceptable treatment options with comparable safety and efficacy profiles. However, in patients who are candidates for autologous stem cell transplant (ASCT), denosumab may be preferred over ZA due to a progression-free survival (PFS) benefit observed in post hoc analyses when used with proteasome inhibitor-based regimens. The optimal duration of bone-directed therapy is unclear, but it is typically given for two years. Supportive care should include dental evaluation at baseline, annually, and if symptoms appear, given the risk for jaw osteonecrosis with both ZA and denosumab. Both drugs should be held in the setting of dental work. Patients should receive adequate calcium and vitamin D supplementation. Supportive procedures such as cement augmentation, radiation, and orthopedic surgery can also help treat compression fractures, uncontrolled pain, cord compression, and pathologic fractures. We conclude with our approach for managing SREs and a review of novel therapies and targets. Full article
(This article belongs to the Special Issue Novel Insights into Molecular Mechanisms and Therapy of Myeloma)
Show Figures

Figure 1

14 pages, 1687 KB  
Article
Bone Health and Endocrine Therapy with Ovarian Function Suppression in Premenopausal Early Breast Cancer: A Real-Life Monocenter Experience with Denosumab
by Angelachiara Rotondi, Valentina Frescura, Giorgia Arcuri, Giovanna Garufi, Letizia Pontolillo, Luca Mastrantoni, Elena Di Monte, Noemi Maliziola, Maria Antonia Fucile, Francesca Salvatori, Rita Mondello, Ilaria Poli, Gaia Rachele Oliva, Ginevra Mongelli, Antonella Palazzo, Alessandra Fabi, Emilio Bria, Giampaolo Tortora and Armando Orlandi
Curr. Oncol. 2025, 32(8), 421; https://doi.org/10.3390/curroncol32080421 - 26 Jul 2025
Viewed by 1312
Abstract
Adjuvant endocrine therapy for early breast cancer significantly reduces recurrence but increases bone fragility. Given limited data on denosumab (60 mg every 6 months) in premenopausal patients receiving endocrine therapy for early breast cancer, we conducted a retrospective real-world study at the Gemelli [...] Read more.
Adjuvant endocrine therapy for early breast cancer significantly reduces recurrence but increases bone fragility. Given limited data on denosumab (60 mg every 6 months) in premenopausal patients receiving endocrine therapy for early breast cancer, we conducted a retrospective real-world study at the Gemelli Hospital (September 2018–January 2025). A descriptive analysis was performed. The primary endpoint was to assess efficacy, evaluated by changes in bone mineral density via dual-energy X-ray absorptiometry and by monitoring bone turnover markers, particularly serum C-terminal telopeptide of type I collagen. Safety was evaluated based on adverse endocrine therapy events (osteoporotic fractures) and adverse denosumab events (osteonecrosis of the jaw). Sixty-nine patients were eligible for the study. Endocrine therapy included ovarian function suppression with exemestane (89.8%) or tamoxifen (10.1%). Baseline spinal osteoporosis decreased from 20.3% to 5.8%, osteopenia from 39.1% to 34.8%, with normal T-scores rising from 17.4% to 34.8%. Femoral improvements were similar. Serum C-terminal telopeptide of type I collagen levels (evaluated in 35.8%) showed stable reduction in 97%. Denosumab adherence was 89.9%. One osteonecrosis of the jaw case occurred (1.4%); no fractures were reported. Denosumab demonstrated efficacy in improving bone density and reducing bone turnover, with excellent adherence and favorable safety. Longer follow-up is needed to assess post-discontinuation effects. Full article
(This article belongs to the Special Issue Advances in Personalized Therapy for Breast Cancer)
Show Figures

Figure 1

28 pages, 12965 KB  
Review
Matrix WaveTM System for Mandibulo-Maxillary Fixation—Just Another Variation on the MMF Theme? Part I: A Review on the Provenance, Evolution and Properties of the System
by Carl-Peter Cornelius, Paris Georgios Liokatis, Timothy Doerr, Damir Matic, Stefano Fusetti, Michael Rasse, Nils Claudius Gellrich, Max Heiland, Warren Schubert and Daniel Buchbinder
Craniomaxillofac. Trauma Reconstr. 2025, 18(3), 32; https://doi.org/10.3390/cmtr18030032 - 12 Jul 2025
Cited by 1 | Viewed by 2327
Abstract
Study design: The advent of the Matrix WaveTM System (Depuy-Synthes)—a bone-anchored Mandibulo-Maxillary Fixation (MMF) System—merits closer consideration because of its peculiarities. Objective: This study alludes to two preliminary stages in the evolution of the Matrix WaveTM MMF System and details its [...] Read more.
Study design: The advent of the Matrix WaveTM System (Depuy-Synthes)—a bone-anchored Mandibulo-Maxillary Fixation (MMF) System—merits closer consideration because of its peculiarities. Objective: This study alludes to two preliminary stages in the evolution of the Matrix WaveTM MMF System and details its technical and functional features. Results: The Matrix WaveTM System (MWS) is characterized by a smoothed square-shaped Titanium rod profile with a flexible undulating geometry distinct from the flat plate framework in Erich arch bars. Single MWS segments are Omega-shaped and carry a tie-up cleat for interarch linkage to the opposite jaw. The ends at the throughs of each MWS segment are equipped with threaded screw holes to receive locking screws for attachment to underlying mandibular or maxillary bone. An MWS can be partitioned into segments of various length from single Omega-shaped elements over incremental chains of interconnected units up to a horseshoe-shaped bracing of the dental arches. The sinus wave design of each segment allows for stretch, compression and torque movements. So, the entire MWS device can conform to distinctive spatial anatomic relationships. Displaced fragments can be reduced by in-situ-bending of the screw-fixated MWS/Omega segments to obtain accurate realignment of the jaw fragments for the best possible occlusion. Conclusion: The Matrix WaveTM MMF System is an easy-to-apply modular MMF system that can be assembled according to individual demands. Its versatility allows to address most facial fracture scenarios in adults. The option of “omnidirectional” in-situ-bending provides a distinctive feature not found in alternate MMF solutions. Full article
Show Figures

Figure 1

13 pages, 6140 KB  
Article
Pathological Fractures of the Mandible: Our Department’s 15-Year Experience
by Georgios Chatziantoniou, Dimitris Tatsis, Solon Politis, Antonios Saramantos, Nikolaos Koukolis and Konstantinos Paraskevopoulos
Diagnostics 2025, 15(10), 1216; https://doi.org/10.3390/diagnostics15101216 - 12 May 2025
Cited by 1 | Viewed by 2844
Abstract
Background/Objectives: Pathological fractures of the mandible are uncommon and often result from underlying conditions such as osteoradionecrosis, malignancies, or medication-related osteonecrosis of the jaw (MRONJ). Their management is challenging due to compromised bone quality and complex patient comorbidities. This study presents a [...] Read more.
Background/Objectives: Pathological fractures of the mandible are uncommon and often result from underlying conditions such as osteoradionecrosis, malignancies, or medication-related osteonecrosis of the jaw (MRONJ). Their management is challenging due to compromised bone quality and complex patient comorbidities. This study presents a 15-year experience from a tertiary oral and maxillofacial surgery center, highlighting the clinical characteristics, etiologies, treatment approaches, and outcomes of these fractures. Methods: A retrospective review was conducted on patients diagnosed with pathological mandibular fractures between 2010 and 2024. Data collected included demographics, fracture etiology and location, diagnostic imaging, treatment modality, complications, and long-term outcomes. Results: Fifty patients met the inclusion criteria. The mean age was 66.4 years, with a predominance of male patients (78%). The most common etiology was osteoradionecrosis (48%), followed by primary malignancy (22%) and MRONJ (16%). In 82% of cases, surgical management was required, most frequently involving marginal or segmental mandibular resection (gnathectomy), with or without immediate reconstruction. Conservative treatment was reserved for select cases with high surgical risk. Complications occurred in 54% of patients, including persistent fistulas, pathological communication with the skin or oral cavity, and the need for revision surgery. Long-term follow-up revealed variable survival, with many patients experiencing reduced quality of life due to complex postoperative courses. Conclusions: Pathological fractures of the mandible present significant diagnostic and therapeutic challenges, particularly in patients with osteoradionecrosis or malignancies. Early diagnosis and individualized, multidisciplinary treatment planning are essential. This study underscores the need for a standardized classification system and treatment algorithm to guide management and improve outcomes in this complex patient population. Full article
(This article belongs to the Special Issue Advances in Oral Diseases Diagnosis and Management: 2nd Edition)
Show Figures

Figure 1

8 pages, 2518 KB  
Interesting Images
Radiological and Surgery Considerations and Alternatives in Total Temporomandibular Joint Replacement in Gorlin-Goltz Syndrome
by Kamil Nelke, Klaudiusz Łuczak, Maciej Janeczek, Agata Małyszek, Piotr Kuropka and Maciej Dobrzyński
Diagnostics 2025, 15(9), 1158; https://doi.org/10.3390/diagnostics15091158 - 2 May 2025
Viewed by 1113
Abstract
Gorlin-Goltz syndrome (GGS) is also known as Nevoid basal cell carcinoma syndrome (NBCCS). In the most common manifestation, GGS is diagnosed based on multiple cysts in the jaw bones, namely OKCs (odontogenic keratocysts). Other features might include major and minor clinical and radiological [...] Read more.
Gorlin-Goltz syndrome (GGS) is also known as Nevoid basal cell carcinoma syndrome (NBCCS). In the most common manifestation, GGS is diagnosed based on multiple cysts in the jaw bones, namely OKCs (odontogenic keratocysts). Other features might include major and minor clinical and radiological criteria to confirm this syndrome. Quite commonly, BCCs (basal cell carcinomas), bifid ribs, palmar and plantar pits, and ectopic calcification of the falx cerebri can be found in the majority of patients. Currently, the mutation of the PTCH1 gene seems to be responsible for GGS occurrence, while the male-to-female ratio is 1:1. The following radiological study based on OPGs and CBCT confirmed multiple cystic lesions in jaw bones, confirmed to be OKCs in the histopathological evaluation with an occurrence of numerous skin BCC lesions. In cases of most oral OKC cystic lesions, either surgical removal, curettage, or enucleation with or without any bone grafting can be used with a good amount of success. Rarely, some stable bone osteosynthesis procedures have to be carried out to avoid pathological bone fractures after cyst removal. A special consideration should include the temporomandibular joint. TMJ surgery and the replacement of the joint with an alloplastic material can be performed to improve biting, chewing, proper mouth opening, and maintain good patient occlusion. The authors want to present how effective and simple a standard dental panoramic radiograph combined with CBCT is and how it is suitable for GGS detection. They also want to underline how a standard TMJ prosthesis can be used as an alternative to a custom-made prosthesis. Full article
(This article belongs to the Collection Interesting Images)
Show Figures

Figure 1

10 pages, 1526 KB  
Article
The Application and Validity of a New Composite Radiographic Index for Patients with Osteonecrosis of the Jaws
by Zafeiroula Yfanti, Sotirios Tetradis, Nikolaos G. Nikitakis, Konstantina Eleni Alexiou, Emmanouil Vardas, Christos Angelopoulos and Kostas Tsiklakis
Diagnostics 2025, 15(7), 926; https://doi.org/10.3390/diagnostics15070926 - 3 Apr 2025
Cited by 1 | Viewed by 1061
Abstract
Background/Objectives: This study aims to determine the validity of a recently developed and published index (the modified Composite Radiographic Index—CRIm) as an indicator of disease gravity and progression in the CBCT scans of patients with medication-related osteonecrosis of the jaw (MRONJ) and [...] Read more.
Background/Objectives: This study aims to determine the validity of a recently developed and published index (the modified Composite Radiographic Index—CRIm) as an indicator of disease gravity and progression in the CBCT scans of patients with medication-related osteonecrosis of the jaw (MRONJ) and to detect possible correlations between the radiologic findings and clinical staging of the disease. Methods: This study included 43 MRONJ patients with CBCT scans from the School of Dentistry of National and Kapodistrian University of Athens, approved by the Research Ethics Committee. Clinical staging (0–3) was provided based on AAOMS 2022 guidelines. A total of 52 CBCT scans were analyzed, with maxillae and mandibles evaluated separately when both were involved. Two independent observers assessed eight radiologic features, including lytic changes, sclerosis, periosteal reaction, sequestration, non-healing extraction sockets, and other findings (sinus involvement, inferior alveolar canal involvement, and jaw fracture). The CRIm was applied to quantify osseous changes, scoring each feature (0 (absent), 1 (localized/single), 2 (extensive/multiple)), yielding a range of 0–12. For the statistical analysis, Fisher’s exact test and Spearman’s correlation coefficient were used. Results: Clinical Stage 1 consisted of 19 jaws, Stage 2 consisted of 16 jaws, and Stage 3 consisted of 17 jaws. No affected jaws were recorded with Stage 0. A statistically significant correlation between the clinical stage and lytic changes, sequestration, and inferior alveolar canal involvement was found (p-value < 0.05). Extensive lytic changes, sclerosis, sequestration, periosteal bone formation, and inferior alveolar canal involvement were mostly observed in clinical Stage 3. Furthermore, a statistically significant correlation between clinical stage and CRIm classification was found (rho = 0.446; p-value < 0.001). Conclusions: The CRIm tends to increase as the clinical stages of MRONJ advance, suggesting a correlation between them. Full article
(This article belongs to the Section Medical Imaging and Theranostics)
Show Figures

Figure 1

23 pages, 882 KB  
Review
Beyond Bone Remodeling: Denosumab’s Multisystemic Benefits in Musculoskeletal Health, Metabolism, and Age-Related Diseases—A Narrative Review
by Yi-Ting Hung, Wen-Tien Wu, Ru-Ping Lee, Ting-Kuo Yao and Kuang-Ting Yeh
Biomedicines 2025, 13(3), 732; https://doi.org/10.3390/biomedicines13030732 - 17 Mar 2025
Viewed by 4877
Abstract
Background: Denosumab, a receptor activator of nuclear factor kappa-Β ligand (RANKL) inhibitor, demonstrates therapeutic effects beyond traditional osteoporosis management through the RANK/RANKL/osteoprotegerin pathway. Methods: This narrative review analyzed 37 studies (2018–2024) examining denosumab’s broader physiological effects and clinical applications. Results: Long-term safety data [...] Read more.
Background: Denosumab, a receptor activator of nuclear factor kappa-Β ligand (RANKL) inhibitor, demonstrates therapeutic effects beyond traditional osteoporosis management through the RANK/RANKL/osteoprotegerin pathway. Methods: This narrative review analyzed 37 studies (2018–2024) examining denosumab’s broader physiological effects and clinical applications. Results: Long-term safety data spanning 10 years showed sustained fracture prevention efficacy with a favorable benefit/risk profile. Compared to bisphosphonates, denosumab demonstrated superior outcomes in bone mineral density improvement and fracture risk reduction, particularly in elderly and frail populations. It enhanced muscular function by improving appendicular lean mass and grip strength while reducing fall risk. The drug showed potential cardiovascular benefits through its effects on cardiac and smooth muscle function. Notably, denosumab use was associated with reduced Type II diabetes mellitus risk through improved glucose metabolism. Additionally, it demonstrated promise in osteoarthritis treatment by suppressing osteoclast activity and chondrocyte apoptosis. While there are multisystem benefits, vigilance is required regarding adverse events, including hypocalcemia, infection risk, cutaneous reactions, and osteonecrosis of the jaw. Conclusions: Denosumab exhibits potential benefits in bone and systemic metabolism. Further research is needed to fully understand its therapeutic potential beyond osteoporosis and optimize clinical applications across different populations. Full article
(This article belongs to the Special Issue Musculoskeletal Diseases: From Molecular Basis to Therapy (Volume II))
Show Figures

Figure 1

23 pages, 2921 KB  
Article
Oral Clinical and Radiological Signs of Excessive Occlusal Forces in Bruxism
by Adrian Marcel Popescu, Mihaela Ionescu, Sanda Mihaela Popescu, Alin Gabriel Ionescu, Diana Elena Vlăduțu, Monica Mihaela Iacov-Crăițoiu, Alexandru Ștefârță, Luana Corina Lascu and Veronica Mercuț
Diagnostics 2025, 15(6), 702; https://doi.org/10.3390/diagnostics15060702 - 12 Mar 2025
Cited by 3 | Viewed by 4667
Abstract
Background/Objectives: Excessive occlusal forces manifest in bruxism and have consequences on teeth and jaws. The aim of this study was to determine the association of bruxism with clinical and radiological signs of excessive occlusal forces, such as tooth wear, fatigue dental fissures [...] Read more.
Background/Objectives: Excessive occlusal forces manifest in bruxism and have consequences on teeth and jaws. The aim of this study was to determine the association of bruxism with clinical and radiological signs of excessive occlusal forces, such as tooth wear, fatigue dental fissures and fractures, abfraction, masseter muscle hypertrophy, and bone apposition at the mandibular angle. Methods: This cross-sectional clinical study included 181 patients presented for treatment in a general dentistry clinic. For each patient, data were extracted from the dental chart, as follows: demographic data (sex, age, and smoking), clinical data (number of teeth present, Eichner edentulous score, TWI wear score, number of fractured teeth, number of teeth with abfraction, presence of masseter hypertrophy, presence of hypersensitivity), and radiological data (bone apposition at the mandibular angle). The patients were divided into two groups according to the presence or absence of bruxism. A binomial logistic regression model was run to determine the association between bruxism and clinical and radiological signs of excessive occlusal forces. The data were statistically processed in SPSS. Results: In total, 99 women and 82 men with mean age 44.87 ± 12.67 were included in the study. Compared to the group without bruxism, the group of patients with bruxism (39.78%) showed statistically significant higher tooth wear index (TWI) (p < 0.0005), a higher number of fractured teeth (p = 0.037), a higher number of teeth with abfraction lesions (p = 0.001), and a significantly higher bone apposition score (p < 0.0005). The binomial logistic regression model showed a high prediction bruxism score for masseter muscle hypertrophy (15 times, p < 0.0005), for tooth wear index (almost 7 times, p = 0.010), and for bone apposition score (almost 3 times, p = 0.044). Conclusions: Patients with bruxism showed masseter muscle hypertrophy, higher attrition-type tooth wear index, and more teeth with fatigue fractures and abfractions than those without bruxism. Bruxism clinical signs were positively correlated with a higher bone apposition score. Full article
(This article belongs to the Section Medical Imaging and Theranostics)
Show Figures

Figure 1

16 pages, 3836 KB  
Article
Evaluation of Titanium Particles, TNF-α, and Caspase-3 Concentrations in Patients with Bones Fixations of the Maxilla and Mandibule
by Bożena Antonowicz, Żaneta Anna Mierzejewska, Jan Borys, Mateusz Maciejczyk, Sławomir Prokopiuk and Halina Car
Int. J. Mol. Sci. 2025, 26(5), 2316; https://doi.org/10.3390/ijms26052316 - 5 Mar 2025
Viewed by 1266
Abstract
The aim of the study was to evaluate the effect of titanium implants (Ti6Al4V) on the surrounding tissues by analyzing the concentration of titanium particles, TNF-α, and caspase-3 in patients treated for jaw fractures and dentofacial deformities. The research material consisted of peri-implant [...] Read more.
The aim of the study was to evaluate the effect of titanium implants (Ti6Al4V) on the surrounding tissues by analyzing the concentration of titanium particles, TNF-α, and caspase-3 in patients treated for jaw fractures and dentofacial deformities. The research material consisted of peri-implant tissues: fragments of periosteum adhering to a titanium miniplate and blood serum collected from 42 patients treated for mandibular fractures (Group I), and dentofacial deformities (Group II) who underwent bimaxillary osteotomy. The control group consisted of 24 generally healthy patients before bimaxillary osteotomy. The concentrations of selected cytokines, caspase-3, TNF-α in blood serum, and homogenized tissues, were determined using the immunoenzymatic method (ELISA). The concentration of titanium particles was assessed using a scanning electron microscope equipped with an X-ray microanalyzer. A significant increase in the concentration of titanium, caspase-3, and TNF-α was observed in serum and periosteum in all patients who underwent bone fixation. Increased TNF-α levels indicate an intense immune response, which may lead to the degradation of peri-implant tissues and bone resorption around the miniplates and screws, while an increase in caspase-3 levels suggests that cells surrounding the implants are destroyed in response to inflammatory stress or damage induced by the presence of titanium particles. Full article
Show Figures

Figure 1

14 pages, 2534 KB  
Article
Effect of Different Crushing Methods on Chalcopyrite Liberation and Heavy Media Preconcentration
by Jian Xu, Hailiang Wang, Chunqing Gao, Lin Zhang, Hanxu Yang, Mingyu Sai, Jun Hu, Qiuju Huang and Hongzhen Luo
Minerals 2025, 15(2), 179; https://doi.org/10.3390/min15020179 - 14 Feb 2025
Cited by 1 | Viewed by 1157
Abstract
In order to find a short, economically feasible process for chalcopyrite preconcentration and to provide a reference for the preconcentration of similar copper sulfide ores, the particle size characteristics of the crushed products from a high-pressure grinding roller (HPGR) and jaw crusher (JC) [...] Read more.
In order to find a short, economically feasible process for chalcopyrite preconcentration and to provide a reference for the preconcentration of similar copper sulfide ores, the particle size characteristics of the crushed products from a high-pressure grinding roller (HPGR) and jaw crusher (JC) were analyzed, as well as the liberation degree and fracture characteristics of the chalcopyrite. The float–sink test (FST) was carried out on the crushed products, and the effects of the two crushing methods on the FSTs of the crushed products were compared. The research results show that at the same crushing fineness, the chalcopyrite liberation in HPGR products can be enhanced by 14%~18% compared with the JC. The single-particle crushing of the JC tends to produce intergranular fracturing of chalcopyrite, while the lamination crushing of the HPGR produces more transgranular fracturing of chalcopyrite; the chalcopyrite in the −5 + 0.5 mm size fraction mainly produces intergranular fracturing, and the chalcopyrite in the −0.5 mm size fraction mainly produces transgranular fracturing. The FST results show that heavy media preconcentration was suitable for chalcopyrite, and, in the optimal conditions of a size fraction of −3 + 0.5 mm and separation density of 2.55 g/cm3, the grade and distribution rate of Cu in the sinks obtained by HPGR-FST were 0.35% and 89.86%, respectively, and the floats yield was 24.76%, with a better enrichment of sinks and higher floats yields, which was better when compared with that of the JC-FST. Full article
(This article belongs to the Special Issue Recent Advances in Ore Comminution)
Show Figures

Figure 1

14 pages, 1699 KB  
Article
Association of Osteoporosis with Tooth Loss and Dental Radiomorphometric Indices
by Anna Damanaki, Marie Luis Habel and James Deschner
Biomedicines 2024, 12(12), 2886; https://doi.org/10.3390/biomedicines12122886 - 18 Dec 2024
Cited by 1 | Viewed by 2219
Abstract
Background/Objectives: Osteoporosis is a systemic disease associated with reduced bone mass, impaired bone microarchitecture, and thus an increased risk of bone fractures. Moreover, patients with osteoporosis are more likely to experience periodontal diseases and tooth loss. Some indices have been proposed to detect [...] Read more.
Background/Objectives: Osteoporosis is a systemic disease associated with reduced bone mass, impaired bone microarchitecture, and thus an increased risk of bone fractures. Moreover, patients with osteoporosis are more likely to experience periodontal diseases and tooth loss. Some indices have been proposed to detect osteoporosis on dental panoramic radiographs. The aim of our retrospective study was to investigate the association between osteoporosis and the loss of alveolar bone and teeth and to evaluate the validity of several dental radiomorphometric indices for assessing osteoporosis. Methods: In patients with and without osteoporosis, tooth loss, alveolar bone loss, the panoramic mandibular index (PMI), mental index (MI), and mandibular cortical index (MCI) were determined. Results: Compared with the non-osteoporotic group, patients with osteoporosis showed more tooth loss and more severe alveolar bone loss. PMI and MI were lower in patients with osteoporosis than in the non-osteoporotic group. Analysis of MCI showed that category C3 (cortical layer forms strong endosteal cortical residues and is clearly porous) was significantly more common in patients with osteoporosis. Conclusions: Osteoporosis is associated with more tooth and alveolar bone loss. Furthermore, various dental radiomorphometric indices are altered in osteoporosis and could thus help to better assess osteoporosis of the jaw. Full article
(This article belongs to the Section Endocrinology and Metabolism Research)
Show Figures

Figure 1

Back to TopTop