Oral Clinical and Radiological Signs of Excessive Occlusal Forces in Bruxism
Abstract
1. Introduction
2. Materials and Methods
2.1. Study Design, Sample Selection, and Ethical Aspects
Inclusion/Exclusion Criteria
2.2. Bruxism Diagnostic
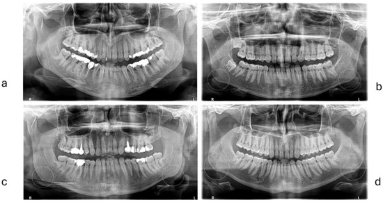
2.3. Variables
2.4. Statistical Analysis
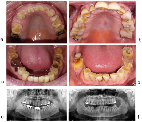
3. Results
Bruxism Prediction
4. Discussion
Study Limitations
- -
- No differentiation was made between sleep and awake bruxism in the patients in this study. The data processed were extracted from the dental chart, not from specific bruxism questionnaires.
- -
- Bruxism was not diagnosed by instrumental criteria of video-polysomnography or electromyography, because in the general dentistry office level, it is very difficult to do this.
- -
- No long-term evaluation of the subjects included in the study was made, as the study was cross-sectional and monocentric.
5. Conclusions
Author Contributions
Funding
Institutional Review Board Statement
Informed Consent Statement
Data Availability Statement
Conflicts of Interest
References
- Vladuțu, D.E.; Ionescu, M.; Mercut, R.; Stanusi, A.; Botila, M.R.; Nardin, M.; Popa, D.A.; Popescu, M.A.; Ionescu, A.G.; Mercut, V. Bruxism as a contraction disorder of the masticatory muscles—Review. Rom. J. Oral Rehabil. 2022, 14, 26–34. [Google Scholar]
- Lobbezoo, F.; Ahlberg, J.; Raphael, K.G.; Wetselaar, P.; Glaros, A.G.; Kato, T.; Santiago, V.; Winocur, E.; De Laat, A.; De Leeuw, R.; et al. International consensus on the assessment of bruxism: Report of a work in progress. J. Oral Rehabil. 2018, 45, 837–844. [Google Scholar] [CrossRef] [PubMed]
- Beddis, H.P.; Davies, S.J. Relationships between tooth wear, bruxism and temporomandibular disorders. Br. Dent. J. 2023, 234, 422–426. [Google Scholar] [CrossRef] [PubMed]
- Iacob, S.M.; Chisnoiu, A.M.; Objelean, A.; Fluerașu, M.I.; Moga, R.R.; Buduru, S.D. Correlation between bruxism, occlusal dysfunction and musculo-articular status. Rom. J. Oral Rehabil. 2022, 14, 48–55. [Google Scholar]
- Popescu, A.M.; Vlăduțu, D.E.; Ionescu, M.; Târtea, D.A.; Popescu, S.M.; Mercuț, V. The Role of Occlusal Appliances in Reducing Masseter Electromyographic Activity in Bruxism. J. Clin. Med. 2024, 13, 7218. [Google Scholar] [CrossRef] [PubMed]
- Todic, J.; Mitik, A.; Lazic, D.; Radosavljevic, R.; Staletovic, M. Effects of bruxism on the maximum bite force. Vojnosanit. Pregl. 2017, 74, 138–144. [Google Scholar] [CrossRef]
- Vlăduțu, D.E.; Ionescu, M.; Noveri, L.; Manolea, H.O.; Scrieciu, M.; Popescu, S.M.; Turcu, A.A.; Ştefârță, A.; Lăzărescu, G.; Mercuț, V. Aspects of Dental Occlusion Assessed with the T-Scan System among a Group of Romanian Dental Students in a Cross-Sectional Study. Int. J. Environ. Res. Public Health 2023, 20, 4877. [Google Scholar] [CrossRef] [PubMed]
- Giovanni, A.; Giorgia, A. The neurophysiological basis of bruxism. Heliyon 2021, 7, e07477. [Google Scholar] [CrossRef]
- Pavlou, I.A.; Spandidos, D.A.; Zoumpourlis, V.; Papakosta, V.K. Neurobiology of bruxism: The impact of stress (Review). Biomed. Rep. 2024, 20, 59. [Google Scholar] [CrossRef]
- Vlăduțu, D.; Popescu, S.M.; Mercuț, R.; Ionescu, M.; Scrieciu, M.; Glodeanu, A.D.; Stănuși, A.; Rîcă, A.M.; Mercuț, V. Associations between Bruxism, Stress, and Manifestations of Temporomandibular Disorder in Young Students. Int. J. Environ. Res. Public Health 2022, 19, 5415. [Google Scholar] [CrossRef]
- Lavigne, G.J.; Khoury, S.; Abe, S.; Yamaguchi, T.; Raphael, K. Bruxism physiology and pathology: An overview for clinicians. J. Oral Rehabil. 2008, 35, 476–494. [Google Scholar] [CrossRef] [PubMed]
- Shetty, S.; Pitti, V.; Satish Babu, C.L.; Surendra Kumar, G.P.; Deepthi, B.C. Bruxism: A literature review. J. Indian Prosthodont. Soc. 2010, 10, 141–148. [Google Scholar] [CrossRef] [PubMed]
- Fan, J.; Caton, J.G. Occlusal trauma and excessive occlusal forces: Narrative review, case definitions, and diagnostic considerations. J. Periodontol. 2018, 89 (Suppl. S1), S214–S222. [Google Scholar] [CrossRef]
- Nishigawa, K.; Bando, E.; Nakano, M. Quantitative study of bite force during sleep associated bruxism. J. Oral Rehabil. 2001, 28, 485–491. [Google Scholar] [CrossRef]
- Calderon, P.d.S.; Kogawa, E.M.; Lauris, J.R.; Conti, P.C. The influence of gender and bruxism on the human maximum bite force. J. Appl. Oral Sci. 2006, 14, 448–453. [Google Scholar] [CrossRef] [PubMed]
- Lee, S.K.Y.; Salinas, T.J.; Wiens, J.P. The Effect of Patient Specific Factors on Occlusal Forces Generated: Best Evidence Consensus Statement. J. Prosthodont. 2021, 30, 52–60. [Google Scholar] [CrossRef]
- Levartovsky, S.; Peleg, G.; Matalon, S.; Tsesis, I.; Rosen, E. Maximal Bite Force Measured via Digital Bite Force Transducer in Subjects with or without Dental Implants—A Pilot Study. Appl. Sci. 2022, 12, 1544. [Google Scholar] [CrossRef]
- Apostolov, N.; Chakalov, I.; Drajev, T. Measurement of the Maximum Bite Force in the Natural Dentition with a Gnathodynamometer. MedInform 2014, 2, 70–75. [Google Scholar] [CrossRef]
- Chong, M.X.; Khoo, C.D.; Goh, K.H.; Rahman, F.; Shoji, Y. Effect of age on bite force. J. Oral Sci. 2016, 58, 361–363. [Google Scholar] [CrossRef]
- Su, J.N.; Pan, Y.H.; Dorj, O.; Lin, J.C.Y.; Salamanca, E.; Chen, I.W.; Wu, Y.F.; Chang, W.J. Association between oral health status and occlusal bite force in young adults. J. Dent. Sci. 2024, 19, 1182–1189. [Google Scholar] [CrossRef]
- Daboul, A.; Schwahn, C.; Bülow, R.; Kiliaridis, S.; Kocher, T.; Klinke, T.; Mundt, T.; Mourad, S.; Völzke, H.; Habes, M.; et al. Influence of Age and Tooth Loss on Masticatory Muscles Characteristics: A Population Based MR Imaging Study. J. Nutr. Health Aging 2018, 22, 829–836. [Google Scholar] [CrossRef] [PubMed]
- Okura, K.; Shigemoto, S.; Suzuki, Y.; Noguchi, N.; Omoto, K.; Abe, S.; Matsuka, Y. Mandibular movement during sleep bruxism associated with current tooth attrition. J. Prosthodont. Res. 2017, 61, 87–95. [Google Scholar] [CrossRef] [PubMed]
- Jonsgar, C.; Hordvik, P.A.; Berge, M.E.; Johansson, A.K.; Svensson, P.; Johansson, A. Sleep bruxism in individuals with and without attrition-type tooth wear: An exploratory matched case-control electromyographic study. J. Dent. 2015, 43, 1504–1510. [Google Scholar] [CrossRef]
- Dıraçoğlu, D.; Alptekin, K.; Çifter, E.D.; Güçlü, B.; Karan, A.; Aksoy, C. Relationship between maximal bite force and tooth wear in bruxist and non-bruxist individuals. Arch. Oral Biol. 2011, 56, 1569–1575. [Google Scholar] [CrossRef]
- Kruzic, J.J.; Hoffman, M.; Arsecularatne, J.A. Fatigue and wear of human tooth enamel: A review. J. Mech. Behav. Biomed. Mater. 2023, 138, 105574. [Google Scholar] [CrossRef] [PubMed]
- Thayer, L.T.M.; Ali, R. The dental demolition derby: Bruxism and its impact—Part 1: Background. Br. Dent. J. 2022, 232, 515–521. [Google Scholar] [CrossRef]
- Bronkhorst, H.; Kalaykova, S.; Huysmans, M.C.; Loomans, B.; Pereira-Cenci, T. Tooth wear and bruxism: A scoping review. J. Dent. 2024, 145, 104983. [Google Scholar] [CrossRef]
- Chan, A.K.Y.; Tsang, Y.C.; Lai, E.H.; Chu, C.H. Tooth Wear in Older Adults: A Review of Clinical Studies. Geriatrics 2024, 9, 12. [Google Scholar] [CrossRef]
- Oudkerk, J.; Grenade, C.; Davarpanah, A.; Vanheusden, A.; Vandenput, S.; Mainjot, A.K. Risk factors of tooth wear in permanent dentition: A scoping review. J. Oral Rehabil. 2023, 50, 1110–1165. [Google Scholar] [CrossRef]
- Hattab, F.N.; Yassin, O.M. Etiology and diagnosis of tooth wear: A literature review and presentation of selected cases. Int. J. Prosthodont. 2000, 13, 101–107. [Google Scholar]
- Kapagiannidou, D.; Koutris, M.; Wetselaar, P.; Visscher, C.M.; van der Zaag, J.; Lobbezoo, F. Association between polysomnographic parameters of sleep bruxism and attrition-type tooth wear. J. Oral Rehabil. 2021, 48, 687–691. [Google Scholar] [CrossRef] [PubMed]
- Besirevic-Bulic, F.; Schmid-Schwap, M.; Kundi, M.; Sagl, B.; Piehslinger, E. Wear Management of Colored Foils for the Assessment of Sleep Bruxism Patterns-A Prospective, Randomized Crossover Study. Diagnostics 2023, 13, 172. [Google Scholar] [CrossRef] [PubMed]
- Yoshida, Y.; Suganuma, T.; Takaba, M.; Ono, Y.; Abe, Y.; Yoshizawa, S.; Sakai, T.; Yoshizawa, A.; Nakamura, H.; Kawana, F.; et al. Association between patterns of jaw motor activity during sleep and clinical signs and symptoms of sleep bruxism. J. Sleep Res. 2017, 26, 415–421. [Google Scholar] [CrossRef] [PubMed]
- Jain, R.; Hegde, M.N. Dental attrition—Aetiology, diagnosis and treatment planning: A review. IOSR—JDMS 2015, 14, 60–66. [Google Scholar]
- Rees, J.S.; Somi, S. A guide to the clinical management of attrition. Br. Dent. J. 2018, 224, 319–323. [Google Scholar] [CrossRef]
- Zuza, A.; Racic, M.; Ivkovic, N.; Krunic, J.; Stojanovic, N.; Bozovic, D.; Bankovic-Lazarevic, D.; Vujaskovic, M. Prevalence of non-carious cervical lesions among the general population of the Republic of Srpska, Bosnia and Herzegovina. Int. Dent. J. 2019, 69, 281–288. [Google Scholar] [CrossRef]
- Lai, Z.Y.; Zhi, Q.H.; Zhou, Y.; Lin, H.C. Prevalence of Non-carious Cervical Lesions and Associated Risk Indicators in Middle-aged and Elderly Populations in Southern China. Chin. J. Dent. Res. 2015, 18, 41–50. [Google Scholar]
- Nascimento, M.M.; Dilbone, D.A.; Pereira, P.N.; Duarte, W.R.; Geraldeli, S.; Delgado, A.J. Abfraction lesions: Etiology, diagnosis, and treatment options. Clin. Cosmet. Investig. Dent. 2016, 8, 79–87. [Google Scholar] [CrossRef]
- Grippo, J.O.; Simring, M.; Coleman, T.A. Abfraction, abrasion, biocorrosion, and the enigma of noncarious cervical lesions: A 20-year perspective. J. Esthet. Restor. Dent. Off. Publ. Am. Acad. Esthet. Dent. 2012, 24, 10–23. [Google Scholar] [CrossRef]
- Bartlett, D.; O’Toole, S. Tooth Wear: Best Evidence Consensus Statement. J. Prosthodont. 2020, 30, 20–25. [Google Scholar] [CrossRef]
- Mercuț, V.; Popescu, S.M.; Scrieciu, M.; Amărăscu, M.O.; Vătu, M.; Diaconu, O.A.; Osiac, E.; Ghelase, Ş.M. Optical coherence tomography applications in tooth wear diagnosis. Rom. J. Morphol. Embryol. 2017, 58, 99–106. [Google Scholar] [PubMed]
- Stănuși, A.; Ionescu, M.; Cerbulescu, C.; Popescu, S.M.; Osiac, E.; Mercuț, R.; Scrieciu, M.; Pascu, R.M.; Stănuși, A.Ş.; Mercuț, V. Modifications of the Dental Hard Tissues in the Cervical Area of Occlusally Overloaded Teeth Identified Using Optical Coherence Tomography. Medicina 2022, 58, 702. [Google Scholar] [CrossRef]
- Popescu, A.M.; Diaconu, O.A.; Popescu, S.M.; Lascu, L.C.; Ionescu, M.; Scrieciu, M.; Vlăduțu, D.E.; Mercuț, V. Cracked Teeth and Vertical Root Fractures in Pandemic Crisis—Retrospective Study. Curr. Health Sci. J. 2024, 50, 237–245. [Google Scholar] [PubMed]
- Popescu, S.M.; Diaconu, O.A.; Scrieciu, M.; Marinescu, I.R.; Drăghici, E.C.; Trușcă, A.G.; Bănică, C.; Vătu, M.; Mercuț, V. Root fractures: Epidemiological, clinical and radiographic aspects. Rom. J. Morphol. Embryol. 2017, 58, 501. [Google Scholar]
- Li, F.; Diao, Y.; Wang, J.; Hou, X.; Qiao, S.; Kong, J.; Sun, Y.; Lee, E.S.; Jiang, H.B. Review of Cracked Tooth Syndrome: Etiology, Diagnosis, Management, and Prevention. Pain Res. Manag. 2021, 2021, 3788660. [Google Scholar] [CrossRef] [PubMed]
- Dawson, P. Occlusal Disease. In Functional Occlusion: From TMJ to Smile Design; Dawson, P., Ed.; Mosby Elsevier: Maryland Heights, MI, USA, 2007; pp. 17–26. [Google Scholar]
- Hayek, E.; Nassar, J.; Abillama, F.; Aoun, G. Bone Apposition in the Mandibular Angle in Adult Patients Diagnosed with Bruxism: A Digital Panoramic Based Study. Mater. Socio-Medica 2022, 34, 126–129. [Google Scholar] [CrossRef]
- Türp, J.C.; Simonek, M.; Dagassan, D. Bone apposition at the mandibular angles of bruxism patients. A comparative study of panoramic radiographs. BMC Oral Health 2021, 21, 537. [Google Scholar] [CrossRef]
- Manfredini, D.; Ahlberg, J.; Aarab, G.; Bender, S.; Bracci, A.; Cistulli, P.A.; Conti, P.C.; De Leeuw, R.; Durham, J.; Emodi-Perlman, A. Standardised Tool for the Assessment of Bruxism. J. Oral Rehabil. 2024, 51, 29–58. [Google Scholar] [CrossRef]
- Wetselaar, P.; Lobbezoo, F.; de Vries, R.; Mehta, S.B.; Opdam, N.J.M.; Loomans, B.A.C. Developing diagnostic criteria for tooth wear, a preliminary beta version based on expert opinion, and a narrative literature review. J. Oral Rehabil. 2023, 50, 1030–1042. [Google Scholar] [CrossRef]
- Loomans, B.; Opdam, N.; Attin, T.; Bartlett, D.; Edelhoff, D.; Frankenberger, R.; Benic, G.; Ramseyer, S.; Wetselaar, P.; Sterenborg, B.; et al. Severe Tooth Wear: European Consensus Statement on Management Guidelines. J. Adhes. Dent. 2017, 19, 111–119. [Google Scholar]
- Krell, K.V. Cracked Teeth and Vertical Root Fractures: A New Look at a Growing Problem. In ENDODONTICS: Colleagues for Excellence; American Association of Endodontists: Chicago, IL, USA, 2022. [Google Scholar]
- McClanahan, S.B.; Crepps, J.T.; Maranga, M.C.; Worrell, D.E.; Behnia, A. Special Committee to Revise the Glossary. Glossary of Endodontic Terms, 10th ed.; American Association of Endodontists: Chicago, IL, USA, 2020; p. 48. [Google Scholar]
- Clarck, G.T. Dentist’s Guide to Tooth Erosion, Attrition, Abrasion and Abfraction; Herman Ostrow School of Dentistry of USC: Los Angeles, CA, USA, 2021. [Google Scholar]
- Yoshino, K.; Kikukawa, I.; Yoda, Y.; Watanabe, H.; Fukai, K.; Sugihara, N.; Matsukubo, T. Relationship between Eichner Index and number of present teeth. Bull. Tokyo Dent. Coll. 2012, 53, 37–40. [Google Scholar] [CrossRef] [PubMed]
- Simonek, M.; Türp, J.C.; Bornstein, M.M. Prevalence and correlation with sex, age, and dental status of bone apposition at the mandibular angle and radiographic alterations of the temporomandibular joints: A retrospective observational study in an adult Swiss population. BMC Oral Health 2024, 24, 193. [Google Scholar] [CrossRef] [PubMed]
- Tagger-Green, N.; Nemcovsky, C.; Fridenberg, N.; Berg, Y.S.; Kolerman, R. Radiographic signs of excessive occlusal forces are associated with marginal bone loss: A retrospective clinical study. Quintessence Int. 2023, 54, 672–679. [Google Scholar]
- Ohlmann, B.; Waldecker, M.; Leckel, M.; Bömicke, W.; Behnisch, R.; Rammelsberg, P.; Schmitter, M. Correlations between Sleep Bruxism and Temporomandibular Disorders. J. Clin. Med. 2020, 9, 611. [Google Scholar] [CrossRef] [PubMed]
- Peleg, O.; Haddad, L.; Kleinman, S.; Sella Tunis, T.; Wasserman, G.; Mijiritsky, E.; Oron, Y. Temporomandibular Disorders and Bruxism in Patients Attending a Tinnitus Clinic. Appl. Sci. 2022, 12, 4970. [Google Scholar] [CrossRef]
- Bartolucci, M.L.; Incerti Parenti, S.; Bortolotti, F.; Della Godenza, V.; Vandi, S.; Pizza, F.; Plazzi, G.; Alessandri-Bonetti, G. Sleep Bruxism and Orofacial Pain in Patients with Sleep Disorders: A Controlled Cohort Study. J. Clin. Med. 2023, 12, 2997. [Google Scholar] [CrossRef]
- Wieckiewicz, M.; Winocur, E. Editorial: Orofacial pain, bruxism, and sleep, volume II. Front. Neurol. 2023, 14, 1331275. [Google Scholar] [CrossRef]
- Li, D.; Kuang, B.; Lobbezoo, F.; de Vries, N.; Hilgevoord, A.; Aarab, G. Sleep bruxism is highly prevalent in adults with obstructive sleep apnea: A large-scale polysomnographic study. JCSM Off. Publ. Am. Acad. Sleep Med. 2023, 19, 443–451. [Google Scholar] [CrossRef]
- Martynowicz, H.; Gac, P.; Brzecka, A.; Poreba, R.; Wojakowska, A.; Mazur, G.; Smardz, J.; Wieckiewicz, M. The Relationship between Sleep Bruxism and Obstructive Sleep Apnea Based on Polysomnographic Findings. J. Clin. Med. 2019, 8, 1653. [Google Scholar] [CrossRef]
- Scheibel, J.; Schwahn, C.; Mksoud, M.; Mundt, T.; Bernhardt, O.; Kiliaridis, S.; Kocher, T.; Biffar, R.; Krüger, M.; Daboul, A. Influence of gender and bruxism on the masseter muscle: A population-based magnetic resonance imaging study. Am. J. Orthod. Dentofac. Orthop. 2025, 167, 80–88. [Google Scholar] [CrossRef]
- Popescu, A.M.; Ionescu, M.; Vlăduțu, D.E.; Popescu, S.M.; Marinescu, I.R.; Scrieciu, M.; Mercuț, V. Non-Instrumental and Instrumental Tools Validity in Bruxism Diagnostics. Diagnostics 2025, 15, 200. [Google Scholar] [CrossRef] [PubMed]
- Vlăduțu, D.E.; Ionescu, M.; Mercuț, R.; Noveri, L.; Lăzărescu, G.; Popescu, S.M.; Scrieciu, M.; Manolea, H.O.; Iacov Crăițoiu, M.M.; Ionescu, A.G.; et al. Ecological Momentary Assessment of Masseter Muscle Activity in Patients with Bruxism. Int. J. Environ. Res. Public Health 2022, 20, 581. [Google Scholar] [CrossRef]
- Goldstein, R.E. Part 4 Esthetic Problems of individual teeth. Chapter 22. Abfraction, Abrasion, Attrition, and Erosion. In Goldstein’s Esthetics in Dentistry, 3rd ed.; Goldstein, R.E., Ed.; John Wiley & Sons: Hoboken, NJ, USA, 2018; p. 1. [Google Scholar]
- Duangthip, D.; Man, A.; Poon, P.H.; Lo, E.C.M.; Chu, C.H. Occlusal stress is involved in the formation of non-carious cervical lesions. A systematic review of abfraction. Am. J. Dent. 2017, 30, 212–220. [Google Scholar] [PubMed]
- Giller, M.; Holtfreter, B.; Ruge, S.; Völzke, H.; Bernhardt, O. Effects of occlusal wear on 16-year progression of non-carious cervical lesions—Results of the study of health in Pomerania (SHIP-START). J. Oral Rehabil. 2024, 51, 1184–1192. [Google Scholar] [CrossRef]
- Stănuşi, A.; Stănuşi, A.Ş.; Gîngu, O.; Mercuţ, V.; Osiac, E. Stereomicroscopic Aspects of Non-Carious Cervical Lesions. Diagnostics 2023, 13, 2590. [Google Scholar] [CrossRef] [PubMed]
- Karakis, D.; Dogan, A. The craniofacial morphology and maximum bite force in sleep bruxism patients with signs and symptoms of temporomandibular disorders. CRANIO® 2014, 33, 32–37. [Google Scholar] [CrossRef]
- Miranda, J.S.; Barcellos, A.S.P.; Oliveira, A.S.; Paradella, T.C.; Kimpara, E.T.; Chaves, M.G.A.M. Are non-carious cervical lesions more frequent in sleep bruxism patients? Braz. Dent. Sci. 2017, 20, 49–54. [Google Scholar] [CrossRef]
- Ommerborn, M.A.; Schneider, C.; Giraki, M.; Schafer, R.; Singh, P.; Franz, M.; Raab, W.H. In vivo evaluation of noncarious cervical lesions in sleep bruxism subjects. J. Prosthet. Dent. 2007, 98, 150–158. [Google Scholar] [CrossRef]
- Banerji, S.; Mehta, S.B.; Millar, B.J. Cracked tooth syndrome. Part 1: Aetiology and diagnosis. Br. Dent. J. 2010, 208, 459–463. [Google Scholar] [CrossRef]
- Yahyazadehfar, M.; Zhang, D.; Arola, D. On the importance of aging to the crack growth resistance of human enamel. Acta Biomater. 2016, 32, 264–274. [Google Scholar] [CrossRef]
- Ispir, N.G.; Toraman, M. The relationship of masseter muscle thickness with face morphology and parafunctional habits: An ultrasound study. Dento Maxillo Facial Radiol. 2022, 51, 20220166. [Google Scholar] [CrossRef] [PubMed]
- Rintakoski, K.; Ahlberg, J.; Hublin, C.; Broms, U.; Madden, P.A.; Könönen, M.; Koskenvuo, M.; Lobbezoo, F.; Kaprio, J. Bruxism is associated with nicotine dependence: A nationwide Finnish twin cohort study. Nicotine Tob. Res. 2010, 12, 1254–1260. [Google Scholar] [CrossRef] [PubMed]
- Lee, Y.H.; Chun, Y.H.; Bae, H.; Lee, J.W.; Kim, H.J. Comparison of ultrasonography-based masticatory muscle thickness between temporomandibular disorders bruxers and temporomandibular disorders non-bruxers. Sci. Rep. 2024, 14, 6923. [Google Scholar] [CrossRef] [PubMed]







| Parameter | Values | Females | Males | Total | p |
|---|---|---|---|---|---|
| 99 Patients | 82 Patients | 181 Patients | |||
| Age groups (years old) | 20–29 | 10 (43.48%) | 13 (56.52%) | 23 (100%) | 0.116 * |
| 10.10% | 15.85% | ||||
| 30–39 | 23 (58.97%) | 16 (41.03%) | 39 (100%) | ||
| 23.23% | 19.51% | ||||
| 40–49 | 31 (57.41%) | 23 (42.59%) | 54 (100%) | ||
| 31.31% | 28.05% | ||||
| 50–59 | 21 (55.26%) | 17 (44.74%) | 38 (100%) | ||
| 21.21% | 20.73% | ||||
| ≥60 | 14 (51.85%) | 13 (48.15%) | 27 (100%) | ||
| 14.14% | 15.85% | ||||
| Smoking | Yes | 30 (43.48%) | 39 (56.52%) | 69 (100%) | 0.017 * |
| 30.30% | 47.56% | ||||
| No | 69 (61.61%) | 43 (38.39%) | 112 (100%) | ||
| 69.70% | 52.44% | ||||
| Number of present teeth | Median | 27.00 | 28.00 | - | 0.228 ** |
| Tooth wear index | Median | 1.70 | 1.80 | - | 0.142 ** |
| Number of teeth with abfraction | Median | 2.00 | 2.00 | - | 0.240 ** |
| Number of teeth with fractures | Median | 1.00 | 2.00 | - | 0.578 ** |
| Eichner score | A1 | 27 (50.00%) | 27 (50.00%) | 54 (100%) | <0.0005 * |
| 27.27% | 32.93% | ||||
| A2 | 25 (59.52%) | 17 (40.48%) | 42 (100%) | ||
| 25.25% | 20.73% | ||||
| A3 | 32 (56.14%) | 25 (43.86%) | 57 (100%) | ||
| 32.32% | 30.49% | ||||
| B1 | 4 (40.00%) | 6 (60.00%) | 10 (100%) | ||
| 4.04% | 7.32% | ||||
| B2 | 11 (61.11%) | 7 (38.89%) | 18 (100%) | ||
| 11.11% | 8.54% | ||||
| Hypersensitivity | Yes | 27 (64.29%) | 15 (35.71%) | 42 (100%) | 0.154 * |
| 27.27% | 18.29% | ||||
| No | 72 (51.80%) | 67 (48.20%) | 139 (100%) | ||
| 72.73% | 81.71% | ||||
| Masseter muscle hypertrophy | Yes | 44 (44%) | 56 (56%) | 100 (100%) | 0.001 * |
| 44.44% | 68.29% | ||||
| No | 55 (67.90%) | 26 (32.10%) | 81 (100%) | ||
| 55.56% | 31.71% | ||||
| Bone apposition score | Without | 43 (59.72%) | 29 (40.28%) | 72 (100%) | 0.340 * |
| 43.43% | 35.37% | ||||
| Moderate | 10 (62.50%) | 6 (37.50%) | 16 (100%) | ||
| 10.10% | 7.32% | ||||
| High | 46 (49.46%) | 47 (50.54%) | 93 (100%) | ||
| 46.46% | 57.32% |
| Parameter | Values | 20–29 | 30–39 | 40–49 | 50–59 | ≥60 | Total | p |
|---|---|---|---|---|---|---|---|---|
| 23 Patients | 39 Patients | 54 Patients | 38 Patients | 27 Patients | 181 Patients | |||
| Gender | Females | 10 (10.10%) | 23 (23.23%) | 31 (31.31%) | 21 (21.21%) | 14 (14.14%) | 99 (100%) | 0.789 * |
| 43.48% | 58.97% | 57.41% | 55.26% | 51.85% | ||||
| Males | 13 (15.85%) | 16 (19.51%) | 23 (28.05%) | 17 (20.73%) | 13 (15.85%) | 82 (100%) | ||
| 56.52% | 41.03% | 42.59% | 44.74% | 48.15% | ||||
| Smoking | Yes | 9 (13.04%) | 17 (24.64%) | 24 (34.78%) | 11 (15.94%) | 8 (11.59%) | 69 (100%) | 0.463 * |
| 39.13% | 43.59% | 44.44% | 28.95% | 29.63% | ||||
| No | 14 (12.50%) | 22 (19.64%) | 30 (26.79%) | 27 (24.11%) | 19 (16.96%) | 112 (100%) | ||
| 60.87% | 56.41% | 55.56% | 71.05% | 70.37% | ||||
| Number of present teeth | Median | 31.00 | 29.00 | 28.00 | 25.00 | 25.00 | - | <0.0005 ** |
| Tooth Wear Index | Median | 1.00 | 1.40 | 1.80 | 2.00 | 2.00 | - | <0.0005 ** |
| Number of teeth with abfraction | Median | 0.00 | 1.00 | 2.00 | 2.00 | 4.00 | - | <0.0005 ** |
| Number of teeth with fractures | Median | 1.00 | 1.00 | 2.00 | 2.00 | 2.00 | - | <0.0005 ** |
| Eichner score | A1 | 9 (16.67%) | 11 (20.37%) | 18 (33.33%) | 12 (22.22%) | 4 (7.41%) | 54 (100%) | <0.0005 * |
| 39.13% | 28.21% | 33.33% | 31.58% | 14.81% | ||||
| A2 | 6 (14.29%) | 5 (11.90%) | 18 (42.86%) | 6 (14.29%) | 7 (16.67%) | 42 (100%) | ||
| 26.09% | 12.82% | 33.33% | 15.79% | 25.93% | ||||
| A3 | 5 (8.77%) | 13 (22.81%) | 13 (22.81%) | 15 (26.32%) | 11 (19.30%) | 57 (100%) | ||
| 21.74% | 33.33% | 24.07% | 39.47% | 40.74% | ||||
| B1 | 1 (10.00%) | 3 (30.00%) | 1 (10.00%) | 1 (10.00%) | 4 (40.00%) | 10 (100%) | ||
| 4.35% | 7.69% | 1.85% | 2.63% | 14.81% | ||||
| B2 | 2 (11.11%) | 7 (38.89%) | 4 (22.22%) | 4 (22.22%) | 1 (5.56%) | 18 (100%) | ||
| 8.70% | 17.95% | 7.41% | 10.53% | 3.70% | ||||
| Hypersensitivity | Yes | 7 (16.67%) | 11 (26.19%) | 13 (30.95%) | 5 (11.90%) | 6 (14.29%) | 42 (100%) | 0.491 * |
| 30.43% | 28.21% | 24.07% | 13.16% | 22.22% | ||||
| No | 16 (11.51%) | 28 (20.14%) | 41 (29.50%) | 33 (23.74%) | 21 (15.11%) | 139 (100%) | ||
| 69.57% | 71.79% | 75.93% | 86.84% | 77.78% | ||||
| Masseter muscle hypertrophy | Yes | 7 (7.00%) | 17 (17.00%) | 36 (36.00%) | 22 (22.00%) | 18 (18.00%) | 100 (100%) | 0.016 * |
| 30.43% | 43.59% | 66.67% | 57.89% | 66.67% | ||||
| No | 16 (19.75%) | 22 (27.16%) | 18 (22.22%) | 16 (19.75%) | 9 (11.11%) | 81 (100%) | ||
| 69.57% | 56.41% | 33.33% | 42.11% | 33.33% | ||||
| Bone apposition score | Without | 4 (5.56%) | 19 (26.39%) | 15 (20.83%) | 18 (25.00%) | 16 (22.22%) | 72 (100%) | 0.030 * |
| 17.39% | 48.72% | 27.78% | 47.37% | 59.26% | ||||
| Moderate | 3 (18.75%) | 3 (18.75%) | 4 (25.00%) | 5 (31.25%) | 1 (6.25%) | 16 (100%) | ||
| 13.04% | 7.69% | 7.41% | 13.16% | 3.70% | ||||
| High | 16 (17.20%) | 17 (18.28%) | 35 (37.63%) | 15 (16.13%) | 10 (10.75%) | 93 (100%) | ||
| 69.57% | 43.59% | 64.81% | 39.47% | 37.04% |
| Parameter | Values | Bruxism | No Bruxism | Total | p * |
|---|---|---|---|---|---|
| 72 Patients | 109 Patients | 181 Patients | |||
| Gender | F | 35 (35.35%) | 64 (64.65%) | 99 (100%) | 0.181 |
| 48.61% | 58.72% | ||||
| M | 37 (45.12%) | 45 (54.88%) | 82 (100%) | ||
| 51.39% | 41.28% | ||||
| Age group (years old) | 20–29 | 16 (69.57%) | 7 (30.43%) | 23 (100%) | 0.055 |
| 22.22% | 6.42% | ||||
| 30–39 | 14 (35.90%) | 25 (64.10%) | 39 (100%) | ||
| 19.44% | 22.94% | ||||
| 40–49 | 22 (40.74%) | 32 (59.26%) | 54 (100%) | ||
| 30.56% | 29.36% | ||||
| 50–59 | 10 (26.32%) | 28 (73.68%) | 38 (100%) | ||
| 13.89% | 25.69% | ||||
| ≥60 | 10 (37.04%) | 17 (62.96%) | 27 (100%) | ||
| 13.89% | 15.60% | ||||
| Smoking | Yes | 25 (36.23%) | 44 (63.77%) | 69 (100%) | 0.483 |
| 34.72% | 40.37% | ||||
| No | 47 (41.96%) | 65 (58.04%) | 112 (100%) | ||
| 65.28% | 59.63% |
| Parameter | Values | Bruxism | No Bruxism | Total | p |
|---|---|---|---|---|---|
| 72 Patients | 109 Patients | 181 Patients | |||
| Number of present teeth | Median | 27.00 | 28.00 | - | 0.425 * |
| Tooth Wear Index | Median | 2.00 | 1.60 | - | <0.0005 * |
| Number of teeth with abfraction | Median | 2.50 | 2.00 | - | 0.001 * |
| Number of teeth with fractures | Median | 2.00 | 1.00 | - | 0.037 * |
| Eichner score | A1 | 19 (35.19%) | 35 (64.81%) | 54 (100%) | |
| 26.39% | 32.11% | ||||
| A2 | 18 (42.86%) | 24 (57.14%) | 42 (100%) | ||
| 25.00% | 22.02% | ||||
| A3 | 24 (42.11%) | 33 (57.89%) | 57 (100%) | 0.942 ** | |
| 33.33% | 30.28% | ||||
| B1 | 4 (40.00%) | 6 (60.00%) | 10 (100%) | ||
| 5.56% | 5.50% | ||||
| B2 | 7 (38.89%) | 11 (61.11%) | 18 (100%) | ||
| 9.72% | 10.09% | ||||
| Hypersensitivity | Yes | 16 (38.10%) | 26 (61.90%) | 42 (100%) | 0.799 ** |
| 22.22% | 23.85% | ||||
| No | 56 (40.29%) | 83 (59.71%) | 139 (100%) | ||
| 77.78% | 76.15% | ||||
| Masseter muscle hypertrophy | Yes | 66 (66.00%) | 34 (34.00%) | 100 (100%) | <0.0005 ** |
| 91.67% | 31.19% | ||||
| No | 6 (7.41%) | 75 (92.59%) | 81 (100%) | ||
| 8.33% | 68.81% | ||||
| Bone apposition score | Without | 6 (8.33%) | 66 (91.67%) | 72 (100%) | <0.0005 ** |
| 8.33% | 60.55% | ||||
| Moderate | 4 (25.00%) | 12 (75.00%) | 16 (100%) | ||
| 5.56% | 11.01% | ||||
| High | 62 (66.67%) | 31 (33.33%) | 93 (100%) | ||
| 86.11% | 28.44% |
| Parameter | Values | Bruxism | No Bruxism | Total | p | Bruxism | No Bruxism | Total | p | ||
|---|---|---|---|---|---|---|---|---|---|---|---|
| 35 Females | 64 Females | 99 Females | 37 Males | 45 Males | 82 Males | ||||||
| Age group | 20–29 | FEMALES | 7 | 3 | 10 | MALES | 9 | 4 | 13 | ||
| 30–39 | 7 | 16 | 23 | 0.088 * | 7 | 9 | 16 | 0.408 * | |||
| 40–49 | 12 | 19 | 31 | 10 | 13 | 23 | |||||
| 50–59 | 4 | 17 | 21 | 6 | 11 | 17 | |||||
| >60 | 5 | 9 | 14 | 5 | 8 | 13 | |||||
| Eichner score | A1 | 7 | 20 | 27 | 12 | 15 | 27 | ||||
| A2 | 10 | 15 | 25 | 0.705 * | 8 | 9 | 17 | 0.805 * | |||
| A3 | 11 | 21 | 32 | 13 | 12 | 25 | |||||
| B1 | 2 | 2 | 4 | 2 | 4 | 6 | |||||
| B2 | 5 | 6 | 11 | 2 | 5 | 7 | |||||
| Hypersensitivity | Yes | 10 | 17 | 27 | 0.830 * | 6 | 9 | 15 | 0.659 * | ||
| No | 25 | 47 | 72 | 31 | 36 | 67 | |||||
| Masseter muscle hypertrophy | Yes | 33 | 20 | 53 | <0.0005 * | 33 | 14 | 47 | <0.0005 * | ||
| No | 2 | 44 | 46 | 4 | 31 | 35 | |||||
| Bone apposition score | Without | 4 | 39 | 43 | <0.0005 * | 2 | 27 | 29 | |||
| Moderate | 3 | 7 | 10 | 1 | 5 | 6 | <0.0005 * | ||||
| High | 28 | 18 | 46 | 34 | 13 | 47 | |||||
| Age | median | 46.00 | 45.50 | - | 0.854 ** | 48.00 | 44.00 | - | 0.105 ** | ||
| Number of present teeth | median | 28.00 | 27.00 | - | 0.497 ** | 27.00 | 30.00 | - | 0.043 ** | ||
| Tooth wear index | median | 1.80 | 1.60 | - | 0.010 ** | 2.00 | 1.60 | - | <0.0005 ** | ||
| Number of teeth with abfraction | median | 3.00 | 2.00 | - | 0.003 ** | 2.00 | 1.00 | - | 0.042 ** | ||
| Number of teeth with fractures | median | 2.00 | 1.00 | - | 0.074 ** | 2.00 | 2.00 | - | 0.260 ** |
| Parameter | Values | B | NoB | Total | p | B | NoB | Total | p | B | NoB | Total | p | B | NoB | Total | p | B | NoB | Total | p | |||||
|---|---|---|---|---|---|---|---|---|---|---|---|---|---|---|---|---|---|---|---|---|---|---|---|---|---|---|
| 16 pt | 7 pt | 23 pt | 14 pt | 25 pt | 39 pt | 22 pt | 32 pt | 54 pt | 10 pt | 28 pt | 38 pt | 10 pt | 17 pt | 27 pt | ||||||||||||
| Gender | F | 20–29 years old | 7 | 3 | 10 | 0.968 * | 30–39 years old | 7 | 16 | 23 | 0.394 * | 40–49 years old | 12 | 19 | 31 | 0.724 * | 50–59 years old | 4 | 17 | 21 | 0.258 * | ≥60 years old | 5 | 9 | 14 | 0.883 * |
| M | 9 | 4 | 13 | 7 | 9 | 16 | 10 | 13 | 23 | 6 | 11 | 17 | 5 | 8 | 13 | |||||||||||
| Eichner score | A1 | 6 | 3 | 9 | 3 | 8 | 11 | 5 | 13 | 18 | 4 | 8 | 12 | 1 | 3 | 4 | ||||||||||
| A2 | 4 | 2 | 6 | 0.892 * | 1 | 4 | 5 | 0.799 * | 9 | 9 | 18 | 0.475 * | 1 | 5 | 6 | 0.917 * | 3 | 4 | 7 | 0.823 * | ||||||
| A3 | 4 | 1 | 5 | 6 | 7 | 13 | 5 | 8 | 13 | 4 | 11 | 15 | 5 | 6 | 11 | |||||||||||
| B1 | 1 | 0 | 1 | 1 | 2 | 3 | 1 | 0 | 1 | 0 | 1 | 1 | 1 | 3 | 4 | |||||||||||
| B2 | 1 | 1 | 2 | 3 | 4 | 7 | 2 | 2 | 4 | 1 | 3 | 4 | 0 | 1 | 1 | |||||||||||
| Hypersensitivity | Yes | 5 | 2 | 7 | 0.898 * | 2 | 9 | 11 | 0.266 * | 5 | 8 | 13 | 0.848 * | 2 | 3 | 5 | 0.456 * | 2 | 4 | 6 | 0.831 * | |||||
| No | 11 | 5 | 16 | 12 | 16 | 28 | 17 | 24 | 41 | 8 | 25 | 33 | 8 | 13 | 21 | |||||||||||
| Masseter muscle hypertrophy | Yes | 16 | 1 | 17 | <0.0005 * | 14 | 4 | 18 | <0.0005 * | 20 | 18 | 38 | 0.006 * | 7 | 9 | 16 | 0.037* | 9 | 2 | 11 | <0.0005 * | |||||
| No | 0 | 6 | 6 | 0 | 21 | 21 | 2 | 14 | 16 | 3 | 19 | 22 | 1 | 15 | 16 | |||||||||||
| Bone apposition score | Without | 1 | 3 | 4 | 0.018 * | 0 | 19 | 19 | 2 | 13 | 15 | 2 | 16 | 18 | 1 | 15 | 16 | |||||||||
| Moderate | 1 | 2 | 3 | 0 | 3 | 3 | <0.0005 * | 1 | 3 | 4 | 0.021 * | 1 | 4 | 5 | 0.065 * | 1 | 0 | 1 | <0.0005 * | |||||||
| High | 14 | 2 | 16 | 14 | 3 | 17 | 19 | 16 | 35 | 7 | 8 | 15 | 8 | 2 | 10 | |||||||||||
| Number of present teeth | median | 30.00 | 31.50 | - | 0.579 ** | 29.00 | 29.50 | - | 0.988 ** | 27.00 | 29.00 | - | 0.305 ** | 26.00 | 25.00 | - | 0.649 ** | 25.00 | 25.00 | - | 0.720 ** | |||||
| Tooth wear index | median | 1.40 | 1.00 | - | 0.624 ** | 1.80 | 1.40 | - | 0.009 ** | 1.80 | 1.60 | - | 0.044 ** | 2.00 | 2.00 | - | 0.006 ** | 2.60 | 1.90 | - | 0.005 ** | |||||
| Number of teeth with abfraction | median | 0.00 | 0.00 | - | 0.413 ** | 2.00 | 0.00 | - | 0.021 ** | 3.00 | 2.00 | - | 0.057 ** | 2.00 | 2.00 | - | 0.465 ** | 4.00 | 2.00 | - | 0.076 ** | |||||
| Number of teeth with fractures | median | 1.00 | 1.50 | - | 0.278 ** | 2.00 | 1.00 | - | 0.142 ** | 2.00 | 2.00 | - | 0.226 ** | 2.00 | 2.00 | - | 0.222 ** | 1.50 | 2.00 | - | 0.488 ** |
| Parameter | B 1 | Sig | Exp(B) | CI Interval for Exp(B) | |
|---|---|---|---|---|---|
| Lower | Upper | ||||
| Gender | 0.785 | 0.085 | 2.191 | 0.897 | 5.351 |
| Hypersensitivity | 0.398 | 0.425 | 1.489 | 0.561 | 3.953 |
| Masseter muscle hypertrophy | 2.740 | <0.0005 | 15.481 | 4.457 | 53.765 |
| Bone apposition score | 0.978 | 0.044 | 2.658 | 1.029 | 6.869 |
| Age | −0.068 | 0.010 | 0.934 | 0.887 | 0.984 |
| Number of present teeth | 0.016 | 0.831 | 1.016 | 0.876 | 1.179 |
| Tooth wear index | 1.858 | 0.010 | 6.411 | 1.545 | 26.609 |
| Number of teeth with abfraction | 0.251 | 0.044 | 1.286 | 1.006 | 1.643 |
| Number of teeth with fractures | −0.256 | 0.168 | 0.774 | 0.538 | 1.114 |
Disclaimer/Publisher’s Note: The statements, opinions and data contained in all publications are solely those of the individual author(s) and contributor(s) and not of MDPI and/or the editor(s). MDPI and/or the editor(s) disclaim responsibility for any injury to people or property resulting from any ideas, methods, instructions or products referred to in the content. |
© 2025 by the authors. Licensee MDPI, Basel, Switzerland. This article is an open access article distributed under the terms and conditions of the Creative Commons Attribution (CC BY) license (https://creativecommons.org/licenses/by/4.0/).
Share and Cite
Popescu, A.M.; Ionescu, M.; Popescu, S.M.; Ionescu, A.G.; Vlăduțu, D.E.; Iacov-Crăițoiu, M.M.; Ștefârță, A.; Lascu, L.C.; Mercuț, V. Oral Clinical and Radiological Signs of Excessive Occlusal Forces in Bruxism. Diagnostics 2025, 15, 702. https://doi.org/10.3390/diagnostics15060702
Popescu AM, Ionescu M, Popescu SM, Ionescu AG, Vlăduțu DE, Iacov-Crăițoiu MM, Ștefârță A, Lascu LC, Mercuț V. Oral Clinical and Radiological Signs of Excessive Occlusal Forces in Bruxism. Diagnostics. 2025; 15(6):702. https://doi.org/10.3390/diagnostics15060702
Chicago/Turabian StylePopescu, Adrian Marcel, Mihaela Ionescu, Sanda Mihaela Popescu, Alin Gabriel Ionescu, Diana Elena Vlăduțu, Monica Mihaela Iacov-Crăițoiu, Alexandru Ștefârță, Luana Corina Lascu, and Veronica Mercuț. 2025. "Oral Clinical and Radiological Signs of Excessive Occlusal Forces in Bruxism" Diagnostics 15, no. 6: 702. https://doi.org/10.3390/diagnostics15060702
APA StylePopescu, A. M., Ionescu, M., Popescu, S. M., Ionescu, A. G., Vlăduțu, D. E., Iacov-Crăițoiu, M. M., Ștefârță, A., Lascu, L. C., & Mercuț, V. (2025). Oral Clinical and Radiological Signs of Excessive Occlusal Forces in Bruxism. Diagnostics, 15(6), 702. https://doi.org/10.3390/diagnostics15060702

