Sign in to use this feature.

Years

Between: -

Subjects

remove_circle_outline
remove_circle_outline
remove_circle_outline
remove_circle_outline
remove_circle_outline
remove_circle_outline

Journals

Article Types

Countries / Regions

Search Results (8)

Search Parameters:
Keywords = human normal liver cell lines L-O2

Order results
Result details
Results per page
Select all
Export citation of selected articles as:
17 pages, 1311 KB  
Article
Antitumor Effects and the Potential Mechanism of 10-HDA against SU-DHL-2 Cells
by Yuanyuan Tian, Xiaoqing Liu, Jie Wang, Chuang Zhang and Wenchao Yang
Pharmaceuticals 2024, 17(8), 1088; https://doi.org/10.3390/ph17081088 - 20 Aug 2024
Cited by 4 | Viewed by 4141
Abstract
10-hydroxy-2-decenoic acid (10-HDA), which is a unique bioactive fatty acid of royal jelly synthesized by nurse bees for larvae and adult queen bees, is recognized for its dual utility in medicinal and nutritional applications. Previous research has indicated that 10-HDA exerts antitumor effects [...] Read more.
10-hydroxy-2-decenoic acid (10-HDA), which is a unique bioactive fatty acid of royal jelly synthesized by nurse bees for larvae and adult queen bees, is recognized for its dual utility in medicinal and nutritional applications. Previous research has indicated that 10-HDA exerts antitumor effects on numerous tumor cell lines, including colon cancer cells, A549 human lung cancer cells, and human hepatoma cells. The present study extends this inquiry to lymphoma, specifically evaluating the impact of 10-HDA on the SU-DHL-2 cell line. Our findings revealed dose-dependent suppression of SU-DHL-2 cell survival, with an IC50 of 496.8 μg/mL at a density of 3 × 106 cells/well after 24 h. For normal liver LO2 cells and human fibroblasts (HSFs), the IC50 values were approximately 1000 μg/mL and over 1000 μg/mL, respectively. The results of label-free proteomics revealed 147 upregulated and 347 downregulated differentially expressed proteins that were significantly enriched in the complement and coagulation cascades pathway (adjusted p-value = 0.012), including the differentially expressed proteins prothrombin, plasminogen, plasminogen, carboxypeptidase B2, fibrinogen beta chain, fibrinogen gamma chain, and coagulation factor V. The top three hub proteins, ribosomal protein L5, tumor protein p53, and ribosomal protein L24, were identified via protein–protein interaction (PPI) analysis. This result showed that the complement and coagulation cascade pathways might play a key role in the antitumor process of 10-HDA, suggesting a potential therapeutic avenue for lymphoma treatment. However, the specificity of the effect of 10-HDA on SU-DHL-2 cells warrants further investigation. Full article
Show Figures

Figure 1

22 pages, 3707 KB  
Article
Chemo-/Regio-Selective Synthesis of Novel Functionalized Spiro[pyrrolidine-2,3′-oxindoles] under Microwave Irradiation and Their Anticancer Activity
by Richa Sharma, Lalit Yadav, Ali Adnan Nasim, Ravi Kant Yadav, Rui Hong Chen, Neha Kumari, Fan Ruiqi, Ashoke Sharon, Nawal Kishore Sahu, Sirish Kumar Ippagunta, Paolo Coghi, Vincent Kam Wai Wong and Sandeep Chaudhary
Molecules 2023, 28(18), 6503; https://doi.org/10.3390/molecules28186503 - 7 Sep 2023
Cited by 14 | Viewed by 3241
Abstract
A novel series of nitrostyrene-based spirooxindoles were synthesized via the reaction of substituted isatins 1ab, a number of α-amino acids 2ae and (E)-2-aryl-1-nitroethenes 3ae in a chemo/regio-selective manner using [3+2] cycloaddition (Huisgen) reaction under microwave irradiation [...] Read more.
A novel series of nitrostyrene-based spirooxindoles were synthesized via the reaction of substituted isatins 1ab, a number of α-amino acids 2ae and (E)-2-aryl-1-nitroethenes 3ae in a chemo/regio-selective manner using [3+2] cycloaddition (Huisgen) reaction under microwave irradiation conditions. The structure elucidation of all the synthesized spirooxindoles were done using 1H and 13C NMR and HRMS spectral analysis. The single crystal X-ray crystallographic study of compound 4l was used to assign the stereochemical arrangements of the groups around the pyrrolidine ring in spiro[pyrrolidine-2,3′-oxindoles] skeleton. The in vitro anticancer activity of spiro[pyrrolidine-2,3′-oxindoles] analogs 4aw against human lung (A549) and liver (HepG2) cancer cell lines along with immortalized normal lung (BEAS-2B) and liver (LO2) cell lines shows promising results. Out of the 23 synthesized spiro[pyrrolidine-2,3′-oxindoles], while five compounds (4c, 4f, 4m, 4q, 4t) (IC50 = 34.99–47.92 µM; SI = 0.96–2.43) displayed significant in vitro anticancer activity against human lung (A549) cancer cell lines, six compounds (4c, 4f, 4k, 4m, 4q, 4t) (IC50 = 41.56–86.53 µM; SI = 0.49–0.99) displayed promising in vitro anticancer activity against human liver (HepG2) cancer cell lines. In the case of lung (A549) cancer cell lines, these compounds were recognized to be more efficient and selective than standard reference artemisinin (IC50 = 100 µM) and chloroquine (IC50 = 100 µM; SI: 0.03). However, none of them were found to be active as compared to artesunic acid [IC50 = 9.85 µM; SI = 0.76 against lung (A549) cancer cell line and IC50 = 4.09 µM; SI = 2.01 against liver (HepG2) cancer cell line]. Full article
Show Figures

Graphical abstract

15 pages, 4549 KB  
Article
Assessment of the Antimicrobial and Antiproliferative Activities of Chloropyrazine-Tethered Pyrimidine Derivatives: In Vitro, Molecular Docking, and In-Silico Drug-Likeness Studies
by Richie R. Bhandare and Afzal Basha Shaik
Appl. Sci. 2021, 11(22), 10734; https://doi.org/10.3390/app112210734 - 14 Nov 2021
Cited by 21 | Viewed by 4162
Abstract
Molecular hybridization (MH) of heterocyclic rings has enabled scientists to design and develop novel drugs and drug-like candidates. In our previous work, considering the importance of MH, we synthesized different kinds of chloropyrazine-tethered pyrimidine derivatives (2240) containing either substituted [...] Read more.
Molecular hybridization (MH) of heterocyclic rings has enabled scientists to design and develop novel drugs and drug-like candidates. In our previous work, considering the importance of MH, we synthesized different kinds of chloropyrazine-tethered pyrimidine derivatives (2240) containing either substituted phenyl or heteroaryl rings at position-6 of the pyrimidine ring and evaluated their antitubercular activity. Herein, we report the antimicrobial and antiproliferative activities of 2240. The antiproliferative activity of the target hybrids was superior to the antimicrobial activity. However, some compounds showed greater antimicrobial activity than the standard drugs. For instance, among the nineteen derivatives, compound 31 containing a 2″,4″-dichlorophenyl ring, showed the most potent antibacterial and antifungal activities (MIC 45.37 µM), followed by compounds 25 and 30 bearing 4″-nitrophenyl and 2″,4″-difluorophenyl scaffolds with minimum inhibitory concentrations (MIC) values of 48.67 µM and 50.04 µM, respectively. Compound 35, containing a bioisosteric 2″-pyridinyl ring, showed the most potent antiproliferative activity against the prostate cancer cell line (DU-145) with an IC50 value of 5 ± 1 µg/mL. Additional testing of compounds 2240 on human normal liver cells (LO2) indicated that the compounds were more selective to cancer cell lines over normal cells. Further, molecular docking of the most potent compound 35 against dihydrofolate reductase (DHFR) (PDB ID: 1U72) had a good binding affinity with a docking score of −6.834. The SwissADME program estimated the drug-likeness properties of compound 35. Hybrid 35 is a potential lead molecule for the development of new anticancer drugs, whereas 31 is a promising antimicrobial lead candidate. Full article
Show Figures

Figure 1

11 pages, 3927 KB  
Article
Involvement of Reactive Oxygen Species in the Hepatorenal Toxicity of Actinomycin V In Vitro and In Vivo
by Fu-juan Jia, Zhuo Han, Jia-hui Ma, Shi-qing Jiang, Xing-ming Zhao, Hang Ruan, Wei-dong Xie and Xia Li
Mar. Drugs 2020, 18(8), 428; https://doi.org/10.3390/md18080428 - 15 Aug 2020
Cited by 7 | Viewed by 3341
Abstract
The high toxicity of actinomycin D (Act D) severely limits its use as a first-line chemotherapeutic agent in the clinic. Actinomycin V (Act V), an analog of Act D, exhibited strong anticancer activity in our previous studies. Here, we provide evidence that Act [...] Read more.
The high toxicity of actinomycin D (Act D) severely limits its use as a first-line chemotherapeutic agent in the clinic. Actinomycin V (Act V), an analog of Act D, exhibited strong anticancer activity in our previous studies. Here, we provide evidence that Act V has less hepatorenal toxicity than Act D in vitro and in vivo, associated with the reactive oxygen species (ROS) pathway. Compared to Act D, Act V exhibited considerably stronger sensitivity for cancer cells and less toxicity to human normal liver LO-2 and human embryonic kidney 293T cells using the MTT (3-(4,5-dimethyl-2-thiazolyl)-2,5-diphenyl-2-H-tetrazolium bromide) assay. Notably, Act V caused less damage to both the liver and kidney than Act D in vivo, indicated by organ to body weight ratios, as well as alanine aminotransferase (ALT), aspartate aminotransferase (AST), and serum creatinine (Scr) levels. Further experiments showed that the ROS pathway is involved in Act V-induced hepatorenal toxicity. Act V generates ROS and accumulates malondialdehyde (MDA), reducing levels of superoxide dismutase (SOD) and glutathione (GSH) in LO-2 and 293T cells. These findings indicate that Act V induces less hepatorenal toxicity than Act D in vitro and in vivo and merits further development as a potential therapeutic agent for the treatment of cancer. Full article
Show Figures

Figure 1

11 pages, 2005 KB  
Article
Improving Dissolution and Cytotoxicity by Forming Multidrug Crystals
by Xufei Bian, Lan Jiang, Jing Zhou, Xiaoshu Guan, Jingyu Wang, Peng Xiang, Junyi Pan and Xiangnan Hu
Molecules 2020, 25(6), 1343; https://doi.org/10.3390/molecules25061343 - 16 Mar 2020
Cited by 7 | Viewed by 3117
Abstract
Both rosiglitazone and metformin have effects on blood glucose regulation and the proliferation of liver cancer cells. Combination therapy with these two drugs is common and effective for the treatment of diabetes in the clinic, however, the application of these two drugs is [...] Read more.
Both rosiglitazone and metformin have effects on blood glucose regulation and the proliferation of liver cancer cells. Combination therapy with these two drugs is common and effective for the treatment of diabetes in the clinic, however, the application of these two drugs is influenced by the poor dissolution of rosiglitazone and the gastrointestinal side-effect of metformin resulting from a high solubility. The formation of a multidrug crystal form (Rsg-Met) by a solvent evaporation method can solve the solubility issue. Crystal structure data and intramolecular hydrogen bonds were detected by X-ray diffraction and infrared spectroscopy. Surprisingly, Rsg-Met shortens the time spent in solubility equilibrium and multiplies the dissolution rate of Rsg. Finally, we found that a low concentration of Rsg-Met enhanced the proliferation inhibition effect on liver cancer cells (HepG2, SK-hep1) compared with rosiglitazone, without affecting the human normal cell line LO2. Full article
(This article belongs to the Section Medicinal Chemistry)
Show Figures

Figure 1

23 pages, 4997 KB  
Article
Design, Synthesis, and Evaluation of Novel 2-Methoxyestradiol Derivatives as Apoptotic Inducers through an Intrinsic Apoptosis Pathway
by Li-Xin Sheng, Jiang-Yu Zhang, Li Li, Xiao Xie, Xiao-An Wen and Ke-Guang Cheng
Biomolecules 2020, 10(1), 123; https://doi.org/10.3390/biom10010123 - 10 Jan 2020
Cited by 4 | Viewed by 4123
Abstract
In order to discover novel derivatives in the anti-tumor field, reported anti-tumor pharmacophores (uridine, uracil, and thymine) were combined with 2-methoxyestradiol, which has been characterized as having excellent biological properties in terms of anti-tumor activity. Thus, 20 hybrids were synthesized through etherification at [...] Read more.
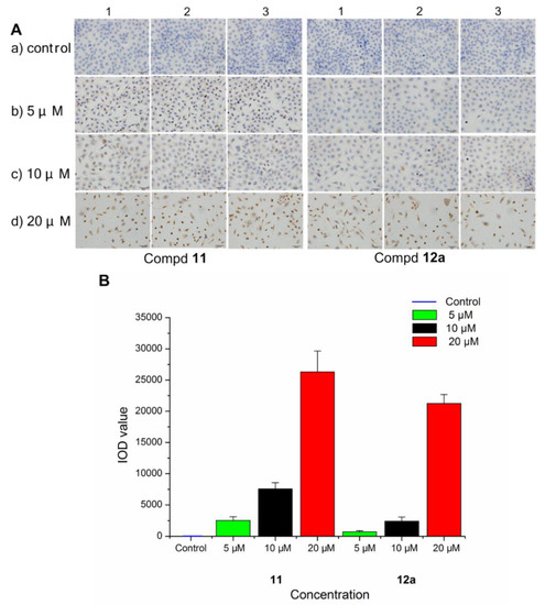
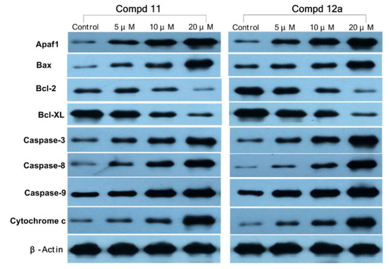
In order to discover novel derivatives in the anti-tumor field, reported anti-tumor pharmacophores (uridine, uracil, and thymine) were combined with 2-methoxyestradiol, which has been characterized as having excellent biological properties in terms of anti-tumor activity. Thus, 20 hybrids were synthesized through etherification at the 17β-OH or 3-phenolic hydroxyl group of 2-methoxyestradiol, and evaluated for their biological activities against the human breast adenocarcinoma MCF-7 cell lines, human breast cancer MDA-MB-231 cell lines, and the normal human liver L-O2 cell lines. As a result, all the uridine derivatives and single-access derivatives of uracil/thymine possessed good anti-proliferative activity against tested tumor cells (half maximal inhibitory concentration values from 3.89 to 19.32 µM), while only one dual-access derivative (21b) of thymine possessed good anti-proliferative activity (half maximal inhibitory concentration ≈ 25 µM). Among them, the uridine derivative 11 and the single-access derivative of uracil 12a possessed good anti-proliferative selectivity against tested tumor cells. Furthermore, basic mechanism studies revealed that hybrids 11 and 12a could induce apoptosis in MCF-7 cells through mitochondrial pathway. These hybrids induced morphological changes in MCF-7 cells, causing mitochondrial depolarization. These two hybrids also had the following effects: arrest of the cell cycle at the G2 phase; up regulation of Apaf-1, Bax, and cytochrome c; down regulation of Bcl-2 and Bcl-xL for both mRNA and protein; and increase of the expression for caspase-8 and -9. Finally, apoptotic effector caspase-3 was increased, which eventually caused nuclear apoptosis at least through an intrinsic pathway in the mitochondria. Additionally, hybrids 11 and 12a could specifically bind to estradiol receptor alpha in a dose-dependent manner. Full article
(This article belongs to the Section Chemical Biology)
Show Figures

Graphical abstract

17 pages, 1514 KB  
Article
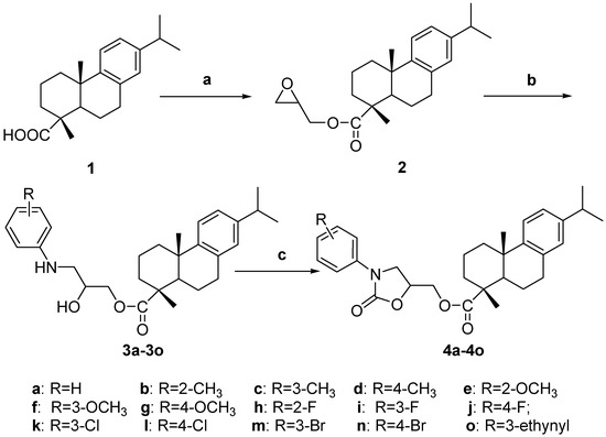
Synthesis and Biological Evaluation of Novel Dehydroabietic Acid-Oxazolidinone Hybrids for Antitumor Properties
by Xiu Wang, Fu-Hua Pang, Lin Huang, Xin-Ping Yang, Xian-Li Ma, Cai-Na Jiang, Fang-Yao Li and Fu-Hou Lei
Int. J. Mol. Sci. 2018, 19(10), 3116; https://doi.org/10.3390/ijms19103116 - 11 Oct 2018
Cited by 24 | Viewed by 3726
Abstract
Novel representatives of the important group of biologically-active, dehydroabietic acid-bearing oxazolidinone moiety were synthesized to explore more efficacious and less toxic antitumor agents. Structures of all the newly target molecules were confirmed by IR, 1H-NMR, 13C-NMR, and HR-MS. The inhibitory activities [...] Read more.
Novel representatives of the important group of biologically-active, dehydroabietic acid-bearing oxazolidinone moiety were synthesized to explore more efficacious and less toxic antitumor agents. Structures of all the newly target molecules were confirmed by IR, 1H-NMR, 13C-NMR, and HR-MS. The inhibitory activities of these compounds against different human cancer cell lines (MGC-803, CNE-2, SK-OV-3, NCI-H460) and human normal liver cell line LO2 were evaluated and compared with the commercial anticancer drug cisplatin, using standard MTT (methyl thiazolytetrazolium) assay in vitro. The pharmacological screening results revealed that most of the hybrids showed significantly improved antiproliferative activities over dehydroabietic acid and that some displayed better inhibitory activities compared to cisplatin. In particular, compound 4j exhibited promising cytotoxicity with IC50 values ranging from 3.82 to 17.76 µM against all the test cell lines and displayed very weak cytotoxicity (IC50 > 100 µM) on normal cells, showing good selectivity between normal and malignant cells. Furthermore, the action mechanism of the representative compound 4j was preliminarily investigated by Annexin-V/PI dual staining, Hoechst 33258 staining, which indicated that the compound can induce cell apoptosis in MGC-803 cells in a dose-dependent manner and arrest the cell cycle in G1 phase. Therefore, 4j may be further exploited as a novel pharmacophore model for the development of anticancer agents. Full article
(This article belongs to the Section Bioactives and Nutraceuticals)
Show Figures

Graphical abstract

13 pages, 356 KB  
Article
Bio-Guided Isolation of the Cytotoxic Terpenoids from the Roots of Euphorbia kansui against Human Normal Cell Lines L-O2 and GES-1
by Li Zhang, Lan Gao, Zhengjun Li, Xiaojing Yan, Yanjing Yang, Yuping Tang, Yudan Cao and Anwei Ding
Int. J. Mol. Sci. 2012, 13(9), 11247-11259; https://doi.org/10.3390/ijms130911247 - 10 Sep 2012
Cited by 62 | Viewed by 8227
Abstract
The dried roots of Euphorbia kansui (kansui) have been used for centuries in China as a herbal medicine for edema, ascites, and asthma. The 95% ethanol extract showed a significant inhibition of cell proliferation against human normal cell lines L-O2 and GES-1. Bioassay-guided [...] Read more.
The dried roots of Euphorbia kansui (kansui) have been used for centuries in China as a herbal medicine for edema, ascites, and asthma. The 95% ethanol extract showed a significant inhibition of cell proliferation against human normal cell lines L-O2 and GES-1. Bioassay-guided separation of the 95% ethanol extract from the roots of E. kansui led to the isolation of 12 diverse terpenoids whose structures were identified by 1H, 13C NMR spectroscopy and ESI-MS as kansuinine A (1), kansuinine B (2), kansuinine C (3), kansuiphorin C (4), 3-O-(2'E,4'Z-decadienoyl)-20-O-acetylingenol (5), 3-O-(2'E,4'E-decadienoyl)-20-O-acetylingenol (6), 3-O-(2'E,4'Z-decadienoyl)-20-deoxyingenol (7), 3-O-benzoyl-20-deoxyingenol (8), 5-O-benzoyl-20-deoxyingenol (9), kansenone (10), epi-kansenone (11), euphol (12). All these 12 terpernoids were evaluated in vitro for cytotoxicity on L-O2 and GES-1 cell lines. Most ingenane-type diterpenoids and 8-ene-7-one triterpenoids (511) exhibited a relatively lower IC50 value; therefore, these compounds had stronger cytotoxicity against human normal cell lines L-O2 and GES-1 with dose-dependent relationships. These results will be significantly helpful to reveal the mechanism of toxicity of kansui and to effectively guide safer clinical application of this herb. Full article
(This article belongs to the Section Biochemistry)
Show Figures

Back to TopTop