Design, Synthesis, and Evaluation of Novel 2-Methoxyestradiol Derivatives as Apoptotic Inducers through an Intrinsic Apoptosis Pathway
Abstract
1. Introduction
2. Materials and Methods
2.1. Chemicals and Biology
2.2. General Procedure for the Synthesis of 2-Methoxy-3-Benzyloxy-Estra-1,3,5 (10)-Triene-17β-ol (5)
2.3. General Procedure I for Etherification at 17β-OH from Compound 5
2.3.1. 17 β-(6-Bromohexyloxy)-2-Methoxy-3-Benzyloxy-Estra-1,3,5(10)-Triene (6)
2.3.2. 17 β-(8-Bromooctyloxy)-2-Methoxy-3-Benzyloxy-Estra-1,3,5(10)-Triene (7)
2.4. General Procedure II for Deprotection of the Benzyl Group
2.4.1. 17 β-(6-Bromohexyloxy)-2-Methoxy-Estra-1,3,5(10)-Triene-3-ol (8)
2.4.2. 17 β-(8-Bromooctyloxy)-2-Methoxy-Estra-1,3,5(10)-Triene-3-ol (9)
2.5. General Procedure III for N-Alkylation of Uridine/Uracil/Thymine
2.5.1. 17 β-[6-(1-β-d-Ribofuranosyluracil-3-yl)-Hexyloxy]-2-Methoxy-Estra-1,3,5(10)-Triene-3-ol (10)
2.5.2. 17 β-[8-(1-β-d-Ribofuranosyluracil-3-yl)-Octyloxy]-2-Methoxy-Estra-1,3,5(10)-Triene-3-ol (11)
2.5.3. 17 β-[6-(Uracil-3-yl)-Hexyloxy]-2-Methoxy-Estra-1,3,5(10)-Triene-3-ol (12a) and 1,3-bis-{6-[2-Methoxy-3-Hydroxy-Estra-1,3,5(10)-Triene-17β-yl-oxy]-Hexyl}-Uracil (12b)
2.5.4. 17 β-[6-(5-Methyl-Uracil-3-yl)-Hexyloxy]-2-Methoxy-Estra-1,3,5(10)-Triene-3-ol (13a) and 1,3-Bis-{6-[2-Methoxy-3-Hydroxy-Estra-1,3,5(10)-Triene-17β-yl-oxy]-Hexyl}-5-Methyl-Uracil (13b)
2.5.5. 17 β-[8-(Uracil-3-yl)-Octyloxy]-2-Methoxy-Estra-1,3,5(10)-Triene-3-ol (14a) and 1,3-Bis-{8-[2-Methoxy-3-Hydroxy-Estra-1,3,5(10)-Triene-17β-yl-Oxy]-Octyl}-Uracil (14b)
2.5.6. 17 β-[8-(5-Methyl-Uracil-3-yl)-Octyloxy]-2-Methoxy-Estra-1,3,5(10)-Triene-3-ol (15a) and 1,3-bis-{8-[2-Methoxy-3-Hydroxy-Estra-1,3,5(10)-Triene-17β-yl-oxy]-Octyl}-5-Methyl-Uracil (15b)
2.6. General Procedure IV for Etherification at 3-Phenolic Hydroxyl
2.6.1. 2-Methoxy-3-(6-Bromohexyloxy)-Estra-1,3,5 (10)-Triene-17β-ol (16)
2.6.2. 2-Methoxy-3-(8-Bromooctyloxy)-Estra-1,3,5 (10)-Triene-17β-ol (17)
2.7. According to General Procedure III to Afford Compounds 18–23a/23b
2.7.1. 3-[6-(1-β-d-Ribofuranosyluracil-3-yl)-Hexyloxy]-2-Methoxy-Estra-1,3,5(10)-Triene-17β-ol (18)
2.7.2. 3-[8-(1-β-d-Ribofuranosyluracil-3-yl)-Octyloxy]-2-Methoxy-Estra-1,3,5(10)-Triene-17β-ol (19)
2.7.3. 3-[6-(Uracil-3-yl)-Hexyloxy]-2-Methoxy-Estra-1,3,5(10)-Triene-17β-ol (20a) and 1,3-Bis-{6-[2-Methoxy-17β-Hydroxy-Estra-1,3,5(10)-Triene-3-yl-Oxy]-Hexyl}-Uracil (20b)
2.7.4. 3-[6-(5-Methyl-Uracil-3-yl)-Hexyloxy]-2-Methoxy-Estra-1,3,5(10)-Triene-17β-ol (21a) and 1,3-bis-{6-[2-Methoxy-17β-Hydroxy-Estra-1,3,5(10)-Triene-3-yl-oxy]-Hexyl}-5-Methyl-Uracil (21b)
2.7.5. 3-[8-(Uracil-3-yl)-Octyloxy]-2-Methoxy-Estra-1,3,5(10)-Triene-17β-ol (22a) and 1,3-Bis-{8-[2-Methoxy-17β-Hydroxy-Estra-1,3,5(10)-Triene-3-yl-Oxy]-Octyl}-Uracil (22b)
2.7.6. 3-[8-(5-Methyl-Uracil-3-yl)-Octyloxy]-2-Methoxy-Estra-1,3,5(10)-Triene-17β-ol (23a) and 1,3-bis-{8-[2-Methoxy-17β-Hydroxy-Estra-1,3,5(10)-Triene-3-yl-Oxy]-octyl}-5-Methyl-Uracil (23b)
2.8. In Vitro Cytotoxicity
2.9. Hoechst 33,258 Staining
2.10. Mitochondrial Membrane Potential Analysis
2.11. Cell Cycle Assay
2.12. Cell Apoptosis Analysis
2.13. Immunohistochemical (IHC) Analysis
2.14. Real-Time Polymerase Chain Reaction
- 1
- GAPDH (human): primer (122 bp),
- Sense primer: 5′ ATCATCCCTGCCTCTACTGG 3’
- Antisense primer: 5′ GTCAGGTCCACCACTGACAC 3′
- 2
- Apaf-1 (human): primer (134 bp),
- Sense primer: 5′ TTCAGCAGAAGCTCTCCAAA 3′
- Antisense primer: 5′ CCCTGGGAAACAACCTTCTA 3′
- 3
- Bax (human): primer (112 bp),
- Sense primer: 5 ′TTGCTTCAGGGTTTCATCC 3′
- Antisense primer: 5′ GACACTCGCTCAGCTTCTTG 3′
- 4
- Bcl-2 (human): primer (116 bp),
- Sense primer: 5′ GGCCTCTGTTTGATTTCTCC 3′
- Antisense primer: 5′ GCAGGCATGTTGACTTCACT 3′
- 5
- Bcl-xL (human): primer (124 bp),
- Sense primer: 5′ CTATGGGAACAATGCAGCAG 3′
- Antisense primer: 5′ TGGTCATTTCCGACTGAAGA 3′
- 6
- Caspase-3 (human): primer (131 bp),
- Sense primer: 5′ AGCACTGGAATGACATCTCG 3′
- Antisense primer: 5′ CGCATCAATTCCACAATTTC 3′
- 7
- Caspase-8 (human): primer (122 bp),
- Sense primer: 5′ CTCCAAATGCAAACTGGATG 3′
- Antisense primer: 5′ TGTTGATTTGGGCACAGACT 3′
- 8
- Caspase-9 (human): primer (136 bp),
- Sense primer: 5′ AGACCCAGGTCCAGATGAAG 3′
- Antisense primer: 5′ TTTCTGGGAAGGGACAGAAG 3′
- 9
- Cytochrome c (human): primer (127 bp),
- Sense primer: 5′ GACTCCTGACCTCGTGATCC 3′
- Antisense primer: 5′ TCTGTGCCAACACAGACCTT 3′
2.15. Western Blotting
2.16. Modeling
3. Results and Discussion
3.1. Synthesis
3.2. Biological Evaluation
3.2.1. In Vitro Cytotoxicity
3.2.2. Hoechst 33258 Staining
3.2.3. Mitochondrial Membrane Potential Analysis
3.2.4. Cell Cycle Analysis
3.2.5. Cell Apoptosis Analysis
3.2.6. Immunohistochemical Analysis
3.2.7. Real-Time Polymerase Chain Reaction Analysis
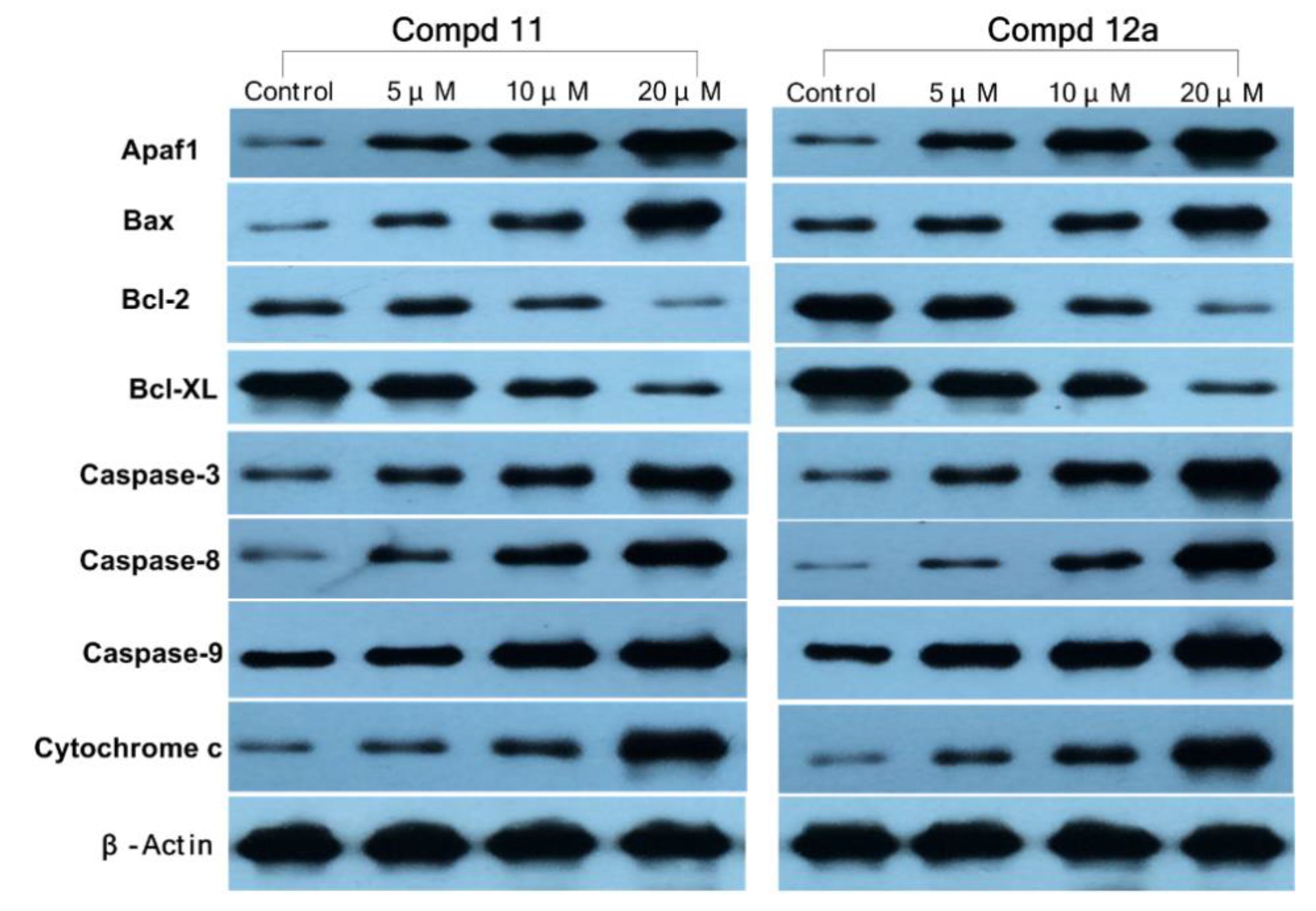
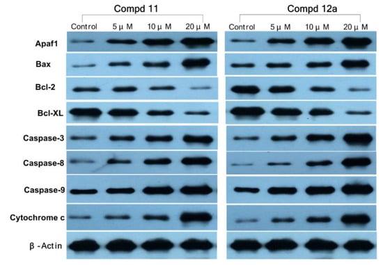
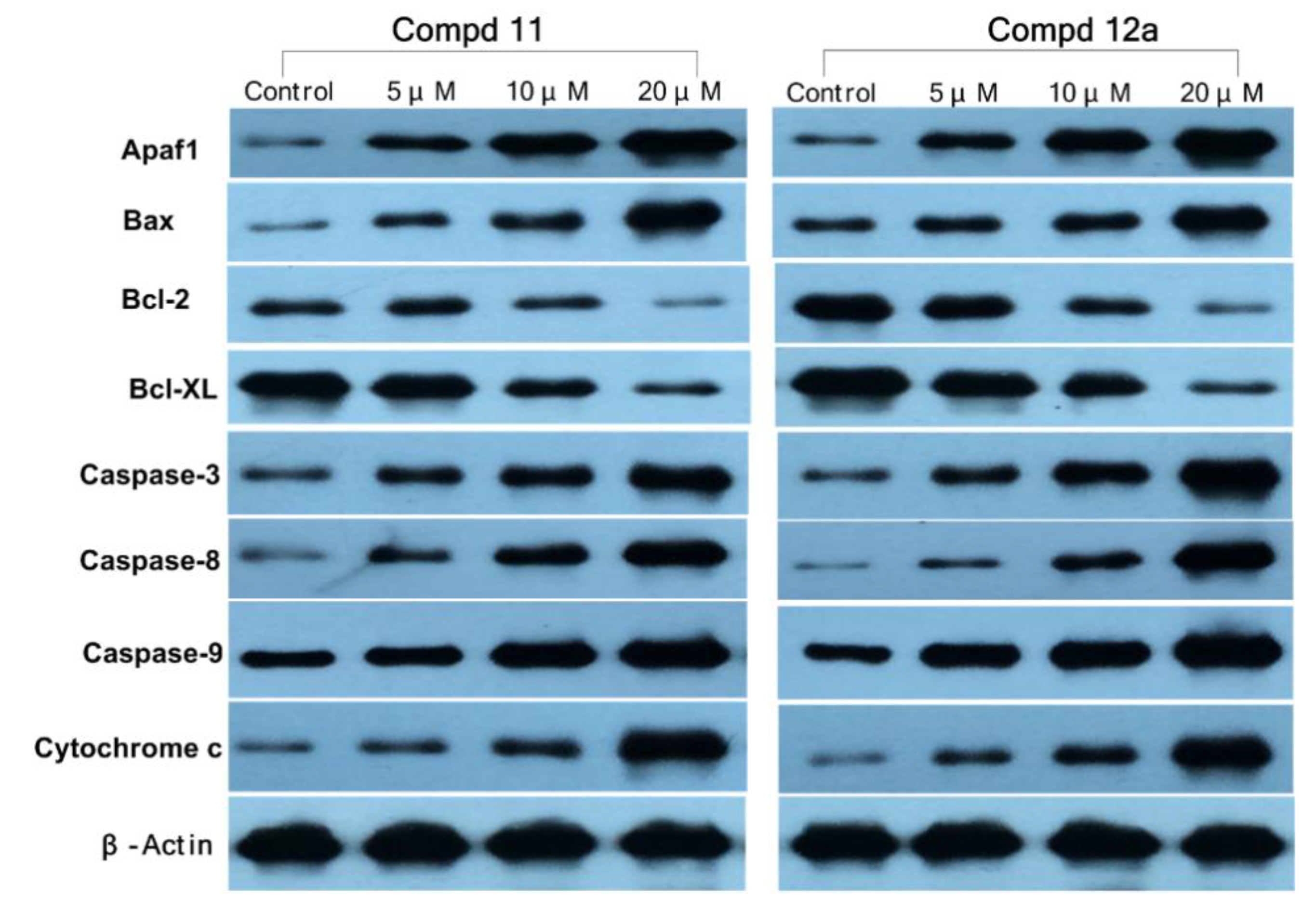
3.2.8. Western Blotting Assay
3.3. Modeling
4. Conclusions
Supplementary Materials
Author Contributions
Funding
Acknowledgments
Conflicts of Interest
References
- Pribluda, V.S.; Gubish, E.R., Jr.; LaVallee, T.M.; Treston, A.; Swartz, G.M.; Green, S.J. 2-Methoxyestradiol: An Endogenous Antiangiogenic and Antiproliferative Drug Candidate. Cancer Metastasis Rev. 2000, 19, 173–179. [Google Scholar] [CrossRef]
- Siebert, A.E.; Sanchez, A.L.; Dinda, S.; Moudgil, V.K. Effects of estrogen metabolite 2-methoxyestradiol on tumor suppressor protein p53 and proliferation of breast cancer cells. Syst. Biol. Reprod. Med. 2011, 57, 279–287. [Google Scholar] [CrossRef] [PubMed]
- Chua, Y.S.; Chua, Y.L.; Hagen, T. Structure activity analysis of 2-methoxyestradiol analogues reveals targeting of microtubules as the major mechanism of antiproliferative and proapoptotic activity. Mol. Cancer Ther. 2010, 9, 224–235. [Google Scholar] [CrossRef] [PubMed]
- Nakagawa-Yagi, Y.; Ogane, N.; Inoki, Y.; Kitoh, N. The endogenous estrogen metabolite 2-methoxyestradiol induces apoptotic neuronal cell death in vitro. Life Sci. 1996, 58, 1461–1467. [Google Scholar] [CrossRef]
- Lakhani, N.J.; Sarkar, M.A.; Venitz, J.; Figg, W.D. 2-Methoxyestradiol, a promising anticancer agent. Pharmacother. J. Hum. Pharmacol. Drug Ther. 2003, 23, 165–172. [Google Scholar] [CrossRef]
- Dahut, W.L.; Lakhani, N.J.; Gulley, J.L.; Arlen, P.M.; Kohn, E.C.; Kotz, H.; McNally, D.; Parr, A.; Nguyen, D.; Yang, S.X.; et al. Phase I clinical trial of oral 2-methoxyestradiol, an antiangiogenic and apoptotic agent, in patients with solid tumors. Cancer Biol. Ther. 2006, 5, 22–27. [Google Scholar] [CrossRef]
- Harrison, M.R.; Hahn, N.M.; Pili, R.; Oh, W.K.; Hammers, H.; Sweeney, C.; Kim, K.M.; Perlman, S.; Arnott, J.; Sidor, C.; et al. A phase II study of 2-methoxyestradiol (2ME2) NanoCrystal dispersion (NCD) in patients with taxane-refractory, metastatic castrate-resistant prostate cancer (CRPC). Investig. New Drugs 2011, 29, 1465–1474. [Google Scholar] [CrossRef]
- Verenich, S.; Gerk, P.M. Therapeutic promises of 2-methoxyestradiol and its drug disposition challenges. Mol. Pharm. 2010, 7, 2030–2039. [Google Scholar] [CrossRef]
- Fotsis, T.; Zhang, Y.; Pepper, M.S.; Adlercreutz, H.; Montesano, R.; Nawroth, P.P.; Schweigerer, L. The endogenous oestrogen metabolite 2-methoxyoestradiol inhibits angiogenesis and suppresses tumour growth. Nature 1994, 368, 237–239. [Google Scholar] [CrossRef]
- Sattler, M.; Quinnan, L.R.; Pride, Y.B.; Gramlich, J.L.; Chu, S.C.; Even, G.C.; Kraeft, S.K.; Chen, L.B.; Salgia, R. 2-Methoxyestradiol alters cell motility, migration, and adhesion. Blood 2003, 102, 289–296. [Google Scholar] [CrossRef][Green Version]
- Mueck, A.O.; Seeger, H. 2-Methoxyestradiol—biology and mechanism of action. Steroids 2010, 75, 625–631. [Google Scholar] [CrossRef] [PubMed]
- Lee, Y.M.; Ting, C.M.; Cheng, Y.K.; Fan, T.P.; Wong, R.N.S.; Lung, M.L.; Mak, N.K. Mechanisms of 2-methoxyestradiol-induced apoptosis and G2/M cell-cycle arrest of nasopharyngeal carcinoma cells. Cancer Lett. 2008, 268, 295–307. [Google Scholar] [CrossRef] [PubMed]
- Kumar, A.P.; Garcia, G.E.; Slaga, T.J. 2-methoxyestradiol blocks cell-cycle progression at G2/M phase and inhibits growth of human prostate cancer cells. Mol. Carcinog. 2001, 31, 111–124. [Google Scholar] [CrossRef] [PubMed]
- Li, Y.; Xia, Z.L.; Chen, L.B. HIF-1-alpha and survivin involved in the anti-apoptotic effect of 2ME2 after global ischemia in rats. Neurol. Res. 2011, 33, 583–592. [Google Scholar] [CrossRef] [PubMed]
- Chen, C.H.; Hu, Q.; Yan, J.H.; Lei, J.L.; Qin, L.H.; Shi, X.Z.; Luan, L.J.; Yang, L.; Wang, K.; Han, J.Y.; et al. Multiple effects of 2ME2 and D609 on the cortical expression of HIF-1alpha and apoptotic genes in a middle cerebral artery occlusion-induced focal ischemia rat model. J. Neurochem. 2007, 102, 1831–1841. [Google Scholar] [CrossRef] [PubMed]
- Lee, J.Y.; Jee, S.B.; Park, W.Y.; Choi, Y.J.; Kim, B.; Kim, Y.H.; Jun, D.Y.; Kim, Y.H. Tumor suppressor protein p53 promotes 2-methoxyestradiol-induced activation of Bak and Bax, leading to mitochondria-dependent apoptosis in human colon cancer HCT116 cells. J. Microbiol. Biotechnol. 2014, 24, 1654–1663. [Google Scholar] [CrossRef]
- Zhou, X.; Liu, C.F.; Lu, J.H.; Zhu, L.B.; Li, M. 2-Methoxyestradiol inhibits hypoxia-induced scleroderma fibroblast collagen synthesis by phosphatidylinositol 3-kinase/Akt/mTOR signalling. Rheumatology 2018, 57, 1675–1684. [Google Scholar] [CrossRef]
- Tao, H.; Mei, J.J.; Tang, X.Y. The anticancer effects of 2-methoxyestradiol on human huh7 cells in vitro and in vivo. Biochem. Biophys. Res. Commun. 2019, 512, 635–640. [Google Scholar] [CrossRef]
- Lee, J.S.; Ahn, C.; Kang, H.Y.; Jeung, E.B. Effect of 2-methoxyestradiol on SK-LMS-1 uterine leiomyosarcoma cells. Oncol. Lett. 2017, 14, 103–110. [Google Scholar] [CrossRef]
- Nair, S.K.; Verma, A.; Thomas, T.J.; Chou, T.C.; Gallo, M.A.; Shirahata, A.; Thomas, T. Synergistic apoptosis of MCF-7 breast cancer cells by 2-methoxyestradiol and bis(ethyl)norspermine. Cancer Lett. 2007, 250, 311–322. [Google Scholar] [CrossRef]
- Han, G.Z.; Liu, Z.J.; Shimoi, K.; Zhu, B.T. Synergism between the anticancer actions of 2-methoxyestradiol and microtubule-disrupting agents in human breast cancer. Cancer Res. 2005, 65, 387–393. [Google Scholar] [PubMed]
- Stander, B.A.; Marais, S.; Vorster, C.J.J.; Joubert, A.M. In vitro effects of 2-methoxyestradiol on morphology, cell cycle progression, cell death and gene expression changes in the tumorigenic MCF-7 breast epithelial cell line. J. Steroid Biochem. 2010, 119, 149–160. [Google Scholar] [CrossRef] [PubMed]
- Mueck, A.O.; Seeger, H.; Huober, J. Chemotherapy of breast cancer-additive anticancerogenic effects by 2-methoxyestradiol? Life Sci. 2004, 75, 1205–1210. [Google Scholar] [CrossRef] [PubMed]
- Botes, M.; Jurgens, T.; Riahi, Z.; Visagie, M.; van Vuuren, R.J.; Joubert, A.M.; van den Bout, I. A novel non-sulphamoylated 2-methoxyestradiol derivative causes detachment of breast cancer cells by rapid disassembly of focal adhesions. Cancer Cell Int. 2018, 18, 188/1–188/12. [Google Scholar] [CrossRef]
- Wang, C.; Li, L.L.; Fu, D.Y.; Qin, T.T.; Ran, Y.G.; Xu, F.; Du, X.R.; Gao, H.Y.; Sun, S.J.; Yang, T.J.; et al. Discovery of chalcone-modified estradiol analogs as antitumour agents that Inhibit tumour angiogenesis and epithelial to mesenchymal transition. Eur. J. Med. Chem. 2019, 176, 135–148. [Google Scholar] [CrossRef]
- Shah, J.H.; Agoston, G.E.; Suwandi, L.; Hunsucker, K.; Pribluda, V.; Zhan, X.H.; Swartz, G.M.; La Vallee, T.M.; Treston, A.M. Synthesis of 2- and 17-substituted estrone analogs and their antiproliferative structure–activity relationships compared to 2-methoxyestradiol. Bioorg. Med. Chem. 2009, 17, 7344–7352. [Google Scholar] [CrossRef]
- Jourdan, F.; Leese, M.P.; Dohle, W.; Hamel, E.; Ferrandis, E.; Newman, S.P.; Purohit, A.; Reed, M.J.; Potter, B.V.L. Synthesis, antitubulin, and antiproliferative SAR of analogues of 2-methoxyestradiol-3,17-O,O-bis-sulfamate. J. Med. Chem. 2010, 53, 2942–2951. [Google Scholar] [CrossRef]
- Peyrat, J.F.; Brion, J.D.; Alami, M. Synthetic 2-methoxyestradiol derivatives: Structure-activity relationships. Curr. Med. Chem. 2012, 19, 4142–4156. [Google Scholar] [CrossRef]
- Yamaguchi, M.; Matsuda, A.; Ichikawa, S. Synthesis of isoxazolidine-containing uridine derivatives as caprazamycin analogues. Org. Biomol. Chem. 2015, 13, 1187–1197. [Google Scholar] [CrossRef]
- Paszkowska, J.; Kral, K.; Bieg, T.; Żaba, K.; Węgrzyk, K.; Jaśkowiak, N.; Molinaro, A.; Silipo, A.; Wandzik, I. Synthesis and biological evaluation of 5′-glycyl derivatives of uridine as inhibitors of 1,4-β-galactosyltransferase. Bioorg. Chem. 2015, 58, 18–25. [Google Scholar] [CrossRef]
- Krol, E.; Wandzik, I.; Gromadzka, B.; Nidzworski, D.; Rychlowska, M.; Matlacz, M.; Tyborowska, J.; Szewczyk, B. Anti-influenza A virus activity of uridine derivatives of 2-deoxy sugars. Antivir. Res. 2013, 100, 90–97. [Google Scholar] [CrossRef] [PubMed]
- Komor, R.; Pastuch-Gawolek, G.; Krol, E.; Szeja, W. Synthesis and preliminary evaluation of biological activity of glycoconjugates analogues of acyclic uridine derivatives. Molecules 2018, 23, 2017. [Google Scholar] [CrossRef] [PubMed]
- Pałasz, A.; Cież, D. In search of uracil derivatives as bioactive agents. Uracils and fused uracils: Synthesis, biological activity and applications. Eur. J. Med. Chem. 2015, 97, 582–611. [Google Scholar] [CrossRef] [PubMed]
- Afifi, H.; Ebead, A.; Pignatelli, J.; Lee-Ruff, E. Synthesis of cyclobutane nucleosides 2-preparation of thymine and uracil analogues. Nucleosides Nucleotides Nucleic Acids 2015, 34, 786–798. [Google Scholar] [CrossRef] [PubMed]
- Lönnberg, T.; Hutchinson, M.; Rokita, S. Selective Alkylation of C-Rich Bulge Motifs in Nucleic Acids by Quinone Methide Derivatives. Chem. Eur. J. 2015, 21, 13127–13136. [Google Scholar] [CrossRef]
- Usha, S.; Selvaraj, S. Structure-wise discrimination of cytosine, thymine, and uracil by proteins in terms of their nonbonded interactions. J. Biomol. Struct. Dyn. 2014, 32, 1686–1704. [Google Scholar] [CrossRef]
- Cheng, K.G.; Su, C.H.; Huang, J.Y.; Liu, J.; Zheng, Y.T.; Chen, Z.F. Conjugation of uridine with oleanolic acid derivatives as potential antitumor agents. Chem. Biol. Drug Des. 2016, 88, 329–340. [Google Scholar] [CrossRef]
- Cheng, K.G.; Su, C.H.; Huang, J.Y.; Wang, H.S.; Liu, J.; Zheng, Y.T.; Chen, Z.F. Synthesis and cytotoxic evaluation of several oleanolic acid–uracil/thymine conjugates. MedChemComm 2016, 7, 972–981. [Google Scholar] [CrossRef]
- Lao, K.J.; Wang, Y.J.; Chen, M.Q.; Zhang, J.J.; You, Q.D.; Xiang, H. Design, synthesis and biological evaluation of novel 2-methoxyestradiol analogs as dual selective estrogen receptor modulators (SERMs) and antiangiogenic agents. Eur. J. Med. Chem. 2017, 139, 390–400. [Google Scholar] [CrossRef]
- Ciapetti, G.; Cenni, E.; Pratelli, L.; Pizzoferrato, A. In vitro evaluation of cell/biomaterial interaction by MTT assay. Biomaterials 1993, 14, 359–364. [Google Scholar] [CrossRef]
- Cleves, A.E.; Jain, A.N. Quantitative surface field analysis: Learning causal models to predict ligand binding affinity and pose. J. Comput. Aided Mol. Des. 2018, 32, 731–757. [Google Scholar] [CrossRef] [PubMed]
- Liu, Z.J.; Zhu, B.T. Concentration-dependent mitogenic and antiproliferative actions of 2-methoxyestradiol in estrogen receptor-positive human breast cancer cells. J. Steroid Biochem. 2004, 88, 265–275. [Google Scholar] [CrossRef] [PubMed]
- DeLano, W.L. Pymol: An open-source molecular graphics tool. CCP4 Newsl. Protein Crystallogr. 2002, 40, 82–92. [Google Scholar]











| Compounds | IC50 (μM) a | ||
|---|---|---|---|
| MCF-7 | MDA-MB-231 | L-O2 | |
| 10 | 16.68 ± 0.30 | 13.17 ± 1.09 | 35.19 ± 0.42 |
| 11 | 13.89 ± 0.16 | 13.97 ± 1.08 | >100 |
| 12a | 11.25 ± 0.46 | 13.03 ± 0.38 | 69.34 ± 4.37 |
| 13a | 16.64 ± 1.26 | 13.29 ± 0.16 | 51.36 ± 1.47 |
| 14a | 9.22 ± 0.21 | 8.00 ± 0.41 | 17.52 ± 0.69 |
| 15a | 12.12 ± 0.45 | 19.32 ± 1.54 | 52.62 ± 1.82 |
| 12b | >100 | >100 | No b |
| 13b | >100 | >100 | No |
| 14b | >100 | >100 | No |
| 15b | >100 | >100 | No |
| 18 | 6.21 ± 0.37 | 3.89 ± 0.36 | 21.26 ± 0.66 |
| 19 | 7.87 ± 0.42 | 10.44 ± 0.07 | 32.83 ± 0.65 |
| 20a | 17.92 ± 0.22 | 13.96 ± 1.69 | 38.51 ± 1.87 |
| 21a | 9.97 ± 0.39 | 7.34 ± 0.56 | 28.16 ± 0.57 |
| 22a | 10.26 ± 0.37 | 9.58 ± 0.98 | 25.86 ± 1.82 |
| 23a | 8.75 ± 0.22 | 12.73 ± 0.22 | 25.48 ± 1.86 |
| 20b | >100 | >100 | No |
| 21b | 28.38 ± 1.76 | 23.76 ± 1.45 | >100 |
| 22b | >100 | >100 | No |
| 23b | >100 | >100 | No |
| 1 | 1.51 ± 0.04 | 1.86 ± 0.02 | 4.70 ± 0.45 |
| 5-FU | 8.87 ± 0.59 | 61.87 ± 2.23 | >100 |
| Compounds | IC50 (μM) a for MCF-7 | pIC50 b for MCF-7 | Predicted pIC50 c |
|---|---|---|---|
| 10 | 16.68 ± 0.30 | 4.78 | 4.84 |
| 11 | 13.89 ± 0.16 | 4.86 | 4.72 |
| 12a | 11.25 ± 0.46 | 4.95 | 5.43 |
| 13a | 16.64 ± 1.26 | 4.78 | 5.98 |
| 14a | 9.22 ± 0.21 | 5.04 | 5.96 |
| 15a | 12.12 ± 0.45 | 4.92 | 4.51 |
| 12b | >100 | <4 | 1.94 |
| 13b | >100 | <4 | 1.58 |
| 14b | >100 | <4 | −1.71 |
| 15b | >100 | <4 | 1.64 |
| 18 | 6.21 ± 0.37 | 5.21 | 6.16 |
| 19 | 7.87 ± 0.42 | 5.10 | 5.79 |
| 20a | 17.92 ± 0.22 | 4.75 | 4.78 |
| 21a | 9.97 ± 0.39 | 5.00 | 6.04 |
| 22a | 10.26 ± 0.37 | 4.99 | 5.65 |
| 23a | 8.75 ± 0.22 | 5.06 | 4.74 |
| 20b | >100 | <4 | 3.91 |
| 21b | 28.38 ± 1.76 | 4.55 | −0.80 |
| 22b | >100 | <4 | −1.05 |
| 23b | >100 | <4 | −0.07 |
| 1 | 1.51 ± 0.04 | 5.82 | 7.10 |
© 2020 by the authors. Licensee MDPI, Basel, Switzerland. This article is an open access article distributed under the terms and conditions of the Creative Commons Attribution (CC BY) license (http://creativecommons.org/licenses/by/4.0/).
Share and Cite
Sheng, L.-X.; Zhang, J.-Y.; Li, L.; Xie, X.; Wen, X.-A.; Cheng, K.-G. Design, Synthesis, and Evaluation of Novel 2-Methoxyestradiol Derivatives as Apoptotic Inducers through an Intrinsic Apoptosis Pathway. Biomolecules 2020, 10, 123. https://doi.org/10.3390/biom10010123
Sheng L-X, Zhang J-Y, Li L, Xie X, Wen X-A, Cheng K-G. Design, Synthesis, and Evaluation of Novel 2-Methoxyestradiol Derivatives as Apoptotic Inducers through an Intrinsic Apoptosis Pathway. Biomolecules. 2020; 10(1):123. https://doi.org/10.3390/biom10010123
Chicago/Turabian StyleSheng, Li-Xin, Jiang-Yu Zhang, Li Li, Xiao Xie, Xiao-An Wen, and Ke-Guang Cheng. 2020. "Design, Synthesis, and Evaluation of Novel 2-Methoxyestradiol Derivatives as Apoptotic Inducers through an Intrinsic Apoptosis Pathway" Biomolecules 10, no. 1: 123. https://doi.org/10.3390/biom10010123
APA StyleSheng, L.-X., Zhang, J.-Y., Li, L., Xie, X., Wen, X.-A., & Cheng, K.-G. (2020). Design, Synthesis, and Evaluation of Novel 2-Methoxyestradiol Derivatives as Apoptotic Inducers through an Intrinsic Apoptosis Pathway. Biomolecules, 10(1), 123. https://doi.org/10.3390/biom10010123

