Sign in to use this feature.

Years

Between: -

Subjects

remove_circle_outline
remove_circle_outline
remove_circle_outline
remove_circle_outline
remove_circle_outline
remove_circle_outline
remove_circle_outline

Journals

Article Types

Countries / Regions

Search Results (152)

Search Parameters:
Keywords = high resolution computed tomography (HRCT)

Order results
Result details
Results per page
Select all
Export citation of selected articles as:
29 pages, 1280 KB  
Review
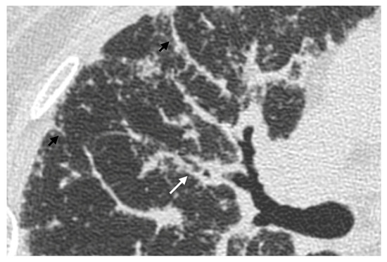
Idiopathic Pulmonary Fibrosis: A Comprehensive Review of Risk Factors, Genetics, Diagnosis, and Therapeutic Approaches
by Lamiyae Senhaji, Nadia Senhaji, Meriame Abbassi, Mariem Karhate, Mounia Serraj, Mohammed El Biaze, Mohamed Chakib Benjelloun, Karim Ouldim, Laila Bouguenouch and Bouchra Amara
Biomedicines 2026, 14(1), 90; https://doi.org/10.3390/biomedicines14010090 - 1 Jan 2026
Viewed by 577
Abstract
Idiopathic Pulmonary Fibrosis (IPF) is a severe, chronic, progressive lung disease classified within interstitial lung disorders. It predominantly affects individuals aged 50 to 70 years, with a prognosis of 3–5 years post-diagnosis. The pathophysiology of IPF is complex, involving an interplay of genetic [...] Read more.
Idiopathic Pulmonary Fibrosis (IPF) is a severe, chronic, progressive lung disease classified within interstitial lung disorders. It predominantly affects individuals aged 50 to 70 years, with a prognosis of 3–5 years post-diagnosis. The pathophysiology of IPF is complex, involving an interplay of genetic predisposition, environmental exposures, and age-related factors. A significant genetic component is evident, with key contributions from rare variants in telomere maintenance genes (e.g., TERT and TERC) and surfactant protein genes (e.g., SFTPA and SFTPC), as well as a strong association with a common promoter variant in the MUC5B gene. The diagnosis is established through high-resolution computed tomography (HRCT) and, when necessary, histopathological analysis. The search for reliable biomarkers is a key area of research, with molecules such as KL-6, SP-A, SP-D, and MMP-7 showing potential for aiding in diagnosis, prognosis, and monitoring disease activity. While antifibrotic therapies (Pirfenidone and Nintedanib) have revolutionized management by slowing the decline in lung function, the therapeutic landscape continues to evolve. Ongoing research efforts are focused on integrating clinical, radiological, genetic, and biomarker data to facilitate early diagnosis and develop personalized treatment strategies to improve patient outcomes. Full article
(This article belongs to the Special Issue New Advances in Pulmonary Fibrosis)
Show Figures

Figure 1

15 pages, 4017 KB  
Review
COVID-19 and Interstitial Lung Disease
by Roberto G. Carbone, Sharada Nagoti, Assaf Monselise, Keith M. Wille, Francesco Puppo and Pallav L. Shah
Medicina 2026, 62(1), 22; https://doi.org/10.3390/medicina62010022 - 23 Dec 2025
Viewed by 1624
Abstract
Background and Objectives: COVID-19 is an infection caused by the SARS-CoV-2 coronavirus that may develop several complications. Interstitial lung disease (ILD) is the major long-term complication of COVID-19 disease leading to progressive lung fibrosis and reduced respiratory function. The aim of this [...] Read more.
Background and Objectives: COVID-19 is an infection caused by the SARS-CoV-2 coronavirus that may develop several complications. Interstitial lung disease (ILD) is the major long-term complication of COVID-19 disease leading to progressive lung fibrosis and reduced respiratory function. The aim of this narrative review is to provide an updated overview of post-COVID-19 ILD by examining research publications and clinical guidelines selected from PubMed, Web of Science, and major respiratory medicine journals from 2020 to 2025. Methods: ILDs are diagnosed by medical history, physiological examination, pulmonary function tests, and chest X-ray or high-resolution computed tomography (HRCT) scan. Lung biopsy, especially cryobiopsy or video-assisted thoracoscopic (VATS) biopsy, can be performed to define histological patterns and confirm the diagnosis. Results: Post-COVID-19 ILD is a chronic condition characterized by long-term respiratory symptoms, radiological findings, and reduced lung function. Fibrotic injury is a consequence of the initial infection and could be influenced by persistent inflammation and dysregulated tissue repair. Risk factors include severe acute illness, advanced age, male sex, and smoking. Clinical course and prognosis of post-COVID-19 ILD is uncertain, as most patients experience gradual improvement or stability, whereas others develop progressive lung function decline. Treatment of post-COVID-19 ILD is not presently defined by guidelines but comprises corticosteroids, antifibrotics (including new drugs such as nerandomilast), supportive oxygen, pulmonary physiotherapy rehabilitation, smoking cessation, and vaccination. Conclusions: ILD represents a significant long-term complication of COVID-19 infection. Further investigations are required to better understand its pathophysiology and clinical management. As research progresses, more effective diagnostic and therapeutic strategies are expected to emerge. Full article
(This article belongs to the Special Issue Diagnosis and Treatment of Interstitial Lung Disease)
Show Figures

Figure 1

26 pages, 5734 KB  
Article
AI-Based Quantitative HRCT for In-Hospital Adverse Outcomes and Exploratory Assessment of Reinfection in COVID-19
by Xin-Yi Feng, Fei-Yao Wang, Si-Yu Jiang, Li-Heng Wang, Xin-Yue Chen, Shi-Bo Tang, Fan Yang and Rui Li
Diagnostics 2025, 15(24), 3156; https://doi.org/10.3390/diagnostics15243156 - 11 Dec 2025
Viewed by 416
Abstract
Background/Objectives: Quantitative computed tomography (CT) metrics are widely used to assess pulmonary involvement and to predict short-term severity in coronavirus disease 2019 (COVID-19). However, it remains unclear whether baseline artificial intelligence (AI)-based quantitative high-resolution computed tomography (HRCT) metrics of pneumonia burden provide [...] Read more.
Background/Objectives: Quantitative computed tomography (CT) metrics are widely used to assess pulmonary involvement and to predict short-term severity in coronavirus disease 2019 (COVID-19). However, it remains unclear whether baseline artificial intelligence (AI)-based quantitative high-resolution computed tomography (HRCT) metrics of pneumonia burden provide incremental prognostic value for in-hospital composite adverse outcomes beyond routine clinical factors, or whether these imaging-derived markers carry any exploratory signal for long-term severe acute respiratory syndrome coronavirus 2 (SARS-CoV-2) reinfection among hospitalized patients. Most existing imaging studies have focused on diagnosis and acute-phase prognosis, leaving a specific knowledge gap regarding AI-based quantitative HRCT correlates of early deterioration and subsequent reinfection in this population. To evaluate whether combining deep learning-derived, quantitative, HRCT features and clinical factors improve prediction of in-hospital composite adverse events and to explore their association with long-term reinfection in patients with COVID-19 pneumonia. Methods: In this single-center retrospective study, we analyzed 236 reverse-transcription polymerase chain reaction (RT-PCR)-confirmed COVID-19 patients who underwent baseline HRCT. Median follow-up durations were 7.65 days for in-hospital outcomes and 611 days for long-term outcomes. A pre-trained, adaptive, artificial-intelligence-based, prototype model (Siemens Healthineers) was used for pneumonia analysis. Inflammatory lung lesions were automatically segmented, and multiple quantitative metrics were extracted, including opacity score, volume and percentage of opacities and high-attenuation opacities, and mean Hounsfield units (HU) of the total lung and opacity. Patients were stratified based on receiver operating characteristic (ROC)-derived optimal thresholds, and multivariable Cox regression was used to identify predictors of the composite adverse outcome (intensive care unit [ICU] admission or all-cause death) and SARS-CoV-2 reinfection, defined as a second RT-PCR-confirmed episode of COVID-19 occurring ≥90 days after initial infection. Results: The composite adverse outcome occurred in 38 of 236 patients (16.1%). Higher AI-derived opacity burden was significantly associated with poorer outcomes; for example, opacity score cut-off of 5.5 yielded an area under the ROC curve (AUC) of 0.71 (95% confidence interval [CI] 0.62–0.79), and similar performance was observed for the volume and percentage of opacities and high-attenuation opacities (AUCs up to 0.71; all p < 0.05). After adjustment for age and comorbidities, selected HRCT metrics—including opacity score, percentage of opacities, and mean HU of the total lung (cut-off −662.38 HU; AUC 0.64, 95% CI 0.54–0.74)—remained independently associated with adverse events. Individual predictors demonstrated modest discriminatory ability, with C-indices of 0.59 for age, 0.57 for chronic obstructive pulmonary disease (COPD), 0.62 for opacity score, 0.63 for percentage of opacities, and 0.63 for mean total-lung HU, whereas a combined model integrating clinical and imaging variables improved prediction performance (C-index = 0.68, 95% CI: 0.57–0.80). During long-term follow-up, RT-PCR–confirmed reinfection occurred in 18 of 193 patients (9.3%). Higher baseline CT-derived metrics—particularly opacity score and both volume and percentage of high-attenuation opacities (percentage cut-off = 4.94%, AUC 0.69, 95% CI 0.60–0.79)—showed exploratory associations with SARS-CoV-2 reinfection. However, this analysis was constrained by the very small number of events (n = 18) and wide confidence intervals, indicating substantial statistical uncertainty. In this context, individual predictors again showed only modest C-indices (e.g., 0.62 for procalcitonin [PCT], 0.66 for opacity score, 0.66 for the volume and 0.64 for the percentage of high-attenuation opacities), whereas the combined model achieved an apparent C-index of 0.73 (95% CI 0.64–0.83), suggesting moderate discrimination in this underpowered exploratory reinfection sample that requires confirmation in external cohorts. Conclusions: Fully automated, deep learning-derived, quantitative HRCT parameters provide useful prognostic information for early in-hospital deterioration beyond routine clinical factors and offer preliminary, hypothesis-generating insights into long-term reinfection risk. The reinfection-related findings, however, require external validation and should be interpreted with caution given the small number of events and limited precision. In both settings, combining AI-based imaging and clinical variables yields better risk stratification than either modality alone. Full article
Show Figures

Figure 1

12 pages, 242 KB  
Article
Fibrotic Patterns and Diagnostic Correlates in Hypersensitivity Pneumonitis: Clinical, Radiologic, and Hematologic Insights
by Esma Sevil Akkurt, Berna Akıncı Ozyurek, Kerem Ensarioglu, Tugce Sahin Ozdemirel, Ozlem Duvenci Birben, Hakan Erturk and Tunahan Dolmus
Diagnostics 2025, 15(24), 3137; https://doi.org/10.3390/diagnostics15243137 - 9 Dec 2025
Viewed by 368
Abstract
Background: Hypersensitivity pneumonitis (HP) is an interstitial lung disease characterized by immune-mediated inflammation and variable degrees of fibrosis. Aims: To evaluate the clinical, radiological, and hematological features of patients diagnosed with HP. Study Design: Retrospective cross-sectional study. Methods: We included 100 patients diagnosed [...] Read more.
Background: Hypersensitivity pneumonitis (HP) is an interstitial lung disease characterized by immune-mediated inflammation and variable degrees of fibrosis. Aims: To evaluate the clinical, radiological, and hematological features of patients diagnosed with HP. Study Design: Retrospective cross-sectional study. Methods: We included 100 patients diagnosed and followed for HP between 2020 and 2024. Demographic characteristics, pulmonary function test results, diffusing capacity, six-minute walk test findings, antigen exposure history, and high-resolution computed tomography (HRCT) patterns were retrospectively analyzed. Results: The mean age was 63 ± 14 years, with equal sex distribution. Sixty-five percent of patients had identifiable antigen exposure, predominantly related to birds or bird products (86.4%). Surgical lung biopsy confirmed the diagnosis in 29% of cases. The most common HRCT findings were reticulation (87%), ground-glass opacities (84.7%), and centrilobular nodules (75%); fibrotic features were present in 48% of patients. Glucocorticoids were the main treatment (77%), and antifibrotic therapy was used in 20% of cases. Neutrophil count showed a modest positive correlation with honeycombing (r = 0.27, p = 0.025). Basophil count demonstrated a mild association with bird-related antigen exposure (r = 0.26, p = 0.035). Conclusions: Peripheral neutrophil and basophil counts showed weak but statistically significant associations with fibrotic HRCT features and exposure patterns. These exploratory findings suggest that routinely available hematologic parameters may provide supportive information alongside radiologic and clinical data. Prospective studies are needed to validate their diagnostic and prognostic relevance in HP. Full article
(This article belongs to the Section Clinical Diagnosis and Prognosis)
10 pages, 1836 KB  
Article
The Role of High-Resolution Lung Computed Tomography to Distinguish Between Fibrosing Hypersensitivity Pneumonitis and Usual Interstitial Pneumonia
by Dmitry A. Kuleshov, Svetlana Yu. Chikina, Galina V. Nekludova, Igor E. Tyurin and Sergey N. Avdeev
Life 2025, 15(12), 1867; https://doi.org/10.3390/life15121867 - 5 Dec 2025
Viewed by 468
Abstract
Background: Hypersensitivity pneumonitis (HP) is an interstitial lung disease (ILD) caused by repeated exposure to inhaled antigens in susceptible subjects. High-resolution computed tomography (HRCT) of the lungs is the leading diagnostic method for ILDs, but in some cases HRCT findings are not [...] Read more.
Background: Hypersensitivity pneumonitis (HP) is an interstitial lung disease (ILD) caused by repeated exposure to inhaled antigens in susceptible subjects. High-resolution computed tomography (HRCT) of the lungs is the leading diagnostic method for ILDs, but in some cases HRCT findings are not sufficient to distinguish HP and other ILDs, particularly, fibrotic HP (fHP) and usual interstitial pneumonia (UIP). Objective: The aim of this study was to develop HRCT criteria to diagnose fHP in patients with a UIP-like pattern. Methods: In this retrospective study, we analyzed HRCT scans of patients with fHP and a UIP-like pattern who underwent lung biopsy, and patients with idiopathic pulmonary fibrosis (IPF) and a UIP pattern in HRCT. Results: We included 51 patients with confirmed fHP and 24 patients with IPF/UIP in the analysis. IPF/UIP patients were older, were prevalently males, and did not have any systemic autoimmune diseases or risk factors for other ILDs. fHP patients were younger, with an equal number of males and females, and were more likely to be exposed to environmental antigens. HRCT abnormalities in the fHP group predominated in the lower lung areas or were diffuse in axial scans, whereas IPF/UIP patients mostly demonstrated a diffuse craniocaudal distribution and subpleural axial predominance. Centrilobular nodules and mosaic attenuation were present significantly more often in the fHP group; honeycombing, traction bronchiectasis, and emphysema prevailed in IPF/UIP patients. In the logistic regression analysis, patients with fHP and IPF/UIP differed in the presence of centrilobular nodules, honeycombing, and in both craniocaudal and axial distributions of HRCT abnormalities. In the ROC analysis, the combination of centrilobular nodules, honeycombing, and diffuse axial and craniocaudal distributions can predict the diagnosis of fHP (AUC, 0.953 ± 0.022; 95%CI, 0.910–0.995; p < 0.001). Mosaic attenuation and reticulation did not change the probability of fHP. Conclusions: The most significant HRCT features of fHP compared to the UIP pattern were centrilobular nodules, honeycombing, and a diffuse axial and craniocaudal distribution of abnormal findings. Reticulation, mosaic attenuation, and GGO do not increase the probability of fHP. Full article
(This article belongs to the Section Medical Research)
Show Figures

Figure 1

27 pages, 649 KB  
Review
Pulmonary Manifestations of Inborn Errors of Immunity: Diagnostic and Therapeutic Insights
by Katarzyna Napiorkowska-Baran, Szczepan Cofta, Paweł Treichel, Marta Tykwinska, Kinga Lis, Aleksandra Matyja-Bednarczyk, Bartłomiej Szymczak, Maciej Szota, Jozef Slawatycki, Michal Kulakowski and Zbigniew Bartuzi
Life 2025, 15(12), 1838; https://doi.org/10.3390/life15121838 - 29 Nov 2025
Viewed by 734
Abstract
Background: Inborn errors of immunity (IEIs) are a heterogeneous group of genetically determined disorders that lead to immune dysfunction, recurrent infections, and organ-specific complications. The lungs are among the most commonly affected organs, with both infectious and noninfectious manifestations that significantly contribute to [...] Read more.
Background: Inborn errors of immunity (IEIs) are a heterogeneous group of genetically determined disorders that lead to immune dysfunction, recurrent infections, and organ-specific complications. The lungs are among the most commonly affected organs, with both infectious and noninfectious manifestations that significantly contribute to morbidity and mortality. This study aimed to provide a comprehensive overview of pulmonary manifestations in IEI, with emphasis on pathophysiological mechanisms, diagnostic approaches, and therapeutic strategies. Methods: A narrative review and synthesis of current literature and clinical guidelines were conducted, focusing on pulmonary involvement in IEI as classified by the International Union of Immunological Societies (IUIS). The analysis included data on infectious and noninfectious complications, imaging findings, immunological assessments, and management strategies, supported by clinical evidence and expert consensus. Results: Pulmonary manifestations in IEI encompass a wide spectrum of conditions. Infectious complications include recurrent bacterial pneumonias, bronchitis, and opportunistic infections, frequently resulting in irreversible lung damage such as bronchiectasis. Noninfectious complications, including granulomatous–lymphocytic interstitial lung disease (GLILD) and interstitial lung disease (ILD), are common in disorders such as common variable immunodeficiency (CVID) and X-linked agammaglobulinemia (XLA). Early diagnosis using high-resolution computed tomography (HRCT) and immunological testing, combined with the timely initiation of immunoglobulin replacement therapy and anti-biotic prophylaxis, significantly improves prognosis. Conclusions: Pulmonary complications are key clinical indicators of IEI and often precede systemic manifestations. Early, integrated, and interdisciplinary diagnostic and therapeutic management are crucial for preventing irreversible lung damage and improving patient outcomes. Regular monitoring and individualized therapy, including immunoglobulin replacement, targeted immunosuppression, and vaccination, are the cornerstones of effective long-term care in IEI. Full article
(This article belongs to the Special Issue Treatment and Prognosis of Thoracic Diseases)
Show Figures

Figure 1

23 pages, 3476 KB  
Review
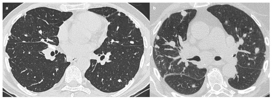
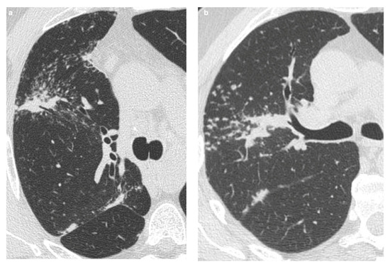
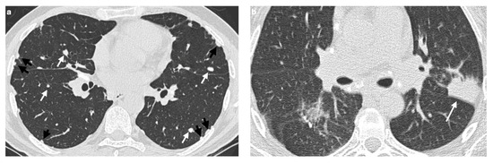
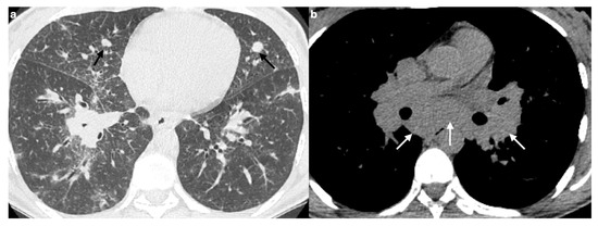
CT Imaging Features of Pulmonary Sarcoidosis: Typical and Atypical Radiological Features and Their Differential Diagnosis
by Elisa Baratella, Valeria di Luca, Alessandra Oliva, Ilaria Fiorese, Antonio Segalotti, Marina Troian, Stefano Lovadina, Barbara Ruaro, Francesco Salton, Roberta Polverosi and Maria Assunta Cova
Medicina 2025, 61(12), 2094; https://doi.org/10.3390/medicina61122094 - 25 Nov 2025
Viewed by 1364
Abstract
Sarcoidosis is a chronic, idiopathic, multisystemic inflammatory disease characterized by non-caseating granulomas, most commonly affecting the lungs and mediastinal lymph nodes. Radiological imaging plays a fundamental role in the diagnosis, assessment of disease extent, and differentiation from other pulmonary conditions. This narrative review [...] Read more.
Sarcoidosis is a chronic, idiopathic, multisystemic inflammatory disease characterized by non-caseating granulomas, most commonly affecting the lungs and mediastinal lymph nodes. Radiological imaging plays a fundamental role in the diagnosis, assessment of disease extent, and differentiation from other pulmonary conditions. This narrative review offers a comprehensive overview of the imaging features of pulmonary sarcoidosis, focusing on both typical patterns—such as bilateral hilar lymphadenopathy, perilymphatic nodules, and upper lobe-predominant infiltrates—and atypical manifestations—including alveolar opacities, miliary nodules, fibrocystic changes, and lower lobe involvement. Emphasis is placed on the utility of high-resolution computed tomography (HRCT) in detecting early parenchymal changes and complications such as fibrosis, bronchiectasis, and pulmonary hypertension. Differential diagnosis, including tuberculosis, silicosis, metastatic disease, organizing pneumonia, and hypersensitivity pneumonitis, are discussed to aid interpretation. Recognizing the spectrum of radiological presentations is essential for distinguishing sarcoidosis from other interstitial and granulomatous lung diseases. Radiologists play a pivotal role in the multidisciplinary diagnostic process, contributing to timely diagnosis, risk stratification, and optimized patient management. Full article
(This article belongs to the Section Pulmonology)
Show Figures

Figure 1

10 pages, 2084 KB  
Article
High Prevalence of Smoking-Related Diseases in High-Grade and Muscle-Invasive Bladder Cancer: Opportunities for Lung Cancer Screening
by Riccardo Regazzo, Federica Ciccarese, Simone Paglialonga, Elio Renò, Caterina Gaudiano, Beniamino Corcioni, Francesco Chessa, Riccardo Schiavina and Cristina Mosconi
Cancers 2025, 17(23), 3741; https://doi.org/10.3390/cancers17233741 - 23 Nov 2025
Viewed by 556
Abstract
Background/Objectives: Bladder carcinoma (BC) is strongly associated with tobacco exposure, a major shared risk factor for several smoking-related diseases (SRDs), including pulmonary disorders and coronary atherosclerosis. However, the prevalence of SRDs in patients with high-grade (HGBC) or muscle-invasive bladder carcinoma (MIBC) has not [...] Read more.
Background/Objectives: Bladder carcinoma (BC) is strongly associated with tobacco exposure, a major shared risk factor for several smoking-related diseases (SRDs), including pulmonary disorders and coronary atherosclerosis. However, the prevalence of SRDs in patients with high-grade (HGBC) or muscle-invasive bladder carcinoma (MIBC) has not been systematically investigated. We aimed to evaluate SRD prevalence and to assess the potential role of chest high-resolution computed tomography (HRCT) in a population with histologically confirmed HGBC or MIBC. Methods: We retrospectively analyzed 166 patients with histologically confirmed HGBC/MIBC who underwent staging HRCT. SRDs—including emphysema, suspicious pulmonary nodules, airway disease, interstitial lung disease (ILD), and coronary artery calcifications (CAC)—were assessed. Associations between smoking status and SRDs were evaluated using binary logistic regression, and odds ratios (OR) with 95% confidence intervals (CI) were calculated. Results: Overall, 60.2% of patients had at least one SRD. Smokers showed a significantly higher SRD prevalence than non-smokers (p < 0.05). Pulmonary SRDs were observed in 31.9% of patients, with emphysema being most strongly associated with smoking (p < 0.01). Suspicious pulmonary nodules (Lung-RADS ≥ 3) were detected in 6.6% of patients, more commonly among smokers (72.7%), though the difference was not statistically significant. Histological confirmation, available for 45% of these nodules, revealed primary lung cancers rather than metastatic bladder carcinoma in all verified cases. Conclusions: Patients with HGBC/MIBC demonstrate a high prevalence of SRDs, supporting the integration of chest HRCT into staging protocols. HRCT may enable early detection of clinically relevant comorbidities and help identify candidates for lung cancer screening. Full article
(This article belongs to the Section Cancer Causes, Screening and Diagnosis)
Show Figures

Figure 1

16 pages, 769 KB  
Review
Combined Pulmonary Fibrosis and Emphysema (CPFE): A “New” Smoking-Related Interstitial Lung Disease (ILD)
by Carina Adina Afloarei, Tudor Birladeanu, Adriana Loredana Pintilie, David Toma, Dragos Traian Marius Marcu, Andreea Zabara Antal, Mihai Zabara and Radu Crisan Dabija
Biomedicines 2025, 13(11), 2703; https://doi.org/10.3390/biomedicines13112703 - 3 Nov 2025
Viewed by 1271
Abstract
Background: Combined Pulmonary Fibrosis and Emphysema (CPFE) is a distinct syndrome characterized by upper-lobe emphysema and lower-lobe fibrosis, predominantly in older male smokers. Despite often preserved spirometric volumes, patients exhibit severely reduced diffusing capacity and high susceptibility to complications, including pulmonary hypertension (PH), [...] Read more.
Background: Combined Pulmonary Fibrosis and Emphysema (CPFE) is a distinct syndrome characterized by upper-lobe emphysema and lower-lobe fibrosis, predominantly in older male smokers. Despite often preserved spirometric volumes, patients exhibit severely reduced diffusing capacity and high susceptibility to complications, including pulmonary hypertension (PH), acute exacerbations, and lung cancer, contributing to poor prognosis. Purpose: This review aims to synthesize current evidence on CPFE, focusing on clinical phenotype, functional impairment, differential diagnosis, complications, and emerging management strategies, highlighting distinctions from idiopathic pulmonary fibrosis (IPF) and chronic obstructive pulmonary disease (COPD). Methods: A narrative review of observational cohorts, retrospective series, and clinical studies examining CPFE patients was performed. Data on demographics, smoking history, symptomatology, pulmonary function, radiology, comorbidities, complications, and treatment approaches were extracted and integrated. Results: CPFE affects mainly males aged 65–70, with >90% reporting > 40 pack–years smoking history. Dyspnea is the cardinal symptom (>95%), often disproportionate to preserved FVC and TLC, accompanied by chronic cough in 30–70%. Exercise-induced desaturation is frequent, correlating with PH, observed in 47–90% of patients. Pulmonary function tests reveal preserved volumes, normal or near-normal FEV1/FVC, and severely reduced DLCO (35–45%), distinguishing CPFE from COPD and IPF. HRCT confirms the combined emphysematous and fibrotic pattern, critical for differential diagnosis. Acute exacerbations occur in 20–28% of cases, lung cancer in 22–46% (mostly squamous cell), and long-term oxygen therapy is required in >70%. Five-year survival is 35–55%, lower than emphysema alone and comparable or worse than IPF. Management focuses on smoking cessation, antifibrotics, oxygen therapy, and complication-specific treatments, and selected patients may undergo lung transplantation. Conclusions: CPFE is a clinically and functionally unique entity with a high burden of pulmonary and systemic complications. Accurate recognition using HRCT and DLCO, along with early intervention and tailored management, is essential to improve patient outcomes and guide prognostic stratification. Full article
(This article belongs to the Section Molecular and Translational Medicine)
Show Figures

Figure 1

29 pages, 11579 KB  
Article
Optimizing Positive End-Expiratory Pressure in Asymmetric Acute Lung Injury in a Porcine Model: The Role of Transpulmonary Pressure
by Claudine H. Mutschler, Benjamin Seybold, Stefan Aschauer, Nils Englert, Cleo-Aron Weis, Tanja Poth, Defne Cetiner, Mark O. Wielpütz, Dorothea Kehr, Markus A. Weigand, Armin Kalenka and Mascha O. Fiedler-Kalenka
Int. J. Mol. Sci. 2025, 26(20), 9985; https://doi.org/10.3390/ijms26209985 - 14 Oct 2025
Viewed by 751
Abstract
Acute hypoxemic respiratory failure is a critical challenge in intensive care. A substantial proportion of patients present with asymmetric acute lung injury (ALI), complicating management due to heterogeneous lung involvement. While lung-protective mechanical ventilation represents the standard of care, the optimal approach to [...] Read more.
Acute hypoxemic respiratory failure is a critical challenge in intensive care. A substantial proportion of patients present with asymmetric acute lung injury (ALI), complicating management due to heterogeneous lung involvement. While lung-protective mechanical ventilation represents the standard of care, the optimal approach to positive end-expiratory pressure (PEEP) titration remains unclear. This study investigated the effects of transpulmonary pressure (TPP)-guided PEEP titration vs. a fixed PEEP strategy in a porcine model of unilateral ALI. A total of 14 pigs underwent ALI induction via unilateral surfactant depletion and were randomized to receive either a fixed PEEP of 5 cmH2O or a PEEP targeting a slightly positive TPP at end-expiration. Over six hours, respiratory mechanics, high-resolution computed tomography (HRCT), histological lung injury scores (LIS), and plasma protein biomarkers were assessed. TPP-guided PEEP titration significantly lowered driving pressure and improved compliance compared to fixed low PEEP, suggesting more homogeneous tidal volume distribution. HRCT revealed less collateral injury in the initially non-injured lung in the TPP-guided group. However, histopathological LIS did not differ between groups. Exploratory cytokine profiling showed systemic inflammatory activation—including pro- and anti-inflammatory responses—only in the TPP-guided group. These findings indicate that TPP-guided PEEP titration may optimize ventilation by balancing alveolar recruitment and overdistension in asymmetric ALI, with clear effects on physiological and imaging parameters, but without parallel effects on cytokine responses. Further research is needed to assess its long-term impact and clinical relevance. Full article
(This article belongs to the Special Issue Using Model Organisms to Study Complex Human Diseases)
Show Figures

Figure 1

41 pages, 9317 KB  
Systematic Review
High-Resolution CT Findings in Interstitial Lung Disease Associated with Connective Tissue Diseases: Differentiating Patterns for Clinical Practice—A Systematic Review with Meta-Analysis
by Janet Camelia Drimus, Robert Cristian Duma, Daniel Trăilă, Corina Delia Mogoșan, Diana Luminița Manolescu and Ovidiu Fira-Mladinescu
J. Clin. Med. 2025, 14(17), 6164; https://doi.org/10.3390/jcm14176164 - 31 Aug 2025
Cited by 1 | Viewed by 6127
Abstract
Objectives: Connective tissue diseases (CTDs) include a diverse group of systemic autoimmune conditions, among which interstitial lung disease (ILD) is acknowledged as a major determinant of prognosis. High-resolution computed tomography (HRCT) is the gold standard for ILD assessment. The distribution of HRCT [...] Read more.
Objectives: Connective tissue diseases (CTDs) include a diverse group of systemic autoimmune conditions, among which interstitial lung disease (ILD) is acknowledged as a major determinant of prognosis. High-resolution computed tomography (HRCT) is the gold standard for ILD assessment. The distribution of HRCT patterns across CTDs remain incompletely defined. The objective of this systematic review is to synthesize available evidence regarding the prevalence of specific radiological patterns within CTD-ILDs and to assess whether specific patterns occur at different frequencies among individual CTDs. Methods: The inclusion criteria encompassed original human studies published in English between 2015 and 2024, involving adult participants (≥18 years) with CTD-ILDs assessed primarily by HRCT and designed as retrospective, prospective, or cross-sectional trials with extractable data. We systematically searched PubMed, Scopus, and Web of Science (January 2025). Risk of bias was evaluated using the Newcastle–Ottawa Scale (NOS) for cohort and case–control studies, and the JBI Critical Appraisal Checklist for cross-sectional studies. Data were extracted and categorized by HRCT pattern for each CTD, and then summarized descriptively and statistically. Results: We analyzed 23 studies published between 2015 and 2024, which included 2020 patients with CTD-ILDs. The analysis revealed non-specific interstitial pneumonia (NSIP) as the most prevalent pattern overall (36.5%), followed by definite usual interstitial pneumonia (UIP) (24.8%), organizing pneumonia (OP) (9.8%) and lymphoid interstitial pneumonia (LIP) (1.25%). HRCT distribution varied by CTD: NSIP predominated in systemic sclerosis, idiopathic inflammatory myopathies, and mixed connective tissue disease; UIP was most frequent in rheumatoid arthritis; LIP was more common in Sjögren’s syndrome. While global differences were statistically significant, pairwise comparisons often lacked significance, likely due to sample size constraints. Discussion: Limitations include varying risk of bias across study designs, heterogeneity in HRCT reporting, small sample sizes, and inconsistent follow-up, which may reduce precision and generalizability. In addition to the quantitative synthesis, this review offers a detailed description of each radiologic pattern mentioned above, illustrated by representative examples to support the recognition in clinical settings. Furthermore, it includes a brief overview of the major CTDs associated with ILD, summarizing their epidemiological data, risk factors for ILD and clinical presentation and diagnostic recommendations. Conclusions: NSIP emerged as the most common HRCT pattern across CTD-ILDs, with UIP predominating in RA. Although inter-disease differences were observed, statistical significance was limited, likely reflecting sample size constraints. These findings emphasize the diagnostic and prognostic relevance of HRCT pattern recognition and highlight the need for larger, standardized studies. Full article
(This article belongs to the Special Issue Advances in Pulmonary Disease Management and Innovation in Treatment)
Show Figures

Figure 1

14 pages, 1906 KB  
Article
AI-Based HRCT Quantification in Connective Tissue Disease-Associated Interstitial Lung Disease
by Anna Russo, Vittorio Patanè, Alessandra Oliva, Vittorio Viglione, Linda Franzese, Giulio Forte, Vasiliki Liakouli, Fabio Perrotta and Alfonso Reginelli
Diagnostics 2025, 15(17), 2179; https://doi.org/10.3390/diagnostics15172179 - 28 Aug 2025
Cited by 1 | Viewed by 1444
Abstract
Background: Interstitial lung disease (ILD) is a frequent and potentially progressive manifestation in patients with connective tissue diseases (CTDs). Accurate and reproducible quantification of parenchymal abnormalities on high-resolution computed tomography (HRCT) is essential for evaluating treatment response and monitoring disease progression, particularly in [...] Read more.
Background: Interstitial lung disease (ILD) is a frequent and potentially progressive manifestation in patients with connective tissue diseases (CTDs). Accurate and reproducible quantification of parenchymal abnormalities on high-resolution computed tomography (HRCT) is essential for evaluating treatment response and monitoring disease progression, particularly in complex cases undergoing antifibrotic therapy. Artificial intelligence (AI)-based tools may improve consistency in visual assessment and assist less experienced radiologists in longitudinal follow-up. Methods: In this retrospective study, 48 patients with CTD-related ILD receiving antifibrotic treatment were included. Each patient underwent four HRCT scans, which were evaluated independently by two radiologists (one expert, one non-expert) using a semi-quantitative scoring system. Percentage estimates of lung involvement were assigned for four parenchymal patterns: hyperlucency, ground-glass opacity (GGO), reticulation, and honeycombing. AI-based analysis was performed using the Imbio Lung Texture Analysis platform, which generated continuous volumetric percentages for each pattern. Concordance between AI and human interpretation was assessed, along with mean absolute error (MAE) and inter-reader differences. Results: The AI-based system demonstrated high concordance with the expert radiologist, with an overall agreement of 81% across patterns. The MAE between AI and the expert ranged from 1.8% to 2.6%. In contrast, concordance between AI and the non-expert radiologist was significantly lower (60–70%), with higher MAE values (3.9% to 5.2%). McNemar’s and Wilcoxon tests confirmed that AI aligned more closely with the expert than the non-expert reader (p < 0.01). AI proved particularly effective in detecting subtle changes in parenchymal burden during follow-up, especially when visual interpretation was inconsistent. Conclusions: AI-driven quantitative imaging offers performance comparable to expert radiologists in assessing ILD patterns on HRCT and significantly outperforms less experienced readers. Its reproducibility and sensitivity to change support its role in standardizing follow-up evaluations and enhancing multidisciplinary decision-making in patients with CTD-related ILD, particularly in progressive fibrosing cases receiving antifibrotic therapy. Full article
(This article belongs to the Special Issue Application of Radiomics in Clinical Diagnosis)
Show Figures

Figure 1

11 pages, 418 KB  
Article
Healthcare Expenditures and Reimbursement Patterns in Idiopathic Pulmonary Fibrosis: A 10-Year Single-Center Retrospective Cohort Study in Turkey
by Kerem Ensarioğlu, Berna Akıncı Özyürek, Metin Dinçer, Tuğçe Şahin Özdemirel and Hızır Ali Gümüşler
Healthcare 2025, 13(17), 2084; https://doi.org/10.3390/healthcare13172084 - 22 Aug 2025
Viewed by 992
Abstract
Background/Objectives: Idiopathic pulmonary fibrosis (IPF) is a chronic and progressive fibrosing interstitial disease that incurs significant healthcare costs due to diagnostic and treatment needs. This study aimed to estimate healthcare expenses related to IPF diagnosis, treatment, and follow-up, including factors affecting overall expenditure. [...] Read more.
Background/Objectives: Idiopathic pulmonary fibrosis (IPF) is a chronic and progressive fibrosing interstitial disease that incurs significant healthcare costs due to diagnostic and treatment needs. This study aimed to estimate healthcare expenses related to IPF diagnosis, treatment, and follow-up, including factors affecting overall expenditure. Methods: This retrospective cohort study included 276 IPF patients from a tertiary hospital (2013–2022). Diagnostic and treatment costs were analyzed, including antifibrotic medications (pirfenidone and nintedanib), diagnostic tests (pulmonary function tests and performance evaluation tests), and interventions (fiberoptic bronchoscopy, imaging modalities). Costs in Turkish Lira were converted to United States dollars. Statistical analysis was performed using non-parametric tests to evaluate expenditure correlations with demographic, clinical, and treatment parameters, which included the Mann–Whitney and Spearman Rank Correlation tests when appropriate. Results: The median healthcare expenditure was USD 429.1 (9.13–21,024.57). Inpatient costs (USD 582.67; USD 250.22 to USD 1751, 25th and 75th percentile, respectively) were higher than outpatient costs (USD 192.36; USD 85.75 to USD 407.47, 25th and 75th percentile, respectively). Antifibrotic regimens did not differ significantly in cost or duration (Z = 0.657; p = 0.511) (mean pirfenidone duration: 1.1 ± 1.0 years; mean nintedanib duration: 0.6 ± 0.9 years). Diagnostic tests, particularly pulmonary function tests (PFT) (p: 0.001, Rho: 0.337), diffusing capacity of the lungs for carbon monoxide (DLCO) (p: 0.001, Rho: 0.516), and high-resolution computed tomography (HRCT) (p: 0.001, Rho: 0.327), were the primary drivers of costs. Longer treatment duration was positively correlated with expenditure (Rho: 0.264, p: 0.001 and Rho: 0.247, p: 0.006 for pirfenidone and nintedanib, respectively) while age showed a weak negative correlation (Rho = −0.184, p = 0.002). Gender and type of antifibrotic regimen did not show any significant effect on costs. Discussion: Diagnostic and follow-up testing were the main contributors to costs, driven by reimbursement requirements and the progressive nature of IPF. Antifibrotic medications, although expensive, provided clinical stability, potentially reducing hospitalization needs but increasing long-term care expenses. Variations in healthcare systems affect expenditures, with Turkey’s universal coverage lowering costs compared to Western countries. The study’s main limitations include being a single-center, retrospective study and its inability to include comorbidities and disease severity in the statistical analysis. Conclusions: IPF management is resource-intensive, with diagnostic tests and follow-up driving costs independent of demographics and treatment modality. Anticipating higher expenditures with prolonged survival and evolving treatment options is crucial for healthcare budget planning. Preparation of healthcare policies accordingly to these observations, which must include an overall increase in cost due to treatment duration and survival, remains a crucial aspect of budget control. Full article
Show Figures

Figure 1

15 pages, 258 KB  
Article
The Pulmonary Manifestation of Mastocytosis: Experiences of the National Reference Centre of Excellence
by Marlena Sztormowska, Aleksandra Górska, Maciej Piskunowicz, Lucyna Górska, Wojciech Nazar, Marta Chełmińska, Krzysztof Kuziemski, Ewa Jassem and Marek Niedoszytko
J. Clin. Med. 2025, 14(15), 5455; https://doi.org/10.3390/jcm14155455 - 3 Aug 2025
Viewed by 960
Abstract
Background: Patients with mastocytosis may present with exacerbated respiratory symptoms and lung diseases resulting from mast cell mediator release. However, their prevalence and severity level remain under debate. The study aims to analyze the prevalence of respiratory symptoms and the usefulness of lung [...] Read more.
Background: Patients with mastocytosis may present with exacerbated respiratory symptoms and lung diseases resulting from mast cell mediator release. However, their prevalence and severity level remain under debate. The study aims to analyze the prevalence of respiratory symptoms and the usefulness of lung function tests like spirometry, diffusing capacity of the lung for carbon monoxide (DLCO), and high-resolution computed tomography (HRCT) of the chest in mastocytosis patients presenting with dyspnea, cough, and exercise intolerance. Methods: We included 104 patients with mastocytosis and 71 healthy controls. Data collection encompassed patient interview, clinical examination, spirometry, DLCO, and chest HRCT. Diagnosis of mastocytosis included bone marrow biopsies and serum tryptase measurements. Results: Compared to controls, patients with mastocytosis exhibited significantly lower values in FEV1/VC ratio, absolute DLCO/VA, predicted DLCO/VA, absolute DLCOcSB, and predicted DLCOcSB (p < 0.001). Commonly reported respiratory symptoms included dyspnea (36.5%), chest tightness (22.1%), and wheezing (9.6%). Airway obstruction was identified in 7.7% of patients; however, it appeared to be independent of the mastocytosis subtype. A decreased DLCO/VA ratio was observed in 4.8% of patients, but HRCT did not reveal any evidence of underlying lung disease. Conclusions: Mastocytosis appears to be a risk factor for the occurrence and exacerbation of respiratory symptoms. However, airway obstruction and impairment of the alveolar–capillary membrane seem to occur independently of the clinical subtype of mastocytosis. Additionally, the causal relationship between pulmonary involvement, mast cell infiltration of the alveolar–capillary membrane, and the systemic circulation of mast cell mediators remains unclear and requires further research. Full article
(This article belongs to the Section Respiratory Medicine)
13 pages, 441 KB  
Article
Pulmonary Involvement in Patients with Positive Myositis Antibodies in Rheumatology: A Retrospective Monocentric Analysis
by Falk Schumacher, Malte Kanbach, Maximilian Zimmermann, Daniel Majorski, Wigbert Schulze, Maximilian Wollsching-Strobel, Doreen Kroppen, Sarah Bettina Stanzel, Wolfram Windisch, Johannes Strunk and Melanie Berger
J. Clin. Med. 2025, 14(15), 5443; https://doi.org/10.3390/jcm14155443 - 1 Aug 2025
Viewed by 883
Abstract
Background: Pulmonary involvement is the most common prognosis-related organ involvement in idiopathic inflammatory myopathy (IIM). Owing to the large number of antibodies, the evidence for lung involvement and rare antibodies is limited. In everyday clinical practice, the interpretation of positive myositis antibodies represents [...] Read more.
Background: Pulmonary involvement is the most common prognosis-related organ involvement in idiopathic inflammatory myopathy (IIM). Owing to the large number of antibodies, the evidence for lung involvement and rare antibodies is limited. In everyday clinical practice, the interpretation of positive myositis antibodies represents a challenge. Methods: This study is a retrospective monocentric analysis. The data collection regarding positive myositis antibodies and possible pulmonary involvement was carried out from July 2019 to May 2022. Data analysis revealed positive results for one of the following antibodies: EJ, PL7, OJ, PL12, Mi-2α, TIF1γ, MDA5, SAE, NXP2, SRP, Ku, PM-Scl100 and PM-Scl75. In our analysis, patients with IIM, patients with inflammatory rheumatic disease other than IIM and patients without inflammatory rheumatic disease are described. The results of high-resolution computed tomography (HRCT), pulmonary function tests, echocardiographic examinations and their associated clinical findings are examined. Results: In the entire cohort, 209 patients with positive myositis antibodies were detected. In total, 22 (10.5%) patients had interstitial lung disease (ILD) patterns on HRCT. In the subgroup of patients with IIM, a significantly higher proportion of patients with lung involvement (n = 13, 35.1%) was found than in the group with other inflammatory rheumatic diseases (IRDs) (n = 6, 6.7%) or in the group without IRDs (n = 3, 3.7%). When the antibody groups were considered, the PL12-positive patients had the largest proportion of ILD (42%), followed by the MDA5-positive patients (40%). Conclusions: In patients with IIM, myositis antibodies are highly relevant for assessing the risk of lung involvement. In groups with other IRD or without IRD, antibody detection does not represent this high relevance for lung involvement. A differentiated assessment of the various MSAs or MAAs detected, as well as clinical parameters, allows for further important risk assessment for prognosis-relevant lung involvement. Full article
(This article belongs to the Section Immunology & Rheumatology)
Show Figures

Figure 1

Back to TopTop