Sign in to use this feature.

Years

Between: -

Subjects

remove_circle_outline
remove_circle_outline
remove_circle_outline
remove_circle_outline
remove_circle_outline

Journals

Article Types

Countries / Regions

Search Results (13)

Search Parameters:
Keywords = geniposide derivative

Order results
Result details
Results per page
Select all
Export citation of selected articles as:
15 pages, 2137 KB  
Article
Root-Exudate-Mediated Modulation of the Rhizosphere Microbiome in Brassica juncea var. tumida During Plasmodiophora brassicae Infection
by Diandong Wang, Jingjing Liao, Zhaoming Cai, Luyun Luo, Jiayu Shi, Xiaoyang Qin, Xinrui Xu, Ling Li and Xueliang Tian
Agronomy 2025, 15(8), 1944; https://doi.org/10.3390/agronomy15081944 - 12 Aug 2025
Viewed by 1403
Abstract
Disease caused by Plasmodiophora brassicae severely disrupts cruciferous crops by altering root physiology and rhizosphere ecology. While pathogen-induced shifts in rhizosphere microbiomes are documented, the mechanisms linking root exudate reprogramming to microbial community remodeling remain poorly understood. Here, we integrated untargeted metabolomics and [...] Read more.
Disease caused by Plasmodiophora brassicae severely disrupts cruciferous crops by altering root physiology and rhizosphere ecology. While pathogen-induced shifts in rhizosphere microbiomes are documented, the mechanisms linking root exudate reprogramming to microbial community remodeling remain poorly understood. Here, we integrated untargeted metabolomics and 16S rRNA sequencing to investigate how root exudates reshape the rhizosphere microbiome of tumorous stem mustard (Brassica juncea var. tumida) through P. brassicae infection. Metabolomic profiling identified 1718 root exudate metabolites, with flavones (e.g., apigenin 7-O-β-D-rutinoside, VIP > 1.5) and phenolic derivatives (e.g., gastrodin) being selectively enriched in infected plants. P. brassicae infection significantly increased rhizobacterial richness (ACE index, p < 0.05) and restructured the community composition, marked by enrichment of Paenibacillus (LDA score > 3.0). Procrustes analysis revealed tight coupling between microbial community shifts and metabolic reprogramming (M2 = 0.446, p = 0.005), while Spearman correlations implicated pathogen-induced metabolites like geniposidic acid in recruiting beneficial Paenibacillus. Our results reveal that plant hosts dynamically secrete defense-related root metabolites to remodel the rhizosphere microbiome in response to P. brassicae infection. This dual-omics approach elucidates a chemical dialogue mediating plant–microbe–pathogen interactions, offering novel insights for engineering disease-suppressive microbiomes through root exudate manipulation. Full article
(This article belongs to the Section Pest and Disease Management)
Show Figures

Figure 1

24 pages, 4089 KB  
Article
GENI as an AMPK Activator Binds α and γ Subunits and Improves the Memory Dysfunction of Alzheimer’s Disease Mouse Models via Autophagy and Neuroprotection
by Ying Wang, Lanjie Li, Danni Chen, Jiaheng Shan, Meijuan Yi, Hiroyuki Osada, Minoru Yoshida, Lan Xiang and Jianhua Qi
Antioxidants 2025, 14(1), 57; https://doi.org/10.3390/antiox14010057 - 6 Jan 2025
Cited by 2 | Viewed by 2305
Abstract
Geniposidic 4-isoamyl ester (GENI) with anti-aging effects is a new iridoid glycoside derivative from Gardenia jasminoides Ellis found in our previous study. In this study, to indicate whether this compound has anti-Alzheimer’s disease (AD) effect, the galactose-induced AD mice and naturally aging mice [...] Read more.
Geniposidic 4-isoamyl ester (GENI) with anti-aging effects is a new iridoid glycoside derivative from Gardenia jasminoides Ellis found in our previous study. In this study, to indicate whether this compound has anti-Alzheimer’s disease (AD) effect, the galactose-induced AD mice and naturally aging mice with AD were used to do drug efficacy evaluation. Furthermore, the Western blot, small interfering RNA (siRNA), drug affinity responsive target stability (DARTS), cellular thermal shift assay (CESTA), liquid chromatography-tandem mass spectrometry (LC/MS-MS), adenosine 5′-monophosphate-activated protein kinase (AMPK) mutants and surface plasmon resonance (SPR) analysis were utilized to clarify the mechanism of action and identify target protein of this molecule. GENI exerts anti-AD efficacy in galactose-induced AD mice and naturally aging mice with AD through neuroprotection and modification of autophagy and neuron inflammation. Moreover, AMPK as the target protein of GENI to produce an anti-AD effect is identified and the ASP148, ASP157, and ASP166 of the AMPK α subunit and lysine (LYS)148, aspartic acid (ASP)156, LYS309, and ASP316 in the AMPK γ subunit as binding sites are confirmed. Meanwhile, the AMPK/unc-51-like autophagy-activating kinase 1 (ULK1)/microtubule-associated protein 1 light chain 3 beta (LC3B) and AMPK/mammalian target of rapamycin (mTOR) signaling pathways involved in anti-AD effects of GENI. The findings provide a new perspective on treating neurodegenerative diseases by activating AMPK for the energy metabolism disorder. Full article
(This article belongs to the Section Health Outcomes of Antioxidants and Oxidative Stress)
Show Figures

Figure 1

27 pages, 9569 KB  
Article
Ligand-Based Drug Design of Genipin Derivatives with Cytotoxic Activity against HeLa Cell Line: A Structural and Theoretical Study
by Diana López-López, Rodrigo Said Razo-Hernández, César Millán-Pacheco, Mario Alberto Leyva-Peralta, Omar Aristeo Peña-Morán, Jessica Nayelli Sánchez-Carranza and Verónica Rodríguez-López
Pharmaceuticals 2023, 16(12), 1647; https://doi.org/10.3390/ph16121647 - 23 Nov 2023
Cited by 8 | Viewed by 2444
Abstract
Cervical cancer is a malignant neoplastic disease, mainly associated to HPV infection, with high mortality rates. Among natural products, iridoids have shown different biological activities, including cytotoxic and antitumor effects, in different cancer cell types. Geniposide and its aglycone Genipin have been assessed [...] Read more.
Cervical cancer is a malignant neoplastic disease, mainly associated to HPV infection, with high mortality rates. Among natural products, iridoids have shown different biological activities, including cytotoxic and antitumor effects, in different cancer cell types. Geniposide and its aglycone Genipin have been assessed against different types of cancer. In this work, both iridoids were evaluated against HeLa and three different cervical cancer cell lines. Furthermore, we performed a SAR analysis incorporating 13 iridoids with a high structural similarity to Geniposide and Genipin, also tested in the HeLa cell line and at the same treatment time. Derived from this analysis, we found that the dipole moment (magnitude and direction) is key for their cytotoxic activity in the HeLa cell line. Then, we proceeded to the ligand-based design of new Genipin derivatives through a QSAR model (R2 = 87.95 and Q2 = 62.33) that incorporates different quantum mechanic molecular descriptor types (ρ, ΔPSA, Polarizability2, and logS). Derived from the ligand-based design, we observed that the presence of an aldehyde or a hydroxymethyl in C4, hydroxyls in C1, C6, and C8, and the lack of the double bond in C7–C8 increased the predicted biological activity of the iridoids. Finally, ten simple iridoids (D9, D107, D35, D36, D55, D56, D58, D60, D61, and D62) are proposed as potential cytotoxic agents against the HeLa cell line based on their predicted IC50 value and electrostatic features. Full article
(This article belongs to the Special Issue Structural and Computational-Driven Molecule Design in Drug Discovery)
Show Figures

Figure 1

28 pages, 5518 KB  
Article
Nature-Derived Compounds as Potential Bioactive Leads against CDK9-Induced Cancer: Computational and Network Pharmacology Approaches
by Abu Saim Mohammad Saikat, Khattab Al-Khafaji, Hafeza Akter, Jong-Gu Choi, Mahbub Hasan and Sang-Suk Lee
Processes 2022, 10(12), 2512; https://doi.org/10.3390/pr10122512 - 25 Nov 2022
Cited by 4 | Viewed by 3003
Abstract
Given the importance of cyclin-dependent kinases (CDKs) in the maintenance of cell development, gene transcription, and other essential biological operations, CDK blockers have been generated to manage a variety of disorders resulting from CDK irregularities. Furthermore, CDK9 has a crucial role in transcription [...] Read more.
Given the importance of cyclin-dependent kinases (CDKs) in the maintenance of cell development, gene transcription, and other essential biological operations, CDK blockers have been generated to manage a variety of disorders resulting from CDK irregularities. Furthermore, CDK9 has a crucial role in transcription by regulating short-lived anti-apoptotic genes necessary for cancer cell persistence. Addressing CDK9 with blockers has consequently emerged as a promising treatment for cancer. This study scrutinizes the effectiveness of nature-derived compounds (geniposidic acid, quercetin, geniposide, curcumin, and withanolide C) against CDK9 through computational approaches. A molecular docking study was performed after preparing the protein and the ligands. The selected blockers of the CDK9 exerted reliable binding affinities (−8.114 kcal/mol to −13.908 kcal/mol) against the selected protein, resulting in promising candidates compared to the co-crystallized ligand (LCI). The binding affinity of geniposidic acid (−13.908 kcal/mol) to CDK9 is higher than quercetin (−10.775 kcal/mol), geniposide (−9.969 kcal/mol), curcumin (−9.898 kcal/mol), withanolide C (−8.114 kcal/mol), and the co-crystallized ligand LCI (−11.425 kcal/mol). Therefore, geniposidic acid is a promising inhibitor of CDK9. Moreover, the molecular dynamics studies assessed the structure–function relationships and protein–ligand interactions. The network pharmacology study for the selected ligands demonstrated the auspicious compound–target–pathway signaling pathways vital in developing tumor, tumor cell growth, differentiation, and promoting tumor cell progression. Moreover, this study concluded by analyzing the computational approaches the natural-derived compounds that have potential interacting activities against CDK9 and, therefore, can be considered promising candidates for CKD9-induced cancer. To substantiate this study’s outcomes, in vivo research is recommended. Full article
Show Figures

Graphical abstract

14 pages, 2261 KB  
Article
A New Geniposidic Acid Derivative Exerts Antiaging Effects through Antioxidative Stress and Autophagy Induction
by Ying Wang, Yanjun Pan, Yanan Liu, Dejene Disasa, Matsuura Akira, Lan Xiang and Jianhua Qi
Antioxidants 2021, 10(6), 987; https://doi.org/10.3390/antiox10060987 - 21 Jun 2021
Cited by 25 | Viewed by 3938
Abstract
Two compounds that can prolong the replicative lifespan of yeast, geniposidic acid (Compound 1) and geniposide (Compound 2), were isolated from Gardenia jasminoides Ellis. Compared with Compound 1, Compound 2 was different at C11 and showed better bioactivity. On this [...] Read more.
Two compounds that can prolong the replicative lifespan of yeast, geniposidic acid (Compound 1) and geniposide (Compound 2), were isolated from Gardenia jasminoides Ellis. Compared with Compound 1, Compound 2 was different at C11 and showed better bioactivity. On this basis, seven new geniposidic derivatives (39) were synthesized. Geniposidic 4-isoamyl ester (8, GENI), which remarkably prolonged the replicative and chronological lifespans of K6001 yeast at 1 µM, was used as the lead compound. Autophagy and antioxidative stress were examined to clarify the antiaging mechanism of GENI. GENI increased the enzymes activities and gene expression levels of superoxide dismutase (SOD) and reduced the contents of reactive oxygen species (ROS) and malondialdehyde (MDA) to improve the survival rate of yeast under oxidative stress. In addition, GENI did not extend the replicative lifespan of ∆sod1, ∆sod2, ∆uth1, ∆skn7, ∆cat, and ∆gpx mutants with K6001 background. The free green fluorescent protein (GFP) signal from the cleavage of GFP-Atg8 was increased by GENI. The protein level of free GFP showed a considerable increase and was time-dependent. Furthermore, GENI failed to extend the replicative lifespans of ∆atg32 and ∆atg2 yeast mutants. These results indicated that antioxidative stress and autophagy induction were involved in the antiaging effect of GENI. Full article
(This article belongs to the Section Natural and Synthetic Antioxidants)
Show Figures

Graphical abstract

38 pages, 8189 KB  
Review
Anticancer Activity of Natural Compounds from Plant and Marine Environment
by Anna Lichota and Krzysztof Gwozdzinski
Int. J. Mol. Sci. 2018, 19(11), 3533; https://doi.org/10.3390/ijms19113533 - 9 Nov 2018
Cited by 423 | Viewed by 22734
Abstract
This paper describes the substances of plant and marine origin that have anticancer properties. The chemical structure of the molecules of these substances, their properties, mechanisms of action, their structure–activity relationships, along with their anticancer properties and their potential as chemotherapeutic drugs are [...] Read more.
This paper describes the substances of plant and marine origin that have anticancer properties. The chemical structure of the molecules of these substances, their properties, mechanisms of action, their structure–activity relationships, along with their anticancer properties and their potential as chemotherapeutic drugs are discussed in this paper. This paper presents natural substances from plants, animals, and their aquatic environments. These substances include the vinca alkaloids, mistletoe plant extracts, podophyllotoxin derivatives, taxanes, camptothecin, combretastatin, and others including geniposide, colchicine, artesunate, homoharringtonine, salvicine, ellipticine, roscovitine, maytanasin, tapsigargin, and bruceantin. Compounds (psammaplin, didemnin, dolastin, ecteinascidin, and halichondrin) isolated from the marine plants and animals such as microalgae, cyanobacteria, heterotrophic bacteria, invertebrates (e.g., sponges, tunicates, and soft corals) as well as certain other substances that have been tested on cells and experimental animals and used in human chemotherapy. Full article
(This article belongs to the Section Bioactives and Nutraceuticals)
Show Figures

Graphical abstract

28 pages, 13983 KB  
Review
Plant-Derived Anticancer Agents: Lessons from the Pharmacology of Geniposide and Its Aglycone, Genipin
by Solomon Habtemariam and Giovanni Lentini
Biomedicines 2018, 6(2), 39; https://doi.org/10.3390/biomedicines6020039 - 26 Mar 2018
Cited by 106 | Viewed by 12736
Abstract
For centuries, plants have been exploited by mankind as sources of numerous cancer chemotherapeutic agents. Good examples of anticancer compounds of clinical significance today include the taxanes (e.g., taxol), vincristine, vinblastine, and the podophyllotoxin analogues that all trace their origin to higher plants. [...] Read more.
For centuries, plants have been exploited by mankind as sources of numerous cancer chemotherapeutic agents. Good examples of anticancer compounds of clinical significance today include the taxanes (e.g., taxol), vincristine, vinblastine, and the podophyllotoxin analogues that all trace their origin to higher plants. While all these drugs, along with the various other available therapeutic options, brought some relief in cancer management, a real breakthrough or cure has not yet been achieved. This critical review is a reflection on the lessons learnt from decades of research on the iridoid glycoside geniposide and its aglycone, genipin, which are currently used as gold standard reference compounds in cancer studies. Their effects on tumour development (carcinogenesis), cancer cell survival, and death, with particular emphasis on their mechanisms of actions, are discussed. Particular attention is also given to mechanisms related to the dual pro-oxidant and antioxidant effects of these compounds, the mitochondrial mechanism of cancer cell killing through reactive oxygen species (ROS), including that generated through the uncoupling protein-2 (UCP-2), the inflammatory mechanism, and cell cycle regulation. The implications of various studies for the evaluation of glycosidic and aglycone forms of natural products in vitro and in vivo through pharmacokinetic scrutiny are also addressed. Full article
(This article belongs to the Special Issue Plant Derived Biomedicines)
Show Figures

Graphical abstract

14 pages, 4258 KB  
Article
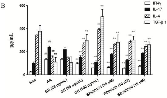
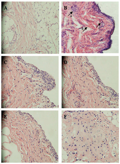
Immunosuppressive Effect of Geniposide on Mitogen-Activated Protein Kinase Signalling Pathway and Their Cross-Talk in Fibroblast-Like Synoviocytes of Adjuvant Arthritis Rats
by Feng Li, Miaomiao Dai, Hong Wu, Ran Deng, Jun Fu, Zhengrong Zhang, Li Dai, Wenyu Wang, Xuejing Dai, Xiang Zhan and Yan Wang
Molecules 2018, 23(1), 91; https://doi.org/10.3390/molecules23010091 - 2 Jan 2018
Cited by 24 | Viewed by 4841
Abstract
Geniposide (GE), an iridoid glycoside compound derived from Gardenia jasminoides Ellis fruit, is known to have anti-inflammatory and immunoregulatory activities. The aim of this study was to investigate the protective mechanism of GE in the regulation of the mitogen-activated protein kinase (MAPK) signalling [...] Read more.
Geniposide (GE), an iridoid glycoside compound derived from Gardenia jasminoides Ellis fruit, is known to have anti-inflammatory and immunoregulatory activities. The aim of this study was to investigate the protective mechanism of GE in the regulation of the mitogen-activated protein kinase (MAPK) signalling pathway and the cross-talk among the MAPK signalling pathway in fibroblast-like synoviocytes (FLS) of adjuvant arthritis (AA) rats. AA was induced by injecting with Freund’s complete adjuvant. Male SD rats and FLS were subjected to treatment with GE (30, 60 and 120 mg/kg) in vivo from day 14 to 21 after immunization and GE (25, 50 and 100 μg/mL) in vitro, respectively. The proliferation of FLS was assessed by MTT. IL-4, IL-17, IFN-γ, and TGF-β1 were determined by ELISA. Key proteins in the MAPK signalling pathway were detected by Western blot. GE significantly reduced the proliferation of FLS, along with decreased IFN-γ and IL-17 and increased IL-4 and TGF-β1. In addition, GE decreased the expression of p-JNK, p-ERK1/2 and p-p38 in FLS of AA rats. Furthermore, disrupting one MAPK pathway inhibited the activation of other MAPK pathways, suggesting cross-talk among MAPK signalling. In vivo study, it was also observed that GE attenuated histopathologic changes in the synovial tissue of AA rats. Collectively, the mechanisms by which GE exerts anti-inflammatory and immunoregulatory effects may be related to the synergistic effect of JNK, ERK1/2 and p38. Targeting MAPK signalling may be a new therapeutic strategy in inflammatory/autoimmune diseases. Full article
Show Figures

Figure 1

29 pages, 864 KB  
Review
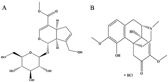
A Review on the Phytochemistry, Pharmacology, Pharmacokinetics and Toxicology of Geniposide, a Natural Product
by Mingqiu Shan, Sheng Yu, Hui Yan, Sheng Guo, Wei Xiao, Zhenzhong Wang, Li Zhang, Anwei Ding, Qinan Wu and Sam Fong Yau Li
Molecules 2017, 22(10), 1689; https://doi.org/10.3390/molecules22101689 - 10 Oct 2017
Cited by 114 | Viewed by 13364
Abstract
Iridoid glycosides are natural products occurring widely in many herbal plants. Geniposide (C17H24O10) is a well-known one, present in nearly 40 species belonging to various families, especially the Rubiaceae. Along with this herbal component, dozens of its [...] Read more.
Iridoid glycosides are natural products occurring widely in many herbal plants. Geniposide (C17H24O10) is a well-known one, present in nearly 40 species belonging to various families, especially the Rubiaceae. Along with this herbal component, dozens of its natural derivatives have also been isolated and characterized by researchers. Furthermore, a large body of pharmacological evidence has proved the various biological activities of geniposide, such as anti-inflammatory, anti-oxidative, anti-diabetic, neuroprotective, hepatoprotective, cholagogic effects and so on. However, there have been some research articles on its toxicity in recent years. Therefore, this review paper aims to provide the researchers with a comprehensive profile of geniposide on its phytochemistry, pharmacology, pharmacokinetics and toxicology in order to highlight some present issues and future perspectives as well as to help us develop and utilize this iridoid glycoside more efficiently and safely. Full article
(This article belongs to the Collection Bioactive Compounds)
Show Figures

Figure 1

11 pages, 8868 KB  
Article
Evaluation of the Antidepressant Activity, Hepatotoxicity and Blood Brain Barrier Permeability of Methyl Genipin
by Xin Che, Meiyu Wang, Tian Wang, Huaying Fan, Mingyan Yang, Wenyan Wang and Hui Xu
Molecules 2016, 21(7), 923; https://doi.org/10.3390/molecules21070923 - 16 Jul 2016
Cited by 15 | Viewed by 6343
Abstract
Geniposide (GE) is the main bioactive component of Gardeniae Fructus. The hepatotoxicity of geniposide limited clinical application. In order to get a new geniposide derivative that has less hepatotoxicity and still possesses the antidepressant activity, a new C-1 hydroxyl methylation derivative named methyl [...] Read more.
Geniposide (GE) is the main bioactive component of Gardeniae Fructus. The hepatotoxicity of geniposide limited clinical application. In order to get a new geniposide derivative that has less hepatotoxicity and still possesses the antidepressant activity, a new C-1 hydroxyl methylation derivative named methyl genipin (MG) was synthesized from geniposide. In the present study, we demonstrated that MG did not increase the liver index, alanine aminotransferase (ALT) and aspirate aminotransferase (AST). Histopathological examination suggested that no toxic damages were observed in rats treated orally with MG (0.72 mmol/kg). More importantly, a 7-day treatment with MG at 0.13, 0.26, and 0.52 mmol/kg/day could reduce the duration of immobility. It showed that the antidepressant-like effects of MG were similar to GE in the tail suspension test and the forced swim test. Furthermore, we found MG could be detected in the brain homogenate of mice treated orally with MG 0.52 mmol/kg/day for 1 day by HPLC. The area under the curve (AUC) of MG in the brain homogenate was enhanced to 21.7 times that of GE. The brain amount and distribution speed of MG were improved significantly after oral administration. This study demonstrated that MG possessed the antidepressant effects and could cross the blood–brain barrier, but had less hepatotoxicity. Full article
(This article belongs to the Section Medicinal Chemistry)
Show Figures

Graphical abstract

12 pages, 13344 KB  
Article
Pharmacokinetic-Pharmacodynamic Modeling to Study the Antipyretic Effect of Qingkailing Injection on Pyrexia Model Rats
by Zhixin Zhang, Lingling Qin, Long Peng, Qingqing Zhang, Qing Wang, Zhiwei Lu, Yuelin Song and Xiaoyan Gao
Molecules 2016, 21(3), 317; https://doi.org/10.3390/molecules21030317 - 7 Mar 2016
Cited by 32 | Viewed by 9040
Abstract
Qingkailing injection (QKLI) is a modern Chinese medicine preparation derived from a well-known classical formulation, An-Gong-Niu-Huang Wan. Although the clinical efficacy of QKLI has been well defined, its severe adverse drug reactions (ADRs) were extensively increased. Through thorough attempts to reduce ADR rates, [...] Read more.
Qingkailing injection (QKLI) is a modern Chinese medicine preparation derived from a well-known classical formulation, An-Gong-Niu-Huang Wan. Although the clinical efficacy of QKLI has been well defined, its severe adverse drug reactions (ADRs) were extensively increased. Through thorough attempts to reduce ADR rates, it was realized that the effect-based rational use plays the key role in clinical practices. Hence, the pharmacokinetic-pharmacodynamic (PK-PD) model was introduced in the present study, aiming to link the pharmacokinetic profiles with the therapeutic outcomes of QKLI, and subsequently to provide valuable guidelines for the rational use of QKLI in clinical settings. The PK properties of the six dominant ingredients in QKLI were compared between the normal treated group (NTG) and the pyrexia model group (MTG). Rectal temperatures were measured in parallel with blood sampling for NTG, MTG, model control group (MCG), and normal control group (NCG). Baicalin and geniposide exhibited appropriate PK parameters, and were selected as the PK markers to map the antipyretic effect of QKLI. Then, a PK-PD model was constructed upon the bacalin and geniposide plasma concentrations vs. the rectal temperature variation values, by a two-compartment PK model with a Sigmoid Emax PD model to explain the time delay between the drug plasma concentration of PK markers and the antipyretic effect after a single dose administration of QKLI. The findings obtained would provide fundamental information to propose a more reasonable dosage regimen and improve the level of individualized drug therapy in clinical settings. Full article
(This article belongs to the Section Medicinal Chemistry)
Show Figures

Figure 1

17 pages, 357 KB  
Article
A New Furofuran Lignan Diglycoside and Other Secondary Metabolites from the Antidepressant Extract of Castilleja tenuiflora Benth
by Maribel Herrera-Ruiz, Ricardo López-Rodríguez, Gabriela Trejo-Tapia, Blanca Eda Domínguez-Mendoza, Manases González-Cortazar, Jaime Tortoriello and Alejandro Zamilpa
Molecules 2015, 20(7), 13127-13143; https://doi.org/10.3390/molecules200713127 - 21 Jul 2015
Cited by 17 | Viewed by 7415
Abstract
Castilleja tenuiflora has been used for the treatment of several Central Nervous System (CNS) diseases. Herein we report the antidepressant activity of the methanol extract from the leaves of this medicinal plant. The oral administration of MeOH extract (500 mg/kg) induced a significant [...] Read more.
Castilleja tenuiflora has been used for the treatment of several Central Nervous System (CNS) diseases. Herein we report the antidepressant activity of the methanol extract from the leaves of this medicinal plant. The oral administration of MeOH extract (500 mg/kg) induced a significant (p < 0.05) decrement of the immobility parameter on Forced Swimming Test (FST) and an increment in the latency and duration of the hypnosis, induced by administration of sodium pentobarbital (Pbi, 40 mg/kg, i.p.). Chemical analysis of this antidepressant extract allowed the isolation of (+)-piperitol-4-O-xylopyranosyl-(1→6)-O-glucopyranoside. This new furofuran lignan diglycoside was named tenuifloroside (1) and its complete chemical structure elucidation on the basis of 1D and 2D NMR spectra analysis of the natural compound 1 and its peracetylated derivative 1a is described. This compound was found together with two flavones—apigenin and luteolin 5-methyl ether—a phenylethanoid—verbascoside—and three iridoids—geniposide, caryoptoside and aucubin. All these compounds were purified by successive normal and reverse phase column chromatography. Tenuifloroside, caryoptoside and luteolin 5-methyl ether were isolated from Castilleja genus for the first time. These findings demonstrate that C. tenuiflora methanol extract has beneficial effect on depressive behaviors, and the knowledge of its chemical constitution allows us to propose a new standardized treatment for future investigations of this species in depressive illness. Full article
Show Figures

Graphical abstract

9 pages, 197 KB  
Article
Bioavailability and Brain-Targeting of Geniposide in Gardenia-Borneol Co-Compound by Different Administration Routes in Mice
by Yang Lu, Shouying Du, Jie Bai, Pengyue Li, Ran Wen and Xuejiao Zhao
Int. J. Mol. Sci. 2012, 13(11), 14127-14135; https://doi.org/10.3390/ijms131114127 - 1 Nov 2012
Cited by 40 | Viewed by 7084
Abstract
Both geniposide (Ge) and borneol (Bo) are bioactive substances derived from traditional Chinese medicine. Injections containing co-compound of Gardenia-Borneol are widely used for stroke treatment in China, such as “Xingnaojing” multi-component injection. As more and more adverse reactions (especially drug allergy) were reported, [...] Read more.
Both geniposide (Ge) and borneol (Bo) are bioactive substances derived from traditional Chinese medicine. Injections containing co-compound of Gardenia-Borneol are widely used for stroke treatment in China, such as “Xingnaojing” multi-component injection. As more and more adverse reactions (especially drug allergy) were reported, it is urgent to find more effective and safer routes of administration for such kinds of medicines. In this paper, bioavailabilities and brain-target effects of geniposide in Gardenia-Borneol co-compound through different administration routes in mice were investigated. Geniposide concentrations in plasma and in brain of mice were determined by reversed-phase high-performance liquid chromatography. The pharmacokinetics parameters of intranasal (i.n.) and intragastric (i.g.) administration were compared with intravenous (i.v.) administration. The bioavailabilities of Ge were 85.38% and 28.76% for i.n. and i.g. while Tmax were 1 min and 30 min. Cmax were 21.881 ± 5.398, 1.914 ± 0.327 and 42.410 ± 6.268 μg/mL for i.n., i.g. and i.v., respectively. The AUC of Ge in brain were 32413.6 ± 4573.9, 6440.1 ± 863.7 and 37270.5 ± 4160.6 ng/g·min for i.n., i.g. and i.v., respectively. The drug target indexes (DTI) were 1.02 and 0.60 for i.n. and i.g. The results demonstrated that geniposide could be absorbed promptly and thoroughly by i.n. administration in mice and basically transported into the brain though blood vessel passways. Full article
(This article belongs to the Section Biochemistry)
Show Figures

Back to TopTop