Evaluation of the Antidepressant Activity, Hepatotoxicity and Blood Brain Barrier Permeability of Methyl Genipin
Abstract
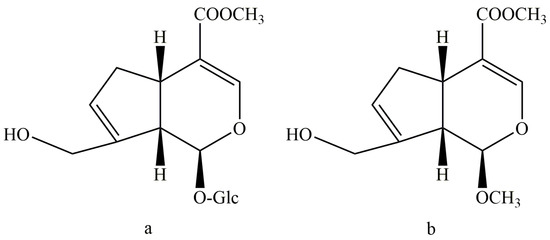
:1. Introduction
2. Results
2.1. Effects of GE or MG on Body Weight and Liver Index in Rats
2.2. Effects of GE or MG on Biochemical Parameters in Blood of Rats
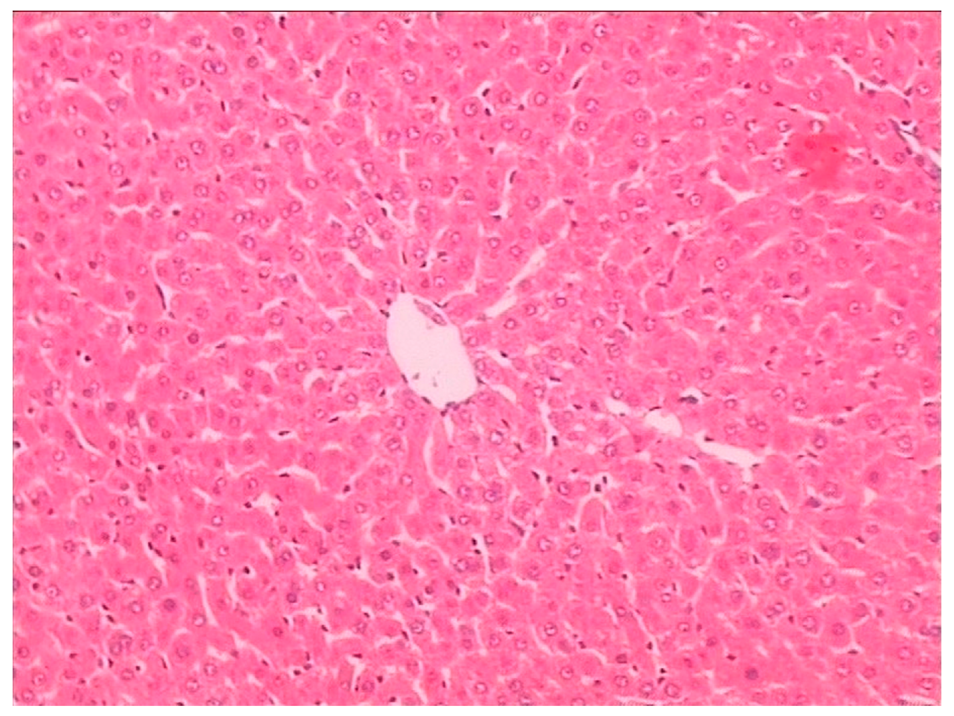
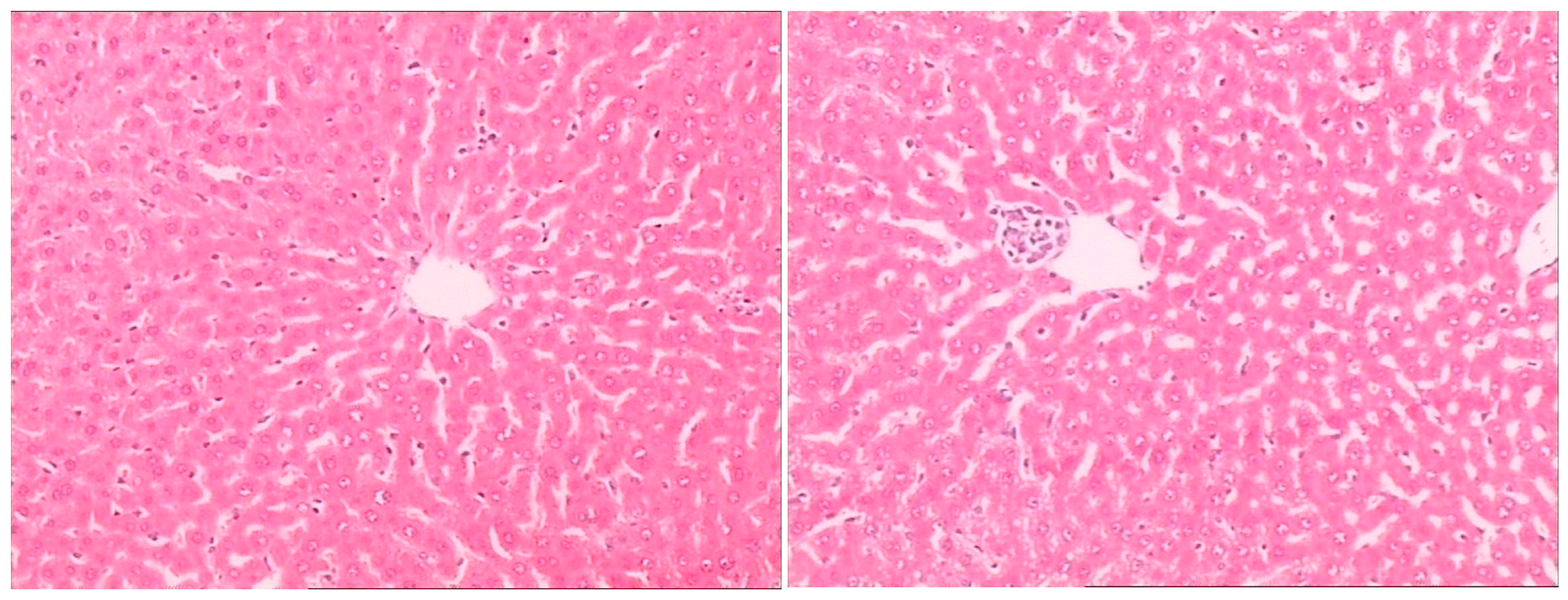
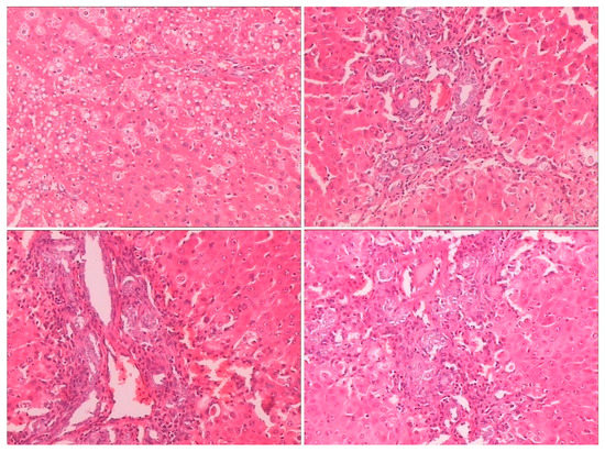
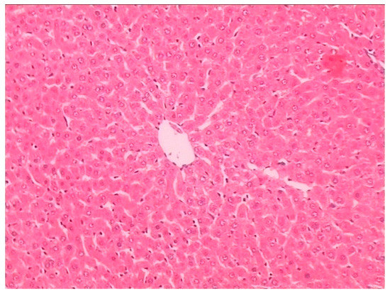
2.3. Histopathological Examination
2.4. Effects of GE or MG on Immobility Time in the Tail Suspension Test
2.5. Effects of GE or MG on Immobility Time in the Forced Swim Test
2.6. Blood–Brain Barrier Permeability
2.6.1. Method of Brain Samples Qualification
2.6.2. Brain Pharmacokinetics
3. Discussion
4. Experimental Section
4.1. Animals
4.2. Hepatotoxicity Evaluation of Methyl Genipin
4.3. Tail Suspension Test (TST)
4.4. Forced Swim Test (FST)
4.5. Brain Pharmacokinetics
4.5.1. Instrumentation
4.5.2. Chromatographic Conditions
4.5.3. In Vivo Experiments
4.6. Statistical Analysis
5. Conclusions
Acknowledgments
Author Contributions
Conflicts of Interest
References
- Gao, L.; Zhu, B.Y. The Accumulation of Crocin and Geniposide and transcripts of Phytoene Synthase during maturation of Gardenia jasminoides Fruit. Evid. Based Complement. Altern. Med. 2013, 3, e686351. [Google Scholar] [CrossRef] [PubMed]
- Chen, P.; Chen, Y.; Wang, Y.; Cai, S.; Deng, L.; Liu, J.; Zhang, H. Comparative evaluation of hepatoprotective activities of Geniposide, Crocins and Crocetin by CCl4-Induced liver Injury in mice. Biomol. Ther. 2016, 24, 156–162. [Google Scholar] [CrossRef] [PubMed]
- Ma, T.; Huang, C.; Zong, G.; Zha, D.; Meng, X.; Li, J.; Tang, W. Hepatoprotective effects of geniposide in a rat model of nonalcoholic steatohepatitis. J. Pharm. Pharmacol. 2011, 63, 587–593. [Google Scholar] [CrossRef] [PubMed]
- Liu, J.; Zheng, X.; Yin, F.; Hu, Y.; Guo, L.; Deng, X.; Chen, G.; Jiajia, J.; Zhang, H. Neurotrophic property of geniposide for inducing the neuronal differentiation of PC12 cells. Int. J. Dev. Neurosci. 2006, 24, 419–424. [Google Scholar] [CrossRef] [PubMed]
- Liu, J.; Yin, F.; Zheng, X.; Jing, J.; Hu, Y. Geniposide, a novel agonist for GLP-1 receptor, prevents PC12 cells from oxidative damage via MAP kinase pathway. Neurochem. Int. 2007, 51, 361–369. [Google Scholar] [CrossRef] [PubMed]
- Liu, J.H.; Yin, F.; Guo, L.X.; Deng, X.H.; Hu, Y.H. Neuroprotection of geniposide against hydrogen peroxide induced PC12 cells injury: Involvement of PI3 kinase signal pathway. Acta Pharmacol. Sin. 2009, 30, 159–165. [Google Scholar] [CrossRef] [PubMed]
- Wang, J.; Duan, P.; Cui, Y.; Li, Q.; Shi, Y. Geniposide alleviates depression-like behavior via enhancing BDNF expression in hippocampus of streptozotocin-evoked mice. Metab. Brain Dis. 2016, 16. [Google Scholar] [CrossRef] [PubMed]
- Cai, L.; Li, R.; Tang, W.J.; Meng, G.; Hu, X.Y.; Wu, T.N. Antidepressant-like effect of geniposide on chronic unpredictable mild stress-induced depressive rats by regulating the hypothalamus-pituitary-adrenal axis. Eur. Neuropsychopharmacol. 2015, 25, 1332–1341. [Google Scholar] [CrossRef] [PubMed]
- Kim, J.H.; Kim, G.H.; Hwang, K.H. Monoamine oxidase and dopamine.β-hydroxylase inhibitors from the fruits of Gardenia jasminoides. Biomol. Ther. 2012, 20, 214–219. [Google Scholar] [CrossRef] [PubMed]
- Ma, T.T.; Li, X.F.; Li, W.X.; Yang, Y.; Huang, C.; Meng, X.M.; Zhang, L.; Li, J. Geniposide alleviates inflammation by suppressing MeCP2 in mice with carbon tetrachloride-induced acute liver injury and LPS-treated THP-1 cells. Int. Immunopharmacol. 2015, 29, 739–747. [Google Scholar] [CrossRef] [PubMed]
- Deng, Y.; Guan, M.; Xie, X.; Yang, X.; Xiang, H.; Li, H.; Zou, L.; Wei, J.; Wang, D.; Deng, X. Geniposide inhibits airway inflammation and hyperresponsiveness in a mouse model of asthma. Int. Immunopharmacol. 2013, 17, 561–567. [Google Scholar] [CrossRef] [PubMed]
- Koo, H.J.; Lim, K.H.; Jung, H.J.; Park, E.H. Anti-inflammatory evaluation of gardenia extract, geniposide and genipin. J. Ethnopharmacol. 2006, 103, 496–500. [Google Scholar] [CrossRef] [PubMed]
- Wang, S.W.; Lai, C.Y.; Wang, C.J. Inhibitory effect of geniposide on aflatoxin B1-induced DNA repair synthesis in primary cultured rat hepatocytes. Cancer Lett. 1992, 65, 133–137. [Google Scholar] [CrossRef]
- Wu, S.Y.; Wang, G.F.; Liu, Z.Q.; Rao, J.J.; Lü, L.; Xu, W.; Wu, S.G.; Zhang, J.J. Effect of geniposide, a hypoglycemic glucoside, on hepatic regulating enzymes in diabetic mice induced by a high-fat diet and streptozotocin. Acta Pharmacol. Sin. 2009, 30, 202–208. [Google Scholar] [CrossRef] [PubMed]
- Suzuki, Y.; Kondo, K.; Ikeda, Y.; Umemura, K. Antithrombotic effect of geniposide and genipin in the mouse thrombosis model. Planta Med. 2001, 67, 807–810. [Google Scholar] [CrossRef] [PubMed]
- Ha, H.; Ho, J.; Shin, S.; Kim, H.; Koo, S.; Kim, I.H.; Kim, C. Effects of eucommiae cortex on osteoblast-like cell proliferation and osleoclast inhibition. Arch. Pharm. Res. 2003, 26, 929–936. [Google Scholar] [CrossRef] [PubMed]
- Yamano, T.; Tsujimoto, Y.; Noda, T.; Shimizu, M.; Ohmori, M.; Morita, S.; Yamada, A. Hepatotoxicity of gardenia yellow color in rat. Toxicol. Lett. 1988, 44, 177–182. [Google Scholar] [PubMed]
- Yang, H.J.; Fu, M.H.; Wu, Z.L.; Liang, R.X.; Huang, L.Q.; Fang, J.; Li, G.; Cao, Y. Experimental studies on hepatotoxicity of rats induced by Fructus Gardeniae. China J. Chin. Mater. Med. 2006, 31, 1091–1093. [Google Scholar]
- Akao, T.; Kobashi, K.; Aburada, M. Enzymic studies on the animal and intestinal bacteria metabolism of geniposide. Biol. Pharm. Bull. 1994, 17, 1573–1576. [Google Scholar] [CrossRef] [PubMed]
- Wang, M.Y.; Zou, Q.Q.; Liu, K.; Xu, H.; Fan, H.Y.; Che, X. Isolation and structural identification of epimers of methyl genipin. Nat. Prod. Res. Dev. 2014, 26, 305–308. [Google Scholar]
- Yamano, T.; Tsujimoto, Y.; Noda, T.; Shimizu, M.; Ohmori, M.; Morita, S.; Yamada, A. Hepatotoxicity of geniposide in rats. Food Chem. Toxicol. 1990, 28, 515–519. [Google Scholar] [CrossRef]
- Paik, Y.; Lee, C.; Cho, M.; Hahn, T. Physical stability of the blue pigments formed from geniposide of gardenia fruits: Effects of pH, temperature, and light. J. Agric. Food Chem. 2001, 49, 430–432. [Google Scholar] [CrossRef] [PubMed]
- Porsolt, R.D.; Bertin, A.; Jalfre, M. Behavioral despair in mice: A primary screening test for antidepressants. Arch. Int. Pharmacodyn. Ther. 1997, 229, 326–327. [Google Scholar]
- Renard, C.E.; Dailly, E.; David, D.J. Monoamine metabolism changes following the mouse forced swimming test but not the tail suspension test. Fundam. Clin. Pharmacol. 2003, 17, 449–455. [Google Scholar] [CrossRef] [PubMed]
- Willner, P. Validity, reliability and utility of the chronic mild stress model of depression: A 10-year review and evaluation. Psychopharmacology 1997, 134, 319–329. [Google Scholar] [CrossRef] [PubMed]
- Pechnick, R.N.; Chesnokova, V.M.; Kariagina, A.; Price, S.; Bresee, C.J.; Poland, R.E. Reduced immobility in the forced swim test in mice with a targeted deletion of the leukemia inhibitoryfactor (lif) gene. Neuropsychopharmacology 2004, 29, 770–776. [Google Scholar] [CrossRef] [PubMed]
- Sample Availability: Not available.









| Group | Dosage (mmol/kg) | N | Body Weight before Administration/g | Body Weight after Administration/g | Liver Index |
|---|---|---|---|---|---|
| Control | — | 10 | 265.1 ± 18.9 | 245.1 ± 16.3 | 3.1 ± 0.5 |
| Geniposide | 0.72 | 10 (1) | 251.4 ± 9.7 | 226.3 ± 8.1 * | 4.4 ± 0.5 ** |
| Methyl genipin | 0.72 | 10 | 259.4 ± 13.8 | 243.0 ± 11.8 | 2.7 ± 0.2 |
| Group | Dosage (mmol/kg) | N | ALT/U·L−1 | AST/U·L−1 | TBIL/μmol·L−1 |
| Control | — | 10 | 65.8 ± 10.8 | 179.4 ± 37.3 | 6.7 ± 4.2 |
| Geniposide | 0.72 | 10 (1) | 1304.6 ± 14.7 ** | 646.4 ± 15.4 ** | 33.1 ± 9.8 ** |
| Methyl genipin | 0.72 | 10 | 50.0 ± 8.6 * | 118.3 ± 19.7 ** | 10.2 ± 4.0 |
| Group | Parameters | |||
|---|---|---|---|---|
| Tmax (min) | Cmax (ng/mL) | AUC0–90 (ng/mL·min) | MRTlast (min) | |
| MG | 5 ** | 27592.7 ± 2536.7 ** | 332031.6 ± 28741.2 ** | 15.3 ± 0.6 ** |
| GE | 20 | 735.2 ± 64.9 | 23636.7 ± 2248.8 | 29.8 ± 2.6 |
© 2016 by the authors. Licensee MDPI, Basel, Switzerland. This article is an open access article distributed under the terms and conditions of the Creative Commons Attribution (CC-BY) license ( http://creativecommons.org/licenses/by/4.0/).
Share and Cite
Che, X.; Wang, M.; Wang, T.; Fan, H.; Yang, M.; Wang, W.; Xu, H. Evaluation of the Antidepressant Activity, Hepatotoxicity and Blood Brain Barrier Permeability of Methyl Genipin. Molecules 2016, 21, 923. https://doi.org/10.3390/molecules21070923
Che X, Wang M, Wang T, Fan H, Yang M, Wang W, Xu H. Evaluation of the Antidepressant Activity, Hepatotoxicity and Blood Brain Barrier Permeability of Methyl Genipin. Molecules. 2016; 21(7):923. https://doi.org/10.3390/molecules21070923
Chicago/Turabian StyleChe, Xin, Meiyu Wang, Tian Wang, Huaying Fan, Mingyan Yang, Wenyan Wang, and Hui Xu. 2016. "Evaluation of the Antidepressant Activity, Hepatotoxicity and Blood Brain Barrier Permeability of Methyl Genipin" Molecules 21, no. 7: 923. https://doi.org/10.3390/molecules21070923
APA StyleChe, X., Wang, M., Wang, T., Fan, H., Yang, M., Wang, W., & Xu, H. (2016). Evaluation of the Antidepressant Activity, Hepatotoxicity and Blood Brain Barrier Permeability of Methyl Genipin. Molecules, 21(7), 923. https://doi.org/10.3390/molecules21070923

