Sign in to use this feature.

Years

Between: -

Subjects

remove_circle_outline
remove_circle_outline
remove_circle_outline
remove_circle_outline

Journals

Article Types

Countries / Regions

Search Results (10)

Search Parameters:
Keywords = genic transformation

Order results
Result details
Results per page
Select all
Export citation of selected articles as:
23 pages, 5116 KB  
Article
Overexpression of Malus baccata WRKY63 Enhances Cold Tolerance by Increasing the Antioxidant Level Associated with ROS Scavenging
by Wanda Liu, Tianhe Wang, Xinhui Wang, Zhiwei Wang, Baitao Guo, Yu Wang, Xiaoyu Shen, Jilong Han, Wenhui Li and Deguo Han
Int. J. Mol. Sci. 2025, 26(24), 11997; https://doi.org/10.3390/ijms262411997 - 12 Dec 2025
Viewed by 204
Abstract
During their natural growth, plants encounter adverse environmental conditions, such as chilling injury, freezing injury, drought, and salt damage, collectively known as abiotic stresses. Several studies have shown that WRKY proteins regulate various abiotic stress responses and plant developmental processes. However, researchers have [...] Read more.
During their natural growth, plants encounter adverse environmental conditions, such as chilling injury, freezing injury, drought, and salt damage, collectively known as abiotic stresses. Several studies have shown that WRKY proteins regulate various abiotic stress responses and plant developmental processes. However, researchers have rarely investigated WRKY genes associated with the stress response in apples. Within this research, Malus baccata (L.) Borkh as the experimental material. We isolated and cloned MbWRKY63 and investigated its function in low-temperature stress tolerance. Subcellular localization analysis shows that MbWRKY63 localizes to the cell nucleus. Tissue-specific expression analysis revealed that MbWRKY63 is relatively highly expressed in the young leaves and root tissues of apples. Under low-temperature treatment at 4 °C, Arabidopsis thaliana plants that overexpressed MbWRKY63 showed greater cold stress resistance than the wild type (WT) and the empty vector (UL) control. In transgenic plants, the activities of superoxide dismutase (SOD), peroxidase (POD), and catalase (CAT) were significantly enhanced; meanwhile, the contents of proline, malondialdehyde (MDA), and chlorophyll also changed significantly. In addition, by regulating the expression levels of AtKIN1, AtCBF1, AtCBF2, AtCBF3, AtCOR47, and AtCOR15a, MbWRKY63 enhanced the low-temperature stress tolerance in transgenic Arabidopsis. The results suggest that MbWRKY63 in apples may be involved in the response to low-temperature stress, laying a foundation for understanding the role of WRKY transcription factors (TFs) in abiotic stress responses. Full article
(This article belongs to the Special Issue Advance in Plant Abiotic Stress: 4th Edition)
Show Figures

Graphical abstract

13 pages, 3053 KB  
Article
Development of Fragrant Thermosensitive Genic Male Sterile Line Rice Using CRISPR/Cas9
by Tengkui Chen, Na Pu, Menglin Ni, Huabin Xie, Zhe Zhao, Juan Hu, Zhanhua Lu, Wuming Xiao, Zhiqiang Chen, Xiuying He and Hui Wang
Agronomy 2025, 15(2), 411; https://doi.org/10.3390/agronomy15020411 - 6 Feb 2025
Cited by 2 | Viewed by 1500
Abstract
This study aimed to develop an aromatic thermosensitive genic male sterile (TGMS) line in indica rice using CRISPR/Cas9 technology. The TMS5 and FGR in the high-quality conventional rice variety Huahang 48 were targeted for editing using CRISPR/Cas9 technology. CRISPR/Cas9 vectors designed for TMS5 [...] Read more.
This study aimed to develop an aromatic thermosensitive genic male sterile (TGMS) line in indica rice using CRISPR/Cas9 technology. The TMS5 and FGR in the high-quality conventional rice variety Huahang 48 were targeted for editing using CRISPR/Cas9 technology. CRISPR/Cas9 vectors designed for TMS5 and FGR were constructed and introduced into rice calli through Agrobacterium-mediated transformation. Transgenic seedlings were subsequently regenerated, and the target sites of the edited plants were analyzed via sequencing. A total of fifteen T0 double mutants were successfully obtained. Three mutants without T-DNA insertion were screened in the T1 generation by the PCR detection of hygromycin gene fragments, and homozygous mutants without T-DNA insertion were screened in the T2 generation by the sequencing analysis of the mutation sites, named Huahang 48s. Huahang 48s exhibited complete sterility at 24 °C and pollen transfer at 23 °C. The 2-acetyl-1-pyrroline (2-AP) content was detected in the young panicles, leaves, and stems of Huahang 48s. The leaves of Huahang 48s had the highest 2-AP content, contrasting with the absence of 2-AP in HuaHang 48. F1 hybrids that crossed Huahang 48s with two high-quality restorer lines were superior to the two parents in terms of yield per plant and 1000-grain weight. Huahang 48s has a certain combining ability and application potential in two-line cross breeding. The successful application of CRISPR/Cas9 technology in Huahang 48 established a foundation for developing aromatic TGMS lines, providing both theoretical insights and practical materials for breeding efforts. Full article
(This article belongs to the Section Crop Breeding and Genetics)
Show Figures

Figure 1

23 pages, 5002 KB  
Article
Abscisic Acid Regulates the Occurrence and Recovery of the Striped Leaf Phenotype in Response to Lacking Light at the Base of Sheath in Rice by Modulating Carbohydrate Metabolism
by Jiasheng Chen, Shaowen Yang, Ming Fu, Ying He and Hanlai Zeng
Plants 2024, 13(15), 2090; https://doi.org/10.3390/plants13152090 - 28 Jul 2024
Cited by 2 | Viewed by 1777
Abstract
Rice B03S mutants with intermittent leaf discoloration were developed from the photoperiod- and thermosensitive genic male sterile (PTGMS) rice line Efeng 1S. After these plants were deeply transplanted, the new leaves manifested typical stripe patterns. In this study, deep and shallow transplantation of [...] Read more.
Rice B03S mutants with intermittent leaf discoloration were developed from the photoperiod- and thermosensitive genic male sterile (PTGMS) rice line Efeng 1S. After these plants were deeply transplanted, the new leaves manifested typical stripe patterns. In this study, deep and shallow transplantation of B03S was carried out, and aluminum shading was performed directly on the leaf sheath. It was determined that the reason for the appearance of the striped leaf trait was that the base of leaf sheath lacked light, at which time the sheath transformed from the source organ to the sink organ in rice. To elucidate the related metabolic changes in glycometabolism and abscisic acid (ABA) biosynthesis and transcriptional regulation in the leaf sheath, ultra-performance liquid chromatography/tandem mass spectrometry (UPLC-MS/MS) combined with transcriptome and real-time quantitative PCR (qPCR) validation were used for analysis after deep and shallow transplantation. The result indicates that the leaf sheath may need to compete with the new leaves for sucrose produced by the photosynthesis of old leaves in response to lacking light at the base of sheath. Moreover, the ABA content increases in the leaf sheath when the gene expression of ABA2 and AAO1 is upregulated at the same time, enhancing the plant’s resistance to the adverse condition of shading at the leaf sheath. Furthermore, exogenous spraying of B03S with ABA solution was carried out to help recovery under shading stress. The result indicates that the synthesis of endogenous ABA in the leaf sheath is reduced by spraying ABA. At the same time, ABA regulates sucrose metabolism by inhibiting the expression of the SUS gene. This allows for more sucrose synthesized by the old leaves to be transported to the new leaves, resulting an obvious recovery effect of the strip leaf character due to the re-balance of sugar supply and demand in B03S. These findings improve the understanding of the physiological function and metabolic mechanism of the rice leaf sheath, provide a theoretical basis for uneven leaf coloration in nature, and provide theoretical guidance for rice production via seedling transplantation or direct seeding. Full article
(This article belongs to the Collection Feature Papers in Plant Physiology and Metabolism)
Show Figures

Figure 1

15 pages, 4536 KB  
Article
Expediting Next-Generation Hybrid Technology in Recalcitrant Maize Inbreds through In Vivo Targeted Activity of CRISPR/Cas9
by Liudi Hou, Bing Xiao, Jinjie Zhu, Changlin Liu, Qingyu Wu, Chuanxiao Xie, Huawen Zou and Xiantao Qi
Int. J. Mol. Sci. 2024, 25(11), 5832; https://doi.org/10.3390/ijms25115832 - 27 May 2024
Viewed by 1778
Abstract
The Manipulated Genic Male Sterile Maintainer (MGM) system, a next-generation hybrid seed technology, enables efficient production of sortable seeds from genic male sterile (GMS) lines. However, implementing robust MGM systems in commercial maize inbred lines requires stable transformation, a genotype-specific and laborious process. [...] Read more.
The Manipulated Genic Male Sterile Maintainer (MGM) system, a next-generation hybrid seed technology, enables efficient production of sortable seeds from genic male sterile (GMS) lines. However, implementing robust MGM systems in commercial maize inbred lines requires stable transformation, a genotype-specific and laborious process. This study aimed to integrate MGM technology into the commercial maize inbred line Z372, developing both GMS and MGM lines. We utilized the MGM line ZC01-3A-7, which contains the MS26ΔE5 editor T-DNA and MGM T-DNA, previously established in the highly transformable ZC01 recipient plants. Through a combination of crossing and backcrossing with Z372, we targeted the fertility gene Ms26 within the Z372 genome for mutation using the in vivo CRISPR/Cas9 activity within the MS26ΔE5 editor T-DNA construct. This approach facilitated precise editing of the Ms26 locus, minimizing linkage drag associated with the Ms26 mutation. Whole-genome SNP analysis achieved a 98.74% recovery rate for GMS and 96.32% for MGM in the BC2F2 generation. Importantly, the Z372-GMS line with the ms26ΔE5 mutation is non-transgenic, avoiding linkage drag and demonstrating production readiness. This study represents a significant advancement in maize breeding, enabling the rapid generation of GMS and MGM lines for efficient hybrid seed production. Full article
(This article belongs to the Special Issue Plant Genome Editing)
Show Figures

Figure 1

48 pages, 5245 KB  
Review
Metabolic Roles of HIF1, c-Myc, and p53 in Glioma Cells
by Cristina Trejo-Solís, Rosa Angélica Castillo-Rodríguez, Norma Serrano-García, Daniela Silva-Adaya, Salvador Vargas-Cruz, Elda Georgina Chávez-Cortéz, Juan Carlos Gallardo-Pérez, Sergio Zavala-Vega, Arturo Cruz-Salgado and Roxana Magaña-Maldonado
Metabolites 2024, 14(5), 249; https://doi.org/10.3390/metabo14050249 - 25 Apr 2024
Cited by 20 | Viewed by 4906
Abstract
The metabolic reprogramming that promotes tumorigenesis in glioblastoma is induced by dynamic alterations in the hypoxic tumor microenvironment, as well as in transcriptional and signaling networks, which result in changes in global genetic expression. The signaling pathways PI3K/AKT/mTOR and RAS/RAF/MEK/ERK stimulate cell metabolism, [...] Read more.
The metabolic reprogramming that promotes tumorigenesis in glioblastoma is induced by dynamic alterations in the hypoxic tumor microenvironment, as well as in transcriptional and signaling networks, which result in changes in global genetic expression. The signaling pathways PI3K/AKT/mTOR and RAS/RAF/MEK/ERK stimulate cell metabolism, either directly or indirectly, by modulating the transcriptional factors p53, HIF1, and c-Myc. The overexpression of HIF1 and c-Myc, master regulators of cellular metabolism, is a key contributor to the synthesis of bioenergetic molecules that mediate glioma cell transformation, proliferation, survival, migration, and invasion by modifying the transcription levels of key gene groups involved in metabolism. Meanwhile, the tumor-suppressing protein p53, which negatively regulates HIF1 and c-Myc, is often lost in glioblastoma. Alterations in this triad of transcriptional factors induce a metabolic shift in glioma cells that allows them to adapt and survive changes such as mutations, hypoxia, acidosis, the presence of reactive oxygen species, and nutrient deprivation, by modulating the activity and expression of signaling molecules, enzymes, metabolites, transporters, and regulators involved in glycolysis and glutamine metabolism, the pentose phosphate cycle, the tricarboxylic acid cycle, and oxidative phosphorylation, as well as the synthesis and degradation of fatty acids and nucleic acids. This review summarizes our current knowledge on the role of HIF1, c-Myc, and p53 in the genic regulatory network for metabolism in glioma cells, as well as potential therapeutic inhibitors of these factors. Full article
(This article belongs to the Topic Cancer Cell Metabolism (2nd Edition))
Show Figures

Graphical abstract

13 pages, 2012 KB  
Article
The Lesson Learned from the Unique Evolutionary Story of Avirulence Gene AvrPii of Magnaporthe oryzae
by Xing Wang, Weihuai Wu, Yaling Zhang, Cheng Li, Jinyan Wang, Jianqiang Wen, Shulin Zhang, Yongxiang Yao, Weisheng Lu, Zhenghong Zhao, Jiasui Zhan and Qinghua Pan
Genes 2023, 14(5), 1065; https://doi.org/10.3390/genes14051065 - 11 May 2023
Cited by 10 | Viewed by 2236
Abstract
Blast, caused by Magnaporthe oryzae, is one of the most destructive diseases affecting rice production. Understanding population dynamics of the pathogen’s avirulence genes is pre-required for breeding and then deploying new cultivars carrying promising resistance genes. The divergence and population structure of [...] Read more.
Blast, caused by Magnaporthe oryzae, is one of the most destructive diseases affecting rice production. Understanding population dynamics of the pathogen’s avirulence genes is pre-required for breeding and then deploying new cultivars carrying promising resistance genes. The divergence and population structure of AvrPii was dissected in the populations of southern (Guangdong, Hunan, and Guizhou) and northern (Jilin, Liaoning, and Heilongjiang) China, via population genetic and evolutionary approaches. The evolutionary divergence between a known haplotype AvrPii-J and a novel one AvrPii-C was demonstrated by haplotype-specific amplicon-based sequencing and genetic transformation. The different avirulent performances of a set of seven haplotype-chimeric mutants suggested that the integrity of the full-length gene structures is crucial to express functionality of individual haplotypes. All the four combinations of phenotypes/genotypes were detected in the three southern populations, and only two in the northern three, suggesting that genic diversity in the southern region was higher than those in the northern one. The population structure of the AvrPii family was shaped by balancing, purifying, and positive selection pressures in the Chinese populations. The AvrPii-J was recognized as the wild type that emerged before rice domestication. Considering higher frequencies of avirulent isolates were detected in Hunan, Guizhou, and Liaoning, the cognate resistance gene Pii could be continuously used as a basic and critical resistance resource in such regions. The unique population structures of the AvrPii family found in China have significant implications for understanding how the AvrPii family has kept an artful balance and purity among its members (haplotypes) those keenly interact with Pii under gene-for-gene relationships. The lesson learned from case studies on the AvrPii family is that much attention should be paid to haplotype divergence of target gene. Full article
(This article belongs to the Topic Plant Domestication and Crop Evolution)
Show Figures

Figure 1

13 pages, 1499 KB  
Article
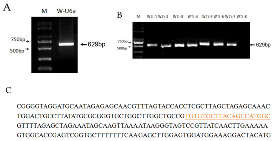
CRISPR/Cas9-Induced Mutagenesis of TMS5 Confers Thermosensitive Genic Male Sterility by Influencing Protein Expression in Rice (Oryza sativa L.)
by Yaoyu Fang, Jinlian Yang, Xinying Guo, Yufen Qin, Hai Zhou, Shanyue Liao, Fang Liu, Baoxiang Qin, Chuxiong Zhuang and Rongbai Li
Int. J. Mol. Sci. 2022, 23(15), 8354; https://doi.org/10.3390/ijms23158354 - 28 Jul 2022
Cited by 14 | Viewed by 3330
Abstract
The development of thermosensitive genic male sterile (TGMS) lines is the key to breeding two-line hybrid rice, which has been widely applied in China to increase grain yield. CRISPR/Cas9 has been widely used in genome editing to create novel mutants in rice. In [...] Read more.
The development of thermosensitive genic male sterile (TGMS) lines is the key to breeding two-line hybrid rice, which has been widely applied in China to increase grain yield. CRISPR/Cas9 has been widely used in genome editing to create novel mutants in rice. In the present study, a super grain quality line, GXU 47, was used to generate a new TGMS line with specific mutations in a major TGMS gene tms5 generated with CRISPR/Cas9-mediated genome editing in order to improve the rice quality of two-line hybrids. A mutagenesis efficiency level of 75% was achieved, and three homozygous T-DNA-free mutant lines were screened out. The mutants exhibited excellent thermosensitive male fertility transformation characteristics with complete male sterility at ≥24 °C and desirable male fertility at around 21 °C. Proteomic analysis based on isobaric tags for relative and absolute quantification (iTRAQ) was performed to unveil the subsequent proteomic changes. A total of 192 differentially expressed proteins (DEPs), including 35 upregulated and 157 downregulated, were found. Gene ontology (GO) analysis revealed that the DEPs were involved in a single-organism biosynthetic process, a single-organism metabolic process, oxidoreductase activity, and catalytic activity. Kyoto Encyclopedia of Genes and Genomes (KEGG) analysis showed that the DEPs were involved in ubiquinone and other terpenoid quinone biosynthesis, the biosynthesis of secondary metabolites, metabolic pathways, and phenylpropanoid biosynthesis. Our study shows that high mutation efficiency was achieved in both target sites, and T-DNA-free mutant lines were obtained in the T1 generation. The present study results prove that it is feasible and efficient to generate an excellent mutant line with CRISPR/Cas9, which provides a novel molecular mechanism of male sterility caused by the mutation of tms5. Full article
(This article belongs to the Special Issue Crop Genome Editing and Plant Breeding Innovation)
Show Figures

Figure 1

15 pages, 6214 KB  
Article
Use of CRISPR/Cas9-Based Gene Editing to Simultaneously Mutate Multiple Homologous Genes Required for Pollen Development and Male Fertility in Maize
by Xinze Liu, Shaowei Zhang, Yilin Jiang, Tingwei Yan, Chaowei Fang, Quancan Hou, Suowei Wu, Ke Xie, Xueli An and Xiangyuan Wan
Cells 2022, 11(3), 439; https://doi.org/10.3390/cells11030439 - 27 Jan 2022
Cited by 52 | Viewed by 6297
Abstract
Male sterility represents an important trait for hybrid breeding and seed production in crops. Although the genes required for male fertility have been widely studied and characterized in many plant species, most of them are single genic male-sterility (GMS) genes. To investigate the [...] Read more.
Male sterility represents an important trait for hybrid breeding and seed production in crops. Although the genes required for male fertility have been widely studied and characterized in many plant species, most of them are single genic male-sterility (GMS) genes. To investigate the role of multiple homologous genes in anther and pollen developments of maize, we established the CRISPR/Cas9-based gene editing method to simultaneously mutate the homologs in several putative GMS gene families. By using the integrated strategies of multi-gene editing vectors, maize genetic transformation, mutation-site analysis of T0 and F1 plants, and genotyping and phenotyping of F2 progenies, we further confirmed gene functions of every member in ZmTGA9-1/-2/-3 family, and identified the functions of ZmDFR1, ZmDFR2, ZmACOS5-1, and ZmACOS5-2 in controlling maize male fertility. Single and double homozygous gene mutants of ZmTGA9-1/-2/-3 did not affect anther and pollen development, while triple homozygous gene mutant resulted in complete male sterility. Two single-gene mutants of ZmDFR1/2 displayed partial male sterility, but the double-gene mutant showed complete male sterility. Additionally, only the ZmACOS5-2 single gene was required for anther and pollen development, while ZmACOS5-1 had no effect on male fertility. Our results show that the CRISPR/Cas9 gene editing system is a highly efficient and convenient tool for identifying multiple homologous GMS genes. These findings enrich GMS genes and mutant resources for breeding of maize GMS lines and promote deep understanding of the gene family underlying pollen development and male fertility in maize. Full article
(This article belongs to the Special Issue Pollen Development)
Show Figures

Graphical abstract

15 pages, 3886 KB  
Article
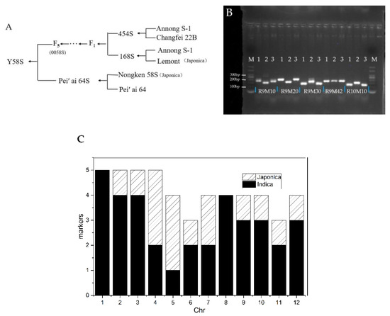
Generation of a New Glutinous Photothermosensitive Genic-Male-Sterile (PTGMS) Line by CRISPR/Cas9-Directed Mutagenesis of Wx in Rice (Oryza sativa L.)
by Kaichong Teng, Xin Wang, Xinying Guo, Yaoguang Liu and Rongbai Li
Agriculture 2021, 11(11), 1044; https://doi.org/10.3390/agriculture11111044 - 24 Oct 2021
Cited by 4 | Viewed by 3223
Abstract
The Photothermosensitive Genic-Male-Sterile (PTGMS) line, Y58S, an indica rice variety, combines high-quality and high-light-efficiency use, disease and stress resistance, and excellent plant type and mating force. Y58S is widely used to assemble two-line hybrid rice varieties, especially super hybrids. The Wx gene is [...] Read more.
The Photothermosensitive Genic-Male-Sterile (PTGMS) line, Y58S, an indica rice variety, combines high-quality and high-light-efficiency use, disease and stress resistance, and excellent plant type and mating force. Y58S is widely used to assemble two-line hybrid rice varieties, especially super hybrids. The Wx gene is the main effector gene for controlling amylose synthesis, which determines the amylose content (AC) of rice grains. By editing this gene, a glutinous line with a low AC can be obtained. In this study, the CRISPR/Cas9 system was used to mediate the editing of the Wx gene, which caused ultra-low AC mutations that produced a PTGMS glutinous rice strain with excellent waxiness. The results showed that 18 positively transformed plants were obtained from the T0 generation, with a mutation rate of 64.29%, of which six were homozygous mutant plants, indicating that the gene-editing target had a higher targeting efficiency and a higher homozygosity mutation rate. Compared to the wild type, the AC of the mutants was significantly lower. Through molecular marker detection and screening of T1 and T2 generations, five homozygous T-DNA-free mutant strains were identified that were consistent with Y58S in fertility and other agronomic traits except for AC. Among these, the AC of the W-1-B-5 homozygous mutant, the glutinous PTGMS line wx-Y58S, was as low as 0.6%. Our research revealed that the Wx gene of excellent PTGMS rice can be edited to generate a new waxy PTGMS line using the CRISPR/Cas9 system. This study provided a simple and effective strategy for breeding high-yield, high-quality, and glutinous two-line hybrid rice, and provided excellent sterile lines for their large-scale application. Once put into use, waxy hybrid rice will greatly improve the yield of glutinous rice and increase social benefits. Full article
(This article belongs to the Section Crop Genetics, Genomics and Breeding)
Show Figures

Figure 1

16 pages, 1179 KB  
Review
DNA Barcoding as a Molecular Tool to Track Down Mislabeling and Food Piracy
by Gianni Barcaccia, Margherita Lucchin and Martino Cassandro
Diversity 2016, 8(1), 2; https://doi.org/10.3390/d8010002 - 29 Dec 2015
Cited by 83 | Viewed by 17978
Abstract
DNA barcoding is a molecular technology that allows the identification of any biological species by amplifying, sequencing and querying the information from genic and/or intergenic standardized target regions belonging to the extranuclear genomes. Although these sequences represent a small fraction of the total [...] Read more.
DNA barcoding is a molecular technology that allows the identification of any biological species by amplifying, sequencing and querying the information from genic and/or intergenic standardized target regions belonging to the extranuclear genomes. Although these sequences represent a small fraction of the total DNA of a cell, both chloroplast and mitochondrial barcodes chosen for identifying plant and animal species, respectively, have shown sufficient nucleotide diversity to assess the taxonomic identity of the vast majority of organisms used in agriculture. Consequently, cpDNA and mtDNA barcoding protocols are being used more and more in the food industry and food supply chains for food labeling, not only to support food safety but also to uncover food piracy in freshly commercialized and technologically processed products. Since the extranuclear genomes are present in many copies within each cell, this technology is being more easily exploited to recover information even in degraded samples or transformed materials deriving from crop varieties and livestock species. The strong standardization that characterizes protocols used worldwide for DNA barcoding makes this technology particularly suitable for routine analyses required by agencies to safeguard food safety and quality. Here we conduct a critical review of the potentials of DNA barcoding for food labeling along with the main findings in the area of food piracy, with particular reference to agrifood and livestock foodstuffs. Full article
(This article belongs to the Special Issue DNA Barcoding and Biodiversity Research)
Show Figures

Figure 1

Back to TopTop