Sign in to use this feature.

Years

Between: -

Subjects

remove_circle_outline
remove_circle_outline
remove_circle_outline
remove_circle_outline

Journals

Article Types

Countries / Regions

Search Results (9)

Search Parameters:
Keywords = follicular histomorphology

Order results
Result details
Results per page
Select all
Export citation of selected articles as:
12 pages, 6042 KB  
Article
Histological Characteristics of Follicles, Reproductive Hormones and Transcriptomic Analysis of White King Pigeon Illuminated with Red Light
by Ying Wang, Kui Zuo, Chi Zhang, Dongzhi Miao, Jing Chen, Haiming Yang and Zhiyue Wang
Animals 2024, 14(16), 2320; https://doi.org/10.3390/ani14162320 - 10 Aug 2024
Cited by 3 | Viewed by 1968
Abstract
Red light (RL) has been observed to enhance egg production in pigeons, yet the underlying histological characteristics and molecular mechanisms remain less understood. This study included fifty-four pigeons to assess follicular histology, reproductive hormones, and ovarian transcriptomics on the third day of the [...] Read more.
Red light (RL) has been observed to enhance egg production in pigeons, yet the underlying histological characteristics and molecular mechanisms remain less understood. This study included fifty-four pigeons to assess follicular histology, reproductive hormones, and ovarian transcriptomics on the third day of the laying interval under RL and white light (WL). The results showed that the granulosa cell layer was significantly thicker under RL (p < 0.05), whereas the theca cell and connective tissue layers showed no significant differences (p > 0.05). Higher plasma estradiol (E2) levels were recorded in the RL group (p < 0.05), as well as follicle stimulating hormone (FSH), although progesterone (P4) levels were higher under WL (p < 0.05). Moreover, P4 concentrations in follicle yolk significantly decreased under RL (p < 0.01), with higher FSH and E2 levels in F1 yolk and similar increases in SF1 yolk (p < 0.01). Transcriptomic analysis revealed 4991 differentially expressed genes in the pigeon ovary. The protein–protein interaction network highlighted genes like HSD11B1, VEGFD, WNT6, SMAD6, and LGR5 as potential contributors to hierarchical follicle selection under RL. This research provides new insights into the molecular basis by which RL may promote hierarchical follicle selection and improve egg production in pigeons. Full article
(This article belongs to the Section Birds)
Show Figures

Figure 1

12 pages, 3546 KB  
Review
Molecular Pathology of Thyroid Tumors: Essential Points to Comprehend Regarding the Latest WHO Classification
by Tomohiro Chiba
Biomedicines 2024, 12(4), 712; https://doi.org/10.3390/biomedicines12040712 - 22 Mar 2024
Cited by 17 | Viewed by 13603
Abstract
In 2022, the new WHO Classification of Endocrine and Neuroendocrine Tumors, Fifth Edition (beta version) (WHO 5th), was published. Large-scale genomic analyses such as The Cancer Genome Atlas (TCGA) have revealed the importance of understanding the molecular genetics of thyroid tumors. Consequently, the [...] Read more.
In 2022, the new WHO Classification of Endocrine and Neuroendocrine Tumors, Fifth Edition (beta version) (WHO 5th), was published. Large-scale genomic analyses such as The Cancer Genome Atlas (TCGA) have revealed the importance of understanding the molecular genetics of thyroid tumors. Consequently, the WHO 5th was fundamentally revised, resulting in a systematic classification based on the cell of origin of tumors and their clinical risk. This paper outlines the following critical points of the WHO 5th. 1. Genetic mutations in follicular cell-derived neoplasms (FDNs) highlight the role of mutations in the MAP kinase pathway, including RET, RAS, and BRAF, as drivers of carcinogenesis. Differentiated thyroid cancers such as follicular thyroid carcinoma (FTC) and papillary thyroid carcinoma (PTC) have specific genetic alterations that correlate with morphological classifications: RAS-like tumors (RLTs) and BRAF p.V600E-like tumors (BLTs), respectively. 2. The framework for benign lesions has been revised. The WHO 5th introduces a new category: “developmental abnormalities”. Benign FDNs comprise “thyroid follicular nodular disease”, follicular thyroid adenoma (FTA), FTA with papillary architecture, and oncocytic adenoma (OA). “Hürthle cell adenoma/carcinoma” is renamed oncocytic adenoma/carcinoma of the thyroid (OA/OCA), which can be distinguished from FTA/FTC by its unique genetic background. 3. Low-risk tumors include NIFTP, TT-UMP, and HTT, and they have an extremely low malignant potential or an uncertain malignant potential. 4. PTC histological variants are reclassified as “subtypes” in the WHO 5th. 5. The concept of high-grade carcinomas is introduced, encompassing poorly differentiated thyroid carcinoma (PDTC), differentiated high-grade thyroid carcinoma (DHGTC), and high-grade medullary thyroid carcinoma (MTC). 6. Squamous cell carcinoma is included in anaplastic thyroid carcinoma (ATC) in the WHO 5th due to their shared genetic and prognostic features. 7. Other miscellaneous tumors are categorized as salivary-gland-type carcinomas of the thyroid, thyroid tumors of uncertain histogenesis, thymic tumors within the thyroid, and embryonal thyroid neoplasms. The WHO 5th thus emphasizes the importance of classifying tumors based on both genetic abnormalities and histomorphology. This approach aids in achieving accurate pathological diagnosis and facilitates the early selection of appropriate treatment options, including molecular targeted therapies. Full article
Show Figures

Figure 1

19 pages, 4224 KB  
Article
BFNB Enhances Hair Growth in C57BL/6 Mice through the Induction of EGF and FGF7 Factors and the PI3K-AKT-β-Catenin Pathway
by Salvador Pérez-Mora, Juan Ocampo-López, María del Consuelo Gómez-García and David Guillermo Pérez-Ishiwara
Int. J. Mol. Sci. 2023, 24(15), 12110; https://doi.org/10.3390/ijms241512110 - 28 Jul 2023
Cited by 17 | Viewed by 6901
Abstract
The objective of this study was to investigate the potential effects of a formulation derived from the bioactive fraction of nanostructured Bacopa procumbens (BFNB) on the promotion of hair growth in C57BL/6 mice. The characterization of the follicular phases and histomorphological analysis showed [...] Read more.
The objective of this study was to investigate the potential effects of a formulation derived from the bioactive fraction of nanostructured Bacopa procumbens (BFNB) on the promotion of hair growth in C57BL/6 mice. The characterization of the follicular phases and histomorphological analysis showed that the topical application of the formulation for 15 days significantly increased pigmentation and hair growth on the dorsum and head of the mice. Additionally, an acceleration of the follicular cycle phases was observed, along with an increase in the number of follicles, hair length, and diameter, compared to mice treated with minoxidil. In silico analysis and molecular characterization demonstrated that BFNB enhances the expression of epidermal growth factor (EGF) and fibroblast growth factor 7 (FGF7), activating the PI3K-AKT-β-catenin signaling pathway, as well as the expression of PCNA, KI-67, Cyclin D1, and Cyclin E, regulating the cell cycle and cell proliferation, crucial events for hair regeneration. Our results strongly suggest the utility of BFNB as a therapeutic alternative to stimulate hair growth and promote hair health. Full article
Show Figures

Graphical abstract

14 pages, 8546 KB  
Article
Are Renal Cell Carcinoma with Fibromyomatous Stroma (RCC-FMS) and Thyroid-like Follicular Carcinoma of the Kidney (TLFCK) Really Independent Variants?
by Stefano Stanca, Laura Boldrini, Paola Anna Erba and Pinuccia Faviana
Diagnostics 2023, 13(1), 86; https://doi.org/10.3390/diagnostics13010086 - 28 Dec 2022
Cited by 1 | Viewed by 3056
Abstract
Background: Renal cell carcinoma with fibromyomatous stroma (RCC-FMS) is a recent provisional entity already recognised in the 2016 WHO Classification of Cancer of the Urinary Tract and Male Genital Organs 4th Edition as renal cell carcinoma with (angio)leiomyomatous stroma, histologically defined as a [...] Read more.
Background: Renal cell carcinoma with fibromyomatous stroma (RCC-FMS) is a recent provisional entity already recognised in the 2016 WHO Classification of Cancer of the Urinary Tract and Male Genital Organs 4th Edition as renal cell carcinoma with (angio)leiomyomatous stroma, histologically defined as a tumour characterised by clear cells intertwined in a conspicuous vascular stroma. In the casuistry taken into consideration, another proposed variant, thyroid-like follicular carcinoma of the kidney (TLFCK), endowed with a morphology mimicking thyroid parenchyma, was examined. The aim of this work was to parse the theoretical system, experimental data and diagnostic impact of these new entities proposed in the field of renal neoplasms. Materials and Methods: An analysis of 120 cases of kidney tumours from the Department of Surgical, Medical, Molecular and Critical Area at the University of Pisa was run. Subsequently, all samples were reassessed by two pathologists with expertise in uropathology, whose revaluation provided a histomorphological study combined with subsequent and coherent immunohistochemical analyses of CK7, CD10, CAIX, CK34betaE12, CD117, vimentin, TTF-1 and thyroglobulin. These analyses were performed using the Ventana Benchmark Automated Staining System (Ventana Medical Systems, Tucson, AZ, USA) and Ventana reagents. Results: On the one hand, the data, thus brought to light, did not show an immunohistochemical profile consistent with that proposed for RCC-FMS. However, it should be emphasised that the morphological background also unearthed a poor specificity for RCC-FMS. This was specifically due to a stromal component which was, in any case, evident, although characterised by a wide range of presentation, in clear cell renal cell carcinoma (ccRCC). This latter is, indeed, the reference background for this theorised variant. On the other hand, a thyroid-like pattern was highlighted in 11 cases, more specifically in 10 ccRCCs and in one oncocytoma, presenting itself as a type of neoplastic appearance rather than as the peculiar morphological pattern of a standalone cancer. Conclusions: In the light of these results, RCC-FMS and TLFCK appear to be more appropriately variants of already categorised neoplastic entities rather than new independent neoplasias. Full article
(This article belongs to the Special Issue Advances in the Diagnosis and Management of Kidney Diseases)
Show Figures

Figure 1

22 pages, 10650 KB  
Article
High Fat-High Fructose Diet Elicits Hypogonadotropism Culminating in Autophagy-Mediated Defective Differentiation of Ovarian Follicles
by Chalikkaran Thilakan Rejani, Ajit Kumar Navin, Thekkey Madathil Valappil Mumthaz and Venugopal Bhuvarahamurthy
Cells 2022, 11(21), 3447; https://doi.org/10.3390/cells11213447 - 31 Oct 2022
Cited by 9 | Viewed by 4046
Abstract
Pituitary gonadotropins directly govern ovarian functions, which are in turn regulated by the ovarian steroid hormones. The precise interplay of gonadotropins and steroid hormones is critical for follicle growth and differentiation. Furthermore, autophagy regulates ovarian follicle differentiation. However, how the high-fat-high fructose (HFD-HF) [...] Read more.
Pituitary gonadotropins directly govern ovarian functions, which are in turn regulated by the ovarian steroid hormones. The precise interplay of gonadotropins and steroid hormones is critical for follicle growth and differentiation. Furthermore, autophagy regulates ovarian follicle differentiation. However, how the high-fat-high fructose (HFD-HF) diet regulates gonadotropins and facilitates autophagy-mediated follicular differentiation in the ovary is obscure. We fed prepubertal rats (PND 25) an HFD-HF diet until PND 90. The results showed diminished adenohypophyseal GnRHR, PR, and aromatase expression, whereas AR, ERα, PRLR, and inhibin were augmented, resulting in gonadotropins decline. Interestingly, autophagy biomarkers, Beclin-1, ATG5, ATG12, LC3-II, and LAMP1 were reduced but SQSTM1/p62 was augmented in the ovaries of HFD-HF-fed rats, causing autolysosome to aggregation. The diet altered T, E2, P4, PRL, and their receptors status in the ovary, disturbed estrous cyclicity, and delayed vaginal opening. Ovarian histomorphology exhibited numerous cystic and atretic follicles, along with disturbed follicular maturation and ovulation. Moreover, the reduction of FSHR; steroidogenic proteins; receptor proteins AR, ERβ, PR; and signaling proteins Wnt2 and β-catenin was also noticed in the ovary, whereas PRLR, inhibin, and pGSK3β were augmented. In conclusion, exposure to a prepubertal HFD-HF diet leads to hypogonadotropism and the autophagy-mediated defective differentiation of ovarian follicles, abating fertility in adult rats. Full article
(This article belongs to the Special Issue Molecular Targets for Autophagy in Cancer Treatment)
Show Figures

Figure 1

23 pages, 11403 KB  
Article
Modification of Morphology and Glycan Pattern of the Oviductal Epithelium of Baboon Papio hamadryas during the Menstrual Cycle
by Salvatore Desantis, Maria Albrizio, Luca Lacitignola, Pietro Laricchiuta and Mario Cinone
Animals 2022, 12(20), 2769; https://doi.org/10.3390/ani12202769 - 14 Oct 2022
Cited by 6 | Viewed by 2982
Abstract
The mammalian oviduct is a highly specialized structure where fertilization and early embryonic development occur. Its mucosal epithelium is involved in maintaining and modulating a dynamic intraluminal fluid. The oviductal epithelium consists of ciliated and non-ciliated (secretory) cells whose differentiation and activity are [...] Read more.
The mammalian oviduct is a highly specialized structure where fertilization and early embryonic development occur. Its mucosal epithelium is involved in maintaining and modulating a dynamic intraluminal fluid. The oviductal epithelium consists of ciliated and non-ciliated (secretory) cells whose differentiation and activity are sex hormone-dependent. In this study, we investigated for the first time both the morphology and the glycan composition of baboon oviductal epithelium during the menstrual cycle. Oviducts were laparoscopically removed from 14 healthy adult female Papio hamadryas whose menstrual cycle phase was assessed based on the sex hormone levels and the vaginal cytology features. Histological investigations were carried out on fimbriae, infundibulum, ampulla, and isthmus separately fixed in 4% (v/v) paraformaldehyde, embedded in paraffin wax, and stained with hematoxylin-eosin for morphological analyses and using a panel of nine fluorescent lectins for glycoconjugate characterization. The histomorphological analysis revealed that in the entire oviduct (i) the ciliated and non-ciliated cells were indistinguishable during the follicular and luteal phases, whereas they were highly differentiated during the preovulatory phase when the non-ciliated cells exhibited apical protrusions, (ii) the epithelium height was significantly higher in the preovulatory phase compared to other menstrual phases, and (iii) the number of ciliated cells significantly (p ≤ 0.05) increased from the fimbriae to the infundibulum and progressively reduced in the other oviductal segments with the lower presence of ciliated cells in the isthmus. The glycan characterization revealed a complex and region-specific composition during the different phases of the menstrual cycle. It can be summarized as follows: (i) high-mannosylated N-linked glycans (Con A reactivity) were present throughout the oviductal epithelium during the entire menstrual cycle and characteristically in the apical protrusions of non-ciliated cells of the ampulla during the preovulatory phase; (ii) sialoglycans with α2,3-linked sialic acids (MAL II binding) were expressed along the entire oviductal surface only during the preovulatory phase, whereas α2,6-linked ones (SNA affinity) were also detected in the surface of the luteal phase, although during the preovulatory phase they were characteristically found in the glycocalyx of the isthmus cilia, and O-linked sialoglycans with sialic acids linked to Galβl,3GalNAc (T antigen) (KsPNA) and terminal N-acetylgalactosamine (Tn antigen) (KsSBA) were found in the entire oviductal surface during all phases of the menstrual cycle; (iii) GalNAc terminating O-linked glycans (HPA staining) were mainly expressed in the entire oviducts of the luteal and preovulatory phases, and characteristically in the apical protrusions of the isthmus non-ciliated cells of the preovulatory phase; and (iv) fucosylated glycans with α1,2-linked fucose (LTA reactivity) occurred in the apical surface of fimbriae during the luteal phase, whereas α1,3/4-linked fucose (UEA I binders) were present in the apical protrusions of the ampulla non-ciliated cells and in the apical surface of isthmus during the preovulatory phase as well as in the isthmus apical surface of follicular-phase oviducts. These results demonstrate for the first time that morphological and glycan changes occur in the baboon oviductal epithelium during the menstrual cycle. Particularly, the sex hormone fluctuation affects the glycan pattern in a region-specific manner, probably related to the function of the oviductal segments. The findings add new data concerning baboons which, due to their anatomical similarity to humans, make an excellent model for female reproduction studies. Full article
(This article belongs to the Section Animal Reproduction)
Show Figures

Figure 1

8 pages, 2219 KB  
Case Report
Papillary Thyroid Carcinoma with Spindle Cell Metaplasia: A Rare Encounter
by Ka Wen Leong, Shahrun Niza Abdullah Suhaimi, Geok Chin Tan and Yin Ping Wong
Diagnostics 2022, 12(4), 855; https://doi.org/10.3390/diagnostics12040855 - 30 Mar 2022
Cited by 5 | Viewed by 3135
Abstract
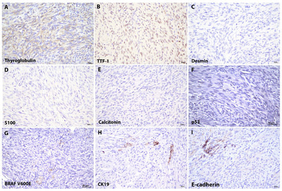
A myriad of histological variants of papillary thyroid carcinoma (PTC) have been described, some of which can be diagnostically challenging due to their rarity and overlapping histomorphology with other entities. One of the scarce and poorly characterised variants is PTC with spindle cell [...] Read more.
A myriad of histological variants of papillary thyroid carcinoma (PTC) have been described, some of which can be diagnostically challenging due to their rarity and overlapping histomorphology with other entities. One of the scarce and poorly characterised variants is PTC with spindle cell metaplasia, of which fewer than 20 cases have been reported in the literature hitherto. Our patient was a 51-year-old woman with a four-month history of painless, gradually enlarging neck swelling. Physical examination revealed a solitary left thyroid nodule. Thyroid ultrasonography demonstrated a hypoechoic nodule with irregular borders and speckles of microcalcification at the periphery. Total thyroidectomy with central and lateral lymph node dissection was performed. Grossly, there was a poorly circumscribed mass occupying the entire left thyroid lobe measuring 30 mm in the largest dimension. Histopathological examination revealed features of a classical PTC. Incidentally, a well-circumscribed 9 mm nodule was identified within the tumour mass. The nodule comprised of spindle cells arranged in loose fascicles, displaying uniform bland looking nuclei. No mitosis, necrosis or nuclear atypia was observed. Immunohistochemically, the spindle cells were immunopositive to TTF-1 and thyroglobulin, indicating thyroid follicular cell lineage. p53 and BRAF V600E mutant protein immunoexpression were focally noted. They were negative for calcitonin, S100, and desmin. Loss of E-cadherin and CK19 were also demonstrated. A diagnosis of PTC with spindle cell metaplasia was rendered. The nature of spindle cell in PTC needs to be meticulously defined. Careful histomorphology examination and judicious use of immunohistochemistry stains are helpful in arriving at an accurate diagnosis. Full article
(This article belongs to the Section Pathology and Molecular Diagnostics)
Show Figures

Figure 1

17 pages, 7596 KB  
Article
Early Nutrition with Different Diets Composition versus Fasting on Immunity-Related Gene Expression and Histomorphology of Digestive and Lymphoid Organs of Layer-Type Chicks
by Shaimaa Selim, Nazema S. Abdel-Megeid, Manal K. Abou-Elnaga and Samy F. Mahmoud
Animals 2021, 11(6), 1568; https://doi.org/10.3390/ani11061568 - 27 May 2021
Cited by 15 | Viewed by 4261
Abstract
Early feeding post-hatching (EFPH) can impact the immune response and modify the immunity-related gene expression. Therefore, we aimed to examine the effects of EFPH with different diets composition versus fasting during the first 72 h of chick’s life on the histomorphological structures of [...] Read more.
Early feeding post-hatching (EFPH) can impact the immune response and modify the immunity-related gene expression. Therefore, we aimed to examine the effects of EFPH with different diets composition versus fasting during the first 72 h of chick’s life on the histomorphological structures of the liver, proventriculus, central and peripheral lymphoid organs, and immunity-related genes in layer-type chicks during the brooding period. A total of 400 chicks were randomly allotted into 4 groups with 4 replicates each. The experimental groups during the first 72 h of life were: feed and water deprivation (control, T1), feeding a starter layer diet (20% CP and 11.84 MJ/kg ME, T2), feeding a starter layer diet contained 3% molasses in its composition (20% CP and 11.81 MJ/kg ME; T3), and feeding a starter broiler diet (23% CP and 12.68 MJ/kg ME, T4). After the first 72 h of chick’s life, all chicks were fed ad libitum the T2 diet. EFPH had no negative effect on the development of the lymphoid or digestive organs in chicks. Greater relative weights of the spleen and bursa of Fabricius (p < 0.05) were observed in the early fed chicks compared to control at day 14 of age. Histomorphological examination revealed an increase (p < 0.05) in thymus cortex and cortex:medulla in the T3 and T4 groups compared to the fasted ones at day 28 of age. Pelicae height, follicular width, cortex, and cortex:medulla of bursa were improved (p < 0.01) in the fed groups compared to fasted chicks, with resultant influences on the primary lymphoid organs. Compared to control, higher germinal center areas and white pulp of the spleen (p < 0.05) were recorded in the early fed chicks, implying augmented proliferation and maturation of B cells in the secondary lymphoid organs. In the liver, a strong positive reaction to Best’s carmine stain in the early fed groups, indicating that the liver of these chicks had numerous glycogen granules or greater glycogen density in the cytoplasm of hepatocytes. There was a significant enhancement in the proventriculus mucosal and gland thickness, as well as fold height (p < 0.05) in the early fed chicks. The expression levels of splenic Toll-like receptor 2, interleukin 4, tumor necrosis factor α, and interferon gamma were up-regulated (p < 0.01) in most of the early fed chicks (T2, T3, and T4) compared to fasted ones at 14 day of age. In conclusion, EFPH could modify the splenic-immunity related genes and modulate the histomorphology of the digestive (liver and proventriculus) and lymphoid organs in layer-type chicks during the brooding period. Full article
(This article belongs to the Special Issue Nutrition and Management of Egg-Laying Poultry)
Show Figures

Figure 1

3 pages, 458 KB  
Case Report
Keratinocyte Dissociation (Desmolysis/Acantholysis) in Ameloblastoma
by Sachin C. Sarode, Gargi S. Sarode, Praveen Birur, Yaser A. Alhazmi and Shankargouda Patil
Clin. Pract. 2020, 10(2), 1255; https://doi.org/10.4081/cp.2020.1255 - 19 May 2020
Viewed by 1193
Abstract
Ameloblastoma is the only odontogenic tumor that displays diversified histomorphological features with subtypes like follicular, plexiform, acanthomatous, granular cell, clear cell, desmoplastic etc. In this paper we presented an extremely unusual presentation of ameloblastoma, which is characterized by desmolysis or acantholysis of stellate [...] Read more.
Ameloblastoma is the only odontogenic tumor that displays diversified histomorphological features with subtypes like follicular, plexiform, acanthomatous, granular cell, clear cell, desmoplastic etc. In this paper we presented an extremely unusual presentation of ameloblastoma, which is characterized by desmolysis or acantholysis of stellate reticulum-like cells caused due to keratinocyte dissociation. A 35-year-old male patient presented with a painless hard 3×3 cm swelling in the mandibular right posterior region in the past 4-5 months. Radiographic examination revealed a multilocular radiolucent lesion in the body of mandible with resorption of the roots. Histopathological examination revealed ameloblastic follicles with central cells showing keratinocyte dissociation leading to desmolysis/acantholysis. Desmolytic cells were seen as an isolated entity in the follicular space with round to polygonal shaped morphology. Future retrospective studies on archival samples of ameloblastoma are recommended to relook into identification of such rare phenomenon. This will help in better understanding of the incidence rate and biological behavior of this rare variant of ameloblastoma. Full article
Back to TopTop