Are Renal Cell Carcinoma with Fibromyomatous Stroma (RCC-FMS) and Thyroid-like Follicular Carcinoma of the Kidney (TLFCK) Really Independent Variants?
Abstract
1. Introduction
2. Materials and Methods
- -
- 90 ccRCCs, of which one included a rabdoid component and two with sarcomatoid features,
- -
- Three clear cell papillary renal cell carcinomas (ccpRCC),
- -
- Eight papillary carcinomas type 1 (pRCC Type 1),
- -
- Nine papillary carcinomas type 2 (pRCC Type 2),
- -
- Eight oncocytomas,
- -
- Two chromophobe carcinomas (chRCC)
3. Results
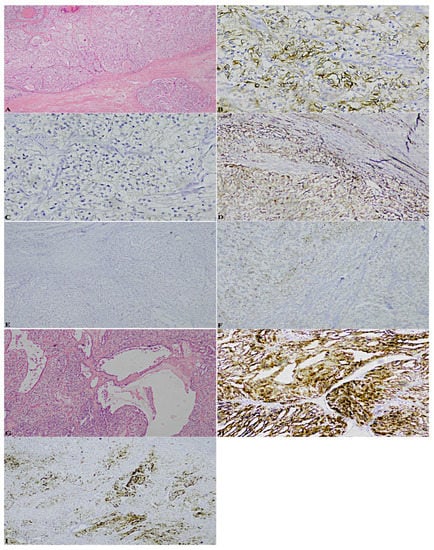
- a case previously diagnosed as ccRCC, marked by a considerable stromal component, revealed the following significative pattern: patchy CK7+, box-shaped CAIX+, vimentin+, CK34betaE12−, CD10−/+. Moreover, it was characterised by cystic areas, in correspondence of which, CK7 was extremely positive, against other neoplastic areas of complete negativity (Figure 1);
- a case formerly classified as ccRCC endowed with an important neoplastic stroma and thyroid-like areas, displayed: patchy CK7+, predominantly cup-shaped CAIX+, CK34betaE12CK34betaE12−, CD10+++, TTF-1-, thyroglobulin- (Figure 2);
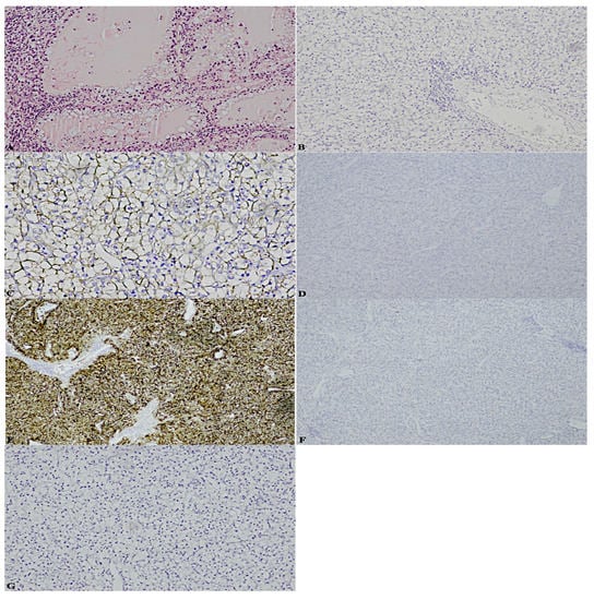
- a case diagnosed as ccRCC showed: CK7−, box-shaped CAIX+, CK34betaE12CK34betaE12−, CD10+++, TTF-1-, thyroglobulin- (Figure 3);
- a case assessed as oncocytoma, was featured by CK7−, CD117+, CK34betaE12CK34betaE12−, vimentin−/+, TTF-1-, thyroglobulin- (Figure 4).
4. Discussion
- -
- RCC-FMS is histological contiguous with ccRCC and ccpRCC,
- -
- It has a diffuse positivity for CK7, by analogy with ccpRCC, although also with high grade ccRCC,
- -
- Its CD10 positivity is shared mainly with ccRCC, but also with a reduced amount of ccpRCC cases,
- -
- RCC-FMS is widely box-shaped, but also has cup-shaped positivity for CAIX, similar to ccRCC and ccpRCC,
- -
- Finally, an indolent clinical course classifying RCC-FMS as a new histological and clinical entity is difficult to sustain and not particularly helpful in clinical practice.
5. Conclusions
Author Contributions
Funding
Institutional Review Board Statement
Informed Consent Statement
Data Availability Statement
Acknowledgments
Conflicts of Interest
References
- Moch, H.; Amin, M.B.; Argani, P.; Cheville, J.; Delahunt, B.; Martignoni, G.; Medeiros, L.J.; Srigley, J.R.; Tan, P.H.; Tickoo, S.K. Renal cell tumors. In WHO Classification of Tumours of the Urinary System and Male Genital Organs, 4th ed.; Moch, H., Humphrey, P.A., Ulbright, T.M., Reutor, V.E., Eds.; International Agency for Research on Cancer: Lyon, France, 2016. [Google Scholar]
- Yeh, Y.A.; Constantinescu, M.; Chaudoir, C.; Tanner, A.; Serkin, F.; Yu, X.; Fazili, T.; Lurie, A.A. Renal cell carcinoma with leiomyomatous stroma: A review of an emerging entity distinct from clear cell conventional renal cell carcinoma. Am. J. Clin. Exp. Urol. 2019, 7, 321–326. [Google Scholar] [PubMed]
- Kuhn, E.; De Anda, J.; Manoni, S.; Netto, G.; Rosai, J. Renal cell carcinoma associated with prominent angioleiomyoma-like proliferation: Report of 5 cases and review of the literature. Am. J. Surg. Pathol. 2006, 30, 1372–1381. [Google Scholar] [CrossRef] [PubMed]
- Shannon, B.A.; Cohen, R.J.; Segal, A.; Baker, E.G.; Murch, A.R. Clear cell renal cell carcinoma with smooth muscle stroma. Hum. Pathol. 2009, 40, 425–429. [Google Scholar] [CrossRef] [PubMed]
- Verine, J.; Colin, D.; Nheb, M.; Prapotnich, D.; Ploussard, G.; Cathelineau, X.; Desgrandchamps, F.; Mongiat-Artus, P.; Feugeas, J.P. Architectural Patterns are a Relevant Morphologic Grading System for Clear Cell Renal Cell Carcinoma Prognosis Assessment: Comparisons With WHO/ISUP Grade and Integrated Staging Systems. Am. J. Surg. Pathol. 2018, 42, 423–441. [Google Scholar] [CrossRef] [PubMed]
- Parilla, M.; Alikhan, M.; Al-Kawaaz, M.; Patil, S.; Kadri, S.; Ritterhouse, L.L.; Segal, J.; Fitzpatrick, C.; Antic, T. Genetic Underpinnings of Renal Cell Carcinoma With Leiomyomatous Stroma. Am. J. Surg. Pathol. 2019, 43, 1135–1144. [Google Scholar] [CrossRef] [PubMed]
- Li, C.; Dong, H.; Fu, W.; Qi, M.; Han, B. Thyroid-like Follicular Carcinoma of the Kidney and Papillary Renal Cell Carcinoma with Thyroid-like Feature: Comparison of Two Cases and Literature Review. Ann. Clin. Lab. Sci. 2015, 45, 707–712. [Google Scholar] [PubMed]
- Zhang, Y.; Yang, J.; Zhang, M.; Meng, Z.; Song, W.; Yang, L.; Li, L.; Wang, D.; Shi, T. Thyroid follicular carcinoma-like renal tumor: A case report and literature review. Medicine 2018, 97, e10815. [Google Scholar] [CrossRef] [PubMed]
- Amin, M.B.; Gupta, R.; Ondrej, H.; McKenney, J.K.; Michal, M.; Young, A.N.; Paner, G.P.; Junker, K.; Epstein, J.I. Primary thyroid-like follicular carcinoma of the kidney: Report of 6 cases of a histologically distinctive adult renal epithelial neoplasm. Am. J. Surg. Pathol. 2009, 33, 393–400. [Google Scholar] [CrossRef] [PubMed]
- Wu, W.W.; Chu, J.T.; Nael, A.; Rezk, S.A.; Romansky, S.G.; Shane, L. Thyroid-like follicular carcinoma of the kidney in a young patient with history of pediatric acute lymphoblastic leukemia. Case Rep. Pathol. 2014, 2014, 313974. [Google Scholar] [CrossRef] [PubMed]
- Tretiakova, M.S.; Kehr, E.L.; Gore, J.L.; Tykodi, S.S. Thyroid-Like Follicular Renal Cell Carcinoma Arising Within Benign Mixed Epithelial and Stromal Tumor. Int. J. Surg. Pathol. 2020, 28, 80–86. [Google Scholar] [CrossRef]
- Malde, S.; Sheikh, I.; Woodman, I.; Fish, D.; Bilagi, P.; Sheriff, M.K. Primary thyroid-like follicular renal cell carcinoma: An emerging entity. Case Rep. Pathol. 2013, 2013, 687427. [Google Scholar] [CrossRef] [PubMed]
- Trpkov, K.; Williamson, S.R.; Gill, A.J.; Adeniran, A.J.; Agaimy, A.; Alaghehbandan, R.; Amin, M.B.; Argani, P.; Chen, Y.B.; Cheng, L.; et al. Novel, emerging and provisional renal entities: The Genitourinary Pathology Society (GUPS) update on renal neoplasia. Mod. Pathol. 2021, 34, 1167–1184, Erratum in Mod. Pathol. 2021, 34, 1037. [Google Scholar] [CrossRef] [PubMed]
- Shah, R.B. Renal Cell Carcinoma With Fibromyomatous Stroma-The Whole Story. Adv. Anat. Pathol. 2022, 29, 168–177. [Google Scholar] [CrossRef] [PubMed]
- Dong, L.; Huang, J.; Huang, L.; Shi, O.; Liu, Q.; Chen, H.; Xue, W.; Huang, Y. Thyroid-Like Follicular Carcinoma of the Kidney in a Patient with Skull and Meningeal Metastasis: A Unique Case Report and Review of the Literature. Medicine 2016, 95, e3314. [Google Scholar] [CrossRef] [PubMed]
- de Jesus, L.E.; Fulgêncio, C.; Leve, T.; Dekermacher, S. Thyroid-like follicular carcinoma of the kidney presenting on a 10 year-old prepubertal girl. Int. Braz. J. Urol. 2019, 45, 834–842. [Google Scholar] [CrossRef] [PubMed]
- Perrino, C.M.; Grignon, D.J.; Williamson, S.R.; Idrees, M.T.; Eble, J.N.; Cheng, L. Morphological spectrum of renal cell carcinoma, unclassified: An analysis of 136 cases. Histopathology 2018, 72, 305–319. [Google Scholar] [CrossRef]
- Cimadamore, A.; Cheng, L.; Scarpelli, M.; Massari, F.; Mollica, V.; Santoni, M.; Lopez-Beltran, A.; Montironi, R.; Moch, H. Towards a new WHO classification of renal cell tumor: What the clinician needs to know-a narrative review. Transl. Androl. Urol. 2021, 10, 1506–1520. [Google Scholar] [CrossRef] [PubMed]
- Williamson, S.R.; Gupta, N.S.; Eble, J.N.; Rogers, C.G.; Michalowski, S.; Zhang, S.; Wang, M.; Grignon, D.J.; Cheng, L. Clear Cell Renal Cell Carcinoma With Borderline Features of Clear Cell Papillary Renal Cell Carcinoma: Combined Morphologic, Immunohistochemical, and Cytogenetic Analysis. Am. J. Surg. Pathol. 2015, 39, 1502–1510. [Google Scholar] [CrossRef] [PubMed]
- Athanazio, D.A.; Amorim, L.S.; da Cunha, I.W.; Leite, K.R.M.; da Paz, A.R.; de Paula, X.G.R.; Tavora, F.R.F.; Faraj, S.F.; Cavalcanti, M.S.; Bezerra, S.M. Classification of renal cell tumors—Current 6 concepts and use of ancillary tests: Recommendations of the Brazilian Society of Pathology. Surg. Exp. Pathol. 2021, 4, 4. [Google Scholar] [CrossRef]
- Gonzalez, M.L.; Alaghehbandan, R.; Pivovarcikova, K.; Michalova, K.; Rogala, J.; Martinek, P.; Foix, M.P.; Mundo, E.C.; Comperat, E.; Ulamec, M.; et al. Reactivity of CK7 across the spectrum of renal cell carcinomas with clear cells. Histopathology 2019, 74, 608–617. [Google Scholar] [CrossRef] [PubMed]
- Mai, K.T.; Kohler, D.M.; Belanger, E.C.; Robertson, S.J.; Wang, D. Sporadic clear cell renal cell carcinoma with diffuse cytokeratin 7 immunoreactivity. Pathology 2008, 40, 481–486. [Google Scholar] [CrossRef] [PubMed]
- Kuroda, N.; Ohe, C.; Kawakami, F.; Mikami, S.; Furuya, M.; Matsuura, K.; Moriyama, M.; Nagashima, Y.; Zhou, M.; Petersson, F.; et al. Clear cell papillary renal cell carcinoma: A review. Int. J. Clin. Exp. Pathol. 2014, 7, 7312–7318. [Google Scholar] [PubMed]
- Ross, H.; Martignoni, G.; Argani, P. Renal cell carcinoma with clear cell and papillary features. Arch. Pathol. Lab. Med. 2012, 136, 391–399. [Google Scholar] [CrossRef] [PubMed]
- Alshenawy, H.A. Immunohistochemical Panel for Differentiating Renal Cell Carcinoma with Clear and Papillary Features. Pathol. Oncol. Res. 2015, 21, 893–899. [Google Scholar] [CrossRef] [PubMed]
- Farber, N.J.; Kim, C.J.; Modi, P.K.; Hon, J.D.; Sadimin, E.T.; Singer, E.A. Renal cell carcinoma: The search for a reliable biomarker. Transl. Cancer Res. 2017, 6, 620–632. [Google Scholar] [CrossRef] [PubMed]
- Lin, X. Cytomorphology of clear cell papillary renal cell carcinoma. Cancer Cytopathol. 2017, 125, 48–54. [Google Scholar] [CrossRef]
- Somorácz, Á.; Kuthi, L.; Micsik, T.; Jenei, A.; Hajdu, A.; Vrabély, B.; Rásó, E.; Sápi, Z.; Bajory, Z.; Kulka, J.; et al. Renal Cell Carcinoma with Clear Cell Papillary Features: Perspectives of a Differential Diagnosis. Pathol. Oncol. Res. 2020, 26, 1767–1776. [Google Scholar] [CrossRef]
- Chen, W.J.; Pan, C.C.; Shen, S.H.; Chung, H.J.; Lin, C.C.; Lin, A.T.L.; Chang, Y.H. Clear cell papillary renal cell carcinoma—An indolent subtype of renal tumor. J. Chin. Med. Assoc. 2018, 81, 878–883. [Google Scholar] [CrossRef]
- Gobbo, S.; Eble, J.N.; Grignon, D.J.; Martignoni, G.; MacLennan, G.T.; Shah, R.B.; Zhang, S.; Brunelli, M.; Cheng, L. Clear cell papillary renal cell carcinoma: A distinct histopathologic and molecular genetic entity. Am. J. Surg. Pathol. 2008, 32, 1239–1245. [Google Scholar] [CrossRef] [PubMed]
- Griffin, B.B.; Lin, X. Cytomorphologic analysis of clear cell papillary renal cell carcinoma: Distinguishing diagnostic features. Cancer Cytopathol. 2021, 129, 192–203. [Google Scholar] [CrossRef]
- Kim, M.; Joo, J.W.; Lee, S.J.; Cho, Y.A.; Park, C.K.; Cho, N.H. Comprehensive Immunoprofiles of Renal Cell Carcinoma Subtypes. Cancers 2020, 12, 602. [Google Scholar] [CrossRef] [PubMed]
- Alexa, A.; Baderca, F.; Lighezan, R.; Izvernariu, D.; Raica, M. The diagnostic value of cytokeratins expression in the renal parenchyma tumors. Rom. J. Morphol. Embryol. 2010, 51, 27–35. [Google Scholar] [PubMed]
- Martignoni, G.; Brunelli, M.; Segala, D.; Gobbo, S.; Borze, I.; Atanesyan, L.; Savola, S.; Barzon, L.; Masi, G.; Tardanico, R.; et al. Renal cell carcinoma with smooth muscle stroma lacks chromosome 3p and VHL alterations. Mod. Pathol. 2014, 27, 765–774. [Google Scholar] [CrossRef] [PubMed][Green Version]
- Avery, A.K.; Beckstead, J.; Renshaw, A.A.; Corless, C.L. Use of antibodies to RCC and CD10 in the differential diagnosis of renal neoplasms. Am. J. Surg. Pathol. 2000, 24, 203–210. [Google Scholar] [CrossRef] [PubMed]
- Wang, Y.; Ding, Y.; Wang, J.; Gu, M.; Wang, Z.; Qin, C.; Han, C.; Li, H.; Liu, X.; Wu, P.; et al. Clinical features and survival analysis of clear cell papillary renal cell carcinoma: A 10-year retrospective study from two institutions. Oncol. Lett. 2018, 16, 1010–1022. [Google Scholar] [CrossRef] [PubMed]
- Peckova, K.; Grossmann, P.; Bulimbasic, S.; Sperga, M.; Perez Montiel, D.; Daum, O.; Rotterova, P.; Kokoskova, B.; Vesela, P.; Pivovarcikova, K.; et al. Renal cell carcinoma with leiomyomatous stroma--further immunohistochemical and molecular genetic characteristics of unusual entity. Ann. Diagn. Pathol. 2014, 18, 291–296. [Google Scholar] [CrossRef] [PubMed]
- Petersson, F.; Martinek, P.; Vanecek, T.; Pivovarcikova, K.; Peckova, K.; Ondic, O.; Perez-Montiel, D.; Skenderi, F.; Ulamec, M.; Nenutil, R.; et al. Renal Cell Carcinoma With Leiomyomatous Stroma: A Group of Tumors With Indistinguishable Histopathologic Features, But 2 Distinct Genetic Profiles: Next-Generation Sequencing Analysis of 6 Cases Negative for Aberrations Related to the VHL gene. Appl. Immunohistochem. Mol. Morphol. 2018, 26, 192–197. [Google Scholar] [CrossRef] [PubMed]
- Williamson, S.R. Renal cell carcinomas with a mesenchymal stromal component: What do we know so far? Pathology 2019, 51, 453–462. [Google Scholar] [CrossRef]
- Dhakal, H.P.; McKenney, J.K.; Khor, L.Y.; Reynolds, J.P.; Magi-Galluzzi, C.; Przybycin, C.G. Renal Neoplasms With Overlapping Features of Clear Cell Renal Cell Carcinoma and Clear Cell Papillary Renal Cell Carcinoma: A Clinicopathologic Study of 37 Cases From a Single Institution. Am. J. Surg. Pathol. 2016, 40, 141–154. [Google Scholar] [CrossRef] [PubMed]
- Hakimi, A.A.; Tickoo, S.K.; Jacobsen, A.; Sarungbam, J.; Sfakianos, J.P.; Sato, Y.; Morikawa, T.; Kume, H.; Fukayama, M.; Homma, Y.; et al. TCEB1-mutated renal cell carcinoma: A distinct genomic and morphological subtype. Mod. Pathol. 2015, 28, 845–853. [Google Scholar] [CrossRef]
- Favazza, L.; Chitale, D.A.; Barod, R.; Rogers, C.G.; Kalyana-Sundaram, S.; Palanisamy, N.; Gupta, N.S.; Williamson, S.R. Renal cell tumors with clear cell histology and intact VHL and chromosome 3p: A histological review of tumors from the Cancer Genome Atlas database. Mod. Pathol. 2017, 30, 1603–1612. [Google Scholar] [CrossRef] [PubMed]
- Batavia, A.A.; Schraml, P.; Moch, H. Clear cell renal cell carcinoma with wild-type von Hippel-Lindau gene: A non-existent or new tumour entity? Histopathology 2019, 74, 60–67. [Google Scholar] [CrossRef] [PubMed]
- Yang, P.; Cornejo, K.M.; Sadow, P.M.; Cheng, L.; Wang, M.; Xiao, Y.; Jiang, Z.; Oliva, E.; Jozwiak, S.; Nussbaum, R.L.; et al. Renal cell carcinoma in tuberous sclerosis complex. Am. J. Surg. Pathol. 2014, 38, 895–909. [Google Scholar] [CrossRef] [PubMed]
- Argani, P.; Mehra, R. Renal cell carcinoma associated with tuberous sclerosis complex (TSC)/mammalian target of rapamycin (MTOR) genetic alterations. Mod. Pathol. 2022, 35, 296–297. [Google Scholar] [CrossRef]
- Tjota, M.Y.; Wanjari, P.; Segal, J.; Antic, T. TSC/MTOR-mutated eosinophilic renal tumors are a distinct entity that is CK7+/CK20−/vimentin−: A validation study. Hum. Pathol. 2021, 115, 84–95. [Google Scholar] [CrossRef]
- Tjota, M.; Chen, H.; Parilla, M.; Wanjari, P.; Segal, J.; Antic, T. Eosinophilic Renal Cell Tumors With a TSC and MTOR Gene Mutations Are Morphologically and Immunohistochemically Heterogenous: Clinicopathologic and Molecular Study. Am. J. Surg. Pathol. 2020, 44, 943–954. [Google Scholar] [CrossRef] [PubMed]
- Chen, Y.B.; Mirsadraei, L.; Jayakumaran, G.; Al-Ahmadie, H.A.; Fine, S.W.; Gopalan, A.; Sirintrapun, S.J.; Tickoo, S.K.; Reuter, V.E. Somatic Mutations of TSC2 or MTOR Characterize a Morphologically Distinct Subset of Sporadic Renal Cell Carcinoma With Eosinophilic and Vacuolated Cytoplasm. Am. J. Surg. Pathol. 2019, 43, 121–131. [Google Scholar] [CrossRef] [PubMed]
- Palsgrove, D.N.; Li, Y.; Pratilas, C.A.; Lin, M.T.; Pallavajjalla, A.; Gocke, C.; De Marzo, A.M.; Matoso, A.; Netto, G.J.; Epstein, J.I.; et al. Eosinophilic Solid and Cystic (ESC) Renal Cell Carcinomas Harbor TSC Mutations: Molecular Analysis Supports an Expanding Clinicopathologic Spectrum. Am. J. Surg. Pathol. 2018, 42, 1166–1181. [Google Scholar] [CrossRef] [PubMed]
- Shah, R.B.; Stohr, B.A.; Tu, Z.J.; Gao, Y.; Przybycin, C.G.; Nguyen, J.; Cox, R.M.; Rashid-Kolvear, F.; Weindel, M.D.; Farkas, D.H.; et al. “Renal Cell Carcinoma With Leiomyomatous Stroma” Harbor Somatic Mutations of TSC1, TSC2, MTOR, and/or ELOC (TCEB1): Clinicopathologic and Molecular Characterization of 18 Sporadic Tumors Supports a Distinct Entity. Am. J. Surg. Pathol. 2020, 44, 571–581. [Google Scholar] [CrossRef] [PubMed]
- Robb, V.A.; Karbowniczek, M.; Klein-Szanto, A.J.; Henske, E.P. Activation of the mTOR signaling pathway in renal clear cell carcinoma. J. Urol. 2007, 177, 346–352. [Google Scholar] [CrossRef] [PubMed]
- Chen, F.; Wang, Y.; Wu, X.; Zhu, Y.; Jiang, X.; Chen, S.; Zhang, Z.; Zou, Z.; Yang, Y.; Zhu, K.; et al. Clinical characteristics and pathology of thyroid-like follicular carcinoma of the kidney: Report of 3 cases and a literature review. Mol. Clin. Oncol. 2016, 4, 143–150. [Google Scholar] [CrossRef] [PubMed][Green Version]
- Wu, H.W.; Chen, W.J.; You, Y.; Cui, Q.C.; Liu, T.H. Clinicopathologic characteristics of primary thyroid-like follicular carcinoma in kidney. Zhonghua Bing Li Xue Za Zhi 2013, 42, 37–41. (In Chinese) [Google Scholar] [CrossRef] [PubMed]
- Jung, S.J.; Chung, J.I.; Park, S.H.; Ayala, A.G.; Ro, J.Y. Thyroid follicular carcinoma-like tumor of kidney: A case report with morphologic, immunohistochemical, and genetic analysis. Am. J. Surg. Pathol. 2006, 30, 411–415. [Google Scholar] [CrossRef] [PubMed]
- Hes, O.; Brunelli, M.; Michal, M.; Cossu Rocca, P.; Hora, M.; Chilosi, M.; Mina, M.; Boudova, L.; Menestrina, F.; Martignoni, G. Oncocytic papillary renal cell carcinoma: A clinicopathologic, immunohistochemical, ultrastructural, and interphase cytogenetic study of 12 cases. Ann. Diagn. Pathol. 2006, 10, 133–139. [Google Scholar] [CrossRef] [PubMed]
- Xia, Q.Y.; Rao, Q.; Shen, Q.; Shi, S.S.; Li, L.; Liu, B.; Zhang, J.; Wang, Y.F.; Shi, Q.L.; Wang, J.D.; et al. Oncocytic papillary renal cell carcinoma: A clinicopathological study emphasizing distinct morphology, extended immunohistochemical profile and cytogenetic features. Int. J. Clin. Exp. Pathol. 2013, 6, 1392–1399. [Google Scholar] [PubMed]
- Han, G.; Yu, W.; Chu, J.; Liu, Y.; Jiang, Y.; Li, Y.; Zhang, W. Oncocytic papillary renal cell carcinoma: A clinicopathological and genetic analysis and indolent clinical course in 14 cases. Pathol. Res. Pract. 2017, 213, 1–6. [Google Scholar] [CrossRef]
- Volavšek, M.; Strojan-Fležar, M.; Mikuz, G. Thyroid-like follicular carcinoma of the kidney in a patient with nephrolithiasis and polycystic kidney disease: A case report. Diagn. Pathol. 2013, 8, 108. [Google Scholar] [CrossRef] [PubMed]
- Herlitz, L.; Hes, O.; Michal, M.; Tretiakova, M.; Reyes-Múgica, M.; Nguyen, J.K.; Troxell, M.L.; Przybycin, C.G.; Magi-Galluzzi, C.; McKenney, J.K. “Atrophic Kidney”-like Lesion: Clinicopathologic Series of 8 Cases Supporting a Benign Entity Distinct From Thyroid-like Follicular Carcinoma. Am. J. Surg. Pathol. 2018, 42, 1585–1595. [Google Scholar] [CrossRef] [PubMed]
- Anumudu, S.; Eknoyan, G. Pyelonephritis: A Historical Reappraisal. J. Am. Soc. Nephrol. 2019, 30, 914–917. [Google Scholar] [CrossRef]




Disclaimer/Publisher’s Note: The statements, opinions and data contained in all publications are solely those of the individual author(s) and contributor(s) and not of MDPI and/or the editor(s). MDPI and/or the editor(s) disclaim responsibility for any injury to people or property resulting from any ideas, methods, instructions or products referred to in the content. |
© 2022 by the authors. Licensee MDPI, Basel, Switzerland. This article is an open access article distributed under the terms and conditions of the Creative Commons Attribution (CC BY) license (https://creativecommons.org/licenses/by/4.0/).
Share and Cite
Stanca, S.; Boldrini, L.; Erba, P.A.; Faviana, P. Are Renal Cell Carcinoma with Fibromyomatous Stroma (RCC-FMS) and Thyroid-like Follicular Carcinoma of the Kidney (TLFCK) Really Independent Variants? Diagnostics 2023, 13, 86. https://doi.org/10.3390/diagnostics13010086
Stanca S, Boldrini L, Erba PA, Faviana P. Are Renal Cell Carcinoma with Fibromyomatous Stroma (RCC-FMS) and Thyroid-like Follicular Carcinoma of the Kidney (TLFCK) Really Independent Variants? Diagnostics. 2023; 13(1):86. https://doi.org/10.3390/diagnostics13010086
Chicago/Turabian StyleStanca, Stefano, Laura Boldrini, Paola Anna Erba, and Pinuccia Faviana. 2023. "Are Renal Cell Carcinoma with Fibromyomatous Stroma (RCC-FMS) and Thyroid-like Follicular Carcinoma of the Kidney (TLFCK) Really Independent Variants?" Diagnostics 13, no. 1: 86. https://doi.org/10.3390/diagnostics13010086
APA StyleStanca, S., Boldrini, L., Erba, P. A., & Faviana, P. (2023). Are Renal Cell Carcinoma with Fibromyomatous Stroma (RCC-FMS) and Thyroid-like Follicular Carcinoma of the Kidney (TLFCK) Really Independent Variants? Diagnostics, 13(1), 86. https://doi.org/10.3390/diagnostics13010086

