Sign in to use this feature.

Years

Between: -

Subjects

remove_circle_outline
remove_circle_outline
remove_circle_outline
remove_circle_outline
remove_circle_outline
remove_circle_outline

Journals

Article Types

Countries / Regions

Search Results (35)

Search Parameters:
Keywords = fnbB

Order results
Result details
Results per page
Select all
Export citation of selected articles as:
20 pages, 624 KB  
Article
Phenotypic and Genotypic Characterization of Staphylococcus aureus Isolated from Patients with Chronic Furunculosis and Osteomyelitis from Northwestern Poland
by Aleksandra Wcisłek, Joanna Jursa-Kulesza, Helena Masiuk, Bartłomiej Grygorcewicz, Beata Hukowska-Szematowicz, Piotr Prowans, Paweł Ziętek and Danuta Kosik-Bogacka
Pathogens 2025, 14(9), 923; https://doi.org/10.3390/pathogens14090923 - 12 Sep 2025
Viewed by 297
Abstract
Staphylococcus aureus, a Gram-positive coccus commonly found in the environment, is indeed a common cause of both superficial and deep infections. The aim of the study was to determine the virulence factors of S. aureus characteristic of chronic infections, including chronic furunculosis [...] Read more.
Staphylococcus aureus, a Gram-positive coccus commonly found in the environment, is indeed a common cause of both superficial and deep infections. The aim of the study was to determine the virulence factors of S. aureus characteristic of chronic infections, including chronic furunculosis and chronic osteomyelitis. Phenotypic characteristics of the bacteria (ability to produce hemolysis, clumping factor, and coagulase; antibiotic susceptibility) and genotypic characteristics (presence of genes responsible for the production of enzymes and toxins; ability to form biofilm) were examined. The real-time PCR method was used to determine the presence of virulence genes. Biofilm production was confirmed using the crystal violet method. Antibiotic and chemotherapeutic susceptibility tests were performed using the disk diffusion method. In 90% of cases, S. aureus strains possessed the following virulence genes: clfA, clfB, spa, cna, eap, hlgA, hlgB, hlg, hld, bap, bbp, ebpS, fib, fnbA, fnbB, and pvl. A total of 82% of S. aureus strains showed susceptibility to methicillin (MSSA), whereas 12% of strains were susceptible to methicillin and simultaneously resistant to macrolides, lincosamides, and streptogramin B, including 10.5% with inducible resistance and 1.5% with constitutive resistance (MSSA/MLSB). In addition, 1.5% were methicillin-resistant S. aureus (MRSA) and susceptible to the remaining antimicrobial agents. The predominance of MSSA in the etiology of chronic furunculosis and chronic osteomyelitis was observed. It has been demonstrated that MSSA possesses a similar set of virulence genes to MRSA and that MSSA is responsible for most cases of chronic osteomyelitis and furunculosis. The findings indicate that S. aureus possesses numerous virulence factors that play a key role in the processes of adhesion to and proliferation within host cells. Full article
Show Figures

Figure 1

21 pages, 838 KB  
Systematic Review
Systematic Review of Hip Fractures and Regional Anesthesia: Efficacy of the Main Blocks and Comparison for a Multidisciplinary and Effective Approach for Patients in the Hospital Setting of Anesthesiology and Resuscitation
by Enrique González Marcos, Inés Almagro Vidal, Rodrigo Arranz Pérez, Julio Morillas Martinez, Amalia Díaz Viudes, Ana Rodríguez Martín, Alberto José Gago Sánchez, Carmen García De Leániz and Daniela Rodriguez Marín
Surg. Tech. Dev. 2025, 14(3), 27; https://doi.org/10.3390/std14030027 - 6 Aug 2025
Viewed by 932
Abstract
Background: Hip fractures represent a major clinical challenge, particularly in elderly and frail patients, where postoperative pain control must balance effective analgesia with motor preservation to facilitate early mobilization. Various regional anesthesia techniques are used in this setting, including the pericapsular nerve group [...] Read more.
Background: Hip fractures represent a major clinical challenge, particularly in elderly and frail patients, where postoperative pain control must balance effective analgesia with motor preservation to facilitate early mobilization. Various regional anesthesia techniques are used in this setting, including the pericapsular nerve group (PENG) block, fascia iliaca compartment block (FICB), femoral nerve block (FNB), and quadratus lumborum block (QLB), yet optimal strategies remain debated. Objectives: To systematically review the efficacy, safety, and clinical applicability of major regional anesthesia techniques for pain management in hip fractures, including considerations of fracture type, surgical approach, and functional outcomes. Methods: A systematic literature search was conducted following PRISMA 2020 guidelines in PubMed, Scopus, Web of Science, and the virtual library of the Hospital Central de la Defensa “Gómez Ulla” up to March 2025. Inclusion criteria were RCTs, systematic reviews, and meta-analyses evaluating regional anesthesia for hip surgery in adults. Risk of bias in RCTs was assessed using RoB 2.0, and certainty of evidence was evaluated using the GRADE approach. Results: Twenty-nine studies were included, comprising RCTs, systematic reviews, and meta-analyses. PENG block demonstrated superior motor preservation and reduced opioid consumption compared to FICB and FNB, particularly in intracapsular fractures and anterior surgical approaches. FICB and combination strategies (PENG+LFCN or sciatic block) may provide broader analgesic coverage in extracapsular fractures or posterior approaches. The overall risk of bias across RCTs was predominantly low, and certainty of evidence ranged from moderate to high for key outcomes. No significant safety concerns were identified across techniques, although reporting of adverse events was inconsistent. Conclusions: PENG block appears to offer a favorable balance of analgesia and motor preservation in hip fracture surgery, particularly for intracapsular fractures. For extracapsular fractures or posterior approaches, combination strategies may enhance analgesic coverage. Selection of block technique should be tailored to fracture type, surgical approach, and patient-specific functional goals. Full article
Show Figures

Figure 1

19 pages, 2029 KB  
Article
Metabolic Master Switch: Pyruvate Carboxylase Fuels Antimicrobial Resistance and Virulence in Foodborne Staphylococcus aureus
by Zifeng Mai, Jiahui Li, Zeqiang Zhan, Xiaorong Tian, Wanwan Hou, Mu He and Chunlei Shi
Foods 2025, 14(15), 2566; https://doi.org/10.3390/foods14152566 - 22 Jul 2025
Viewed by 400
Abstract
Staphylococcus aureus, a major cause of foodborne illness globally, presents significant challenges due to its multidrug resistance and biofilm-forming capabilities. Pyruvate carboxylase (PycA), a metabolic master switch linking glycolysis and the tricarboxylic acid (TCA) cycle, is a potential target for controlling S. [...] Read more.
Staphylococcus aureus, a major cause of foodborne illness globally, presents significant challenges due to its multidrug resistance and biofilm-forming capabilities. Pyruvate carboxylase (PycA), a metabolic master switch linking glycolysis and the tricarboxylic acid (TCA) cycle, is a potential target for controlling S. aureus. In this study, a pycA mutant was constructed and analyzed using phenotypic assays and proteomics to investigate its role in virulence and antimicrobial resistance. The results showed that deletion of pycA in the foodborne methicillin-resistant strain ATCC BAA1717 resulted in a 4- to 1024-fold reduction in resistance to β-lactams, aminoglycosides, and macrolides; a 23.24% impairment in biofilm formation; and a 22.32% decrease in staphyloxanthin production, a key antioxidant essential for survival in oxidative food environments. Proteomic analysis revealed downregulation of the TCA cycle, purine biosynthesis, surface adhesins (FnbA/B, SasG), and β-lactamase (BlaZ), linking PycA-mediated metabolism to phenotypes relevant to food safety. These findings underscore the importance of PycA as a metabolic regulator crucial for S. aureus resilience in food systems, suggesting novel strategies to combat foodborne staphylococcal infections through metabolic interference. Full article
(This article belongs to the Section Food Microbiology)
Show Figures

Figure 1

13 pages, 784 KB  
Article
Bacteriophage Resistance, Adhesin’s and Toxin’s Genes Profile of Staphylococcus aureus Causing Infections in Children and Adolescents
by Nikolaos Giormezis, Assimina Rechenioti, Konstantinos Doumanas, Christos Sotiropoulos, Fotini Paliogianni and Fevronia Kolonitsiou
Microorganisms 2025, 13(3), 484; https://doi.org/10.3390/microorganisms13030484 - 21 Feb 2025
Cited by 1 | Viewed by 886
Abstract
Staphylococcus aureus is a common pathogen, often recovered from children’s infections. Βiofilm formation, antimicrobial resistance and production of adhesins and toxins contribute to its virulence. As resistance to antimicrobials rises worldwide, alternative therapies like bacteriophages (among them the well-studied Bacteriophage K) can be [...] Read more.
Staphylococcus aureus is a common pathogen, often recovered from children’s infections. Βiofilm formation, antimicrobial resistance and production of adhesins and toxins contribute to its virulence. As resistance to antimicrobials rises worldwide, alternative therapies like bacteriophages (among them the well-studied Bacteriophage K) can be helpful. The aim of this study was to determine the bacteriophage and antimicrobial susceptibility and the presence of virulence genes among S. aureus from infections in children and adolescents. Eighty S. aureus isolates were tested for biofilm formation and antimicrobial susceptibility. The presence of two genes of the ica operon (icaA, icaD), adhesin’s (fnbA, fnbB, sasG) and toxin’s genes (PVL, tst, eta, etb) was tested by PCRs. Susceptibility to Bacteriophage K was determined using a spot assay. Thirteen isolates were methicillin-resistant (MRSA) and 41 were multi-resistant. Twenty-five S. aureus (31.3%) were resistant to Bacteriophage K, mostly from ocular and ear infections. Twelve S. aureus (15%) were PVL-positive, seven (8.8%) positive for tst, 18 (22.5%) were eta-positive and 46 were (57.5%) etb-positive. A total of 66 (82.5%) isolates carried fnbA, 16 (20%) fnbB and 26 (32.5%) sasG. PVL, tst and sasG carriage were more frequent in MRSA. Bacteriophage-susceptible isolates carried more frequently eta (32.7%) and etb (69.1%) compared to phage-resistant S. aureus (0% and 32%, respectively). Although mainly methicillin-sensitive, S. aureus from pediatric infections exhibited high antimicrobial resistance and carriage of virulence genes (especially for exfoliative toxins and fnbA). MRSA was associated with PVL, tst and sasG carriage, whereas Bacteriophage susceptibility was associated with eta and etb. The high level of Bacteriophage K susceptibility highlights its potential use against staphylococcal infections. Full article
(This article belongs to the Special Issue Combating Antimicrobial Resistance: Innovations and Strategies)
Show Figures

Figure 1

16 pages, 4751 KB  
Article
Inhibitory Effect of Phenethyl Isothiocyanate on the Adhesion and Biofilm Formation of Staphylococcus aureus and Application on Beef
by Xiaojing Ma, Jinle Ma, Jianan Liu, Hongshun Hao, Hongman Hou and Gongliang Zhang
Foods 2024, 13(21), 3362; https://doi.org/10.3390/foods13213362 - 23 Oct 2024
Cited by 5 | Viewed by 1533
Abstract
This study aimed to explore the mechanism by which phenethyl isothiocyanate (PEITC) inhibited the adhesion and biofilm formation of Staphylococcus aureus (S. aureus). PEITC exhibited antimicrobial efficacy against S. aureus, demonstrating a minimum inhibition concentration (MIC) of 1 mmol/L. PEITC [...] Read more.
This study aimed to explore the mechanism by which phenethyl isothiocyanate (PEITC) inhibited the adhesion and biofilm formation of Staphylococcus aureus (S. aureus). PEITC exhibited antimicrobial efficacy against S. aureus, demonstrating a minimum inhibition concentration (MIC) of 1 mmol/L. PEITC exerted its antibacterial effect by disrupting cell membrane integrity, and it decreased total adenosine triphosphate (ATP) production after 1 and 4 h treatment. PEITC at 0.5 mmol/L increased the level of intracellular reactive oxygen species (ROS) by 26.39% compared to control. The mature biofilm of S. aureus was destroyed by 86.4% after treatment with PEITC for 24 h. Adhesion tests revealed that PEITC at 0.5 mmol/L reduced 44.51% of the S. aureus that adhered to NCM460 cells. Furthermore, at the genetic level, PEITC significantly downregulated the related genes by 31.26% to 97.04%, including agrB, agrD, isdA, ebh, luxS, fnbA, and icaR. Moreover, PEITC markedly inhibited S. aureus proliferation in beef preserved at temperatures of 25 and 4 °C, respectively. In summary, the present study suggests that PEITC effectively inhibits the adhesion and biofilm formation of S. aureus by affecting the relevant genes of S. aureus and holds promise for microbial management in meat products. Full article
(This article belongs to the Special Issue Recent Advances in Aquatic Food Products Processing: 2nd Edition)
Show Figures

Figure 1

16 pages, 2534 KB  
Article
Resistant S. aureus Isolates Capable of Producing Biofilm from the Milk of Dairy Cows with Subclinical Mastitis in Slovakia
by Ján Király, Vanda Hajdučková, Gabriela Gregová, Tatiana Szabóová and Emil Pilipčinec
Agriculture 2024, 14(4), 571; https://doi.org/10.3390/agriculture14040571 - 3 Apr 2024
Cited by 8 | Viewed by 2344
Abstract
Staphylococcus spp. is the most common cause of mastitis, with a significantly low cure rate. Bacterial characteristics like adhesion and biofilm formation, as well as extracellular factors, can affect the pathogenesis of staphylococcal mastitis. The study’s objectives were to confirm S. aureus, [...] Read more.
Staphylococcus spp. is the most common cause of mastitis, with a significantly low cure rate. Bacterial characteristics like adhesion and biofilm formation, as well as extracellular factors, can affect the pathogenesis of staphylococcal mastitis. The study’s objectives were to confirm S. aureus, assess their antibiotic resistance, identify methicillin resistance genes, verify biofilm formation, and detect biofilm-associated genes from bovine mastitis samples using multiplex PCR (mPCR). From 215 milk samples, six were confirmed as S. aureus. Most isolates were sensitive to all measured antibiotics. One isolate was identified as an inducible form of MLSB resistance (macrolides, lincosamides, and streptogramin B resistance), while the other two isolates were resistant to penicillins and carboxypenicillins. In S. aureus cultures used for methicillin resistance genotypic analysis by PCR, the mecA and mecC genes were not found. Biofilm formation phenotypes were determined in four strains. An mPCR analysis revealed that all strains of S. aureus carried icaABCD, agrA, srtA, fnbA, clfA, and clfB genes. Only in one isolate was the fnbB gene detected; the bap gene was not detected in any of the isolates. This emphasizes the importance of using appropriate treatment and continuous monitoring of S. aureus to prevent the spread of antibiotic-resistant strains in dairy cow farms. Full article
(This article belongs to the Special Issue Productivity, Performance and Health of Dairy Ruminants)
Show Figures

Figure 1

11 pages, 3359 KB  
Article
Bacterial Adaptive Memory in Methicillin-Resistant Staphylococcus aureus from Endotracheal Tubes
by Laia Fernández-Barat, Ruben López-Aladid, Nil Vázquez, Roberto Cabrera, Jordi Vila, Miquel Ferrer and Antoni Torres
Pathogens 2024, 13(2), 144; https://doi.org/10.3390/pathogens13020144 - 5 Feb 2024
Cited by 2 | Viewed by 1957
Abstract
Objectives: To evaluate the expression dynamics of biofilm genes in methicillin-resistant Staphylococcus aureus (MRSA) retrieved from endotracheal tubes (ETT) and to determine how gene regulation is attenuated in vitro where host–environmental factors are no longer present. Methods: Biofilm was grown (24 h) in [...] Read more.
Objectives: To evaluate the expression dynamics of biofilm genes in methicillin-resistant Staphylococcus aureus (MRSA) retrieved from endotracheal tubes (ETT) and to determine how gene regulation is attenuated in vitro where host–environmental factors are no longer present. Methods: Biofilm was grown (24 h) in tryptic broth soy plus 0.25% glucose for a clinical MRSA isolate in planktonic state and after sessile growth named ETT-MRSA (S2, S3, S4, S5, S6, S7). Gene expression of five biofilm-related genes (icaC, clfB, ebps, fnbB, and RNA III) was assessed consecutively from day 1 to day 4 after ETT growth through real-time PCR. 16S rRNA was used as a control. Results: The MRSA isolates retrieved from ETT were capable of producing biofilms dependent on ica. The gene expression dynamics of ETT-MRSA changed progressively compared to planktonic MRSA gene expression under both ambient air (p < 0.001) and ambient air with 5% CO2 (p < 0.001). Dynamic assessment of icaC expression in both atmospheric conditions showed progressive downregulation in vitro compared to in vivo ETT biofilms. The expression patterns of clfB and ebps genes were similar to icaC. In contrast, the expression of the RNA III gene showed progressive upregulation from day 1 to day 4 (p < 0.001). Conclusions: MRSA loses its biofilm gene expression in vitro, by adaptive features across multiple generations, as evidenced by the progressive downregulation of icaC and upregulation of RNA III. These findings underscore the significance of host–environment dependence in regulating bacterial biofilm genes, highlighting its importance in diagnostics. Bacterial strains lose their host-specific characteristics as they are cultured in vitro. Full article
(This article belongs to the Special Issue Innovative Strategies to Counteract Microbial Biofilm Growth)
Show Figures

Figure 1

11 pages, 951 KB  
Article
Thyroid Imaging Reporting and Data Systems: Applicability of the “Taller than Wide” Criterium in Primary/Secondary Care Units and the Role of Thyroid Scintigraphy
by Manuela Petersen, Simone A. Schenke, Franziska Veit, Rainer Görges, Philipp Seifert, Michael Zimny, Roland S. Croner, Michael C. Kreissl and Alexander R. Stahl
J. Clin. Med. 2024, 13(2), 514; https://doi.org/10.3390/jcm13020514 - 17 Jan 2024
Cited by 1 | Viewed by 1713
Abstract
Background: To examine the applicability of the “taller than wide” (ttw) criterium for risk assessment of thyroid nodules (TNs) in primary/secondary care units and the role of thyroid scintigraphy therein. Methods: German bicenter study performed in a setting of primary/secondary care. Patient recruitment [...] Read more.
Background: To examine the applicability of the “taller than wide” (ttw) criterium for risk assessment of thyroid nodules (TNs) in primary/secondary care units and the role of thyroid scintigraphy therein. Methods: German bicenter study performed in a setting of primary/secondary care. Patient recruitment and analysis in center A was conducted in a prospective manner. In center B, patient data were retrieved from a database that was originally generated by prospective data collection. TNs were assessed by ultrasound and thyroid scans, mostly fine needle biopsy and occasionally surgery and others. In center A, only patients who presented for the first time were included. The inclusion criterion was any TN ≥ 10 mm that had at least the following two sonographic risk features: solidity and a ttw shape. In center B, consecutive patients who had at least ttw and hypofunctioning nodules ≥ 10 mm were retrieved from the above-mentioned database. The risk of malignancy was determined according to a mixed reference standard and compared with literature data. Results: In center A, 223 patients with 259 TNs were included into the study. For further analysis, 200 nodules with a reference standard were available. The overall malignancy rate was 2.5% (upper limit of the 95% CI: 5.1%). After the exclusion of scintigraphically hyperfunctioning nodules, the malignancy rate increased slightly to 2.8% (upper limit of the 95% CI: 5.7%). Malignant nodules exhibited sonographic risk features additional to solidity and ttw shape more often than benign ones. In addition to the exclusion of hyperfunctioning nodules, when considering only nodules without additional US risk features, i.e., exclusively solid and ttw-nodules, the malignancy rate decreased to 0.9% (upper limit 95% CI: 3.7%). In center B, from 58 patients, 58 ttw and hypofunctioning TNs on thyroid scans with a reference standard were available. Malignant nodules from center B were always solid and hypoechoic. The overall malignancy rate of hypofunctioning and ttw nodules was 21%, with the lower limit of the 95% CI (one-sided) being 12%. Conclusions: In primary/secondary care units, the lowest TIRADS categories for indicating FNB, e.g., applying one out of five sonographic risk features, may not be appropriate owing to the much lower a priori malignancy risk in TNs compared to tertiary/quaternary care units. Even the combination of two sonographic risk features, “solidity” and “ttw”, may only be appropriate in a limited fashion. In contrast, the preselection of TNs according to hypofunctioning findings on thyroid scans clearly warranted FNB, even when applying only one sonographic risk criterion (“ttw”). For this reason, thyroid scans in TNs may not only be indicated to rule out hyperfunctioning nodules from FNB but also to rule in hypofunctioning ones. Full article
(This article belongs to the Section Nuclear Medicine & Radiology)
Show Figures

Figure 1

28 pages, 363 KB  
Review
Biofilm Producing Methicillin-Resistant Staphylococcus aureus (MRSA) Infections in Humans: Clinical Implications and Management
by Ashlesha Kaushik, Helen Kest, Mangla Sood, Bryan W. Steussy, Corey Thieman and Sandeep Gupta
Pathogens 2024, 13(1), 76; https://doi.org/10.3390/pathogens13010076 - 15 Jan 2024
Cited by 67 | Viewed by 12321
Abstract
Since its initial description in the 1960s, methicillin-resistant Staphylococcus aureus (MRSA) has developed multiple mechanisms for antimicrobial resistance and evading the immune system, including biofilm production. MRSA is now a widespread pathogen, causing a spectrum of infections ranging from superficial skin issues to [...] Read more.
Since its initial description in the 1960s, methicillin-resistant Staphylococcus aureus (MRSA) has developed multiple mechanisms for antimicrobial resistance and evading the immune system, including biofilm production. MRSA is now a widespread pathogen, causing a spectrum of infections ranging from superficial skin issues to severe conditions like osteoarticular infections and endocarditis, leading to high morbidity and mortality. Biofilm production is a key aspect of MRSA’s ability to invade, spread, and resist antimicrobial treatments. Environmental factors, such as suboptimal antibiotics, pH, temperature, and tissue oxygen levels, enhance biofilm formation. Biofilms are intricate bacterial structures with dense organisms embedded in polysaccharides, promoting their resilience. The process involves stages of attachment, expansion, maturation, and eventually disassembly or dispersion. MRSA’s biofilm formation has a complex molecular foundation, involving genes like icaADBC, fnbA, fnbB, clfA, clfB, atl, agr, sarA, sarZ, sigB, sarX, psm, icaR, and srtA. Recognizing pivotal genes for biofilm formation has led to potential therapeutic strategies targeting elemental and enzymatic properties to combat MRSA biofilms. This review provides a practical approach for healthcare practitioners, addressing biofilm pathogenesis, disease spectrum, and management guidelines, including advances in treatment. Effective management involves appropriate antimicrobial therapy, surgical interventions, foreign body removal, and robust infection control practices to curtail spread within healthcare environments. Full article
(This article belongs to the Special Issue Advances in Treatment of Biofilm Infections)
11 pages, 955 KB  
Article
High Incidence of Metastatic Infections in Panton-Valentine Leucocidin-Negative, Community-Acquired Methicillin-Resistant Staphylococcus aureus Bacteremia: An 11-Year Retrospective Study in Japan
by Hitoshi Kawasuji, Yoshihiro Ikezawa, Mika Morita, Kazushige Sugie, Mayu Somekawa, Masayoshi Ezaki, Yuki Koshiyama, Yusuke Takegoshi, Yushi Murai, Makito Kaneda, Kou Kimoto, Kentaro Nagaoka, Hideki Niimi, Yoshitomo Morinaga and Yoshihiro Yamamoto
Antibiotics 2023, 12(10), 1516; https://doi.org/10.3390/antibiotics12101516 - 6 Oct 2023
Cited by 1 | Viewed by 2064
Abstract
Panton-Valentine leucocidin (PVL)-negative community-associated methicillin-resistant Staphylococcus aureus (CA-MRSA) was originally disseminated in Japan and has since replaced healthcare-associated MRSA (HA-MRSA). However, the clinical characteristics of CA-MRSA bacteremia (CA-MRSAB) compared with those of HA-MRSA bacteremia (HA-MRSAB) are unknown. We aim to clarify differences and [...] Read more.
Panton-Valentine leucocidin (PVL)-negative community-associated methicillin-resistant Staphylococcus aureus (CA-MRSA) was originally disseminated in Japan and has since replaced healthcare-associated MRSA (HA-MRSA). However, the clinical characteristics of CA-MRSA bacteremia (CA-MRSAB) compared with those of HA-MRSA bacteremia (HA-MRSAB) are unknown. We aim to clarify differences and investigate associations between the clinical manifestations and virulence genes associated with plasma-biofilm formation in PVL-negative CA-MRSA. From 2011 to 2021, when CA-MRSA dramatically replaced HA-MRSA, 79 MRSA strains were collected from blood cultures and analyzed via SCCmec typing and targeted virulence gene (lukSF-PV, cna, and fnbB) detection. The incidence of metastatic infection was significantly higher in CA-MRSAB than in HA-MRSAB. PVL genes were all negative, although cna and fnbB were positive in 55.6% (20/36) and 50% (18/36) of CA-MRSA strains and 3.7% (1/27) and 7.4% (2/27) of HA-MRSA strains, respectively. cna and fnbB carriage were not associated with the development of metastatic infections in MRSAB; however, the bacteremia duration was significantly longer in CA-MRSAB harboring cna. CA-MRSAB may be more likely to cause metastatic infections than HA-MRSAB. Since CA-MRSA is dominant in Japan, suspected metastatic infection foci should be identified by computed tomography, magnetic resonance imaging, and echocardiography when treating MRSAB. Full article
(This article belongs to the Special Issue Rational Use of Antibiotics in Bloodstream Infection)
Show Figures

Figure 1

9 pages, 1979 KB  
Case Report
Primary Adrenal Lymphomas with Cushing’s Syndrome: Two Cases with Evidence of Endogeneous Cortisol Production by the Neoplastic Lymphoid Cells
by Sotirios G. Papageorgiou, Ioanna Mavroeidi, Marios Kostakis, Aris Spathis, Danai Leventakou, Evangelia Kritikou, Nikolaos Oikonomopoulos, Chrysoula Kourkouti, Maria Krania, Anthi Bouchla, Thomas Thomopoulos, Zoi Tsakiraki, Konstantinos Markakis, Ioannis G. Panayiotides, Nikolaos Thomaidis, Vasiliki Pappa, Periklis G. Foukas and Melpomeni Peppa
J. Clin. Med. 2023, 12(15), 5032; https://doi.org/10.3390/jcm12155032 - 31 Jul 2023
Cited by 2 | Viewed by 1640
Abstract
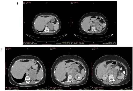
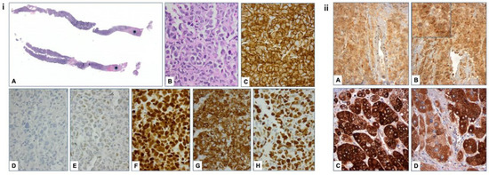
Primary adrenal lymphoma (PAL) is a rare entity that presents as unilateral or bilateral rapidly growing adrenal masses, with signs and symptoms most commonly related to adrenal insufficiency due to the mass effect on the surrounding tissues. Although steroeidogenesis has not been previously [...] Read more.
Primary adrenal lymphoma (PAL) is a rare entity that presents as unilateral or bilateral rapidly growing adrenal masses, with signs and symptoms most commonly related to adrenal insufficiency due to the mass effect on the surrounding tissues. Although steroeidogenesis has not been previously described in PAL, we herein report two cases of PAL presenting as adrenal incidentalomas (AIs) that demonstrated autonomous cortisol production. A 52-year-old woman presented with lumbar pain; a computed tomography (CT) scan demonstrated a left AI measuring 8.5 × 15 × 10 cm. Similarly, an 80-year-old woman presented with lumbar pain, demonstrating in a CT scan a bilateral AI (right: 9 × 6.5 cm, left: 3.6 × 3.2 cm). Both cases underwent a full hormonal evaluation according to the algorithm for the investigation of AIs, demonstrating increased 24-h cortisol excretion, suppressed fasting adrenocorticotropic hormone (ACTH) levels, and non-suppressed serum cortisol levels in both the overnight and the low-dose dexamethasone suppression tests, indicating autonomous cortisol secretion and Cushing’s syndrome. In a relatively short time, both patients developed night sweats, and their clinical picture deteriorated, while the CT scans showed increased dimensions of the masses with radiological characteristics compatible to lymphoma. Both patients underwent ultrasound-guided biopsies (FNBs), revealing infiltration of the left adrenal by diffuse large B-cell lymphoma in the first case, whereas bilateral adrenal infiltration from the same histological type was noted in the second case. Subsequently, they were treated with immunochemotherapy, but the second patient died from an infection shortly after the initiation of the treatment. To our knowledge, this is the first report of PAL presenting with Cushing’s syndrome due to autonomous cortisol production, indicating that neoplastic lymphoid cells in PAL might acquire the potential for steroidogenesis; therefore, more cases of PAL should be analyzed so as to further elucidate the complex pathogenesis and the natural course of this entity. Full article
(This article belongs to the Section Hematology)
Show Figures

Figure 1

10 pages, 787 KB  
Article
Antibiotics Resistance and Adhesive Properties of Clinical Staphylococcus aureus Isolated from Wound Infections
by Khulood Fahad Alabbosh, Tarek Zmantar, Abdulrahman S. Bazaid, Mejdi Snoussi and Emira Noumi
Microorganisms 2023, 11(5), 1353; https://doi.org/10.3390/microorganisms11051353 - 22 May 2023
Cited by 7 | Viewed by 2525
Abstract
Staphylococcus aureus (S. aureus) is a ubiquitous pathogen responsible for several severe infections. This study aimed to investigate the adhesive properties and antibiotic resistance among clinical S. aureus isolated from Hail Hospital Province, Kingdom of Saudi Arabia (KSA), using molecular approaches. [...] Read more.
Staphylococcus aureus (S. aureus) is a ubiquitous pathogen responsible for several severe infections. This study aimed to investigate the adhesive properties and antibiotic resistance among clinical S. aureus isolated from Hail Hospital Province, Kingdom of Saudi Arabia (KSA), using molecular approaches. This study was conducted according to the ethical committee at Hail’s guidelines on twenty-four S. aureus isolates. A polymerase chain reaction (PCR) was performed to identify genes encoding the β-lactamase resistance (blaZ), methicillin resistance (mecA), fluoroquinolone resistance (norA), nitric oxide reductase (norB), fibronectin (fnbA and fnbB), clumping factor (clfA) and intracellular adhesion factors (icaA and icaD). This qualitative study tested adhesion based on exopolysaccharide production on Congo red agar (CRA) medium and biofilm formation on polystyrene by S. aureus strains. Among 24 isolates, the cna and blaz were the most prevalent (70.8%), followed by norB (54.1%), clfA (50.0%), norA (41.6%), mecA and fnbB (37.5%) and fnbA (33.3%). The presence of icaA/icaD genes was demonstrated in almost all tested strains in comparison to the reference strain, S. aureus ATCC 43300. The phenotypic study of adhesion showed that all tested strains had moderate biofilm-forming capacity on polystyrene and represented different morphotypes on a CRA medium. Five strains among the twenty-four harbored the four genes of resistance to antibiotics (mecA, norA, norB and blaz). Considering the genes of adhesion (cna, clfA, fnbA and fnbB), these genes were present in 25% of the tested isolates. Regarding the adhesive properties, the clinical isolates of S. aureus formed biofilm on polystyrene, and only one strain (S17) produced exopolysaccharides on Congo red agar. All these results contribute to an understanding that the pathogenesis of clinical S. aureus isolates is due to their antibiotic resistance and adhesion to medical material. Full article
(This article belongs to the Special Issue Biology and Pathogenesis of Staphylococcus Infection (2nd Edition))
Show Figures

Figure 1

16 pages, 2616 KB  
Article
Extraction of High-Quality RNA from S. aureus Internalized by Endothelial Cells
by Michelle Maurer, Tilman E. Klassert, Bettina Löffler, Hortense Slevogt and Lorena Tuchscherr
Microorganisms 2023, 11(4), 1020; https://doi.org/10.3390/microorganisms11041020 - 13 Apr 2023
Cited by 2 | Viewed by 4369
Abstract
Staphylococcus aureus evades antibiotic therapy and antimicrobial defenses by entering human host cells. Bacterial transcriptomic analysis represents an invaluable tool to unravel the complex interplay between host and pathogen. Therefore, the extraction of high-quality RNA from intracellular S. aureus lays the foundation to [...] Read more.
Staphylococcus aureus evades antibiotic therapy and antimicrobial defenses by entering human host cells. Bacterial transcriptomic analysis represents an invaluable tool to unravel the complex interplay between host and pathogen. Therefore, the extraction of high-quality RNA from intracellular S. aureus lays the foundation to acquire meaningful gene expression data. In this study, we present a novel and straightforward strategy to isolate RNA from internalized S. aureus after 90 min, 24 h, and 48 h postinfection. Real-time PCR data were obtained for the target genes agrA and fnba, which play major roles during infection. The commonly used reference genes gyrB, aroE, tmRNA, gmk, and hu were analyzed under different conditions: bacteria from culture (condition I), intracellular bacteria (condition II), and across both conditions I and II. The most stable reference genes were used for the normalization of agrA and fnbA. Delta Cq (quantification cycle) values had a relatively low variability and thus demonstrated the high quality of the extracted RNA from intracellular S. aureus during the early phase of infection. The established protocol allows the extraction and purification of intracellular staphylococcal RNA while minimizing the amount of host RNA in the sample. This approach can leverage reproducible gene expression data to study host–pathogen interactions. Full article
Show Figures

Figure 1

11 pages, 1204 KB  
Article
Detection of Genes Encoding Microbial Surface Component Recognizing Adhesive Matrix Molecules in Methicillin-Resistant Staphylococcus aureus Isolated from Pyoderma Patients
by Mohammed Alorabi, Uroosa Ejaz, Bahram Khan Khoso, Fakhur Uddin, Samy F. Mahmoud, Muhammad Sohail and Mona Youssef
Genes 2023, 14(4), 783; https://doi.org/10.3390/genes14040783 - 24 Mar 2023
Cited by 4 | Viewed by 2625
Abstract
Pyoderma is a common skin infection predominantly caused by Staphylococcus aureus. In addition to methicillin resistance, this pathogen is resistant to many other antibiotics, which ultimately limits the available treatment options. Therefore, the present study aimed to compare the antibiotic-resistance pattern, to detect [...] Read more.
Pyoderma is a common skin infection predominantly caused by Staphylococcus aureus. In addition to methicillin resistance, this pathogen is resistant to many other antibiotics, which ultimately limits the available treatment options. Therefore, the present study aimed to compare the antibiotic-resistance pattern, to detect the mecA gene and the genes encoding microbial surface component recognizing adhesive matrix molecules (MSCRAMMs) in S. aureus isolates. A total of 116 strains were isolated from patients suffering with pyoderma. Disk diffusion assay was opted to perform antimicrobial susceptibility testing of the isolates. Out of the isolates tested, 23–42.2% strains appeared susceptible to benzylpenicillin, cefoxitin, ciprofloxacin and erythromycin. While linezolid was found to be the most effective anti-staphylococcal drug, followed by rifampin, chloramphenicol, clindamycin, gentamicin and ceftaroline. Out of 116 isolates, 73 (62.93%) were methicillin-resistant S. aureus (MRSA). Statistically significant (p ≤ 0.05) differences in antibiotic resistance patterns between MRSA and methicillin-susceptible S. aureus (MSSA) were found. A significant association of resistance to ceftaroline, rifampin, tetracycline, ciprofloxacin, clindamycin, trimethoprim–sulfamethoxazole and chloramphenicol was found in MRSA. However, no significant difference was observed between MRSA and MSSA for resistance against gentamicin, erythromycin or linezolid. All cefoxitin-resistant S. aureus, nonetheless, were positive for the mecA gene. femA was found in all the MRSA isolates. Among other virulence markers, bbp and fnbB were found in all the isolates, while can (98.3%), clfA and fnbA (99.1%) were present predominately in MRSA. Thus, this study offers an understanding of antibiotic resistance MSCRAMMs, mecA, and femA gene patterns in locally isolated strains of S. aureus. Full article
(This article belongs to the Section Microbial Genetics and Genomics)
Show Figures

Figure 1

10 pages, 968 KB  
Article
Molecular Characterization of Community- and Hospital- Acquired Methicillin-Resistant Staphylococcus aureus Isolates during COVID-19 Pandemic
by Muhammad Sohail, Moazza Muzzammil, Moaz Ahmad, Sabahat Rehman, Mohammed Garout, Taghreed M. Khojah, Kholoud M. Al-Eisa, Samar A. Breagesh, Rola M. Al Hamdan, Halimah I. Alibrahim, Zainab A. Alsoliabi, Ali A. Rabaan and Naveed Ahmed
Antibiotics 2023, 12(1), 157; https://doi.org/10.3390/antibiotics12010157 - 12 Jan 2023
Cited by 10 | Viewed by 4824
Abstract
Methicillin-resistant Staphylococcus aureus (MRSA) is a drug-resistant superbug that causes various types of community- and hospital-acquired infectious diseases. The current study was aimed to see the genetic characteristics and gene expression of MRSA isolates of nosocomial origin. A total of 221 MRSA isolates [...] Read more.
Methicillin-resistant Staphylococcus aureus (MRSA) is a drug-resistant superbug that causes various types of community- and hospital-acquired infectious diseases. The current study was aimed to see the genetic characteristics and gene expression of MRSA isolates of nosocomial origin. A total of 221 MRSA isolates were identified from 2965 clinical samples. To identify the bacterial isolates, the clinical samples were inoculated on blood agar media plates first and incubated at 37 °C for 18–24 h. For further identification, the Gram staining and various biochemical tests were performed once the colonies appeared on the inoculated agar plates. The phenotypic identification of antibiotic susceptibility patterns was carried out using Kirby–Bauer disk diffusion method by following the Clinical and Laboratory Standards Institute (CLSI) 2019 guidelines. The biofilm-producing potentials of MRSA were checked quantitatively using a spectrophotometric assay. All strains were characterized genotypically by SCCmec and agr typing using the specific gene primers. Furthermore, a total of twelve adhesion genes were amplified in all MRSA isolates. MRSA was a frequently isolated pathogen (44% community acquired (CA)-MRSA and 56% hospital acquired (HA)-MRSA), respectively. Most of the MRSA isolates were weak biofilm producers (78%), followed by moderate (25%) and strong (7%) biofilm producers, respectively. Prominent adhesion genes were clfB (100%), icaAD (91%), fib (91%), sdrC (91%) followed by eno (89%), fnbA (77%), sdrE (67%), icaBC (65%), clfA (65%), fnbB (57%), sdrD (57%), and cna (48%), respectively. The results of the current study will help to understand and manage the spectrum of biofilm-producing MRSA-associated hospital-acquired infections and to provide potential molecular candidates for the identification of biofilm-producing MRSA. Full article
Show Figures

Figure 1

Back to TopTop