Primary Adrenal Lymphomas with Cushing’s Syndrome: Two Cases with Evidence of Endogeneous Cortisol Production by the Neoplastic Lymphoid Cells
Abstract
1. Introduction
2. Case Presentation
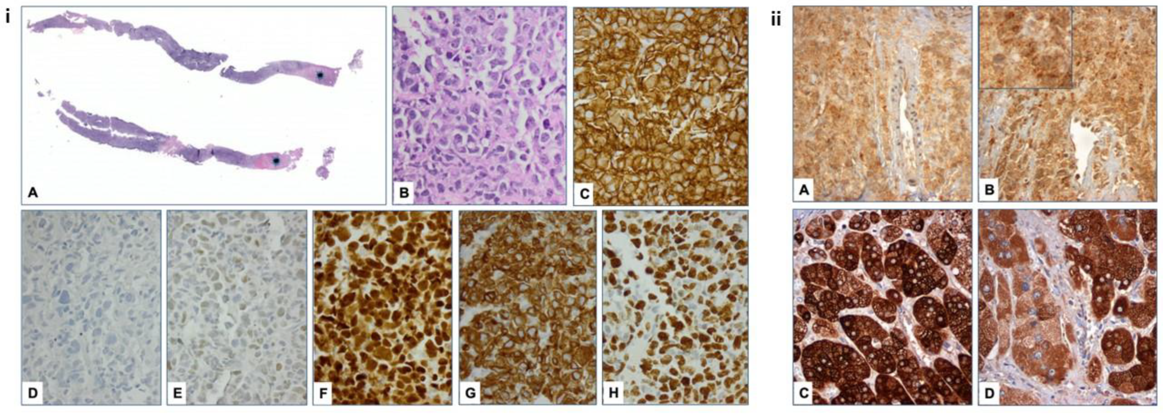
2.1. Case 1
2.2. Case 2
3. Discussion
Supplementary Materials
Author Contributions
Funding
Institutional Review Board Statement
Informed Consent Statement
Data Availability Statement
Acknowledgments
Conflicts of Interest
References
- Chandrasekar, T.; Goldberg, H.; Klaassen, Z.; Ahmad, A.E.; Herrera-Caceres, J.O.; Woon, D.T.S.; Hamilton, R.J.; Kulkarni, G.S.; Fleshner, N.E. MP03-02 Primary Adrenal Malignancy: Insights into the Epidemiology of a Rare Histological Subset. J. Urol. 2018, 199, e21–e22. [Google Scholar] [CrossRef][Green Version]
- Nogai, H.; Dörken, B.; Lenz, G. Pathogenesis of non-Hodgkin’s lymphoma. J. Clin. Oncol. 2011, 29, 1803–1811. [Google Scholar] [CrossRef]
- Laurent, C.; Casasnovas, O.; Martin, L.; Chauchet, A.; Ghesquieres, H.; Aussedat, G.; Fornecker, L.M.; Bologna, S.; Borot, S.; Laurent, K.; et al. Adrenal lymphoma: Presentation, management and prognosis. QJM 2017, 110, 103–109. [Google Scholar] [CrossRef][Green Version]
- Mantzios, G.; Tsirigotis, P.; Veliou, F.; Boutsikakis, I.; Petraki, L.; Kolovos, J.; Papageorgiou, S.; Robos, Y. Primary adrenal lymphoma presenting as Addison’s disease: Case report and review of the literature. Ann. Hematol. 2004, 83, 460–463. [Google Scholar] [CrossRef]
- Mozos, A.; Ye, H.; Chuang, W.Y.; Chu, J.S.; Huang, W.T.; Chen, H.K.; Hsu, Y.H.; Bacon, C.M.; Du, M.Q.; Campo, E.; et al. Most primary adrenal lymphomas are diffuse large B-cell lymphomas with non-germinal center B-cell phenotype, BCL6 gene rearrangement and poor prognosis. Mod. Pathol. 2009, 22, 1210–1217. [Google Scholar] [CrossRef]
- Arnold, D.T.; Reed, J.B.; Burt, K. Evaluation and management of the incidental adrenal mass. Bayl. Univ. Med. Cent. Proc. 2003, 16, 7–12. [Google Scholar] [CrossRef]
- Bandeira, F.; Filho, M.A.S.; de Lima Andrade, S.R. Adrenal Incidentalomas. In Endocrinology and Diabetes: A Problem Oriented Approach; Springer: Berlin/Heidelberg, Germany, 2022; pp. 99–102. [Google Scholar]
- Fassnacht, M.; Arlt, W.; Bancos, I.; Dralle, H.; Newell-Price, J.; Sahdev, A.; Tabarin, A.; Terzolo, M.; Tsagarakis, S.; Dekkers, O.M. Management of adrenal incidentalomas: European Society of Endocrinology Clinical Practice Guideline in collaboration with the European Network for the Study of Adrenal Tumors. Eur. J. Endocrinol. 2016, 175, G1–G34. [Google Scholar] [CrossRef]
- Holm, J.; Breum, L.; Stenfeldt, K.; Friberg Hitz, M. Bilateral primary adrenal lymphoma presenting with adrenal insufficiency. Case Rep. Endocrinol. 2012, 2012, 638298. [Google Scholar] [CrossRef]
- Miller, W.L.; Auchus, R.J. The molecular biology, biochemistry, and physiology of human steroidogenesis and its disorders. Endocr. Rev. 2011, 32, 81–151. [Google Scholar] [CrossRef]
- Baulieu, E.E.; Robel, P.; Schumacher, M. Neurosteroids: Beginning of the story. Int. Rev. Neurobiol. 2001, 46, 1–32. [Google Scholar] [CrossRef]
- Slominski, A.; Zbytek, B.; Nikolakis, G.; Manna, P.R.; Skobowiat, C.; Zmijewski, M.; Li, W.; Janjetovic, Z.; Postlethwaite, A.; Zouboulis, C.C.; et al. Steroidogenesis in the skin: Implications for local immune functions. J. Steroid Biochem. Mol. Biol. 2013, 137, 107–123. [Google Scholar] [CrossRef] [PubMed]
- Hostettler, N.; Bianchi, P.; Gennari-Moser, C.; Kassahn, D.; Schoonjans, K.; Corazza, N.; Brunner, T. Local glucocorticoid production in the mouse lung is induced by immune cell stimulation. Allergy 2012, 67, 227–234. [Google Scholar] [CrossRef]
- Cima, I.; Corazza, N.; Dick, B.; Fuhrer, A.; Herren, S.; Jakob, S.; Ayuni, E.; Mueller, C.; Brunner, T. Intestinal epithelial cells synthesize glucocorticoids and regulate T cell activation. J. Exp. Med. 2004, 200, 1635–1646. [Google Scholar] [CrossRef] [PubMed]
- Noti, M.; Corazza, N.; Mueller, C.; Berger, B.; Brunner, T. TNF suppresses acute intestinal inflammation by inducing local glucocorticoid synthesis. J. Exp. Med. 2010, 207, 1057–1066. [Google Scholar] [CrossRef]
- Vacchio, M.S.; Papadopoulos, V.; Ashwell, J.D. Steroid production in the thymus: Implications for thymocyte selection. J. Exp. Med. 1994, 179, 1835–1846. [Google Scholar] [CrossRef]
- Gomez-Sanchez, E.P.; Gomez-Sanchez, C.M.; Plonczynski, M.; Gomez-Sanchez, C.E. Aldosterone synthesis in the brain contributes to Dahl salt-sensitive rat hypertension. Exp. Physiol. 2010, 95, 120–130. [Google Scholar] [CrossRef]
- Talabér, G.; Jondal, M.; Okret, S. Extra-adrenal glucocorticoid synthesis: Immune regulation and aspects on local organ homeostasis. Mol. Cell. Endocrinol. 2013, 380, 89–98. [Google Scholar] [CrossRef]
- Ahmed, A.; Schmidt, C.; Brunner, T. Extra-Adrenal Glucocorticoid Synthesis in the Intestinal Mucosa: Between Immune Homeostasis and Immune Escape. Front. Immunol. 2019, 10, 1438. [Google Scholar] [CrossRef]
- Sidler, D.; Renzulli, P.; Schnoz, C.; Berger, B.; Schneider-Jakob, S.; Flück, C.; Inderbitzin, D.; Corazza, N.; Candinas, D.; Brunner, T. Colon cancer cells produce immunoregulatory glucocorticoids. Oncoimmunology 2012, 1, 529–530. [Google Scholar] [CrossRef][Green Version]
- Cohen, R.; Jonchère, V.; De La Fouchardière, C.; Ratovomanana, T.; Letourneur, Q.; Ayadi, M.; Armenoult, L.; Buisson, A.; Sarabi, M.; Pellat, A.; et al. Adrenal gland as a sanctuary site for immunotherapy in patients with microsatellite instability-high metastatic colorectal cancer. J. Immunother. Cancer 2021, 9, e001903. [Google Scholar] [CrossRef]
- Mahata, B.; Zhang, X.; Kolodziejczyk, A.A.; Proserpio, V.; Haim-Vilmovsky, L.; Taylor, A.E.; Hebenstreit, D.; Dingler, F.A.; Moignard, V.; Göttgens, B.; et al. Single-cell RNA sequencing reveals T helper cells synthesizing steroids de novo to contribute to immune homeostasis. Cell Rep. 2014, 7, 1130–1142. [Google Scholar] [CrossRef]
- Mahata, B.; Pramanik, J.; van der Weyden, L.; Polanski, K.; Kar, G.; Riedel, A.; Chen, X.; Fonseca, N.A.; Kundu, K.; Campos, L.S.; et al. Tumors induce de novo steroid biosynthesis in T cells to evade immunity. Nat. Commun. 2020, 11, 3588. [Google Scholar] [CrossRef]
- Ronquist-Nii, Y.; Edlund, P.O. Determination of corticosteroids in tissue samples by liquid chromatography–tandem mass spectrometry. J. Pharm. Biomed. Anal. 2005, 37, 341–350. [Google Scholar] [CrossRef]



| Hormone | Case 1 | Case 2 | |
|---|---|---|---|
| Time | At Diagnosis | After 6 Cycles of R-CHOP | At Diagnosis |
| Total serum renin (μIU/mL, n.v. 3–40) | 6 | 10 | 288 |
| Plasma aldosterone (ng/dL, n.v. 3–20) | 9 | 14 | 10 |
| Urinary VMA (mg/24 h, n.v. <8) | 4.6 | 4 | 7.6 |
| Urinary free metanephrines (μg/24 h, n.v. 20–350) | 56 | 48 | 75 |
| Urinary normetanephrines (μg/24 h, n.v. 30–600) | 303 | 187 | 519 |
| 17 (OH)Progesterone (ng/mL, n.v. 0.5–1.2) | 0.6 | 0.8 | ND |
| Testosterone (ng/mL, n.v. 0.029–0.408) | 0.16 | 0.13 | 0.25 |
| Dehydroepiandrosterone sulfate (μg/dL, n.v. 52–252) | 96 | 56.9 | 10.9 |
| FSH (mIU/mL, n.v. 2.5–12.5) | 24.7 | 66.7 | 22.93 |
| LH (mIU/mL, n.v. 3.5–13.5) | 15.1 | 42.9 | 6.5 |
| Estradiol (pg/mL, n.v. <5) | 16 | <5 | 19.6 |
| TSH (μIU/mL, n.v. 0.274.2) | 1.03 | 3.7 | 1.26 |
| Serum Cortisol after Overnight Dexamethasone Suppression Test (1 mg Dexamethasone) (n.v. <1.8 μg/dL) | Serum Cortisol at Midnight (μg/dL, n.v. <7.2) | Urinary Free Cortisol (μg/24 h, n.v. <50) | Plasma ACTH (pg/mL, n.v.: 5–60 pg/mL) | Serum Cortisol (μg/dL, n.v. 6.2–19.4) | |
|---|---|---|---|---|---|
| Case 1 | |||||
| At diagnosis | 28 | 22 | 179 | 5 | 20.3 |
| In CRu after 4 cycles of R-CHOP | 1.9 | 4.1 | 55 | 50 | 21.4 |
| In CRu, after 6 cycles of R-CHOP | 2 | 4 | 62 | 50 | 26.1 |
| At relapse | 10 | 15 | 252 | 6 | 30 |
| In CMR, after auto-SCT | 1.3 | 3.8 | 42 | 69 | 19.4 |
| Case 2 | |||||
| At diagnosis | 4 | 24 | 361 | 19.8 | 21.6 |
| After 1 cycle with R-CHOP | ND | ND | ND | 63 | >63 |
Disclaimer/Publisher’s Note: The statements, opinions and data contained in all publications are solely those of the individual author(s) and contributor(s) and not of MDPI and/or the editor(s). MDPI and/or the editor(s) disclaim responsibility for any injury to people or property resulting from any ideas, methods, instructions or products referred to in the content. |
© 2023 by the authors. Licensee MDPI, Basel, Switzerland. This article is an open access article distributed under the terms and conditions of the Creative Commons Attribution (CC BY) license (https://creativecommons.org/licenses/by/4.0/).
Share and Cite
Papageorgiou, S.G.; Mavroeidi, I.; Kostakis, M.; Spathis, A.; Leventakou, D.; Kritikou, E.; Oikonomopoulos, N.; Kourkouti, C.; Krania, M.; Bouchla, A.; et al. Primary Adrenal Lymphomas with Cushing’s Syndrome: Two Cases with Evidence of Endogeneous Cortisol Production by the Neoplastic Lymphoid Cells. J. Clin. Med. 2023, 12, 5032. https://doi.org/10.3390/jcm12155032
Papageorgiou SG, Mavroeidi I, Kostakis M, Spathis A, Leventakou D, Kritikou E, Oikonomopoulos N, Kourkouti C, Krania M, Bouchla A, et al. Primary Adrenal Lymphomas with Cushing’s Syndrome: Two Cases with Evidence of Endogeneous Cortisol Production by the Neoplastic Lymphoid Cells. Journal of Clinical Medicine. 2023; 12(15):5032. https://doi.org/10.3390/jcm12155032
Chicago/Turabian StylePapageorgiou, Sotirios G., Ioanna Mavroeidi, Marios Kostakis, Aris Spathis, Danai Leventakou, Evangelia Kritikou, Nikolaos Oikonomopoulos, Chrysoula Kourkouti, Maria Krania, Anthi Bouchla, and et al. 2023. "Primary Adrenal Lymphomas with Cushing’s Syndrome: Two Cases with Evidence of Endogeneous Cortisol Production by the Neoplastic Lymphoid Cells" Journal of Clinical Medicine 12, no. 15: 5032. https://doi.org/10.3390/jcm12155032
APA StylePapageorgiou, S. G., Mavroeidi, I., Kostakis, M., Spathis, A., Leventakou, D., Kritikou, E., Oikonomopoulos, N., Kourkouti, C., Krania, M., Bouchla, A., Thomopoulos, T., Tsakiraki, Z., Markakis, K., Panayiotides, I. G., Thomaidis, N., Pappa, V., Foukas, P. G., & Peppa, M. (2023). Primary Adrenal Lymphomas with Cushing’s Syndrome: Two Cases with Evidence of Endogeneous Cortisol Production by the Neoplastic Lymphoid Cells. Journal of Clinical Medicine, 12(15), 5032. https://doi.org/10.3390/jcm12155032

