Sign in to use this feature.

Years

Between: -

Subjects

remove_circle_outline
remove_circle_outline
remove_circle_outline
remove_circle_outline

Journals

Article Types

Countries / Regions

Search Results (13)

Search Parameters:
Keywords = feline hyperthyroidism

Order results
Result details
Results per page
Select all
Export citation of selected articles as:
14 pages, 990 KB  
Article
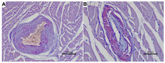
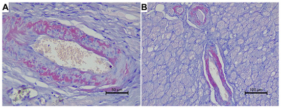
Amyloid Deposits in Intramural Coronary Arteries of Feline Hearts: A Retrospective Histopathological Study
by Izabela Janus-Ziółkowska, Joanna Bubak, Ewa Sawińska, Marcin Nowak and Agnieszka Noszczyk-Nowak
J. Mol. Pathol. 2026, 7(1), 10; https://doi.org/10.3390/jmp7010010 - 3 Mar 2026
Viewed by 165
Abstract
Background: Amyloidosis involving the heart is one of the types of the disease recognized in humans and has been previously described in dogs. To date, no data regarding the presence of amyloid in cardiac tissues of a large group of feline patients have [...] Read more.
Background: Amyloidosis involving the heart is one of the types of the disease recognized in humans and has been previously described in dogs. To date, no data regarding the presence of amyloid in cardiac tissues of a large group of feline patients have been published. Our research aimed to analyze the presence and localization of amyloid in the atrial and ventricular cardiac tissue in retrospectively enrolled cats diagnosed with various types of primary cardiomyopathies, hyperthyroidism-induced cardiomyopathy, myocarditis, and generalized disorders. Methods: This study was conducted on atrial specimens obtained from 119 animals and on ventricular specimens obtained from 69 animals from that group. The atrial and ventricular specimens obtained from the enrolled animals were stained with Congo Red and evaluated in a light microscope and polarized light for the presence of amyloid deposits. Results: Five cases from the enrolled group turned out positive for amyloid deposits: three cats diagnosed with feline hyperthyroidism, one cat diagnosed with kidney glomerulonephritis, and one cat diagnosed with restrictive cardiomyopathy. In all positive cats, the amyloid deposits were present within the small intramural coronary arteries of the left ventricular free wall and interventricular septum and/or left and right atrium. No myocardial amyloid deposits were identified in the study group. Conclusions: In conclusion, cardiac coronary arterial amyloidosis, although infrequent, can be observed in cats. Full article
Show Figures

Figure 1

12 pages, 261 KB  
Review
Cardiac Abnormalities in Feline Hyperthyroidism
by Birgit van Zuiden, Giorgia Santarelli, Sara Galac, Hans S. Kooistra and Viktor Szatmári
Vet. Sci. 2025, 12(12), 1115; https://doi.org/10.3390/vetsci12121115 - 23 Nov 2025
Viewed by 1589
Abstract
Hyperthyroidism is a common endocrine disorder in elderly cats, often leading to concurrent cardiac abnormalities. Understanding the development of these cardiac abnormalities and the effect of treatment is crucial for optimizing monitoring strategies and long-term management. Hyperthyroid cats frequently develop cardiomegaly, with left [...] Read more.
Hyperthyroidism is a common endocrine disorder in elderly cats, often leading to concurrent cardiac abnormalities. Understanding the development of these cardiac abnormalities and the effect of treatment is crucial for optimizing monitoring strategies and long-term management. Hyperthyroid cats frequently develop cardiomegaly, with left ventricular concentric and/or eccentric hypertrophy, and left atrial dilation. Cardiac abnormalities described in humans with multinodular toxic goiter may differ from those in cats, but, as in humans, these abnormalities are often reversible once thyroid hormone levels are normalized. Definitive treatment options for hyperthyroidism, such as radioiodine therapy and thyroidectomy, are the most successful at restoring the normal thyroid hormone levels. Medical therapy and iodine-restricted diets can also help normalize thyroid hormone levels, thereby aiding the reversal of cardiac abnormalities. However, cats with pre-existing cardiac diseases, like hypertrophic cardiomyopathy, may not show reversible cardiac changes due to these concurrent primary cardiac diseases. Cats with hyperthyroidism should routinely undergo echocardiographic evaluations to monitor for concurrent cardiac abnormalities, both before and after treatment. More importantly, every cat older than 6 years of age with echocardiographic or clinical signs of heart disease should be screened for hyperthyroidism. With appropriate treatment of hyperthyroidism, heart failure can be prevented. Full article
(This article belongs to the Special Issue Advancements in Small Animal Internal Medicine)
12 pages, 3355 KB  
Article
Molecular Cardiac Changes in Feline Hyperthyroidism and Hypertrophic Cardiomyopathy: Focus on Desmin, Calreticulin, and Interleukin-10 Expression
by Izabela Janus-Ziółkowska, Joanna Bubak, Massimiliano Tursi, Cristina Vercelli, Rafał Ciaputa, Małgorzata Kandefer-Gola and Agnieszka Noszczyk-Nowak
Animals 2025, 15(12), 1719; https://doi.org/10.3390/ani15121719 - 10 Jun 2025
Viewed by 3425
Abstract
Feline hyperthyroidism is the most frequent endocrinopathy in adult and senior cats, frequently leading to cardiac changes characterised by a hypertrophic cardiomyopathy (HCM) phenotype, which may partially reverse with appropriate treatment. However, the structural and molecular alterations in the myocardium can persist and [...] Read more.
Feline hyperthyroidism is the most frequent endocrinopathy in adult and senior cats, frequently leading to cardiac changes characterised by a hypertrophic cardiomyopathy (HCM) phenotype, which may partially reverse with appropriate treatment. However, the structural and molecular alterations in the myocardium can persist and closely resemble those observed in hypertrophic cardiomyopathy. Despite this clinical overlap, protein expression patterns in the hearts of hyperthyroid cats remain poorly understood. This study aimed to evaluate the myocardial expression of desmin, a key contractile protein, as well as calreticulin and interleukin-10 proteins involved in cardiac remodelling and response to injury. Left ventricular samples were obtained from 16 hyperthyroid cats, 12 cats with HCM, and 10 healthy controls. Immunohistochemical staining was performed to assess the expression patterns of the selected proteins. Our findings revealed that, despite median left ventricular dimensions not being significantly different from ones observed in healthy animals, cats with hyperthyroidism exhibited similar alterations in desmin and interleukin-10 expression to those seen in HCM-affected cats. These changes were associated with cardiomyocyte degeneration and coronary artery narrowing, suggesting a shared pathway of myocardial injury independent of the primary disease. Full article
(This article belongs to the Special Issue Canine and Feline Endocrinology: Research Progress and Challenges)
Show Figures

Figure 1

25 pages, 4322 KB  
Article
Owners’ Experience and Satisfaction with Radioiodine Treatment in Hyperthyroid Cats—A Prospective Questionnaire Study
by Sofie Muthmann, Joana Léonie Tiefenbrunner, Fabienne Blunschi, Isabell Klemm, Natali Bettina Bauer and Katarina Hazuchova
Vet. Sci. 2025, 12(5), 458; https://doi.org/10.3390/vetsci12050458 - 10 May 2025
Viewed by 2117
Abstract
Radioiodine (RAI) treatment (RAIT) is considered the gold standard for treatment of feline hyperthyroidism. This study aimed to assess owners’ motivation, concerns and satisfaction with RAIT and health-related quality of life (HRQoL) changes in RAI-treated cats. Two surveys (before and six months post-RAIT) [...] Read more.
Radioiodine (RAI) treatment (RAIT) is considered the gold standard for treatment of feline hyperthyroidism. This study aimed to assess owners’ motivation, concerns and satisfaction with RAIT and health-related quality of life (HRQoL) changes in RAI-treated cats. Two surveys (before and six months post-RAIT) were sent to owners of cats scheduled for RAIT between April 2023 and March 2024. The owners of 78 and 68 cats completed the first and the second surveys, respectively. The main reasons for choosing RAIT were that RAIT was considered the gold standard treatment (n = 27/78; 35%) and difficulties administering antithyroid drugs (n = 18/78; 23%). The primary care veterinarian (n = 50/78; 64%) and the internet (n = 33/78; 42%) were the main information sources about RAIT at the referral clinic. Owners were mostly concerned about the anaesthetic risk and hospitalisation, with the cat missing the owner and vice versa being the main worries. Most owners were satisfied with the outcome and their decision for RAIT. The HRQoL score improved within the first six months after RAIT (p < 0.01), with no difference between euthyroid and hypothyroid cats (p = 0.609). This study emphasises the role of the primary care veterinarian and the internet as primary sources of information regarding RAIT. The findings help to better understand owner concerns, improve owner counselling, and educate primary care veterinarians about RAIT. Full article
(This article belongs to the Section Veterinary Internal Medicine)
Show Figures

Figure 1

13 pages, 3706 KB  
Communication
Environmental Implications of the Global Prevalence of Hyperthyroidism in Cats from a “One Health” Perspective
by Ryunosuke Kikuchi, Rosário Plácido Roberto da Costa and Carla Sofia Santos Ferreira
Pollutants 2025, 5(1), 8; https://doi.org/10.3390/pollutants5010008 - 12 Mar 2025
Viewed by 6150
Abstract
The prevalence of hyperthyroidism in cats has been steadily increasing worldwide since the late 1970s. The main cause of feline hyperthyroidism remains unknown. The underlying cause was studied from the viewpoint of the “One Health” concept, which is an approach integrating environmental, animal [...] Read more.
The prevalence of hyperthyroidism in cats has been steadily increasing worldwide since the late 1970s. The main cause of feline hyperthyroidism remains unknown. The underlying cause was studied from the viewpoint of the “One Health” concept, which is an approach integrating environmental, animal and human health. Looking at the dietary difference between cats which are carnivores and dogs which appear to be omnivores like humans, there is a possibility that cats take in a comparatively greater amount of endocrine-disrupting chemicals such as polybrominated diphenyl ethers (PBDEs) than dogs and humans via the fish-based food web. PBDEs have been used worldwide as flame retardants since the 1970s. It is considered that PBDEs mimic thyroid-stimulating hormones to cause a thyroid adenoma, which is often active and produces excessive thyroid hormones, resulting in symptomatic hyperthyroidism. The increasing prevalence of feline hyperthyroidism may be associated with Minamata disease that was caused by methyl-mercury contamination in the 1950s. This environmental contamination firstly wreaked havoc as neurological disorders in local cats, and this occurrence was a sign that severe neurological disorders would next develop in large numbers of local people. The prevalence of feline hyperthyroidism may be a sign of what will next emerge in human beings. Full article
Show Figures

Figure 1

16 pages, 1813 KB  
Article
Changes in Erythrocytes in 88 Hyperthyroid Cats
by Olga Gójska-Zygner, Grzegorz Kotomski, Joanna Gajger, Luke J. Norbury and Wojciech Zygner
Animals 2024, 14(21), 3136; https://doi.org/10.3390/ani14213136 - 31 Oct 2024
Viewed by 2917
Abstract
Background: There is only a limited number of studies that show alterations in erythrocytes in feline hyperthyroidism. Discrepancies between the findings of these studies may be caused by the presence of concurrent diseases and the use of various haematological analysers. Methods: This study [...] Read more.
Background: There is only a limited number of studies that show alterations in erythrocytes in feline hyperthyroidism. Discrepancies between the findings of these studies may be caused by the presence of concurrent diseases and the use of various haematological analysers. Methods: This study analysed changes in red blood cells (RBCs) in 88 hyperthyroid cats without concurrent diseases, to identify associations between observed changes and to assess the influence of serum thyroxine (T4) concentration, cat age, and sex, on RBC changes. Results: Among the eighty-eight hyperthyroid cats, erythrocytosis was observed in twelve, anaemia in four, macrocytosis in two, and microcytosis in three. Three of the four cases of anaemia probably resulted from concurrent unrecognised disease. Interestingly, all cases of microcytosis were recognized in cats that had erythrocytosis. This study identified a moderate negative correlation between RBC count and mean corpuscular volume (MCV; r = −0.57, p < 0.001). Concluding, it appears that erythrocytosis may be a response to the development of microcytosis. The correlation between RBC count and MCV in hyperthyroid cats may result from the increased action of hepcidin and erythropoietin coupled with the decreased action of thyroid-stimulating hormone (TSH). Full article
(This article belongs to the Section Companion Animals)
Show Figures

Figure 1

20 pages, 2673 KB  
Article
Effect of Presence of Uni- or Bilateral Thyroid Adenoma on Recovery of Pituitary–Thyroid Axis and Creatinine Concentration in Radioiodine-Treated Cats
by Anna Paulina Menzel, Joanna Lin, Arne Güssow, Ve Patzelt, Natali Bauer and Katarina Hazuchova
Animals 2024, 14(18), 2627; https://doi.org/10.3390/ani14182627 - 10 Sep 2024
Cited by 3 | Viewed by 1751
Abstract
Radioiodine therapy (RAIT) is the gold standard for treatment of hyperthyroidism in cats. The aim of this study was to evaluate the effect of the presence of uni- or bilateral thyroid adenoma on changes in total thyroxine (TT4), thyroid-stimulating hormone (TSH), and creatinine [...] Read more.
Radioiodine therapy (RAIT) is the gold standard for treatment of hyperthyroidism in cats. The aim of this study was to evaluate the effect of the presence of uni- or bilateral thyroid adenoma on changes in total thyroxine (TT4), thyroid-stimulating hormone (TSH), and creatinine concentration over a period of 6 to 12 months following RAIT. Fifty-one hyperthyroid cats presented for RAIT between April 2021 and April 2022 were prospectively enrolled. Cats with an increased creatinine concentration (creatinine ≥ 140 µmol/L), renal morphology abnormalities, and suspected thyroid carcinoma were excluded. TT4, TSH, and creatinine were determined before and one week and one, three, six, and twelve months following RAIT. The effects of the re-examination timepoint following RAIT and the presence of uni- or bilateral thyroid adenoma based on technetium-99m scintigraphy on TT4, TSH, and creatinine were analysed by mixed effects modelling. Cats with bilateral adenoma had significantly higher TSH concentrations after RAIT compared to those with unilateral adenoma. TT4 concentration significantly decreased one week (p < 0.001) and again one month following RAIT (p < 0.001). TSH and creatinine concentration significantly increased one month post RAIT (both p < 0.001). As indicated by an increase in TSH concentration, the pituitary–thyroid axis needs a minimum of one month post RAIT to recover from hyperthyroidism-induced suppression, but hypothyroidism necessitating levothyroxine supplementation might not be diagnosed before 6 or even 12 months post RAIT. Although creatinine did not increase significantly after one month post RAIT in this cohort, an increased creatinine concentration was detected at later timepoints in individual cats. Full article
(This article belongs to the Section Companion Animals)
Show Figures

Figure 1

14 pages, 775 KB  
Article
Feline Susceptibility to Leptospirosis and Presence of Immunosuppressive Co-Morbidities: First European Report of L. interrogans Serogroup Australis Sequence Type 24 in a Cat and Survey of Leptospira Exposure in Outdoor Cats
by Elisa Mazzotta, Gabrita De Zan, Monia Cocchi, Maria Beatrice Boniotti, Cristina Bertasio, Tommaso Furlanello, Laura Lucchese, Letizia Ceglie, Laura Bellinati and Alda Natale
Trop. Med. Infect. Dis. 2023, 8(1), 54; https://doi.org/10.3390/tropicalmed8010054 - 10 Jan 2023
Cited by 16 | Viewed by 6236
Abstract
Leptospirosis is one of the most widespread zoonotic diseases and can infect both humans and animals worldwide. The role of the cat as a susceptible host and potential environmental reservoir of Leptospira is still not well understood, due to the lack of obvious [...] Read more.
Leptospirosis is one of the most widespread zoonotic diseases and can infect both humans and animals worldwide. The role of the cat as a susceptible host and potential environmental reservoir of Leptospira is still not well understood, due to the lack of obvious clinical signs associated with Leptospira spp. infection in this species. This study aims to describe the first European detection of Leptospira interrogans serogroup Australis ST 24 in a young outdoor cat with a severe comorbidity (feline panleukopenia virus). In addition, the results of a preliminary study conducted in 2014–2016 are presented (RC IZSVE 16/12), which reports an investigation of Leptospira exposure of outdoor cats in Northeast Italy by means of serological investigation and molecular evaluation of urine. The animals included in the survey are part of samples collected during active and passive surveillance (diagnostic samples). The study reported a seroprevalence of 10.5% among outdoor cats and the serogroups identified were Grippotyphosa, Icterohaemorrhagiae, Bratislava, Canicola and Ballum. Symptomatic cats reported high MAT titres (ranging from 1:800 to 1:1600) towards antigens belonging to the serovars Grippotyphosa (1:800), Bratislava (1:1600), Icterohaemorrhagiae (1:200) and Copenhageni (1:200–1:800). In one subject, urine tested positive for Leptospira PCR. Cats with high antibody titres for Leptospira and/or positivity on molecular test suffered from immunosuppressive comorbidities (feline immunodeficiency virus and feline leukaemia virus; feline herpesvirus and lymphoma; hyperthyroidism). The overall prevalence of serum antibodies against Leptospira found in free-ranging cats (10.53%, 95% CI: 4.35–16.70%) and the identification of L. interrogans ST 24 in a young cat with immunosuppressive disease (feline panleukopenia virus) suggest the possibility of natural resistance to clinical leptospirosis in healthy cats. In a One Health perspective, further studies are needed to better define the pathogenesis of leptospirosis in cats and their epidemiological role as environmental sentinels or possible carriers of pathogenic Leptospira. Full article
(This article belongs to the Special Issue New Insights in Leptospirosis)
Show Figures

Figure 1

13 pages, 1217 KB  
Article
Protective Effect of Natural Antioxidant Compounds on Methimazole Induced Oxidative Stress in a Feline Kidney Epithelial Cell Line (CRFK)
by Flavia Girolami, Alessia Candellone, Watanya Jarriyawattanachaikul, Giorgia Meineri, Carlo Nebbia and Paola Badino
Vet. Sci. 2021, 8(10), 220; https://doi.org/10.3390/vetsci8100220 - 8 Oct 2021
Cited by 9 | Viewed by 3989
Abstract
The treatment of choice for feline hyperthyroidism is the administration of the antithyroid drug methimazole. Both the endocrinopathy and the drug adverse reactions (e.g., hepatotoxicosis, gastrointestinal disorders, and renal injury) are partly due to oxidative stress and redox unbalance. This study investigated the [...] Read more.
The treatment of choice for feline hyperthyroidism is the administration of the antithyroid drug methimazole. Both the endocrinopathy and the drug adverse reactions (e.g., hepatotoxicosis, gastrointestinal disorders, and renal injury) are partly due to oxidative stress and redox unbalance. This study investigated the free radical production and the impairment of the antioxidant barrier induced by methimazole in an in vitro model of feline renal epithelium. The protective effects of quercetin and resveratrol were also explored. CRFK cells were incubated with a methimazole concentration equivalent to the maximum plasma levels in orally treated cats (4 µM), in the presence or absence of either one of the two selected antioxidants at different time-points (up to 72 h). Cell viability, ROS production, GSH levels, and mRNA expression of antioxidant enzymes (i.e., CAT, SOD, GPx, and GST) were assessed. Methimazole impaired cell viability and increased ROS levels in a time-dependent manner. Similarly, GSH content and CAT, SOD, and GPx3 expression were higher compared with control cells. Such effects were significantly counteracted by quercetin. These results provide new insights about the mechanisms underlying the methimazole-related side effects frequently observed in hyperthyroid cats. They also support the use of quercetin in the management of feline hyperthyroidism. Full article
Show Figures

Figure 1

21 pages, 946 KB  
Review
Management of Feline Hyperthyroidism and the Need to Prevent Oxidative Stress: What Can We Learn from Human Research?
by Alessia Candellone, Vittorio Saettone, Paola Badino, Flavia Girolami, Elisabetta Radice, Domenico Bergero, Rosangela Odore and Giorgia Meineri
Antioxidants 2021, 10(9), 1496; https://doi.org/10.3390/antiox10091496 - 20 Sep 2021
Cited by 6 | Viewed by 8688
Abstract
Feline hyperthyroidism is a clinical syndrome related to an excessive production of thyroid hormones, and it is considered as a spontaneous animal model for human thyrotoxicosis. Many shared features between the feline and the human disease have been identified so far, including pathogenesis, [...] Read more.
Feline hyperthyroidism is a clinical syndrome related to an excessive production of thyroid hormones, and it is considered as a spontaneous animal model for human thyrotoxicosis. Many shared features between the feline and the human disease have been identified so far, including pathogenesis, clinical signs, and treatment options. Although methimazole is considered the first-choice drug in both species, several side effects have been described. Furthermore, methimazole could interfere with the oxidative status, already perturbated by the disease. It has been reported in humans that dietary management, mainly through antioxidant supplementation, could mitigate this oxidative burden. The purpose of the review is to describe current therapeutic options in the course of feline hyperthyroidism and to summarize the state of the art relationship between dietary antioxidants administration and the reduction of methimazole side-effects in humans to support the use of this approach also in cats. Full article
(This article belongs to the Special Issue Dietary Antioxidants and Chronic Diseases)
Show Figures

Figure 1

15 pages, 325 KB  
Review
Updates on Laboratory Evaluation of Feline Cardiac Diseases
by Alessandra Gavazza, Andrea Marchegiani, Lorenza Guerriero, Vanessa Turinelli, Andrea Spaterna, Sara Mangiaterra, Livio Galosi, Giacomo Rossi and Matteo Cerquetella
Vet. Sci. 2021, 8(3), 41; https://doi.org/10.3390/vetsci8030041 - 3 Mar 2021
Cited by 9 | Viewed by 8707
Abstract
Laboratory tests can be altered in cardiovascular diseases and the investigation of specific tests or biomarkers may provide additional information about myocardial damage. Traditional laboratory tests, such as cell blood count, serum biochemistry, and coagulation, can be useful in investigating patients, but are [...] Read more.
Laboratory tests can be altered in cardiovascular diseases and the investigation of specific tests or biomarkers may provide additional information about myocardial damage. Traditional laboratory tests, such as cell blood count, serum biochemistry, and coagulation, can be useful in investigating patients, but are not specific. However, markers like Troponin and Natriuretic Peptides may possibly furnish further data on myocardium damage and can be used in both studying and monitoring cats with cardiac disease. Moreover, the evaluation of the thyroid profile is very important as hyperthyroid cats concomitant cardiovascular diseases are very common and they can also be a direct consequence of endocrinopathy. The purpose of this manuscript is to provide the widest possible overview of what is present in the literature about the feline clinical pathology of heart diseases through a rational division of the main alterations of traditional tests and biomarkers. Full article
9 pages, 1617 KB  
Article
A Clinical Investigation on Serum Amyloid A Concentration in Client-Owned Healthy and Diseased Cats in a Primary Care Animal Hospital
by Masashi Yuki, Reina Aoyama, Masahiro Nakagawa, Takashi Hirano, Eiji Naitoh and Daiki Kainuma
Vet. Sci. 2020, 7(2), 45; https://doi.org/10.3390/vetsci7020045 - 15 Apr 2020
Cited by 35 | Viewed by 8193
Abstract
Although measurement of serum amyloid A (SAA) concentration in client-owned cats has already been shown to be clinically useful, limited data are available on common diseases at primary care hospitals. In this study, we measured the SAA concentration in cats with various diseases [...] Read more.
Although measurement of serum amyloid A (SAA) concentration in client-owned cats has already been shown to be clinically useful, limited data are available on common diseases at primary care hospitals. In this study, we measured the SAA concentration in cats with various diseases and investigated their clinical significance using a primary care hospital as a population. We measured the SAA concentrations in healthy cats (n = 98) and those with various clinical signs (n = 444). The SAA concentrations in healthy cats did not differ significantly by age, breed, sex, and presence/absence of neutering/spaying. The SAA concentrations were significantly higher in the diseased cat group than in the healthy cat group (p < 0.001). We observed significant increases in SAA concentrations in cats with confirmed diagnosis of inflammatory disease such as upper respiratory tract infections (p < 0.001), pneumonia (p < 0.001), pyometra (p = 0.001), and feline infectious peritonitis (p < 0.001), compared with those observed in healthy cats. Conversely, no increase was observed in cardiomyopathy, hyperthyroidism, and diabetes mellitus without systemic inflammation. In univariate analysis, survival at 30 days (p = 0.03) differed significantly between the low and high SAA concentration groups, but not at 180 days. In multivariate analysis, survival at 30 days did not significantly affect SAA concentration. Measurement of SAA concentration is a useful biomarker for detecting the presence or absence of inflammation in diseased cats. However, it may not be useful as a biomarker for determining the prognosis of the disease. Full article
Show Figures

Figure 1

11 pages, 1122 KB  
Article
Evaluation of Antioxidant Supplementation on Redox Unbalance in Hyperthyroid Cats Treated with Methimazole: A Blinded Randomized Controlled Trial
by Alessia Candellone, Paola Badino, Paola Gianella, Flavia Girolami, Graziella Raviri, Vittorio Saettone and Giorgia Meineri
Antioxidants 2020, 9(1), 15; https://doi.org/10.3390/antiox9010015 - 23 Dec 2019
Cited by 8 | Viewed by 5056
Abstract
Methimazole (MMI) is often the selected medical treatment for feline hyperthyroidism. However, the onset of MMI-related side effects (MMI-SE) is likely caused by oxidative stress. This study evaluated the dietary supplementation of selected antioxidants in hyperthyroid cats receiving MMI, to reduce MMI-SE. Thirty [...] Read more.
Methimazole (MMI) is often the selected medical treatment for feline hyperthyroidism. However, the onset of MMI-related side effects (MMI-SE) is likely caused by oxidative stress. This study evaluated the dietary supplementation of selected antioxidants in hyperthyroid cats receiving MMI, to reduce MMI-SE. Thirty hyperthyroid client-owned cats were randomly allocated in group M (MMI + placebo) or group M+A (MMI + antioxidants). At different time-points from the enrolment (ET) to the end of the trial (FT), the following information was recorded: clinical findings, complete blood count, serum biochemical parameters, urinalysis, total plasma thyroxine concentrations, determinable reactive oxygen metabolites (dROMs), OXY-adsorbent test values, and oxidative stress index (OSi) values, and MMI-SE. dROMs and OSi values significantly increased from ET to FT in group M and were significantly higher in group M than in group M+A at FT. Likewise, OXY-absorbent test values were significantly higher in group M+A than in group M at FT. Moreover, the occurrence rate of MMI-SE in group M+A was lower than in group M. In conclusion, our results show that the dietary supplementation of antioxidants in hyperthyroid cats receiving MMI exerts a protective effect against oxidative stress, likely contributing to the reduction of MMI-SE. Full article
(This article belongs to the Special Issue Antioxidants in Veterinary Medicine)
Show Figures

Figure 1

Back to TopTop