Sign in to use this feature.

Years

Between: -

Subjects

remove_circle_outline
remove_circle_outline
remove_circle_outline
remove_circle_outline
remove_circle_outline
remove_circle_outline

Journals

Article Types

Countries / Regions

Search Results (83)

Search Parameters:
Keywords = endoscopic decompression

Order results
Result details
Results per page
Select all
Export citation of selected articles as:
19 pages, 1634 KB  
Systematic Review
Safety and Efficacy of Endoscopic Derotation in Colonic Volvulus Occlusion: Systematic Review and Meta-Analysis
by Filippo Sabatini, Luca Properzi, Gabriele Marinozzi, Gabrio Bassotti, Bruno Cirillo, Gioia Brachini, Francesco Brucchi, Sara Lauricella, Alberto Santoro, Matteo Matteucci, Antonia Rizzuto and Roberto Cirocchi
J. Clin. Med. 2026, 15(3), 1190; https://doi.org/10.3390/jcm15031190 - 3 Feb 2026
Abstract
Background: Sigmoid volvulus is a time-critical cause of large-bowel obstruction. While endoscopic detorsion (ED) is the primary intervention for rapid decompression and the assessment of mucosal viability, reported success, recurrence, and mortality rates vary significantly across the literature, complicating evidence-based clinical decision-making. Methods: [...] Read more.
Background: Sigmoid volvulus is a time-critical cause of large-bowel obstruction. While endoscopic detorsion (ED) is the primary intervention for rapid decompression and the assessment of mucosal viability, reported success, recurrence, and mortality rates vary significantly across the literature, complicating evidence-based clinical decision-making. Methods: A systematic review and meta-analysis were conducted following PRISMA guidelines (protocol submitted to PROSPERO). MEDLINE/PubMed and Embase were searched from inception to 20 October 2025, supplemented by manual reference screening. We included original prospective or retrospective studies (n ≥ 5) reporting outcomes after ED for sigmoid volvulus, specifically technical success, post-ED recurrence, or mortality. Pooled proportions were estimated using a DerSimonian–Laird random-effects model on the logit scale, with heterogeneity quantified using I2 statistics. Administrative database studies were summarized descriptively and excluded from the quantitative synthesis to minimize selection bias. Results: Nineteen studies (2004–2025) met the inclusion criteria from an initial 890 records. Fifteen studies (n = 1738) contributed to the analysis of technical success, yielding a pooled estimate of 80.0% (95% CI: 75.0–83.0%; I2 = 87.5%). Seventeen studies (n = 3285) reported recurrence following initially successful ED, with a pooled rate of 33.9% (95% CI: 19.5–52.1%; I2 = 97.5%). Sixteen studies (n = 2790) reported mortality; the pooled estimate was 22.6% (95% CI: 18.7–26.4%; I2 = 99.6%). This extreme heterogeneity likely reflects variations in patient comorbidities (case-mix) and differing outcome reporting windows rather than procedural risk in isolation. Conclusions: ED is an effective first-line stabilizing intervention for uncomplicated sigmoid volvulus; however, recurrence rates remain high, and outcome estimates exhibit significant heterogeneity. ED should be integrated within a structured clinical pathway that prioritizes standardized mucosal assessment, post-procedural decompression, and the timely planning of definitive management when feasible. Full article
(This article belongs to the Section Emergency Medicine)
Show Figures

Figure 1

11 pages, 6626 KB  
Review
Using Endoscopic Approaches in the Surgical Management of Spinal Metastatic Disease
by Whitney E. Muhlestein, Samuel A. Tenhoeve and Mark A. Mahan
J. Clin. Med. 2026, 15(3), 1093; https://doi.org/10.3390/jcm15031093 - 30 Jan 2026
Viewed by 77
Abstract
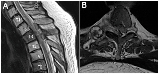
Patients with spinal metastasis often benefit from surgical intervention for debulking to improve neurologic deficits, reduce spinal cord or root compression, and ameliorate pain. Traditionally, large, open fusions have been used to achieve adequate decompression of neural structures. These types of interventions are [...] Read more.
Patients with spinal metastasis often benefit from surgical intervention for debulking to improve neurologic deficits, reduce spinal cord or root compression, and ameliorate pain. Traditionally, large, open fusions have been used to achieve adequate decompression of neural structures. These types of interventions are frequently associated with significant blood loss, prolonged hospitalizations, and increased risk of surgery-related complications, which can delay postoperative chemotherapy and radiation therapies. Endoscopic spine approaches allow access to the spinal cord and nerve roots with minimal soft tissue disruption, which has been shown to reduce risks associated with open surgery in other contexts. Furthermore, the smaller incision, reduced blood loss, ability to position incisions away from radiation fields, and lower risk profile in high-risk patients may provide an effective solution to spinal metastases in appropriately selected cases. Here, we present two cases of spinal metastases successfully managed with spinal endoscopy and recommend the consideration of this approach for similar scenarios. Full article
Show Figures

Figure 1

10 pages, 353 KB  
Article
Intraoperative Neurophysiological Monitoring in Full-Endoscopic Cervical Endoscopic ULBD
by Miles Hudson, Sarah Esposito, Mark M. Zaki, Simon M. Glynn, Osama N. Kashlan, John Ogunlade, Chandan Krishna, Joshua Bakhsheshian and Christoph P. Hofstetter
J. Clin. Med. 2026, 15(1), 327; https://doi.org/10.3390/jcm15010327 - 1 Jan 2026
Viewed by 450
Abstract
Background/Objectives: To evaluate risk factors for postoperative neurological deficits following cervical endoscopic unilateral laminotomy for bilateral decompression (CE-ULBD) and to determine whether intraoperative neurophysiological monitoring (IONM) can predict neurological compromise. Methods: A multicenter retrospective review was performed on 42 CE-ULBD procedures conducted between [...] Read more.
Background/Objectives: To evaluate risk factors for postoperative neurological deficits following cervical endoscopic unilateral laminotomy for bilateral decompression (CE-ULBD) and to determine whether intraoperative neurophysiological monitoring (IONM) can predict neurological compromise. Methods: A multicenter retrospective review was performed on 42 CE-ULBD procedures conducted between 2016 and 2024; 33 cases met the inclusion criteria with available imaging and electromyography data. Demographic, operative, and neurophysiological variables were analyzed. Preoperative stenosis severity was graded using the Kang MRI system. Intraoperative IONM data, including electromyography firing and motor evoked potential (MEP) changes, were correlated with new postoperative weakness. Results: The cohort (69.1% male, mean age 70.2 ± 1.7 years, mean BMI 29.6 ± 1.1) included 56 decompressed levels. The most common operative levels were C3-4 (37%) and C4-5 (24%). Postoperative weakness occurred in four patients (12.1%), all of whom had severe (Grade 3) preoperative stenosis. Among these, 50% exhibited preoperative weakness. Neuromonitoring changes correlated significantly with postoperative weakness (Fisher’s Exact, p < 0.001); 100% of patients with new post-operative weakness had sustained MEP decrease at the time of closure. Conclusions: Patients with severe cervical stenosis and preoperative weakness are at heightened risk of postoperative neurological deficits following CE-ULBD. Elevated epidural pressure from continuous irrigation in a constricted canal may exacerbate cord compression, particularly in those with preexisting myelopathy. IONM changes strongly correlate with new deficits and may exacerbate cord compression, particularly in those with preexisting myelopathy, and may serve as an early warning system for impending neurological injury. Surgeons should exercise caution and maintain low irrigation pressures in patients with severe stenosis undergoing endoscopic cervical decompression. Full article
Show Figures

Figure 1

51 pages, 2219 KB  
Review
Integrative Migraine Therapy: From Current Concepts to Future Directions—A Plastic Surgeon’s Perspective
by Cristian-Sorin Hariga, Eliza-Maria Bordeanu-Diaconescu, Andrei Cretu, Dragos-Constantin Lunca, Catalina-Stefania Dumitru, Cristian-Vladimir Vancea, Florin-Vlad Hodea, Stefan Cacior, Vladut-Alin Ratoiu and Andreea Grosu-Bularda
Medicina 2026, 62(1), 50; https://doi.org/10.3390/medicina62010050 - 26 Dec 2025
Viewed by 563
Abstract
Migraine is a prevalent and disabling neurological disorder with multifactorial origins and complex clinical manifestations. While pharmacologic therapies remain the cornerstone of management, a growing body of evidence highlights the role of extracranial peripheral nerve compression as a significant contributor to migraine pathophysiology [...] Read more.
Migraine is a prevalent and disabling neurological disorder with multifactorial origins and complex clinical manifestations. While pharmacologic therapies remain the cornerstone of management, a growing body of evidence highlights the role of extracranial peripheral nerve compression as a significant contributor to migraine pathophysiology in selected patients. This recognition has expanded the therapeutic role of plastic surgery, offering anatomically targeted interventions that complement or surpass traditional medical approaches for refractory cases. From a plastic surgeon’s perspective, optimal migraine care begins with accurate identification of clinical patterns, trigger-site mapping, and the judicious use of diagnostic tools such as nerve blocks and botulinum toxin. Surgical decompression techniques, including endoscopic and open approaches, address compression of the supraorbital, supratrochlear, zygomaticotemporal, greater and lesser occipital, auriculotemporal, and intranasal contact-point trigger sites. Adjunctive strategies such as autologous fat grafting further enhance outcomes by providing neuroprotective cushioning and modulating local inflammation through adipose-derived stem cell activity. Recent advances, including neuromodulation technologies, next-generation biologics, and innovations in surgical visualization, underscore the ongoing shift toward precision-based, mechanism-driven therapy. As understanding of migraine heterogeneity deepens, the integration of surgical expertise with modern neuroscience offers a comprehensive and personalized therapeutic framework. Plastic surgeons, equipped with detailed knowledge of peripheral nerve anatomy and minimally invasive techniques, play an increasingly pivotal role in the multidisciplinary management of refractory migraine. Full article
Show Figures

Figure 1

11 pages, 235 KB  
Review
Current Perspectives on Endoscopic Nasobiliary Drainage: Optimizing Patient Management and Preventing Complications
by Angelica Toppeta, Mattia Corradi, Beatrice Mantia, Adelaide Randazzo, Mario Schettino, Stefania De Lisi, Stefania Carmagnola and Raffaele Salerno
J. Clin. Med. 2026, 15(1), 169; https://doi.org/10.3390/jcm15010169 - 25 Dec 2025
Viewed by 426
Abstract
Endoscopic nasobiliary drainage (ENBD) is a well-established technique for biliary decompression in both benign and malignant conditions. Over the past decades, its role has been extensively evaluated in comparison with endoscopic biliary stenting and percutaneous transhepatic biliary drainage. ENBD provides distinct clinical advantages, [...] Read more.
Endoscopic nasobiliary drainage (ENBD) is a well-established technique for biliary decompression in both benign and malignant conditions. Over the past decades, its role has been extensively evaluated in comparison with endoscopic biliary stenting and percutaneous transhepatic biliary drainage. ENBD provides distinct clinical advantages, including real-time monitoring of bile output, the possibility to perform irrigation, and the ability to collect bile samples for cytological analysis. However, it also presents specific challenges such as patient discomfort, tube dislodgement, and the need for careful maintenance. This narrative review synthesizes current evidence from randomized controlled trials, retrospective cohorts, systematic reviews, and meta-analyses, highlighting the main indications, technical innovations, comparative outcomes with alternative drainage techniques, and strategies to prevent complications. Furthermore, it discusses emerging approaches aimed at improving patient tolerance, procedural efficiency, and environmental sustainability, offering an updated framework for optimizing patient management in both benign and malignant biliary obstruction. Full article
8 pages, 774 KB  
Article
Pure Endoscopic Orbital Decompression in Graves’ Orbitopathy: A Comprehensive Retrospective Analysis of Objective and Subjective Outcomes
by Santiago Almanzo, Miguel Saro-Buendía, Inés Tortajada-Torralba, Cristina Peris-Moreno, Enrique España-Gregori, Miguel Armengot and Alfonso García-Piñero
Med. Sci. 2025, 13(4), 287; https://doi.org/10.3390/medsci13040287 - 27 Nov 2025
Viewed by 469
Abstract
Background and Objectives: Graves’ orbitopathy (GO) is an autoimmune disease that can cause severe visual dysfunction and cosmetic impairment. Pure endoscopic orbital decompression reduces proptosis with minimal external morbidity. However, studies integrating both objective outcomes and patient-reported quality of life remain limited. This [...] Read more.
Background and Objectives: Graves’ orbitopathy (GO) is an autoimmune disease that can cause severe visual dysfunction and cosmetic impairment. Pure endoscopic orbital decompression reduces proptosis with minimal external morbidity. However, studies integrating both objective outcomes and patient-reported quality of life remain limited. This study aimed to analyze objective and subjective outcomes of pure endoscopic orbital decompression in inactive GO. Materials and Methods: We retrospectively reviewed 20 consecutive patients with severe inactive GO who underwent pure endoscopic transnasal orbital decompression between 2020 and 2023. Proptosis was measured using Hertel exophthalmometry, and quality of life was assessed with the disease-specific GO-QoL (Graves’ Ophthalmopathy Quality of Life) questionnaire (functional and appearance subscales). Minimum follow-up was 12 months. Pre- and postoperative changes were compared using paired t tests. Results: A total of 26 orbits were operated on. Mean proptosis decreased by 3.85 mm (p < 0.001). GO-QoL improved in the functional (+3.27, p < 0.001) and appearance (+5.77, p < 0.001) subscales. No complications or new/worsened diplopia were observed. Conclusions: Pure endoscopic orbital decompression is a safe and effective technique to reduce proptosis in inactive GO. Although quality-of-life scores improved significantly, the clinical relevance may vary, highlighting the need to integrate objective outcomes and patient perception when evaluating surgical results. Full article
(This article belongs to the Section Endocrinology and Metabolic Diseases)
Show Figures

Figure 1

18 pages, 1453 KB  
Article
Comparative Clinical and Volumetric Outcomes of Contemporary Surgical Techniques for Lumbar Foraminal Stenosis: A Retrospective Cohort Study
by Renat M. Nurmukhametov, Vladimir Klimov, Abakirov Medetbek, Stepan Anatolevich Kudryakov, Medet Dosanov, Anastasiia Alekseevna Guseva, Petr Ruslanovich Baigushev, Timur Arturovich Kerimov and Nicola Montemurro
Surgeries 2025, 6(4), 91; https://doi.org/10.3390/surgeries6040091 - 20 Oct 2025
Viewed by 1063
Abstract
Background: Lumbar foraminal stenosis (LFS) is a prevalent degenerative condition associated with significant radicular pain and impaired quality of life. Advances in minimally invasive and fusion-based surgical techniques have introduced new strategies for decompressing the neural elements. However, comparative data correlating volumetric foraminal [...] Read more.
Background: Lumbar foraminal stenosis (LFS) is a prevalent degenerative condition associated with significant radicular pain and impaired quality of life. Advances in minimally invasive and fusion-based surgical techniques have introduced new strategies for decompressing the neural elements. However, comparative data correlating volumetric foraminal expansion with functional outcomes remain limited. Methods: This retrospective cohort study analyzed 256 patients treated surgically for symptomatic LFS between December 2017 and December 2023. Patients were categorized into four surgical subgroups: endoscopic decompression, anterior lumbar interbody fusion (ALIF), microsurgical decompression, and transforaminal lumbar interbody fusion (TLIF). Preoperative and postoperative assessments included magnetic resonance imaging (MRI) to calculate foraminal volume and standardized clinical scales: the Oswestry Disability Index (ODI), Visual Analogue Scale (VAS) for back and leg pain, and SF-36 health-related quality-of-life scores. Statistical significance was determined using p-values, and inter-observer agreement was evaluated via κ-statistics. Results: Postoperative imaging demonstrated a significant increase in foraminal canal volume across all surgical groups: endoscopy (29.9%), ALIF (71.8%), microsurgery (48.06%), and TLIF (67.0%). ODI scores improved from a preoperative mean of 55.25 to 18.27 at 24 months post-surgery (p < 0.001). VAS scores for back pain decreased from 6.37 to 2.1 (p < 0.001), while leg pain scores declined from 6.85 to 2.05 (p < 0.001). Functional improvement reached or exceeded the minimal clinically important difference (MCID) threshold in over 66% of patients. Conclusions: Modern surgical strategies for LFS, particularly fusion-based techniques, yield significant volumetric decompression and durable clinical improvement. Volumetric gain in the foraminal canal is closely associated with pain reduction and enhanced functional outcomes. These findings support a tailored surgical approach based on anatomical pathology and segmental stability. Full article
Show Figures

Figure 1

11 pages, 230 KB  
Article
Outcomes of EUS-Guided Gallbladder Drainage: A Case Series from a Tertiary Referral Center in Ireland
by Mohamed Wael Mohamed, Olufemi Aoko and Danny Cheriyan
Gastroenterol. Insights 2025, 16(4), 38; https://doi.org/10.3390/gastroent16040038 - 16 Oct 2025
Viewed by 2011
Abstract
Background/Objectives: Cholecystectomy remains the gold-standard treatment for acute cholecystitis. However, in patients deemed unfit for surgery, alternative gallbladder drainage techniques are required. These include percutaneous gallbladder drainage (PT-GBD), endoscopic transpapillary gallbladder drainage (ET-GBD), and the more recently adopted endoscopic ultrasound-guided gallbladder drainage [...] Read more.
Background/Objectives: Cholecystectomy remains the gold-standard treatment for acute cholecystitis. However, in patients deemed unfit for surgery, alternative gallbladder drainage techniques are required. These include percutaneous gallbladder drainage (PT-GBD), endoscopic transpapillary gallbladder drainage (ET-GBD), and the more recently adopted endoscopic ultrasound-guided gallbladder drainage (EUS-GBD). EUS-GBD has emerged as a promising minimally invasive option, offering high technical and clinical success with fewer complications and need for reinterventions. The objective of this study was to evaluate the clinical outcomes of EUS-GBD in high-risk surgical patients with acute cholecystitis. Methods: We conducted a single-center retrospective study evaluating outcomes of EUS-GBD in a tertiary referral center in Ireland. Data from ten high-risk patients with acute cholecystitis who underwent EUS-GBD using a 15 mm × 10 mm HOT AXIOS lumen-apposing metal stent (LAMS) between October 2017 and September 2018 were analyzed. Parameters assessed included technical and clinical success, adverse events, and 1-year mortality. Results: The mean age of patients was 79.5 years (range 65–95). Technical success of stent placement was achieved in all patients with no immediate complications. A trans-gastric approach was used in 7 patients while a trans-duodenal route was employed in the remaining 3. 1–year mortality following EUS-GBD was 20%. Stents were not removed in any patient in this series. No patient experienced stent-related adverse events, re-occurrence of cholecystitis, or the need for re-intervention. Conclusions: EUS-GBD has very high technical and clinical success rates, with low risk of complications and need for re-intervention in comparison to other options of GB decompression. It is, however, not widely available, and it requires a skilled endoscopist with experience in interventional EUS. Full article
(This article belongs to the Section Gastrointestinal Disease)
13 pages, 2007 KB  
Article
A Comparative Study of the No-Punch Technique in Reducing Surgical Complications Associated with Unilateral Biportal Endoscopic Spine Surgery
by Jwo-Luen Pao and Chun-Chien Chang
J. Clin. Med. 2025, 14(20), 7295; https://doi.org/10.3390/jcm14207295 - 16 Oct 2025
Viewed by 987
Abstract
Background/Objectives: Unilateral biportal endoscopic spine surgery (UBE) has gained popularity due to its minimal invasiveness, endoscopic magnification, bloodless visual field, and broad application to various spinal disorders. We proposed the “no-punch” technique for UBE spine surgery, emphasizing its capability to prevent neural [...] Read more.
Background/Objectives: Unilateral biportal endoscopic spine surgery (UBE) has gained popularity due to its minimal invasiveness, endoscopic magnification, bloodless visual field, and broad application to various spinal disorders. We proposed the “no-punch” technique for UBE spine surgery, emphasizing its capability to prevent neural injury and preserve facet joints. This study aims to examine its efficacy in reducing the risk of incidental durotomy through a comparative study. Methods: A total of 914 consecutive patients with various degenerative spine disorders who underwent UBE surgery between October 2018 and July 2023 by a single surgeon in a single institute were included. The Punch Group consisted of 660 patients (830 segments) who underwent UBE surgeries using Kerrison punches. The No-Punch Group included 254 patients (330 segments) who underwent UBE surgeries without using Kerrison punches. We retrospectively reviewed the medical records and operative videos to identify surgical complications, their management, and final treatment outcomes. Results: Sixty-three surgical complications (58 in the Punch Group), including incidental dural tears, nerve root injuries, incomplete decompression, epidural hematoma, and broken instruments, were identified. The No-Punch Group exhibited a significantly lower overall complication rate (8.8% vs. 2.0%), along with a reduced incidence of dural tears (3.9% vs. 0) and neural injuries (5.3% vs. 0.4%). The improvement was particularly notable in lumbar decompression surgeries (5.0% vs. 0.8%) and revision surgeries (9.9% vs. 0%). Conclusions: The “no-punch” technique enhances the safety of UBE surgery for degenerative spine disorders by understanding the injury mechanisms and modifying the surgical techniques accordingly. Full article
Show Figures

Figure 1

19 pages, 2611 KB  
Review
Interventional Management of Acute Pancreatitis and Its Complications
by Muaaz Masood, Amar Vedamurthy, Rajesh Krishnamoorthi, Shayan Irani, Mehran Fotoohi and Richard Kozarek
J. Clin. Med. 2025, 14(18), 6683; https://doi.org/10.3390/jcm14186683 - 22 Sep 2025
Viewed by 5557
Abstract
Acute pancreatitis (AP) is the most common cause of gastrointestinal-related hospitalizations in the United States, with gallstone disease and alcohol as the leading etiologies. Management is determined by disease severity, classified as interstitial edematous pancreatitis or necrotizing pancreatitis, with severity further stratified based [...] Read more.
Acute pancreatitis (AP) is the most common cause of gastrointestinal-related hospitalizations in the United States, with gallstone disease and alcohol as the leading etiologies. Management is determined by disease severity, classified as interstitial edematous pancreatitis or necrotizing pancreatitis, with severity further stratified based on local complications and systemic organ dysfunction. Regardless of etiology, initial treatment involves aggressive intravenous fluid resuscitation with Lactated Ringer’s solution, pain and nausea control, early oral feeding in 24 to 48 h, and etiology-directed interventions when indicated. In gallstone pancreatitis, early endoscopic retrograde cholangiopancreatography (ERCP) with sphincterotomy is indicated in the presence of concomitant cholangitis or persistent biliary obstruction, with subsequent laparoscopic cholecystectomy as standard of care for stone clearance. The role of interventional therapy in uncomplicated AP is limited in the acute phase, except for biliary decompression or enteral feeding support with nasojejunal tube placement. However, in severe AP with complications, interventional radiology (IR) and endoscopic approaches play a pivotal role. IR facilitates early percutaneous drainage of symptomatic, acute fluid collections and infected necrosis, particularly in non-endoscopically accessible retroperitoneal or dependent collections, improving outcomes with a step-up approach. IR-guided angiographic embolization is the preferred modality for hemorrhagic complications, including pseudoaneurysms. In the delayed phase, walled-off necrosis (WON) and pancreatic pseudocysts are managed with endoscopic ultrasound (EUS)-guided drainage, with direct endoscopic necrosectomy (DEN) reserved for infected necrosis. Dual-modality drainage (DMD), combining percutaneous and endoscopic drainage, is increasingly utilized in extensive or complex collections, reflecting a collaborative effort between gastroenterology and interventional radiology comparable to that which exists between IR and surgery in institutions that perform video assisted retroperitoneal debridement (VARD). Peripancreatic fluid collections may fistulize into adjacent structures, including the stomach, small intestine, or colon, requiring transpapillary stenting with or without additional closure of the gut leak with over-the-scope clips (OTSC) or suturing devices. Additionally, endoscopic management of pancreatic duct disruptions with transpapillary or transmural stenting plays a key role in cases of disconnected pancreatic duct syndrome (DPDS). Comparative outcomes across interventional techniques—including retroperitoneal, laparoscopic, open surgery, and endoscopic drainage—highlight a shift toward minimally invasive approaches, with decreased morbidity and reduced hospital stay. The integration of endoscopic and interventional radiology-guided techniques has transformed the management of AP complications and multidisciplinary collaboration is essential for optimal patient outcomes. Full article
Show Figures

Figure 1

13 pages, 1877 KB  
Article
Clinical Efficacy of Extended Transforaminal Endoscopic Lumbar Foraminotomy Compared with the Conventional Technique
by Yong Ahn, Han-Byeol Park, Seong Son and Byung-Rhae Yoo
J. Clin. Med. 2025, 14(18), 6446; https://doi.org/10.3390/jcm14186446 - 12 Sep 2025
Viewed by 1507
Abstract
Objectives: Transforaminal endoscopic lumbar foraminotomy (TELF) is an emerging minimally invasive surgical technique for lumbar foraminal stenosis. However, its effectiveness is debated because of concerns regarding adequate decompression and its long-term consistency. This study introduced the extended form of TELF, an advanced [...] Read more.
Objectives: Transforaminal endoscopic lumbar foraminotomy (TELF) is an emerging minimally invasive surgical technique for lumbar foraminal stenosis. However, its effectiveness is debated because of concerns regarding adequate decompression and its long-term consistency. This study introduced the extended form of TELF, an advanced technique, to provide more extensive decompression using the same approach. Thus, this study aimed to describe the surgical technique and clinical outcomes of this technique. Methods: This retrospective cohort study included patients who underwent conventional (n = 67) or extended (n = 64) TELF. The surgical procedure involved a transforaminal approach with endoscopic decompression, including the removal of the tip of the superior articular process, foraminal ligament, and ligamentum flavum (conventional group), or additional decompression, involving the isthmus and portions of the superior and inferior pedicle walls (extended group). Clinical outcomes were assessed using the visual analog pain scale, Oswestry disability index, and modified Macnab criteria. Results: Despite the longer surgical duration, the extended TELF group tended to show better outcomes in terms of the VAS and ODI scores at the early and final 2-year follow-ups (p < 0.05). The overall success rates were 92.19% and 85.07% in the extended and conventional groups, respectively. No difference was observed in surgical complications between the two groups. Conclusions: Extended TELF, a refined endoscopic technique, achieves better effects than conventional TELF with a lower risk of nerve root irritation by creating a sufficiently safe resection margin. The results support the use of an extended TELF as an advanced form of endoscopic foraminal decompression. Full article
Show Figures

Figure 1

11 pages, 535 KB  
Article
Comparison of Pulsed Radiofrequency and Endoscopic Piriformis Release for Refractory Piriformis Syndrome: A Propensity Score-Matched Retrospective Cohort Study
by Eunsung Park, Duyoung Choi and Cheol Lee
J. Clin. Med. 2025, 14(16), 5908; https://doi.org/10.3390/jcm14165908 - 21 Aug 2025
Viewed by 1679
Abstract
Background/Objective: Piriformis syndrome (PS) causes sciatic nerve entrapment and chronic pain. In refractory cases, pulsed radiofrequency (PRF) and endoscopic piriformis release (EPR) are used, but comparative evidence is limited. Methods: This retrospective cohort study compared PRF and EPR in patients treated from 2018 [...] Read more.
Background/Objective: Piriformis syndrome (PS) causes sciatic nerve entrapment and chronic pain. In refractory cases, pulsed radiofrequency (PRF) and endoscopic piriformis release (EPR) are used, but comparative evidence is limited. Methods: This retrospective cohort study compared PRF and EPR in patients treated from 2018 to 2024 at a tertiary hospital using propensity score matching (PSM). Patients with PS, unresponsive to conservative treatment (≥3 months), were included. PRF targeted the sciatic nerve under imaging guidance; EPR involved endoscopic decompression. Primary outcomes were Numeric Rating Scale (NRS) scores at 3 and 6 months. Secondary outcomes included patient satisfaction, reintervention rates, complications, and the Oswestry Disability Index (ODI), where available. After PSM, 115 patients were analyzed per cohort. Multivariate regression identified the predictors of pain improvement. Results: From 465 eligible patients (PRF 350; EPR 115), after PSM, 230 patients were analyzed (115 per cohort). The baseline NRS score was 7.4 ± 1.4 (PRF) vs. 7.5 ± 1.3 (EPR). At 3 months, EPR showed a lower NRS score (2.6 ± 1.3) compared to PRF (3.2 ± 1.6; p = 0.032). At 6 months, the EPR NRS score was 2.2 ± 1.1 vs. 2.9 ± 1.5 for PRF (p = 0.018). EPR had a higher rate of ≥50% NRS score reduction (78% vs. 65%; p = 0.041). EPR patients reported higher satisfaction and fewer reinterventions but more complications. Regression analysis identified EPR (OR = 2.15), higher baseline NRS scores, and shorter symptom duration as predictors of improvement. Conclusions: EPR provided superior pain relief compared to PRF at 3 and 6 months, although with a higher risk of complications. PRF remains a safer initial option. Full article
(This article belongs to the Special Issue Clinical Insights and Emerging Strategies in Chronic Pain Management)
Show Figures

Figure 1

13 pages, 7025 KB  
Article
Bilateral–Contralateral Endoscopic Decompression as a Fusion-Deferral Strategy in Upper Lumbar Stenosis: A Structural Rationale and Conditional Framework—A Technical Note with Cases Review
by Dong Hyun Lee, Sang Yeop Han, Seung Young Jeong and Il-Tae Jang
J. Clin. Med. 2025, 14(16), 5726; https://doi.org/10.3390/jcm14165726 - 13 Aug 2025
Viewed by 1609
Abstract
Background/Objectives: Upper lumbar spinal stenosis presents unique challenges because vertically oriented facet joints and narrow laminae increase the risk of iatrogenic instability following decompression. Traditional decompression techniques may damage the facet joints, potentially resulting in further instability and degeneration. This study introduces a [...] Read more.
Background/Objectives: Upper lumbar spinal stenosis presents unique challenges because vertically oriented facet joints and narrow laminae increase the risk of iatrogenic instability following decompression. Traditional decompression techniques may damage the facet joints, potentially resulting in further instability and degeneration. This study introduces a novel, facet-preserving bilateral–contralateral decompression strategy using unilateral biportal endoscopy (UBE) for upper lumbar stenosis, aiming to defer unnecessary spinal fusion. Methods: This retrospective series of three cases involved patients with upper lumbar stenosis characterized by vertically oriented facets (>60°) and narrow laminae, including cases of adjacent segment stenosis (ASS) and stenosis with grade 1 spondylolisthesis. Patients were selected using the authors’ facet angle–based criteria (>60°) and laminar morphology to identify anatomically vulnerable segments. All patients exhibited vertical facet orientation and narrow laminae, without significant dynamic instability or severe foraminal compromise. Bilateral–contralateral decompression was performed using biportal endoscopy to preserve facet integrity and defer fusion where feasible. Results: This series demonstrated that bilateral–contralateral decompression provided effective neural decompression and symptom relief while preserving facet structures in the upper lumbar spine characterized by vertical facets and narrow laminae. No progression to instability or requirement for additional fusion was observed during the 6-month follow-up, even among patients with ASS and grade 1 spondylolisthesis. Conclusions: The authors propose that bilateral–contralateral decompression may serve as a facet-preserving and fusion-deferral strategy for upper lumbar stenosis with vertically oriented facets and narrow laminae. This approach is particularly applicable in cases such as ASS and spinal stenosis with grade 1 spondylolisthesis, where preserving structural reserve is critical. These preliminary findings highlight the need for prospective validation through carefully designed observational studies and larger case series. Full article
(This article belongs to the Special Issue Advances in Spine Surgery: Best Practices and Future Directions)
Show Figures

Figure 1

10 pages, 3502 KB  
Case Report
Volumetric Analysis of Navigation-Guided Orbital Decompression in Graves’ Orbitopathy: A Case Report
by Gonzalo Ruiz-de-Leon, Santiago Ochandiano, Sara Alvarez-Mokthari, Marta Benito-Anguita, Ismael Nieva-Pascual, Pilar Cifuentes-Canorea, Guillermo Sanjuan-de-Moreta, Jose-Ignacio Salmeron, Ignacio Navarro-Cuellar, Carlos Navarro-Cuellar and Manuel Tousidonis
Life 2025, 15(8), 1277; https://doi.org/10.3390/life15081277 - 12 Aug 2025
Viewed by 1567
Abstract
Graves’ orbitopathy (GO) is a debilitating autoimmune disorder that may require surgical orbital decompression in severe cases with risk of proptosis and optic neuropathy. This report presents a case treated with navigation-assisted three-wall orbital decompression, planned with preoperative imaging and assessed using postoperative [...] Read more.
Graves’ orbitopathy (GO) is a debilitating autoimmune disorder that may require surgical orbital decompression in severe cases with risk of proptosis and optic neuropathy. This report presents a case treated with navigation-assisted three-wall orbital decompression, planned with preoperative imaging and assessed using postoperative analysis. Intraoperative navigation enabled precise localization of critical structures, improving osteotomy execution. Postoperatively, orbital volume increased by 3.5 cm3 (right eye) and 4.0 cm3 (left eye), while proptosis was reduced by 6 mm in both eyes. These changes correlated with intraocular pressure normalization and functional improvement. This was further supported by a postoperative Clinical Activity Score (CAS) of 0, indicating active orbital inflammation. Image-guided surgery (IGS) achieved an average proptosis reduction of 3.8 mm, slightly superior to that of non-guided techniques. Although IGS enhances precision and functional outcomes, it requires longer surgical time and incurs higher costs, highlighting the need for prospective studies on long-term efficacy This case supports the importance of integrating advanced imaging and navigation-assisted techniques in GO management to improve both functional and aesthetic outcomes. Full article
(This article belongs to the Special Issue 3D Imaging and Facial Reconstruction)
Show Figures

Figure 1

13 pages, 621 KB  
Systematic Review
EUS-Guided Gallbladder Drainage of Inoperable Malignant Distal Biliary Obstruction by Lumen-Apposing Metal Stent: Systematic Review and Meta-Analysis
by Tawfik Khoury, Moaad Farraj, Wisam Sbeit, Pietro Fusaroli, Giovanni Barbara, Cecilia Binda, Carlo Fabbri, Maamoun Basheer, Sarah Leblanc, Fabien Fumex, Rodica Gincul, Anthony Yuen Bun Teoh, Jérémie Jacques, Bertrand Napoléon and Andrea Lisotti
Cancers 2025, 17(12), 1983; https://doi.org/10.3390/cancers17121983 - 13 Jun 2025
Cited by 2 | Viewed by 1795
Abstract
Objective: Endoscopic ultrasound-guided gallbladder drainage (EUS-GBD) has emerged as a promising alternative for biliary decompression in patients with malignant distal biliary obstruction (MDBO), used either as a first-line approach or after other interventions have failed. This study aimed to evaluate the aggregated [...] Read more.
Objective: Endoscopic ultrasound-guided gallbladder drainage (EUS-GBD) has emerged as a promising alternative for biliary decompression in patients with malignant distal biliary obstruction (MDBO), used either as a first-line approach or after other interventions have failed. This study aimed to evaluate the aggregated efficacy and safety of EUS-GBD in this patient population. Methods: A comprehensive literature search was carried out across PubMed/Medline, Embase, and Cochrane databases up to 9 January 2024, to identify studies reporting outcomes of EUS-GBD in MDBO cases. The primary endpoint assessed was clinical success, while secondary endpoints included technical success and the incidence of adverse events (AEs). Pooled outcomes were calculated using a random-effects model and presented with 95% confidence intervals (CIs). Results: Seven studies encompassing a total of 193 patients were included in the analysis. The combined clinical success rate for EUS-GBD was 88.1% [95% CI: 78.9–94.9%], while the technical success rate was 99.2% [95% CI: 97.5–100%]. The overall AE rate was 13.7% [95% CI: 9.3–18.8%], with the majority being mild to moderate in severity; no fatal complications were reported. Subgroup analyses indicated that use of smaller lumen-apposing metal stents (LAMS) (<15 mm) was associated with slightly higher clinical success (93.3% [95% CI: 72.4–99.9%]) compared to larger stents (≥15 mm) (87.1% [95% CI: 78.8–93.5%]), and a marginally lower rate of AEs (12.3% [95% CI: 6.4–19.7%] vs. 15.2% [95% CI: 6.5–26.6%]). Conclusions: EUS-GBD demonstrates excellent technical performance, high clinical efficacy, and a manageable safety profile in patients with MDBO and a patent cystic duct. Full article
(This article belongs to the Special Issue Novel Approaches and Advances in Interventional Oncology)
Show Figures

Figure 1

Back to TopTop