Sign in to use this feature.

Years

Between: -

Subjects

remove_circle_outline
remove_circle_outline
remove_circle_outline
remove_circle_outline
remove_circle_outline
remove_circle_outline
remove_circle_outline
remove_circle_outline
remove_circle_outline

Journals

remove_circle_outline
remove_circle_outline
remove_circle_outline
remove_circle_outline
remove_circle_outline
remove_circle_outline
remove_circle_outline
remove_circle_outline

Article Types

Countries / Regions

remove_circle_outline
remove_circle_outline
remove_circle_outline
remove_circle_outline

Search Results (316)

Search Parameters:
Keywords = damage-controlled protocol

Order results
Result details
Results per page
Select all
Export citation of selected articles as:
21 pages, 702 KB  
Systematic Review
Efficacy of Probiotic Treatment in Alcoholic Liver Disease: A Systematic Review of Animal Studies
by Konrad Sosnowski, Robert Kucharski and Adam Przybyłkowski
Nutrients 2026, 18(4), 608; https://doi.org/10.3390/nu18040608 - 12 Feb 2026
Viewed by 118
Abstract
Background/Objectives: Alcohol-associated liver disease (ALD) is a major cause of chronic liver injury, in which disruption of the gut–liver axis plays a key pathogenic role. Probiotics have been proposed as a potential therapeutic strategy to mitigate alcohol-induced liver damage; however, the preclinical evidence [...] Read more.
Background/Objectives: Alcohol-associated liver disease (ALD) is a major cause of chronic liver injury, in which disruption of the gut–liver axis plays a key pathogenic role. Probiotics have been proposed as a potential therapeutic strategy to mitigate alcohol-induced liver damage; however, the preclinical evidence has not been systematically synthesised. This systematic review aimed to evaluate and summarise the hepatoprotective effects of probiotic supplementation in experimental animal models of ALD. Methods: The review protocol was pre-registered in PROSPERO (CRD420250653666) and followed PRISMA guidelines. A systematic search was conducted across PubMed, EMBASE and AGRICOLA databases using relevant keywords from inception to 30 April 2025. We included preclinical randomised controlled trials evaluating single-strain probiotic interventions against placebo or untreated controls in animal models of ALD. Risk of bias was assessed using SYRCLE’s tool, and the certainty of evidence for critical outcomes was evaluated using the GRADE framework. A narrative synthesis was performed, as a quantitative meta-analysis was precluded by incomplete numerical outcome reporting. Results: From initial 628 records, 36 studies were included in the final synthesis. Probiotic supplementation consistently attenuated alcohol-induced liver injury, as evidenced by marked reductions in serum ALT and AST levels and improved liver histology. Mechanistically, probiotics restored gut barrier integrity, reduced systemic endotoxemia, and suppressed pro-inflammatory pathways. Furthermore, probiotic treatment effectively counteracted alcohol-induced gut dysbiosis by increasing microbial diversity and restoring taxonomic balance, notably by reversing the alcohol-induced expansion of Proteobacteria. Despite these consistent directional effects, the overall certainty of evidence for the critical outcomes was rated as very low. Conclusions: Although the preclinical literature suggests hepatoprotective effects of probiotics in experimental ALD, these findings should be interpreted with caution due to the very low certainty of evidence. The observed benefits are limited by methodological shortcomings, indirectness inherent to animal models, and incomplete outcome reporting. This review provides a structured preclinical framework to inform the design of future translational studies and well-controlled clinical trials evaluating probiotics as potential adjunctive therapies in human ALD. Full article
Show Figures

Figure 1

21 pages, 28351 KB  
Article
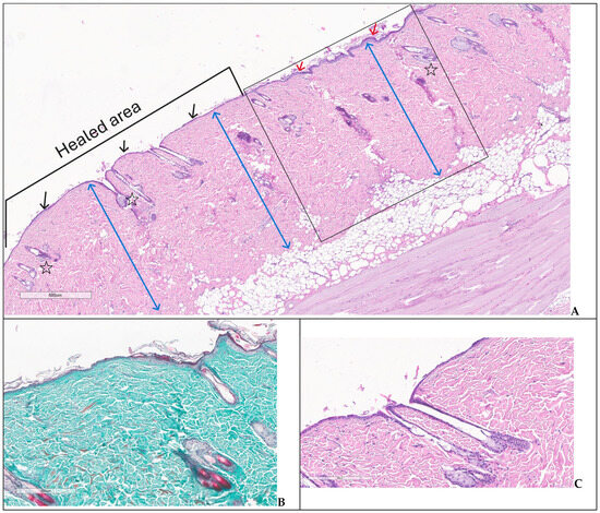
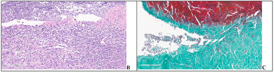
Development of a Radiotherapy-Induced Wound Model in Wistar Rats: Simulating Post-Radiation Skin and Soft Tissue Complications for Therapeutic Evaluation
by Stefana Avadanei-Luca, Bogdan Ionel Tamba, Irina Draga Caruntu, Simona Eliza Giusca, Andrei Daniel Timofte, Andrei Szilagyi, Ivona Costachescu, Maria Raluca Gogu, Andrei Nicolae Avadanei, Mihaela Pertea, Malek Benamor, Ionel Daniel Cojocaru, Mihai Liviu Ciofu and Viorel Scripcariu
Biomedicines 2026, 14(2), 415; https://doi.org/10.3390/biomedicines14020415 - 12 Feb 2026
Viewed by 167
Abstract
Background/Objectives: Radiotherapy can severely impair skin and soft tissue healing, particularly when high doses or subsequent surgical interventions are involved. Robust experimental platforms that replicate clinically relevant radiation-impaired wound healing remain limited. This study aims to establish a reproducible experimental model for [...] Read more.
Background/Objectives: Radiotherapy can severely impair skin and soft tissue healing, particularly when high doses or subsequent surgical interventions are involved. Robust experimental platforms that replicate clinically relevant radiation-impaired wound healing remain limited. This study aims to establish a reproducible experimental model for radiation-induced cutaneous injury using contemporary clinical radiotherapy techniques. Methods: A Wistar rat model was developed using single-dose external beam irradiation delivered by clinical-grade volumetric modulated arc therapy (VMAT; 6 MV FFF), at doses of 20 Gy or 30 Gy. Animals were distributed in five distinct groups: G1—control, G2—20 Gy irradiation only, G3—20 Gy irradiation followed by excision, G4—excision only, G5—30 Gy irradiation only. Standardized full-thickness skin excision (1.5 × 1.5 cm) was performed one-week post-irradiation to simulate surgical intervention in pre-irradiated tissue. Animals were monitored for up to 42 days, through skin damage macroscopic scoring, body weight, hematological and biochemical parameters, and a qualitative histological exam. Results: Single-dose irradiation with 20 Gy induced moderate, self-limiting radiation dermatitis with complete healing. When combined with delayed excision, 20 Gy irradiation resulted in more severe and prolonged wound healing impairment, and transient systemic alterations. Excision alone produced controlled wounds with predictable healing. Exploratory observations following 30 Gy irradiation revealed severe cutaneous injury and marked systemic involvement, with a high mortality rate. Conclusions: This study establishes a foundational model for radiation-impaired wound healing using clinical-grade VMAT delivery and standardized delayed excision. The 20 Gy-based protocols provide an ethically sustainable and experimentally tractable platform for future mechanistic and therapeutic studies. Full article
(This article belongs to the Section Molecular and Translational Medicine)
Show Figures

Figure 1

40 pages, 31156 KB  
Article
Prediction of Post-Impact Load-Bearing Capacity in Non-Crimp Fabric Composite Members
by Milad Kazemian and Aleksandr Cherniaev
Appl. Mech. 2026, 7(1), 17; https://doi.org/10.3390/applmech7010017 - 11 Feb 2026
Viewed by 201
Abstract
Non-crimp fabric (NCF) composites are increasingly adopted for structural components due to their high mechanical performance and processability. Like other fibre-reinforced plastics, NCFs remain vulnerable to in-service damage from tool drops or unintended collisions, which can substantially reduce load-bearing capacity. This study aimed [...] Read more.
Non-crimp fabric (NCF) composites are increasingly adopted for structural components due to their high mechanical performance and processability. Like other fibre-reinforced plastics, NCFs remain vulnerable to in-service damage from tool drops or unintended collisions, which can substantially reduce load-bearing capacity. This study aimed to develop a validated numerical model capable of simulating damage initiation and post-impact behaviour through an integrated experimental–numerical approach. The mechanical properties of a representative unidirectional NCF composite were first experimentally established. Then, tubular NCF subcomponents were fabricated and tested under a two-phase loading protocol. In the first phase, damage was introduced using quasi-static indentation or controlled low-velocity impact. In the second phase, the residual load-bearing capacity of the damaged subcomponents was assessed under four-point bending. To support the research objective, a finite element model was developed in LS-DYNA to simulate both phases, using the MAT_ENHANCED_COMPOSITE_DAMAGE (MAT54) material formulation. Non-measurable input parameters, including stress limit factors and erosion strain thresholds, were calibrated via parameter estimation, sensitivity analysis, and iterative refinement. The final model showed close agreement with experiments in predicted damage location, deformation mode, and residual strength. X-ray computed tomography was used to validate delamination predictions. The findings support the development of reliable and cost-effective numerical tools for damage assessment in advanced composite structures. Full article
Show Figures

Figure 1

25 pages, 3844 KB  
Review
A Comprehensive Review on Constitutive Models and Damage Analysis of Concrete Spalling in High Temperature Environment and Geological Repository for Spent Fuel and Nuclear Waste Disposal
by Toan Duc Cao, Lu Sun, Kayla Davis, Cade Berry and Jaiden Zhang
Infrastructures 2026, 11(2), 54; https://doi.org/10.3390/infrastructures11020054 - 5 Feb 2026
Viewed by 604
Abstract
This paper reviews constitutive models used to predict concrete spalling under elevated temperatures, with emphasis on fire exposure and concrete linings in deep geological repositories for spent fuel and nuclear waste. The review synthesizes (1) how material composition (ordinary Portland cement concrete, geopolymer [...] Read more.
This paper reviews constitutive models used to predict concrete spalling under elevated temperatures, with emphasis on fire exposure and concrete linings in deep geological repositories for spent fuel and nuclear waste. The review synthesizes (1) how material composition (ordinary Portland cement concrete, geopolymer concrete, and fiber-reinforced systems using polypropylene and steel fibers) affects spalling resistance; (2) how coupled environmental and mechanical actions (temperature, moisture, stress state, chloride ingress, and radiation) drive damage initiation and spalling; and (3) how constituent-scale characteristics (microstructure, porosity, permeability, elastic modulus, and water content) govern thermal–hydro–mechanical–chemical (THMC) transport and damage evolution. We compare major constitutive modeling frameworks, including plasticity–damage models (e.g., concrete damage plasticity), statistical damage approaches, and fully coupled THM/THMC formulations, and highlight how key parameters (e.g., water-to-binder ratio, temperature-driven pore-pressure gradients, and crack evolution laws) control predicted spalling onset, depth, and timing. Several overarching challenges emerge: lack of standardized experimental protocols for spalling tests and assessments, which limits cross-study benchmarking; continued debate on whether spalling is dominated by pore pressure, thermo-mechanical stress, or their interaction; limited integration of multiscale and constituent-level material characteristics; and high data and computational demands associated with advanced multi-physics models. The paper concludes with targeted research directions to improve model calibration, validation, and performance-based design of concrete systems for high-temperature and repository applications. Full article
Show Figures

Figure 1

23 pages, 627 KB  
Review
Contemporary Mechanical Support Devices for Temporary and Long-Term Applications
by Sriharsha Talapaneni, Sair Ahmad Tabraiz, Meghna Khandelwal, Shreya Avilala, Shanzil Shafqat, Sedem Dankwa, Chanseo Lee and Irbaz Hameed
Bioengineering 2026, 13(2), 177; https://doi.org/10.3390/bioengineering13020177 - 3 Feb 2026
Viewed by 362
Abstract
Background: Mechanical circulatory support (MCS) has revolutionized advanced heart failure and cardiogenic shock management, yet randomized controlled trials have failed to demonstrate consistent mortality benefits with temporary devices, and outcomes remain highly variable across institutions. Methods: This narrative review examines contemporary [...] Read more.
Background: Mechanical circulatory support (MCS) has revolutionized advanced heart failure and cardiogenic shock management, yet randomized controlled trials have failed to demonstrate consistent mortality benefits with temporary devices, and outcomes remain highly variable across institutions. Methods: This narrative review examines contemporary MCS devices, analyzing their hemodynamic principles, clinical outcomes, complications, and selection strategies. The published literature addressing MCS clinical applications and outcomes was reviewed, with reference lists examined to identify additional sources. Results: Temporary MCS devices demonstrate a persistent hemodynamic-survival paradox where improved hemodynamics fail to translate into mortality benefits in randomized trials. This disconnect reflects delayed intervention after irreversible organ damage, device complications offsetting hemodynamic gains, heterogeneous patient selection without phenotyping, timing challenges, and inadequate statistical power. Landmark trials provide definitive evidence against routine early VA-ECMO use, showing no survival advantage while significantly increasing complications. Optimal device selection requires integrating hemodynamic phenotyping with shock stage to match devices to pathophysiology, while biventricular failure presents the greatest challenge with substantially lower survival. For durable devices, third-generation systems demonstrate superior outcomes with dramatically reduced pump thrombosis and improved survival. Critically, multidisciplinary shock teams employing standardized protocols significantly reduce mortality beyond what devices alone achieve, with structured programs showing substantially improved survival compared to trials using similar devices without organized care systems. Conclusions: Mechanical circulatory support has transformed heart failure management, but optimal outcomes require integrating devices within structured care delivery systems. Success depends on comprehensive hemodynamic assessment, multidisciplinary team activation, protocolized device selection, standardized escalation and weaning strategies, and regionalized networks. The future lies in shifting focus from device innovation to implementation science, establishing quality metrics, developing precision medicine approaches, and conducting trials in phenotype-selected populations with protocolized care. This systems-of-care paradigm offers the most promising path toward translating technological advances into sustained mortality reduction. Full article
(This article belongs to the Special Issue Cardiovascular Models and Biomechanics)
Show Figures

Figure 1

10 pages, 2128 KB  
Article
The Role of Musculoskeletal Ultrasound in Detecting Superior Cluneal Nerve Entrapment: Biomechanical Insights in Chronic Low Back Pain—A Pilot Study
by Giovanni Iudicelli, Francesco Agostini, Alberto Altarocca, Francesco Ioppolo, Marco Narciso, Marco Conti, Andrea Fisicaro, Alessio Savina, Vincenzo Di Nunno, Massimiliano Mangone, Stefano Galletti and Marco Paoloni
Diagnostics 2026, 16(3), 469; https://doi.org/10.3390/diagnostics16030469 - 3 Feb 2026
Viewed by 229
Abstract
Background: Superior cluneal nerve (SCN) entrapment is frequently underrecognized as a contributor to chronic Low Back Pain (cLBP) and gluteal pain. Musculoskeletal ultrasound may reveal surrogate markers indicative of a biomechanical entrapment environment. The primary objective was the prevalence of the ultrasound [...] Read more.
Background: Superior cluneal nerve (SCN) entrapment is frequently underrecognized as a contributor to chronic Low Back Pain (cLBP) and gluteal pain. Musculoskeletal ultrasound may reveal surrogate markers indicative of a biomechanical entrapment environment. The primary objective was the prevalence of the ultrasound marker triad (Copeman Nod-ules-CN, thoracolumbar fascia-TLF thickening > 3 mm, and iliac enthesophytes. Secondary objectives included mean TLF thickness and its correlation with numeric pain rating scale (NPRS) and Douleur Neuropathique en 4 questions scores (DN4). Methods: In this single-center, cross-sectional observational pilot study, we enrolled 12 patients with cLBP (>12 weeks) localized to the SCN distribution and a healthy control group (12). Ultrasound measurements included TLF thickness in longitudinal and transverse planes, TLF convexity loss, iliac crest enthesophytes, and CN. Statistical analyses comprised Mann-Whitney U test, Fisher exact test, Spearman rank correlation, and multivariate logistic regression. Significance was set at p < 0.05. Results: The ultrasound marker triad (CN, iliac enthesophytes, and TLF thickening > 3 mm) demonstrated high diagnostic specificity: individually, CN were present in 91.7% of patients vs. 8.3% of controls (p < 0.001), iliac enthesophytes in 58.3% vs. 0% (p = 0.005), TLF thickening > 3 mm in 41.7% of patients vs. 0% of controls (p < 0.001)and TLF convexity loss in 100% vs. 75% (p = 0.03). Mean TLF thickness was significantly greater in patients—3.53 ± 0.46 mm longitudinal and 3.42 ± 0.39 mm transverse—compared with controls (2.61 ± 0.28 mm and 2.50 ± 0.32 mm; both p < 0.001). TLF thickness correlated strongly with NPRS (Spearman rho = 0.825; p = 0.001) but not with DN4. Logistic regression demonstrated that the marker triad accounted for 67% of NPRS variance (R2 = 0.67). Conclusions: Ultrasound-detected fascial alterations and enthesopathic changes act as reliable surrogate markers for SCN entrapment and correlate strongly with nociceptive pain severity. The absence of correlation with neuropathic pain scores suggests a predominant fascial-muscular biomechanical mechanism rather than direct nerve damage. Incorporating this non-invasive protocol into clinical practice may enhance diagnostic precision and inform targeted rehabilitative strategies. Future multicenter, prospective studies with larger cohorts are warranted to validate these findings and establish standardized ultrasound criteria. Full article
Show Figures

Figure 1

24 pages, 1275 KB  
Article
Impact of Powdered Tart Cherry Supplementation on Performance Recovery Following Repeated Sprint Exercise
by Anthony M. Hagele, Kyle S. Levers, Kevin F. Holley, Alex C. Schrautemeier, Joesi M. Krieger, Joshua M. Iannotti, Connor J. Gaige, Ralf Jäger and Chad M. Kerksick
Nutrients 2026, 18(3), 443; https://doi.org/10.3390/nu18030443 - 29 Jan 2026
Viewed by 409
Abstract
Background: Due to its high polyphenol content and purported capability to mitigate post-exercise muscle soreness and promote recovery, tart cherry (TC) supplementation has been proposed to enhance recovery and athletic performance. This study examined the effects of powdered TC supplementation on various recovery [...] Read more.
Background: Due to its high polyphenol content and purported capability to mitigate post-exercise muscle soreness and promote recovery, tart cherry (TC) supplementation has been proposed to enhance recovery and athletic performance. This study examined the effects of powdered TC supplementation on various recovery and performance metrics following a repeated sprint exercise protocol in physically active young adults. Methods: 40 (18 M, 22 F) healthy, active participants (24.6 ± 5.5 yrs, 171.5 ± 11 cm, 71.7 ± 14.5 kg, 24.2 ± 3.1 kg·m−2) participated in this randomized, double-blind, placebo-controlled, parallel study design. Placebo (PLA) or powdered TC supplementation (500 mg/day) occurred for ten days: seven days prior to, day of, and two days following repeated sprints (15 × 30 m with 1 min rest between sprints). Performance was assessed via the countermovement jump, isometric mid-thigh pull, isokinetic knee extension, and the Wingate anaerobic test. Recovery was evaluated using visual analog scales for soreness, recovery, and readiness to train. Muscle damage was evaluated using creatine kinase. These measures were evaluated at baseline, and at 1 h, 24 h, and 48 h post-exercise. Results: Significant main effects of time were observed with recovery VAS (p < 0.001), readiness to train VAS (p < 0.001), and jump height (p = 0.014) experiencing similar reductions, while soreness VAS (p < 0.001) and creatine kinase (p = 0.05) experienced similar increases in response to the repeated sprint protocol and supplementation. Across all measurements, no significant group × time differences were observed for jump height (PLA:−6.7 ± 10.4% vs. TC: −11.0 ± 17.9%, p = 0.608), peak propulsive force (PLA: 0.3 ± 4.6% vs. TC: 2.2 ± 7.4%, p = 0.194), knee extension peak torque at 180°/s (PLA: 10.5 ± 73.5% vs. TC: −1.04 ± 49.6%, p = 0.335), readiness to train VAS (PLA: −23.0 ± 19.2% vs. TC: −14.7 ± 20.2%, p = 0.401), soreness VAS (PLA: 250 ± 323% vs. TC: 261 ± 432%, p = 0.838), recovery VAS (PLA: −24.6 ± 17.9% vs. TC: −8.2 ± 40.5%, p = 0.251), and creatine kinase (PLA: 22.8 ± 35.5% vs. TC: 90.4 ± 225.6%, p = 0.31). Conclusions: A single bout of repeated sprints was responsible for significant reductions in jump height, peak propulsive force, peak torque, and perceived readiness, while perceived soreness, myoglobin, and creatine kinase were significantly increased. Ten days of TC supplementation did not impact any change beyond what was observed in PLA for markers of recovery, readiness, soreness, exercise performance, and markers of muscle damage. Full article
(This article belongs to the Special Issue The Role of Sports Supplements in Sport Performance)
Show Figures

Figure 1

21 pages, 2142 KB  
Article
Real-Life ISO 15189 Qualification of Long-Range Drone Transportation of Medical Biological Samples: Results from a Clinical Trial
by Baptiste Demey, Olivier Bury, Morgane Choquet, Julie Fontaine, Myriam Dollerschell, Hugo Thorel, Charlotte Durand-Maugard, Olivier Leroy, Mathieu Pecquet, Annelise Voyer, Gautier Dhaussy and Sandrine Castelain
Drones 2026, 10(1), 71; https://doi.org/10.3390/drones10010071 - 21 Jan 2026
Viewed by 296
Abstract
Controlling pre-analytical conditions for medical biology tests, particularly during transport, is crucial for complying with the ISO 15189 standard and ensuring high-quality medical services. The use of drones, also known as unmanned aerial vehicles, to transport clinical samples is growing in scale, but [...] Read more.
Controlling pre-analytical conditions for medical biology tests, particularly during transport, is crucial for complying with the ISO 15189 standard and ensuring high-quality medical services. The use of drones, also known as unmanned aerial vehicles, to transport clinical samples is growing in scale, but requires prior validation to verify that there is no negative impact on the test results provided to doctors. This study aimed to establish a secure, high-quality solution for transporting biological samples by drone in a coastal region of France. The 80 km routes passed over several densely populated urban areas, with take-off and landing points within hospital grounds. The analytical and clinical impact of this mode of transport was compared according to two protocols: an interventional clinical trial on 30 volunteers compared to the reference transport by car, and an observational study on samples from 126 hospitalized patients compared to no transport. The system enabled samples to be transported without damage by maintaining freezing, refrigerated, and room temperatures throughout the flight, without any significant gain in travel time. Analytical variations were observed for sodium, folate, GGT, and platelet levels, with no clinical impact on the interpretation of the results. There is a risk of time-dependent alterations of blood glucose measurements in heparin tubes, which can be corrected by using fluoride tubes. This demonstrated the feasibility and security of transporting biological samples over long distances in line with the ISO 15189 standard. Controlling transport times remains crucial to assessing the quality of analyses. It is imperative to devise contingency plans for backup solutions to ensure the continuity of transportation in the event of inclement weather. Full article
(This article belongs to the Special Issue Recent Advances in Healthcare Applications of Drones)
Show Figures

Figure 1

22 pages, 5891 KB  
Article
Two-Stage Microwave Hyperthermia Using Magnetic Nanoparticles for Optimal Chemotherapy Activation in Liver Cancer: Concept and Preliminary Tests on Wistar Rat Model
by Oliver Daniel Schreiner, Thomas Gabriel Schreiner, Lucian Miron and Romeo Cristian Ciobanu
Cancers 2026, 18(2), 330; https://doi.org/10.3390/cancers18020330 - 21 Jan 2026
Viewed by 361
Abstract
Background/Objectives: Liver cancer is among the most frequent poor-prognosis malignancies worldwide, with currently insufficient effective treatment. The two-stage microwave hyperthermia using magnetic nanoparticles is a modern technique designed to specifically target tumor tissues and facilitate chemotherapy activation, with promising results from fundamental [...] Read more.
Background/Objectives: Liver cancer is among the most frequent poor-prognosis malignancies worldwide, with currently insufficient effective treatment. The two-stage microwave hyperthermia using magnetic nanoparticles is a modern technique designed to specifically target tumor tissues and facilitate chemotherapy activation, with promising results from fundamental studies across various tumor types. The method consists of a first irradiation, performed before nano-assemblies administration. This is intended to sensitize the tumor by inducing a hyperthermic effect, leading to increasing blood supply, enhancing endothelial damage/permeation and inflammatory activation, with the final goal of improving the diffusion/retention of nano-assemblies in the tumor. Subsequently, the second microwave irradiation follows the injection in the hepatic artery and diffusion in the tumor of the activated nano-assemblies, to further determine a strong, but localized and focalized hyperthermic action. Nano-magnetic assemblies for hyperthermia accomplish the proposed chemo-thermal delivery, i.e., act per se on the tumor and also destabilize co-administered assemblies of nanoparticles loaded with chemotherapeutics, which would be consequently released locally in the most efficient way. This article aims to demonstrate the efficacy of this therapeutic approach in a rat liver model and its potential applicability in patients with liver tumors. Methods: Adult male Wistar rats were used to obtain liver samples, which were divided into three groups, each receiving a different hyperthermia protocol in terms of temperature (41–45 °C), duration, and co-administration of nanoparticles. Results: The most suitable exposure temperature for rat liver appears to be 42 °C, resulting in vacuolar degeneration lesions at the focal level. The effects of thermal conditioning do not appear to be homogeneous in the tested liver, and the controlling environment and methodology should be improved in the near future. The level of hepatic inflammation, as indicated by elevated interleukin 6 (IL-6) and tumor necrosis factor alpha (TNF-α) levels, appears negligible under the current hyperthermia protocol. Conclusions: Two-stage microwave hyperthermia using magnetic nanoparticles is a promising therapeutic modality for liver cancer, with promising results from animal studies opening the way for further research in humans. Full article
(This article belongs to the Section Methods and Technologies Development)
Show Figures

Figure 1

22 pages, 2627 KB  
Article
FANET Routing Protocol for Prioritizing Data Transmission to the Ground Station
by Kaoru Takabatake and Tomofumi Matsuzawa
Network 2026, 6(1), 7; https://doi.org/10.3390/network6010007 - 14 Jan 2026
Viewed by 367
Abstract
In recent years, with the improvement of unmanned aerial vehicle (UAV) performance, various applications have been explored. In environments such as disaster areas, where existing infrastructure may be damaged, alternative uplink communication for transmitting observation data from UAVs to the ground station (GS) [...] Read more.
In recent years, with the improvement of unmanned aerial vehicle (UAV) performance, various applications have been explored. In environments such as disaster areas, where existing infrastructure may be damaged, alternative uplink communication for transmitting observation data from UAVs to the ground station (GS) is critical. However, conventional mobile ad hoc network (MANET) routing protocols do not sufficiently account for GS-oriented traffic or the highly mobile UAV topology. This study proposed a flying ad hoc network (FANET) routing protocol that introduces a control option called GS flood, where the GS periodically disseminates routing information, enabling each UAV to efficiently acquire fresh source routes to the GS. Evaluation using NS-3 in a disaster scenario confirmed that the proposed method achieves a higher packet delivery ratio and practical latency compared to the representative MANET routing protocols, namely DSR, AODV, and OLSR, while operating with fewer control IP packets than existing methods. Furthermore, although the multihop throughput between UAVs and the GS in the proposed method plateaued at approximately 40% of the physical-layer maximum, it demonstrated performance exceeding realistic satellite uplink capacities ranging from several hundred kbps to several Mbps. Full article
Show Figures

Figure 1

20 pages, 1376 KB  
Article
CNC Milling Optimization via Intelligent Algorithms: An AI-Based Methodology
by Emilia Campean and Grigore Pop
Machines 2026, 14(1), 89; https://doi.org/10.3390/machines14010089 - 11 Jan 2026
Viewed by 744
Abstract
Artificial intelligence (AI) is becoming more and more integrated into manufacturing processes, revolutionizing conventional production, like CNC (Computer Numerical Control) machining. This study analyzes how large language models (LLMs), exemplified by ChatGPT, behave when tasked with G-code optimization for improving surface quality and [...] Read more.
Artificial intelligence (AI) is becoming more and more integrated into manufacturing processes, revolutionizing conventional production, like CNC (Computer Numerical Control) machining. This study analyzes how large language models (LLMs), exemplified by ChatGPT, behave when tasked with G-code optimization for improving surface quality and productivity of automotive metal parts, with emphasis on systematically documenting failure modes and limitations that emerge when general-purpose AI encounters specialized manufacturing domains. Even if software programming remains essential for highly regulated sectors, free AI tools will be increasingly used due to advantages like cost-effectiveness, adaptability, and continuous innovation. The condition is that there is sufficient technical expertise available in-house. The experiment carried out involved milling three identical parts using a Haas VF-3 SS CNC machine. The G-code was generated by SolidCam and was optimized using ChatGPT considering user-specified criteria. The aim was to improve the quality of the part’s surface, as well as increase productivity. The measurements were performed using an ISR C-300 Portable Surface Roughness Tester and Axiom Too 3D measuring equipment. The experiment revealed that while AI-generated code achieved a 37% reduction in cycle time (from 2.39 to 1.45 min) and significantly improved surface roughness (Ra—arithmetic mean deviation of the evaluated profile—decreased from 0.68 µm to 0.11 µm—an 84% improvement), it critically eliminated the pocket-milling operation, resulting in a non-conforming part. The AI optimization also removed essential safety features including tool length compensation (G43/H codes) and return-to-safe-position commands (G28), which required manual intervention to prevent tool breakage and part damage. Critical analysis revealed that ChatGPT failures stemmed from three factors: (1) token-minimization bias in LLM training leading to removal of the longest code block (31% of total code), (2) lack of semantic understanding of machining geometry, and (3) absence of manufacturing safety constraints in the AI model. This study demonstrates that current free AI tools like ChatGPT can identify optimization opportunities but lack the contextual understanding and manufacturing safety protocols necessary for autonomous CNC programming in production environments, highlighting both the potential, but also the limitation, of free AI software for CNC programming. Full article
Show Figures

Figure 1

12 pages, 1376 KB  
Article
A Comparative Study of Cocaine-Related Deaths Using Anti-Cocaine Antibodies as a Diagnostic Tool to Provide Spatial Information on Drug Distribution and Pathological Myocardial Responses
by Paola Santoro, Donato Morena, Pierluigi Crusco, Alessandro Santurro, Matteo Scopetti and Vittorio Fineschi
Int. J. Mol. Sci. 2026, 27(2), 698; https://doi.org/10.3390/ijms27020698 - 9 Jan 2026
Viewed by 338
Abstract
Cocaine-related deaths present significant diagnostic challenges due to the nonspecific nature of cardiac histopathology and the limited reliability of postmortem toxicology, often affected by redistribution phenomena. This study investigated the postmortem heart expression and distribution of an anti-cocaine monoclonal antibody, aiming to evaluate [...] Read more.
Cocaine-related deaths present significant diagnostic challenges due to the nonspecific nature of cardiac histopathology and the limited reliability of postmortem toxicology, often affected by redistribution phenomena. This study investigated the postmortem heart expression and distribution of an anti-cocaine monoclonal antibody, aiming to evaluate immunohistochemistry (IHC) as a potential complementary tool for diagnosing cocaine-related fatalities. Fifteen cases of acute cocaine-related death, with toxicological data exclusively positive for cocaine, were examined and compared to ten cases negative for drug abuse. Cardiac samples from the lateral left ventricular wall and interventricular septum underwent IHC using an experimentally optimized protocol. All cocaine-related cases demonstrated clear and widespread immunopositivity, with varying staining intensities across a semi-quantitative scale. Immunostaining localized consistently to nuclear and myofibrillar compartments and showed no association with postmortem interval (mean PMI 72.33 h; range 30–144). Control samples exhibited no staining. Positive immunostaining also highlighted cardiomyocyte alterations related to cocaine toxicity, particularly hypercontracted fibers with myofibrillar rhexis and contraction band necrosis. While these findings align with the established cocaine-induced myocardial injury, the intense nuclear staining observed may further reflect oxidative DNA damage associated with cocaine exposure. This study provides novel evidence supporting the applicability of anti-cocaine IHC in postmortem investigations. The technique may serve as a valuable adjunct in detecting cocaine distribution within cardiac tissue, particularly when toxicological data are inconclusive or unavailable. Full article
Show Figures

Figure 1

22 pages, 1849 KB  
Review
Key Considerations for Treatment Planning System Development in Electron and Proton FLASH Radiotherapy
by Chang Cheng, Gaolong Zhang, Nan Li, Xinyu Hu, Zhen Huang, Xiaoyu Xu, Shouping Xu and Weiwei Qu
Quantum Beam Sci. 2026, 10(1), 3; https://doi.org/10.3390/qubs10010003 - 8 Jan 2026
Viewed by 563
Abstract
The global cancer burden continues to increase worldwide. Among the various treatment options, radiotherapy (RT), which employs high-energy ionizing radiation to destroy cancer cells, is one of the primary modalities for cancer. However, increasing the absorbed dose to the target volume also increases [...] Read more.
The global cancer burden continues to increase worldwide. Among the various treatment options, radiotherapy (RT), which employs high-energy ionizing radiation to destroy cancer cells, is one of the primary modalities for cancer. However, increasing the absorbed dose to the target volume also increases the risk of damage to surrounding healthy tissues. This radiation-induced toxicity to normal tissues limits the desirable dosage that can be delivered to the tumor, thereby constraining the effectiveness of radiation therapy in achieving tumor control. FLASH radiotherapy (FLASH-RT) has emerged as a promising technique due to its biological advantages. FLASH-RT involves the delivery of radiation at an ultra-high dose rate (≥40 Gy/s). Unlike conventional RT, FLASH-RT achieves comparable tumor control rates while significantly reducing damage to surrounding normal tissues, a phenomenon known as the FLASH effect. Although the mechanism behind the FLASH effect is not fully understood, this approach shows considerable promise for future cancer treatment. The development of specialized treatment planning systems (TPS) becomes imperative to facilitate the clinical implementation of FLASH-RT from experimental studies. These systems must account for the unique characteristics of FLASH-RT, including ultra-high dose rate delivery and its distinctive radiobiological effects. Critical reassessment and optimization of treatment planning protocols are essential to fully leverage the therapeutic potential of the FLASH effect. This review examines key considerations for the TPS development of electron and proton FLASH-RT, including electron and proton FLASH techniques, biological models, crucial beam parameters, and dosimetry, providing essential insights for optimizing TPS and advancing the clinical implementation of this promising therapeutic modality. Full article
(This article belongs to the Section Medical and Biological Applications)
Show Figures

Figure 1

16 pages, 5686 KB  
Article
Extending Photovoltaic Module Lifetime Through Targeted Repair of Short-Circuited Bypass Diodes
by Ghadeer Badran, Vlado K. Lazarov and Mahmoud Dhimish
Solar 2026, 6(1), 4; https://doi.org/10.3390/solar6010004 - 6 Jan 2026
Viewed by 309
Abstract
Bypass diode failure, particularly in the short-circuit mode, remains an under-addressed reliability issue in photovoltaic (PV) modules, causing severe power suppression and often leading to premature disposal of otherwise functional units. This study presents a non-destructive, field-applicable plug-in repair protocol for restoring modules [...] Read more.
Bypass diode failure, particularly in the short-circuit mode, remains an under-addressed reliability issue in photovoltaic (PV) modules, causing severe power suppression and often leading to premature disposal of otherwise functional units. This study presents a non-destructive, field-applicable plug-in repair protocol for restoring modules affected by short-circuited bypass diodes. From twenty-two field-deployed modules, nine were analyzed in detail under healthy, single-fault, and dual-fault conditions. Controlled diode faults were introduced and subsequently repaired using commercially available plug-in bypass diodes. Electroluminescence (EL) imaging, current–voltage (I–V) testing, and extraction of series and shunt resistances were performed before and after repair. Results show that a single shorted diode deactivates one substring, reducing power by ~34–37%, while dual faults suppress over two-thirds of the active area, causing power losses above 67%. After repair, power deviation decreased to <3% for single faults and <7% for dual faults, with shunt resistance increasing by 52–262%, confirming removal of diode-induced leakage paths. Series resistance remained largely unchanged except in modules with irreversible cell-level damage accumulated during prolonged faulty operation. The findings demonstrate that short-circuited bypass diode faults are readily repairable and that component-level intervention can restore module performance, extend operational lifetime, and reduce unnecessary PV recycling. Full article
Show Figures

Figure 1

15 pages, 4760 KB  
Article
Plasma Metabolome and Metabolite Toxicity Profiling of Moderate-Intensity Running in Human Females
by Qintong Fei, Tiantian Liang, Maodi Liang, Jing Cao, Huilin Yao, Ping Zhu and Qinghua Cui
Metabolites 2026, 16(1), 43; https://doi.org/10.3390/metabo16010043 - 2 Jan 2026
Viewed by 534
Abstract
Background: Existing exercise metabolomics studies have predominantly focused on changes in the type and abundance of metabolites, while rarely addressing the toxicity risk of differential metabolites. Metabolic toxicity refers to the potential of endogenous or exogenous metabolites to induce oxidative stress, cell [...] Read more.
Background: Existing exercise metabolomics studies have predominantly focused on changes in the type and abundance of metabolites, while rarely addressing the toxicity risk of differential metabolites. Metabolic toxicity refers to the potential of endogenous or exogenous metabolites to induce oxidative stress, cell death, and other forms of biological damage when excessively accumulated and serves as a key driver of metabolic disorders. This study aims to characterize the toxicity risk of plasma differential metabolites before and after a single session of moderate-intensity running, so as to investigate the exercise-induced changes in metabolic toxicity. Methods: A single-group self-pretest–posttest control design was adopted in this study. Participants were recruited from Wuhan Sports University, China, with the inclusion criteria of healthy females aged 22–30 years and BMI 18.5–24.9. Individuals with a history of metabolic diseases or who met other exclusion criteria were excluded, and 5 females were finally enrolled. The exercise protocol consisted of a single 40 min session of moderate-intensity running on a treadmill. We collected plasma samples from five healthy females before and after exercise and performed untargeted LC-MS/MS metabolomic profiling. The gap-Δenergy algorithm was applied to calculate the toxicity scores of differential metabolites, and the proportion of metabolites with high toxic potential (score > 0.6) was compared. Results: Plasma metabolic profiles underwent notable remodeling after exercise. Thirty-two metabolites were upregulated and the phosphosphingolipid SM(d18:2(4E,14Z)/16:0) was the most significant. Meanwhile 32 metabolites were downregulated and the phosphosphingolipid PC(18:1(9Z)/14:0) was the most significant. The 64 differential metabolites were enriched in 9 KEGG pathways including amino acid metabolism and lipid metabolism. Moreover, we systematically evaluated the toxicity of these metabolites using the gap-Δenergy algorithm and found that the downregulated metabolites exhibited a significantly higher toxicity score compared to the upregulated ones. In addition, 37.5% of the downregulated metabolites had a high toxicity score, while the proportion of high toxicity in the upregulated group was only 15.6%. Conclusions: This study demonstrates that moderate-intensity running may confer metabolic health benefits to individuals by reducing metabolic toxicity, specifically through the downregulation of metabolites with high toxic potential. These findings offer novel evidence for exercise’s role in improving metabolic health. They also open a new direction for exercise-based interventions in metabolic disease–toxicity regulation. Full article
(This article belongs to the Section Endocrinology and Clinical Metabolic Research)
Show Figures

Figure 1

Back to TopTop