Sign in to use this feature.

Years

Between: -

Subjects

remove_circle_outline
remove_circle_outline
remove_circle_outline
remove_circle_outline
remove_circle_outline

Journals

Article Types

Countries / Regions

Search Results (43)

Search Parameters:
Keywords = cystic artery

Order results
Result details
Results per page
Select all
Export citation of selected articles as:
16 pages, 2469 KB  
Article
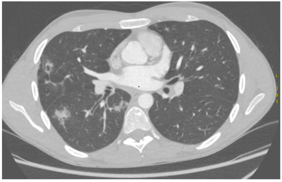
The Role of Preprocedural Computed Tomography Angiography in Enhancing Arterial Embolisation for Life-Threatening Haemoptysis: A Case Series
by Anna Ziętarska, Adam Dobek, Piotr Białek, Wojciech Szubert, Sebastian Majewski and Ludomir Stefańczyk
Adv. Respir. Med. 2025, 93(6), 57; https://doi.org/10.3390/arm93060057 - 11 Dec 2025
Viewed by 337
Abstract
Haemoptysis arises from diverse respiratory diseases and may involve a broad spectrum of thoracic vessels. Arterial embolisation (AE) is an effective, repeatable, minimally invasive treatment option for life-threatening haemoptysis. This case series included 10 patients (mean age 34 years; six males; five with [...] Read more.
Haemoptysis arises from diverse respiratory diseases and may involve a broad spectrum of thoracic vessels. Arterial embolisation (AE) is an effective, repeatable, minimally invasive treatment option for life-threatening haemoptysis. This case series included 10 patients (mean age 34 years; six males; five with cystic fibrosis) who underwent 17 AE procedures for life-threatening haemoptysis between January 2018 and September 2025. The study assessed the role of wide-field computed tomography angiography (CTA), extending from the thoracic inlet to L2, in preprocedural planning, bleeding localisation and detection of systemic collaterals. CTA accurately predicted the culprit region in 16 out of 17 procedures. Non-bronchial systemic arteries were identified in 6 out of 10 patients, consistent with previous reports. CTA showed strong concordance with angiography and enabled the detection of uncommon collaterals, including subclavian and phrenic branches. Recurrence of hemoptysis occurred in one patient during follow-up; however, three patients were lost to follow-up. Wide-field CTA enhances the identification of systemic feeders and supports procedural planning, potentially reducing recurrence associated with missed culprit vessels. AE remains a valuable option for haemoptysis control in cystic fibrosis, with outcomes further improved following initiation of CFTR modulators. The small sample size and incomplete follow-up limit generalisability, but findings highlight the importance of CTA in guiding AE and improving clinical outcomes. Full article
Show Figures

Figure 1

12 pages, 4132 KB  
Article
Comparative Ultrasonographic Evaluation of Morphology and Vascularization in Endometriomas and Ovarian Mature Cystic Teratomas
by Aleksandar Rakić, Elena Đaković, Zagorka Milovanović, Aleksandar Ristić, Lazar Nejković, Ana Đorđević, Jelena Brakus, Jelena Štulić, Žaklina Jurišić and Aleksandar Jurišić
J. Clin. Med. 2025, 14(19), 6912; https://doi.org/10.3390/jcm14196912 - 29 Sep 2025
Viewed by 995
Abstract
Background/Objectives: Adnexal masses are commonly encountered in the routine practice of gynecologists, and transvaginal ultrasonography is the preferred imaging modality for assessing the masses in size and complexity. There has been a notable lack of focus on comparative studies concerning benign adnexal [...] Read more.
Background/Objectives: Adnexal masses are commonly encountered in the routine practice of gynecologists, and transvaginal ultrasonography is the preferred imaging modality for assessing the masses in size and complexity. There has been a notable lack of focus on comparative studies concerning benign adnexal tumors. This study aimed to define and compare the specific morphological and vascular characteristics of ovarian mature cystic teratomas (MCTs) and endometriomas using transvaginal ultrasound and Doppler analysis. Methods: This retrospective analysis included 93 patients who underwent surgical intervention for benign adnexal masses at the Obstetrics and Gynecology Clinic Narodni Front from 1 January 2020 to 1 January 2022. Morphological parameters included the appearance of tumors, the largest diameter, volume, capsule thickness, and the presence of fluid in the pouch of Douglas. Hemodynamic parameters included the localization and quantity of blood vessels within the mass, Resistance Index (RI), peak systolic velocity (Vmax), and end-diastolic velocity (Vmin) within detectable tumor vessels. Flow was also assessed in the uterine arteries, calculating the AURI (uterine artery RI) on both the tumor and contralateral sides. Results: There were 46 patients with ovarian mature cystic teratomas, as well as 46 patients with endometriomas; 1 patient presented with both tumors. There were significant differences in ultrasonographic morphological appearance between the two groups. MCTs most frequently presented as multilocular solid cysts (51.0%) or unilocular solid cysts with hyperechoic content (20.4%). Conversely, the majority of endometriomas were classified as unilocular cysts with ground-glass echogenicity (45.5%). A significant difference was identified in the RI of intracystic vessels and the RI of the ipsilateral uterine artery (AURI). Endometriomas presented elevated RI values (0.57 vs. 0.54, p = 0.04) and reduced AURI (0.81 vs. 0.83, p = 0.02) compared to teratomas. Conclusions: These findings confirm that specific morphological and Doppler parameters, particularly the RI and AURI, can assist in distinguishing between endometriomas and mature cystic teratomas. This suggests a potential role for Doppler analysis in improving diagnostic precision for common benign adnexal tumors in clinical practice. Full article
(This article belongs to the Special Issue Current Advances in Endometriosis: An Update)
Show Figures

Figure 1

8 pages, 696 KB  
Case Report
A Rare Case Report of Wunderlich Syndrome in a Chronic Hemodialysis Patient
by Elizabeth Artinyan, Evelina Valcheva, Marina Vaysilova and Nikolay Dimov
Reports 2025, 8(3), 121; https://doi.org/10.3390/reports8030121 - 25 Jul 2025
Viewed by 1689
Abstract
Background and Clinical Significance: Spontaneous renal hematoma, also known as Wunderlich syndrome (WS), is a rare disease characterized by the acute onset of spontaneous renal hemorrhage into the subcapsular, perirenal, and/or pararenal spaces without a history of prior trauma. WS can be a [...] Read more.
Background and Clinical Significance: Spontaneous renal hematoma, also known as Wunderlich syndrome (WS), is a rare disease characterized by the acute onset of spontaneous renal hemorrhage into the subcapsular, perirenal, and/or pararenal spaces without a history of prior trauma. WS can be a life-threatening condition due to hemorrhagic shock; consequently, prompt diagnosis and a therapeutic approach are essential for favorable outcomes. Treatment ranges from conservative management to surgical intervention. The most common etiologies are neoplasms and vascular diseases, but WS can also be observed in patients undergoing hemodialysis. In patients with end-stage renal disease (ESRD), especially those on hemodialysis, acquired cystic kidney disease and renal cell carcinoma are among the primary causes of WS. Although less common, WS can develop in dialysis patients even in the absence of traditional (primary) risk factors. In general, patients with chronic kidney disease (CKD) have a paradoxical hemostatic profile, likely explaining their higher tendency to bleed, so WS can occur without existing predisposing factors. The multifactorial pathogenesis in these patients includes functional platelet abnormalities, intimal arterial fibrosis, chronic inflammation, and oxidative stress associated with ESRD. The use of hemodialysis-related antithrombotic medications could serve as another contributing factor increasing the risk of bleeding. Case Presentation: We present a case report of a 62-year-old male on chronic dialysis who developed sudden right-sided lumbar pain and hematuria during dialysis without evidence of prior trauma. Imaging revealed a large subcapsular hematoma of the right kidney. Further investigations did not reveal additional risk factors in this instance; however, his routinely used hemodialysis-related antithrombotic medications were potentially a contributing factor. Despite conservative treatment, his condition worsened, and the hematoma enlarged, requiring emergency nephrectomy. Postoperatively, his condition gradually improved. Conclusions: This case highlights the importance of considering WS in hemodialysis patients, even without the presence of traditional risk factors, as well as including WS in the differential diagnosis of acute abdominal pain. Full article
(This article belongs to the Section Nephrology/Urology)
Show Figures

Figure 1

11 pages, 796 KB  
Review
Prenatal Rare 16q24.1 Deletion Between Genomics and Epigenetics: A Review
by Valentina Fumini, Romina Bonora, Anna Busciglio, Francesca Cartisano, Paola Celli, Ilaria Gabbiato, Nicola Guercini, Barbara Mancini, Donatella Saccilotto, Anna Zilio and Daniela Zuccarello
Genes 2025, 16(8), 873; https://doi.org/10.3390/genes16080873 - 24 Jul 2025
Viewed by 994
Abstract
Alveolar capillary dysplasia with misalignment of pulmonary veins (ACDMPV) is a rare, often fatal congenital disorder characterized by severe neonatal respiratory distress and associated with complex multisystem malformations. In approximately 90% of cases, the condition is linked to deletions or mutations affecting the [...] Read more.
Alveolar capillary dysplasia with misalignment of pulmonary veins (ACDMPV) is a rare, often fatal congenital disorder characterized by severe neonatal respiratory distress and associated with complex multisystem malformations. In approximately 90% of cases, the condition is linked to deletions or mutations affecting the FOXF1 gene or its upstream enhancer region on chromosome 16q24.1. This review analyzes reported prenatal cases with 16q24.1 deletion involving FOXF1, aiming to identify recurrent sonographic features and elucidate the underlying genomic and epigenetic mechanisms. We reviewed prenatal cases reported in the literature involving deletions of the 16q24.1 region, including the FOXF1 gene. Here, we expand the case series by reporting a fetus with increased nuchal translucency measuring 8 mm and a de novo 16q24.1 deletion. We identified nine prenatal cases with a 16q24.1 deletion, all involving the FOXF1 gene or its enhancer region. The main ultrasound findings included increased nuchal translucency and cystic hygroma during the first trimester, and cardiac, renal, and intestinal malformations from 20 weeks of gestation onward. Prenatal diagnosis of ACDMPV based solely on ultrasound findings is challenging. In most reported cases, the pregnancy was carried to term, with the diagnosis being confirmed by post-mortem histopathological examination. In the only case in which the pregnancy was terminated at 14 weeks’ gestation, histological examination of the fetal lungs, despite them being in the early stages of development, revealed misaligned pulmonary veins in close proximity to the pulmonary arteries and bronchioles. Evidence highlights the significance of non-coding regulatory regions in the regulation of FOXF1 expression. Differential methylation patterns, and possible contributions of parental imprinting, highlight the complexity of FOXF1 regulation. Early detection through array comparative genomic hybridization (array CGH) or next-generation sequencing to identify point mutations in the FOXF1 gene, combined with increased awareness of ultrasound markers suggestive of the condition, could improve the accuracy of prenatal diagnosis and genetic counseling. Further research into the epigenetic regulation of FOXF1 is crucial for refining recurrence risk estimates and improving genetic counseling practices. Full article
(This article belongs to the Section Human Genomics and Genetic Diseases)
Show Figures

Figure 1

7 pages, 398 KB  
Article
Evaluating Obstructive Sleep Apnea Utilizing Arterial Tonometry in Individuals with Cystic Fibrosis
by Michelle Chiu, Bethany Bartley, Elizabeth Gootkind, Salma Batool-Anwar, Donald G. Keamy, Thomas Bernard Kinane, Lael M. Yonker and Kevin S. Gipson
Adv. Respir. Med. 2025, 93(3), 20; https://doi.org/10.3390/arm93030020 - 17 Jun 2025
Viewed by 927
Abstract
Poor sleep quality and excessive daytime sleepiness are commonly reported by individuals with cystic fibrosis. The potential impact of comorbid sleep-disordered breathing (SDB), particularly obstructive sleep apnea (OSA), has not been extensively studied in the CF population. At present, there are no specific [...] Read more.
Poor sleep quality and excessive daytime sleepiness are commonly reported by individuals with cystic fibrosis. The potential impact of comorbid sleep-disordered breathing (SDB), particularly obstructive sleep apnea (OSA), has not been extensively studied in the CF population. At present, there are no specific recommendations available to help clinicians identify patients with CF who are at increased risk of sleep disorders. Home sleep apnea testing using a validated peripheral arterial tonometry (PAT) device may offer an accurate diagnosis of OSA in a more convenient and low-cost method than in-lab polysomnography. In this single-center study of 19 adults with CF, we found an increased prevalence of OSA among individuals with CF compared to general population estimates. Although associations with an FEV < 70% predicted and a modified Mallampati score ≥ 3 were observed, these odds ratios did not reach statistical significance, likely reflecting limited power in this small pilot sample. There was no association found between the self-reported presence of nocturnal cough or snoring and OSA. We also found no association between OSA and abnormal scores on commonly used, validated sleep questionnaires, suggesting that CF-specific scales may be needed for effective screening in the CF clinic. Full article
Show Figures

Figure 1

8 pages, 1946 KB  
Interesting Images
Opercular Perivascular Space Mimicking a Space-Occupying Brain Lesion: A Short Case Series
by Roberts Tumelkans, Cenk Eraslan and Arturs Balodis
Diagnostics 2025, 15(12), 1486; https://doi.org/10.3390/diagnostics15121486 - 11 Jun 2025
Viewed by 1618
Abstract
A newly recognized fourth type of perivascular space has recently been described in the radiological literature. Despite its growing relevance, many radiologists are still unfamiliar with its imaging characteristics, often leading to misinterpretation as cystic neoplasms. Due to its potential for diagnostic confusion, [...] Read more.
A newly recognized fourth type of perivascular space has recently been described in the radiological literature. Despite its growing relevance, many radiologists are still unfamiliar with its imaging characteristics, often leading to misinterpretation as cystic neoplasms. Due to its potential for diagnostic confusion, further studies are necessary—particularly those incorporating high-quality imaging examples across various presentations—to facilitate accurate recognition and classification. Perivascular spaces (PVSs) of the brain are cystic, fluid-filled structures formed by the pia mater and located alongside cerebral blood vessels, particularly penetrating arterioles, venules, and capillaries. Under normal conditions, these spaces are small (typically <2 mm in diameter), but in rare instances, they may become markedly enlarged (>15 mm), exerting a mass effect on adjacent brain tissue. This newly identified fourth type of PVS is found in association with the M2 and M3 segments of the middle cerebral artery, typically within the anterior temporal lobe white matter. It may mimic low-grade cystic tumors on imaging due to its size and frequent presence of surrounding perifocal edema. We present two adult male patients with this rare PVS variant. The first patient, a 63-year-old, had a brain magnetic resonance imaging scan (MRI) that revealed a cystic lesion in the white matter of the right temporal lobe anterior pole, near the middle cerebral artery M2 segment, with perifocal vasogenic edema. The second patient, a 67-year-old, had a brain MRI that showed a cystic lesion in the white matter and subcortical region of the right temporal lobe anterior pole, with minimal surrounding gliosis or minimal edema. The cystic lesions in both patients remained unchanged over time on follow-up MRI. These cases illustrate the radiological complexity of this under-recognized entity and emphasize the importance of differential diagnosis to avoid unnecessary intervention. Full article
(This article belongs to the Section Medical Imaging and Theranostics)
Show Figures

Figure 1

20 pages, 14752 KB  
Article
Multimodality Imaging Features of Papillary Renal Cell Carcinoma
by Rosita Comune, Francesco Tiralongo, Eleonora Bicci, Pietro Paolo Saturnino, Francesco Michele Ronza, Chandra Bortolotto, Vincenza Granata, Salvatore Masala, Mariano Scaglione, Giacomo Sica, Fabio Tamburro and Stefania Tamburrini
Diagnostics 2025, 15(7), 906; https://doi.org/10.3390/diagnostics15070906 - 1 Apr 2025
Viewed by 3085
Abstract
Objectives: To describe the US, CEUS, CT, and MRI features of papillary renal cell carcinoma (PRCC) and to underline the imaging characteristics that are helpful in the differential diagnosis. Methods: Patients with histologically proven papillary renal cell carcinoma who underwent at least two [...] Read more.
Objectives: To describe the US, CEUS, CT, and MRI features of papillary renal cell carcinoma (PRCC) and to underline the imaging characteristics that are helpful in the differential diagnosis. Methods: Patients with histologically proven papillary renal cell carcinoma who underwent at least two imaging examinations (US, CEUS, CT, and MRI) were included in the study. Tumor size, homogeneity, morphology, perilesional stranding, contrast enhancement locoregional extension were assessed. A comparison and the characteristics of the imaging features for each imaging modality were analyzed. Results: A total of 27 patients with an histologically confirmed diagnosis of PRCC were included in the study. US was highly accurate in distinguishing solid masses from cystic masses, supporting the differential diagnosis of PRCC, as well as in patients with a poor representation of the solid component. CEUS significantly increased diagnostic accuracy in delineating the solid intralesional component. Furthermore, when using CEUS, in the arterial phase, PRCC exhibited hypo-enhancement, and in the late phase it showed an inhomogeneous and delayed wash-out compared with the surrounding renal parenchyma. At MRI, PRCC showed a marked restiction of DWI and was hypointense in the T2-weighted compared to the renal parenchyma. Conclusions: In our study, the characteristic hypodensity and hypoenhancement of PRCC make CT the weakest method of their recognition, while US/CEUS and MRI are necessary to reach a definitive diagnosis. Knowledge of the appearance of PRCC can support an early diagnosis and prompt management, and radiologists should be aware that PRCC, when detected using CT, may resemble spurious non-septate renal cyst. Full article
(This article belongs to the Special Issue Imaging Diagnosis in Abdomen, 2nd Edition)
Show Figures

Figure 1

25 pages, 10986 KB  
Systematic Review
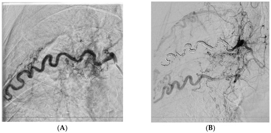
Cystic Artery Bleeding: Imaging Insights and Systematic Review of Endovascular Management
by Francesco Tiralongo, Davide Giuseppe Castiglione, Rosita Comune, Stefano Palmucci, Chandra Bortolotto, Fiore De Simone, Filomena Pezzullo, Giovanni Ferrandino, Giacomo Sica, Paolo Ricci, Mariano Scaglione, Antonio Basile and Stefania Tamburrini
Gastrointest. Disord. 2025, 7(1), 20; https://doi.org/10.3390/gidisord7010020 - 5 Mar 2025
Cited by 1 | Viewed by 2811
Abstract
Background: Cystic artery bleeding (CAB) is a rare but potentially life-threatening condition. Its etiologies span iatrogenic trauma, inflammatory diseases, and trauma, often presenting variably as hemoperitoneum, upper gastrointestinal bleeding, or hemorrhagic shock. The clinical heterogeneity of CAB complicates its diagnosis, necessitating a high [...] Read more.
Background: Cystic artery bleeding (CAB) is a rare but potentially life-threatening condition. Its etiologies span iatrogenic trauma, inflammatory diseases, and trauma, often presenting variably as hemoperitoneum, upper gastrointestinal bleeding, or hemorrhagic shock. The clinical heterogeneity of CAB complicates its diagnosis, necessitating a high index of suspicion and reliance on imaging modalities, particularly computed tomography (CT), for accurate identification of bleeding sources and differentiation from other causes of abdominal pain. Methods: This pictorial essay highlights key imaging findings in CAB and pseudoaneurysms, emphasizing the role of ultrasound, CT, and digital subtraction angiography (DSA) in diagnosis and management planning. Additionally, a systematic review of transcatheter arterial embolization (TAE) is presented, consolidating data from 64 studies encompassing 90 patients. Results: The review evaluates patient demographics, etiologies, clinical presentations, and procedural outcomes, underscoring TAE’s high efficacy and safety as a first-line treatment. Conclusions: The findings reinforce the importance of early diagnosis and tailored intervention strategies to optimize outcomes in CAB management. Full article
Show Figures

Figure 1

7 pages, 1664 KB  
Case Report
Adventitial Cystic Disease of the Popliteal Artery with Nocturnal Rest Pain
by Grigol Keshelava and Serguei Malikov
Life 2025, 15(2), 137; https://doi.org/10.3390/life15020137 - 21 Jan 2025
Viewed by 2290
Abstract
Arterial cystic disease (ACD) affecting the popliteal artery (PA) is a rare form of non-atherosclerotic vascular disease. This cystic tumor is defined by the accumulation of a mucinous substance in the adventitia. Treatment options include percutaneous cyst aspiration, percutaneous transluminal balloon angioplasty, the [...] Read more.
Arterial cystic disease (ACD) affecting the popliteal artery (PA) is a rare form of non-atherosclerotic vascular disease. This cystic tumor is defined by the accumulation of a mucinous substance in the adventitia. Treatment options include percutaneous cyst aspiration, percutaneous transluminal balloon angioplasty, the evacuation of the cyst through a surgical approach, and resection of the affected artery segment followed by arterial reconstruction using autologous venous or prosthetic grafting. Our hospital received a 36-year-old man who had an intermittent claudication and periodically nocturnal rest pain in the left lower limb. Duplex scanning and CTA showed an entrapment of the left PA by a structure related to the arterial wall with an approximate 80% stenosis. The pedal and posterior tibial pulses faded when the knee was flexed. The ACD of the PA was diagnosed. An excision of an affected arterial segment and revascularization of the PA with great saphenous vein procedures were performed. We were unable to locate any instances in the literature of ACD accompanied by nocturnal rest pain that resembled the case we have presented. At a seventeen-year follow-up, the patient’s condition was reported as normal with no intermittent claudication or rest pain in the left lower limb. Full article
(This article belongs to the Section Medical Research)
Show Figures

Figure 1

17 pages, 4453 KB  
Article
Anatomical Schemata Revealed by the Critical View of Safety Approach: A Proposal of the Hellenic Task Force on the Typology of Safe Laparoscopic Cholecystectomy (HETALCHO)
by Dimitris Papagoras, Gerasimos Douridas, Dimitrios Panagiotou, Konstantinos Toutouzas, Panagis Lykoudis, Alexandros Charalabopoulos, Dimitrios Korkolis, Konstantinos Alexiou, Nikolaos Sikalias, Dimitrios Lytras, Theodosios Papavramidis, Konstantinos Tepetes, Konstantinos Avgerinos, Spyridon Arnaoutos, Konstantinos Stamou, Evangelos Lolis, Dimitrios Zacharoulis, Georgios Zografos and Georgios Glantzounis
Medicina 2024, 60(12), 1968; https://doi.org/10.3390/medicina60121968 - 29 Nov 2024
Cited by 1 | Viewed by 1589
Abstract
Background and objectives: Laparoscopic cholecystectomy (LC) is the most commonly performed operation in general surgery in the Western World. Gallbladder surgery, although most of the time simple, always offers the possibility of unpleasant surprises. Despite progress, the incidence of common bile duct [...] Read more.
Background and objectives: Laparoscopic cholecystectomy (LC) is the most commonly performed operation in general surgery in the Western World. Gallbladder surgery, although most of the time simple, always offers the possibility of unpleasant surprises. Despite progress, the incidence of common bile duct injury is 0.2–0.4%, causing devastating implications for the patient and the surgeon. This is mainly due to the failure to identify the normal anatomy properly. The literature review reveals a lack of structured knowledge in the surgical anatomy of cholecystectomy. The aim of this study was to develop a framework with a common anatomical language for safe laparoscopic and open cholecystectomy. Materials and Methods: The Hellenic Task Force group on the typology for Safe Laparoscopic Cholecystectomy performed a critical review of the literature on the laparoscopic anatomy of cholecystectomy. The results were compared with those of a clinical study of 279 patients undergoing LC for uncomplicated symptomatic gallstone disease. Results: Fourteen elements encountered during LC under the critical view of safety (CVS) approach were determined. The typical vascular–biliary pedicle with one cystic duct distributed laterally (or caudally) and one cystic artery medially (or cranially) lying at any point of the hepatocystic space was found in 66% of the cases studied. Anatomical schemata were formulated corresponding to the norm and four variations. Conclusions: The proposed cognitive anatomical schemata summarize simply what one can expect in terms of deviation from the norm. We believe that the synergy between the correct application of the CVS and the structured knowledge of the surgical anatomy in cholecystectomy helps the surgeon to handle non-typical structures safely and to complete the laparoscopic or open cholecystectomy without vascular–biliary injuries. Full article
(This article belongs to the Section Surgery)
Show Figures

Figure 1

9 pages, 1228 KB  
Article
Transient Elevation of Liver Function Tests and Bilirubin Levels After Laparoscopic Cholecystectomy
by Alexandros Giakoustidis, Menelaos Papakonstantinou, Christos Gkoutzios, Paraskevi Chatzikomnitsa, Areti Danai Gkaitatzi, Athanasia Myriskou, Petros Bangeas, Panagiotis Dimitrios Loufopoulos, Vasileios N. Papadopoulos and Dimitrios Giakoustidis
Medicina 2024, 60(11), 1885; https://doi.org/10.3390/medicina60111885 - 17 Nov 2024
Cited by 1 | Viewed by 8576
Abstract
Background and Objectives: Laparoscopic cholecystectomy constitutes the current “gold standard” treatment of symptomatic gallstone disease. In order to avoid intraoperative vasculobiliary injuries, it is mandatory to establish the “critical view of safety”. In cases of poor identification of the cystic duct and [...] Read more.
Background and Objectives: Laparoscopic cholecystectomy constitutes the current “gold standard” treatment of symptomatic gallstone disease. In order to avoid intraoperative vasculobiliary injuries, it is mandatory to establish the “critical view of safety”. In cases of poor identification of the cystic duct and artery leading to a missed intraoperative injury, patients present with elevated liver function tests (LFTs) or increased bilirubin postoperatively. The aim of this study is to present a series of patients of our institute with elevated liver enzymes and bilirubin after laparoscopic cholecystectomy in the absence of intraoperative injury or any other obvious etiology and to provide a possible explanation of this finding. Materials and Methods: From 2019 to 2023, 200 patients underwent elective laparoscopic cholecystectomy at the Papageorgiou General Hospital and at the European Interbalkan Medical Center of Thessaloniki utilizing the “critical view of safety” method. We retrospectively collected the intraoperative reports, and the pre- and postoperative imaging and laboratory studies of the patients included in this series. Postoperative LFTs and bilirubin levels were extracted and the reason for their transient elevation was examined. Results: From 200 cases of laparoscopic cholecystectomy, elevated LFTs and bilirubin were found in six patients on the first postoperative day, which is suggestive of a missed intraoperative injury. All patients were asymptomatic. During the investigatory workup, a triple-phase CT of the liver and/or an MRCP were ordered, but no pathological findings, such as biliary injury, hepatic artery injury or choledocholithiasis, were found. On postoperative day 3, LFTs and bilirubin levels decreased or normalized without any intervention. No postoperative complications were reported. Conclusions: In select cases, a transient increase in LFTs and/or bilirubin may be observed in the early postoperative period after elective laparoscopic cholecystectomy in the absence of an obvious etiology. A possible interpretation of these findings could involve the pneumoperitoneum or the anesthesia regimens used intra- or perioperatively. The specific cause, however, remains undetermined and yet to be examined by future studies. Full article
Show Figures

Figure 1

24 pages, 1497 KB  
Systematic Review
Functional Measures in Non-COPD Chronic Respiratory Diseases: A Systematic Review
by Camile Ludovico Zamboti, Heloise Angélico Pimpão, Larissa Dragonetti Bertin, Gabriela Garcia Krinski, Tathielle Garcia, Sandro Laerth Souza dos Santos Filho, Vinicius Cavalheri, Fabio Pitta and Carlos Augusto Camillo
J. Clin. Med. 2024, 13(22), 6887; https://doi.org/10.3390/jcm13226887 - 15 Nov 2024
Cited by 2 | Viewed by 2814
Abstract
Background/Objectives: The extensive range of instruments designed for evaluating functional performance (FP) in chronic respiratory diseases (CRD) other than chronic obstructive pulmonary disease (COPD) presents a challenge in selecting the most appropriate one. Therefore, this systematic review aimed to summarise FP instruments, their [...] Read more.
Background/Objectives: The extensive range of instruments designed for evaluating functional performance (FP) in chronic respiratory diseases (CRD) other than chronic obstructive pulmonary disease (COPD) presents a challenge in selecting the most appropriate one. Therefore, this systematic review aimed to summarise FP instruments, their measurement properties, their minimum clinically important differences, and their associations with CRD course-related events or prognosis in non-COPD CRD. Methods: Studies employing patient-reported or performance-based instruments to assess FP in non-COPD CRD were systematically identified in the PubMed, PEDro, Embase, and Cochrane Library databases. COPD-exclusive studies or those solely reporting exercise capacity tests were excluded. Examination focused on measurement properties and associations with CRD course-related events or prognosis. The risk of bias was evaluated using the COSMIN, Downs and Black, and PEDro checklists based on the study design. Results: A total of 216 studies across seven CRD categories [asthma, bronchiectasis, cystic fibrosis, interstitial lung disease (ILD), pulmonary arterial hypertension (PAH), pre-/post-lung-transplantation] from various study types were included. Thirty-three instruments were identified, with the SF-36 questionnaire’s physical function domain being the most commonly used patient-reported tool. The 1 min sit-to-stand test was the most extensively studied performance-based measure, with its measurement properties frequently reported in non-COPD CRD studies. Associations with events were infrequently documented, primarily in ILD and PAH studies related to mortality. Conclusions: Despite the prevalent use of FP instruments, limited information exists concerning their measurement properties and clinical implications. This review furnishes a concise summary of available evidence, aiding informed clinical decisions when selecting FP tools for non-COPD CRD. Full article
(This article belongs to the Section Respiratory Medicine)
Show Figures

Figure 1

7 pages, 203 KB  
Article
Nasal High-Flow Oxygen Therapy in Chronic Respiratory Failure for Homecare Applications—A Feasibility Study
by Achim Grünewaldt and Gernot Rohde
J. Clin. Med. 2024, 13(15), 4525; https://doi.org/10.3390/jcm13154525 - 2 Aug 2024
Cited by 2 | Viewed by 1709
Abstract
Background: While high-flow nasal cannulas (HFNCs) represent the standard of care in the intensive care unit for patients with severe hypoxemia, its use in homecare settings is uncommon despite its potential. The potential benefits and challenges of the high-flow nasal cannula (HFNC) in [...] Read more.
Background: While high-flow nasal cannulas (HFNCs) represent the standard of care in the intensive care unit for patients with severe hypoxemia, its use in homecare settings is uncommon despite its potential. The potential benefits and challenges of the high-flow nasal cannula (HFNC) in homecare settings compared to standard long-term oxygen via nasal low-flow therapy are unclear. Methods: We conducted a prospective monocentric feasibility study at the Department of Respiratory Medicine, University Hospital, Goethe University Frankfurt, Germany. Patients with interstitial lung disease or severe bronchiectasis (including cystic fibrosis) were enrolled into the study. The HFNC was introduced during hospitalization. The patients’ compliance with home use advice and arterial blood gas results were evaluated at a 4–6-week follow-up. Results: A total of 12 patients were analyzed. HFNC initiation did not result in a significant improvement of the pO2/fiO2 (p/f) ratio. Only 8 out of 12 (66.6%) patients used the HFNC at home after the initial in-hospital initiation. Only 7 of the total 12 patients were using the therapy at a follow-up 3–6 weeks after HFNC onset. Two patients died during the observation, resulting in a surveillance mortality rate of 16.7%. Conclusions: The feasibility data showed low adherence to the HFNC at home. The lack of any positive effect on the p/f ratio may be due to low airflow rates and overall mild hypoxemia compared to patients with severe respiratory failure in the ICU. Full article
(This article belongs to the Section Respiratory Medicine)
11 pages, 619 KB  
Article
Identifying Preoperative Clinical Characteristics of Unexpected Gastrointestinal Perforation in Infants—A Retrospective Cohort Study
by Adinda G. H. Pijpers, Ramon R. Gorter, Laurens D. Eeftinck Schattenkerk, Joost van Schuppen, Chris H. P. van den Akker, Sylvie Vanhamel, Ernest L. W. van Heurn, Gijsbert D. Musters and Joep P. M. Derikx
Children 2024, 11(5), 505; https://doi.org/10.3390/children11050505 - 23 Apr 2024
Cited by 2 | Viewed by 3008
Abstract
Background: Infants presenting with unexpected pneumoperitoneum upon abdominal X-ray, indicating a gastrointestinal perforation (GIP), have a surgical emergency with potential morbidity and mortality. Preoperative determination of the location of perforation is challenging but will aid the surgeon in optimizing the surgical strategy, as [...] Read more.
Background: Infants presenting with unexpected pneumoperitoneum upon abdominal X-ray, indicating a gastrointestinal perforation (GIP), have a surgical emergency with potential morbidity and mortality. Preoperative determination of the location of perforation is challenging but will aid the surgeon in optimizing the surgical strategy, as colon perforations are more challenging than small bowel perforations. Therefore, the aim of this study is to provide an overview of preoperative patient characteristics, determine the differences between the small bowel and colon, and determine underlying causes in a cohort of infants with unexpected GIP. Methods: All infants (age ≤ 6 months) who presented at our center with unexpected pneumoperitoneum (no signs of pneumatosis before) undergoing surgery between 1996 and 2024 were retrospectively included. The differences between the location of perforation were analyzed using chi-squared and t-tests. Bonferroni correction was used to adjust for multiple tests. Results: In total, 51 infants presented with unexpected pneumoperitoneum at our center, predominantly male (N = 36/51) and premature (N = 40/51). Among them, twenty-six had small bowel, twenty-two colon, and three stomach perforations. Prematurity (p = 0.001), birthweight < 1000 g (p = 0.001), respiratory support (p = 0.001), and lower median arterial pH levels (p = 0.001) were more present in patients with small bowel perforation compared with colon perforations. Pneumatosis intestinalis was more present in patients with colon perforation (p = 0.004). All patients with Hirschsprung disease and cystic fibrosis had colon perforation. The final diagnoses were mainly focal intestinal perforations (N = 27/51) and necrotizing enterocolitis (N = 9/51). Conclusions: Infants with unexpected GIP, birthweight < 1000 g, and prematurity have more risk for small bowel perforation. In case of colon perforation, additional screening (for Hirschsprung and cystic fibrosis) should be considered. Full article
Show Figures

Graphical abstract

16 pages, 2235 KB  
Review
Autosomal Dominant Polycystic Kidney Disease: Extrarenal Involvement
by Matteo Righini, Raul Mancini, Marco Busutti and Andrea Buscaroli
Int. J. Mol. Sci. 2024, 25(5), 2554; https://doi.org/10.3390/ijms25052554 - 22 Feb 2024
Cited by 9 | Viewed by 4898
Abstract
Autosomal dominant polycystic kidney disease (ADPKD) is the most common hereditary kidney disorder, but kidneys are not the only organs involved in this systemic disorder. Individuals with the condition may display additional manifestations beyond the renal system, involving the liver, pancreas, and brain [...] Read more.
Autosomal dominant polycystic kidney disease (ADPKD) is the most common hereditary kidney disorder, but kidneys are not the only organs involved in this systemic disorder. Individuals with the condition may display additional manifestations beyond the renal system, involving the liver, pancreas, and brain in the context of cystic manifestations, while involving the vascular system, gastrointestinal tract, bones, and cardiac valves in the context of non-cystic manifestations. Despite kidney involvement remaining the main feature of the disease, thanks to longer survival, early diagnosis, and better management of kidney-related problems, a new wave of complications must be faced by clinicians who treated patients with ADPKD. Involvement of the liver represents the most prevalent extrarenal manifestation and has growing importance in the symptom burden and quality of life. Vascular abnormalities are a key factor for patients’ life expectancy and there is still debate whether to screen or not to screen all patients. Arterial hypertension is often the earliest onset symptom among ADPKD patients, leading to frequent cardiovascular complications. Although cardiac valvular abnormalities are a frequent complication, they rarely lead to relevant problems in the clinical history of polycystic patients. One of the newest relevant aspects concerns bone disorders that can exert a considerable influence on the clinical course of these patients. This review aims to provide the “state of the art” among the extrarenal manifestation of ADPKD. Full article
(This article belongs to the Special Issue New Insights into Kidney Diseases)
Show Figures

Figure 1

Back to TopTop