Autosomal Dominant Polycystic Kidney Disease: Extrarenal Involvement
Abstract
1. Introduction
2. Pathogenesis
3. Extrarenal Cystic Manifestations
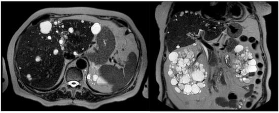
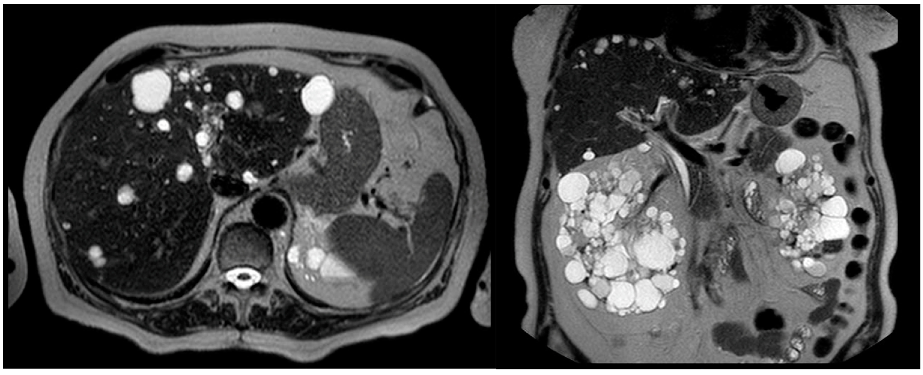
3.1. Liver
3.2. Pancreas and Spleen
3.3. Brain
3.4. Other Involvements
4. Extra-Renal Non-Cystic Manifestations
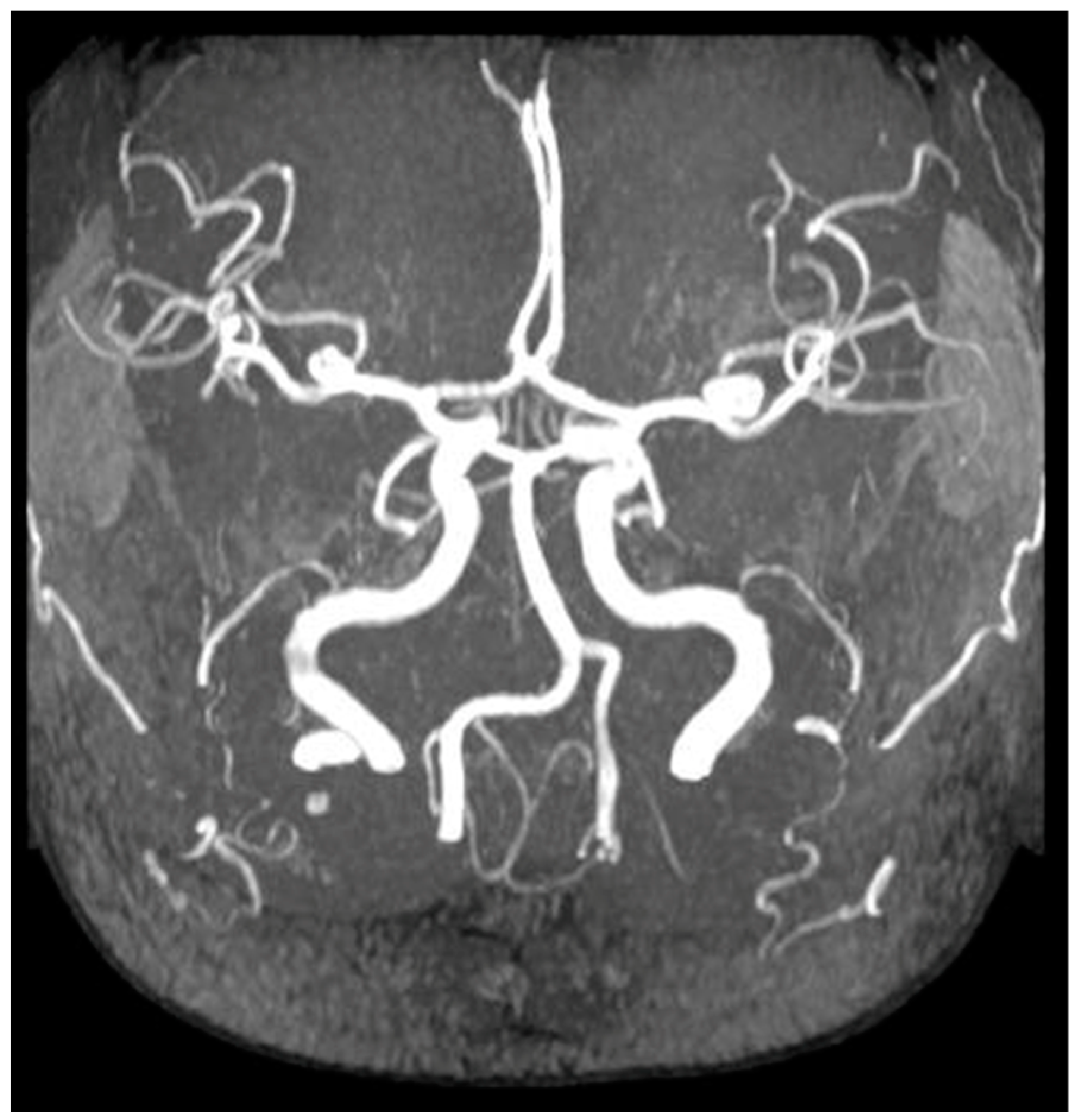
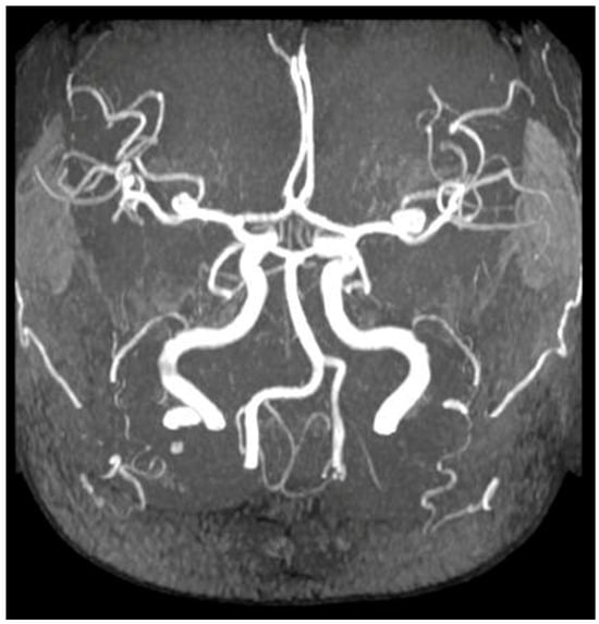
4.1. Vascular
4.2. Heart
4.3. Bone
5. Conclusions
- ADPKD is a systemic disease that can involve the whole organism with cystic and non-cystic involvement.
- In patients with ADPKD, the kidney remains the main clinical feature, but liver, vascular, heart, and bone involvement could impact on patients’ quality of life.
- Liver volume is a prognostic marker and it impacts both symptom burden and quality of life.
- IA rupture is the most serious acute complication that can occur in ADPKD patients. Early detection and appropriate treatment are highly desirable.
- Although valvular abnormalities are common in ADPKD patients, they rarely lead to clinical problems; therefore, screening echocardiography is not compulsory.
- Bone defects in individuals with ADPKD align with adynamic bone disorder and it appears from the earliest stages of CKD.
Author Contributions
Funding
Conflicts of Interest
References
- Cornec-Le Gall, E.; Alam, A.; Perrone, R. Autosomal dominant polycystic kidney disease. Lancet 2019, 393, 919–935. [Google Scholar] [CrossRef]
- Cornec-Le Gall, E.; Torres, V.; Harris, P. Genetic Complexity of Autosomal Dominant Polycystic Kidney and Liver Diseases. J. Am. Soc. Nephrol. 2018, 29, 13–23. [Google Scholar] [CrossRef]
- Besse, W.; Chang, A.R.; Luo, J.Z.; Triffo, W.J.; Moore, B.S.; Gulati, A.; Hartzel, D.N.; Mane, S.; Torres, V.E.; Somlo, S.; et al. ALG9 Mutation Carriers Develop Kidney and Liver Cysts. J. Am. Soc. Nephrol. 2019, 30, 2091–2102. [Google Scholar] [CrossRef]
- Hopp, K.; Ward, C.J.; Hommerding, C.J.; Nasr, S.H.; Tuan, H.F.; Gainullin, V.G.; Rossetti, S.; Torres, V.E.; Harris, P.C. Functional polycystin-1 dosage governs autosomal dominant polycystic kidney disease severity. J. Clin. Investig. 2012, 122, 4257–4273. [Google Scholar] [CrossRef]
- Márquez-Nogueras, K.M.; Vuchkovska, V.; Kuo, I.Y. Calcium signaling in polycystic kidney disease- cell death and survival. Cell Calcium 2023, 112, 102733. [Google Scholar] [CrossRef] [PubMed]
- Kim, D.Y.; Park, J.H. Genetic Mechanisms of ADPKD. Adv. Exp. Med. Biol. 2016, 933, 13–22. [Google Scholar] [CrossRef]
- Bergmann, C.; Guay-Woodford, L.M.; Harris, P.C.; Horie, S.; Peters, D.J.; Torres, V.E. Polycystic kidney disease. Nat. Rev. Dis. Primers 2018, 4, 50. [Google Scholar] [CrossRef]
- Schrier, R.W. Renal volume, renin-angiotensin-aldosterone system, hypertension, and left ventricular hypertrophy in patients with autosomal dominant polycystic kidney disease. J. Am. Soc. Nephrol. 2009, 20, 1888–1893. [Google Scholar] [CrossRef] [PubMed]
- Rizk, D.; Chapman, A. Cystic and inherited kidney diseases. Am. J. Kidney Dis. 2003, 42, 1305–1317. [Google Scholar] [CrossRef] [PubMed]
- Drake, A.M.; Paynter, J.A.; Yim, A.; Tempo, J.A.; Manning, T.G.; Brennan, J.; Qin, K.R. Prevalence of Renal Neoplasia in Autosomal Dominant Polycystic Kidney Disease: Systematic Review and Meta-analysis. Nephron 2024. epub ahead of print. [Google Scholar] [CrossRef]
- Horani, A.; Ferkol, T. Understanding Primary Ciliary Dyskinesia and Other Ciliopathies. J. Pediatr. 2021, 230, 15–22.e1. [Google Scholar] [CrossRef]
- Mitchell, D.R. The evolution of eukaryotic cilia and flagella as motile and sensory organelles. Adv. Exp. Med. Biol. 2007, 607, 130–140. [Google Scholar]
- Nauli, S.M.; Jin, X.; Hierck, B. The mechanosensory role of primary cilia in vascular hypertension. Int. J. Vasc. Med. 2011, 2011, 376281. [Google Scholar] [CrossRef]
- Abdul-Majeed, S.; Nauli, S. Calcium-mediated mechanisms of cystic expansion. Biochim. Biophys. Acta 2011, 1812, 1281–1290. [Google Scholar] [CrossRef]
- Nauli, S.M.; Zhou, J. Polycystins and mechanosensation in renal and nodal cilia. Bioessays 2004, 26, 844–856. [Google Scholar] [CrossRef]
- Caspary, T.; Larkins, C.; Anderson, K. The graded response to Sonic Hedgehog depends on cilia architecture. Dev. Cell 2007, 12, 767–778. [Google Scholar] [CrossRef] [PubMed]
- Christensen, S.T.; Pedersen, S.F.; Satir, P.; Veland, I.R.; Schneider, L. The primary cilium coordinates signaling pathways in cell cycle control and migration during development and tissue repair. Curr. Top. Dev. Biol. 2008, 85, 261–301. [Google Scholar] [PubMed]
- Gerdes, J.M.; Davis, E.; Katsanis, N. The vertebrate primary cilium in development, homeostasis, and disease. Cell 2009, 137, 32–45. [Google Scholar] [CrossRef]
- Satir, P.; Pedersen, L.; Christensen, S. The primary cilium at a glance. J. Cell Sci. 2010, 123 Pt 4, 499–503. [Google Scholar] [CrossRef] [PubMed]
- Praetorius, H.A.; Spring, K. Removal of the MDCK cell primary cilium abolishes flow sensing. J. Membr. Biol. 2003, 191, 69–76. [Google Scholar] [CrossRef] [PubMed]
- Nauli, S.M.; Alenghat, F.J.; Luo, Y.; Williams, E.; Vassilev, P.; Li, X.; Elia, A.E.; Lu, W.; Brown, E.M.; Quinn, S.J.; et al. Polycystins 1 and 2 mediate mechanosensation in the primary cilium of kidney cells. Nat. Genet. 2003, 33, 129–137. [Google Scholar] [CrossRef]
- Chauvet, V.; Qian, F.; Boute, N.; Cai, Y.; Phakdeekitacharoen, B.; Onuchic, L.F.; Attié-Bitach, T.; Guicharnaud, L.; Devuyst, O.; Germino, G.G.; et al. Expression of PKD1 and PKD2 transcripts and proteins in human embryo and during normal kidney development. Am. J. Pathol. 2002, 160, 973–983. [Google Scholar] [CrossRef]
- Ibraghimov-Beskrovnaya, O.; Dackowski, W.R.; Foggensteiner, L.; Coleman, N.; Thiru, S.; Petry, L.R.; Burn, T.C.; Connors, T.D.; Van Raay, T.; Bradley, J.; et al. Polycystin: In vitro synthesis, in vivo tissue expression, and subcellular localization identifies a large membrane-associated protein. Proc. Natl. Acad. Sci. USA 1997, 94, 6397–6402. [Google Scholar] [CrossRef]
- Huan, Y.; van Adelsberg, J. Polycystin-1, the PKD1 gene product, is in a complex containing E-cadherin and the catenins. J. Clin. Investig. 1999, 104, 1459–1468. [Google Scholar] [CrossRef]
- Mochizuki, T.; Wu, G.; Hayashi, T.; Xenophontos, S.L.; Veldhuisen, B.; Saris, J.J.; Reynolds, D.M.; Cai, Y.; Gabow, P.A.; Pierides, A.; et al. PKD2, a gene for polycystic kidney disease that encodes an integral membrane protein. Science 1996, 272, 1339–1342. [Google Scholar] [CrossRef] [PubMed]
- González-Perrett, S.; Kim, K.; Ibarra, C.; Damiano, A.E.; Zotta, E.; Batelli, M.; Harris, P.C.; Reisin, I.L.; Arnaout, M.A.; Cantiello, H.F. Polycystin-2, the protein mutated in autosomal dominant polycystic kidney disease (ADPKD), is a Ca2+-permeable nonselective cation channel. Proc. Natl. Acad. Sci. USA 2001, 98, 1182–1187. [Google Scholar] [CrossRef] [PubMed]
- Yoder, B.K.; Hou, X.; Guay-Woodford, L. The polycystic kidney disease proteins, polycystin-1, polycystin-2, polaris, and cystin, are co-localized in renal cilia. J. Am. Soc. Nephrol. 2002, 13, 2508–2516. [Google Scholar] [CrossRef] [PubMed]
- Yu, Y.; Ulbrich, M.H.; Li, M.H.; Buraei, Z.; Chen, X.Z.; Ong, A.C.; Tong, L.; Isacoff, E.Y.; Yang, J. Structural and molecular basis of the assembly of the TRPP2/PKD1 complex. Proc. Natl. Acad. Sci. USA 2009, 106, 11558–11563. [Google Scholar] [CrossRef]
- Vassilev, P.M.; Guo, L.; Chen, X.Z.; Segal, Y.; Peng, J.B.; Basora, N.; Babakhanlou, H.; Cruger, G.; Kanazirska, M.; Ye, C.P.; et al. Polycystin-2 is a novel cation channel implicated in defective intracellular Ca(2+) homeostasis in polycystic kidney disease. Biochem. Biophys. Res. Commun. 2001, 282, 341–350. [Google Scholar] [CrossRef] [PubMed]
- Nims, N.; Vassmer, D.; Maser, R. Transmembrane domain analysis of polycystin-1, the product of the polycystic kidney disease-1 (PKD1) gene: Evidence for 11 membrane-spanning domains. Biochemistry 2003, 42, 13035–13048. [Google Scholar] [CrossRef]
- Tsiokas, L.; Kim, E.; Arnould, T.; Sukhatme, V.P.; Walz, G. Homo- and heterodimeric interactions between the gene products of PKD1 and PKD2. Proc. Natl. Acad. Sci. USA 1997, 94, 6965–6970. [Google Scholar] [CrossRef]
- Qian, F.; Germino, F.J.; Cai, Y.; Zhang, X.; Somlo, S.; Germino, G.G. PKD1 interacts with PKD2 through a probable coiled-coil domain. Nat. Genet. 1997, 16, 179–183. [Google Scholar] [CrossRef]
- Gallagher, A.R.; Germino, G.; Somlo, S. Molecular advances in autosomal dominant polycystic kidney disease. Adv. Chronic Kidney Dis. 2010, 17, 118–130. [Google Scholar] [CrossRef]
- Koulen, P.; Cai, Y.; Geng, L.; Maeda, Y.; Nishimura, S.; Witzgall, R.; Ehrlich, B.E.; Somlo, S. Polycystin-2 is an intracellular calcium release channel. Nat. Cell Biol. 2002, 4, 191–197. [Google Scholar] [CrossRef] [PubMed]
- Anyatonwu, G.I.; Ehrlich, B. Organic cation permeation through the channel formed by polycystin-2. J. Biol. Chem. 2005, 280, 29488–29493. [Google Scholar] [CrossRef] [PubMed]
- Masyuk, A.I.; Masyuk, T.V.; Splinter, P.L.; Huang, B.Q.; Stroope, A.J.; LaRusso, N.F. Cholangiocyte cilia detect changes in luminal fluid flow and transmit them into intracellular Ca2+ and cAMP signaling. Gastroenterology 2006, 131, 911–920. [Google Scholar] [CrossRef]
- Masyuk, T.V.; Masyuk, A.I.; Torres, V.E.; Harris, P.C.; Larusso, N.F. Octreotide inhibits hepatic cystogenesis in a rodent model of polycystic liver disease by reducing cholangiocyte adenosine 3’,5’-cyclic monophosphate. Gastroenterology 2007, 132, 1104–1116. [Google Scholar] [CrossRef] [PubMed]
- Kip, S.N.; Hunter, L.W.; Ren, Q.; Harris, P.C.; Somlo, S.; Torres, V.E.; Sieck, G.C.; Qian, Q. [Ca2+]i reduction increases cellular proliferation and apoptosis in vascular smooth muscle cells: Relevance to the ADPKD phenotype. Circ. Res. 2005, 96, 873–880. [Google Scholar] [CrossRef] [PubMed]
- Banizs, B.; Komlosi, P.; Bevensee, M.O.; Schwiebert, E.M.; Bell, P.D.; Yoder, B.K. Altered pH(i) regulation and Na(+)/HCO3(-) transporter activity in choroid plexus of cilia-defective Tg737(orpk) mutant mouse. Am. J. Physiol. Cell Physiol. 2007, 292, C1409–C1416. [Google Scholar] [CrossRef]
- Shillingford, J.M.; Murcia, N.S.; Larson, C.H.; Low, S.H.; Hedgepeth, R.; Brown, N.; Flask, C.A.; Novick, A.C.; Goldfarb, D.A.; Kramer-Zucker, A.; et al. The mTOR pathway is regulated by polycystin-1, and its inhibition reverses renal cystogenesis in polycystic kidney disease. Proc. Natl. Acad. Sci. USA 2006, 103, 5466–5471. [Google Scholar] [CrossRef]
- Bhunia, A.K.; Piontek, K.; Boletta, A.; Liu, L.; Qian, F.; Xu, P.N.; Germino, F.J.; Germino, G.G. PKD1 induces p21(waf1) and regulation of the cell cycle via direct activation of the JAK-STAT signaling pathway in a process requiring PKD2. Cell 2002, 109, 157–168. [Google Scholar] [CrossRef]
- Liang, G.; Yang, J.; Wang, Z.; Li, Q.; Tang, Y.; Chen, X.Z. Polycystin-2 down-regulates cell proliferation via promoting PERK-dependent phosphorylation of eIF2alpha. Hum. Mol. Genet. 2008, 17, 3254–3262. [Google Scholar] [CrossRef]
- Fischer, E.; Legue, E.; Doyen, A.; Nato, F.; Nicolas, J.F.; Torres, V.; Yaniv, M.; Pontoglio, M. Defective planar cell polarity in polycystic kidney disease. Nat. Genet. 2006, 38, 21–23. [Google Scholar] [CrossRef]
- Rossetti, S.; Consugar, M.B.; Chapman, A.B.; Torres, V.E.; Guay-Woodford, L.M.; Grantham, J.J.; Bennett, W.M.; Meyers, C.M.; Walker, D.L.; Bae, K.; et al. Comprehensive molecular diagnostics in autosomal dominant polycystic kidney disease. J. Am. Soc. Nephrol. 2007, 18, 2143–2160. [Google Scholar] [CrossRef]
- Rossetti, S.; Harris, P. The genetics of vascular complications in autosomal dominant polycystic kidney disease (ADPKD). Curr. Hypertens. Rev. 2013, 9, 37–43. [Google Scholar] [CrossRef]
- Pei, Y.; Lan, Z.; Wang, K.; Garcia-Gonzalez, M.; He, N.; Dicks, E.; Parfrey, P.; Germino, G.; Watnick, T. A missense mutation in PKD1 attenuates the severity of renal disease. Kidney Int. 2012, 81, 412–417. [Google Scholar] [CrossRef] [PubMed]
- Cornec-Le Gall, E.; Audrézet, M.P.; Chen, J.M.; Hourmant, M.; Morin, M.P.; Perrichot, R.; Charasse, C.; Whebe, B.; Renaudineau, E.; Jousset, P.; et al. Type of PKD1 mutation influences renal outcome in ADPKD. J. Am. Soc. Nephrol. 2013, 24, 1006–1013. [Google Scholar] [CrossRef] [PubMed]
- Chapin, H.C.; Caplan, M. The cell biology of polycystic kidney disease. J. Cell Biol. 2010, 191, 701–710. [Google Scholar] [CrossRef] [PubMed]
- Qian, F.; Watnick, T.J.; Onuchic, L.F.; Germino, G.G. The molecular basis of focal cyst formation in human autosomal dominant polycystic kidney disease type I. Cell 1996, 87, 979–987. [Google Scholar] [CrossRef]
- Pei, Y.; Watnick, T.; He, N.; Wang, K.; Liang, Y.A.; Parfrey, P.; Germino, G.; George-Hyslop, P.S. Somatic PKD2 mutations in individual kidney and liver cysts support a “two-hit” model of cystogenesis in type 2 autosomal dominant polycystic kidney disease. J. Am. Soc. Nephrol. 1999, 10, 1524–1529. [Google Scholar] [CrossRef] [PubMed]
- Gevers, T.J.; Drenth, J. Diagnosis and management of polycystic liver disease. Nat. Rev. Gastroenterol. Hepatol. 2013, 10, 101–108. [Google Scholar] [CrossRef] [PubMed]
- Roskams, T.; Desmet, V. Embryology of extra- and intrahepatic bile ducts, the ductal plate. Anat. Rec. 2008, 291, 628–635. [Google Scholar] [CrossRef] [PubMed]
- Raynaud, P.; Carpentier, R.; Antoniou, A.; Lemaigre, F.P. Biliary differentiation and bile duct morphogenesis in development and disease. Int. J. Biochem. Cell Biol. 2011, 43, 245–256. [Google Scholar] [CrossRef] [PubMed]
- Strazzabosco, M.; Fabris, L. Development of the bile ducts: Essentials for the clinical hepatologist. J. Hepatol. 2012, 56, 1159–1170. [Google Scholar] [CrossRef] [PubMed]
- Drenth, J.P.; Chrispijn, M.; Bergmann, C. Congenital fibrocystic liver diseases. Best Pract. Res. Clin. Gastroenterol. 2010, 24, 573–584. [Google Scholar] [CrossRef] [PubMed]
- Roediger, R.; Dieterich, D.; Chanumolu, P.; Deshpande, P. Polycystic Kidney/Liver Disease. Clin. Liver Dis. 2022, 26, 229–243. [Google Scholar] [CrossRef] [PubMed]
- Hogan, M.C.; Abebe, K.; Torres, V.E.; Chapman, A.B.; Bae, K.T.; Tao, C.; Sun, H.; Perrone, R.D.; Steinman, T.I.; Braun, W.; et al. Liver involvement in early autosomal-dominant polycystic kidney disease. Clin. Gastroenterol. Hepatol. 2015, 13, 155–164.e6. [Google Scholar] [CrossRef] [PubMed]
- Bae, K.T.; Zhu, F.; Chapman, A.B.; Torres, V.E.; Grantham, J.J.; Guay-Woodford, L.M.; Baumgarten, D.A.; King, B.F., Jr.; Wetzel, L.H.; Kenney, P.J.; et al. Magnetic resonance imaging evaluation of hepatic cysts in early autosomal-dominant polycystic kidney disease: The Consortium for Radiologic Imaging Studies of Polycystic Kidney Disease cohort. Clin. J. Am. Soc. Nephrol. 2006, 1, 64–69. [Google Scholar] [CrossRef]
- Gabow, P.A.; Johnson, A.M.; Kaehny, W.D.; Manco-Johnson, M.L.; Duley, I.T.; Everson, G.T. Risk factors for the development of hepatic cysts in autosomal dominant polycystic kidney disease. Hepatology 1990, 11, 1033–1037. [Google Scholar] [CrossRef]
- van Aerts, R.M.; Kievit, W.; de Jong, M.E.; Ahn, C.; Bañales, J.M.; Reiterová, J.; Nevens, F.; Drenth, J.P. Severity in polycystic liver disease is associated with aetiology and female gender: Results of the International PLD Registry. Liver Int. 2019, 39, 575–582. [Google Scholar] [CrossRef]
- Sherstha, R.; McKinley, C.; Russ, P.; Scherzinger, A.; Bronner, T.; Showalter, R.; Everson, G.T. Postmenopausal estrogen therapy selectively stimulates hepatic enlargement in women with autosomal dominant polycystic kidney disease. Hepatology 1997, 26, 1282–1286. [Google Scholar] [PubMed]
- Chebib, F.T.; Jung, Y.; Heyer, C.M.; Irazabal, M.V.; Hogan, M.C.; Harris, P.C.; Torres, V.E.; El-Zoghby, Z.M. Effect of genotype on the severity and volume progression of polycystic liver disease in autosomal dominant polycystic kidney disease. Nephrol. Dial. Transplant. 2016, 31, 952–960. [Google Scholar] [CrossRef]
- Aapkes, S.E.; Bernts, L.H.; Barten, T.R.; van den Berg, M.; Gansevoort, R.T.; Drenth, J.P. Estrogens in polycystic liver disease: A target for future therapies? Liver Int. 2021, 41, 2009–2019. [Google Scholar] [CrossRef] [PubMed]
- van Aerts, R.M.; Bernts, L.H.; Gevers, T.J.; Kievit, W.; Koopmans, L.; Nieboer, T.E.; Nevens, F.; Drenth, J.P. Estrogen-Containing Oral Contraceptives Are Associated with Polycystic Liver Disease Severity in Premenopausal Patients. Clin. Pharmacol. Ther. 2019, 106, 1338–1345. [Google Scholar] [CrossRef]
- Alvaro, D.; Metalli, V.D.; Alpini, G.; Onori, P.; Franchitto, A.; Barbaro, B.; Glaser, S.S.; Francis, H.; Cantafora, A.; Blotta, I.; et al. The intrahepatic biliary epithelium is a target of the growth hormone/insulin-like growth factor 1 axis. J. Hepatol. 2005, 43, 875–883. [Google Scholar] [CrossRef]
- Koduri, S.; Goldhar, A.; Vonderhaar, B. Activation of vascular endothelial growth factor (VEGF) by the ER-alpha variant, ERDelta3. Breast Cancer Res. Treat. 2006, 95, 37–43. [Google Scholar] [CrossRef] [PubMed]
- Chauveau, D.; Fakhouri, F.; Grünfeld, J. Liver involvement in autosomal-dominant polycystic kidney disease: Therapeutic dilemma. J. Am. Soc. Nephrol. 2000, 11, 1767–1775. [Google Scholar] [CrossRef]
- Patch, C.; Charlton, J.; Roderick, P.J.; Gulliford, M.C. Use of antihypertensive medications and mortality of patients with autosomal dominant polycystic kidney disease: A population-based study. Am. J. Kidney Dis. 2011, 57, 856–862. [Google Scholar] [CrossRef]
- Orskov, B.; Sørensen, V.R.; Feldt-Rasmussen, B.; Strandgaard, S. Improved prognosis in patients with autosomal dominant polycystic kidney disease in Denmark. Clin. J. Am. Soc. Nephrol. 2010, 5, 2034–2039. [Google Scholar] [CrossRef]
- Orskov, B.; Sørensen, V.R.; Feldt-Rasmussen, B.; Strandgaard, S. Changes in causes of death and risk of cancer in Danish patients with autosomal dominant polycystic kidney disease and end-stage renal disease. Nephrol. Dial. Transplant. 2012, 27, 1607–1613. [Google Scholar] [CrossRef]
- Ecder, T.; Edelstein, C.L.; Chapman, A.B.; Johnson, A.M.; Tison, L.; Gill, E.A.; Brosnahan, G.M.; Schrier, R.W. Reversal of left ventricular hypertrophy with angiotensin converting enzyme inhibition in hypertensive patients with autosomal dominant polycystic kidney disease. Nephrol. Dial. Transplant. 1999, 14, 1113–1116. [Google Scholar] [CrossRef] [PubMed]
- Gigot, J.F.; Jadoul, P.; Que, F.; Van Beers, B.E.; Etienne, J.; Horsmans, Y.; Collard, A.; Geubel, A.; Pringot, J.; Kestens, P.J. Adult polycystic liver disease: Is fenestration the most adequate operation for long-term management? Ann. Surg. 1997, 225, 286–294. [Google Scholar] [CrossRef] [PubMed]
- Schnelldorfer, T.; Torres, V.E.; Zakaria, S.; Rosen, C.B.; Nagorney, D.M. Polycystic liver disease: A critical appraisal of hepatic resection, cyst fenestration, and liver transplantation. Ann. Surg. 2009, 250, 112–118. [Google Scholar] [CrossRef] [PubMed]
- Temmerman, F.; Dobbels, F.; Ho, T.A.; Pirson, Y.; Vanslembrouck, R.; Coudyzer, W.; Bammens, B.; van Pelt, J.; Pirenne, J.; Nevens, F. Development and validation of a polycystic liver disease complaint-specific assessment (POLCA). J. Hepatol. 2014, 61, 1143–1150. [Google Scholar] [CrossRef]
- Neijenhuis, M.K.; Gevers, T.J.; Hogan, M.C.; Kamath, P.S.; Wijnands, T.F.; van den Ouweland, R.C.; Edwards, M.E.; Sloan, J.A.; Kievit, W.; Drenth, J.P. Development and Validation of a Disease-Specific Questionnaire to Assess Patient-Reported Symptoms in Polycystic Liver Disease. Hepatology 2016, 64, 151–160. [Google Scholar] [CrossRef] [PubMed]
- Van Aerts, R.M.; van de Laarschot, L.F.; Banales, J.M.; Drenth, J.P. Clinical management of polycystic liver disease. J. Hepatol. 2018, 68, 827–837. [Google Scholar] [PubMed]
- Kim, H.; Park, H.C.; Ryu, H.; Kim, K.; Kim, H.S.; Oh, K.H.; Yu, S.J.; Chung, J.W.; Cho, J.Y.; Kim, S.H.; et al. Clinical Correlates of Mass Effect in Autosomal Dominant Polycystic Kidney Disease. PLoS ONE 2015, 10, e0144526. [Google Scholar] [CrossRef] [PubMed]
- Van Keimpema, L.; Nevens, F.; Vanslembrouck, R.; Van Oijen, M.G.; Hoffmann, A.L.; Dekker, H.M.; De Man, R.A.; Drenth, J.P. Lanreotide reduces the volume of polycystic liver: A randomized, double-blind, placebo-controlled trial. Gastroenterology 2009, 137, e1–e2. [Google Scholar] [CrossRef]
- Chrispijn, M.; Nevens, F.; Gevers, T.J.; Vanslembrouck, R.; van Oijen, M.G.; Coudyzer, W.; Hoffmann, A.L.; Dekker, H.M.; De Man, R.A.; van Keimpema, L.; et al. The long-term outcome of patients with polycystic liver disease treated with lanreotide. Aliment. Pharmacol. Ther. 2012, 35, 266–274. [Google Scholar] [CrossRef]
- Mizuno, H.; Sekine, A.; Suwabe, T.; Ikuma, D.; Yamanouchi, M.; Hasegawa, E.; Sawa, N.; Ubara, Y.; Hoshino, J. Potential effect of tolvaptan on polycystic liver disease for patients with ADPKD meeting the Japanese criteria of tolvaptan use. PLoS ONE 2022, 17, e0264065. [Google Scholar] [CrossRef]
- Wijnands, T.F.; Görtjes, A.P.; Gevers, T.J.; Jenniskens, S.F.; Kool, L.J.; Potthoff, A.; Ronot, M.; Drenth, J.P. Efficacy and Safety of Aspiration Sclerotherapy of Simple Hepatic Cysts: A Systematic Review. AJR Am. J. Roentgenol. 2017, 208, 201–207. [Google Scholar] [CrossRef] [PubMed]
- Lu, W.; Peissel, B.; Babakhanlou, H.; Pavlova, A.; Geng, L.; Fan, X.; Larson, C.; Brent, G.; Zhou, J. Perinatal lethality with kidney and pancreas defects in mice with a targetted Pkd1 mutation. Nat. Genet. 1997, 17, 179–181. [Google Scholar] [CrossRef] [PubMed]
- Kim, I.; Ding, T.; Fu, Y.; Li, C.; Cui, L.; Li, A.; Lian, P.; Liang, D.; Wang, D.W.; Guo, C.; et al. Conditional mutation of Pkd2 causes cystogenesis and upregulates beta-catenin. J. Am. Soc. Nephrol. 2009, 20, 2556–2569. [Google Scholar] [CrossRef] [PubMed]
- Kim, J.A.; Blumenfeld, J.D.; Chhabra, S.; Dutruel, S.P.; Thimmappa, N.D.; Bobb, W.O.; Donahue, S.; Rennert, H.E.; Tan, A.Y.; Giambrone, A.E.; et al. Pancreatic Cysts in Autosomal Dominant Polycystic Kidney Disease: Prevalence and Association with PKD2 Gene Mutations. Radiology 2016, 280, 762–770. [Google Scholar] [CrossRef] [PubMed]
- diIorio, P.; Rittenhouse, A.R.; Bortell, R.; Jurczyk, A. Role of cilia in normal pancreas function and in diseased states. Birth Defects Res. C Embryo Today Rev. 2014, 102, 126–138. [Google Scholar] [CrossRef]
- McNicholas, B.A.; Kotaro, Y.; Martin, W.; Sharma, A.; Kamath, P.S.; Edwards, M.E.; Kremers, W.K.; Chari, S.T.; Torres, V.E.; Harris, P.C.; et al. Pancreatic Cysts and Intraductal Papillary Mucinous Neoplasm in Autosomal Dominant Polycystic Kidney Disease. Pancreas 2019, 48, 698–705. [Google Scholar] [CrossRef]
- Yin, X.; Prince, W.K.; Blumenfeld, J.D.; Zhang, W.; Donahue, S.; Bobb, W.O.; Rennert, H.; Askin, G.; Barash, I.; Prince, M.R. Spleen phenotype in autosomal dominant polycystic kidney disease. Clin. Radiol. 2019, 74, e17–e975. [Google Scholar] [CrossRef]
- Capelli, I.; Zoli, M.; Righini, M.; Faccioli, L.; Aiello, V.; Spinardi, L.; Gori, D.; Friso, F.; Rustici, A.; Bortolotti, C.; et al. MR Brain Screening in ADPKD Patients: To Screen or not to Screen? Clin. Neuroradiol. 2022, 32, 69–78. [Google Scholar] [CrossRef]
- Shigemori, K.; Higashihara, E.; Itoh, M.; Yoshida, H.; Yamamoto, K.; Nutahara, K.; Shiokawa, Y.; Kaname, S.; Tambo, M.; Yamaguchi, T.; et al. PKD1-Associated Arachnoid Cysts in Autosomal Dominant Polycystic Kidney Disease. J. Stroke Cerebrovasc. Dis. 2021, 30, 105943. [Google Scholar] [CrossRef]
- Krauer, F.; Ahmadli, U.; Kollias, S.; Bleisch, J.; Wüthrich, R.P.; Serra, A.L.; Poster, D. Growth of arachnoid cysts in patients with autosomal dominant polycystic kidney disease: Serial imaging and clinical relevance. Clin. Kidney J. 2012, 5, 405–411. [Google Scholar] [CrossRef]
- Hall, S.; Smedley, A.; Sparrow, O.; Mathad, N.; Waters, R.; Chakraborty, A.; Tsitouras, V. Natural History of Intracranial Arachnoid Cysts. World Neurosurg. 2019, 126, e1315–e1320. [Google Scholar] [CrossRef]
- Wijdicks, E.F.; Torres, V.; Schievink, W. Chronic subdural hematoma in autosomal dominant polycystic kidney disease. Am. J. Kidney Dis. 2000, 35, 40–43. [Google Scholar] [CrossRef]
- Schievink, W.I.; Torres, V. Spinal meningeal diverticula in autosomal dominant polycystic kidney disease. Lancet 1997, 349, 1223–1224. [Google Scholar] [CrossRef]
- Zhang, W.; Stephens, C.J.; Blumenfeld, J.D.; Behzadi, A.H.; Donahue, S.; Bobb, W.O.; Newhouse, J.H.; Rennert, H.; Zhao, Y.; Prince, M.R. Relationship of Seminal Megavesicles, Prostate Median Cysts, and Genotype in Autosomal Dominant Polycystic Kidney Disease. J. Magn. Reson. Imaging 2019, 49, 894–903. [Google Scholar] [CrossRef]
- Wang, R.; Li, W.; Dai, H.; Zhu, M.; Li, L.; Si, G.; Bai, Y.; Wu, H.; Hu, X.; Xing, Y. PKD1 deficiency induces Bronchiectasis in a porcine ADPKD model. Respir. Res. 2022, 23, 292. [Google Scholar] [CrossRef]
- Hogan, M.C.; Simmons, K.; Ullman, L., Jr.; Gondal, M.; Dahl, N.K. Beyond Loss of Kidney Function: Patient Care in Autosomal Dominant Polycystic Kidney Disease. Kidney 360 2023, 4, 1806–1815. [Google Scholar] [CrossRef]
- Heinonen, P.K.; Vuento, M.; Maunola, M.; Ala-Houhala, I. Ovarian manifestations in women with autosomal dominant polycystic kidney disease. Am. J. Kidney Dis. 2002, 40, 504–507. [Google Scholar] [CrossRef]
- Kim, K.; Drummond, I.; Ibraghimov-Beskrovnaya, O.; Klinger, K.; Arnaout, M.A. Polycystin 1 is required for the structural integrity of blood vessels. Proc. Natl. Acad. Sci. USA 2000, 97, 1731–1736. [Google Scholar] [CrossRef] [PubMed]
- Gulati, A.; Watnick, T. Vascular Complications in Autosomal Dominant Polycystic Kidney Disease: Perspectives, Paradigms, and Current State of Play. Adv. Kidney Dis. Health 2023, 30, 429–439. [Google Scholar] [CrossRef] [PubMed]
- Perrone, R.D.; Malek, A.; Watnick, T. Vascular complications in autosomal dominant polycystic kidney disease. Nat. Rev. Nephrol. 2015, 11, 589–598. [Google Scholar] [CrossRef] [PubMed]
- Qian, Q.; Li, M.; Cai, Y.; Ward, C.J.; Somlo, S.; Harris, P.C.; Torres, V.E. Analysis of the polycystins in aortic vascular smooth muscle cells. J. Am. Soc. Nephrol. 2003, 14, 2280–2287. [Google Scholar] [CrossRef]
- Torres, V.E.; Cai, Y.; Chen, X.I.; Wu, G.Q.; Geng, L.I.; Cleghorn, K.A.; Johnson, C.M.; Somlo, S. Vascular expression of polycystin-2. J. Am. Soc. Nephrol. 2001, 12, 1–9. [Google Scholar] [CrossRef]
- Garcia-Gonzalez, M.A.; Outeda, P.; Zhou, Q.; Zhou, F.; Menezes, L.F.; Qian, F.; Huso, D.L.; Germino, G.G.; Piontek, K.B.; Watnick, T. Pkd1 and Pkd2 are required for normal placental development. PLoS ONE 2010, 5, e12821. [Google Scholar] [CrossRef]
- Nauli, S.M.; Kawanabe, Y.; Kaminski, J.J.; Pearce, W.J.; Ingber, D.E.; Zhou, J. Endothelial cilia are fluid shear sensors that regulate calcium signaling and nitric oxide production through polycystin-1. Circulation 2008, 117, 1161–1171. [Google Scholar] [CrossRef]
- AbouAlaiwi, W.A.; Takahashi, M.; Mell, B.R.; Jones, T.J.; Ratnam, S.; Kolb, R.J.; Nauli, S.M. Ciliary polycystin-2 is a mechanosensitive calcium channel involved in nitric oxide signaling cascades. Circ. Res. 2009, 104, 860–869. [Google Scholar] [CrossRef]
- Sharif-Naeini, R.; Folgering, J.H.; Bichet, D.; Duprat, F.; Lauritzen, I.; Arhatte, M.; Jodar, M.; Dedman, A.; Chatelain, F.C.; Schulte, U.; et al. Polycystin-1 and -2 dosage regulates pressure sensing. Cell 2009, 139, 587–596. [Google Scholar] [CrossRef] [PubMed]
- Sanchis, I.M.; Shukoor, S.; Irazabal, M.V.; Madsen, C.D.; Chebib, F.T.; Hogan, M.C.; El-Zoghby, Z.; Harris, P.C.; Huston, J.; Brown, R.D.; et al. Presymptomatic Screening for Intracranial Aneurysms in Patients with Autosomal Dominant Polycystic Kidney Disease. Clin. J. Am. Soc. Nephrol. 2019, 14, 1151–1160. [Google Scholar] [CrossRef] [PubMed]
- Zhou, Z.; Xu, Y.; Delcourt, C.; Shan, J.; Li, Q.; Xu, J.; Hackett, M.L. Is Regular Screening for Intracranial Aneurysm Necessary in Patients with Autosomal Dominant Polycystic Kidney Disease? System. Rev. Meta Anal. Cerebrovasc. Dis. 2017, 44, 75–82. [Google Scholar] [CrossRef] [PubMed]
- Haemmerli, J.; Morel, S.; Georges, M.; Haidar, F.; Chebib, F.T.; Morita, A.; Nozaki, K.; Tominaga, T.; Bervitskiy, A.V.; Rzaev, J.; et al. Characteristics and Distribution of Intracranial Aneurysms in Patients with Autosomal Dominant Polycystic Kidney Disease Compared with the General Population: A Meta-Analysis. Kidney360 2023, 4, e466–e475. [Google Scholar] [CrossRef] [PubMed]
- Xu, H.W.; Yu, S.Q.; Mei, C.L.; Li, M.H. Screening for intracranial aneurysm in 355 patients with autosomal-dominant polycystic kidney disease. Stroke 2011, 42, 204–206. [Google Scholar] [CrossRef] [PubMed]
- Niemczyk, M.; Gradzik, M.; Niemczyk, S.; Bujko, M.; Gołębiowski, M.; Pączek, L. Intracranial aneurysms in autosomal dominant polycystic kidney disease. AJNR Am. J. Neuroradiol. 2013, 34, 1556–1559. [Google Scholar] [CrossRef]
- Guo, X.; Gao, L.; Shi, Z.; Liu, D.; Wang, Y.; Sun, Z.; Chen, Y.; Chen, W.; Yang, Y. Intracranial Arterial Fenestration and Risk of Aneurysm: A Systematic Review and Meta-Analysis. World Neurosurg. 2018, 115, e592–e598. [Google Scholar] [CrossRef]
- Pascalau, R.; Padurean, V.A.; Bartos, D.; Bartos, A.; Szabo, B.A. The Geometry of the Circle of Willis Anatomical Variants as a Potential Cerebrovascular Risk Factor. Turk. Neurosurg. 2019, 29, 151–158. [Google Scholar] [CrossRef]
- Wiebers, D.O. Unruptured intracranial aneurysms: Natural history, clinical outcome, and risks of surgical and endovascular treatment. Lancet 2003, 362, 103–110. [Google Scholar] [CrossRef]
- Schievink, W.I.; Torres, V.E.; Piepgras, D.G.; Wiebers, D.O. Saccular intracranial aneurysms in autosomal dominant polycystic kidney disease. J. Am. Soc. Nephrol. 1992, 3, 88–95. [Google Scholar] [CrossRef]
- Rozenfeld, M.N.; Ansari, S.A.; Mohan, P.; Shaibani, A.; Russell, E.J.; Hurley, M.C. Autosomal Dominant Polycystic Kidney Disease and Intracranial Aneurysms: Is There an Increased Risk of Treatment? AJNR Am. J. Neuroradiol. 2016, 37, 290–293. [Google Scholar] [CrossRef]
- Kuo, I.Y.; Chapman, A. Polycystins, ADPKD, and Cardiovascular Disease. Kidney Int. Rep. 2020, 5, 396–406. [Google Scholar] [CrossRef]
- Sagar, P.S.; Rangan, G.K. Cardiovascular Manifestations and Management in ADPKD. Kidney Int. Rep. 2023, 8, 1924–1940. [Google Scholar] [CrossRef]
- Timio, M.; Monarca, C.; Pede, S.; Gentili, S.; Verdura, C.; Lolli, S. The spectrum of cardiovascular abnormalities in autosomal dominant polycystic kidney disease: A 10-year follow-up in a five-generation kindred. Clin. Nephrol. 1992, 37, 245–251. [Google Scholar]
- Hossack, K.F.; Leddy, C.L.; Johnson, A.M.; Schrier, R.W.; Gabow, P.A. Echocardiographic findings in autosomal dominant polycystic kidney disease. N. Engl. J. Med. 1988, 319, 907–912. [Google Scholar] [CrossRef]
- Pfeferman, M.B.; Rocha, D.R.; Rodrigues, F.G.; Pfeferman, E.; Heilberg, I.P. Echocardiographic Abnormalities in Autosomal Dominant Polycystic Kidney Disease (ADPKD) Patients. J. Clin. Med. 2022, 11, 5982. [Google Scholar] [CrossRef]
- Arjune, S.; Grundmann, F.; Todorova, P.; Hendrix, C.; Pfister, R.; Ten Freyhaus, H.; Müller, R.U. Cardiac Manifestations in Patients with Autosomal Dominant Polycystic Kidney Disease (ADPKD): A Single-Center Study. Kidney360 2023, 4, 150–161. [Google Scholar] [CrossRef]
- Kuo, I.Y. Defining Cardiac Dysfunction in ADPKD. Kidney360 2023, 4, 126–127. [Google Scholar] [CrossRef]
- Chebib, F.T.; Hogan, M.C.; El-Zoghby, Z.M.; Irazabal, M.V.; Senum, S.R.; Heyer, C.M.; Madsen, C.D.; Cornec-Le Gall, E.; Behfar, A.; Harris, P.C.; et al. Autosomal Dominant Polycystic Kidney Patients May Be Predisposed to Various Cardiomyopathies. Kidney Int. Rep. 2017, 2, 913–923. [Google Scholar]
- Gigante, A.; Perrotta, A.M.; Tinti, F.; Assanto, E.; Muscaritoli, M.; Lai, S.; Cianci, R. Assessment of cardiovascular disease in ADPKD. Appl. Sci. 2023, 13, 7175. [Google Scholar] [CrossRef]
- Xiao, Z.S.; Quarles, L. Role of the polycytin-primary cilia complex in bone development and mechanosensing. Ann. N. Y. Acad. Sci. 2010, 1192, 410–421. [Google Scholar] [CrossRef]
- Gitomer, B.; Pereira, R.; Salusky, I.B.; Stoneback, J.W.; Isakova, T.; Cai, X.; Dalrymple, L.S.; Ofsthun, N.; You, Z.; Malluche, H.H.; et al. Mineral bone disease in autosomal dominant polycystic kidney disease. Kidney Int. 2021, 99, 977–985. [Google Scholar] [CrossRef]
- Xiao, Z.; Zhang, S.; Magenheimer, B.S.; Luo, J.; Quarles, L.D. Polycystin-1 regulates skeletogenesis through stimulation of the osteoblast-specific transcription factor RUNX2-II. J. Biol. Chem. 2008, 283, 12624–12634. [Google Scholar] [CrossRef]
- Xiao, Z.; Zhang, S.; Mahlios, J.; Zhou, G.; Magenheimer, B.S.; Guo, D.; Dallas, S.L.; Maser, R.; Calvet, J.P.; Bonewald, L.; et al. Cilia-like structures and polycystin-1 in osteoblasts/osteocytes and associated abnormalities in skeletogenesis and Runx2 expression. J. Biol. Chem. 2006, 281, 30884–30895. [Google Scholar] [CrossRef]
- Mekahli, D.; Bacchetta, J. From bone abnormalities to mineral metabolism dysregulation in autosomal dominant polycystic kidney disease. Pediatr. Nephrol. 2013, 28, 2089–2096. [Google Scholar] [CrossRef]
- Pereira, R.C.; Gitomer, B.Y.; Chonchol, M.; Harris, P.C.; Noche, K.J.; Salusky, I.B.; Albrecht, L.V. Characterization of Primary Cilia in Osteoblasts Isolated from Patients with ADPKD and CKD. JBMR Plus 2021, 5, e10464. [Google Scholar] [CrossRef]
- Pavik, I.; Jaeger, P.; Kistler, A.D.; Poster, D.; Krauer, F.; Cavelti-Weder, C.; Rentsch, K.M.; Wüthrich, R.P.; Serra, A.L. Patients with autosomal dominant polycystic kidney disease have elevated fibroblast growth factor 23 levels and a renal leak of phosphate. Kidney Int. 2011, 79, 234–240. [Google Scholar] [CrossRef] [PubMed]
- Pavik, I.; Jaeger, P.; Ebner, L.; Poster, D.; Krauer, F.; Kistler, A.D.; Rentsch, K.; Andreisek, G.; Wagner, C.A.; Devuyst, O.; et al. Soluble klotho and autosomal dominant polycystic kidney disease. Clin. J. Am. Soc. Nephrol. 2012, 7, 248–257. [Google Scholar] [CrossRef] [PubMed]
- Zubidat, D.; Hanna, C.; Randhawa, A.K.; Smith, B.H.; Chedid, M.; Kaidbay, D.N.; Nardelli, L.; Mkhaimer, Y.G.; Neal, R.M.; Madsen, C.D.; et al. Bone health in autosomal dominant polycystic kidney disease (ADPKD) patients after kidney transplantation. Bone Rep. 2023, 18, 101655. [Google Scholar] [CrossRef] [PubMed]


| Organ | Medical Therapy | Surgical Treatment |
|---|---|---|
| Liver | Somatostatin analogues | Aspiration sclerotherapy Fenestration Hepatic resection Liver transplant |
| Pancreas | Insulin Replacement pancreatic enzymes | Resection of malignant IPMN |
| Spleen | --- | --- |
| Brain | --- | AC removal |
| Vascular | --- | Evaluated on a case-by-case basis |
| Heart | ACEi, ARB, or MRA | Surgical correction |
| Bone | --- | --- |
Disclaimer/Publisher’s Note: The statements, opinions and data contained in all publications are solely those of the individual author(s) and contributor(s) and not of MDPI and/or the editor(s). MDPI and/or the editor(s) disclaim responsibility for any injury to people or property resulting from any ideas, methods, instructions or products referred to in the content. |
© 2024 by the authors. Licensee MDPI, Basel, Switzerland. This article is an open access article distributed under the terms and conditions of the Creative Commons Attribution (CC BY) license (https://creativecommons.org/licenses/by/4.0/).
Share and Cite
Righini, M.; Mancini, R.; Busutti, M.; Buscaroli, A. Autosomal Dominant Polycystic Kidney Disease: Extrarenal Involvement. Int. J. Mol. Sci. 2024, 25, 2554. https://doi.org/10.3390/ijms25052554
Righini M, Mancini R, Busutti M, Buscaroli A. Autosomal Dominant Polycystic Kidney Disease: Extrarenal Involvement. International Journal of Molecular Sciences. 2024; 25(5):2554. https://doi.org/10.3390/ijms25052554
Chicago/Turabian StyleRighini, Matteo, Raul Mancini, Marco Busutti, and Andrea Buscaroli. 2024. "Autosomal Dominant Polycystic Kidney Disease: Extrarenal Involvement" International Journal of Molecular Sciences 25, no. 5: 2554. https://doi.org/10.3390/ijms25052554
APA StyleRighini, M., Mancini, R., Busutti, M., & Buscaroli, A. (2024). Autosomal Dominant Polycystic Kidney Disease: Extrarenal Involvement. International Journal of Molecular Sciences, 25(5), 2554. https://doi.org/10.3390/ijms25052554

