A Rare Case Report of Wunderlich Syndrome in a Chronic Hemodialysis Patient
Abstract
1. Introduction and Clinical Significance
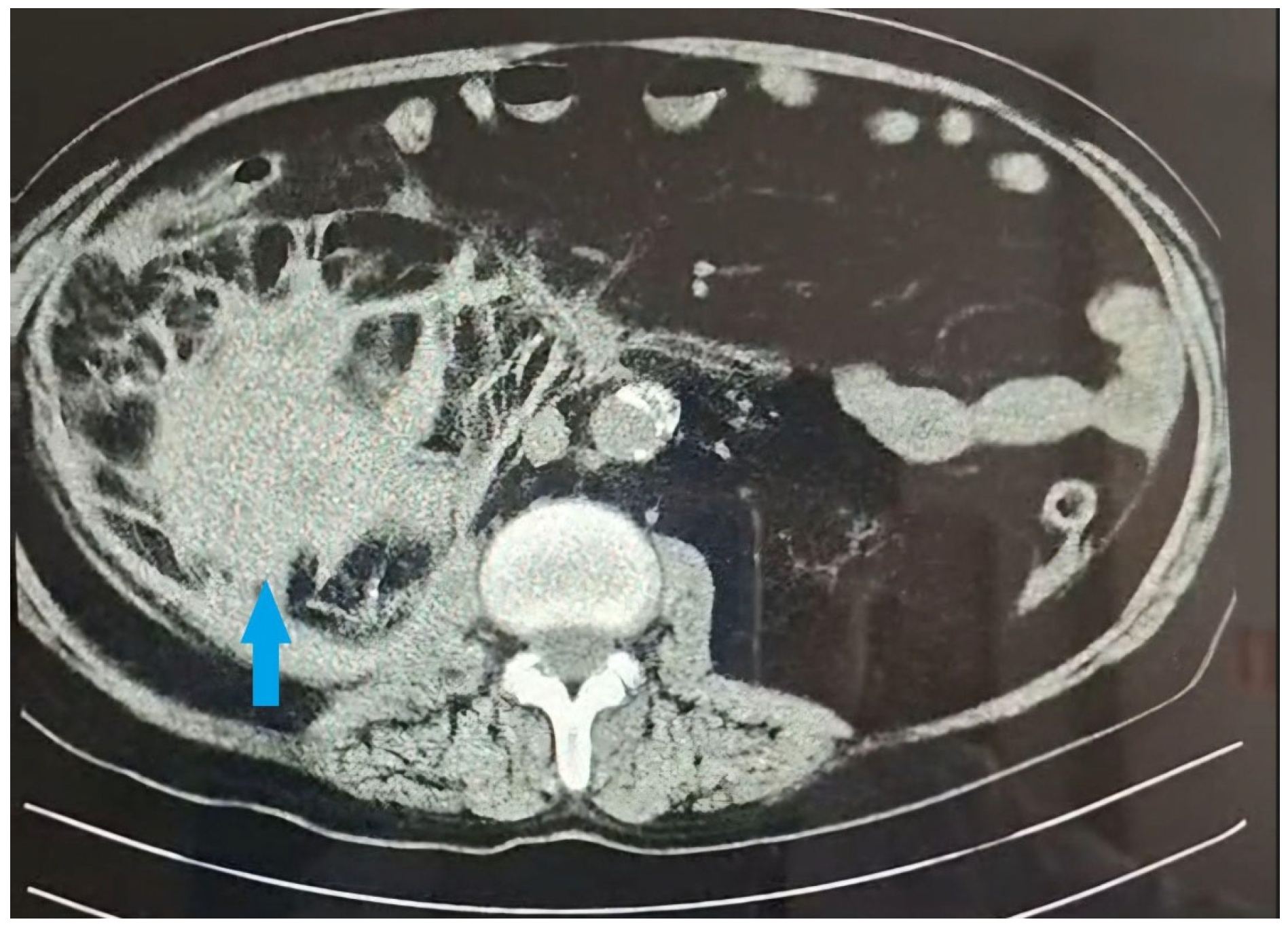
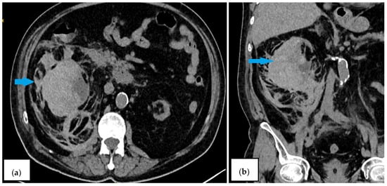
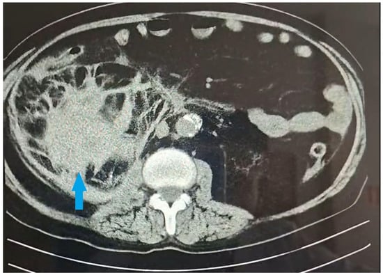
2. Case Presentation
3. Discussion
4. Conclusions
Author Contributions
Funding
Institutional Review Board Statement
Informed Consent Statement
Data Availability Statement
Conflicts of Interest
References
- Shah, J.N.; Gandhi, D.; Prasad, S.R.; Sandhu, P.K.; Banker, H.; Molina, R.; Khan, M.S.; Garg, T.; Katabathina, V.S. Wunderlich Syndrome: Comprehensive Review of Diagnosis and Management. Radiographics 2023, 43, e220172. [Google Scholar] [CrossRef] [PubMed]
- Malek-Marín, T.; Arenas, D.; Gil, T.; Moledous, A.; Okubo, M.; Arenas, J.J.; Morales, A.; Cotilla, E. Spontaneous Retroperitoneal Hemorrhage in Dialysis: A Presentation of 5 Cases and Review of the Literature. Clin. Nephrol. 2010, 74, 229–244. [Google Scholar] [CrossRef] [PubMed]
- Tonolini, M.; Ierardi, A.M.; Carrafiello, G. Letter to the Editor: Spontaneous Renal Haemorrhage in End-Stage Renal Disease. Insights Imaging 2015, 6, 693–695. [Google Scholar] [CrossRef] [PubMed]
- Lynch, E.; Gaines, J.; James, J.; Aro, T.; Hoenig, D.; Okeke, Z.; Smith, A.; Rai, A. Informing an Approach to the Subcapsular Renal Hematoma (SRH): A Ten-Year Review of the Natural History and Progression of SRH. J. Urol. 2023, 209 (Suppl. 4). [Google Scholar] [CrossRef]
- Paudel, S.; Steinberg, P.; Denker, B. Spontaneous Renal Hemorrhage: Case Report and Review of the Literature. Res. Sq. 2022, Preprint. [Google Scholar] [CrossRef]
- Marquez, M.M.A.; Lim, A.S.; Guiritan, A.T.R. Wunderlich Syndrome in a Patient with ESKD Diagnosed with COVID-19: A Case Report: TH-PO1150. J. Am. Soc. Nephrol. 2024, 35(10S). [Google Scholar] [CrossRef]
- Ocak, G.; Rookmaaker, M.B.; Algra, A.; de Borst, G.J.; Doevendans, P.A.; Kappelle, L.J.; Verhaar, M.C.; Visseren, F.L.; van der Graaf, Y.; Grobbee, D.E.; et al. Chronic Kidney Disease and Bleeding Risk in Patients at High Cardiovascular Risk: A Cohort Study. J. Thromb. Haemost. 2018, 16, 65–73. [Google Scholar] [CrossRef] [PubMed]
- Salman, Ş. Uremic Bleeding: A concise review. Anatol. J. Gen. Med. Res. 1994, 4, 7–13. [Google Scholar] [CrossRef]
- Nunns, G.R.; Moore, E.E.; Chapman, M.P.; Moore, H.B.; Stettler, G.R.; Peltz, E.; Burlew, C.C.; Silliman, C.C.; Banerjee, A.; Sauaia, A. The Hypercoagulability Paradox of Chronic Kidney Disease: The Role of Fibrinogen. Am. J. Surg. 2017, 214, 1215–1218. [Google Scholar] [CrossRef] [PubMed]
- Degrassi, F.; Quaia, E.; Martingano, P.; Cavallaro, M.; Cova, M.A. Imaging of haemodialysis: Renal and extrarenal findings. Insights Imaging 2015, 6, 309–321. [Google Scholar] [CrossRef] [PubMed]
- Kajikawa, M.; Tanji, H.; Higashi, Y. Spontaneous renal hemorrhage in acquired cystic kidney disease. J. Gen. Fam. Med. 2020, 22, 94–95. [Google Scholar] [CrossRef] [PubMed]
- Bluhm, K.; Kundeti, R.; Maguire, N. A case report of Wünderlich syndrome causing massive hemorrhage during hemodialysis. Clin. Pract. Cases Emerg. Med. 2024, 8, 215–218. [Google Scholar] [CrossRef] [PubMed]
- Biyik, Z.; Solak, Y.; Gaipov, A.; Ozbek, O.; Esen, H.; Turk, S. Spontaneous retroperitoneal hemorrhage presenting as hemoperitoneum secondary to renal cyst rupture in a peritoneal dialysis patient with acquired cystic kidney disease. Indian J. Nephrol. 2014, 25, 251. [Google Scholar] [CrossRef]
- Gaffoor, N.; Mysorekar, V.V.; Gunadal, S.; Divyashree, B.N.; Sandeepa, S.; Murali, N. Wunderlich Syndrome: A Rare Case Associated with Bleeding Renal Angiomyolipoma (AML). Indian J. Nephrol. 2023, 34, 271–273. [Google Scholar] [CrossRef] [PubMed]
- Wunderlich Syndrome as the First Manifestation of Renal Cell Carcinoma. PubMed. Available online: https://pubmed.ncbi.nlm.nih.gov/20535702/ (accessed on 10 June 2010).
- Kawahara, T.; Kawahara, K.; Ito, H.; Yamaguchi, S.; Mitsuhashi, H.; Makiyama, K.; Uemura, H.; Sakai, M.; Kubota, Y. Spontaneous Renal Hemorrhage in Hemodialysis Patients. Case Rep. Nephrol. Urol. 2011, 1, 1–6. [Google Scholar] [CrossRef] [PubMed]
- Scarpioni, R.; Ricardi, M.; Albertazzi, V.; De Amicis, S.; Rastelli, F.; Zerbini, L. Dialysis-related amyloidosis: Challenges and solutions. International J. Nephrol. Renov. Dis. 2016, 9, 319–328. [Google Scholar] [CrossRef] [PubMed]
- El Abidi, H.; Ibrahimi, A.; El Aboudi, A.; Mikou, M.A.; Boualaoui, I.; Labbi, Z.; El Aoufir, O.; Fikri, M.; El Sayegh, H.; Nouini, Y. Management of Spontaneous Subscapular Renal Hemorrhage: A Multidisciplinary and Hybrid Approach to Wunderlich Syndrome. Radiol. Case Rep. 2025, 20, 3106–3110. [Google Scholar] [CrossRef] [PubMed]
- Liu, Y. Cellular and molecular mechanisms of renal fibrosis. Nat. Rev. Nephrol. 2011, 7, 684–696. [Google Scholar] [CrossRef] [PubMed]
- Bermudez-Gonzalez, J.L.; Rodríguez-Encinas, B.; Beverido-Florido, Á.M.; Gabutti-Thomas, J.A. Spontaneous subcapsular renal hematoma as cause of hypovolemic shock in a chronic hemodialysis patient. Case Rep. Radiol. 2023, 2023, 5570992. [Google Scholar] [CrossRef] [PubMed]
- Giovini, M.; Poggiali, E.; Zocchi, P.; Bianchi, E.; Antonucci, E.; Barbera, M. A case of spontaneous renal haemorrhage (Wunderlich syndrome) in an anticoagulated patient. Eur. J. Case Rep. Intern. Med. 2022, 9, 003269. [Google Scholar] [CrossRef] [PubMed]
- Maltês, S.; Gouveia, C.C.; Serrazina, F.; Rebelo, M. Life-Threatening Wunderlich Syndrome Associated with Apixaban and the Complexity of Anticoagulation Management in Bleeding Patients: A Case Report. Acta Médica Port. 2022, 36, 206–209. [Google Scholar] [CrossRef] [PubMed]
- Park, D.; Southern, W.; Calvo, M.; Kushnir, M.; Solorzano, C.; Sinnet, M.; Billett, H.H. Treatment with Dalteparin is Associated with a Lower Risk of Bleeding Compared to Treatment with Unfractionated Heparin in Patients with Renal Insufficiency. J. Gen. Intern. Med. 2015, 31, 182–187. [Google Scholar] [CrossRef] [PubMed]
- Lazrak, H.H.; René, E.; Elftouh, N.; Lafrance, J.-P. Association between Low-Molecular-Weight heparin and risk of bleeding among hemodialysis patients: A retrospective cohort study. Can. J. Kidney Health Dis. 2018, 5, 2054358118792010. [Google Scholar] [CrossRef] [PubMed]
- Kaul, S.; Shah, P.K. Low molecular weight heparin in acute coronary syndrome: Evidence for superior or equivalent efficacy compared with unfractionated heparin? J. Am. Coll. Cardiol. 2000, 35, 1699–1712. [Google Scholar] [CrossRef] [PubMed]
- Verhave, G.; Weijmer, M.C.; van Jaarsveld, B.C. Anticoagulation with dalteparin and nadroparin in nocturnal haemodialysis. Neth. J. Med. 2015, 73, 270–275. [Google Scholar] [PubMed]
- Wang, Q.; Xie, X.; Xu, G. The risk of bleeding for antiplatelet agents in Haemodialysis patients: A Meta-analysis. BMC Nephrol. 2020, 21, 106. [Google Scholar] [CrossRef] [PubMed]
- Danielle, F.; Lionel, E.; Elvire, D.; Nasser, A.; Josiane, N.; Patrice, H.; Eveline, N. Evaluation of Bleeding Risk by Hemostatic Parameters in Hemodialysis at the Douala General Hospital: Comparison between Patients on Hemodialysis before 3 Months and after 12 Months. Open J. Nephrol. 2023, 13, 31–38. [Google Scholar] [CrossRef]
- Kim, J.-K.; Ha, S.; Lee, J.W. Bilateral Spontaneous Perirenal Haemorrhage in a Patient on Haemodialysis. NDT Plus 2009, 2, 412–414. [Google Scholar] [CrossRef]
- Baishya, R.K.; Dhawan, D.R.; Sabnis, R.B.; Desai, M.R. Spontaneous Subcapsular Renal Hematoma: A Case Report and Review of Literature. Urol. Ann. 2011, 3, 44–46. [Google Scholar] [CrossRef] [PubMed]
- Serafetinidis, E.; Campos-Juanatey, F.; Hallscheidt, P.; Mahmud, H.; Mayer, E.; Schouten, N.; Sharma, D.M.; Waterloos, M.; Zimmermann, K.; Kitrey, N.D. Summary Paper of the updated 2023 European Association of Urology Guidelines on Urological Trauma. Eur. Urol. Focus 2023, 10, 475–485. [Google Scholar] [CrossRef] [PubMed]
- Baboudjian, M.; Gondran-Tellier, B.; Panayotopoulos, P.; Hutin, M.; Olivier, J.; Ruggiero, M.; Dominique, I.; Millet, C.; Bergerat, S.; Freton, L.; et al. Factors predictive of selective angioembolization failure for moderate- to high-grade renal trauma: A French multi-institutional study. Eur. Urol. Focus 2021, 8, 253–258. [Google Scholar] [CrossRef] [PubMed]


| Types of Management | Indications |
|---|---|
|
|
|
|
Disclaimer/Publisher’s Note: The statements, opinions and data contained in all publications are solely those of the individual author(s) and contributor(s) and not of MDPI and/or the editor(s). MDPI and/or the editor(s) disclaim responsibility for any injury to people or property resulting from any ideas, methods, instructions or products referred to in the content. |
© 2025 by the authors. Licensee MDPI, Basel, Switzerland. This article is an open access article distributed under the terms and conditions of the Creative Commons Attribution (CC BY) license (https://creativecommons.org/licenses/by/4.0/).
Share and Cite
Artinyan, E.; Valcheva, E.; Vaysilova, M.; Dimov, N. A Rare Case Report of Wunderlich Syndrome in a Chronic Hemodialysis Patient. Reports 2025, 8, 121. https://doi.org/10.3390/reports8030121
Artinyan E, Valcheva E, Vaysilova M, Dimov N. A Rare Case Report of Wunderlich Syndrome in a Chronic Hemodialysis Patient. Reports. 2025; 8(3):121. https://doi.org/10.3390/reports8030121
Chicago/Turabian StyleArtinyan, Elizabeth, Evelina Valcheva, Marina Vaysilova, and Nikolay Dimov. 2025. "A Rare Case Report of Wunderlich Syndrome in a Chronic Hemodialysis Patient" Reports 8, no. 3: 121. https://doi.org/10.3390/reports8030121
APA StyleArtinyan, E., Valcheva, E., Vaysilova, M., & Dimov, N. (2025). A Rare Case Report of Wunderlich Syndrome in a Chronic Hemodialysis Patient. Reports, 8(3), 121. https://doi.org/10.3390/reports8030121

