Sign in to use this feature.

Years

Between: -

Subjects

remove_circle_outline
remove_circle_outline
remove_circle_outline
remove_circle_outline
remove_circle_outline
remove_circle_outline
remove_circle_outline

Journals

Article Types

Countries / Regions

Search Results (114)

Search Parameters:
Keywords = cathepsin determination

Order results
Result details
Results per page
Select all
Export citation of selected articles as:
37 pages, 5780 KB  
Article
Structural and Proteomic Analysis of the Mouse Cathepsin B-DARPin 4m3 Complex Reveals Species-Specific Binding Determinants
by Miki Zarić, Livija Tušar, Lovro Kramer, Olga Vasiljeva, Matej Novak, Francis Impens, Aleksandra Usenik, Kris Gevaert, Dušan Turk and Boris Turk
Int. J. Mol. Sci. 2025, 26(24), 11910; https://doi.org/10.3390/ijms262411910 - 10 Dec 2025
Viewed by 128
Abstract
Cathepsin B (CatB) is a lysosomal cysteine protease that plays a major role in various pathologies and is therefore considered a valuable therapeutic target. To address species-specific inhibitor challenges, we characterized the selective binding of designed ankyrin repeat protein (DARPin) 4m3 toward mouse [...] Read more.
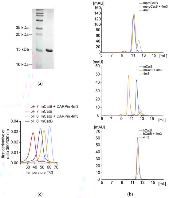
Cathepsin B (CatB) is a lysosomal cysteine protease that plays a major role in various pathologies and is therefore considered a valuable therapeutic target. To address species-specific inhibitor challenges, we characterized the selective binding of designed ankyrin repeat protein (DARPin) 4m3 toward mouse cathepsin B (mCatB) over human CatB (hCatB). The mCatB–DARPin 4m3 complex was validated by size-exclusion chromatography (SEC), nano-differential scanning fluorimetry (nano-DSF), and surface plasmon resonance (SPR), revealing high affinity binding (KD = 65.7 nM) and potent inhibition (Ki = 26.7 nM; mixed competitive/noncompetitive). DARPin 4m3 showed no binding/inhibition toward hCatB. The 1.67 Å crystal structure of the complex—the first for mCatB—identified key interaction residues (e.g., I65/Q66 in mCatB vs. S65/M66 in hCatB) conferring selectivity. Proteomic analysis of endogenous substrates using a support vector machine (SVM) revealed greater similarity between mCatB and hCatB cleavages (Area Under the Curve (AUC) = 0.733) than between mCatB and other human cathepsins (AUC = 0.939–0.965). Clustering and SVM methods offer broadly applicable tools for protease specificity profiling in drug discovery. This study demonstrates the utility of DARPins for species-selective targeting and highlights the importance of integrated structural and proteomic approaches for dissecting protein–protein interactions. Full article
(This article belongs to the Special Issue Advances in Protein Structure-Function and Drug Discovery)
Show Figures

Figure 1

19 pages, 2897 KB  
Article
Functional Analysis of Hyaluronidase-like Genes in Ovarian Development of Macrobrachium nipponense and Comparative Evaluation with Other Key Regulatory Genes
by Zhiming Wang, Hao Dong, Hui Qiao, Wenyi Zhang, Shubo Jin, Yiwei Xiong, Zhenghao Ye, Yan Gong, Sufei Jiang and Hongtuo Fu
Int. J. Mol. Sci. 2025, 26(21), 10748; https://doi.org/10.3390/ijms262110748 - 5 Nov 2025
Viewed by 364
Abstract
This study conducted a bioinformatic analysis of two Hyaluronidase-like isoforms (Mn-HyaL1 and Mn-HyaL2) in Macrobrachium nipponense and investigated their phylogenetic relationships. The open reading frames of Mn-HyaL1 and Mn-HyaL2 were 1101 bp (encoding 366 amino acids) and 1164 bp (encoding 387 [...] Read more.
This study conducted a bioinformatic analysis of two Hyaluronidase-like isoforms (Mn-HyaL1 and Mn-HyaL2) in Macrobrachium nipponense and investigated their phylogenetic relationships. The open reading frames of Mn-HyaL1 and Mn-HyaL2 were 1101 bp (encoding 366 amino acids) and 1164 bp (encoding 387 amino acids), respectively. Both isoforms exhibited similar conserved domains, with an amino acid sequence similarity of 60.21%. Quantitative PCR analysis revealed that the expression levels of Mn-HyaL1 and Mn-HyaL2 increased during the mid-to-late phase of each developmental stage, were higher during the reproductive season than in the non-reproductive season, and were more abundant in the hepatopancreas than in other tissues. RNA interference experiments targeting both genes simultaneously demonstrated that knockdown of Mn-HyaL2 significantly accelerated ovarian development in M. nipponense, indicating that Mn-HyaL genes function as negative regulators of ovarian maturation. A comparative analysis of multiple genes revealed the following descending order of potency in promoting ovarian development in M. nipponense: Mn-Cholesterol 7-desaturase > Mn-Cathepsin L1. The order of potency in inhibiting ovarian development in M. nipponense, from strongest to weakest, was determined to be Mn-Gonad-inhibiting hormone > Mn-HyaL2. Full article
Show Figures

Figure 1

13 pages, 296 KB  
Review
Potential of Proteases in the Diagnosis of Bladder Cancer
by Tomasz Guszcz, Zenon Lukaszewski, Ewa Gorodkiewicz and Adam Hermanowicz
Cancers 2025, 17(21), 3460; https://doi.org/10.3390/cancers17213460 - 28 Oct 2025
Viewed by 402
Abstract
Bladder carcinoma (BC) is evaluated as the ninth most common cancer worldwide and the sixth most common cancer among men. The determination of the occurrence and stage of the disease is a significant diagnostic task. An alternative to an invasive biopsy may be [...] Read more.
Bladder carcinoma (BC) is evaluated as the ninth most common cancer worldwide and the sixth most common cancer among men. The determination of the occurrence and stage of the disease is a significant diagnostic task. An alternative to an invasive biopsy may be the determination of biomarkers in patient samples such as bladder tissue, blood serum, plasma, or urine samples. The aim of this paper is to review reports on the role of proteases in bladder cancer and their determination in cancerous samples. Proteases can be classified in several groups depending on their catalytic residue, most commonly aspartic, cysteine, serine, metalloproteinases, and others. A review was made of papers reporting cysteine cathepsins: B, L, H, V, S, aspartyl cathepsin D, and metalloproteinases MMP 1, 2, 3, 7, 9, 10, 14, and 15, as well as ubiquitin-specific proteases USP 1, 2a and 5. The majority of the reviewed papers show an increase in marker concentration in bladder cancer samples versus a control. Only a few of them provide quantitative information about MMP biomarkers in bladder tissue (cancerous and control tissue), and none give such information about cathepsins. Levels of the order of µg/g protein are characteristic of MMP biomarkers in urinary bladder tissue. Most reported concentrations of proteases in blood serum/plasma and urine are at levels of ng/mL, both cancerous and control samples. It is concluded that the reviewed papers do not provide a clear picture concerning the use of proteases as bladder cancer biomarkers or concerning the levels of particular proteases in control samples. Potential new analytical tools for protease determination are discussed. More work in this area is necessary, especially by scientists equipped with new analytical tools. Full article
(This article belongs to the Section Cancer Causes, Screening and Diagnosis)
14 pages, 958 KB  
Article
Bone Marker Proteins in Women With and Without Polycystic Ovary Syndrome
by Benjamin M. L. Atkin, Thozhukat Sathyapalan, Laura Dempsey, Stephen L. Atkin and Alexandra E. Butler
Int. J. Mol. Sci. 2025, 26(21), 10273; https://doi.org/10.3390/ijms262110273 - 22 Oct 2025
Viewed by 492
Abstract
Hormonal alterations associated with polycystic ovary syndrome (PCOS) also impact bone metabolism, though it is unclear if this is bone-protective or not. Bone marker dysfunction has been reported in PCOS and appears to be associated with obesity. This study sought to determine whether [...] Read more.
Hormonal alterations associated with polycystic ovary syndrome (PCOS) also impact bone metabolism, though it is unclear if this is bone-protective or not. Bone marker dysfunction has been reported in PCOS and appears to be associated with obesity. This study sought to determine whether a panel of bone marker proteins (BMPs) would be dysregulated in PCOS stratified by BMI as a potential biomarker for bone in PCOS. In this exploratory cross-sectional study, plasma was collected from 234 women (137 with PCOS and 97 controls) from a biobank cohort and compared to a nonobese, non-insulin resistant population (24 with PCOS and 24 controls). Slow Off-rate Modified Aptamer (SOMA)-scan plasma protein measurement was undertaken for the following BMPs: sclerostin; Dickkopf-related protein-1; glycogen synthase kinase-3 alpha/beta; periostin; tumor necrosis factor ligand superfamily member 11; fibroblast growth factor 23; sphingosine kinase 1; sphingosine kinase 2; cathepsins A, B, D, E, G, L2, S and Z; parathyroid hormone; osteocalcin; tumor necrosis factor ligand superfamily member 11 (sRANKL) and interleukin-1 beta. Four BMPs differed in the PCOS cohort (whole set without matching for body mass index (BMI) or insulin resistance (IR)): periostin (p = 0.05), cathepsin L (p = 0.05) and osteocalcin (p = 0.02) decreased in PCOS, whilst cathepsin D (p = 0.02) increased; however, linear regression showed that only cathepsins D and L and osteocalcin differed. None of the BMPs differed in the nonobese women with and without PCOS, nor in obese PCOS and controls stratified by BMI greater than 30 kg/m2. In subgroup analysis, periostin (p = 0.001), sphingosine kinase 2 (p = 0.01) and cathepsin L (p = 0.001) were higher in obese versus nonobese PCOS (p = 0.01). Cathepsin Z (p = 0.02), sphingosine kinase 2 (p = 0.04) and lysosomal protective protein (p = 0.05) were lower in obese versus nonobese controls. Changes in BMPs indicative of impaired bone physiology were associated with BMI in both controls and PCOS, but did not differ between women with and without PCOS when BMI was matched. Hyperandrogenemia in PCOS did not affect BMP levels. Full article
(This article belongs to the Special Issue Molecular Insight into Bone Diseases)
Show Figures

Figure 1

11 pages, 739 KB  
Article
Influences of Chloride Salts on Enzymatic Activity, Lipid Oxidation and Volatile Compounds of Reduced-Sodium Salt Pastırma
by Barış Yalınkılıç, Fatma Yağmur Hazar Suncak, Güzin Kaban, Muhammet İrfan Aksu and Mükerrem Kaya
Appl. Sci. 2025, 15(19), 10390; https://doi.org/10.3390/app151910390 - 24 Sep 2025
Viewed by 670
Abstract
The study investigated the effects of chloride salts (control: 100% NaCl, salt mixture I: NaCl/KCl (50/50), salt mixture II: NaCl/KCl/CaCl2 (40/40/20), salt mixture III: NaCl/KCl/CaCl2/MgCl2 (30/40/20/10)) on enzymatic activity, lipid oxidation, and volatile compounds in reduced-sodium salt pastırma, a [...] Read more.
The study investigated the effects of chloride salts (control: 100% NaCl, salt mixture I: NaCl/KCl (50/50), salt mixture II: NaCl/KCl/CaCl2 (40/40/20), salt mixture III: NaCl/KCl/CaCl2/MgCl2 (30/40/20/10)) on enzymatic activity, lipid oxidation, and volatile compounds in reduced-sodium salt pastırma, a Turkish dry-cured meat product. Lipid oxidation and instrumental color values were not affected by different salt mixtures. Salt mixtures II and III decreased pH value (p < 0.05). However, the mean pH value did not fall below 5.5 in any sample. The salt mixture treatment had significant effect on water activity, cathepsin B, and cathepsin B + L. In contrast, aw value was under 0.90 in all treatments. The highest mean values for cathepsin B and B + L were determined in the control group with 11.69 ± 2.73 and 85.82 ± 12.65 U g−1 × 10−3 dry matter, respectively. The closest correlation for lipolytic enzyme activities was determined by the mixture II and III groups, while a closer correlation was observed between salt mixtures I and III in terms of proteolytic enzyme activities. With regard to volatile compounds, there was a closer relationship between the control and salt mixture I. As a result, it can be concluded that salt mixture I in reduced-sodium salt pastırma showed closer results to the control group. Full article
Show Figures

Figure 1

19 pages, 785 KB  
Article
HE4 as a Prognostic Biomarker of Major Adverse Cardiovascular Events in Patients with Abdominal Aortic Aneurysm: A Canadian Prospective Observational Study
by Hamzah Khan, Abdelrahman Zamzam, Farah Shaikh, Muhammad Mamdani, Gustavo Saposnik and Mohammad Qadura
Biomedicines 2025, 13(7), 1562; https://doi.org/10.3390/biomedicines13071562 - 26 Jun 2025
Viewed by 969
Abstract
Background: Abdominal aortic aneurysm (AAA) is a chronic inflammatory disease characterized by the proteolytic breakdown of the extracellular matrix. A clinical biomarker is needed for risk stratification and prognosis. Methods: In this single-center, 5-year observational study, 452 patients were enrolled: 343 with [...] Read more.
Background: Abdominal aortic aneurysm (AAA) is a chronic inflammatory disease characterized by the proteolytic breakdown of the extracellular matrix. A clinical biomarker is needed for risk stratification and prognosis. Methods: In this single-center, 5-year observational study, 452 patients were enrolled: 343 with AAA (≥3 cm), and 109 controls (<3 cm). Plasma levels of six inflammatory proteins (human epididymis protein 4 (HE4), matrix metalloproteinase (MMP) 1 and 3, cathepsin S, chitinase 3 like-1, cathepsin S, and B-cell activating factor (BAFF)) were quantified at baseline. Patients were followed for a total of 5 years (60 months), and major adverse cardiovascular events (MACEs, defined as the composite of myocardial infarction, cerebrovascular attack, and cardiovascular-related death) were recorded. A Cox proportional hazard model was created using biomarker levels, age, sex, hypertension, hypercholesterolemia, diabetes mellitus, smoking status, and coronary artery disease to determine whether the baseline levels of these proteins were associated with MACEs over 5 years. Results: HE4, MMP-3, BAFF, and cathepsin S levels were significantly elevated in AAA patients compared to controls (all p < 0.05). HE4/WFDC2, MMP-3, and Chitinase 3-like 1 were significantly linearly associated with AAA diameter at baseline. With every normalized unit increase in HE4/WFDC2, MMP-3, and Chitinase 3-like 1, there was an increase in abdominal aortic diameter by 0.154 (95% CI: 0.032–0.276, p = 0.013), 0.186 (95% CI: 0.064–0.309, p = 0.003), and 0.231 (0.110–0.353, p < 0.001) centimeters, respectively. Among patients with AAA, elevated HE4 was associated with higher risk of MACEs (adjusted HR 1.249; 95% CI: 1.057–1.476; p = 0.009). Patients with high baseline HE4 (≥9.338 ng/mL) had significantly lower freedom from MACEs at 5 years (76.7% vs. 84.8%, p = 0.022). Conclusions: HE4 may be a potential prognostic biomarker that can be used to risk stratify patients with AAA to better personalize treatment strategies to reduce adverse events. Full article
(This article belongs to the Section Molecular and Translational Medicine)
Show Figures

Figure 1

16 pages, 6463 KB  
Article
Decaying Oscillating Pulsed Magnetic Field Induces Lysosome-Dependent Cell Death in A375 Melanoma via Magneto-Mechanical Force
by Yan Mi, Jianli Wang, Sifan Tang, Chi Ma, Wei Zheng and Jiayu Chen
Magnetochemistry 2025, 11(4), 33; https://doi.org/10.3390/magnetochemistry11040033 - 14 Apr 2025
Cited by 1 | Viewed by 1698
Abstract
The synergistic application of magnetic fields and iron oxide nanorod particles (IONPs) presents a novel therapeutic approach for inducing lysosome-dependent cell death (LDCL) via magneto-mechanical force (MMF). This study demonstrates the efficacy of decaying oscillating pulsed magnetic fields (DOPMFs) to propel IONPs to [...] Read more.
The synergistic application of magnetic fields and iron oxide nanorod particles (IONPs) presents a novel therapeutic approach for inducing lysosome-dependent cell death (LDCL) via magneto-mechanical force (MMF). This study demonstrates the efficacy of decaying oscillating pulsed magnetic fields (DOPMFs) to propel IONPs to induce rapid tumor regression via lysosomal membrane permeabilization (LMP). The systematic evaluation of dose-dependent parameters revealed that DOPMF intensity and pulse number critically determine A375 melanoma cell viability reduction. Mechanistic investigations identified two hallmark biomarkers of LMP: increased cytosolic cathepsin B activity and downregulated LAMP-2 expression. Crucially, in vivo experiments using A375 melanoma-bearing mouse models corroborated the therapeutic potential of this approach, showing significant tumor growth inhibition without systemic toxicity or invasive procedures. Collectively, our findings demonstrate that MMF by IONPs under DOPMF stimulation exhibits significant efficacy in suppressing melanoma proliferation, offering a non-invasive, targeted approach for oncological intervention. Full article
(This article belongs to the Section Applications of Magnetism and Magnetic Materials)
Show Figures

Figure 1

15 pages, 2285 KB  
Article
Impaired SERPIN–Protease Balance in the Peripheral Lungs of Stable COPD Patients
by Antonino Di Stefano, Francesco Nucera, Umberto Rosani, Paola Brun, Isabella Gnemmi, Mauro Maniscalco, Silvestro Ennio D’Anna, Andrea Leonardi, Vitina Carriero, Francesca Bertolini, Josè Freni, Antonio Ieni, Sebastiano Gangemi, Paolo Ruggeri and Fabio Luigi Massimo Ricciardolo
Int. J. Mol. Sci. 2025, 26(7), 2832; https://doi.org/10.3390/ijms26072832 - 21 Mar 2025
Cited by 2 | Viewed by 1288
Abstract
The protease–antiprotease balance is involved in many biological processes, including blood coagulation, tissue remodeling, inflammation and immune responses. The aim of this study is to determine the balance between SERPINs and some related proteases in the lungs of stable COPD patients. In this [...] Read more.
The protease–antiprotease balance is involved in many biological processes, including blood coagulation, tissue remodeling, inflammation and immune responses. The aim of this study is to determine the balance between SERPINs and some related proteases in the lungs of stable COPD patients. In this cross-sectional study, the expression and localization of human SERPINs (anti-proteases) and some related proteases were measured in the lung parenchyma of mild-moderate COPD (MCOPD, n = 13) patients, control smokers (CS, n = 14) and control nonsmokers (CNS, n = 12) using transcriptome analysis, immunohistochemistry, and ELISA tests. Peripheral lung transcriptomic data showed increased mRNA levels of tissue plasminogen activator (tPA), cathepsin-L and caspase-1 as well as increased SERPINs A6, B3, B5, B11, B13 in the COPD group compared to the CNS group. At the protein level, IHC analysis showed that tPA and cathepsin-L increased in the bronchiolar epithelium and alveolar septa of the CS and COPD groups compared to the CNS group, as well as SERPINB5 and B13 in the alveolar macrophages and alveolar septa of the CS and COPD groups compared to the CNS group. SERPINA6 was shown to be decreased in the bronchiolar epithelium, bronchiolar lamina propria, and alveolar septa of the CS and COPD groups compared to the CNS group and was positively correlated with lung function. SERPINB3 was decreased in the alveolar septa of the CS group compared to the CNS group. The ELISA tests showed that in the total lung extracts, decreased levels of SERPINA6 and increased caspase-1 were shown in the COPD group compared to the CNS or both control groups, respectively. These data show an imbalance, at the protein level, of SERPINs and some related proteases in the lungs of the CS and stable COPD groups. These alterations may play a role in damaging the lung parenchyma of susceptible COPD patients. Full article
Show Figures

Figure 1

17 pages, 6414 KB  
Article
miR-204-5p Protects Nephrin from Enzymatic Degradation in Cultured Mouse Podocytes Treated with Nephrotoxic Serum
by George Haddad and Judith Blaine
Cells 2025, 14(5), 364; https://doi.org/10.3390/cells14050364 - 1 Mar 2025
Viewed by 1456
Abstract
Nephrin is an essential constituent of the slit diaphragm of the kidney filtering unit. Loss of nephrin expression leads to protein leakage into the urine, one of the hallmarks of kidney damage. Autoantibodies against nephrin have been reported in patients with minimal change [...] Read more.
Nephrin is an essential constituent of the slit diaphragm of the kidney filtering unit. Loss of nephrin expression leads to protein leakage into the urine, one of the hallmarks of kidney damage. Autoantibodies against nephrin have been reported in patients with minimal change disease and recurrent focal segmental glomerulosclerosis. Understanding the mechanism of nephrin loss may help improve or lead to the development of novel treatment strategies. In this study, we demonstrated the important function of miR-204-5p expression on the protection of nephrin from anti-nephrin antibodies present in nephrotoxic serum (NTS). In addition, we identified that aspartyl protease cathepsin D is one enzyme that may be involved in nephrin enzymatic degradation and that cathepsin D is a direct target of miR-204-5p gene regulation. The regulation of miR-204-5p expression was determined to be regulated by the long noncoding RNA Josd1-ps. In an NTS in vivo animal model, treatment with the pan aspartic protease inhibitor Pepstatin A ameliorated renal damage. Finally, we showed that the expression of miR-204-5p had a nephrin-protecting function in vitro. Developing a method of delivery of miR-204-5p specifically to podocytes in vivo may provide a novel method of nephroprotection against nephrin autoantibodies. Full article
Show Figures

Figure 1

21 pages, 2532 KB  
Article
α-Synuclein Degradation in Brain Pericytes Is Mediated via Akt, ERK, and p38 MAPK Signaling Pathways
by Miki Yokoya, Fuyuko Takata, Takuro Iwao, Junichi Matsumoto, Yasuyoshi Tanaka, Hisataka Aridome, Miho Yasunaga, Junko Mizoguchi, Kazunori Sano and Shinya Dohgu
Int. J. Mol. Sci. 2025, 26(4), 1615; https://doi.org/10.3390/ijms26041615 - 14 Feb 2025
Cited by 1 | Viewed by 2260
Abstract
Parkinson’s disease (PD) is characterized by widespread distribution of Lewy bodies, which are composed of phosphorylated and aggregated forms of α-Synuclein (α-Syn), in the brain. Although the accumulation and propagation of α-Syn contribute to the development of PD, the involvement of the blood–brain [...] Read more.
Parkinson’s disease (PD) is characterized by widespread distribution of Lewy bodies, which are composed of phosphorylated and aggregated forms of α-Synuclein (α-Syn), in the brain. Although the accumulation and propagation of α-Syn contribute to the development of PD, the involvement of the blood–brain barrier (BBB) in these processes remains unknown. Pericytes, one of the cell types that constitute the BBB, degrade various forms of α-Syn. However, the detailed mechanisms involved in α-Syn degradation by pericytes remain poorly understood. Therefore, in this study, we aimed to determine the ability of the BBB-constituting cells, particularly primary cultures of rat pericytes, brain endothelial cells, and astrocytes, to degrade α-Syn. After α-Syn uptake by the cells, intracellular α-Syn decreased only in pericytes. This pericyte-specific α-Syn decrease was inhibited by an autophagy inhibitor, bafilomycin A1, and a proteasome inhibitor, MG132. siRNA-mediated knockdown of degradation enzymes or familial PD-associated genes, including cathepsin D, DJ-1, and LRRK2, did not affect α-Syn clearance in pericytes. However, pharmacological inhibitors of Akt, ERK, and p38 MAPK inhibited α-Syn degradation by pericytes. In conclusion, our results suggest that α-Syn degradation by pericytes is mediated by an autophagy–lysosome system and a ubiquitin–proteasome system via α-Syn-activated Akt, ERK, and p38 MAPK signaling pathways. Full article
Show Figures

Graphical abstract

21 pages, 5691 KB  
Article
A 5′ Promoter Region SNP in CTSC Leads to Increased Hypoxia Tolerance in Changfeng Silver Carp (Hypophthalmichthys molitrix)
by Nannan Feng, Xiaohui Li, Hang Sha, Xiangzhong Luo, Guiwei Zou, Jiquan Zhang and Hongwei Liang
Animals 2025, 15(4), 532; https://doi.org/10.3390/ani15040532 - 13 Feb 2025
Cited by 2 | Viewed by 1328
Abstract
Silver carp is a critically significant species in freshwater aquaculture in China, characterized by its limited tolerance to hypoxia. In this study, a significant SNP locus at Chr8: 29647765 (T/C) associated with hypoxia tolerance traits was identified in Changfeng silver carp, and the [...] Read more.
Silver carp is a critically significant species in freshwater aquaculture in China, characterized by its limited tolerance to hypoxia. In this study, a significant SNP locus at Chr8: 29647765 (T/C) associated with hypoxia tolerance traits was identified in Changfeng silver carp, and the homozygotic CC genotype exhibited higher hypoxic tolerance than the homozygotic TT and heterozygotic TC genotypes. Under hypoxic conditions, the hemoglobin concentration increased, with the CC genotype demonstrating a significantly higher level compared with the TT genotype; the activities of antioxidant enzymes including catalase and superoxide dismutase were significantly higher in the CC genotype than in the other genotypes; the area of the gill lamellae was significantly smaller in the CC genotype than in the TT and TC genotypes; and the number of apoptotic cells in the brain was significantly lower in the CC genotype than in the TT and TC genotypes. Sequence analysis showed that this SNP was located in the promoter region of the cathepsin C (CTSC) gene. The expression levels of the CTSC gene were analyzed across the three genotypes, revealing that the CC genotype exhibited significantly lower expression compared with the TT and TC genotypes under hypoxia. This finding suggests that the SNP associated with the CC genotype leads to reduced CTSC expression, which may facilitate better physiological adaptation to hypoxia. Analysis of the promoter region of CTSC found a unique predicted hypoxia-inducible factor 1-alpha (HIF-1α) binding site (CGTG) in the T genotype, implying that the differential expression of CTSC among the three genotypes under hypoxic stress may be regulated by HIF-1α, a transcription factor integral to hypoxia adaptation, thereby affecting hypoxia tolerance, which further affects the immune response of the Changfeng silver carp in response to the hypoxic environment. Although SNPs represent significant genetic determinants, their phenotypic effects are predominantly mediated through complex interactions within gene regulatory networks and environmental influences. This study identified an effective SNP site in Changfeng silver carp, providing valuable guidance for future selective breeding and the development of new hypoxia-tolerant varieties. Full article
(This article belongs to the Special Issue Advances in Research on Functional Genes and Economic Traits in Fish)
Show Figures

Graphical abstract

19 pages, 491 KB  
Review
Significance of Biogenetic Markers in Giant Cell Tumor Differentiation and Prognosis: A Narrative Review
by Muhammad Taqi, Haseeb ul Rasool, Mobeen Zaka Haider and Munjed Al Muderis
Diagnostics 2025, 15(1), 39; https://doi.org/10.3390/diagnostics15010039 - 27 Dec 2024
Cited by 1 | Viewed by 2771
Abstract
Background: Giant cell tumor of bone (GCTB) is a locally aggressive tumor. It accounts for only 5% of all bony tumors. Early diagnosis, and follow-up for recurrence is often difficult due to a lack of biogenetic markers. Giant cells are multinucleated epithelioid [...] Read more.
Background: Giant cell tumor of bone (GCTB) is a locally aggressive tumor. It accounts for only 5% of all bony tumors. Early diagnosis, and follow-up for recurrence is often difficult due to a lack of biogenetic markers. Giant cells are multinucleated epithelioid cells derived from macrophages. Histologically, giant cells are also present in other pathologies of bone, e.g., aneurysmal bone cyst, chondroblastoma, giant cell granuloma, and malignant giant cell tumor, etc. Similarly, radiographic findings overlap with other osteolytic lesions, making the diagnosis and prognosis of giant cell tumor very challenging. Aims and Objectives: The purpose of this study was to explore biological and genetic markers which can be used for detection, differentiation, recurrence, and prognosis of GCTB. This will help to better understand the clinical outcome of GCTB and minimize the need for interventions. Methods: We conducted a literature search using Google, Google Scholar, PubMed, Wiley Library, Medline, Clinical trials.org, and Web of Science. Our search strategy included MeSH terms and key words for giant cell tumor and biogenetic markers from date of inception to September 2020. After excluding review articles, 246 duplicates, and non-relevant articles, we included 24 articles out of 1568 articles, summarizing the role of biogenetic markers in the prognosis of GCT. Results: P63 is 98.6% sensitive and relatively specific for GCT as compared to other multinucleated giant cells containing neoplasms. MDM2 (mouse double minute 2 homolog), IGF1 (insulin-like growth factor 1), STAT1 (signal transducer and activator of transcription 1), and RAC1 (Ras-related C3 botulinum toxin substrate 1) are associated with GCTB recurrence, and might serve as biomarkers for it. Increased expression of the proteins STAT5B, GRB2, and OXSR1 was related to a higher probability of metastasis. H3F3A and H3F3B mutation analysis appears to be a highly specific, although less sensitive, diagnostic tool for the distinction of giant cell tumor of bone (GCTB) and chondroblastoma from other giant cell-containing tumors. A neutrophil to lymphocyte ratio (NLR) > 2.70, platelet to lymphocyte ratio (PLR) > 215.80, lymphocyte to monocyte ratio (LMR) ≤ 2.80, and albumin to globulin ratio (AGR) < 1.50 were significantly associated with decreased disease-free survival (DFS) (p < 0.05). Large amounts of osteoclast-related mRNA (cathepsin K, tartrate-resistant acid phosphatase, and matrix metalloproteinase9) in GCTs (p < 0.05) are associated with the grade of bone resorption. We propose that subarticular primary malignant bone sarcomas with H3.3 mutations represent true malignant GCTB, even in the absence of a benign GCTB component. IMP3 and IGF2 might be potential biomarkers for GCT of the spine in regulating the angiogenesis of giant cell tumor of bone and predicting patients’ prognosis. Conclusions: This review study shows serological markers, genetic factors, cell membrane receptor markers, predictive markers for malignancy, and prognostic protein markers which are highly sensitive for GCT and relatively specific for giant cell tumor. MDM2, IGF1, STAT1, RAC1 are important makers in determining recurrence, while P63 and H3F3A differentiate GCT from other giant cell-containing tumors. STAT5B, GRB2, and OXSR1 are significant in determining the prognosis of GCT. Apart from using radiological and histological parameters, we can add them to tumor work-up for definitive diagnosis and prognosis. Full article
(This article belongs to the Special Issue Biomarkers: Diagnostic Indicators for Human Ailments)
Show Figures

Figure 1

22 pages, 6280 KB  
Article
Revealing the Immune Response of Sitona callosus Gyllenhal to Entomopathogenic Fungi Beauveria bassiana Infection Through Integrative Analyses of Transcriptomics and Metabolomics
by Nan Li, Xin Gu, Ming Xin and Xinpu Wang
Insects 2024, 15(12), 940; https://doi.org/10.3390/insects15120940 - 28 Nov 2024
Viewed by 1178
Abstract
In this study, we selected Sitona callosus, one of the primary insect pests of alfalfa, as the experimental insect and infected it with Beauveria bassiana. Transcriptomic and metabolomic analyses were conducted to explore alterations in gene expression and metabolic processes in [...] Read more.
In this study, we selected Sitona callosus, one of the primary insect pests of alfalfa, as the experimental insect and infected it with Beauveria bassiana. Transcriptomic and metabolomic analyses were conducted to explore alterations in gene expression and metabolic processes in S. callosus at 48, 96, and 144 h post infection with B. bassiana. The transcriptomic analysis unveiled that B. bassiana infection boosted immune responses in tubercula, affecting carbohydrate metabolism, cytochrome P450 activity, lysosome function, apoptosis regulation, phagosome formation, glutathione metabolism, amino acid metabolism, and pathogen response pathways. Subsequent metabolomics analysis confirmed that glycerophospholipids, carboxylic acids and derivatives, organooxygen compounds, keto acids and derivatives, and azane immune metabolites were significantly upregulated in response to B. bassiana infection. Additionally, we utilized the Pearson correlation coefficient method to examine the relationships between differentially expressed immune-related genes and metabolites, revealing notably strong correlations between these two sets of variables. By leveraging the WGCNA method to analyze immune metabolite data for immune-related genes, we identified hub genes crucial at various stages of immune activation. These central genes predominantly included C-type lectin receptors for pattern recognition, cytochrome P450 enzymes linked to detoxification processes, and cathepsin proteases. By combining transcriptome and metabolome analyses, it was determined that autophagy and arachidonic acid metabolism play significant roles in the response of S. callosus to infection by B. bassiana. This research will facilitate the understanding of the immune response to B. bassiana infection in adult S. callosus, laying a theoretical groundwork for future biological control strategies targeting S. callosus. Full article
(This article belongs to the Section Insect Molecular Biology and Genomics)
Show Figures

Figure 1

14 pages, 641 KB  
Article
Biocontrol Potential of the New Codling Moth Granulovirus (CpGV) Strains
by Aleksandra A. Tsygichko, Anzhela M. Asaturova, Tatiana N. Lakhova, Alexandra I. Klimenko, Sergey A. Lashin and Gennady V. Vasiliev
Microorganisms 2024, 12(10), 1991; https://doi.org/10.3390/microorganisms12101991 - 30 Sep 2024
Cited by 3 | Viewed by 1623
Abstract
The use of CpGV strains as the basis for bioinsecticides is an effective and safe way to control Cydia pomonella. The research is aimed at the identification and study of new CpGV strains. Objects of identification and bioinformatic analysis: 18 CpGV strains. [...] Read more.
The use of CpGV strains as the basis for bioinsecticides is an effective and safe way to control Cydia pomonella. The research is aimed at the identification and study of new CpGV strains. Objects of identification and bioinformatic analysis: 18 CpGV strains. Sequencing was carried out on a NextSeq550. Genome assembly and annotation were carried out using Spades, Samtools 1.9, MinYS, Pilon, Gfinisher, Quast, and Prokka. Comparative genomic analysis was carried out in relation to the reference genome present in the «Madex Tween» strain-producer (biological standard) according to the average nucleotide identity (ANI) criterion. The presence/absence of IAP, cathepsin, MMP, and chitinase in the genetic sequences of the strains was determined using simply phylogeny. Entomopathogenic activity was assessed against C. pomonella according to the criterion of biological efficacy. Thus, molecular genetic identification revealed that 18 CpGV strains belong to a genus of Betabaculovirus. For all the strains under study ANI values of 99% or more were obtained, and the presence of the cathepsin, chitinase, IAP, and MMP genes was noted. The strains BZR GV 1, BZR GV 3, BZR GV 7, BZR GV 10, and BZR GV L-8 showed the maximum biological efficacy: 100% on the 15th day of observation. Strains BZR GV 4, BZR GV 8, and BZR GV 13 showed efficacy at the level of the «Madex Tween» preparation: 89.5% on the 15th day of observation. The strains with the highest mortality rate of the host insect were identified: BZR GV 9, BZR GV 10, BZR GV L-6, and BZR GV L-8. Full article
(This article belongs to the Section Virology)
Show Figures

Figure 1

15 pages, 5108 KB  
Article
Association of Serum Proteases and Acute Phase Factors Levels with Survival Outcomes in Patients with Colorectal Cancer
by Tadeusz Sebzda, Jakub Karwacki, Anna Cichoń, Katarzyna Modrzejewska, Jerzy Heimrath, Mirosław Łątka, Jan Gnus and Jakub Gburek
Cancers 2024, 16(13), 2471; https://doi.org/10.3390/cancers16132471 - 6 Jul 2024
Cited by 1 | Viewed by 1826
Abstract
Colorectal cancer (CRC) represents a substantial burden on global healthcare, contributing to significant morbidity and mortality worldwide. Despite advances in screening methodologies, its incidence remains high, necessitating continued efforts in early detection and treatment. Neoplastic invasion and metastasis are primary determinants of CRC [...] Read more.
Colorectal cancer (CRC) represents a substantial burden on global healthcare, contributing to significant morbidity and mortality worldwide. Despite advances in screening methodologies, its incidence remains high, necessitating continued efforts in early detection and treatment. Neoplastic invasion and metastasis are primary determinants of CRC lethality, emphasizing the urgency of understanding underlying mechanisms to develop effective therapeutic strategies. This study aimed to explore the potential of serum biomarkers in predicting survival outcomes in CRC patients, with a focus on cathepsin B (CB), leukocytic elastase (LE), total sialic acid (TSA), lipid-associated sialic acid (LASA), antitrypsin activity (ATA), C-reactive protein (CRP), and cystatin C (CC). We recruited 185 CRC patients and 35 healthy controls, assessing demographic variables, tumor characteristics, and 7 serum biomarker levels, including (1) CB, (2) LE, (3) TSA, (4) LASA, (5) ATA, (6) CRP, and (7) CC. Statistical analyses included ANOVA with Tukey’s post hoc tests and MANOVA for continuous variables. Student’s t-test was used for dependent samples, while non-parametric tests like Mann–Whitney U and Wilcoxon signed-rank tests were applied for variables deviating from the normal distribution. Categorical variables were assessed using chi-square and Kruskal-Wallis tests. Spearman’s rank correlation coefficient was utilized to examine variable correlations. Survival analysis employed the Kaplan–Meier method with a log-rank test for comparing survival times between groups. Significant associations were observed between CB (p = 0.04), LE (p = 0.01), and TSA (p = 0.008) levels and survival outcomes in CRC patients. Dukes’ classification stages also showed a significant correlation with survival (p = 0.001). However, no significant associations were found for LASA, ATA, CRP, and CC. Multivariate analysis of LE, TSA, and ATA demonstrated a notable correlation with survival (p = 0.041), notwithstanding ATA’s lack of significance in univariate analysis (p = 0.13). CB, LE, and TSA emerged as promising diagnostic markers with prognostic value in CRC, potentially aiding in early diagnosis and treatment planning. Further research is needed to validate these findings and explore additional prognostic indicators. Full article
Show Figures

Figure 1

Back to TopTop