Sign in to use this feature.

Years

Between: -

Subjects

remove_circle_outline
remove_circle_outline
remove_circle_outline
remove_circle_outline
remove_circle_outline
remove_circle_outline
remove_circle_outline
remove_circle_outline
remove_circle_outline

Journals

remove_circle_outline
remove_circle_outline
remove_circle_outline
remove_circle_outline
remove_circle_outline

Article Types

Countries / Regions

remove_circle_outline
remove_circle_outline

Search Results (233)

Search Parameters:
Keywords = cascade correction

Order results
Result details
Results per page
Select all
Export citation of selected articles as:
16 pages, 2171 KB  
Case Report
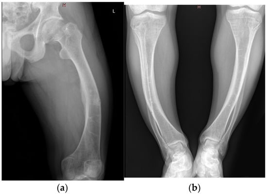
X-Linked Hypophosphatemia in a Family Cohort: Clinical Variability, Genetic Confirmation and Modern Therapeutic Perspectives
by Oana Popa, Melania Balaș, Ioana Golu, Daniela Amzăr, Carmen Dorogi and Mihaela Vlad
J. Clin. Med. 2025, 14(21), 7496; https://doi.org/10.3390/jcm14217496 - 23 Oct 2025
Abstract
Background/Objectives: X-linked hypophosphatemia (XLH) is the most common form of inherited rickets, caused by pathogenic mutations in the PHEX gene (phosphate-regulating endopeptidase homolog, X-linked). These mutations increase fibroblast growth factor 23 (FGF23) activity, resulting in renal phosphate wasting and defective bone mineralization. The [...] Read more.
Background/Objectives: X-linked hypophosphatemia (XLH) is the most common form of inherited rickets, caused by pathogenic mutations in the PHEX gene (phosphate-regulating endopeptidase homolog, X-linked). These mutations increase fibroblast growth factor 23 (FGF23) activity, resulting in renal phosphate wasting and defective bone mineralization. The disorder manifests with variable skeletal, dental, and extraskeletal involvement. Conventional therapy with oral phosphate and active vitamin D offers limited benefit, whereas burosumab, an anti-FGF23 monoclonal antibody, has transformed disease management. Methods: The index case, a 43-year-old woman, remained undiagnosed until adulthood, leading to severe deformities, osteoarthritis, chronic pain, and complete edentulism. Her 55-year-old sister presented with a milder phenotype. The 20-year-old nephew, diagnosed in childhood and intermittently treated with phosphate and alfacalcidol, developed short stature, genu varum, and early degenerative joint disease. Following genetic confirmation, he began burosumab therapy, which normalized phosphate metabolism, reduced pain, and improved mobility. Results: XLH demonstrates marked intrafamilial phenotypic variability despite identical PHEX mutations. In this series, delayed recognition in adults led to irreversible skeletal deformities, osteoarthritis, and dental loss, whereas earlier diagnosis in the younger patient allowed timely intervention. Conventional therapy only partially mitigated complications, while burosumab achieved rapid biochemical correction and symptomatic improvement. This contrast highlights the importance of early genetic testing, family screening, and prompt initiation of targeted treatment. Conclusions: This family cluster underscores the critical need for early diagnosis, genetic confirmation, cascade screening, and lifelong multidisciplinary care. Burosumab represents a therapeutic paradigm shift in XLH, capable of altering disease trajectory when initiated early. Full article
(This article belongs to the Section Endocrinology & Metabolism)
Show Figures

Figure 1

24 pages, 1419 KB  
Article
Food Security Under Energy Shock: Research on the Transmission Mechanism of the Effect of International Crude Oil Prices on Chinese and U.S. Grain Prices
by Xiaowen Zhuang, Sikai Wang, Zhenpeng Tang, Zhenhan Fu and Baihua Dong
Systems 2025, 13(10), 870; https://doi.org/10.3390/systems13100870 - 3 Oct 2025
Viewed by 442
Abstract
Crude oil and grain, as two pivotal global commodities, exhibit significant price co-movement that profoundly affects national economic stability and food security. From the perspective of systems theory, the energy and grain markets do not exist in isolation but rather form a highly [...] Read more.
Crude oil and grain, as two pivotal global commodities, exhibit significant price co-movement that profoundly affects national economic stability and food security. From the perspective of systems theory, the energy and grain markets do not exist in isolation but rather form a highly coupled complex system, characterized by nonlinear feedback, cross-market risk contagion, and cascading effects. This study systematically investigates the transmission mechanisms from international crude oil prices to the domestic prices of Chinese four major grains, employing the DY spillover index, Vector Error Correction Model (VECM), and a mediation effect framework. The empirical findings reveal three key insights. First, rising international crude oil prices significantly strengthen the pass-through of global grain prices to domestic markets, while simultaneously weakening the effectiveness of domestic price stabilization policies. Second, higher crude oil prices amplify international-to-domestic price spillovers by increasing maritime freight costs, a key channel in global grain trade logistics. Third, elevated oil prices stimulate demand for renewable biofuels, including biodiesel and ethanol, thereby boosting international demand for corn and soybeans and intensifying the transmission of price fluctuations in these commodities to the domestic market. These findings reveal the key pathways through which shocks in the energy market affect food security and highlight the necessity of studying the “energy–food” coupling mechanism within a systems framework, enabling a more comprehensive understanding of cross-market risk transmission. Full article
Show Figures

Figure 1

16 pages, 1915 KB  
Article
Effects of Mn Deficiency on Hepatic Oxidative Stress, Lipid Metabolism, Inflammatory Response, and Transcriptomic Profile in Mice
by Yaodong Hu, Shi Tang, Silu Wang, Caiyun Sun, Binlong Chen, Binjian Cai and Heng Yin
Nutrients 2025, 17(19), 3030; https://doi.org/10.3390/nu17193030 - 23 Sep 2025
Viewed by 460
Abstract
Introduction: Mn is a trace element essential for growth and development in organisms, and adequate Mn levels are crucial for maintaining normal liver function. This study aimed to investigate the effects of Mn deficiency on the liver and elucidate the underlying mechanisms using [...] Read more.
Introduction: Mn is a trace element essential for growth and development in organisms, and adequate Mn levels are crucial for maintaining normal liver function. This study aimed to investigate the effects of Mn deficiency on the liver and elucidate the underlying mechanisms using transcriptomics. Methods: Weanling mice were fed a Mn-deficient diet, and Mn chloride (MnCl2) was administered intraperitoneally to correct the deficiency. Liver pathological changes were evaluated through histological examination. Liver function and key lipid metabolism markers were assessed using biochemical assays, while hepatic oxidative stress levels were measured via flow cytometry and biochemical kits. Alterations in inflammatory factors were detected using ELISA and qPCR. The mechanisms underlying Mn’s effects on liver function were further explored through Western blot, qPCR, and transcriptome sequencing. Results: Mn deficiency impaired liver morphology and structure. Serum levels of ALT, AST, and ALP were significantly elevated, while ALB decreased, confirming hepatic dysfunction. This dysfunction led to oxidative stress, characterized by increased hepatic ROS and MDA levels, alongside reduced Mn-SOD, GSH-Px, and T-AOC activities. Additionally, Mn deficiency elevated serum TG, TC, and LDL-C levels, indicating abnormal lipid metabolism. Hepatic pro-inflammatory factors (IL-6, IL-1β, and TNF-α) were significantly upregulated. Transcriptomic analysis revealed distinct gene expression patterns under different Mn conditions, with KEGG pathway analysis identifying the PPAR signaling pathway as a key regulatory target. Conclusions: Our findings suggest a potential pathogenic cascade in which manganese deficiency may initially induce hepatic oxidative stress, potentially leading to suppression of the PPAR signaling pathway. This inhibition of PPARα/γ could subsequently orchestrate downstream manifestations of aberrant lipid metabolism and inflammatory responses. Thus, the PPAR signaling pathway is proposed as a plausible central hub for translating oxidative damage into metabolic and inflammatory dysfunction in the manganese-deficient liver. Full article
(This article belongs to the Special Issue A New Perspective: The Effect of Trace Elements on Human Health)
Show Figures

Figure 1

20 pages, 3844 KB  
Article
Open-Circuit Fault Detection in a 5-Level Cascaded H-Bridge Inverter Using 1D CNN and LSTM
by Chouaib Djaghloul, Kambiz Tehrani and François Vurpillot
Energies 2025, 18(18), 5004; https://doi.org/10.3390/en18185004 - 20 Sep 2025
Viewed by 423
Abstract
It is well known that power converters have the highest failure rate in the energy conversion chain in different industrial applications. This could definitely affect the reliability of the system. The reliability of converters in power conversion systems is crucial, as failures can [...] Read more.
It is well known that power converters have the highest failure rate in the energy conversion chain in different industrial applications. This could definitely affect the reliability of the system. The reliability of converters in power conversion systems is crucial, as failures can lead to critical consequences and damage other system components. Therefore, it is important to predict and detect failures and take corrective actions to prevent them. One of the most common types of failure in power converters is semiconductor failure, which can manifest as an open circuit or a short circuit. This paper focuses on single and double open-circuit switch failures in a 5-level cascaded H-bridge inverter, for which a fast, precise method is required. A data-driven approach is employed here, using the output voltage and voltages across each H-bridge as diagnostic signals. A 1D-CNN LSTM neural network is trained to accurately detect and localize open-circuit faults, providing a reliable, practical solution. Full article
Show Figures

Figure 1

26 pages, 4310 KB  
Review
Intracellular Mis-Localization of Modified RNA Molecules and Non-Coding RNAs: Facts from Hematologic Malignancies
by Argiris Symeonidis, Argyri Chroni, Irene Dereki, Dionysios Chartoumpekis and Argyro Sgourou
Curr. Issues Mol. Biol. 2025, 47(9), 758; https://doi.org/10.3390/cimb47090758 - 14 Sep 2025
Viewed by 656
Abstract
The intracellular topography of RNA molecules, encompassing ribonucleotides with biochemical modifications, such as N6-methyladenosine (m6A), 5-methylcytosine (m5C), adenosine to inosine (A → I) editing, and isomerization of uridine to pseudouridine (Ψ), as well as of non-coding RNA molecules, is currently studied within the [...] Read more.
The intracellular topography of RNA molecules, encompassing ribonucleotides with biochemical modifications, such as N6-methyladenosine (m6A), 5-methylcytosine (m5C), adenosine to inosine (A → I) editing, and isomerization of uridine to pseudouridine (Ψ), as well as of non-coding RNA molecules, is currently studied within the frame of the epigenome. Circulating RNA molecules in the intracellular space that have incorporated information by carrying specific modifications depend on the balanced activity and correct subcellular installation of their modifying enzymes, the “writers”, “readers” and “erasers”. Modifications are critical for RNA translocation from the nucleus to the cytoplasm, for stability and translation efficiency, and for other, still-uncovered functions. Moreover, trafficking of non-coding RNA molecules depends on membrane transporters capable of recognizing signal sequences and RNA recognition-binding proteins that can facilitate their transport to different intracellular locations, guiding the establishment of interconnection possibilities with different macromolecular networks. The potential of long non-coding RNAs to form multilayer molecular connections, as well as the differential topology of micro-RNAs in cell nuclei, compared to cytoplasm, has been recognized by several studies. The study of the intercellular compartmentalization of these molecules has recently become feasible thanks to technological progress; however, a wealth of information has not yet been produced that would lead to safe conclusions regarding non-coding RNA’s contributions to the early steps of pathogenesis and disease progression in hematological malignancies. Both, the bone marrow, as the main hematopoietic tissue, and the lymphoid tissues are composed of cells with highly reactive potential to signals affecting the epigenome and initiating cascade pathways in response. Independently or in combination with coexistent driver genetic mutations, especially mutations of enzymes involved in epigenomic surveillance, intracellular microenvironmental alterations within the cell nuclear, cytoplasmic, and mitochondrial compartments can lead to disorganization of hematopoietic stem cells’ epigenomes, promoting the generation of hematological malignancies. In this review, we discuss the various intracellular processes that, when disrupted, may result in the ectopic placement of RNA molecules, either inducing specific modifications or non-coding molecules or promoting hematological malignant phenotypes. The crosstalk between mitochondrial and nuclear genomes and the complex regulatory effects of mis-localized RNA molecules are highlighted. This research approach may constitute a field for new, more specifically targeted therapies in hematology based on RNA technology. Full article
Show Figures

Figure 1

26 pages, 62819 KB  
Article
Low-Light Image Dehazing and Enhancement via Multi-Feature Domain Fusion
by Jiaxin Wu, Han Ai, Ping Zhou, Hao Wang, Haifeng Zhang, Gaopeng Zhang and Weining Chen
Remote Sens. 2025, 17(17), 2944; https://doi.org/10.3390/rs17172944 - 25 Aug 2025
Viewed by 937
Abstract
The acquisition of nighttime remote-sensing visible-light images is often accompanied by low-illumination effects and haze interference, resulting in significant image quality degradation and greatly affecting subsequent applications. Existing low-light enhancement and dehazing algorithms can handle each problem individually, but their simple cascade cannot [...] Read more.
The acquisition of nighttime remote-sensing visible-light images is often accompanied by low-illumination effects and haze interference, resulting in significant image quality degradation and greatly affecting subsequent applications. Existing low-light enhancement and dehazing algorithms can handle each problem individually, but their simple cascade cannot effectively address unknown real-world degradations. Therefore, we design a joint processing framework, WFDiff, which fully exploits the advantages of Fourier–wavelet dual-domain features and innovatively integrates the inverse diffusion process through differentiable operators to construct a multi-scale degradation collaborative correction system. Specifically, in the reverse diffusion process, a dual-domain feature interaction module is designed, and the joint probability distribution of the generated image and real data is constrained through differentiable operators: on the one hand, a global frequency-domain prior is established by jointly constraining Fourier amplitude and phase, effectively maintaining the radiometric consistency of the image; on the other hand, wavelets are used to capture high-frequency details and edge structures in the spatial domain to improve the prediction process. On this basis, a cross-overlapping-block adaptive smoothing estimation algorithm is proposed, which achieves dynamic fusion of multi-scale features through a differentiable weighting strategy, effectively solving the problem of restoring images of different sizes and avoiding local inconsistencies. In view of the current lack of remote-sensing data for low-light haze scenarios, we constructed the Hazy-Dark dataset. Physical experiments and ablation experiments show that the proposed method outperforms existing single-task or simple cascade methods in terms of image fidelity, detail recovery capability, and visual naturalness, providing a new paradigm for remote-sensing image processing under coupled degradations. Full article
(This article belongs to the Section AI Remote Sensing)
Show Figures

Figure 1

17 pages, 4223 KB  
Article
Space–Bandwidth Product Extension for Holographic Displays Through Cascaded Wavefront Modulation
by Shenao Zhang, Wenjia Li, Bo Dai, Qi Wang, Songlin Zhuang, Dawei Zhang and Chenliang Chang
Appl. Sci. 2025, 15(17), 9237; https://doi.org/10.3390/app15179237 - 22 Aug 2025
Viewed by 463
Abstract
The immersive experience of holographic displays is fundamentally limited by their space–bandwidth product (SBP), which imposes an inherent trade-off between the field of view (FOV) and eyebox size. This paper proposes a method to extend the SBP by employing cascaded modulation with a [...] Read more.
The immersive experience of holographic displays is fundamentally limited by their space–bandwidth product (SBP), which imposes an inherent trade-off between the field of view (FOV) and eyebox size. This paper proposes a method to extend the SBP by employing cascaded modulation with a dynamic spatial light modulator (SLM) and a passive high-resolution binary random phase mask (BRPM). We find that the key to unlocking this extension of SBP lies in a sophisticated algorithmic optimization, grounded in a physically accurate model of the system. We identify and correct the Nyquist undersampling problem caused by high-frequency scattering in standard diffraction models. Based on this physically accurate model, we employ a gradient descent optimization framework to achieve efficient, end-to-end solving for complex light fields. Simulation and experimental results demonstrate that our method achieves an approximately 16-fold SBP extension (4-fold FOV) while delivering significantly superior reconstructed image quality compared to the traditional Gerchberg–Saxton (GS) algorithm. Furthermore, this study quantitatively reveals the system’s extreme sensitivity to sub-pixel level alignment accuracy, providing critical guidance for the engineering and implementation of our proposed method. Full article
Show Figures

Figure 1

12 pages, 1985 KB  
Proceeding Paper
Enhancing the Haar Cascade Algorithm for Robust Detection of Facial Features in Complex Conditions Using Area Analysis and Adaptive Thresholding
by Dayne Fradejas, Vince Harley Gaba, Analyn Yumang and Ericson Dimaunahan
Eng. Proc. 2025, 107(1), 3; https://doi.org/10.3390/engproc2025107003 - 21 Aug 2025
Viewed by 929
Abstract
Facial features are critical visual indicators for understanding what a person is experiencing, providing valuable insights into their emotions and physical states. However, accurately detecting these features under diverse conditions remains a significant challenge, especially in computationally constrained environments. This paper presents a [...] Read more.
Facial features are critical visual indicators for understanding what a person is experiencing, providing valuable insights into their emotions and physical states. However, accurately detecting these features under diverse conditions remains a significant challenge, especially in computationally constrained environments. This paper presents a facial feature extraction method designed to identify regions of interest for detecting facial cues, with a focus on improving the accuracy of eye and mouth detection. Addressing the limitations of standard Haar cascade classifiers, particularly in challenging scenarios such as droopy eyes, red eyes, and droopy mouths, this method introduces a correction algorithm rooted in normal human facial anatomy, emphasizing symmetry and consistent feature placement. By integrating this correction algorithm with a feature-based refinement process, the proposed approach enhances detection accuracy from 67.22% to 96.11%. Through this method, the accurate detection of facial features like the eyes and mouth is significantly improved, offering a lightweight and efficient solution for real-time applications while maintaining computational efficiency. Full article
Show Figures

Figure 1

32 pages, 3720 KB  
Article
Stackade Ensemble Learning for Resilient Forecasting Against Missing Values, Adversarial Attacks, and Concept Drift
by Mohd Hafizuddin Bin Kamilin and Shingo Yamaguchi
Appl. Sci. 2025, 15(16), 8859; https://doi.org/10.3390/app15168859 - 11 Aug 2025
Viewed by 523
Abstract
Machine learning is often implemented in smart grids to help with electricity load forecasts, which are challenging to process or compute using conventional approaches. However, most of the proposed techniques were created with the assumption that the data was clean with a consistent [...] Read more.
Machine learning is often implemented in smart grids to help with electricity load forecasts, which are challenging to process or compute using conventional approaches. However, most of the proposed techniques were created with the assumption that the data was clean with a consistent distribution. However, this is not always the case because there can be missing data due to distributed denial-of-service attacks, changes in data patterns that make predictions less accurate, and small perturbations from adversarial attacks that trick the machine learning into making wrong forecasts. While several approaches have been suggested, they are limited to a trivial solution, and the sequential operation needed to correct the input will accumulate errors from inadequate correction. This research proposes a novel approach called Stackade Ensemble Learning. It works by cascading the dependent input corrections with enhanced forecasting models to reduce the error accumulation. Then, the outputs were stacked to combine the results and improve the forecast. The results show 348.4002% of mean absolute error score improvement against the federated solution and 30.3783% against the trivial solution on compounded problem, proving its effectiveness. Full article
Show Figures

Figure 1

17 pages, 3093 KB  
Article
Determination of Quantum Yield in Scattering Media Using Monte Carlo Photoluminescence Cascade Simulation and Integrating Sphere Measurements
by Philip Gelbing, Joachim Jelken, Florian Foschum and Alwin Kienle
Materials 2025, 18(15), 3710; https://doi.org/10.3390/ma18153710 - 7 Aug 2025
Viewed by 870
Abstract
Accurate determination of the quantum yield (Φf) in scattering media is essential for numerous scientific and industrial applications, but it remains challenging due to re-absorption and scattering-induced biases. In this study, we present a GPU-accelerated Monte Carlo simulation framework that [...] Read more.
Accurate determination of the quantum yield (Φf) in scattering media is essential for numerous scientific and industrial applications, but it remains challenging due to re-absorption and scattering-induced biases. In this study, we present a GPU-accelerated Monte Carlo simulation framework that solves the full fluorescence radiative transfer equation (FRTE), incorporating spectrally dependent absorption, scattering, and fluorescence cascade processes. The model accounts for re-emission shifts, energy scaling due to the Stokes shift and implements a digital optical twin of the experimental setup, including the precise description of the applied integrating sphere. Using Rhodamine 6G in both ethanol and PDMS matrices, we demonstrate the accuracy of the method by comparing simulated reflectance and transmission spectra with independent experimental measurements. Φf and emission distributions are optimized using a Levenberg–Marquardt algorithm. The obtained quantum yields agree well with literature values for Rhodamine 6G. This approach eliminates the need for empirical correction factors, enabling the reliable determination of actual, undistorted emission spectra and the Φf in complex scattering media. Full article
(This article belongs to the Special Issue Feature Papers in Materials Physics (2nd Edition))
Show Figures

Graphical abstract

29 pages, 6079 KB  
Article
A Highly Robust Terrain-Aided Navigation Framework Based on an Improved Marine Predators Algorithm and Depth-First Search
by Tian Lan, Ding Li, Qixin Lou, Chao Liu, Huiping Li, Yi Zhang and Xudong Yu
Drones 2025, 9(8), 543; https://doi.org/10.3390/drones9080543 - 31 Jul 2025
Viewed by 927
Abstract
Autonomous underwater vehicles (AUVs) have obtained extensive application in the exploitation of marine resources. Terrain-aided navigation (TAN), as an accurate and reliable autonomous navigation method, is commonly used for AUV navigation. However, its accuracy degrades significantly in self-similar terrain features or measurement uncertainties. [...] Read more.
Autonomous underwater vehicles (AUVs) have obtained extensive application in the exploitation of marine resources. Terrain-aided navigation (TAN), as an accurate and reliable autonomous navigation method, is commonly used for AUV navigation. However, its accuracy degrades significantly in self-similar terrain features or measurement uncertainties. To overcome these challenges, we propose a novel terrain-aided navigation framework integrating an Improved Marine Predators Algorithm with Depth-First Search optimization (DFS-IMPA-TAN). This framework maintains positioning precision in partially self-similar terrains through two synergistic mechanisms: (1) IMPA-driven optimization based on the hunger-inspired adaptive exploitation to determine optimal trajectory transformations, cascaded with Kalman filtering for navigation state correction; (2) a Robust Tree (RT) hypothesis manager that maintains potential trajectory candidates in graph-structured memory, employing Depth-First Search for ambiguity resolution in feature matching. Experimental validation through simulations and in-vehicle testing demonstrates the framework’s distinctive advantages: (1) consistent terrain association in partially self-similar topographies; (2) inherent error resilience against ambiguous feature measurements; and (3) long-term navigation stability. In all experimental groups, the root mean squared error of the framework remained around 60 m. Under adverse conditions, its navigation accuracy improved by over 30% compared to other traditional batch processing TAN methods. Comparative analysis confirms superior performance over conventional methods under challenging conditions, establishing DFS-IMPA-TAN as a robust navigation solution for AUVs in complex underwater environments. Full article
Show Figures

Figure 1

2 pages, 615 KB  
Correction
Correction: Lin et al. Induction of HO-1 by Mevastatin Mediated via a Nox/ROS-Dependent c-Src/PDGFRα/PI3K/Akt/Nrf2/ARE Cascade Suppresses TNF-α-Induced Lung Inflammation. J. Clin. Med. 2020, 9, 226
by Chih-Chung Lin, Wei-Ning Lin, Rou-Ling Cho, Chien-Chung Yang, Yi-Cheng Yeh, Li-Der Hsiao, Hui-Ching Tseng and Chuen-Mao Yang
J. Clin. Med. 2025, 14(15), 5390; https://doi.org/10.3390/jcm14155390 - 31 Jul 2025
Viewed by 338
Abstract
In the original publication [...] Full article
(This article belongs to the Special Issue Current and Emerging Uses of Statins in Clinical Therapeutics)
Show Figures

Figure 3

3 pages, 1233 KB  
Correction
Correction: Impellizzeri et al. Coriolus Versicolor Downregulates TLR4/NF-κB Signaling Cascade in Dinitrobenzenesulfonic Acid-Treated Mice: A Possible Mechanism for the Anti-Colitis Effect. Antioxidants 2022, 11, 406
by Daniela Impellizzeri, Roberta Fusco, Tiziana Genovese, Marika Cordaro, Ramona D’Amico, Angela Trovato Salinaro, Maria Laura Ontario, Sergio Modafferi, Salvatore Cuzzocrea, Rosanna Di Paola, Vittorio Calabrese and Rosalba Siracusa
Antioxidants 2025, 14(8), 925; https://doi.org/10.3390/antiox14080925 - 29 Jul 2025
Viewed by 342
Abstract
In the original publication [...] Full article
Show Figures

Figure 3

21 pages, 454 KB  
Article
Modelling Cascading Failure in Complex CPSS to Inform Resilient Mission Assurance: An Intelligent Transport System Case Study
by Theresa Sobb and Benjamin Turnbull
Entropy 2025, 27(8), 793; https://doi.org/10.3390/e27080793 - 25 Jul 2025
Viewed by 689
Abstract
Intelligent transport systems are revolutionising all aspects of modern life, increasing the efficiency of commerce, modern living, and international travel. Intelligent transport systems are systems of systems comprised of cyber, physical, and social nodes. They represent unique opportunities but also have potential threats [...] Read more.
Intelligent transport systems are revolutionising all aspects of modern life, increasing the efficiency of commerce, modern living, and international travel. Intelligent transport systems are systems of systems comprised of cyber, physical, and social nodes. They represent unique opportunities but also have potential threats to system operation and correctness. The emergent behaviour in Complex Cyber–Physical–Social Systems (C-CPSSs), caused by events such as cyber-attacks and network outages, have the potential to have devastating effects to critical services across society. It is therefore imperative that the risk of cascading failure is minimised through the fortifying of these systems of systems to achieve resilient mission assurance. This work designs and implements a programmatic model to validate the value of cascading failure simulation and analysis, which is then tested against a C-CPSS intelligent transport system scenario. Results from the model and its implementations highlight the value in identifying both critical nodes and percolation of consequences during a cyber failure, in addition to the importance of including social nodes in models for accurate simulation results. Understanding the relationships between cyber, physical, and social nodes is key to understanding systems’ failures that occur because of or that involve cyber systems, in order to achieve cyber and system resilience. Full article
Show Figures

Figure 1

21 pages, 4324 KB  
Article
Dilemma of Spent Geothermal Water Injection into Rock Masses for Geothermal Potential Development
by Agnieszka Operacz, Bogusław Bielec, Tomasz Operacz, Agnieszka Zachora-Buławska and Karolina Migdał
Energies 2025, 18(15), 3922; https://doi.org/10.3390/en18153922 - 23 Jul 2025
Viewed by 565
Abstract
The global shift towards the use of renewable energy is essential to ensure sustainable development, and geothermal energy stands out as a suitable option that can support various cascading projects. Spent geothermal water (SGW) requires proper treatment to ensure that it does not [...] Read more.
The global shift towards the use of renewable energy is essential to ensure sustainable development, and geothermal energy stands out as a suitable option that can support various cascading projects. Spent geothermal water (SGW) requires proper treatment to ensure that it does not become an environmental burden. Typically, companies often face the dilemma of choosing between discharging spent geothermal water (SGW) into surface waters or injecting it into rock masses, and the economic and environmental impacts of the decision made determines the feasibility of geothermal plant development. In this study, we aimed to comprehensively assess the technical, economic, and environmental feasibility of SGW injection into rock masses. To this end, we employed a comprehensive analytical approach using the Chochołów GT-1 geothermal injection borehole in Poland as a reference case. We also performed drilling and hydrogeological testing, characterized rock samples in the laboratory, and corrected hydrodynamic parameters for thermal lift effects to ensure accurate aquifer characterization. The results obtained highlight the importance of correcting hydrogeological parameters for thermal effects, which if neglected can lead to a significant overestimation of the calculated hydrogeological parameters. Based on our analysis, we developed a framework for assessing SGW injection feasibility that integrates detailed hydrogeological and geotechnical analyses with environmental risk assessment to ensure sustainable geothermal resource exploitation. This framework should be mandatory for planning new geothermal power plants or complexes worldwide. Our results also emphasize the need for adequate SGW management so as to ensure that the benefits of using a renewable and zero-emission resource, such as geothermal energy, are not compromised by the low absorption capacity of rock masses or adverse environmental effects. Full article
Show Figures

Graphical abstract

Back to TopTop