Sign in to use this feature.

Years

Between: -

Subjects

remove_circle_outline
remove_circle_outline
remove_circle_outline
remove_circle_outline

Journals

Article Types

Countries / Regions

Search Results (32)

Search Parameters:
Keywords = canine spleen

Order results
Result details
Results per page
Select all
Export citation of selected articles as:
17 pages, 1697 KB  
Article
Epidemiology of Splenic Lesions in Dogs Undergoing Splenectomy—Pathological Characterization and Risk Factors
by Filippo Dell’Anno, Lucia Minelli, Giuseppe Giglia, Elvio Lepri, Marta Mechelli, Livia De Paolis, Floriana Fruscione, Elisabetta Razzuoli and Elisabetta Manuali
Vet. Sci. 2026, 13(1), 64; https://doi.org/10.3390/vetsci13010064 - 9 Jan 2026
Abstract
Splenic lesions are common in dogs and can have important clinical implications due to the risk of rupture causing life-threatening hemorrhage, or, for neoplastic lesions, potential metastatic spread. This retrospective study analyzed 682 canine spleen samples submitted to the Regional Canine Cancer Registry [...] Read more.
Splenic lesions are common in dogs and can have important clinical implications due to the risk of rupture causing life-threatening hemorrhage, or, for neoplastic lesions, potential metastatic spread. This retrospective study analyzed 682 canine spleen samples submitted to the Regional Canine Cancer Registry in Umbria, Italy, between 2014 and 2023, aiming to characterize lesion types and explore associations with demographic factors and clinical outcomes. Lesions were classified as neoplastic or non-neoplastic. Non-neoplastic lesions were predominant (54.3%), mainly nodular hyperplasia, hematoma, and congestion, while neoplastic lesions accounted for 45.7%, with hemangiosarcoma (HSA) being the most frequent neoplasm (54.5%), followed by other sarcomas, lymphomas, and rare tumors. The mean age at diagnosis was 10.4 years, and medium-sized dogs living in urban areas were most affected. No significant differences in lesion type were observed between sexes or between purebred and mixed-breed dogs, although purebreds were more represented overall. HSA risk varied by size, sex, and breed, with large dogs and certain pure breeds showing elevated risk. Survival analysis revealed markedly reduced outcomes for dogs with HSA. These findings emphasize the utility of histopathologic diagnosis in guiding clinical management and provide insight into the epidemiology and prognosis of splenic lesions in dogs. Full article
Show Figures

Graphical abstract

12 pages, 440 KB  
Review
Canine Cardiac and Cardiovascular Pathology: Four Major Life-Threatening Non-Degenerative, Non-Hereditary Conditions
by Adrian Stancu, Radu-Valentin Gros, Iasmina Luca, George-Andrei Călugărița, Alexandru Gavrilă and Aurelian-Sorin Pașca
Vet. Sci. 2025, 12(11), 1060; https://doi.org/10.3390/vetsci12111060 - 4 Nov 2025
Viewed by 1129
Abstract
Cardiovascular diseases in dogs have diverse causes and may progress rapidly to life-threatening complications. This review outlines the relevant pathological conditions involving the cardiovascular system in dogs, especially the myocardium, including myocarditis caused by canine parvovirus (CPV-2), heartworm disease (Dirofilaria immitis), [...] Read more.
Cardiovascular diseases in dogs have diverse causes and may progress rapidly to life-threatening complications. This review outlines the relevant pathological conditions involving the cardiovascular system in dogs, especially the myocardium, including myocarditis caused by canine parvovirus (CPV-2), heartworm disease (Dirofilaria immitis), hemangiosarcoma, and polyarteritis nodosa (PAN). CPV-2 affects the myocardium of puppies during the early weeks of life, leading to necrosis, fibrosis, and congestive heart failure. Heartworm disease is caused by adult D. immitis residing mainly in the pulmonary arteries, inducing pulmonary hypertension, right ventricular overload, and vascular damage, with the severity being related to the worm burden and duration of infestation. Hemangiosarcoma is a malignant vascular tumor, most frequently originating in the spleen or right atrium, often diagnosed at an advanced stage, with widespread metastases. Polyarteritis nodosa in dogs is a necrotizing, systemic vasculitis of medium-sized arteries that may affect the coronary arteries of the heart. Its pathogenesis is still unclear, though an immune-mediated mechanism is suspected. By presenting these lesions, the review underscores the many factors that can trigger cardiovascular diseases in dogs, as well as the clinical significance and the need for further research into their pathogenesis and treatment. Full article
Show Figures

Figure 1

13 pages, 5138 KB  
Article
Comparison of Medical Imaging Quality Related to Embalming Solutions in Canine Cadavers
by Ahsa Oh, Sung-Min Nam, Sang-Soep Nahm, Ki-Dong Eom and Woosuk Kim
Vet. Sci. 2025, 12(2), 188; https://doi.org/10.3390/vetsci12020188 - 19 Feb 2025
Viewed by 1611
Abstract
(1) Background: This study evaluated the quality of medical imaging acquired using radiography, ultrasonography, and computed tomography (CT) in canine cadavers prepared with formalin solution, Thiel solution (TS), and saturated salt solution (SS). Additionally, the duration whereby image quality could be properly reproduced [...] Read more.
(1) Background: This study evaluated the quality of medical imaging acquired using radiography, ultrasonography, and computed tomography (CT) in canine cadavers prepared with formalin solution, Thiel solution (TS), and saturated salt solution (SS). Additionally, the duration whereby image quality could be properly reproduced was investigated. (2) Methods: Nine dog cadavers, divided into three groups per embalming solution, were imaged pre- and post-embalming at 6 and 12 weeks using three different imaging modalities. Image quality was qualitatively scored based on human medicine guidelines criteria. The score was assigned as follows: “0 = not invisible, 1 = poorly invisible, 2 = adequately reproduced, 3 = very well reproduced”. (3) Results: On plain radiography, most scores were > 1.34, although the quality of all embalming solutions in thoracic and abdominal images decreased over time. Using ultrasound to image the liver, spleen, and kidney, the SS group was evaluated as poorly visible and scored < 0.82 at 6 and 12 weeks. CT images showed a tendency to degrade over time, but all solution groups had properly implemented images and scored > 1.62. (4) Conclusions: Regarding image quality and ease of application, TS is considered the most suitable embalming solution for medical imaging acquisition and is usable over time in all imaging modalities. Full article
Show Figures

Figure 1

11 pages, 3039 KB  
Article
Development of Three-Dimensional Anatomical Models of Dogs with Congenital Extrahepatic Portosystemic Shunts
by Éverton Oliveira Calixto, Erika Toledo da Fonseca, Anna Luiza Campos Pollon and Antônio Chaves de Assís Neto
Animals 2025, 15(3), 352; https://doi.org/10.3390/ani15030352 - 26 Jan 2025
Cited by 1 | Viewed by 2853
Abstract
The aim of this study was to develop three-dimensional anatomical models of dogs with congenital extrahepatic portosystemic shunts (CEPSs) using 3D printing, as well as to detail their development process and compare the final models to volume rendering (VR) derived from computed tomography [...] Read more.
The aim of this study was to develop three-dimensional anatomical models of dogs with congenital extrahepatic portosystemic shunts (CEPSs) using 3D printing, as well as to detail their development process and compare the final models to volume rendering (VR) derived from computed tomography (CT) scans. CT scans in the Digital Imaging and Communications in Medicine (DICOM) format of two canine patients were used—one with splenocaval deviation and the other with right gastrocaval deviation. The images were segmented using 3DSlicer software, generating 3D files in Standard Tessellation Language (STL) format, which were then subjected to refinement and mesh adjustment using Blender software. The models were printed on a J750™ Digital Anatomy™ printer, followed by post-processing in a 2% sodium hydroxide solution for 72 h, with subsequent rinsing to remove support resin residues. The printed models showed colored anatomical structures, including the liver; spleen; kidneys; part of the arterial, venous, and portal circulations; and CEPSs. For comparison purposes, VR of the scans was recreated in the RadiAnt DICOM Viewer software. Despite some limitations of the segmentation software, the 3D-printed models effectively represented the anatomy of the patients and the CEPSs, demonstrating good equivalence to the VR. Full article
(This article belongs to the Section Veterinary Clinical Studies)
Show Figures

Figure 1

13 pages, 712 KB  
Article
Oxidative Status and Lipid Metabolism Analytes in Dogs with Mast Cell Tumors: A Preliminary Study
by Argyrios Ginoudis, Dimitra Pardali, Mathios E. Mylonakis, Androniki Tamvakis, Asta Tvarijonaviciute, Evgenia Lymperaki, Jose Joaquin Ceron and Zoe Polizopoulou
Antioxidants 2024, 13(12), 1473; https://doi.org/10.3390/antiox13121473 - 29 Nov 2024
Cited by 1 | Viewed by 2029
Abstract
Mast cell tumors (MCTs) are common skin neoplasms in dogs. Prognostic indicators include histologic grade, clinical stage, high Ki-67 index, elevated argyrophilic nucleolus organizer regions (AgNOR) index, c-kit mutations, and recurrence after surgery. Blood serum redox status has been shown to correlate with [...] Read more.
Mast cell tumors (MCTs) are common skin neoplasms in dogs. Prognostic indicators include histologic grade, clinical stage, high Ki-67 index, elevated argyrophilic nucleolus organizer regions (AgNOR) index, c-kit mutations, and recurrence after surgery. Blood serum redox status has been shown to correlate with prognostic factors in canine lymphoma and mammary tumors. This study aimed to assess the correlation between established prognostic factors and serum redox status and lipid metabolism analytes in dogs with MCTs. Dogs with cutaneous (n = 33) or subcutaneous (n = 6) MCTs, without comorbidities, were studied. Staging was evaluated based on cytology of regional lymph nodes and ultrasound-guided liver and spleen aspiration cytology. Histologic grading and immunohistochemical staining for Ki-67 and KIT patterns were performed on excised tumor specimens. Dogs were categorized by Patnaik grading (1–3), Kiupel grading (low/high), metastatic status, Ki-67 positive nuclei per cm2 (>23 or ≤23), and KIT pattern (I, II–III). Paraoxonase-1, Butyrylcholinesterase, Cupric Reducing Antioxidant Capacity (CUPRAC), Diacron Reactive Oxygen Metabolites (d-ROMs), and oxy-adsorbent levels were measured before any therapeutic intervention. ANOVA and independent t-tests were used to detect differences in the mean values among groups. Paraoxonase-1 activity was significantly lower in Patnaik grade 3 (p = 0.003) and Kiupel high-grade (p = 0.022) MCTs. No significant differences were found in CUPRAC, d-ROMs, or oxy-adsorbent levels across different prognostic groups. This study found a significant correlation between histologic grading and Paraoxonase-1 activity, suggesting a potential role of Paraoxonase-1 as a prognostic biomarker in canine MCTs. Full article
(This article belongs to the Special Issue Antioxidant Role of High-Density Lipoprotein)
Show Figures

Figure 1

11 pages, 2202 KB  
Case Report
Long-Term Survival in Canine Hepatosplenic T-Cell Lymphoma Treated with Toceranib Phosphate Following Splenectomy: A Case of Atypical Lymphoma
by Makoto Akiyoshi, Masaharu Hisasue, Midori Goto Asakawa and Sakurako Neo
Vet. Sci. 2024, 11(10), 458; https://doi.org/10.3390/vetsci11100458 - 1 Oct 2024
Viewed by 5088
Abstract
Toceranib phosphate (toceranib) is approved for canine mast cell tumor treatment. However, no long-term response to toceranib in canine HSTCL has been reported. Here, we describe a case of a 10-year-old castrated mixed-breed dog that presented with a 3-month history of weight loss, [...] Read more.
Toceranib phosphate (toceranib) is approved for canine mast cell tumor treatment. However, no long-term response to toceranib in canine HSTCL has been reported. Here, we describe a case of a 10-year-old castrated mixed-breed dog that presented with a 3-month history of weight loss, polydipsia, and polyuria. The clinicopathological and imaging abnormalities included icterus, biliary obstruction, and splenomegaly with multiple diffuse splenic hypoechoic nodules. On day 21, a cholecystectomy was performed to remove the obstruction, followed by a liver biopsy and splenectomy. Cytology of the spleen and liver showed many small lymphocytes with intracytoplasmic granules (sGLs). Splenic and hepatic infiltration of neoplastic CD3/granzyme B-positive small cells and lymphocytic cholecystitis with granzyme B-negative small cells were noted. T-cell receptor gene clonal rearrangements were observed in the liver tissues. The dog was diagnosed with a hepatosplenic T-cell lymphoma (HSTCL) of sGLs concurrent with lymphocytic cholecystitis. The icterus resolved after surgery, but there was progressive elevation of liver enzyme levels. Toceranib was administered from day 39, resulting in decreased liver enzyme levels, and the dog remained in good condition. The dog stayed in remission after toceranib administration and survived for 460 days. Toceranib should be considered an effective treatment option for canine HSTCL. Full article
(This article belongs to the Special Issue Histopathology and Therapy in Small Animals Oncology)
Show Figures

Figure 1

12 pages, 384 KB  
Article
Retrospective Study of Clinicopathological Changes and Prediction Model for Canine Vascular Neoplasms
by Jidapa Suphonkhan, Chananchida Klaymongkol, Wijittra Khomsiri, Jedsada Wanprom, Saharuetai Jeamsripong, Narisara Chimnakboon, Anudep Rungsipipat and Araya Radtanakatikanon
Vet. Sci. 2024, 11(5), 189; https://doi.org/10.3390/vetsci11050189 - 26 Apr 2024
Cited by 2 | Viewed by 3237
Abstract
Vascular neoplasms, including hemangiosarcoma (HSA) and hemangioma (HMA), are more common in dogs than other domestic animal species; however, comprehensive laboratory screening tests for early diagnosis are currently limited. The aims of this study were to investigate general signalments, anatomic locations, and clinicopathological [...] Read more.
Vascular neoplasms, including hemangiosarcoma (HSA) and hemangioma (HMA), are more common in dogs than other domestic animal species; however, comprehensive laboratory screening tests for early diagnosis are currently limited. The aims of this study were to investigate general signalments, anatomic locations, and clinicopathological abnormalities of dogs diagnosed with vascular neoplasms and to determine the diagnostic significance of these abnormalities. Retrospective data of dogs with HMA, HSA, and healthy dogs were analyzed. Dogs with HMA and HSA were seniors, with mixed breeds being most affected. HMA affected predominantly non-visceral sites, while HSA was more common in visceral sites, particularly the spleen. In multivariate model analyses, the odds of HMA diagnosis were 5.5 times higher in anemic dogs and 33.0 times higher in lymphopenic dogs compared to dogs without the abnormalities. The odds of HSA diagnosis were 42.5 times higher in anemic dogs, 343 times higher in lymphopenic dogs and 92.7 times higher in dogs with hyperfibrinogenemia compared to dogs without the abnormalities. The study suggested that these identified abnormalities were nonspecific and commonly observed in various chronic diseases, and hence their combination with clinical information, such as diagnostic imaging and histopathology, is important to facilitate a more precise diagnosis of canine vascular neoplasms. Full article
(This article belongs to the Section Anatomy, Histology and Pathology)
Show Figures

Figure 1

10 pages, 465 KB  
Article
Pathological Characterization and Risk Factors of Splenic Nodular Lesions in Dogs (Canis lupus familiaris)
by Gloria Corvera, Raúl Alegría-Morán, Federico Francisco Cifuentes and Cristian Gabriel Torres
Animals 2024, 14(5), 802; https://doi.org/10.3390/ani14050802 - 5 Mar 2024
Cited by 4 | Viewed by 9951
Abstract
In dogs, the spleen is a secondary lymphoid organ that can be affected by both neoplastic and non-neoplastic nodules. In general, few studies relate histopathological diagnosis to tumor size and the number of nodules in spleen biopsies. Some of these studies are inconclusive [...] Read more.
In dogs, the spleen is a secondary lymphoid organ that can be affected by both neoplastic and non-neoplastic nodules. In general, few studies relate histopathological diagnosis to tumor size and the number of nodules in spleen biopsies. Some of these studies are inconclusive regarding the difference between neoplastic and non-neoplastic lesions and have small sample sizes or do not consider all splenic lesions. This study aimed to characterize splenic masses and determine risk factors for spleen tumors in dogs. A total of 507 histological reports corresponding to the diagnosis of splenic lesions in dogs from a private laboratory of animal pathology in the Metropolitan Region, Chile, were used. Data were analyzed by descriptive statistics and multiple logistic regression. The most frequent neoplastic and non-neoplastic diagnoses were hemangiosarcoma and hyperplasia, respectively. Most of the cases occurred in male (265 cases, 52.3%), senior (421 cases, 83%), and purebred individuals (342 cases, 67.5%). The most affected breeds were the Cocker Spaniel, German Shepherd, and Labrador Retriever. The most frequent lesion was a single nodule. The variables that exhibited a greater risk for the presentation of splenic neoplasia were male sex (odds ratio (OR) = 16.21; 95% confidence interval (CI) 1.741–150.879; p = 0.014), the presence of two or more splenic nodules (OR = 3.94; 95% CI 2.168–7.177; p < 0.001), an increase in nodule size greater than 2 cm (OR for quartiles 2, 3 and 4 of 2.2; 95% CI 1.036–4.941; p = 0.041, 2.9; 95% CI 1.331–6.576; p = 0.008, and 3.6; 95% CI 1.562–8.499; p = 0.003, respectively), and increasing age (OR = 1.23; 95% CI 1.048–1.436; p = 0.011). On the other hand, males exhibited a lower risk as age increases (OR = 0.76; 95% CI 0.615–0.928; p = 0.008). In conclusion, this study identified that males, multinodular presentation, nodule size, and age are risk factors for the occurrence of splenic neoplasia in dogs, knowledge that will contribute to the diagnostic management of dogs with spleen lesions. Full article
(This article belongs to the Special Issue Cancer in Animals: Surveillance and Risk Factors)
Show Figures

Figure 1

21 pages, 2874 KB  
Article
Enhancing Control of Leishmania infantum Infection: A Multi-Epitope Nanovaccine for Durable T-Cell Immunity
by Clara Hurtado-Morillas, Abel Martínez-Rodrigo, José A. Orden, Laura de Urbina-Fuentes, Alicia Mas and Gustavo Domínguez-Bernal
Animals 2024, 14(4), 605; https://doi.org/10.3390/ani14040605 - 13 Feb 2024
Cited by 4 | Viewed by 2720
Abstract
Canine leishmaniosis (CanL) is a growing health problem for which vaccination is a crucial tool for the control of disease. The successful development of an effective vaccine against this disease relies on eliciting a robust and enduring T-cell immune response involving the activation [...] Read more.
Canine leishmaniosis (CanL) is a growing health problem for which vaccination is a crucial tool for the control of disease. The successful development of an effective vaccine against this disease relies on eliciting a robust and enduring T-cell immune response involving the activation of CD4+ Th1 and CD8+ T-cells. This study aimed to evaluate the immunogenicity and prophylactic efficacy of a novel nanovaccine comprising a multi-epitope peptide, known as HisDTC, encapsulated in PLGA nanoparticles against Leishmania infantum infection in the murine model. The encapsulation strategy was designed to enhance antigen loading and sustain release, ensuring prolonged exposure to the immune system. Our results showed that mice immunized with PLGA-encapsulated HisDTC exhibited a significant reduction in the parasite load in the liver and spleen over both short and long-term duration. This reduction was associated with a cellular immune profile marked by elevated levels of pro-inflammatory cytokines, such as IFN-γ, and the generation of memory T cells. In conclusion, the current study establishes that PLGA-encapsulated HisDTC can promote effective and long-lasting T-cell responses against L. infantum in the murine model. These findings underscore the potential utility of multi-epitope vaccines, in conjunction with appropriate delivery systems, as an alternative strategy for CanL control. Full article
(This article belongs to the Special Issue Vector-Borne and Zoonotic Diseases in Dogs and Cats)
Show Figures

Figure 1

17 pages, 5328 KB  
Article
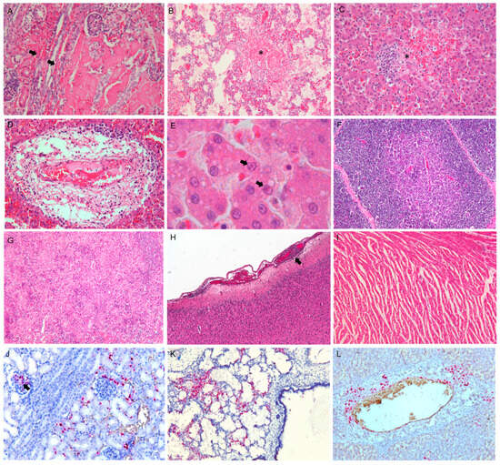
Whole-Genome Sequencing of Two Canine Herpesvirus 1 (CaHV-1) Isolates and Clinicopathological Outcomes of Infection in French Bulldog Puppies
by Angela Maria Rocchigiani, Loris Bertoldi, Elisabetta Coradduzza, Giada Lostia, Davide Pintus, Rosario Scivoli, Maria Giovanna Cancedda, Mariangela Stefania Fiori, Roberto Bechere, Anna Pina Murtino, Giovanni Pala, Giusy Cardeti, Simona Macioccu, Maria Antonietta Dettori, Antonio Pintore, Ciriaco Ligios and Giantonella Puggioni
Viruses 2024, 16(2), 209; https://doi.org/10.3390/v16020209 - 30 Jan 2024
Cited by 1 | Viewed by 3746
Abstract
Canine herpesvirus 1 (CaHV-1) infects dogs, causing neonatal death and ocular, neurological, respiratory, and reproductive problems in adults. Although CaHV-1 is widespread in canine populations, only four studies have focused on the CaHV-1 whole genome. In such context, two CaHV-1 strains from both [...] Read more.
Canine herpesvirus 1 (CaHV-1) infects dogs, causing neonatal death and ocular, neurological, respiratory, and reproductive problems in adults. Although CaHV-1 is widespread in canine populations, only four studies have focused on the CaHV-1 whole genome. In such context, two CaHV-1 strains from both the kidney and spleen of 20-day-old deceased French Bulldog puppies were recently isolated in Sardinia, Italy. The extracted viral DNA underwent whole-genome sequencing using the Illumina MiSeq platform. The Italian CaHV-1 genomes were nearly identical (>99%), shared the same tree branch, and clustered near the ELAL-1 (MW353125) and BTU-1 (KX828242) strains, enlarging the completely separated clade discussed by Lewin et al., in 2020. This study aims to provide new insights on the evolution of the CaHV-1, based on high-resolution whole-genome phylogenetic analysis, and on its clinicopathological characterization during a fatal outbreak in puppies. Full article
(This article belongs to the Section Animal Viruses)
Show Figures

Figure 1

12 pages, 1597 KB  
Article
Prevalence of Astroviruses in Different Animal Species in Poland
by Konrad Kuczera, Anna Orłowska, Marcin Smreczak, Maciej Frant, Paweł Trębas and Jerzy Rola
Viruses 2024, 16(1), 80; https://doi.org/10.3390/v16010080 - 4 Jan 2024
Cited by 8 | Viewed by 10327
Abstract
Astroviruses (AstVs) are small RNA viruses characterized by a high mutation rate, the ability to recombine, and interspecies transmission, which allows them to infect a multitude of hosts including humans, companion animals, and farmed animals as well as wildlife. AstVs are stable in [...] Read more.
Astroviruses (AstVs) are small RNA viruses characterized by a high mutation rate, the ability to recombine, and interspecies transmission, which allows them to infect a multitude of hosts including humans, companion animals, and farmed animals as well as wildlife. AstVs are stable in the environment, and their transmission is usually through the fecal–oral route or via contaminated water and food. Although direct zoonotic transmission was not confirmed, interspecies transmission events have occurred or have been indicated to occur in the past between wild and domestic animals and humans. They cause large economic losses, mainly in the poultry sector, due to gastroenteritis and mortality. In young children, they are the second most common cause of diarrhea. This study involved 166 intestine samples and pools of spleen, lymph node, and kidney samples collected from 352 wild animals, 52 pigs, and 31 companion animals. Astroviruses were detected in the intestine samples and were separately detected in pools of tissue samples prepared for individual animals using a heminested RT-PCR protocol. Amplicons were subjected to Sanger sequencing, and a phylogenetic analysis of 320 nt RNA-dependent RNA polymerase (RdRp) fragments referring to known nt sequences of astroviruses was performed. Astroviral RNA was detected in the intestine samples and/or tissue pools of red foxes (nine positive intestines and six positive tissue pools), rats (two positive intestines and three positive tissue pools), a cat (one AstV detected in an intestine sample), pigs (eight positive tissue pools), and wild boars (two positive pools of spleens, kidneys, and lymph nodes). No astroviral RNA was detected in wild mustelids, dogs, or other small wild animals including rodents. A phylogenetic analysis revealed that the astroviruses detected during this study were mostly host-specific, such as porcine, canine, and rat astroviruses that were highly homologous to the sequences of reference strains. In one of two wild boars, an AstV distinct to porcine species was found with the highest nt identity to Avastroviruses, i.e., turkey astroviruses, which suggests potential cross-species transmission of the virus, as previously described. Here, we present the first detection of astroviruses in the population of wild animals, companion animals, and pigs in Poland, confirming that astroviruses are frequent pathogens circulating in animals in the field. Our study also suggests potential cross-species transmission of Avaastrovirus to wild boars; however, further molecular characterization is needed. Full article
(This article belongs to the Section Animal Viruses)
Show Figures

Figure 1

13 pages, 2002 KB  
Article
Comparative Molecular Characterization and Pharmacokinetics of IgG1-Fc and Engineered Fc Human Antibody Variants to Insulin-like Growth Factor 2 Receptor (IGF2R)
by Chandra B. Prabaharan, Sabeena Giri, Kevin J. H. Allen, Katrina E. M. Bato, Therese R. Mercado, Mackenzie E. Malo, Jorge L. C. Carvalho, Ekaterina Dadachova and Maruti Uppalapati
Molecules 2023, 28(15), 5839; https://doi.org/10.3390/molecules28155839 - 3 Aug 2023
Cited by 2 | Viewed by 2621
Abstract
Novel therapeutic approaches are much needed for the treatment of osteosarcoma. Targeted radionuclide therapy (TRT) and radioimmunotherapy (RIT) are promising approaches that deliver therapeutic radiation precisely to the tumor site. We have previously developed a fully human antibody, named IF3, that binds to [...] Read more.
Novel therapeutic approaches are much needed for the treatment of osteosarcoma. Targeted radionuclide therapy (TRT) and radioimmunotherapy (RIT) are promising approaches that deliver therapeutic radiation precisely to the tumor site. We have previously developed a fully human antibody, named IF3, that binds to insulin-like growth factor 2 receptor (IGF2R). IF3 was used in TRT to effectively inhibit tumor growth in osteosarcoma preclinical models. However, IF3’s relatively short half-life in mice raised the need for improvement. We generated an Fc-engineered version of IF3, termed IF3δ, with amino acid substitutions known to enhance antibody half-life in human serum. In this study, we confirmed the specific binding of IF3δ to IGF2R with nanomolar affinity, similar to wild-type IF3. Additionally, IF3δ demonstrated binding to human and mouse neonatal Fc receptors (FcRn), indicating the potential for FcRn-mediated endocytosis and recycling. Biodistribution studies in mice showed a higher accumulation of IF3δ in the spleen and bone than wild-type IF3, likely attributed to abnormal spleen expression of IGF2R in mice. Therefore, the pharmacokinetics data from mouse xenograft models may not precisely reflect their behavior in canine and human patients. However, the findings suggest both IF3 and IF3δ as promising options for the RIT of osteosarcoma. Full article
Show Figures

Figure 1

17 pages, 2910 KB  
Review
Molecular Profile of Canine Hemangiosarcoma and Potential Novel Therapeutic Targets
by Pedro Antônio Bronhara Pimentel, Antonio Giuliano, Paweł Marek Bęczkowski and Rodrigo Dos Santos Horta
Vet. Sci. 2023, 10(6), 387; https://doi.org/10.3390/vetsci10060387 - 5 Jun 2023
Cited by 3 | Viewed by 17249
Abstract
Canine hemangiosarcoma (HSA) is a relatively common neoplasia, occurring mainly in the skin, spleen, liver and right atrium. Despite the numerous studies investigating the treatment of canine HSA, no significant improvement in survival has been achieved in the last 20 years. Advancements in [...] Read more.
Canine hemangiosarcoma (HSA) is a relatively common neoplasia, occurring mainly in the skin, spleen, liver and right atrium. Despite the numerous studies investigating the treatment of canine HSA, no significant improvement in survival has been achieved in the last 20 years. Advancements in genetic and molecular profiling presented molecular similarities between canine HSA and human angiosarcoma. It could therefore serve as a valuable model for investigating new and more effective treatments in people and dogs. The most common genetic abnormalities in canine HSA have been found in the phosphatidylinositol-4,5-bisphosphate 3-kinase catalytic subunit alpha (PIK3CA) and neuroblastoma RAS viral oncogene homolog (NRAS) pathways. Mutations are also found in tumor protein p53 (TP53), phosphatase and tensin homolog (PTEN) and cyclin dependent kinase inhibitor 2A (CDKN2A). Known abnormal protein expression could be exploited to trial new target treatments that could be beneficial for both canine and human patients. Despite the high expression of vascular endothelial growth factor (VEGF) and its receptor (VEGFR), no correlation with overall survival time has ever been found. In this review, we explore the most recent developments in molecular profiling in canine HSA and discuss their possible applications in the prognosis and treatment of this fatal disease. Full article
(This article belongs to the Special Issue Soft-Tissue Sarcomas in Dogs)
Show Figures

Figure 1

36 pages, 2828 KB  
Review
Diagnosis, Prognosis, and Treatment of Canine Hemangiosarcoma: A Review Based on a Consensus Organized by the Brazilian Association of Veterinary Oncology, ABROVET
by Andrigo Barboza De Nardi, Cristina de Oliveira Massoco Salles Gomes, Carlos Eduardo Fonseca-Alves, Felipe Noleto de Paiva, Laís Calazans Menescal Linhares, Gabriel João Unger Carra, Rodrigo dos Santos Horta, Felipe Augusto Ruiz Sueiro, Paulo Cesar Jark, Adriana Tomoko Nishiya, Carmen Helena de Carvalho Vasconcellos, Rodrigo Ubukata, Karen Batschinski, Renata Afonso Sobral, Simone Crestoni Fernandes, Luiz Roberto Biondi, Ricardo De Francisco Strefezzi, Julia Maria Matera, Marcelo Monte Mor Rangel, Denner Santos dos Anjos, Carlos Henrique Maciel Brunner, Renee Laufer-Amorim, Karine Germano Cadrobbi, Juliana Vieira Cirillo, Mauro Caldas Martins, Nazilton de Paula Reis Filho, Diego Fernando Silva Lessa, Roberta Portela, Carolina Scarpa Carneiro, Sílvia Regina Ricci Lucas, Heidge Fukumasu, Marcus Antônio Rossi Feliciano, Juliany Gomes Quitzan and Maria Lucia Zaidan Dagliadd Show full author list remove Hide full author list
Cancers 2023, 15(7), 2025; https://doi.org/10.3390/cancers15072025 - 29 Mar 2023
Cited by 36 | Viewed by 37012
Abstract
Hemangiosarcoma is a mesenchymal neoplasm originating in the endothelial cells of blood vessels; they can be classified as non-visceral and visceral types. Non-visceral hemangiosarcomas can affect the skin, subcutaneous tissues, and muscle tissues; visceral hemangiosarcomas can affect the spleen, liver, heart, lungs, kidneys, [...] Read more.
Hemangiosarcoma is a mesenchymal neoplasm originating in the endothelial cells of blood vessels; they can be classified as non-visceral and visceral types. Non-visceral hemangiosarcomas can affect the skin, subcutaneous tissues, and muscle tissues; visceral hemangiosarcomas can affect the spleen, liver, heart, lungs, kidneys, oral cavity, bones, bladder, uterus, tongue, and retroperitoneum. Among domestic species, dogs are most affected by cutaneous HSA. Cutaneous HSA represents approximately 14% of all HSA diagnosed in this species and less than 5% of dermal tumors, according to North American studies. However, Brazilian epidemiological data demonstrate a higher prevalence, which may represent 27 to 80% of all canine HSAs and 13.9% of all skin neoplasms diagnosed in this species. Cutaneous HSA most commonly affects middle-aged to elderly dogs (between 8 and 15 years old), with no gender predisposition for either the actinic or non-actinic forms. The higher prevalence of cutaneous HSA in some canine breeds is related to lower protection from solar radiation, as low skin pigmentation and hair coverage lead to greater sun exposure. Actinic changes, such as solar dermatosis, are frequent in these patients, confirming the influence of solar radiation on the development of this neoplasm. There are multiple clinical manifestations of hemangiosarcoma in canines. The diagnostic approach and staging classification of cutaneous HSAs are similar between the different subtypes. The definitive diagnosis is obtained through histopathological analysis of incisional or excisional biopsies. Cytology can be used as a presurgical screening test; however, it has little diagnostic utility in cases of HSA because there is a high risk of blood contamination and sample hemodilution. Surgery is generally the treatment of choice for dogs with localized non-visceral HSA without evidence of metastatic disease. Recently, electrochemotherapy (ECT) has emerged as an alternative therapy for the local ablative treatment of different neoplastic types; the use of radiotherapy for the treatment of dogs with cutaneous HSA is uncommon. There is greater consensus in the literature regarding the indications for adjuvant chemotherapy in subcutaneous and muscular HSA; doxorubicin is the most frequently used antineoplastic agent for subcutaneous and muscular subtypes and can be administered alone or in combination with other drugs. Other therapies include antiangiogenic therapy, photodynamic therapy, the association of chemotherapy with the metronomic dose, targeted therapies, and natural products. The benefits of these therapies are presented and discussed. In general, the prognosis of splenic and cardiac HSA is unfavorable. As a challenging neoplasm, studies of new protocols and treatment modalities are necessary to control this aggressive disease. Full article
(This article belongs to the Special Issue Endothelial Cells in Inflammation, Tissue Repair, Ageing and Cancer)
Show Figures

Figure 1

32 pages, 1237 KB  
Review
Pathogenesis of Anemia in Canine Babesiosis: Possible Contribution of Pro-Inflammatory Cytokines and Chemokines—A Review
by Wojciech Zygner, Olga Gójska-Zygner and Luke J. Norbury
Pathogens 2023, 12(2), 166; https://doi.org/10.3390/pathogens12020166 - 20 Jan 2023
Cited by 22 | Viewed by 11852
Abstract
Canine babesiosis is a tick-borne protozoan disease caused by intraerythrocytic parasites of the genus Babesia. The infection may lead to anemia in infected dogs. However, anemia is not directly caused by the pathogen. The parasite’s developmental stages only have a marginal role [...] Read more.
Canine babesiosis is a tick-borne protozoan disease caused by intraerythrocytic parasites of the genus Babesia. The infection may lead to anemia in infected dogs. However, anemia is not directly caused by the pathogen. The parasite’s developmental stages only have a marginal role in contributing to a decreased red blood cell (RBC) count. The main cause of anemia in affected dogs is the immune response to the infection. This response includes antibody production, erythrophagocytosis, oxidative damage of RBCs, complement activation, and antibody-dependent cellular cytotoxicity. Moreover, both infected and uninfected erythrocytes are retained in the spleen and sequestered in micro-vessels. All these actions are driven by pro-inflammatory cytokines and chemokines, especially IFN-γ, TNF-α, IL-6, and IL-8. Additionally, imbalance between the actions of pro- and anti-inflammatory cytokines plays a role in patho-mechanisms leading to anemia in canine babesiosis. This article is a review of the studies on the pathogenesis of anemia in canine babesiosis and related diseases, such as bovine or murine babesiosis and human or murine malaria, and the role of pro-inflammatory cytokines and chemokines in the mechanisms leading to anemia in infected dogs. Full article
(This article belongs to the Special Issue Immune Response of the Host and Vaccine Development)
Show Figures

Figure 1

Back to TopTop