Sign in to use this feature.

Years

Between: -

Subjects

remove_circle_outline
remove_circle_outline
remove_circle_outline
remove_circle_outline
remove_circle_outline
remove_circle_outline
remove_circle_outline
remove_circle_outline
remove_circle_outline

Journals

remove_circle_outline
remove_circle_outline
remove_circle_outline
remove_circle_outline
remove_circle_outline
remove_circle_outline
remove_circle_outline
remove_circle_outline
remove_circle_outline
remove_circle_outline
remove_circle_outline
remove_circle_outline
remove_circle_outline
remove_circle_outline

Article Types

Countries / Regions

remove_circle_outline
remove_circle_outline
remove_circle_outline
remove_circle_outline
remove_circle_outline

Search Results (767)

Search Parameters:
Keywords = calcium score

Order results
Result details
Results per page
Select all
Export citation of selected articles as:
9 pages, 262 KB  
Article
Assessment of the Association Between Whole Blood Viscosity and Coronary Artery Calcium Score
by Serkan Duyuler, Pınar Türker Duyuler, Süleyman Kalaycı, Koray Arslan, Raif Can Karabulut and Mustafa Dağlı
Medicina 2026, 62(1), 169; https://doi.org/10.3390/medicina62010169 - 14 Jan 2026
Abstract
Background and Objectives: Whole Blood Viscosity (WBV), estimated using the De Simone formula, is a key hemodynamic parameter linked to endothelial dysfunction and atherosclerosis. Its association with significant coronary calcification, defined as a high Coronary Artery Calcium Score (CACS ≥ 100), remains [...] Read more.
Background and Objectives: Whole Blood Viscosity (WBV), estimated using the De Simone formula, is a key hemodynamic parameter linked to endothelial dysfunction and atherosclerosis. Its association with significant coronary calcification, defined as a high Coronary Artery Calcium Score (CACS ≥ 100), remains unclear. This study investigated whether calculated WBV predicts high CACS. Materials and Methods: In this single-center, retrospective, cross-sectional study, 403 patients undergoing coronary computed tomography angiography for suspected stable coronary artery disease were included. Participants were stratified into CACS < 100 (n = 258) and CACS ≥ 100 (n = 145). WBV was calculated at High Shear Rate (HSR) and Low Shear Rate (LSR) using the De Simone formula. Multivariate binomial logistic regression adjusted for conventional cardiovascular risk factors was used to identify independent predictors of high CACS. Results: Patients with CACS ≥ 100 were older, more frequently male, and had a higher prevalence of diabetes and hypertension (all p < 0.01). Mean WBV did not differ significantly between groups: WBV-HSR, 4.3 ± 0.5 cP vs. 4.4 ± 0.5 cP (p = 0.456); WBV-LSR, 29.9 ± 8.0 cP vs. 30.4 ± 8.6 cP (p = 0.505). In multivariate models, neither WBV-HSR (OR: 0.489; p = 0.462) nor WBV-LSR (OR: 0.987; p = 0.520) independently predicted high CACS. Age and sex were the strongest independent predictors (p < 0.001). Conclusions: No independent association was found between calculated WBV and high CACS in this cross-sectional study. Full article
28 pages, 3293 KB  
Article
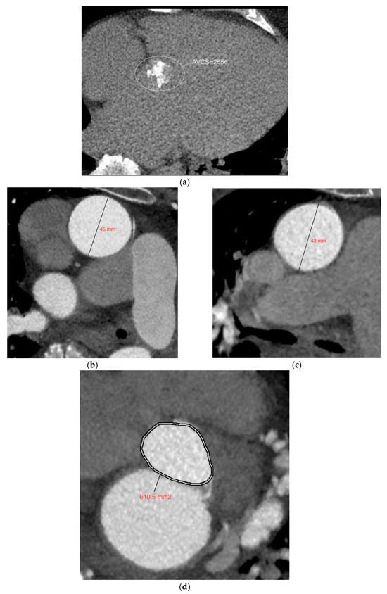
Assessment of Potential Predictors of Aortic Stenosis Severity Using ECG-Gated Multidetector CT in Patients with Bicuspid and Tricuspid Aortic Valves Prior to TAVI
by Piotr Machowiec, Piotr Przybylski and Elżbieta Czekajska-Chehab
J. Clin. Med. 2026, 15(2), 551; https://doi.org/10.3390/jcm15020551 - 9 Jan 2026
Viewed by 137
Abstract
Background/Objectives: The aim of this study was to evaluate the usefulness of selected predictive parameters obtainable from cardiac multidetector computed tomography for assessing the severity of aortic valve stenosis in patients scheduled for transcatheter aortic valve implantation (TAVI). Methods: A detailed [...] Read more.
Background/Objectives: The aim of this study was to evaluate the usefulness of selected predictive parameters obtainable from cardiac multidetector computed tomography for assessing the severity of aortic valve stenosis in patients scheduled for transcatheter aortic valve implantation (TAVI). Methods: A detailed retrospective analysis was performed on 105 patients with a bicuspid aortic valve (BAV), selected from a cohort of 1000 patients with BAV confirmed on ECG-gated CT, and on 105 patients with a tricuspid aortic valve (TAV) matched for sex and age. All patients included in both groups had significant aortic stenosis confirmed on transthoracic echocardiography. Results: Across the entire cohort, a trend toward higher aortic valve calcium scores was observed in patients with bicuspid compared to tricuspid aortic valves (4194.8 ± 2748.7 vs. 3335.0 ± 1618.8), although this difference did not reach statistical significance (p = 0.080). However, sex-stratified analysis showed higher calcium scores in males with BAV than with TAV (5596.8 ± 2936.6 vs. 4061.4 ± 1659.8, p = 0.002), with no significant difference observed among females (p > 0.05). Univariate regression analysis showed that the aortic valve calcium score was the strongest statistically significant predictor of aortic stenosis severity in both groups, with R2 = 0.224 for BAV and R2 = 0.479 for TAV. In the multiple regression model without interaction terms, the explanatory power increased to R2 = 0.280 for BAV and R2 = 0.495 for TAV. Conclusions: In patients scheduled for TAVI, linear regression models assess the severity of aortic stenosis more accurately than any individual predictive parameter obtainable from ECG-CT, with the aortic valve Agatston score emerging as the most reliable single CT-derived predictor of stenosis severity in both TAV and BAV subgroups. Full article
(This article belongs to the Special Issue Advances in Cardiovascular Computed Tomography (CT))
Show Figures

Figure 1

13 pages, 1833 KB  
Article
Comparison of Carotid Plaque Ultrasound and Computed Tomography in Patients and Ex Vivo Specimens—Agreement of Composition Analysis
by Simon Stemmler, Martin Soschynski, Martin Czerny, Thomas Zeller, Dirk Westermann and Roland-Richard Macharzina
J. Clin. Med. 2026, 15(2), 545; https://doi.org/10.3390/jcm15020545 - 9 Jan 2026
Viewed by 126
Abstract
Background: Carotid plaque composition is central to stroke risk, but some aspects of plaque characterization are derived from ex vivo imaging, while clinical decision-making relies on in vivo ultrasound (US) and computed tomography (CT). High correlation of clinical in vivo and ex vivo [...] Read more.
Background: Carotid plaque composition is central to stroke risk, but some aspects of plaque characterization are derived from ex vivo imaging, while clinical decision-making relies on in vivo ultrasound (US) and computed tomography (CT). High correlation of clinical in vivo and ex vivo imaging is necessary when including ex vivo plaque features in artificial intelligence (AI) models, but the extent of this correlation between CT and US remains poorly understood. Methods: Patients undergoing carotid endarterectomy (n = 188) were enrolled. Preoperative carotid US (n = 182) and CT (n = 156) were performed. Plaque specimens from 187 patients were imaged on ex vivo CT and US. Quantitative metrics included plaque volumes, relative calcified/non-calcified volumes, HU and grayscale distributions, Agatston and calcification scores, and heterogeneity indices (coefficient of variation). Qualitative US parameters (echogenicity, juxtaluminal echolucency, discrete white areas) were visually graded. Correlation between in vivo and ex vivo imaging was assessed, and agreement was quantified for parameters with the highest correlation with Bland–Altman analysis. Results: CT of patients and ex vivo CT showed moderate to strong correlation for total, calcified, and non-calcified plaque volumes and whole-plaque mean HU (r = 0.55–0.79; CCC = 0.43–0.74). Agatston and calcification scores correlated strongly (r = 0.78–0.80; CCC = 0.63–0.76). In contrast, most non-calcified and heterogeneity metrics showed negligible-to-weak correlation. Correlations between in vivo and ex vivo US were substantially weaker (maximum correlation: 75th grayscale percentile r = 0.35). In vivo CT overestimated calcified volume (bias: 8.7%) and in vivo US underestimated the 75th grayscale quantile (bias: −25.5 grayscale). Conclusions: Quantitative CT metrics—particularly relative calcified plaque volume and calcium scores—translate reasonably well from ex vivo to in vivo imaging and represent robust candidates for radiomics and AI-based stroke risk models, even ex vivo. Ultrasound parameters show limited translational validity, underscoring the need for volumetric clinical US and discouraging the inclusion of ex vivo ultrasound features for machine learning applications. Full article
(This article belongs to the Special Issue Artificial Intelligence and Deep Learning in Medical Imaging)
Show Figures

Figure 1

26 pages, 1576 KB  
Systematic Review
Growth Differentiation Factor 15 as a Link Between Obesity, Subclinical Atherosclerosis, and Heart Failure: A Systematic Review
by Raluca-Elena Alexa, Alexandr Ceasovschih, Bianca Codrina Morărașu, Andreea Asaftei, Mihai Constantin, Alexandra-Diana Diaconu, Anastasia Balta, Raluca Ecaterina Haliga, Victorița Șorodoc and Laurențiu Șorodoc
Medicina 2026, 62(1), 132; https://doi.org/10.3390/medicina62010132 - 8 Jan 2026
Viewed by 164
Abstract
Background and Objectives: Obesity, heart failure (HF), and atherosclerosis have common pathways, including chronic inflammation, immune cells activation, and metabolic disturbances. These pathways often coexist and overlap, increasing cardiometabolic risk. Growth differentiation factor 15 (GDF-15) is an emerging cytokine linked to inflammation, [...] Read more.
Background and Objectives: Obesity, heart failure (HF), and atherosclerosis have common pathways, including chronic inflammation, immune cells activation, and metabolic disturbances. These pathways often coexist and overlap, increasing cardiometabolic risk. Growth differentiation factor 15 (GDF-15) is an emerging cytokine linked to inflammation, oxidative stress, and metabolic dysregulation, which are common pathways between heart failure, obesity and atherosclerosis. Beyond its established prognostic value in cardiovascular diseases (CVD) and HF, recent evidence suggests that GDF-15 may also reflect subclinical atherosclerosis, potentially improving early risk stratification in obese and HF populations. The aim of this review is to synthesize current evidence on the association between GDF-15 and markers of subclinical atherosclerosis, and to evaluate whether GDF-15 may serve as an integrative biomarker reflecting shared cardiometabolic pathways. Materials and Methods: We conducted a systematic review following PRISMA recommendations registered by CRD420251267457 number on PROSPERO. PubMed, Embase, Scopus, and Web of Science were searched for human studies evaluating the correlation between markers of subclinical atherosclerosis and GDF-15 concentration. We excluded the studies not published in English, not involving human participants, and not meeting the inclusion criteria. We assessed the risk of bias using the Joanna Briggs Institute appraisal tool. Due to the heterogeneity of studies, a narrative synthesis was performed. Result: The review included 18 studies, which evaluated the association between GDF-15 and subclinical atherosclerosis markers, such as intima media thickness, coronary artery calcium score, ankle-brachial index, and atherosclerotic plaques. Studies included patients with metabolic disorders, chronic inflammatory diseases, HIV cohorts, and general population samples. Most of the studies reported that GDF-15 levels were associated with greater atherosclerotic burden; however, results were frequently influenced by confounders. Methodological limitations, such as limited or highly specified samples, cross-sectional designs, variability in atherosclerotic-imaging technique, and inconsistent adjustment for confounders, restrict generalization of the results. Conclusions: Current evidence supports GDF-15 as a biomarker integrating inflammatory and metabolic stress signals, indirectly linking obesity, HF and subclinical atherosclerosis. While current data supports its prognostic relevance, further studies are needed to confirm its clinical utility in routine assessment and preventive cardiovascular care. Full article
Show Figures

Figure 1

24 pages, 1409 KB  
Review
Predictive Biomarkers for Asymptomatic Adults: Opportunities, Risks, and Guidance for General Practice
by Christian J. Wiedermann, Giuliano Piccoliori, Adolf Engl and Doris Hager von Strobele-Prainsack
Diagnostics 2026, 16(2), 196; https://doi.org/10.3390/diagnostics16020196 - 8 Jan 2026
Viewed by 125
Abstract
Biomarker-based prevention is rapidly expanding, driven by advances in molecular diagnostics, genetic profiling, and commercial direct-to-consumer (DTC) testing. General practitioners (GPs) increasingly encounter biomarker results of uncertain relevance, often introduced outside the guideline frameworks. This creates new challenges in interpretation, communication, and equitable [...] Read more.
Biomarker-based prevention is rapidly expanding, driven by advances in molecular diagnostics, genetic profiling, and commercial direct-to-consumer (DTC) testing. General practitioners (GPs) increasingly encounter biomarker results of uncertain relevance, often introduced outside the guideline frameworks. This creates new challenges in interpretation, communication, and equitable resource use in primary care. This narrative review synthesizes evidence from population-based studies, guideline frameworks, consensus statements, and communication research to evaluate the predictive value, limitations, and real-world implications of biomarkers in asymptomatic adults. Attention is given to polygenic risk scores, DTC genetic tests, neurodegenerative and cardiovascular biomarkers, and emerging multi-omics and aging markers. Several biomarkers, including high-sensitivity cardiac troponins, N-terminal pro–B-type natriuretic peptide, lipoprotein(a), coronary artery calcium scoring, and plasma p-tau species, showed robust predictive validity. However, many widely marketed biomarkers lack evidence of clinical utility, offer limited actionable benefits, or perform poorly in primary care populations. Unintended consequences, such as overdiagnosis, false positives, psychological distress, diagnostic cascades, and widening inequities, are well documented. Patients often misinterpret unvalidated biomarker results, whereas DTC testing amplifies demand without providing adequate counseling or follow-up. Only a minority of biomarkers currently meet the thresholds of analytical validity, clinical validity, and clinical utility required for preventive use in general practices. GPs play a critical role in contextualizing biomarker results, guiding shared decision-making, and mitigating potential harm. The responsible integration of biomarkers into preventive medicine requires clear communication, strong ethical safeguards, robust evidence, and system-level support for equitable, patient-centered care. Full article
(This article belongs to the Special Issue Novel Biomarkers for Clinical Diagnosis and Prognosis)
Show Figures

Figure 1

10 pages, 855 KB  
Article
Aesthetic Rehabilitation of Patients with Central and Peripheral Facial Palsy with Injectables (BNT-A, HA-Fillers and CaHa)
by Athanasios Tsivgoulis, Eleftherios Stefas, Georgios Galatas, Georgia Papagiannopoulou, Stella Fanouraki, Maria-Ioanna Stefanou, Pinelopi Vlotinou, Christina Zompola, Georgios Tsivgoulis and Aikaterini Theodorou
J. Clin. Med. 2026, 15(1), 388; https://doi.org/10.3390/jcm15010388 - 5 Jan 2026
Viewed by 268
Abstract
Background: Facial palsy constitutes a profoundly disabling condition, often leading to marked functional deficits and a decline in facial appearance, which substantially reduces the patient’s quality of life. A combined therapy of botulinum toxin (BoNTA), hyaluronic acid (HA) and calcium hydroxylapatite (CaHA) appears [...] Read more.
Background: Facial palsy constitutes a profoundly disabling condition, often leading to marked functional deficits and a decline in facial appearance, which substantially reduces the patient’s quality of life. A combined therapy of botulinum toxin (BoNTA), hyaluronic acid (HA) and calcium hydroxylapatite (CaHA) appears promising in the pharmacological approach of these patients. Methods: We reported our single center experience of patients with facial palsy, either of central or peripheral etiology who were treated with the combination of BoNTA, HA and CaHA, during a 6-month period (January 2025–June 2025). Results: Eight consecutive adult patients [mean age: 49.50 ± 7.95 years, 6 (75%) female] with facial palsy, either of central (4 patients) or peripheral (4 patients) etiology, received the combination of BoNTA, HA and CaHA. No serious adverse reactions were documented. Localized bruising and swelling at injection sites resolved without requiring any additional intervention. Facial Disability Index (FDI) was assessed both prior to and following treatment. The functional subscale increased from 65.63 ± 16.13 to 80.63 ± 10.50 (improvement rate = 24.4%, p-value = 0.002), while the psychosocial subscale increased from 63.00 ± 17.34 to 74.50 ± 10.89 (improvement rate = 18.3%, p-value = 0.004). Consequently, the total FDI score improved from 128.63 ± 28.92 to 155.13 ± 17.96 (overall improvement = 20.6%, p-value = 0.001). Conclusions: The present case series underscores the potential therapeutic role of CaHA as an adjunct to BoNTA and HA injections in patients with central or peripheral facial palsy. Full article
(This article belongs to the Special Issue Stroke Care: From Acute Interventions to Long-Term Recovery)
Show Figures

Figure 1

15 pages, 953 KB  
Article
Nutrient Intake, Dairy Consumption, Past Fractures, and Lifestyle Correlates of Forearm Bone Mineral Density in Adolescent Boys with Myelomeningocele
by Joanna Cieplińska and Anna Kopiczko
Nutrients 2026, 18(1), 154; https://doi.org/10.3390/nu18010154 - 2 Jan 2026
Viewed by 253
Abstract
Background/Objectives: This cross-sectional study aimed to evaluate the relationship between nutritional intake (energy, protein, calcium, number of meals, number of dairy products) and other factors (physical activity, past fractures, body composition) with forearm bone parameters in adolescent boys with myelomeningocele (MMC). Methods [...] Read more.
Background/Objectives: This cross-sectional study aimed to evaluate the relationship between nutritional intake (energy, protein, calcium, number of meals, number of dairy products) and other factors (physical activity, past fractures, body composition) with forearm bone parameters in adolescent boys with myelomeningocele (MMC). Methods: This study included 63 boys with MMC aged 11.9 ± 1.8 years, 30 active boys with MMC and 33 inactive boys with MMC. Bone mineral density (BMD) and bone mineral content (BMC) in the distal (dis) and proximal (prox) parts of the forearm were measured by densitometry. Diet was assessed using an FFQ and 24 h dietary recalls. Energy, protein, and calcium intake were calculated using the Diet 6.0 software. Data were collected on past fractures and physical activity (PA min/day). Results: The active MMC group, compared to the inactive group, had significantly higher BMD dis and prox, BMC dis, and Z-scores (Hedges’ g: medium effect). Significant relationships between BMD dis were demonstrated with the number of dairy products (n/day) (F = 6.66; η2 = 0.116) and protein intake (g/day) (F = 15.27; η2 = 0.230). BMC dis was affected only by PA (min/day) (F = 9.80; η2 = 0.161). The parameters affecting BMD prox were the number of dairy products (n/day) (F = 9.95; η2 = 0.163) and protein (g/day) (F = 12.95; η2 = 0.202). BMC prox was affected only by PA (min/day) (F = 4.39; η2 = 0.079). Conclusions: Overall, bone health in boys with MMC appears to be primarily influenced by nutritional factors—particularly dairy intake and protein—as well as by physical activity. These results underscore the need for early nutritional screening and further research on additional bone-related dietary components to optimize nutritional recommendations for this population. Full article
(This article belongs to the Section Nutrition and Metabolism)
Show Figures

Figure 1

18 pages, 437 KB  
Article
Effects of Dietary Starch Level and Calcium Salts of Palm Fatty Acids on Carcass Traits and Meat Quality of Lambs
by Joyanne Mirelle Sousa Ferreira, Hérick Pachêco Rodrigues, Maria Izabel Batista Pereira, Lais Santos Trajano, Ligia Lins Souza, Henry Daniel Ruiz Alba, José Esler de Freitas Junior, Gleidson Giordano Pinto de Carvalho, Douglas dos Santos Pina, Stefanie Alvarenga Santos and José Augusto Gomes Azevêdo
Agriculture 2026, 16(1), 98; https://doi.org/10.3390/agriculture16010098 - 31 Dec 2025
Viewed by 320
Abstract
This study aimed to investigate the interactive effects of dietary starch concentration (220 or 420 g/kg DM) and supplementation with calcium salts of palm fatty acids (CSPFAs; 0 or 30 g/kg DM) on carcass characteristics and meat quality in lambs. Thirty-two castrated Dorper [...] Read more.
This study aimed to investigate the interactive effects of dietary starch concentration (220 or 420 g/kg DM) and supplementation with calcium salts of palm fatty acids (CSPFAs; 0 or 30 g/kg DM) on carcass characteristics and meat quality in lambs. Thirty-two castrated Dorper × Santa Inês male lambs (initial body weight 25.0 ± 2.85 kg) were randomly assigned to four experimental diets in a 2 × 2 factorial arrangement for 44 days. Although carcass yield remained unaffected (average 49.4%; p > 0.05), CSPFA supplementation significantly increased fat deposition, including perirenal fat mass (590 vs. 400 g; p = 0.005), renal fat score (2.90 vs. 2.66; p = 0.035), and subcutaneous fat thickness (3.8 vs. 1.9 mm; p = 0.017). A starch × CSPFA interaction (p = 0.014) was observed for carcass cooling, where high-starch diets reduced the 24 h temperature only in lambs not receiving CSPFA (7.45 vs. 8.48 °C; p = 0.028). CSPFA also altered the muscle fatty acid profile by increasing C16:0 and total saturated fatty acids (SFA) while reducing polyunsaturated fatty acids (PUFA). In conclusion, palm-oil–derived CSPFA enhances carcass fatness but compromises the nutritional value of lamb meat by promoting an unfavorable fatty acid profile. Full article
Show Figures

Figure 1

16 pages, 1107 KB  
Article
Spectrum of Osteoporosis Etiologies with Associated Vertebral Compression Fractures in Children: Analysis of 11 Cases
by Sara Aszkiełowicz, Anna Łupińska, Izabela Michałus, Arkadiusz Zygmunt and Renata Stawerska
J. Clin. Med. 2026, 15(1), 123; https://doi.org/10.3390/jcm15010123 - 24 Dec 2025
Viewed by 263
Abstract
Background/Objectives: Pediatric osteoporosis is a multifactorial condition characterized by impaired bone mineralization and increased fracture risk, particularly vertebral compression fractures. This study aims to evaluate the diverse etiology, diagnostic challenges, and treatment options for pediatric osteoporosis in a cohort of affected children. [...] Read more.
Background/Objectives: Pediatric osteoporosis is a multifactorial condition characterized by impaired bone mineralization and increased fracture risk, particularly vertebral compression fractures. This study aims to evaluate the diverse etiology, diagnostic challenges, and treatment options for pediatric osteoporosis in a cohort of affected children. Methods: We reviewed eleven pediatric patients (aged 5–16 years) diagnosed with vertebral fractures and osteoporosis, who were hospitalized between 2020 and 2024 at the Department of Endocrinology and Metabolic Diseases at PMMH-RI in Lodz. Clinical evaluation included medical history, physical examination, biochemical markers of bone metabolism, and imaging techniques such as dual-energy X-ray absorptiometry (DXA) to determine underlying causes of bone fragility. Results: The cohort presented a broad etiological spectrum, including seven patients with genetic disorders (e.g., mutations in COL1A1, LRP5, SGMS2, and ALPL genes) and secondary osteoporosis due to chronic diseases requiring prolonged glucocorticoid therapy (two patients with Duchenne muscular dystrophy (DMD), one patient with Crohn’s disease) or endocrinological disorders (one patient with Cushing disease). Vertebral fractures were confirmed in all patients, with back pain as the predominant symptom. Low bone mass (BMD Z-score < −2.0) was observed in eight individuals; in others, clinical signs of skeletal fragility were present despite Z-scores above this threshold. Mild biochemical abnormalities included hypercalciuria (3/11 cases) and vitamin D deficiency (6/11 cases). Height adjustment improved BMD interpretation in short-stature patients. Most children received bisphosphonate therapy, supplemented with calcium and vitamin D. In two patients, bisphosphonates were not used due to lack of parental consent or underlying conditions in which such treatment is not recommended. Conclusions: Pediatric osteoporosis requires a multidisciplinary diagnostic and therapeutic approach, integrating clinical, biochemical, and genetic factors. It is a heterogeneous and often underrecognized condition, with vertebral fractures frequently serving as its earliest sign—even in the absence of overt symptoms or low bone mass. This underscores the need for clinical vigilance, as significant skeletal fragility may occur despite normal BMD values. Importantly, pediatric osteoporosis may also impact the attainment of peak bone mass and ultimately affect final adult height. Early diagnosis through thorough assessment, including height-adjusted DXA, and a multidisciplinary approach are essential to ensure timely management and prevent long-term complications. Full article
(This article belongs to the Special Issue New Insights in Paediatric Endocrinology)
Show Figures

Figure 1

16 pages, 777 KB  
Article
Bone Turnover Markers (CTX and P1NP) Following Low-Carbohydrate and Mediterranean Diet Interventions in Adolescents and Young Adults with Type 1 Diabetes
by Neriya Levran, Noah Levek, Yael Levy-Shraga, Noah Gruber, Rina Hemi, Ehud Barhod, Liana Tripto-Shkolnik, Arnon Afek, Efrat Monsonego-Ornan and Orit Pinhas-Hamiel
Nutrients 2025, 17(24), 3935; https://doi.org/10.3390/nu17243935 - 16 Dec 2025
Viewed by 514
Abstract
Background: Impaired bone health is a recognized complication of type 1 diabetes. This study evaluated the effects of low-carbohydrate (LC) and Mediterranean (MED) diets on bone turnover markers in adolescents and young adults. Methods: In a 24-week randomized controlled trial, 40 [...] Read more.
Background: Impaired bone health is a recognized complication of type 1 diabetes. This study evaluated the effects of low-carbohydrate (LC) and Mediterranean (MED) diets on bone turnover markers in adolescents and young adults. Methods: In a 24-week randomized controlled trial, 40 individuals aged 12–21 years, with type 1 diabetes, were assigned to an LC or MED intervention (20 participants per group). C-terminal telopeptide (CTX) and procollagen type 1 N-terminal propeptide (P1NP) were measured at baseline and 24 weeks. Results: The groups had similar baselines. At 24 weeks, the between-group difference in delta glucose time in range was not statistically significant; median daily carbohydrate intake was 86 g (68–95) in LC and 130 g (102–173) in MED (p < 0.001). Comparing LC to MED, the median BMI z-score was lower (−0.1 [−0.3 to −0.1] vs. 0.0 [−0.1 to −0.1], p = 0.10), and calcium (p = 0.035) and magnesium intakes (p = 0.030) were lower. These associations did not remain statistically significant after false-discovery-rate correction. The median-adjusted alkaline phosphatase level decreased significantly in the LC group (p = 0.009). The median CTX changed following LC from 395 pg/mL (232–591) to 423 pg/mL (289–591) (p = 0.278); and following MED, from 357 pg/mL (244–782) to 296 pg/mL (227–661) (p = 0.245). P1NP changed in LC from 95 ng/mL (68–112) to 88 ng/mL (62–97) (p = 0.056) and in MED from 76 ng/mL (54–198) to 71 ng/mL (55–122) (p = 0.594). Conclusions: Exploratory analyses of bone turnover markers showed insignificant differences following LC and MED diets. Full article
(This article belongs to the Section Nutrition and Diabetes)
Show Figures

Figure 1

10 pages, 228 KB  
Article
Micronutrient Deficiency and Nutritional Status Among Indonesian Children Under Five Years of Age: Evidence from National Survey Data
by Fitrah Ernawati, Sherry A. Tanumihardjo, Galih Kusuma Aji, Fifi Retiaty, Aya Yuriestia Arifin, Efriwati Efriwati, Dian Sundari, Nunung Nurjanah, Elisa Diana Julianti, Salimar Salimar, Budi Setyawati, Nuri Andarwulan, Noviati Fuada, Muhammad Abshor Dzulhij Rizki and Muhammad Nur Aidi
Nutrients 2025, 17(24), 3926; https://doi.org/10.3390/nu17243926 - 15 Dec 2025
Viewed by 526
Abstract
Background: Malnutrition and micronutrient deficiencies remain significant public health burdens among Indonesian children under five years of age. This study assessed the relationship between growth indicators and micronutrient status of children aged 0–59 months. Methods: A cross-sectional design was performed, utilizing [...] Read more.
Background: Malnutrition and micronutrient deficiencies remain significant public health burdens among Indonesian children under five years of age. This study assessed the relationship between growth indicators and micronutrient status of children aged 0–59 months. Methods: A cross-sectional design was performed, utilizing the 2018 Indonesian Basic Health Research (Riskesdas) data and biological specimens, including 550 samples from children aged between 0 and 59 months old. The Riskesdas data used in this study were demographic characteristics, anthropometric measurements, and nutritional status. The biological samples were used to measure micronutrients (iron, zinc, calcium, vitamin A (VA), and vitamin D (VD). Results: Overall, 23.1% of children were stunted, and 10.5% were wasted. This study also revealed that the prevalence of micronutrient deficiency was 34.2%, 38.7%, 8.2%, 7.8%, and 0.4% for ferritin, zinc, calcium, VA, and VD, respectively. Moreover, wasting was significantly higher in girls (13.5%) than in boys (8.2%, p = 0.044). Stunted children had significantly lower ferritin values, while wasted children had lower VA concentrations. In contrast, VD was lower in overweight children. Lastly, this study found that height for age Z-scores (HAZ score) and Body Mass Index (BMI) for age Z-scores (BAZ score) correlated positively with ferritin, zinc, and calcium levels. Conclusions: Stunting, wasting, and multiple micronutrient deficiencies remain prevalent among Indonesian children under five years of age. Strengthening nutrition interventions, in particular for iron, zinc, VA, and VD, is essential to improve child growth and health outcomes in this population. Full article
(This article belongs to the Section Pediatric Nutrition)
16 pages, 295 KB  
Article
Nutrient Intake and Menopausal Symptoms in Perimenopausal Women
by Miriam Bernadette Murphy, Geraldine Cuskelly and Patricia Heavey
Nutrients 2025, 17(24), 3887; https://doi.org/10.3390/nu17243887 - 12 Dec 2025
Viewed by 1421
Abstract
Background/Objective: Perimenopause, the final years of a woman’s reproductive life, may be symptomatic, affecting health and wellbeing. Lifestyle factors, such as diet, may alleviate these symptoms and improve health. Understanding nutrient intake at this stage of life is critical for tailoring dietary recommendations. [...] Read more.
Background/Objective: Perimenopause, the final years of a woman’s reproductive life, may be symptomatic, affecting health and wellbeing. Lifestyle factors, such as diet, may alleviate these symptoms and improve health. Understanding nutrient intake at this stage of life is critical for tailoring dietary recommendations. This study investigated the nutrient intake of perimenopausal women in relation to adult guidelines and explored the associations between nutrients and symptoms. Methods: Irish perimenopausal women were recruited (>40 years old). Participants reported symptom severity via the Menopause Rating Scale (MRS). They completed a 4-day food diary along with a physical activity (PA) and demographic questionnaire. Hierarchal multiple regression was used to test the relationship between MRS and nutrients. A one-sample t-test or Wilcoxon signed-rank test was used to compare nutrient intake to the guidelines. Results: Participants (n = 63) had a mean age of 47.8 ± 3.5 years, a body mass index (BMI) of 27.0 ± 3.9 kg/m2 and an overall MRS score of 13.5 ± 6.9. Participants were not meeting dietary reference values (DRVs) for most nutrients, with intakes significantly below guidelines for fibre (p < 0.001), total vitamin D (p = 0.031), calcium (p < 0.001), and iron (p < 0.001), and exceeding guidelines for saturated fat (p < 0.001). Hierarchal multiple regression models (adjusted for BMI, age, marital status, and PA) showed that Vitamin E intake was a predictor of a higher urogenital sub-score (β = 0.405, p < 0.001). Conclusions: There was variable adherence amongst midlife women to dietary guidelines, which may impact on both current and future health status. Public health initiatives are required to address this. Full article
12 pages, 1479 KB  
Article
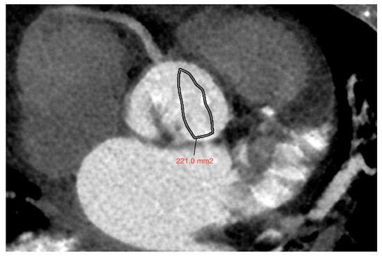
Aortic Valve Calcium Scoring Using True and Virtual Non-Contrast Reconstructions on Photon-Counting CT with Differing Slice Increments: Impact on Calcium Severity Classifications
by Mandeep Singh, Amirhossein Moaddab, Doosup Shin, Jonathan Weber, Karen Chau, Ali H. Dakroub, Roosha Parikh, Karli Pipitone, Ziad A. Ali and Omar K. Khalique
Tomography 2025, 11(12), 139; https://doi.org/10.3390/tomography11120139 - 11 Dec 2025
Viewed by 493
Abstract
Background/Objectives: Aortic valve calcification is commonly evaluated using 3.0 mm true non-contrast (TNC) computed tomography (CT) images. This study evaluates the reproducibility of virtual non-contrast (VNC) reconstructions at different slice intervals using photon-counting detector CT (PCD-CT). Methods: In this retrospective study, [...] Read more.
Background/Objectives: Aortic valve calcification is commonly evaluated using 3.0 mm true non-contrast (TNC) computed tomography (CT) images. This study evaluates the reproducibility of virtual non-contrast (VNC) reconstructions at different slice intervals using photon-counting detector CT (PCD-CT). Methods: In this retrospective study, we included 279 consecutive patients, who underwent PCD-CT for evaluation of native aortic valve between February 2023 and December 2023 with both TNC and VNC images at 3.0 and 1.5 mm slice intervals. Aortic valve calcium score (AVCS) and aortic valve calcium volume (AVCV) were compared between the two methods using paired t-tests. Agreement for continuous variables was assessed using inter-class coefficients (ICCs). Cohen’s Kappa (κ) was calculated to evaluate the agreement between different modalities in diagnosing severe AV calcification. Results: Compared to the standard, TNC images at 1.5 mm intervals showed higher AVCS (mean difference: −290 ± 418, p < 0.001), with high reproducibility between techniques (CS: ICC 0.969, [IQR 0.962, 0.975]). Compared with reference, VNC showed no significant differences in AVCS at either slice intervals, with excellent reproducibility (3.0 mm, ICC 0.970 [0.963, 0.976]; 1.5 mm, ICC 0.971 [0.964, 0.977]). Compared to TNC 3.0 mm, strong concordance was observed using other reconstruction techniques in assessing severe AV calcification (κ = 0.81 [95% CI: 0.74–0.88], 0.83 [95% CI: 0.76–0.90], and 0.83 [95% CI: 0.76–0.90] for TNC at 1.5 mm, VNC at 3.0 mm, and 1.5 mm, respectively), with low misclassification rates. Conclusions: Our study highlights high reproducibility in the evaluation of AVCS by VNC reconstruction at 3.0 and 1.5 mm intervals compared with reference offering a reliable alternative with an excellent diagnostic accuracy. Full article
(This article belongs to the Section Cardiovascular Imaging)
Show Figures

Figure 1

16 pages, 5799 KB  
Article
Diagnosis of Nutritional Deficiencies in Coffee Plants Through Automated Analysis of Digital Images Using Deep Learning in Uncontrolled Agricultural Environments
by Carlos Calderón-Mosilot, Ulises Tapia-Gálvez, Juan Arcila-Diaz and Heber I. Mejia-Cabrera
AgriEngineering 2025, 7(12), 421; https://doi.org/10.3390/agriengineering7120421 - 8 Dec 2025
Viewed by 562
Abstract
This study aimed to develop a deep learning-based application for the automatic detection of nutritional deficiencies in coffee plants through the analysis of in-field leaf images. Images were collected from farms in the Shipasbamba district and classified into six deficiency types: nitrogen (N), [...] Read more.
This study aimed to develop a deep learning-based application for the automatic detection of nutritional deficiencies in coffee plants through the analysis of in-field leaf images. Images were collected from farms in the Shipasbamba district and classified into six deficiency types: nitrogen (N), phosphorus (P), potassium (K), calcium (Ca), magnesium (Mg), and iron (Fe). A total of 2643 leaves were labeled and preprocessed for model training. Several YOLO architectures were evaluated, with YOLO11x achieving the best performance after 100 epochs, reaching a precision of 88.98%, recall of 88.54%, F1-Score of 88.76%, and mAP50 of 92.68%. An interactive web application was developed to allow real-time image upload and processing, providing both graphical and textual feedback on detected deficiencies. These results demonstrate the model’s effectiveness for automated diagnosis and its potential to support coffee growers in timely, data-driven decision-making, ultimately improving nutrient management and reducing production losses. Full article
Show Figures

Figure 1

19 pages, 14381 KB  
Article
Towards Explainable Computational Toxicology: Linking Antitargets to Rodent Acute Toxicity
by Ilia Nikitin, Igor Morgunov, Victor Safronov, Anna Kalyuzhnaya and Maxim Fedorov
Pharmaceutics 2025, 17(12), 1573; https://doi.org/10.3390/pharmaceutics17121573 - 5 Dec 2025
Viewed by 708
Abstract
Objectives: One of the major trends in modern computational toxicology is the development of explainable predictive tools. However, the complex nature of the mechanistic representation of biological organisms and the lack of relevant data remain limiting factors. Methods: This work provides a publicly [...] Read more.
Objectives: One of the major trends in modern computational toxicology is the development of explainable predictive tools. However, the complex nature of the mechanistic representation of biological organisms and the lack of relevant data remain limiting factors. Methods: This work provides a publicly available dataset of 12,654 compounds with mouse intravenous LD50 values, as well as docking scores (Vina-GPU 2.0) against 44 toxicity-associated proteins. NIH and Brenk filters were applied to refine the chemical space. Results: Across the entire protein panel, the human ether-a-go-go–related gene channel (hERG/KCNH2), vasopressin receptor 1A (AVPR1A), the L-type voltage-gated calcium channel Cav1.2 (CACNA1C), the potassium voltage-gated channel subfamily KQT member 1 (KCNQ1) and endothelin receptor A (EDNRA) showed the strongest association with acute toxicity. Statistically significant differences were found in the distribution of LD50 values for compounds that bind antitargets compared with non-binders. Using known bioactive molecules such as anisodamine, butaperazine, soman, and several cannabinoids as examples confirmed the effectiveness of inverse docking for elucidating mechanism of action. Conclusions: The dataset offers a resource to advance transparent, mechanism-aware toxicity modeling. The data is openly available. Full article
Show Figures

Figure 1

Back to TopTop