Sign in to use this feature.

Years

Between: -

Subjects

remove_circle_outline
remove_circle_outline
remove_circle_outline
remove_circle_outline
remove_circle_outline

Journals

Article Types

Countries / Regions

Search Results (18)

Search Parameters:
Keywords = caecum fermentation

Order results
Result details
Results per page
Select all
Export citation of selected articles as:
18 pages, 5047 KB  
Article
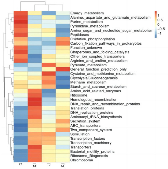
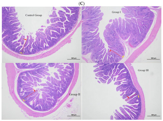
Organic Iodine Improves the Growth Performance and Gut Health of Fujian Yellow Rabbits
by Qinghua Liu, Yeqiu Zhang, Jie Zhang, Zhijian Du, Bixian He, Juanqing Qin, Liping Zhang and Jing Zhang
Animals 2024, 14(13), 1935; https://doi.org/10.3390/ani14131935 - 29 Jun 2024
Cited by 1 | Viewed by 4294
Abstract
Organic iodine is a new trace element additive that is highly efficient in regulating cell growth, function, and metabolism. This study demonstrated that organic iodine improves the growth performance and gut health of Fujian yellow rabbits. A total of 160 healthy rabbits of [...] Read more.
Organic iodine is a new trace element additive that is highly efficient in regulating cell growth, function, and metabolism. This study demonstrated that organic iodine improves the growth performance and gut health of Fujian yellow rabbits. A total of 160 healthy rabbits of similar weight were randomly divided into four groups, which were treated with organic iodine (0, 0.5, 1.0, and 1.5 mg/kg) for 60 days. Our results indicated that organic iodine improved the growth performance, including significantly increased BW, ADG, and ADFI, and decreased F/G notably. Organic iodine improved the content of T3, T4, IgM, IgA, and IgM in serum, and intestinal mucosal immunity (IL-1α, IL-2, and sIgA). Organic iodine supplementation ameliorated gut morphometry and morphology, such as higher villus height and lower crypt depth. Organic iodine increased the amount of goblet cells significantly. The 0.5 mg/kg organic iodine most increased the activities of amylase, cellulase, and trypsin in caecum. Organic iodine induced more active caecum fermentation, higher NH3-N, acetic acid, propionic acid, and butyric acid, while lowering PH. In conclusion, organic iodine improved the growth performance and gut morphometry and morphology, and increased caecum enzyme activities, active caecum fermentation, and intestinal immunity of Fujian yellow rabbits. Full article
(This article belongs to the Section Mammals)
Show Figures

Figure 1

16 pages, 4061 KB  
Article
In Vivo Expression of Chicken Gut Anaerobes Identifies Carbohydrate- or Amino Acid-Utilising, Motile or Type VI Secretion System-Expressing Bacteria
by Jana Rajova, Michal Zeman, Zuzana Seidlerova, Lenka Vlasatikova, Jitka Matiasovicova, Alena Sebkova, Marcela Faldynova, Hana Prikrylova, Daniela Karasova, Magdalena Crhanova, Pavel Kulich, Vladimir Babak, Jiri Volf and Ivan Rychlik
Int. J. Mol. Sci. 2024, 25(12), 6505; https://doi.org/10.3390/ijms25126505 - 13 Jun 2024
Cited by 3 | Viewed by 1637
Abstract
Complex gut microbiota increases chickens’ resistance to enteric pathogens. However, the principles of this phenomenon are not understood in detail. One of the possibilities for how to decipher the role of gut microbiota in chickens’ resistance to enteric pathogens is to systematically characterise [...] Read more.
Complex gut microbiota increases chickens’ resistance to enteric pathogens. However, the principles of this phenomenon are not understood in detail. One of the possibilities for how to decipher the role of gut microbiota in chickens’ resistance to enteric pathogens is to systematically characterise the gene expression of individual gut microbiota members colonising the chicken caecum. To reach this aim, newly hatched chicks were inoculated with bacterial species whose whole genomic sequence was known. Total protein purified from the chicken caecum was analysed by mass spectrometry, and the obtained spectra were searched against strain-specific protein databases generated from known genomic sequences. Campylobacter jejuni, Phascolarctobacterium sp. and Sutterella massiliensis did not utilise carbohydrates when colonising the chicken caecum. On the other hand, Bacteroides, Mediterranea, Marseilla, Megamonas, Megasphaera, Bifidobacterium, Blautia, Escherichia coli and Succinatimonas fermented carbohydrates. C. jejuni was the only motile bacterium, and Bacteroides mediterraneensis expressed the type VI secretion system. Classification of in vivo expression is key for understanding the role of individual species in complex microbial populations colonising the intestinal tract. Knowledge of the expression of motility, the type VI secretion system, and preference for carbohydrate or amino acid fermentation is important for the selection of bacteria for defined competitive exclusion products. Full article
(This article belongs to the Special Issue Microbiome and Metabolome in the Gastrointestinal Tract, 2nd Edition)
Show Figures

Figure 1

19 pages, 2244 KB  
Article
Effect of Stool Sampling on a Routine Clinical Method for the Quantification of Six Short Chain Fatty Acids in Stool Using Gas Chromatography–Mass Spectrometry
by Tarek Mahdi, Aurore Desmons, Pranvera Krasniqi, Jean-Marc Lacorte, Nathalie Kapel, Antonin Lamazière, Salma Fourati and Thibaut Eguether
Microorganisms 2024, 12(4), 828; https://doi.org/10.3390/microorganisms12040828 - 19 Apr 2024
Cited by 3 | Viewed by 4430
Abstract
Short chain fatty acids (SCFAs) are primarily produced in the caecum and proximal colon via the bacterial fermentation of undigested carbohydrates that have avoided digestion in the small intestine. Increasing evidence supports the critical role that SCFAs play in health and homeostasis. Microbial [...] Read more.
Short chain fatty acids (SCFAs) are primarily produced in the caecum and proximal colon via the bacterial fermentation of undigested carbohydrates that have avoided digestion in the small intestine. Increasing evidence supports the critical role that SCFAs play in health and homeostasis. Microbial SCFAs, namely butyric acid, serve as a principal energy source for colonocytes, and their production is essential for gut integrity. A direct link between SCFAs and some human pathological conditions, such as inflammatory bowel disease, irritable bowel syndrome, diarrhea, and cancer, has been proposed. The direct measurement of SCFAs in feces provides a non-invasive approach to demonstrating connections between SCFAs, microbiota, and metabolic diseases to estimate their potential applicability as meaningful biomarkers of intestinal health. This study aimed to adapt a robust analytical method (liquid–liquid extraction, followed by isobutyl chloroformate derivatization and GC–MS analysis), with comparable performances to methods from the literature, and to use this tool to tackle the question of pre-analytical conditions, namely stool processing. We focused on the methodology of managing stool samples before the analysis (fresh stool or dilution in either ethanol/methanol, lyophilized stool, or RNAlater®), as this is a significant issue to consider for standardizing results between clinical laboratories. The objective was to standardize methods for future applications as diagnostic tools. In this paper, we propose a validated GC–MS method for SCFA quantification in stool samples, including pre- and post-analytical comparison studies that could be easily used for clinical laboratory purposes. Our results show that using lyophilization as a stool-processing method would be the best method to achieve this goal. Full article
(This article belongs to the Section Gut Microbiota)
Show Figures

Figure 1

10 pages, 1064 KB  
Article
Small Colon Faecalith with Large Colon Displacement in Ten Cases (2015–2023): A Detailed Case Description and Literature Review
by Nicola Scilimati, Anna Cerullo, Sara Nannarone, Rodolfo Gialletti, Gessica Giusto and Alice Bertoletti
Animals 2024, 14(2), 262; https://doi.org/10.3390/ani14020262 - 15 Jan 2024
Viewed by 2435
Abstract
Small colon impaction can result in accumulation of ingesta, gas, and fluid orally to the impaction site in horses. Large colon tympany, which is caused by ingesta fermentation, can be a predisposing factor for intestinal displacement. The aim of this study is to [...] Read more.
Small colon impaction can result in accumulation of ingesta, gas, and fluid orally to the impaction site in horses. Large colon tympany, which is caused by ingesta fermentation, can be a predisposing factor for intestinal displacement. The aim of this study is to report the history, clinical, and surgical findings of horses and ponies referred for abdominal pain not responsive to drugs where a right dorsal displacement (RDD) or large colon volvulus (LCV), together with a small colon faecalith (SCF), were diagnosed during surgery. This study included a total of five horses and five ponies. Based on clinical features, ultrasonographic examination, and rectal palpation, an initial suspected diagnosis of RDD, LCV or severe large colon and caecum distension was made in all clinical cases. Due to the lack of response to medical treatment or worsening of colic symptoms, surgery was performed in all horses: diagnosis of RDD or LCV was made and a SCF was incidentally detected in all cases. While exploratory laparotomy was carried out in all the patients for the presence of a large colon issue, it was probably subsequent to an obstruction of the small colon caused by the presence of an SCF, which is generally difficult to diagnose. This study reported the presence of SCF as a possible cause of secondary RDD or LCV in horses and ponies that, to the authors’ knowledge, has never been reported. Full article
Show Figures

Figure 1

15 pages, 614 KB  
Article
Effect of Agroindustrial Waste Substrate Fermented with Lactic Acid Bacteria and Yeast on Changes in the Gut Microbiota of Guinea Pigs
by José Miranda-Yuquilema, Juan Taboada, Verónica Once, Marco Coyago and Wilfrido Briñez
Microorganisms 2024, 12(1), 133; https://doi.org/10.3390/microorganisms12010133 - 10 Jan 2024
Cited by 5 | Viewed by 2938
Abstract
The aim of the study was to evaluate the impact of probiotics obtained from an agroindustrial waste substrate fermented with lactic acid bacteria and/or yeasts on the health and changes in the microbiota of the digestive tract of guinea pigs. Eighty male guinea [...] Read more.
The aim of the study was to evaluate the impact of probiotics obtained from an agroindustrial waste substrate fermented with lactic acid bacteria and/or yeasts on the health and changes in the microbiota of the digestive tract of guinea pigs. Eighty male guinea pigs, Kuri breed, 30 days old and 250 g live weight, were randomly selected and divided into four groups of 20 animals each: T0, control; T1, Lactobacillus acidophilus and L. bulgaricus; T2, Saccharomyces cerevisiae and Kluyveromyces fragilis; and T3. L. acidophilus, L. bulgariccus, S. cerevisiae and K. fragilis. T1, T2 and T3 contained molasses-vinasse substrate in their base, the dose administered was 1.00 mL/animal orally every 3 days. The indicators evaluated were weight gain, occurrence of diarrhea and mortality, macroscopic lesions in the digestive tract organs and changes in the microbiota of the stomach, caecum, small and large intestine. Treatments T1, T2 and T3 improved weight gain (p < 0.05) and reduced the presence of guinea pigs with diarrhea (p < 0.05) and there was no mortality; animals in the control group presented a greater amount (p < 0.05) of macroscopic lesions in the digestive tract organs; in the T1, T2 and T3 groups there was an improvement in the natural microbiota. It is concluded that the inclusion of a microbial additive in young guinea pigs improves intestinal health and consequently improves weight gain, reduces diarrhea and deaths and normalizes the natural microbiota of the gastrointestinal tract. Full article
(This article belongs to the Special Issue Intestinal Probiotics)
Show Figures

Figure 1

11 pages, 573 KB  
Article
Forage:Concentrate Ratio Effects on In Vivo Digestibility and In Vitro Degradability of Horse’s Diet
by Fabio Zicarelli, Raffaella Tudisco, Daria Lotito, Nadia Musco, Piera Iommelli, Maria Ferrara, Serena Calabrò, Federico Infascelli and Pietro Lombardi
Animals 2023, 13(16), 2589; https://doi.org/10.3390/ani13162589 - 11 Aug 2023
Cited by 3 | Viewed by 2540
Abstract
Determination of digestibility represents the first step for the evaluation of the net energy content of feed for livestock animals. The aim of this study was to evaluate the in vivo digestibility and in vitro degradability of five diets characterized by different forage/concentrate [...] Read more.
Determination of digestibility represents the first step for the evaluation of the net energy content of feed for livestock animals. The aim of this study was to evaluate the in vivo digestibility and in vitro degradability of five diets characterized by different forage/concentrate ratios (F:C) in horses. The in vitro degradability was determined by the Gas Production Technique (GPT), using as an inoculum source the feces of the same subjects used for the in vivo test. Five diets consisting of poliphyte hay, straw and grains of barley and oats with a different F:C ratio [90/10 (Diet 1); 78/22 (Diet 2); 68/32 (Diet 3); 60/40 (Diet 4); 50/50 (Diet 5) were formulated and administered in succession, starting with Diet 1. In the in vivo results, no significant differences emerged, despite the different F:C content. In in vitro fermentation, four diets out of the five (2, 3, 4, 5) presented a similar trend of the curve of gas production, showing good activity of the fecal micro population during the first hours of incubation. An important correlation between gas and Volatile Fatty Acid (VFA) were found, suggesting that the processes linked to the micro population deriving from the horse’s caecum follow metabolic pathways whose products can be modeled in the same way as for the rumen. The GPT could represent the correct method for studying the nutritional characteristics of feed for horses, using feces as the source of inoculum, even if further investigations must be performed to improve the technique. Full article
(This article belongs to the Special Issue Feeding Strategies and Diet Formulation of Horses)
Show Figures

Figure 1

33 pages, 4141 KB  
Review
Gastro-Intestinal Microbiota in Equines and Its Role in Health and Disease: The Black Box Opens
by Frédérique Chaucheyras-Durand, Audrey Sacy, Kip Karges and Emmanuelle Apper
Microorganisms 2022, 10(12), 2517; https://doi.org/10.3390/microorganisms10122517 - 19 Dec 2022
Cited by 31 | Viewed by 7357
Abstract
Horses are large non-ruminant herbivores and rely on microbial fermentation for energy, with more than half of their maintenance energy requirement coming from microbial fermentation occurring in their enlarged caecum and colon. To achieve that, the gastro-intestinal tract (GIT) of horses harbors a [...] Read more.
Horses are large non-ruminant herbivores and rely on microbial fermentation for energy, with more than half of their maintenance energy requirement coming from microbial fermentation occurring in their enlarged caecum and colon. To achieve that, the gastro-intestinal tract (GIT) of horses harbors a broad range of various microorganisms, differing in each GIT segment, which are essential for efficient utilization of feed, especially to use nutrients that are not or little degraded by endogenous enzymes. In addition, like in other animal species, the GIT microbiota is in permanent interplay with the host’s cells and is involved in a lot of functions among which inflammation, immune homeostasis, and energy metabolism. As for other animals and humans, the horse gut microbiome is sensitive to diet, especially consumption of starch, fiber, and fat. Age, breeds, stress during competitions, transportation, and exercise may also impact the microbiome. Because of its size and its complexity, the equine GIT microbiota is prone to perturbations caused by external or internal stressors that may result in digestive diseases like gastric ulcer, diarrhea, colic, or colitis, and that are thought to be linked with systemic diseases like laminitis, equine metabolic syndrome or obesity. Thus, in this review we aim at understanding the common core microbiome -in terms of structure and function- in each segment of the GIT, as well as identifying potential microbial biomarkers of health or disease which are crucial to anticipate putative perturbations, optimize global practices and develop adapted nutritional strategies and personalized nutrition. Full article
(This article belongs to the Special Issue Gut Microbiota and the Impact on Animal Models of Disease)
Show Figures

Figure 1

14 pages, 10022 KB  
Article
Comparative Analysis of Bacterial Diversity between the Liquid Phase and Adherent Fraction within the Donkey Caeco-Colic Ecosystem
by Zhenwei Zhang, Bingjian Huang, Xiaoyuan Shi, Tianqi Wang, Yonghui Wang, Mingxia Zhu and Changfa Wang
Animals 2022, 12(9), 1116; https://doi.org/10.3390/ani12091116 - 26 Apr 2022
Cited by 6 | Viewed by 2458
Abstract
Donkey hindgut is an enlarged fermentative chamber that harbors a highly complex and extremely abundant community of anaerobic bacteria. It can be divided into two different ecological sites: liquid (Lq) phase and adherent fraction (Ad) colonized by bacteria. However, the Ad bacteria have [...] Read more.
Donkey hindgut is an enlarged fermentative chamber that harbors a highly complex and extremely abundant community of anaerobic bacteria. It can be divided into two different ecological sites: liquid (Lq) phase and adherent fraction (Ad) colonized by bacteria. However, the Ad bacteria have not previously been specifically collected or directly compared with the Lq bacteria. In the present study, the digesta collected from the caecum, ventral colon and dorsal colon of nine Dezhou donkeys was separated into Lq and Ad fractions. The bacterial community structure was comparatively determined using 16S rRNA gene sequences by Illumina MiSeq. The Ad bacteria had a higher bacterial diversity than Lq bacteria due to the higher Chao and ACE index (p < 0.05). The predominant bacteria at the phylum level were Firmicutes (55.4~74.3%) and Bacteroidota (13.7~32.2%) for both the Lq and Ad fraction. The relative abundance of Bacteroidota, Spirochaetota, Fibrobacterota and Patescibacteria in the Ad fraction was greater than Lq (p < 0.05), suggesting that bacteria associated with feed particles were mainly responsible for plant fiber degradation. At the genus level, the abundance of Lactobacillus in Lq was greater than that in the Ad fraction (p < 0.05), indicating that the bacteria in the Lq fraction were better at hydrolyzing readily fermentable carbohydrates. PICRUSt showed that the activities of enzymes related to fiber degradation in the Ad fraction were also greater than Lq. In addition, the hindgut region also had a significant effect on the bacterial community composition. The relative abundance of Rikenellaceae_RC9_gut_group, Clostridium_sensu_stricto_1, Christensenellaceae_R-7_group and norank_Bacteroidales_BS11_gut_group was increased (p < 0.05) along the donkey hindgut. In summary, the present study provides evidence that bacteria adherent to plant biomass were different to those in the liquid phase within the donkey caeco-colic digesta, and bacteria associated with feed particles may mainly be responsible for plant fiber degradation. Full article
(This article belongs to the Special Issue Routine Healthcare and Management of the Donkey)
Show Figures

Figure 1

14 pages, 7127 KB  
Article
Morphology of Starch Particles along the Passage through the Gastrointestinal Tract in Laboratory Mice Fed Extruded and Pelleted Diets
by Jasmin Wenderlein, Ellen Kienzle, Reinhard K. Straubinger, Heidrun Schöl, Sebastian Ulrich and Linda Franziska Böswald
Animals 2022, 12(8), 952; https://doi.org/10.3390/ani12080952 - 7 Apr 2022
Cited by 4 | Viewed by 2451
Abstract
Diet processing impacts on starch properties, such as the degree of starch gelatinization. This affects digestibility, as shown in laboratory mice fed either a pelleted or an extruded diet. In the present study, the morphology of starch particles throughout the digestive tract of [...] Read more.
Diet processing impacts on starch properties, such as the degree of starch gelatinization. This affects digestibility, as shown in laboratory mice fed either a pelleted or an extruded diet. In the present study, the morphology of starch particles throughout the digestive tract of mice was visualized. Thirty-two female C57BL/6J mice were used for a feeding trial. They were fed a commercial maintenance diet for laboratory mice, which was available in pelleted and extruded form, for seven weeks. The mice were sacrificed after the feeding period, and chyme samples were collected from five sites (stomach, anterior and posterior small intestine, caecum, colon). Samples of diets, chyme and faeces were analyzed via stereomicroscopy (stained with Lugol’s iodine) and scanning electron microscopy (SEM). The starch granules appeared more compact in the pelleted diet, showing first signs of degradation only in the small intestine. The caecum content of both diets group was intensively stained, particles as well as fluid phase, indicating that it contained mainly starch. The SEM pictures of caecum content showed abundant bacteria near starch particles. This suggests selective retention of prae-caecally undigested starch in the murine caecum, likely the site of microbial fermentation. Full article
(This article belongs to the Section Animal Nutrition)
Show Figures

Figure 1

20 pages, 7624 KB  
Article
Could Dietary Supplementation with Different Sources of N-3 Polyunsaturated Fatty Acids Modify the Rabbit Gut Microbiota?
by Giulio Curone, Filippo Biscarini, Elisa Cotozzolo, Laura Menchetti, Alessandro Dal Bosco, Federica Riva, Paola Cremonesi, Stella Agradi, Simona Mattioli, Bianca Castiglioni, Alessia Di Giancamillo, Alice Cartoni Mancinelli, Susanna Draghi, Alda Quattrone, Giulia Collodel, Silvia Clotilde Modina, Cesare Castellini and Gabriele Brecchia
Antibiotics 2022, 11(2), 227; https://doi.org/10.3390/antibiotics11020227 - 10 Feb 2022
Cited by 18 | Viewed by 3574
Abstract
The present study evaluated the effects of feed supplemented with two dietary sources of n-3 polyunsaturated fatty acids (PUFAs; fish oil and extruded flaxseed) on the gut microbiota, caecal fermentations, gastrointestinal histology, and histochemistry in rabbits. Fifteen male New Zealand White rabbits were [...] Read more.
The present study evaluated the effects of feed supplemented with two dietary sources of n-3 polyunsaturated fatty acids (PUFAs; fish oil and extruded flaxseed) on the gut microbiota, caecal fermentations, gastrointestinal histology, and histochemistry in rabbits. Fifteen male New Zealand White rabbits were divided into three groups (n = 5/group) and fed with different diets from weaning (35 days of age) until slaughtering (90 days of age): C group, fed with a commercial diet; F group, supplemented with 10% of extruded flaxseed; and O group, supplemented with 3.5% of fish oil. At slaughter, the content of the stomach, duodenum, jejunum, ileum, caecum, and colon was collected and analyzed by Next Generation 16S rRNA gene sequencing. Tissue samples of the same tracts were evaluated with histological and histochemical analysis. Ammonia and lactic acid in the caecum were also quantified. Twenty-nine operational taxonomic units (OTUs) were significantly different between groups. Groups receiving n-3 PUFAs supplementation showed an increase in Bacteroidetes and Lachnospiraceae in several gastrointestinal tracts, while Bacilli abundance, as well as Firmicutes/Bacteroidetes ratio, were reduced compared to the control group (for all p < 0.05). Caecal ammonia was lower in the F than C group (p < 0.032), whereas no difference was found for lactic acid. Finally, histological evaluations revealed a mild hemorrhagic infiltration and vessels ectasia in the stomach mucosa of both F and O groups, but no effect of nutritional treatment was evidenced by the histochemical analyses. In conclusion, n-3 PUFAs supplementation could modify the rabbit gut microbiota and fermentation. The increase in beneficial bacterial populations may, at least partially, explain the positive effects of n-3 PUFAs diet supplementation on human and animals’ health, although the appropriate dosage should be established. Full article
(This article belongs to the Special Issue Gastrointestinal Microbiota of Livestock)
Show Figures

Figure 1

18 pages, 3723 KB  
Article
Dietary Supplementation with Goji Berries (Lycium barbarum) Modulates the Microbiota of Digestive Tract and Caecal Metabolites in Rabbits
by Paola Cremonesi, Giulio Curone, Filippo Biscarini, Elisa Cotozzolo, Laura Menchetti, Federica Riva, Maria Laura Marongiu, Bianca Castiglioni, Olimpia Barbato, Albana Munga, Marta Castrica, Daniele Vigo, Majlind Sulce, Alda Quattrone, Stella Agradi and Gabriele Brecchia
Animals 2022, 12(1), 121; https://doi.org/10.3390/ani12010121 - 5 Jan 2022
Cited by 26 | Viewed by 4556
Abstract
Goji berries show health benefits, although the possible mechanisms of action, including compositional changes in the gut microbiome, are still not fully understood. The aim of this study was to evaluate the effect of Goji berry supplementation on microbiota composition and metabolites in [...] Read more.
Goji berries show health benefits, although the possible mechanisms of action, including compositional changes in the gut microbiome, are still not fully understood. The aim of this study was to evaluate the effect of Goji berry supplementation on microbiota composition and metabolites in the digestive tracts of rabbits. Twenty-eight New Zealand White rabbits were fed with a commercial feed (control group, C; n = 14) or the same diet supplemented with 3% of Goji berries (Goji group, G; n = 14), from weaning (35 days old) until slaughter (90 days old). At slaughter, samples from the content of the gastrointestinal tracts were collected and analyzed by Next Generation 16S rRNA Gene Sequencing to evaluate the microbial composition. Ammonia and lactic acid were also quantified in caecum. Results showed differences in microbiota composition between the groups for two phyla (Cyanobacteria and Euryarchaeota), two classes (Methanobacteria and Bacilli), five orders, fourteen families, and forty-five genera. Ruminococcaceae (p < 0.05) and Lachnospiraceae (p < 0.01) were more abundant in G than in C group. Lactobacillaceae also showed differences between the two groups, with Lactobacillus as the predominant genus (p = 0.002). Finally, Goji berry supplementation stimulated lactic acid fermentation (p < 0.05). Thus, Goji berry supplementation could modulate gastrointestinal microbiota composition and caecal fermentation. Full article
Show Figures

Figure 1

14 pages, 1530 KB  
Article
Fructo-Oligosaccharides and Pectins Enhance Beneficial Effects of Raspberry Polyphenols in Rats with Nonalcoholic Fatty Liver
by Bartosz Fotschki, Jerzy Juśkiewicz, Adam Jurgoński and Michał Sójka
Nutrients 2021, 13(3), 833; https://doi.org/10.3390/nu13030833 - 3 Mar 2021
Cited by 22 | Viewed by 4406
Abstract
In recent years, nonalcoholic fatty liver disorders have become one of the most common liver pathologies; therefore, it is necessary to investigate the dietary compounds that may support the regulation of liver metabolism and related inflammatory processes. The present study examines the effect [...] Read more.
In recent years, nonalcoholic fatty liver disorders have become one of the most common liver pathologies; therefore, it is necessary to investigate the dietary compounds that may support the regulation of liver metabolism and related inflammatory processes. The present study examines the effect of raspberry polyphenolic extract (RE) combined with fructo-oligosaccharides (FOSs) or pectins (PECs) on caecal microbial fermentation, liver lipid metabolism and inflammation in rats with fatty liver induced by an obesogenic diet. The combination of RE with FOSs or PECs reduced the production of short-chain fatty acids in the caecum. RE combined with FOSs exerted the most favourable effects on liver lipid metabolism by decreasing liver fat, cholesterol, triglyceride content and hepatic steatosis. RE and FOSs reduced lobular and portal inflammatory cell infiltration and IL-6 plasma levels. These effects might be related to a decrease in the hepatic expressions of PPARγ and ANGPTL4. In conclusion, PECs and FOSs enhanced the effects of RE against disorders related to nonalcoholic fatty liver; however, the most effective dietary treatment in the regulation of liver lipid metabolism and inflammation caused by an obesogenic diet was the combination of RE with FOSs. Full article
(This article belongs to the Special Issue Diet, Liver, Oxidative Stress and Metabolic Syndrome)
Show Figures

Graphical abstract

15 pages, 1482 KB  
Article
Effects of Wheat Bran and Clostridium butyricum Supplementation on Cecal Microbiota, Short-Chain Fatty Acid Concentration, pH and Histomorphometry in Broiler Chickens
by Andor Molnár, Nikoletta Such, Valéria Farkas, László Pál, László Menyhárt, László Wágner, Ferenc Husvéth and Károly Dublecz
Animals 2020, 10(12), 2230; https://doi.org/10.3390/ani10122230 - 27 Nov 2020
Cited by 29 | Viewed by 3893
Abstract
Feed additives that can improve intestinal health and maintain a diverse and resilient intestinal microbiota of poultry are of great importance. Thus, the current study investigated the effects of a single strain butyric acid-producing Clostridium (C. butyricum) with (symbiotic) [...] Read more.
Feed additives that can improve intestinal health and maintain a diverse and resilient intestinal microbiota of poultry are of great importance. Thus, the current study investigated the effects of a single strain butyric acid-producing Clostridium (C. butyricum) with (symbiotic) or without wheat bran supplementation on cecal microbiota composition and gut health characteristics of broiler chickens. In total, 384 male Ross 308 day-old chickens were divided into four dietary treatment groups and fed ad libitum until day 37 of life. Cecal samples were taken for Illumina sequencing and pH and short-chain fatty acid analyses, as well as for histological analysis at the end of the experimental period. Neither of the supplemented diets improved chicken growth performance. Caecum was dominated by the members of Bacteroidetes phyla followed by Firmicutes in each dietary group. At the genus level, Bacteroides, Oscillospira, Akkermansia, Faecalibacterium, Ruminococcus and Streptococcus genera exceeded 1% relative abundance. Dietary treatment influenced the relative abundance of the Akkermansia genus, which had a lower relative abundance in the C. butyricum group than in the other groups and in the symbiotic group compared to the wheat bran supplemented group. Dietary treatment also altered cecal crypt depth and had a trend to modify the cecal fermentation profile. Additive effects of wheat bran and C. butyricum supplementation were not detected. Our results suggest that Akkermansia muciniphila colonization in chicken can be influenced by diet composition. Full article
(This article belongs to the Special Issue Gut Health in Poultry)
Show Figures

Figure 1

13 pages, 1298 KB  
Article
Effects of Different Laying Hen Species on Odour Emissions
by Dongdong Lu, Jiandui Mi, Yinbao Wu, Juanboo Liang, Xindi Liao and Yan Wang
Animals 2020, 10(11), 2172; https://doi.org/10.3390/ani10112172 - 21 Nov 2020
Cited by 9 | Viewed by 3335
Abstract
Odour is one of the main environmental concerns in the laying hen industry and may also influence animal health and production performance. Previous studies showed that odours from the laying hen body are primarily produced from the microbial fermentation (breakdown) of organic materials [...] Read more.
Odour is one of the main environmental concerns in the laying hen industry and may also influence animal health and production performance. Previous studies showed that odours from the laying hen body are primarily produced from the microbial fermentation (breakdown) of organic materials in the caecum, and different laying hen species may have different odour production potentials. This study was conducted to evaluate the emissions of two primary odorous gases, ammonia (NH3) and hydrogen sulphide (H2S), from six different laying hen species (Hyline, Lohmann, Nongda, Jingfen, Xinghua and Zhusi). An in vitro fermentation technique was adopted in this study, which has been reported to be an appropriate method for simulating gas production from the microbial fermentation of organic materials in the caecum. The results of this study show that Jingfen produced the greatest volume of gas after 12 h of fermentation (p < 0.05). Hyline had the highest, while Lohmann had the lowest, total NH3 emissions (p < 0.05). The total H2S emissions of Zhusi and Hyline were higher than those of Lohmann, Jingfen and Xinghua (p < 0.05), while Xinghua exhibited the lowest total H2S emissions (p < 0.05). Of the six laying hen species, Xinghua was identified as the best species because it produced the lowest total amount of NH3 + H2S (39.94 µg). The results for the biochemical indicators showed that the concentration of volatile fatty acids (VFAs) from Zhusi was higher than that for the other five species, while the pH in Zhusi was lower (p < 0.01), and the concentrations of ammonium nitrogen (NH4+), uric acid and urea in Xinghua were lower than those in the other species (p < 0.01). Hyline had the highest change in SO42− concentration during the fermentation processes (p < 0.05). In addition, the results of the correlation analysis suggested that NH3 emission is positively related to urease activities but is not significantly related to the ureC gene number. Furthermore, H2S emission was observed to be significantly related to the reduction of SO42− but showed no connection with the aprA gene number. Overall, our findings provide a reference for future feeding programmes attempting to reduce odour pollution in the laying hen industry. Full article
(This article belongs to the Collection Current Advances in Poultry Research)
Show Figures

Figure 1

14 pages, 258 KB  
Article
Growth Performance, Gut Environment and Physiology of the Gastrointestinal Tract in Weaned Piglets Fed a Diet Supplemented with Raw and Fermented Narrow-Leafed Lupine Seeds
by Anita Zaworska-Zakrzewska, Małgorzata Kasprowicz-Potocka, Robert Mikuła, Marcin Taciak, Ewa Pruszyńska-Oszmałek and Andrzej Frankiewicz
Animals 2020, 10(11), 2084; https://doi.org/10.3390/ani10112084 - 10 Nov 2020
Cited by 7 | Viewed by 2604
Abstract
The aim of this study was to: (1) provide controlled fermentation of narrow-leafed lupine seeds; (2) monitor seed composition, and (3) determine the influence of fermentation on the performance, gut environment and physiology, and selected blood metabolic parameters, in young pigs. Firstly, the [...] Read more.
The aim of this study was to: (1) provide controlled fermentation of narrow-leafed lupine seeds; (2) monitor seed composition, and (3) determine the influence of fermentation on the performance, gut environment and physiology, and selected blood metabolic parameters, in young pigs. Firstly, the effect of 24 h lupine seed fermentation by bacteria and yeast on seed chemical composition was determined. It increased contents of crude protein, crude fiber and ash, but reduced nitrogen-free extractive levels. The amino acid profile of fermented lupine (FL) was similar to that of raw lupine (RL) seeds, whereas the contents of oligosaccharides and P-phytate decreased significantly, in contrast to alkaloids. In fermented feed, pH dropped from 5.5 to 3.9. In the 28-day experiment, 24 male pigs were divided into three groups. The control group was fed a soybean meal diet (SBM), whereas in the experimental diets, 50% of SBM protein was replaced by RL or FL. Afterwards, eight pigs from each group were euthanized and their digesta and blood samples were collected. The FL use did not affect pigs’ performance, nor their metabolic, microbial and most gastrointestinal tract parameters, but influenced crypt depth. Fermentation affected concentrations of short chain fatty acids and p-cresole in the proximal colon segment. In the small intestine, the levels of acetate and butyrate decreased, and, in the caecum, the propionate level decreased. Fermentation significantly lowered the pH of the middle colon digesta and ammonia contents compared to RL. A part of SBM may be successfully replaced by RL and FL in young pigs’ diets. Full article
(This article belongs to the Special Issue Alternatives Protein in Animal Nutrition)
Back to TopTop