Sign in to use this feature.

Years

Between: -

Subjects

remove_circle_outline
remove_circle_outline
remove_circle_outline
remove_circle_outline
remove_circle_outline
remove_circle_outline
remove_circle_outline
remove_circle_outline
remove_circle_outline

Journals

Article Types

Countries / Regions

remove_circle_outline
remove_circle_outline
remove_circle_outline
remove_circle_outline

Search Results (152)

Search Parameters:
Keywords = boundedness properties

Order results
Result details
Results per page
Select all
Export citation of selected articles as:
17 pages, 942 KB  
Article
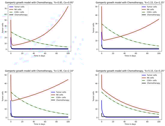
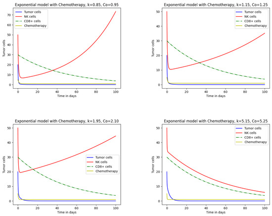
Mathematical Modeling and Analysis of Tumor Growth Models Integrating Treatment Therapy
by Mohsin Kamran, Johari Yap Abdullah, Afaf Syahira Ahmad Satmi, Maya Genisa, Abdul Majeed and Tayyaba Nadeem
Math. Comput. Appl. 2025, 30(6), 119; https://doi.org/10.3390/mca30060119 - 30 Oct 2025
Viewed by 31
Abstract
This study presents a comparative analysis of tumor growth models based on logistic, exponential, and Gompertz formulations. Their response to therapeutic intervention is examined to identify which model shows better behavior with minimal decline of immune cells. The framework incorporates three main cell [...] Read more.
This study presents a comparative analysis of tumor growth models based on logistic, exponential, and Gompertz formulations. Their response to therapeutic intervention is examined to identify which model shows better behavior with minimal decline of immune cells. The framework incorporates three main cell populations as follows: natural killer cells, cytotoxic T cells, and tumor cells, along with treatment effects. Dynamical properties such as positive invariance, existence, boundedness, and equilibrium stability are investigated. Numerical simulations indicate that the logistic model gives more favorable treatment outcomes compared to the exponential and Gompertz models. The results also show a faster decline of immune cell populations in the exponential and Gompertz models than in the logistic model under varying drug flux. Full article
(This article belongs to the Special Issue Feature Papers in Mathematical and Computational Applications 2025)
Show Figures

Figure 1

14 pages, 1501 KB  
Article
Novel Nonlinear Control in a Chaotic Continuous Flow Enzymatic–Fermentative Bioreactor
by Juan Luis Mata-Machuca, Pablo Antonio López-Pérez and Ricardo Aguilar-López
Fermentation 2025, 11(10), 601; https://doi.org/10.3390/fermentation11100601 - 21 Oct 2025
Viewed by 586
Abstract
Fermentative processes are considered one of the most important technological developments in the modern transforming industry, due to this, the applied research to reach high performance standards with a crucial focus on system intensification, which is the the analysis, optimization, and control issues, [...] Read more.
Fermentative processes are considered one of the most important technological developments in the modern transforming industry, due to this, the applied research to reach high performance standards with a crucial focus on system intensification, which is the the analysis, optimization, and control issues, are a cornerstone. The goal of this proposal is to show a novel nonlinear feedback control structure to assure a stable closed-loop operation in a continuous flow enzymatic–fermentative bioreactor with chaotic dynamic behavior. The proposed structure contains an adaptive-type gain, which, coupled with a proportional term of the named control error, can lead the feedback control trajectories of the bioreactor to the required reference point or trajectory. The Lyapunov method is used to present the stability analysis of the system within a closed loop, where an adequate choice of the controller gains assures asymptotic stability. Moreover, analyzing the dynamic equation of the control error, under some properties of boundedness of the system, shows that the control error can be diminished to close to zero. Numerical experiments are carried out, where a well-tuned standard proportional–integral (PI) controller is also implemented for comparison purposes, the satisfactory performance of the proposed control scheme is observed, including the diminishing offsets, overshoots, and settling times in comparison with the PI controller. Full article
Show Figures

Figure 1

24 pages, 648 KB  
Review
A Review of Control Sets of Linear Control Systems on Two-Dimensional Lie Groups and Applications
by Víctor Ayala, Jhon Eddy Pariapaza Mamani, William Eduardo Valdivia Hanco and María Luisa Torreblanca Todco
Symmetry 2025, 17(10), 1776; https://doi.org/10.3390/sym17101776 - 21 Oct 2025
Viewed by 172
Abstract
This review article explores the theory of control sets for linear control systems defined on two-dimensional Lie groups, with a focus on the plane R2 and the affine group Aff+(2). We systematically summarize recent advances, [...] Read more.
This review article explores the theory of control sets for linear control systems defined on two-dimensional Lie groups, with a focus on the plane R2 and the affine group Aff+(2). We systematically summarize recent advances, emphasizing how the geometric and algebraic structures inherent in low-dimensional Lie groups influence the formation, shape, and properties of control sets—maximal regions where controllability is maintained. Control sets with non-empty interiors are of particular interest as they characterize regions where the system can be steered between states via bounded inputs. The review highlights key results concerning the existence, uniqueness, and boundedness of these sets, including criteria based on the Ad-rank condition and orbit analysis. We also underscore the central role of the symmetry properties of Lie groups, which facilitate the systematic classification and description of control sets, linking the abstract mathematical framework to concrete, physically motivated applications. To illustrate the practical relevance of the theory, we present examples from mechanics, motion planning, and neuroscience, demonstrating how control sets naturally emerge in diverse domains. Overall, this work aims to deepen the understanding of controllability regions in low-dimensional Lie group systems and to foster future research that bridges geometric control theory with applied problems. Full article
(This article belongs to the Special Issue Symmetries in Dynamical Systems and Control Theory)
Show Figures

Figure 1

34 pages, 505 KB  
Article
Regularity and Qualitative Study of Parabolic Physical Ginzburg–Landau Equations in Variable Exponent Herz Spaces via Fractional Bessel–Riesz Operators
by Waqar Afzal, Mesfer H. Alqahtani, Mujahid Abbas and Daniel Breaz
Fractal Fract. 2025, 9(10), 644; https://doi.org/10.3390/fractalfract9100644 - 1 Oct 2025
Viewed by 353
Abstract
In this article, we investigate the regularization and qualitative properties of parabolic Ginzburg–Landau equations in variable exponent Herz spaces. These spaces capture both local and global behavior, providing a natural framework for our analysis. We establish boundedness results for fractional Bessel–Riesz operators, construct [...] Read more.
In this article, we investigate the regularization and qualitative properties of parabolic Ginzburg–Landau equations in variable exponent Herz spaces. These spaces capture both local and global behavior, providing a natural framework for our analysis. We establish boundedness results for fractional Bessel–Riesz operators, construct examples highlighting their advantage over classical Riesz potentials, and recover several known theorems as special cases. As an application, we analyze a parabolic Ginzburg–Landau operator with VMO coefficients, showing that our estimates ensure the boundedness and continuity of solutions. Full article
Show Figures

Figure 1

19 pages, 1031 KB  
Article
Modeling and Transmission Dynamics of a Stochastic Fractional Delay Cervical Cancer Model with Efficient Numerical Analysis
by Umar Shafique, Ali Raza, Delfim F. M. Torres, Maysaa Elmahi Abd Elwahab and Muhammad Mohsin
Axioms 2025, 14(10), 742; https://doi.org/10.3390/axioms14100742 - 30 Sep 2025
Viewed by 260
Abstract
According to the World Health Organization (WHO), globally, cervical cancer ranks as the fourth most common cancer in women, with around 660,000 new cases in 2022. In the same year, about 94 percent of the 350,000 deaths caused by cervical cancer occurred in [...] Read more.
According to the World Health Organization (WHO), globally, cervical cancer ranks as the fourth most common cancer in women, with around 660,000 new cases in 2022. In the same year, about 94 percent of the 350,000 deaths caused by cervical cancer occurred in low- and middle-income countries. This paper focuses on the dynamics of HPV by modeling the interactions between four compartments, as follows: S(t), the number of susceptible females; I(t), females infected with HPV; X(t), females infected with HPV but not yet affected by cervical cancer (CCE); and V(t), females infected with HPV and affected by CCE. A compartmental model is formulated to analyze the progression of HPV, ensuring all key mathematical properties, such as existence, uniqueness, positivity, and boundedness of the solution. The equilibria of the model, such as the HPV-free equilibrium and HPV-present equilibrium, are analyzed, and the basic reproduction number, R0, is computed using the next-generation matrix method. Local and global stability of these equilibria are rigorously established to understand the conditions for disease eradication or persistence. Sensitivity analysis around the reproduction number is carried out using partial derivatives to identify critical parameters influencing R0, which gives insights into effective intervention strategies. With appropriate positivity, boundedness, and numerical stability, a new stochastic non-standard finite difference (NSFD) scheme is developed for the proposed model. A comparison analysis of solutions shows that the NSFD scheme is the most consistent and reliable method for a stochastic fractional delay model. Graphical simulations are presented to provide visual insights into the development of the disease and lend the results to a more mature discourse. This research is crucial in highlighting the mathematical rigor and practical applicability of the proposed model, contributing to the understanding and control of HPV progression. Full article
(This article belongs to the Special Issue Mathematical Methods in the Applied Sciences, 2nd Edition)
Show Figures

Figure 1

29 pages, 2409 KB  
Article
Mathematical Perspectives of a Coupled System of Nonlinear Hybrid Stochastic Fractional Differential Equations
by Rabeb Sidaoui, Alnadhief H. A. Alfedeel, Jalil Ahmad, Khaled Aldwoah, Amjad Ali, Osman Osman and Ali H. Tedjani
Fractal Fract. 2025, 9(10), 622; https://doi.org/10.3390/fractalfract9100622 - 24 Sep 2025
Viewed by 371
Abstract
This research develops a novel coupled system of nonlinear hybrid stochastic fractional differential equations that integrates neutral effects, stochastic perturbations, and hybrid switching mechanisms. The system is formulated using the Atangana–Baleanu–Caputo fractional operator with a non-singular Mittag–Leffler kernel, which enables accurate representation of [...] Read more.
This research develops a novel coupled system of nonlinear hybrid stochastic fractional differential equations that integrates neutral effects, stochastic perturbations, and hybrid switching mechanisms. The system is formulated using the Atangana–Baleanu–Caputo fractional operator with a non-singular Mittag–Leffler kernel, which enables accurate representation of memory effects without singularities. Unlike existing approaches, which are limited to either neutral or hybrid stochastic structures, the proposed framework unifies both features within a fractional setting, capturing the joint influence of randomness, history, and abrupt transitions in real-world processes. We establish the existence and uniqueness of mild solutions via the Picard approximation method under generalized Carathéodory-type conditions, allowing for non-Lipschitz nonlinearities. In addition, mean-square Mittag–Leffler stability is analyzed to characterize the boundedness and decay properties of solutions under stochastic fluctuations. Several illustrative examples are provided to validate the theoretical findings and demonstrate their applicability. Full article
Show Figures

Figure 1

10 pages, 238 KB  
Article
Smoothness of the Solution of a Boundary Value Problem for Degenerate Elliptic Equations
by Perizat Beisebay, Yerbulat Akzhigitov, Talgat Akhazhanov, Gulmira Kenzhebekova and Dauren Matin
Symmetry 2025, 17(9), 1562; https://doi.org/10.3390/sym17091562 - 18 Sep 2025
Viewed by 335
Abstract
This paper investigates boundary value problems for a class of elliptic equations exhibiting uniform and non-uniform degeneracy, including cases of non-monotonic degeneration. A key objective is to identify conditions on the coefficients under which solutions maintain ultimate smoothness, even in the presence of [...] Read more.
This paper investigates boundary value problems for a class of elliptic equations exhibiting uniform and non-uniform degeneracy, including cases of non-monotonic degeneration. A key objective is to identify conditions on the coefficients under which solutions maintain ultimate smoothness, even in the presence of degeneracy. The analysis is grounded in several fundamental aspects of symmetry. Structural symmetry is reflected in the formulation of the differential operators; functional symmetry emerges in the properties of the associated weighted Sobolev spaces; and spectral symmetry plays a critical role in the behavior of the eigenvalues and eigenfunctions used to characterize solutions. By employing localization techniques, a priori estimates, and spectral theory, we establish new coefficient conditions ensuring smoothness in both semi-periodic and Dirichlet boundary settings. Moreover, we prove the boundedness and compactness of certain weighted operators, whose definitions and properties are tightly linked to underlying symmetries in the problem’s formulation. These results are not only of theoretical importance but also bear practical implications for numerical methods and models where symmetry principles influence solution regularity and operator behavior. Full article
(This article belongs to the Section Mathematics)
17 pages, 344 KB  
Article
On Some Classes of Enriched Cyclic Contractive Self-Mappings and Their Boundedness and Convergence Properties
by Manuel De la Sen
Mathematics 2025, 13(18), 2948; https://doi.org/10.3390/math13182948 - 11 Sep 2025
Viewed by 294
Abstract
This paper focuses on dealing with several types of enriched cyclic contractions defined in the union of a set of non-empty closed subsets of normed or metric spaces. In general, any finite number p2 of subsets is permitted in the cyclic [...] Read more.
This paper focuses on dealing with several types of enriched cyclic contractions defined in the union of a set of non-empty closed subsets of normed or metric spaces. In general, any finite number p2 of subsets is permitted in the cyclic arrangement. The types of examined single-valued enriched cyclic contractions are, in general, less stringent from the point of view of constraints on the self-mappings compared to p-cyclic contractions while the essential properties of these last ones are kept. The convergence of distances is investigated as well as that of sequences generated by the considered enriched cyclic mappings. It is proved that, both in normed spaces and in simple metric spaces, the distances of sequences of points in adjacent subsets converge to the distance between such subsets under weak extra conditions compared to the cyclic contractive case, which is simply that the contractive constant be less than one. It is also proved that if the metric space is a uniformly convex Banach space and one of the involved subsets is convex then all the sequences between adjacent subsets converge to a unique set of best proximity points, one of them per subset which conform a limit cycle, although the sets of best proximity points are not all necessarily singletons in all the subsets. Full article
(This article belongs to the Topic Fixed Point Theory and Measure Theory)
23 pages, 323 KB  
Article
Analytical Investigations into Multilinear Fractional Rough Hardy Operators Within Morrey–Herz Spaces Characterized by Variable Exponents
by Muhammad Asim and Ghada AlNemer
Fractal Fract. 2025, 9(9), 573; https://doi.org/10.3390/fractalfract9090573 - 30 Aug 2025
Viewed by 497
Abstract
In this scholarly discourse, a rigorous examination is conducted on the boundedness properties of multilinear fractional rough Hardy operators within the structural framework of variable exponent Morrey–Herz spaces. Furthermore, analogous quantitative estimates are meticulously derived for their corresponding commutators, contingent upon the assumption [...] Read more.
In this scholarly discourse, a rigorous examination is conducted on the boundedness properties of multilinear fractional rough Hardy operators within the structural framework of variable exponent Morrey–Herz spaces. Furthermore, analogous quantitative estimates are meticulously derived for their corresponding commutators, contingent upon the assumption that the governing symbol functions belong to the space of bounded mean oscillation (BMO) with variable exponents. Full article
(This article belongs to the Special Issue Fractional Integral Inequalities and Applications, 3rd Edition)
26 pages, 516 KB  
Article
Analysis of an ABC-Fractional Asset Flow Model for Financial Markets
by Din Prathumwan, Inthira Chaiya and Kamonchat Trachoo
Fractal Fract. 2025, 9(9), 563; https://doi.org/10.3390/fractalfract9090563 - 27 Aug 2025
Viewed by 622
Abstract
This paper proposes a novel fractional-order asset flow model based on the Atangana–Baleanu–Caputo (ABC) derivative to analyze asset price dynamics in financial markets. Compared to classical models, the proposed model incorporates a nonlocal and non-singular fractional operator, allowing for a more accurate representation [...] Read more.
This paper proposes a novel fractional-order asset flow model based on the Atangana–Baleanu–Caputo (ABC) derivative to analyze asset price dynamics in financial markets. Compared to classical models, the proposed model incorporates a nonlocal and non-singular fractional operator, allowing for a more accurate representation of investor behavior and market adjustment processes. The model captures both short-term trend-driven responses and long-term valuation-based decisions. We establish key theoretical properties of the system, including the existence and uniqueness of solutions, positivity, boundedness, and both local and global stability using Lyapunov functions. Numerical simulations under varying fractional orders demonstrate how the ABC derivative governs the convergence speed and equilibrium behavior of the system. Compared to classical integer-order models, the ABC-based approach provides smoother dynamics, greater flexibility in modeling behavioral heterogeneity, and better alignment with observed long-term financial phenomena. Full article
(This article belongs to the Special Issue Advances in Fractional Modeling and Computation, Second Edition)
Show Figures

Figure 1

34 pages, 3002 KB  
Article
A Refined Fuzzy MARCOS Approach with Quasi-D-Overlap Functions for Intuitive, Consistent, and Flexible Sensor Selection in IoT-Based Healthcare Systems
by Mahmut Baydaş, Safiye Turgay, Mert Kadem Ömeroğlu, Abdulkadir Aydin, Gıyasettin Baydaş, Željko Stević, Enes Emre Başar, Murat İnci and Mehmet Selçuk
Mathematics 2025, 13(15), 2530; https://doi.org/10.3390/math13152530 - 6 Aug 2025
Cited by 1 | Viewed by 811
Abstract
Sensor selection in IoT-based smart healthcare systems is a complex fuzzy decision-making problem due to the presence of numerous uncertain and interdependent evaluation criteria. Traditional fuzzy multi-criteria decision-making (MCDM) approaches often assume independence among criteria and rely on aggregation operators that impose sharp [...] Read more.
Sensor selection in IoT-based smart healthcare systems is a complex fuzzy decision-making problem due to the presence of numerous uncertain and interdependent evaluation criteria. Traditional fuzzy multi-criteria decision-making (MCDM) approaches often assume independence among criteria and rely on aggregation operators that impose sharp transitions between preference levels. These assumptions can lead to decision outcomes with insufficient differentiation, limited discriminatory capacity, and potential issues in consistency and sensitivity. To overcome these limitations, this study proposes a novel fuzzy decision-making framework by integrating Quasi-D-Overlap functions into the fuzzy MARCOS (Measurement of Alternatives and Ranking According to Compromise Solution) method. Quasi-D-Overlap functions represent a generalized extension of classical overlap operators, capable of capturing partial overlaps and interdependencies among criteria while preserving essential mathematical properties such as associativity and boundedness. This integration enables a more intuitive, flexible, and semantically rich modeling of real-world fuzzy decision problems. In the context of real-time health monitoring, a case study is conducted using a hybrid edge–cloud architecture, involving sensor tasks such as heartrate monitoring and glucose level estimation. The results demonstrate that the proposed method provides greater stability, enhanced discrimination, and improved responsiveness to weight variations compared to traditional fuzzy MCDM techniques. Furthermore, it effectively supports decision-makers in identifying optimal sensor alternatives by balancing critical factors such as accuracy, energy consumption, latency, and error tolerance. Overall, the study fills a significant methodological gap in fuzzy MCDM literature and introduces a robust fuzzy aggregation strategy that facilitates interpretable, consistent, and reliable decision making in dynamic and uncertain healthcare environments. Full article
Show Figures

Figure 1

28 pages, 404 KB  
Article
Normalized Ground States for Mixed Fractional Schrödinger Equations with Combined Local and Nonlocal Nonlinearities
by Jie Yang and Haibo Chen
Fractal Fract. 2025, 9(7), 469; https://doi.org/10.3390/fractalfract9070469 - 18 Jul 2025
Viewed by 1038
Abstract
This paper studies the existence, regularity, and properties of normalized ground state solutions for the mixed fractional Schrödinger equations. For subcritical cases, we establish the boundedness and Sobolev regularity of solutions, derive Pohozaev identities, and prove the existence of radial, decreasing ground states, [...] Read more.
This paper studies the existence, regularity, and properties of normalized ground state solutions for the mixed fractional Schrödinger equations. For subcritical cases, we establish the boundedness and Sobolev regularity of solutions, derive Pohozaev identities, and prove the existence of radial, decreasing ground states, while showing nonexistence in the L2-critical case. For L2-supercritical exponents, we identify parameter regimes where ground states exist, characterized by a negative Lagrange multiplier. The analysis combines variational methods, scaling techniques, and the careful study of fibering maps to address challenges posed by competing nonlinearities and nonlocal interactions. Full article
(This article belongs to the Special Issue Variational Problems and Fractional Differential Equations)
43 pages, 511 KB  
Article
Boundedness and Sobolev-Type Estimates for the Exponentially Damped Riesz Potential with Applications to the Regularity Theory of Elliptic PDEs
by Waqar Afzal, Mujahid Abbas, Jorge E. Macías-Díaz, Armando Gallegos and Yahya Almalki
Fractal Fract. 2025, 9(7), 458; https://doi.org/10.3390/fractalfract9070458 - 14 Jul 2025
Cited by 2 | Viewed by 665
Abstract
This paper investigates a new class of fractional integral operators, namely, the exponentially damped Riesz-type operators within the framework of variable exponent Lebesgue spaces Lp(·). To the best of our knowledge, the boundedness of such operators has not [...] Read more.
This paper investigates a new class of fractional integral operators, namely, the exponentially damped Riesz-type operators within the framework of variable exponent Lebesgue spaces Lp(·). To the best of our knowledge, the boundedness of such operators has not been addressed in any existing functional setting. We establish their boundedness under appropriate log-Hölder continuity and growth conditions on the exponent function p(·). To highlight the novelty and practical relevance of the proposed operator, we conduct a comparative analysis demonstrating its effectiveness in addressing convergence, regularity, and stability of solutions to partial differential equations. We also provide non-trivial examples that illustrate not only these properties but also show that, under this operator, a broader class of functions becomes locally integrable. The exponential decay factor notably broadens the domain of boundedness compared to classical Riesz and Bessel–Riesz potentials, making the operator more versatile and robust. Additionally, we generalize earlier results on Sobolev-type inequalities previously studied in constant exponent spaces by extending them to the variable exponent setting through our fractional operator, which reduces to the classical Riesz potential when the decay parameter λ=0. Applications to elliptic PDEs are provided to illustrate the functional impact of our results. Furthermore, we develop several new structural properties tailored to variable exponent frameworks, reinforcing the strength and applicability of the proposed theory. Full article
(This article belongs to the Special Issue Advances in Fractional Integral Inequalities: Theory and Applications)
Show Figures

Figure 1

22 pages, 2326 KB  
Article
A Structure-Preserving Finite Difference Scheme for the Nonlinear Space Fractional Sine-Gordon Equation with Damping Based on the T-SAV Approach
by Penglin Jiang and Yu Li
Fractal Fract. 2025, 9(7), 455; https://doi.org/10.3390/fractalfract9070455 - 11 Jul 2025
Viewed by 608
Abstract
This paper presents a high-order structure-preserving difference scheme for the nonlinear space fractional sine-Gordon equation with damping, employing the triangular scalar auxiliary variable approach. The original equation is reformulated into an equivalent system that satisfies a modified energy conservation or dissipation law, significantly [...] Read more.
This paper presents a high-order structure-preserving difference scheme for the nonlinear space fractional sine-Gordon equation with damping, employing the triangular scalar auxiliary variable approach. The original equation is reformulated into an equivalent system that satisfies a modified energy conservation or dissipation law, significantly reducing the computational complexity of nonlinear terms. Temporal discretization is achieved using a second-order difference method, while spatial discretization utilizes a simple and easily implementable discrete approximation for the fractional Laplacian operator. The boundedness and convergence of the proposed numerical scheme under the maximum norm are rigorously analyzed, demonstrating its adherence to discrete energy conservation or dissipation laws. Numerical experiments validate the scheme’s effectiveness, structure-preserving properties, and capability for long-time simulations for both one- and two-dimensional problems. Additionally, the impact of the parameter ε on error dynamics is investigated. Full article
Show Figures

Figure 1

12 pages, 263 KB  
Article
Generalized Statistical Convergence in Sequence Spaces: A Modulus Function Perspective
by Gülcan Atıcı Turan
Symmetry 2025, 17(7), 1080; https://doi.org/10.3390/sym17071080 - 7 Jul 2025
Viewed by 466
Abstract
This study introduces a flexible framework for analyzing how sequences of numbers approach a limit, even when traditional convergence criteria fail. By incorporating modulus function mathematical tools that quantify growth rates, this research extends the concept of statistical convergence to handle sequences with [...] Read more.
This study introduces a flexible framework for analyzing how sequences of numbers approach a limit, even when traditional convergence criteria fail. By incorporating modulus function mathematical tools that quantify growth rates, this research extends the concept of statistical convergence to handle sequences with irregular or sparse behavior. Key results establish connections between this generalized convergence theory and related properties, like boundedness, providing a unified approach to understanding sequence dynamics. The findings enhance our ability to model and analyze complex data patterns in mathematics and beyond. Full article
(This article belongs to the Section Mathematics)
Back to TopTop