Mathematical Modeling and Analysis of Tumor Growth Models Integrating Treatment Therapy
Abstract
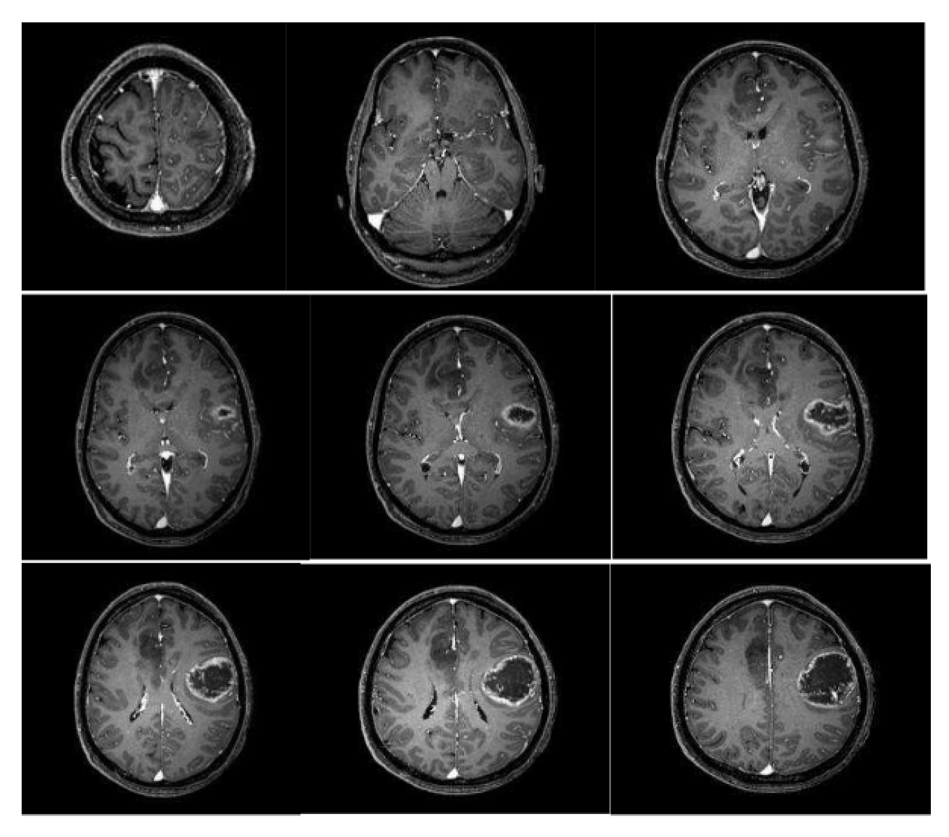
1. Introduction
2. Mathematical Models of Tumor Growth
2.1. Tumor Growth Models
2.1.1. Exponential Models
- Malthusian Model: T is tumor volume in and c is growth rate in .
- Power Law Model: , and m is a real constant.
- Migration Model: where K is the migration rate.
- Gompertz Model: where is the intrinsic growth parameter and b is the parameter of growth deceleration.
2.1.2. Generalized Logistic Model
3. Formulation of the Mathematical Model
- ℵ: Natural killer cells: provide an immediate, nonspecific anti-tumor defense.
- Ł: Cytotoxic T lymphocytes: delayed, specific immune response that strengthens and sustains tumor clearance after activation.
- : Tumor cells.
- : Tumor proliferation.
- : Immune-mediated tumor killing by NK cells.
- : Immune-mediated tumor killing by CTL.
- : Drug-induced cytotoxicity.
- : Drug-related immune cell death.
- : Drug-related immune cell death.
- : Natural death of CTL and NK cells.
- : Immune cell activation.
4. Dynamics
4.1. Positive Invariance
4.2. Boundedness
- Negative quadratic terms: and help to control growth.
- Negative linear terms: and provide damping.
- Mixed terms are negative or zero as variables are nonnegative.
- and are positive terms.
4.3. Existence
5. Stability Analysis
- (Steady State or dead state) All populations (tumor and immune cells) go to zero, i.e., . This represents a biologically unrealistic outcome but mathematically corresponds to system extinction. So, the equilibrium point is
- will be locally stable if
- is unstable if or
- (Tumor-free state) Tumor cells vanish, i.e., , while immune cells and possibly drug concentration settle at positive levels. This indicates successful therapy or immune clearance, where the body eliminates cancer and maintains immune activity. So, the equilibrium point is and the Jacobian matrix of Equation (11) at the point isThe eigenvalues of are , , , and . For the tumor-free state, must be negative, so from the above expressions ; thus, , and for we must have
- is stable if , i.e., for
- is unstable if
- (Tumor-present state) Tumor persists at a positive equilibrium along with immune cells (NK and CTLs) and drug concentration. This reflects a chronic or controlled tumor burden, where the cancer is not eradicated but stabilized under immune and drug pressure. Thus, the equilibrium point becomes as follows: So the Jacobian matrix of Equation (11) at iswhere The eigenvalues of are For the tumor-present state to be locally stable, should be negative. After simplifying the expressions of and , one can have . So . When and , we have
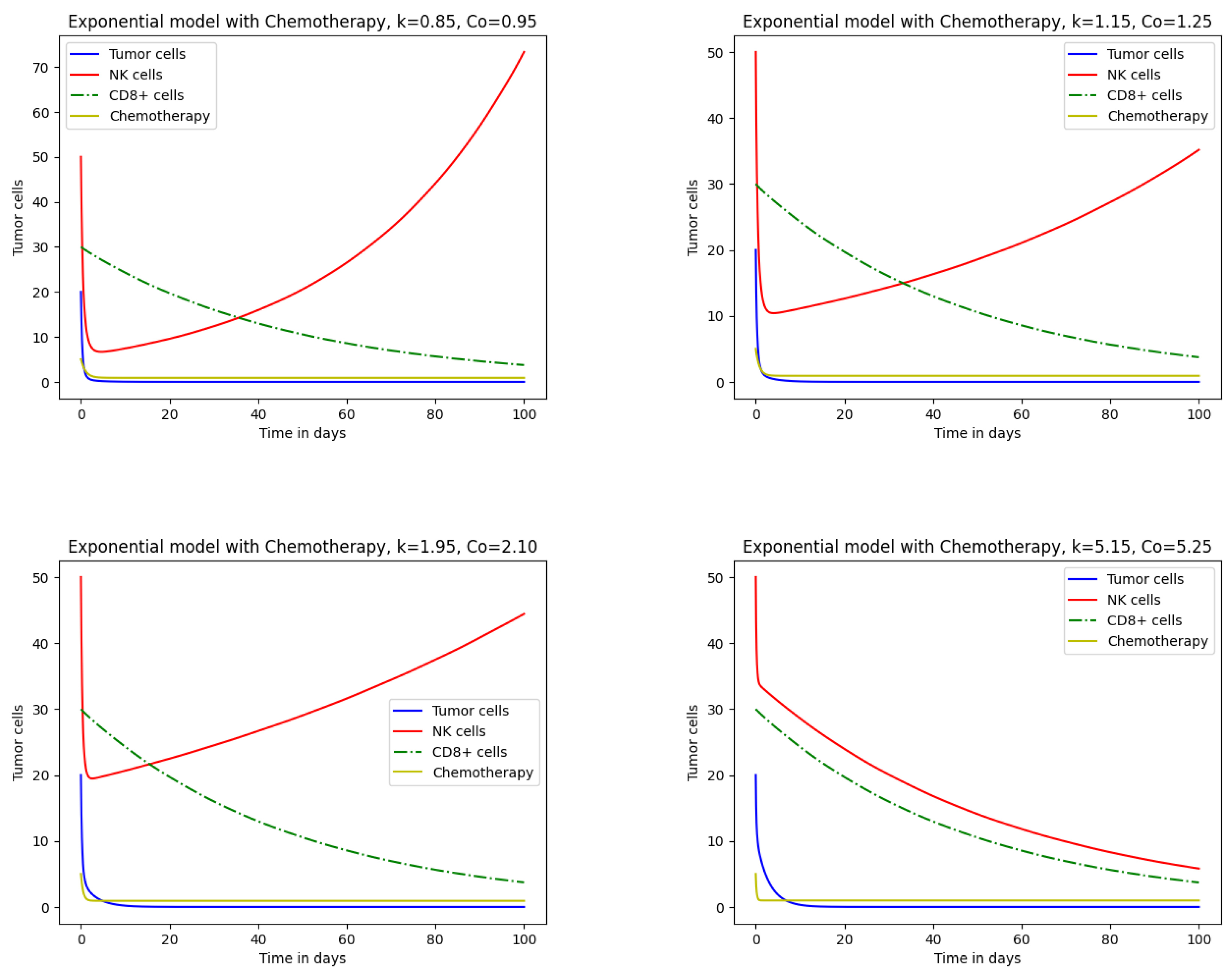
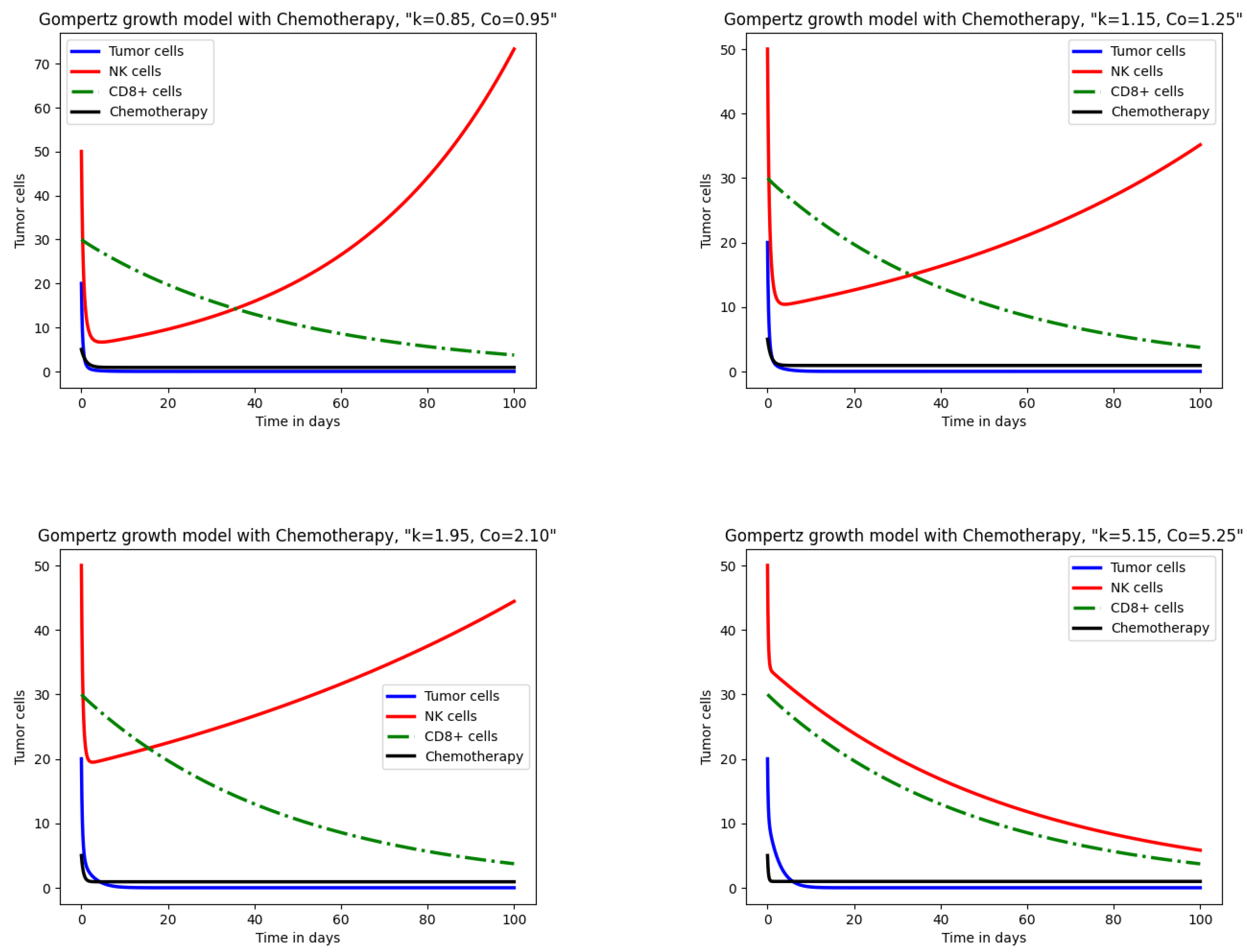
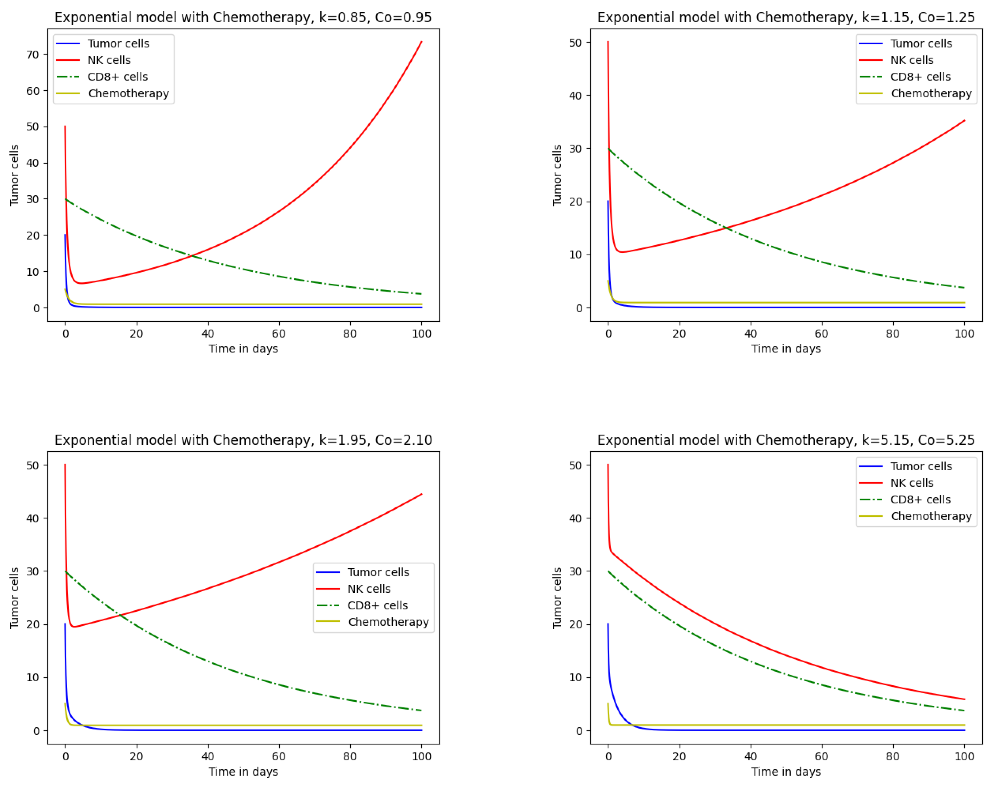
6. Results and Discussion
7. Conclusions
Author Contributions
Funding
Data Availability Statement
Conflicts of Interest
References
- Kumar, Y.; Gupta, S.; Singla, R.; Hu, Y.C. A systematic review of artificial intelligence techniques in cancer prediction and diagnosis. Arch. Comput. Methods Eng. 2022, 29, 2043–2070. [Google Scholar] [CrossRef]
- Biemar, F.; Foti, M. Global progress against cancer-challenges and opportunities. Cancer Biol. Med. 2013, 10, 183–186. [Google Scholar]
- IARC Newsletter. Available online: https://www.iarc.who.int/iarcnewsletter/ (accessed on 9 September 2025).
- Robertson-Tessi, M.; El-Kareh, A.; Goriely, A. A model for effects of adaptive immunity on tumor response to chemotherapy and chemoimmunotherapy. J. Theor. Biol. 2015, 380, 569–584. [Google Scholar] [CrossRef] [PubMed]
- Liu, Z.; Yang, C. A mathematical model of cancer treatment by radiotherapy. Math. Comput. Simulat. 2014, 7, 172923. [Google Scholar] [CrossRef]
- Pang, L.; Lin, S.; Zhong, Z. Mathematical modelling and analysis of the tumor treatment regimens with pulsed immunotherapy and chemotherapy. Comput. Math. Methods Med. 2016, 2016, 6260474. [Google Scholar] [CrossRef]
- Shu, Y.; Huang, J.; Dong, Y.; Takeuchi, Y. Mathematical modeling and bifurcation analysis of pro- and anti-tumor macrophages. Appl. Math. Mol. 2020, 88, 758–773. [Google Scholar] [CrossRef]
- Roesch, K.; Hasenclever, D.; Scholz, M. Modelling Lymphoma Therapy and Outcome. Bull. Math. Biol. 2014, 76, 401–430. [Google Scholar] [CrossRef] [PubMed]
- Dagher, O.; King, T.R.; Wellhausen, N.; Posey, A.D. Combination Therapy for Solid Tumors: Taking a Classic CAR on New Adventures. Cancer Cell 2020, 38, 621–623. [Google Scholar] [CrossRef]
- Song, G.; Liang, G.; Tian, T.; Zhang, X. Mathematical modeling and analysis of tumor chemotherapy. Symmetry 2022, 14, 704. [Google Scholar] [CrossRef]
- Mathur, D.; Barnett, E.; Scher, H.I.; Xavier, J.B. Optimizing the future: How mathematical models inform treatment schedules for cancer. Trends Cancer 2022, 8, 506–516. [Google Scholar] [CrossRef]
- Yin, A.; Moes, D.J.A.; van Hasselt, J.G.; Swen, J.J.; Guchelaar, H.J. A review of mathematical models for tumor dynamics and treatment resistance evolution of solid tumors. CPT Pharmacometrics Syst. Pharmacol. 2019, 8, 720–737. [Google Scholar] [CrossRef]
- Xiao, Y.; Shen, J.; Zou, X. Mathematical modeling and dynamical analysis of anti-tumor drug dose-response. Math. Biosci. Eng. 2022, 19, 4120–4144. [Google Scholar] [CrossRef]
- López, A.G.; Seoane, J.M.; Sanjuán, M.A.F. A validated mathematical model of tumor growth including tumor-host interaction, cell-mediated immune response and chemotherapy. Bull. Math. Biol. 2014, 76, 2884–2906. [Google Scholar] [CrossRef] [PubMed]
- Abernathy, Z.; Abernathy, K.; Stevens, J. A mathematical model for tumor growth and treatment using virotherapy. AIMS Math. 2020, 5, 4136–4150. [Google Scholar] [CrossRef]
- Bao, K.; Liang, G.; Tian, T.; Zhang, X. Mathematical modeling of combined therapies for treating tumor drug resistance. Math. Biosci. 2024, 371, 109170. [Google Scholar] [CrossRef]
- Claret, L.; Girard, P.; Hoff, P.M.; Van Cutsem, E.; Zuideveld, K.P.; Jorga, K.; Fagerberg, J.; Bruno, R. Model-based prediction of phase III overall survival in colorectal cancer on the basis of phase II tumor dynamics. J. Clin. Oncol. 2009, 27, 4103–4108. [Google Scholar] [CrossRef]
- Unni, P.; Seshaiyer, P. Mathematical modeling, analysis, and simulation of tumor dynamics with drug interventions. Comput. Math. Methods Med. 2019, 2019, 4079298. [Google Scholar] [CrossRef] [PubMed]
- Azizi, T. Mathematical Modeling of Cancer Progression. AppliedMath 2024, 4, 1065–1079. [Google Scholar] [CrossRef]
- Carrara, L.; Lavezzi, S.M.; Borella, E.; De Nicolao, G.; Magni, P.; Poggesi, I. Current mathematical models for cancer drug discovery. Expert Opin. Drug Discov. 2017, 12, 785–799. [Google Scholar] [CrossRef]
- Lavezzi, S.M.; Borella, E.; Carrara, L.; De Nicolao, G.; Magni, P.; Poggesi, I. Mathematical modeling of efficacy and safety for anticancer drugs clinical development. Expert Opin. Drug Discov. 2018, 13, 5–21. [Google Scholar] [CrossRef]
- Magni, P.; Simeoni, M.; Poggesi, I.; Rocchetti, M.; De Nicolao, G. A mathematical model to study the effects of drugs administration on tumor growth dynamics. Math. Biosci. 2006, 200, 127–151. [Google Scholar] [CrossRef]
- Mishra, M.N.; Aljohani, A.F. Mathematical modelling of growth of tumour cells with chemotherapeutic cells by using Yang–Abdel–Cattani fractional derivative operator. J. Taibah Univ. Sci. 2022, 16, 1133–1141. [Google Scholar] [CrossRef]
- Bunonyo, K.W.; Ebiwareme, L. Tumor growth mathematical modeling and application of chemo-immunotherapy and radiotherapy treatments. Int. J. Stat. Appl. Math. 2022, 7, 123–132. [Google Scholar] [CrossRef]
- Tosca, E.M.; Terranova, N.; Stuyckens, K.; Dosne, A.G.; Perera, T.; Vialard, J.; Perez-Ruixo, J.J.; Magni, P.; Poggesi, I. A translational model-based approach to inform the choice of the dose in phase 1 oncology trials: The case study of erdafitinib. Cancer Chemother. Pharmacol. 2022, 89, 117–128. [Google Scholar] [CrossRef] [PubMed]
- Rocchetti, M.; Germani, M.; Del Bene, F.; Poggesi, I.; Magni, P.; Pesenti, E.; De Nicolao, G. Predictive pharmacokinetic–pharmacodynamic modeling of tumor growth after administration of an anti-angiogenic agent, bevacizumab, as single-agent and combination therapy in tumor xenografts. Cancer Chemother. Pharmacol. 2013, 71, 1147–1157. [Google Scholar] [CrossRef]
- Simeoni, M.; Magni, P.; Cammia, C.; De Nicolao, G.; Croci, V.; Pesenti, E.; Germani, M.; Poggesi, I.; Rocchetti, M. Predictive pharmacokinetic-pharmacodynamic modeling of tumor growth kinetics in xenograft models after administration of anticancer agents. Cancer Res. 2004, 64, 1094–1101. [Google Scholar] [CrossRef]
- Butner, J.D.; Wang, Z.; Elganainy, D.; Al Feghali, K.A.; Plodinec, M.; Calin, G.A.; Dogra, P.; Nizzero, S.; Ruiz-Ramírez, J.; Martin, G.V.; et al. A mathematical model for the quantification of a patient’s sensitivity to checkpoint inhibitors and long-term tumour burden. Nat. Biomed. Eng. 2021, 5, 297–308. [Google Scholar] [CrossRef]
- Pang, L.; Liu, S.; Zhang, X.; Tian, T. Mathematical modeling and dynamic analysis of anti-tumor immune response. J. Appl. Math. Comput. 2020, 62, 473–488. [Google Scholar] [CrossRef]
- Valle, P.A.; Coria, L.N.; Salazar, Y. Tumor clearance analysis on a cancer chemo-immunotherapy mathematical model. Bull. Math. Biol. 2019, 81, 4144–4173. [Google Scholar] [CrossRef]
- Tosca, E.M.; Ronchi, D.; Rocchetti, M.; Magni, P. Predicting tumor volume doubling time and progression-free survival in untreated patients from patient-derived-xenograft (PDX) models: A translational model-based approach. AAPS J. 2024, 26, 92. [Google Scholar] [CrossRef]
- Raeisi, E.; Yavuz, M.; Khosravifarsani, M.; Fadaei, Y. Mathematical modeling of interactions between colon cancer and immune system with a deep learning algorithm. Eur. Phys. J. Plus 2024, 139, 345. [Google Scholar] [CrossRef]
- Makhlouf, A.M.; El-Shennawy, L.; Elkaranshawy, H.A. Mathematical Modelling for the Role of CD4+ T Cells in Tumor-Immune Interactions. Comput. Math. Methods Med. 2020, 2020, 7187602. [Google Scholar] [CrossRef]
- Wang, J. Modeling Cancer Growth with Differential Equations. In Proceedings of the SIMIODE, Denver, CO, USA, 1–4 August 2018; pp. 45–48. [Google Scholar]
- Ira, J.I.; Islam, M.S.; Misra, J.C.; Kamrujjaman, M. Mathematical modelling of the dynamics of tumor growth and its optimal control. Preprints 2020. [Google Scholar] [CrossRef]
- Adam, A.; Bellomo, N. Basic models of tumor immune system interactions-identification, analysis and predictions. In A Survey of Models for Tumor-Immune System Dynamics; Birkhauser: Basel, Switzerland, 1997. [Google Scholar]
- Kirschner, D.; Panetta, J.C. Modeling immunotherapy of the tumor—Immune interaction. J. Math. Biol. 1998, 37, 235–252. [Google Scholar] [CrossRef] [PubMed]
- de Pillis, L.G.; Radunskaya, A. A mathematical model of immune response to tumor invasion. In Computational Fluid and Solid Mechanics; Elsevier Science: Amsterdam, The Netherlands, 2003; pp. 1661–1668. [Google Scholar]
- Diefenbach, A.; Jensen, E.R.; Jamieson, A.M.; Raulet, D.H. Rae1 and H60 ligands of the NKG2D receptor stimulate tumour immunity. Nature 2001, 413, 165–171. [Google Scholar] [CrossRef] [PubMed]
- Chen, L. Mathematical Models and Methods in Ecology; Science Press: Beijing, China, 1988; pp. 174–198. [Google Scholar]





| Trait | Benign | Malignant |
|---|---|---|
| Nuclear size | Small | Large |
| Ratio of nuclear size to cytoplasmic volume | Low | High |
| Nuclear shape | Regular | Pleomorphic (irregular shape) |
| Mitotic index | Low | High |
| Tissue organization | Normal | Disorganized |
| Differentiation | Well differentiation | Poorly differentiated |
| Tumor boundary | Well defined | Poorly defined |
| Parameter | Description | Unit | Value | Reference |
|---|---|---|---|---|
| growth rate of tumor cells | day−1 | [18] | ||
| tumor carrying capacity | cell−1 | [10] | ||
| tumor death by NK cells | day−1 | [18] | ||
| growth rate of NK cells | day−1 | [10] | ||
| carrying capacity of NK cells | cell−1 | [18] | ||
| NK cell death by tumor | cell−1 day−1 | [18] | ||
| tumor death by cytotoxic cells | cell−1 day−1 | Assumed | ||
| cytotoxic cell death by tumor | cell−1 day−1 | [10] | ||
| w | natural death of CTLs | day−1 | [18] | |
| r | activation rate of CTLs | day−1 | Assumed | |
| natural death of NK cells | day−1 | Assumed | ||
| death rate of NK cells by drug | day−1 | [10] | ||
| death rate of CD8+ cells by drug | day−1 | Assumed | ||
| death rate of tumor cells by drug | day−1 | [10] | ||
| drug influx | day−1 | Assumed | ||
| drug decay | day−1 | Assumed |
| Logistic | Exponential | Gompertz |
|---|---|---|
| Parameters: 16 | Parameters: 14 | Parameters: 16 |
| State variables: 4 | State variables: 4 | State variables: 4 |
| Identical behavior of tumor cells for | Identical behavior of tumor cells for | Identical behavior of tumor cells for |
| Tumor and cytotoxic T cells decline rapidly for , and while NK cells show variation | Tumor and cytotoxic T cells decline rapidly for , and while NK cells show variation | Tumor and cytotoxic T cells decline rapidly for , and while NK cells show variation |
| The decline of NK and CTL cells is rapid but better than exponential and Gompertz for | Immune cells decrease more rapidly as compared to logistic for | The decline of NK and CTL cells is more rapid than logistic but identical to exponential for |
| Reference | State Variables/Therapy | Growth Model |
|---|---|---|
| [4] | 6, Chemotherapy and chemo-immunotherapy | Logistic |
| [5] | 2, Radiotherapy | Logistic |
| [6] | 3, Immunotherapy and chemotherapy | Logistic |
| [10] | 4, Chemotherapy | Logistic |
| [14] | 4, Chemotherapy | Logistic |
| [15] | 4, Virotherapy | Logistic |
| [16] | 4, Chemotherapy and immunotherapy | Logistic |
| [18] | 6, Chemo-immunotherapy | Logistic and Linear |
| [19] | 3, Immunotherapy | Logistic |
| [23] | 4, Chemotherapy, fractional derivative, and diffusion term | Logistic |
| [24] | 4, Chemotherapy, radiotherapy, and immunotherapy | Exponential |
| [29] | 3, Interaction of immune cells and tumor cells | Exponential |
| [30] | 6, Chemo-immunotherapy | Logistic |
| [32] | 4, Fractional informed neural network | Logistic |
| [33] | 6, Chemotherapy | Logistic |
| Current Paper | 4, Chemotherapy | Logistic, Gompertz, and Exponential |
Disclaimer/Publisher’s Note: The statements, opinions and data contained in all publications are solely those of the individual author(s) and contributor(s) and not of MDPI and/or the editor(s). MDPI and/or the editor(s) disclaim responsibility for any injury to people or property resulting from any ideas, methods, instructions or products referred to in the content. |
© 2025 by the authors. Licensee MDPI, Basel, Switzerland. This article is an open access article distributed under the terms and conditions of the Creative Commons Attribution (CC BY) license (https://creativecommons.org/licenses/by/4.0/).
Share and Cite
Kamran, M.; Abdullah, J.Y.; Ahmad Satmi, A.S.; Genisa, M.; Majeed, A.; Nadeem, T. Mathematical Modeling and Analysis of Tumor Growth Models Integrating Treatment Therapy. Math. Comput. Appl. 2025, 30, 119. https://doi.org/10.3390/mca30060119
Kamran M, Abdullah JY, Ahmad Satmi AS, Genisa M, Majeed A, Nadeem T. Mathematical Modeling and Analysis of Tumor Growth Models Integrating Treatment Therapy. Mathematical and Computational Applications. 2025; 30(6):119. https://doi.org/10.3390/mca30060119
Chicago/Turabian StyleKamran, Mohsin, Johari Yap Abdullah, Afaf Syahira Ahmad Satmi, Maya Genisa, Abdul Majeed, and Tayyaba Nadeem. 2025. "Mathematical Modeling and Analysis of Tumor Growth Models Integrating Treatment Therapy" Mathematical and Computational Applications 30, no. 6: 119. https://doi.org/10.3390/mca30060119
APA StyleKamran, M., Abdullah, J. Y., Ahmad Satmi, A. S., Genisa, M., Majeed, A., & Nadeem, T. (2025). Mathematical Modeling and Analysis of Tumor Growth Models Integrating Treatment Therapy. Mathematical and Computational Applications, 30(6), 119. https://doi.org/10.3390/mca30060119

