Sign in to use this feature.

Years

Between: -

Subjects

remove_circle_outline
remove_circle_outline
remove_circle_outline
remove_circle_outline
remove_circle_outline

Journals

Article Types

Countries / Regions

Search Results (26)

Search Parameters:
Keywords = avidity maturation

Order results
Result details
Results per page
Select all
Export citation of selected articles as:
13 pages, 2026 KB  
Article
Pre-Existing Anti-Inflammatory Immune Conditions Influence Early Antibody Avidity and Isotype Profile Following Comirnaty® Vaccination in Mice
by Mariangeles Castillo, María C. Miraglia, Florencia C. Mansilla, Cecilia P. Randazzo, Leticia V. Bentancor, Teresa Freire and Alejandra V. Capozzo
Vaccines 2025, 13(7), 677; https://doi.org/10.3390/vaccines13070677 - 24 Jun 2025
Viewed by 960
Abstract
Background/Objectives: Vaccine immunogenicity is often suboptimal in vulnerable populations such as the elderly, infants, and individuals in low- and middle-income countries. One contributing factor may be pre-existing immunomodulatory conditions, including helminth infections. This study investigates the impact of Fasciola hepatica (F. hepatica [...] Read more.
Background/Objectives: Vaccine immunogenicity is often suboptimal in vulnerable populations such as the elderly, infants, and individuals in low- and middle-income countries. One contributing factor may be pre-existing immunomodulatory conditions, including helminth infections. This study investigates the impact of Fasciola hepatica (F. hepatica) derived molecules on the early humoral response to the COVID-19 mRNA vaccine Comirnaty® in a mouse model. Methods: BALB/c mice were pretreated with a F. hepatica protein extract (FH) or complete Freund’s adjuvant (CFA) prior to vaccination. Cytokine production and antibody responses were assessed at 0, 14, and 21 days post-vaccination (dpv) through serum analysis and ex vivo splenocyte stimulation with the SARS-CoV-2 receptor-binding domain (RBD) or LPS. Results: At 0 dpv, FH-treated mice showed increased serum IL-10, while CFA treatment induced IL-12. FH- but not CFA-treated splenocytes secreted IL-10 upon RBD or LPS stimulation. At 21 dpv, FH-treated mice lacked IFN-γ production but maintained IL-10 and showed elevated IL-4, consistent with a Th2-skewed profile. Although total anti-RBD IgG levels were similar between groups, FH-treated mice exhibited reduced IgG avidity and a higher IgG1/IgG2 ratio. CFA-treated mice showed delayed avidity maturation. Conclusions: Prior exposure to F. hepatica antigens can modulate the early immune response to Comirnaty®, affecting both cellular activation and antibody quality. This altered response may reflect a reduced early protective capacity of the vaccine, which might need to be considered when designing or evaluating vaccination strategies using mRNA vaccines in helminth-endemic regions. Full article
(This article belongs to the Section Vaccine Advancement, Efficacy and Safety)
Show Figures

Figure 1

19 pages, 4594 KB  
Article
Microarray-Based Avidity Assay for Assessment of Thyroid Autoantibodies
by Elena Savvateeva, Vera Sokolova, Marina Yukina, Nurana Nuralieva, Elena Kulagina, Maxim Donnikov, Lyudmila Kovalenko, Maria Kazakova, Ekaterina Troshina and Dmitry Gryadunov
Diagnostics 2025, 15(3), 341; https://doi.org/10.3390/diagnostics15030341 - 31 Jan 2025
Viewed by 1189
Abstract
Background/Objectives: The aim of this study was to evaluate the avidity of thyroid autoantibodies (Abs) in sera of patients with autoimmune thyroid disease (AITD) and thyroid autoantibody carriers without diagnosed AITD. Methods: A hydrogel microarray-based multiplex assay with the chaotrope destruction stage was [...] Read more.
Background/Objectives: The aim of this study was to evaluate the avidity of thyroid autoantibodies (Abs) in sera of patients with autoimmune thyroid disease (AITD) and thyroid autoantibody carriers without diagnosed AITD. Methods: A hydrogel microarray-based multiplex assay with the chaotrope destruction stage was developed to measure the avidity of thyroid disease-associated autoantibodies, including those targeting thyroperoxidase (TPO), thyroglobulin (Tg), and other minor antigens. Results: Evaluation of the assay in three independent cohorts of patients, totaling 266 individuals with and without AITD, demonstrated the heterogeneous avidity of autoantibodies to thyroid proteins. For the confirmation study, the median avidity index (AI) for AbTg was 29.9% in healthy autoantibody carriers, 52.6% for AITD patients, and 92.7% for type 1 diabetes (T1D) thyroid autoantibody carriers. The median AI for AbTPO was 39.9% in healthy carriers, 73.4% in AITD patients, 83.2% in T1D thyroid autoantibody carriers, and 98.5% in AITD patients with thyroid neoplasm. In patients with Hashimoto’s thyroiditis and known disease duration, changes in the avidity maturation of AbTPO over time were demonstrated. Conclusions: Longitudinal studies of TPO- and/or Tg-positive healthy individuals (with an interval of 1–2 years between visits) are needed to evaluate the maturation of autoantibody avidity during the asymptomatic phase and to assess the potential of autoantibody avidity as a prognostic marker for disease development. Full article
(This article belongs to the Special Issue Recent Advances in Clinical Laboratory Immunology)
Show Figures

Figure 1

11 pages, 1320 KB  
Article
Immune Modulation Related to High-Dose Valacyclovir Administration for Primary Cytomegalovirus Infection in Pregnancy: An Insight into Virus Behavior and Maternal Serology
by Marco De Santis, Silvio Tartaglia, Chiara Cerra, Daniela Visconti, Piero Valentini, Antonio Lanzone, Lucia Masini and Rosaria Santangelo
Viruses 2025, 17(2), 157; https://doi.org/10.3390/v17020157 - 24 Jan 2025
Viewed by 1295
Abstract
Cytomegalovirus (CMV) infection during pregnancy poses significant maternal and fetal health risks. Valacyclovir, an antiviral drug, has been explored as a therapeutic option for managing primary CMV infections in pregnant women. This study investigates the effects of valacyclovir therapy on immune response maturation [...] Read more.
Cytomegalovirus (CMV) infection during pregnancy poses significant maternal and fetal health risks. Valacyclovir, an antiviral drug, has been explored as a therapeutic option for managing primary CMV infections in pregnant women. This study investigates the effects of valacyclovir therapy on immune response maturation against CMV, maternal antibody levels, and viral replication during treatment. We conducted a retrospective observational study involving pregnant women diagnosed with primary CMV infection and presenting in utero infection who received high-dose valacyclovir therapy (8 g/day). A group started the therapy at diagnosis, while another group started only after positive amniocentesis. Maternal antibody levels (IgM, IgG, and IgG avidity) and PCR for CMV testing (in blood, urine, and saliva) were measured longitudinally during the second and third trimesters. Our findings indicate that early valacyclovir therapy is related to lower avidity levels over time and a delay in reaching a high IgG avidity level (18.22 ± 1.21 weeks) compared to the patients who started Valacyclovir during the second trimester after positive amniocentesis (14.52 ± 1.64 weeks; p = 0.066). The therapy does not condition the overall concentration of maternal CMV-specific IgM and IgG. While high-dose VCV does not directly target the mechanism of IgG avidity maturation, it can interfere with this process by reducing the viral load and antigen presentation, influencing IgG avidity maturation. Further research is needed to elucidate the long-term implications of potential immunological modulation induced by Valacyclovir and to optimize early diagnosis and the right treatment protocol during pregnancy. Full article
(This article belongs to the Special Issue Immune Modulation by Human Cytomegalovirus)
Show Figures

Figure 1

19 pages, 3561 KB  
Article
Antibody Avidity Maturation Following Booster Vaccination with an Intranasal Adenovirus Salnavac Vaccine
by Ekaterina A. Astakhova, Konstantin O. Baranov, Nadezhda V. Shilova, Svetlana M. Polyakova, Evgeniy V. Zuev, Dmitry A. Poteryaev, Alexander V. Taranin and Alexander V. Filatov
Vaccines 2024, 12(12), 1362; https://doi.org/10.3390/vaccines12121362 - 2 Dec 2024
Viewed by 2152
Abstract
Background: The COVID-19 pandemic has led to the rapid development of new vaccines and methods of testing vaccine-induced immunity. Despite the extensive research that has been conducted on the level of specific antibodies, less attention has been paid to studying the avidity of [...] Read more.
Background: The COVID-19 pandemic has led to the rapid development of new vaccines and methods of testing vaccine-induced immunity. Despite the extensive research that has been conducted on the level of specific antibodies, less attention has been paid to studying the avidity of these antibodies. The avidity of serum antibodies is associated with a vaccine showing high effectiveness and reflects the process of affinity maturation. In the context of vaccines against SARS-CoV-2, only a limited number of studies have investigated the avidity of antibodies, often solely focusing on the wild-type virus following vaccination. This study provides new insights into the avidity of serum antibodies following adenovirus-based boosters. We focused on the effects of an intranasal Salnavac booster, which is compared, using a single analytical platform, to an intramuscular Sputnik V. Methods: The avidity of RBD-specific IgGs and IgAs was investigated through ELISA using urea and biolayer interferometry. Results: The results demonstrated the similar avidities of serum antibodies, which were induced by both vaccines for six months post-booster. However, an increase in antibody avidity was observed for the wild-type and Delta variants, but not for the BA.4/5 variant. Conclusions: Collectively, our data provide the insights into antibody avidity maturation after the adenovirus-based vaccines against SARS-CoV-2. Full article
(This article belongs to the Special Issue SARS-CoV-2 Variants, Vaccines, and Immune Responses)
Show Figures

Figure 1

14 pages, 2612 KB  
Article
Effect of Donor Age on Endocrine Function of and Immune Response to Ovarian Grafts
by Monica A. Wall, Mayara Garcia de Mattos Barbosa, Natalie Hanby, Michelle M. Cai, Margaret Brunette, Despina I. Pavlidis, Paula Arrowsmith, Ansen Q. Tan, Marilia Cascalho and Ariella Shikanov
Int. J. Mol. Sci. 2024, 25(6), 3431; https://doi.org/10.3390/ijms25063431 - 19 Mar 2024
Cited by 1 | Viewed by 2177
Abstract
Premature loss of ovarian function (POI) is associated with numerous negative side effects, including vasomotor symptoms, sleep and mood disturbances, disrupted urinary function, and increased risks for osteoporosis and heart disease. Hormone replacement therapy (HRT), the standard of care for POI, delivers only [...] Read more.
Premature loss of ovarian function (POI) is associated with numerous negative side effects, including vasomotor symptoms, sleep and mood disturbances, disrupted urinary function, and increased risks for osteoporosis and heart disease. Hormone replacement therapy (HRT), the standard of care for POI, delivers only a subset of ovarian hormones and fails to mimic the monthly cyclicity and daily pulsatility characteristic of healthy ovarian tissue in reproductive-aged individuals whose ovarian tissue contains thousands of ovarian follicles. Ovarian tissue allografts have the potential to serve as an alternative, cell-based HRT, capable of producing the full panel of ovarian hormones at physiologically relevant doses and intervals. However, the risks associated with systemic immune suppression (IS) required to prevent allograft rejection outweigh the potential benefits of comprehensive and dynamic hormone therapy. This work investigates whether the age of ovarian tissue donor animals affects the function of, and immune response to, subcutaneous ovarian grafts. We performed syngeneic and semi-allogeneic ovarian transplants using tissue from mice aged 6–8 (D7) or 20–22 (D21) days and evaluated ovarian endocrine function and immune response in a mouse model of POI. Our results revealed that tissue derived from D7 donors, containing an ample and homogeneous primordial follicle reserve, was more effective in fully restoring hypothalamic–pituitary–ovarian feedback. In contrast, tissue derived from D21 donors elicited anti-donor antibodies with higher avidity compared to tissue from younger donors, suggesting that greater immunogenicity may be a trade-off of using mature donors. This work contributes to our understanding of the criteria donor tissue must meet to effectively function as a cell-based HRT and explores the importance of donor age as a factor in ovarian allograft rejection. Full article
(This article belongs to the Special Issue Recent Advances in the Molecular Biology of Transplantation)
Show Figures

Figure 1

13 pages, 366 KB  
Review
IgY Antibodies from Birds: A Review on Affinity and Avidity
by Bianca Lisley Barboza Pacheco, Camila Parada Nogueira and Emerson José Venancio
Animals 2023, 13(19), 3130; https://doi.org/10.3390/ani13193130 - 7 Oct 2023
Cited by 19 | Viewed by 4812
Abstract
IgY antibodies are found in the blood and yolk of eggs. Several studies show the feasibility of utilising IgY for immunotherapy and immunodiagnosis. These antibodies have been studied because they fulfil the current needs for reducing, replacing, and improving the use of animals. [...] Read more.
IgY antibodies are found in the blood and yolk of eggs. Several studies show the feasibility of utilising IgY for immunotherapy and immunodiagnosis. These antibodies have been studied because they fulfil the current needs for reducing, replacing, and improving the use of animals. Affinity and avidity represent the strength of the antigen–antibody interaction and directly influence antibody action. The aim of this review was to examine the factors that influence the affinity and avidity of IgY antibodies and the methodologies used to determine these variables. In birds, there are few studies on the maturation of antibody affinity and avidity, and these studies suggest that the use of an adjuvant-type of antigen, the animal lineage, the number of immunisations, and the time interfered with the affinity and avidity of IgY antibodies. Regarding the methodologies, most studies use chaotropic agents to determine the avidity index. Studies involving the solution phase and equilibrium titration reactions are also described. These results demonstrate the need for the standardisation of methodologies for the determination of affinity and avidity so that further studies can be performed to optimise the production of high avidity IgY antibodies. Full article
(This article belongs to the Section Poultry)
14 pages, 7245 KB  
Article
Clinical Utility of SARS-CoV-2 Antibody Titer Multiplied by Binding Avidity of Receptor-Binding Domain (RBD) in Monitoring Protective Immunity and Clinical Severity
by Etsuhisa Takahashi, Takako Sawabuchi, Tetsuya Homma, Yosuke Fukuda, Hironori Sagara, Takeshi Kinjo, Kaori Fujita, Shigeru Suga, Takashi Kimoto, Satoko Sakai, Keiko Kameda and Hiroshi Kido
Viruses 2023, 15(8), 1662; https://doi.org/10.3390/v15081662 - 30 Jul 2023
Cited by 3 | Viewed by 2513
Abstract
Conventional serum antibody titer, which expresses antibody level, does not provide antigen binding avidity of the variable region of the antibody, which is essential for the defense response to infection. Here, we quantified anti-SARS-CoV-2 antibody binding avidity to the receptor-binding domain (RBD) by [...] Read more.
Conventional serum antibody titer, which expresses antibody level, does not provide antigen binding avidity of the variable region of the antibody, which is essential for the defense response to infection. Here, we quantified anti-SARS-CoV-2 antibody binding avidity to the receptor-binding domain (RBD) by competitive binding-inhibition activity (IC50) between SARS-CoV-2 S1 antigen immobilized on the DCP microarray and various RBD doses added to serum and expressed as 1/IC50 nM. The binding avidity analyzed under equilibrium conditions of antigen–antibody binding reaction is different from the avidity index measured with the chaotropic agent, such as urea, under nonequilibrium and short-time conditions. Quantitative determination of the infection-protection potential of antibodies was assessed by ABAT (antigen binding avidity antibody titer), which was calculated by the quantity (level) × quality (binding avidity) of antibodies. The binding avidity correlated strongly (r = 0.811) with cell-based virus-neutralizing activity. Maturation of the protective antibody induced by repeated vaccinations or SARS-CoV-2 infection was classified into three categories of ABAT, such as an initial, low, and high ABAT. Antibody maturity correlated with the clinical severity of COVID-19. Once a mature high binding avidity was achieved, it was maintained for at least 6–8 months regardless of the subsequent change in the antibody levels. Full article
Show Figures

Figure 1

16 pages, 4328 KB  
Brief Report
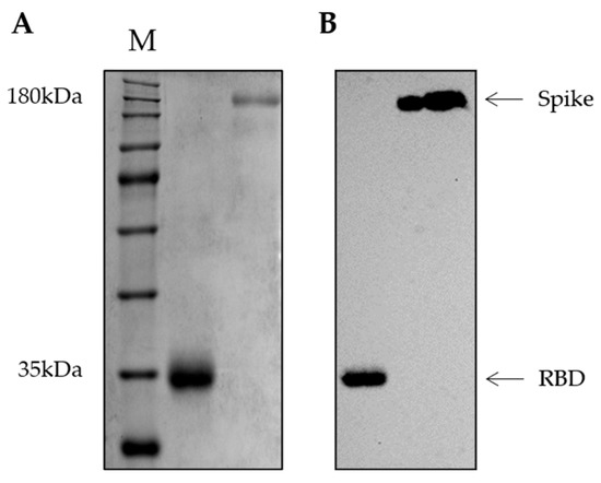
RBD and Spike DNA-Based Immunization in Rabbits Elicited IgG Avidity Maturation and High Neutralizing Antibody Responses against SARS-CoV-2
by Hernan H. M. da Costa, Diego J. B. Orts, Andrew D. Moura, Amaro N. Duarte-Neto, Cinthya S. Cirqueira, Rodrigo A. Réssio, Cristina T. Kanamura, Karen Miguita, Jerenice E. Ferreira, Raimunda T. M. Santos, Patricia P. Adriani, Jair P. Cunha-Junior, Renato M. Astray, Regina M. Catarino, Marcelo Lancelotti and Carlos R. Prudencio
Viruses 2023, 15(2), 555; https://doi.org/10.3390/v15020555 - 17 Feb 2023
Cited by 6 | Viewed by 4049
Abstract
Neutralizing antibodies (nAbs) are a critical part of coronavirus disease 2019 (COVID-19) research as they are used to gain insight into the immune response to severe acute respiratory syndrome-related coronavirus 2 (SARS-CoV-2) infections. Among the technologies available for generating nAbs, DNA-based immunization methods [...] Read more.
Neutralizing antibodies (nAbs) are a critical part of coronavirus disease 2019 (COVID-19) research as they are used to gain insight into the immune response to severe acute respiratory syndrome-related coronavirus 2 (SARS-CoV-2) infections. Among the technologies available for generating nAbs, DNA-based immunization methods are an alternative to conventional protocols. In this pilot study, we investigated whether DNA-based immunization by needle injection in rabbits was a viable approach to produce a functional antibody response. We demonstrated that three doses of DNA plasmid carrying the gene encoding the full-length spike protein (S) or the receptor binding domain (RBD) of SARS-CoV-2 induced a time-dependent increase in IgG antibody avidity maturation. Moreover, the IgG antibodies displayed high cross neutralization by live SARS-CoV-2 and pseudoviruses neutralization assays. Thus, we established a simple, low cost and feasible DNA-based immunization protocol in rabbits that elicited high IgG avidity maturation and nAbs production against SARS-CoV-2, highlighting the importance of DNA-based platforms for developing new immunization strategies against SARS-CoV-2 and future emerging epidemics. Full article
(This article belongs to the Section SARS-CoV-2 and COVID-19)
Show Figures

Graphical abstract

14 pages, 2551 KB  
Article
A Bivalent MAPS Vaccine Induces Protective Antibody Responses against Salmonella Typhi and Paratyphi A
by Fan Zhang, Emily M. Boerth, Joyce Gong, Nicole Ma, Katherine Lucas, Olivia Ledue, Richard Malley and Ying-Jie Lu
Vaccines 2023, 11(1), 91; https://doi.org/10.3390/vaccines11010091 - 30 Dec 2022
Cited by 13 | Viewed by 3705
Abstract
Infections by Salmonella Typhi and Paratyphi A strain are still a major cause of morbidity and mortality in developing countries. Generation of antibodies against the Vi capsular polysaccharide of S. Typhi via either pure polysaccharide or protein–polysaccharide conjugate is a very effective [...] Read more.
Infections by Salmonella Typhi and Paratyphi A strain are still a major cause of morbidity and mortality in developing countries. Generation of antibodies against the Vi capsular polysaccharide of S. Typhi via either pure polysaccharide or protein–polysaccharide conjugate is a very effective way to protect against S. Typhi. To date, there is no commercially available vaccine against S. Paratyphi A. The O-specific polysaccharide (OSP) has been generally considered a good vaccine target for Paratyphi A. Here, a bivalent vaccine against Vi and OSP was generated using the Multiple Antigen Presenting System (MAPS). Three different protein constructs, including CRM197, rEPA of Pseudomonas, and a pneumococcal fusion protein SP1500-SP0785, were fused to Rhizavidin (Rhavi) and evaluated their impact on immunogenicity when incorporated as fusion proteins affinity-bound to the two polysaccharides. We compared the antibody responses, antibody avidity, and cidal activity of sera post-immunization with monovalent vs. combination vaccines. We also wished to evaluate the generation of Vi-specific memory B cells in mice. We found little interference when combination vaccine was compared to monovalent vaccines with respect to antibody concentration and cidal activity of sera. Significant affinity maturation was noted for both Vi and OSP antigens. Thus, our preclinical results with a combination Vi- and OSP-MAPS vaccine strongly support the feasibility of this approach and its application of this approach to other important salmonella and Shigella species. Full article
Show Figures

Figure 1

18 pages, 3030 KB  
Article
Assessment on Different Vaccine Formulation Parameters in the Protection against Heterologous Challenge with FMDV in Cattle
by Sebastián Di Giacomo, Danilo Bucafusco, Juan Manuel Schammas, Juan Pega, María Cruz Miraglia, Florencia Barrionuevo, Alejandra Victoria Capozzo and Daniel Mariano Perez-Filgueira
Viruses 2022, 14(8), 1781; https://doi.org/10.3390/v14081781 - 15 Aug 2022
Cited by 12 | Viewed by 2980
Abstract
Foot-and-mouth disease (FMD) remains one of the major threats to animal health worldwide. Its causative agent, the FMD virus (FMDV), affects cloven-hoofed animals, including farm animals and wildlife species, inflicting severe damage to the international trade and livestock industry. FMDV antigenic variability remains [...] Read more.
Foot-and-mouth disease (FMD) remains one of the major threats to animal health worldwide. Its causative agent, the FMD virus (FMDV), affects cloven-hoofed animals, including farm animals and wildlife species, inflicting severe damage to the international trade and livestock industry. FMDV antigenic variability remains one of the biggest challenges for vaccine-based control strategies. The current study analyzed the host’s adaptive immune responses in cattle immunized with different vaccine protocols and investigated its associations with the clinical outcome after infection with a heterologous strain of FMDV. The results showed that antigenic payload, multivalency, and revaccination may impact on the clinical outcome after heterologous challenge with FMDV. Protection from the experimental infection was related to qualitative traits of the elicited antibodies, such as avidity, IgG isotype composition, and specificity diversity, modulating and reflecting the vaccine-induced maturation of the humoral response. The correlation analyses of the serum avidity obtained per vaccinated individual might suggest that conventional vaccination can induce high-affinity immunoglobulins against conserved epitopes even within different FMDV serotypes. Cross-reaction among strains by these high-affinity antibodies may support further protection against a heterologous infection with FMDV. Full article
(This article belongs to the Special Issue Global Foot-and-Mouth Disease Control)
Show Figures

Figure 1

8 pages, 245 KB  
Article
Questioning Cézanne across Sightlines: Balzac, Zola, and Merleau-Ponty
by Véronique M. Fóti
Humanities 2022, 11(2), 56; https://doi.org/10.3390/h11020056 - 14 Apr 2022
Viewed by 2976
Abstract
Although Merleau-Ponty’s privileging of Cézanne in the context of his philosophy of painting does not explicitly address the painter’s relation to literature, this relation is important and somewhat problematic. Cézanne was an avid reader of both classical Latin and contemporary French literature, but [...] Read more.
Although Merleau-Ponty’s privileging of Cézanne in the context of his philosophy of painting does not explicitly address the painter’s relation to literature, this relation is important and somewhat problematic. Cézanne was an avid reader of both classical Latin and contemporary French literature, but he sought, in his maturity, to dissociate painting from the inspiration of literature. The danger of a mode of figurative painting informed by literature is explored in Balzac’s novella The Unknown Masterpiece, of which there are echoes in Merleau-Ponty’s discussions of painting, and which is alluded to in Emile Zola’s novel The Masterpiece, which led Cézanne to break off his lifelong friendship with the author. Zola’s novel contradicts Merleau-Ponty’s emphasis on the artist’s creative freedom by portraying his protagonist, modeled on Cézanne, as destroyed by a fatality of destiny. Cézanne, in his maturity, sought to conjoin in painting a “logic of the eyes” with a “logic of the brain” resulting in an art genuinely “parallel with nature”, which it sought to express rather than to represent. The article explores this dissociation of painting from literature and autonomy with respect to what Merleau-Ponty calls “the dimension of color” and to Cézanne’s lifelong theme of bathers in a landscape. Full article
16 pages, 3529 KB  
Article
Characterizing Kinetics and Avidity of SARS-CoV-2 Antibody Responses in COVID-19 Greek Patients
by Stavroula Labropoulou, Niki Vassilaki, Raphaela S. Milona, Evangelos Terpos, Marianna Politou, Vasiliki Pappa, Maria Pagoni, Elisavet Grouzi, Meletios A. Dimopoulos, Andreas Mentis, Mary Emmanouil and Emmanouil Angelakis
Viruses 2022, 14(4), 758; https://doi.org/10.3390/v14040758 - 5 Apr 2022
Cited by 5 | Viewed by 2587
Abstract
In-depth understanding of the immune response provoked by SARS-CoV-2 infection is necessary, as there is a great risk of reinfection and a difficulty in achieving herd immunity due to a decline in both antibody concentration and avidity. Avidity testing, however, could overcome variability [...] Read more.
In-depth understanding of the immune response provoked by SARS-CoV-2 infection is necessary, as there is a great risk of reinfection and a difficulty in achieving herd immunity due to a decline in both antibody concentration and avidity. Avidity testing, however, could overcome variability in the immune response associated with sex or clinical symptoms, and thus differentiate between recent and past infections. In this context, here, we analyzed SARS-CoV-2 antibody kinetics and avidity in Greek hospitalized (26%) and non-hospitalized (74%) COVID-19 patients (N = 71) in the course of up to 15 months after their infection to improve the accuracy of the serological diagnosis in dating the onset of the infection. The results showed that IgG-S1 levels decline significantly at four months (p = 0.0239) in both groups of patients and are higher in hospitalized ones (up to 2.1-fold, p < 0.001). Additionally, hospitalized patients’ titers drop greatly and are equalized to non-hospitalized ones only at a time-point of twelve to fifteen months. Antibody levels of women in total remain more stable months after infection, compared to men. Furthermore, we examined the differential maturation of IgG avidity after SARS-CoV-2 infection, showing an incomplete maturation of avidity that results in a plateau at four months after infection. We also defined 38.2% avidity (sensitivity: 58.9%, specificity: 90.91%) as an appropriate “cut-off” that could be used to determine the stage of infection before avidity reaches a plateau. Full article
(This article belongs to the Special Issue State-of-the-Art Virus Research in Greece)
Show Figures

Figure 1

10 pages, 2414 KB  
Communication
Evolution of Anti-RBD IgG Avidity following SARS-CoV-2 Infection
by Alexandra Tauzin, Gabrielle Gendron-Lepage, Manon Nayrac, Sai Priya Anand, Catherine Bourassa, Halima Medjahed, Guillaume Goyette, Mathieu Dubé, Renée Bazin, Daniel E. Kaufmann and Andrés Finzi
Viruses 2022, 14(3), 532; https://doi.org/10.3390/v14030532 - 4 Mar 2022
Cited by 19 | Viewed by 4777
Abstract
SARS-CoV-2 infection rapidly elicits anti-Spike antibodies whose quantity in plasma gradually declines upon resolution of symptoms. This decline is part of the evolution of an immune response leading to B cell differentiation into short-lived antibody-secreting cells or resting memory B cells. At the [...] Read more.
SARS-CoV-2 infection rapidly elicits anti-Spike antibodies whose quantity in plasma gradually declines upon resolution of symptoms. This decline is part of the evolution of an immune response leading to B cell differentiation into short-lived antibody-secreting cells or resting memory B cells. At the same time, the ongoing class switch and antibody maturation processes occurring in germinal centers lead to the selection of B cell clones secreting antibodies with higher affinity for their cognate antigen, thereby improving their functional activity. To determine whether the decline in SARS-CoV-2 antibodies is paralleled with an increase in avidity of the anti-viral antibodies produced, we developed a simple assay to measure the avidity of anti-receptor binding domain (RBD) IgG elicited by SARS-CoV-2 infection. We longitudinally followed a cohort of 29 convalescent donors with blood samples collected between 6- and 32-weeks post-symptoms onset. We observed that, while the level of antibodies declines over time, the anti-RBD avidity progressively increases and correlates with the B cell class switch. Additionally, we observed that anti-RBD avidity increased similarly after SARS-CoV-2 mRNA vaccination and after SARS-CoV-2 infection. Our results suggest that anti-RBD IgG avidity determination could be a surrogate assay for antibody affinity maturation and, thus, suitable for studying humoral responses elicited by natural infection and/or vaccination. Full article
(This article belongs to the Special Issue Basic Sciences for the Conquest of COVID-19)
Show Figures

Graphical abstract

9 pages, 1482 KB  
Communication
Immune Maturation Effects on Viral Neutralization and Avidity of Hyperimmunized Equine Anti-SARS-CoV-2 Sera
by Myriam Belén González Viacava, Augusto Varese, Ignacio Mazzitelli, Laura Lanari, Lucía Ávila, María Julia García Vampa, Jorge Geffner, Osvaldo Cascone, José Christian Dokmetjian, Adolfo Rafael de Roodt and Matías Fingermann
Antibodies 2022, 11(1), 3; https://doi.org/10.3390/antib11010003 - 2 Jan 2022
Cited by 2 | Viewed by 4103
Abstract
Mass-vaccination against COVID-19 is still a distant goal for most low-to-middle income countries. The experience gained through decades producing polyclonal immunotherapeutics (such as antivenoms) in many of those countries is being redirected to develop similar products able to neutralize SARS-CoV-2 infection. In this [...] Read more.
Mass-vaccination against COVID-19 is still a distant goal for most low-to-middle income countries. The experience gained through decades producing polyclonal immunotherapeutics (such as antivenoms) in many of those countries is being redirected to develop similar products able to neutralize SARS-CoV-2 infection. In this study we analyzed the biological activity (viral neutralization or NtAb) and immunochemical properties of hyperimmune horses’ sera (HHS) obtained during initial immunization (I) and posterior re-immunization (R) cycles using the RBD domain of the SARS-CoV-2 spike protein as antigen. HHS at the end of the R cycle showed higher NtAb titers when compared to those after the I cycle (35,585 vs. 7000 mean NtAb, respectively). Moreover, this increase paralleled an increase in avidity (95.2% to 65.2% mean avidity units, respectively). The results presented herein are relevant for manufacturers of these therapeutic tools against COVID-19. Full article
(This article belongs to the Special Issue Antibody-Based Therapeutics Against COVID-19)
Show Figures

Figure 1

23 pages, 1450 KB  
Article
BRAF and MEK Inhibitors Affect Dendritic-Cell Maturation and T-Cell Stimulation
by Stefanie Hoyer, Valentina Eberlein, Gerold Schuler, Carola Berking, Lucie Heinzerling, Niels Schaft and Jan Dörrie
Int. J. Mol. Sci. 2021, 22(21), 11951; https://doi.org/10.3390/ijms222111951 - 4 Nov 2021
Cited by 11 | Viewed by 3366
Abstract
BRAF and MEK inhibitor (BRAFi/MEKi) combinations are currently the standard treatment for patients with BRAFV600 mutant metastatic melanoma. Since the RAS/RAF/MEK/ERK-pathway is crucial for the function of different immune cells, we postulated an effect on their function and thus interference with anti-tumor [...] Read more.
BRAF and MEK inhibitor (BRAFi/MEKi) combinations are currently the standard treatment for patients with BRAFV600 mutant metastatic melanoma. Since the RAS/RAF/MEK/ERK-pathway is crucial for the function of different immune cells, we postulated an effect on their function and thus interference with anti-tumor immunity. Therefore, we examined the influence of BRAFi/MEKi, either as single agent or in combination, on the maturation of monocyte-derived dendritic cells (moDCs) and their interaction with T cells. DCs matured in the presence of vemurafenib or vemurafenib/cobimetinib altered their cytokine secretion and surface marker expression profile. Upon the antigen-specific stimulation of CD8+ and CD4+ T cells with these DCs or with T2.A1 cells in the presence of BRAFi/MEKi, we detected a lower expression of activation markers on and a lower cytokine secretion by these T cells. However, treatment with any of the inhibitors alone or in combination did not change the avidity of CD8+ T cells in peptide titration assays with T2.A1 cells. T-helper cell/DC interaction is a bi-directional process that normally results in DC activation. Vemurafenib and vemurafenib/cobimetinib completely abolished the helper T-cell-mediated upregulation of CD70, CD80, and CD86 but not CD25 on the DCs. The combination of dabrafenib/trametinib affected DC maturation and activation as well as T-cell activation less than combined vemurafenib/cobimetinib did. Hence, for a potential combination with immunotherapy, our data indicate the superiority of dabrafenib/trametinib treatment. Full article
(This article belongs to the Special Issue Kinase Signal Transduction 2.0)
Show Figures

Figure 1

Back to TopTop