Sign in to use this feature.

Years

Between: -

Subjects

remove_circle_outline
remove_circle_outline
remove_circle_outline
remove_circle_outline
remove_circle_outline

Journals

Article Types

Countries / Regions

Search Results (37)

Search Parameters:
Keywords = atypical respiratory pathogen

Order results
Result details
Results per page
Select all
Export citation of selected articles as:
16 pages, 7144 KB  
Article
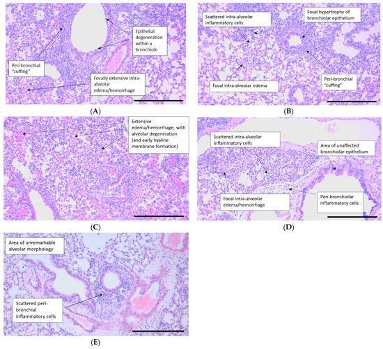
The Association of Macavirus and Ovine Gammaherpesvirus 2 with Pneumonia in Beef Cattle from Mato Grosso, Brazil
by Julia Raisa Ximenes Figueiredo, Flavia Helena Pereira Silva, Juliana Torres Tomazi Fritzen, Beatriz Martins Machado, Fernanda Pinto Ferreira, Karina Rodrigues Gomes Ferreira, Sébastien Buczinski, Amauri Alcindo Alfieri and Selwyn Arlington Headley
Pathogens 2025, 14(9), 945; https://doi.org/10.3390/pathogens14090945 - 18 Sep 2025
Cited by 1 | Viewed by 374
Abstract
This study investigated the possible occurrence of pulmonary disease in beef cattle from 13 municipalities within the State of Mato Grosso (MT), Brazil. The state of MT is a leading player in beef cattle production in Brazil, but with comparatively few data relative [...] Read more.
This study investigated the possible occurrence of pulmonary disease in beef cattle from 13 municipalities within the State of Mato Grosso (MT), Brazil. The state of MT is a leading player in beef cattle production in Brazil, but with comparatively few data relative to the occurrence of pulmonary disease or ovine gammaherpesvirus 2 (OvGHV2)-related infections in cattle. Pulmonary samples from 44 beef cattle, with ages ranging between 18 and 28 months, were collected during slaughter and processed to determine the patterns of pulmonary lesions. Additionally, duplicate fragments were used in immunohistochemical (IHC) assays designed to detect malignant catarrhal fever (MCFV) antigens and in molecular assays to amplify 10 agents associated with the development of bovine respiratory disease (BRD). Interstitial pneumonia (IP) was diagnosed in most of the lungs (98%; 43/44) evaluated from all municipalities. MCFV antigens were detected in 37% (16/43) of the animals with IP. Only four pathogens were amplified by molecular assays within the lungs of cattle with IP: OvGHV2 (23%; 10/43), bovine viral diarrhea virus (12%; 5/43), bovine coronavirus (7%; 3/43), and Mannheimia haemolytica (2%; 1/43). The nucleic acids of bovine respiratory syncytial virus, bovine alphaherpesvirus 1, bovine parainfluenza virus 3, Pasteurella multocida, Histophilus somni, and Mycoplasmopsis (Mycoplasma) bovis were not amplified. Singular infections in cattle from municipalities were associated with MCFV (n = 3) and OvGHV2 (n = 2), while OvGHV2 occurred in all dual and triple infections. However, in four animals with IP, none of the disease pathogens identified were detected. Statistically, MCFV antigens were more frequently (p = 0.048) detected in the lungs of female (75%; 12/16) cattle with IP relative to males (25%; 4/16). Additionally, there was a positive correlation (p < 0.001) between the IHC detection of MCFV antigens within the bronchial epithelium and the epithelium of peribronchial glands of cattle with IP. This is the first study to statistically demonstrate that female cattle are at greater risk of developing MCFV-related infections as compared to male animals. The detection of OvGHV2 in singular and multiple infections during this investigation supports earlier studies that associate this pathogen with the development of pulmonary disease in cattle, indicating that OvGHV2 can contribute to the etiology of IP. Additionally, the detection of OvGHV2-induced infections in asymptomatic cattle suggests that all animals were subclinically infected, confirming that subclinically OvGHV2-induced infections may be widespread in ruminants from Brazil. Furthermore, the occurrence of atypical interstitial pneumonia cannot be discarded, particularly in animals with IP but without any associated pathogen. These initial findings suggest the need for a more elaborate investigation to understand the dynamics of pulmonary disease within this state. Full article
(This article belongs to the Section Viral Pathogens)
Show Figures

Figure 1

9 pages, 981 KB  
Case Report
Respiratory Syncytial Virus Infection in Children with Acute Lymphoblastic Leukemia (ALL): A Contemporary Emerging and Struggling Clinical Event
by Marta Arrabito, Emanuela Cannata and Luca Lo Nigro
Pediatr. Rep. 2025, 17(5), 95; https://doi.org/10.3390/pediatric17050095 - 17 Sep 2025
Viewed by 386
Abstract
Systemic viral infections are frequently life-threatening in immunocompromised children. Many viral pathogens are reported to be the cause of morbidity and mortality in these pediatric patients, but scarce evidence is related to respiratory syncytial virus infection (RSV), which is one of the main [...] Read more.
Systemic viral infections are frequently life-threatening in immunocompromised children. Many viral pathogens are reported to be the cause of morbidity and mortality in these pediatric patients, but scarce evidence is related to respiratory syncytial virus infection (RSV), which is one of the main viral causes of lower respiratory tract infection in infants and young children. Herein we report the experience of the Center of Pediatric Hematology Oncology of Catania regarding RSV infection in pediatric leukemia patients, describing four cases: three with only respiratory involvement and complete recovery (two of them presented mild symptoms and one evolved into severe respiratory failure) and a fourth case with an initial hepatic and pulmonary involvement leading to death. Unfortunately, some viral infections have delayed diagnoses because of lack of awareness and atypical presentation. Therefore, our intent is to highlight the importance of mindfulness of the occurrence of this infection and of its typical and atypical manifestations in order to detect it early and decrease the risk of morbidity and mortality. Full article
Show Figures

Figure 1

10 pages, 645 KB  
Article
Enterovirus Detection Trends Based on Respiratory Specimens from a Single Tertiary Hospital in Korea (2018–2024): A Retrospective Study Using Multiplex PCR Data
by Jeong Su Han, Sung Hun Jang, Jae-Sik Jeon and Jae Kyung Kim
Viruses 2025, 17(7), 991; https://doi.org/10.3390/v17070991 - 16 Jul 2025
Viewed by 751
Abstract
Enteroviruses (EVs) cause broad clinical manifestations, particularly in children. Certain serotypes have been implicated in respiratory infections; however, epidemiological studies analyzing EV circulation based on clinical respiratory specimens are limited in Korea. This retrospective study evaluates EV detection patterns in respiratory specimens to [...] Read more.
Enteroviruses (EVs) cause broad clinical manifestations, particularly in children. Certain serotypes have been implicated in respiratory infections; however, epidemiological studies analyzing EV circulation based on clinical respiratory specimens are limited in Korea. This retrospective study evaluates EV detection patterns in respiratory specimens to demonstrate their clinical and epidemiological significance as respiratory pathogens in Korea. Respiratory samples collected from outpatient and hospitalized patients with respiratory symptoms at Dankook University Hospital between 2018 and 2024 were analyzed. EV detection patterns were analyzed by year, season, sex, and age. EVs were detected in 303/6292 respiratory specimens. The highest and lowest positivity rates were in 2018 (8.2%) and 2020 (1.6%), likely due to non-pharmaceutical interventions during the COVID-19 pandemic. The highest positivity rates were in summer and autumn, and in children aged 2–11 years and infants aged 0–1 years. EV positivity did not differ significantly between sexes. Significant differences were identified across years, seasons, and age groups. EVs can be detected in respiratory specimens from symptomatic patients and exhibit a marked seasonal distribution and elevated positivity rates in pediatric populations. Hence, EVs may act as atypical respiratory pathogens, underscoring the need for integrated public health surveillance and seasonal prevention strategies. Full article
(This article belongs to the Special Issue An Update on Enterovirus Research, 2nd Edition)
Show Figures

Figure 1

11 pages, 449 KB  
Article
Implementation of a Laboratory-Developed Test for the Diagnosis of Mycoplasma pneumoniae Using a High-Throughput Approach
by Valeria Conciatori, Sarah Di Sopra, Elisa Franchin, Ioannis Bekas, Giuseppe Di Pietra, Ignazio Castagliuolo, Cristiano Salata and Claudia Del Vecchio
Pathogens 2025, 14(7), 692; https://doi.org/10.3390/pathogens14070692 - 14 Jul 2025
Viewed by 793
Abstract
Mycoplasma pneumoniae is a significant causative agent of atypical pneumonia in both children and adults. Timely and accurate diagnosis is crucial for appropriate patient management. Conventional methods for detecting M. pneumoniae, such as culture and serology, exhibit several limitations regarding sensitivity, specificity, [...] Read more.
Mycoplasma pneumoniae is a significant causative agent of atypical pneumonia in both children and adults. Timely and accurate diagnosis is crucial for appropriate patient management. Conventional methods for detecting M. pneumoniae, such as culture and serology, exhibit several limitations regarding sensitivity, specificity, and turnaround time. In contrast, real-time PCR is considered the most reliable, rapid, and sensitive technique for the diagnosis of M. pneumoniae infection. In this study, we adapted and validated an in-house real-time PCR assay for use on the fully automated Panther Fusion® System. The validation process included two artificial samples, five external quality controls, and sixty-two patient samples. We evaluated the performance in terms of precision, sensitivity, linearity, and analytical sensitivity, comparing it to the original in-house assay. The Panther Fusion® System demonstrated a broad dynamic range (16–1.6 × 107 copies/reaction), a robust correlation (94%) with the in-house assay, and comparable sensitivity (46 copies/mL vs. 25 copies/mL). The concordance between the in-house real-time PCR and the Panther Fusion® System was 100% for both clinical samples and external quality controls. The adaptation of the test to the Panther Fusion® System enabled the inclusion of M. pneumoniae among the pathogens monitored for respiratory infection surveillance. Throughout 2024, we analyzed 2567 samples, with a peak positivity rate of 38% observed in August. These findings underscore the significance of employing the M. pneumoniae diagnostic assay on the Panther Fusion® System which proves valuable for the detection of M. pneumoniae infections. This platform offers the advantages of increased automation and greater throughput potential compared to other platforms, enhancing the efficiency of respiratory pathogen detection in clinical settings. Full article
(This article belongs to the Section Bacterial Pathogens)
Show Figures

Figure 1

9 pages, 671 KB  
Case Report
Bilateral Sensorineural Hearing Loss in a Patient with Primary Ciliary Dyskinesia and Concomitant SH3TC2 Gene Mutation
by Mirko Aldè, Umberto Ambrosetti, Raffaella Guazzo, Maria Santa Rocca and Gioia Piatti
J. Clin. Med. 2025, 14(11), 3692; https://doi.org/10.3390/jcm14113692 - 25 May 2025
Viewed by 788
Abstract
Background: Primary ciliary dyskinesia (PCD) is a rare hereditary disorder caused by defective motile cilia, predominantly affecting the respiratory system. Conductive hearing loss (CHL) due to chronic otitis media with effusion (OME) is a typical feature of PCD, particularly in childhood. However, the [...] Read more.
Background: Primary ciliary dyskinesia (PCD) is a rare hereditary disorder caused by defective motile cilia, predominantly affecting the respiratory system. Conductive hearing loss (CHL) due to chronic otitis media with effusion (OME) is a typical feature of PCD, particularly in childhood. However, the underlying mechanisms contributing to sensorineural hearing loss (SNHL) in patients with PCD remain unclear. Methods: We present the case of a 52-year-old male with a clinical diagnosis of PCD, confirmed by the presence of situs inversus, chronic respiratory symptoms, and ultrastructural ciliary defects. Results: Despite a history of recurrent acute otitis media (AOM), the patient developed severe bilateral SNHL, a relatively uncommon and poorly understood manifestation of PCD. Genetic testing revealed a pathogenic SH3TC2 variant, a gene classically associated with Charcot–Marie–Tooth disease type 4C (CMT4C), raising the possibility of an alternative or contributory genetic etiology for the patient’s auditory dysfunction. Conclusions: This case highlights the importance of comprehensive audiological and genetic evaluations in PCD patients, particularly those presenting with progressive or atypical HL. The presence of a pathogenic SH3TC2 mutation suggests a potential neuropathic component to the patient’s HL, underscoring the need for further research into the intersection between ciliary dysfunction and genetic neuropathies. Early identification and intervention are critical to optimizing auditory outcomes and quality of life in affected individuals. Full article
(This article belongs to the Special Issue Current Updates on the Inner Ear)
Show Figures

Figure 1

13 pages, 6349 KB  
Article
Isolation and Characterization of a Porcine Getah Virus Strain from Sichuan Province
by Lina Shao, Mincai Nie, Baoling Liu, Fengqin Li, Tong Xu, Lei Xu, Lishuang Deng, Hanyu Li, Lei Zhao, Youyou Li, Leyi Zhang, Yixin Yan, Zhiwen Xu and Ling Zhu
Vet. Sci. 2025, 12(3), 276; https://doi.org/10.3390/vetsci12030276 - 15 Mar 2025
Viewed by 1355
Abstract
Following its initial documented emergence in Hunan’s swine facilities in 2017, GETV has inflicted considerable financial damage upon China’s pork production sector. Beyond its impact on swine, GETV also poses a potential risk to other animal species and public health, primarily due to [...] Read more.
Following its initial documented emergence in Hunan’s swine facilities in 2017, GETV has inflicted considerable financial damage upon China’s pork production sector. Beyond its impact on swine, GETV also poses a potential risk to other animal species and public health, primarily due to its mosquito-borne transmission. Between September 2020 and May 2021, a GETV outbreak occurred on a commercial swine farm in Sichuan Province, where affected animals exhibited movement disorders, neurological symptoms, and mild diarrhea, with severe cases resulting in mortality. To elucidate the genetic characteristics and transmission dynamics of the virus, a comprehensive investigation of this outbreak was conducted. Clinical samples from diseased or deceased swine were collected and analyzed by PCR, confirming the presence of GETV infection. Additionally, differential diagnostic assays were performed for other common swine pathogens, including porcine reproductive and respiratory syndrome virus (PRRSV), pseudorabies virus (PRV), classical swine fever virus (CSFV), and atypical porcine pestivirus (APPV). All tests yielded negative results, confirming GETV as the sole etiological agent of the outbreak. The GETV-positive samples were inoculated into BHK-21 cells, leading to the isolation of a GETV strain (SC202009). Whole-genome sequence analysis revealed that SC202009 belongs to the GIII genotype of GETV, with a nucleotide sequence identity ranging from 95.1% to 99.8% compared to reference sequences in GenBank. This high level of sequence identity suggests that SC202009 is closely related to other circulating strains in the region, indicating potential local transmission networks and endemic viral circulation. The nucleotide sequence identity of the E2 gene ranged from 94.2% to 99.6%, while the E2 protein amino acid sequence identity ranged from 97.2% to 99.5%. Phylogenetic analysis further indicated that SC202009 is genetically distant from the original Malaysian prototype strain (MM2021) but shares high sequence identity with several strains isolated in Sichuan Province, including SC266, SC201807, and SC483. Notably, NMJA_F2_18-8L-NH-Cxp-Y-1-1 was isolated from Culex pipiens, suggesting a mosquito-borne transmission route. These findings provide novel insights into the regional dissemination patterns and genetic diversity of GETV in China. These results also highlight the importance of the continuous surveillance of viral genetic variations and the elucidation of transmission dynamics to develop effective control strategies and mitigate potential public health risks. Future studies should focus on the ecological and environmental factors influencing GETV transmission, particularly the role of mosquito vectors in cross-species viral spread, to enhance targeted prevention and control measures for this emerging arboviral threat. Full article
Show Figures

Figure 1

15 pages, 3253 KB  
Article
Prevalence of Atypical Bacteria in Patients from Different Paediatric Age Groups Diagnosed with a Respiratory Disease
by Cesar Arellano-Arellano, Graciela Villeda-Gabriel, Francisco-Javier Prado-Galbarro, Paola Alejandra Barrientos González, Magali Reyes Apodaca, Uriel Gomez-Ramirez, Dina Villanueva García, Araceli Contreras-Rodríguez, Ma. Guadalupe Aguilera-Arreola, María Isabel Franco Hernández, Israel Parra-Ortega, Alma Lidia Olivares-Cervantes and Norma Velázquez-Guadarrama
Microorganisms 2024, 12(11), 2328; https://doi.org/10.3390/microorganisms12112328 - 15 Nov 2024
Viewed by 1936
Abstract
Atypical bacterial pathogens present the ability to induce pulmonary damage. At present, there are no available phenotypic diagnosis tests that achieve up to 100% reliability. Therefore, clinicians must utilise molecular techniques for the detection and identification of these pathogens. The main objective of [...] Read more.
Atypical bacterial pathogens present the ability to induce pulmonary damage. At present, there are no available phenotypic diagnosis tests that achieve up to 100% reliability. Therefore, clinicians must utilise molecular techniques for the detection and identification of these pathogens. The main objective of this research was to evaluate the prevalence of atypical bacteria in paediatric patients from different age groups. A total of 609 clinical samples were collected from paediatric patients who presented with an adverse respiratory condition during the period from March 2021 to February 2024. DNA was extracted from the samples, and end-point PCR was performed to detect atypical bacteria. Statistical analyses were performed to evaluate the bacterial prevalence and assess clinical data from newborns and mothers that could be related to RDS. A total of 139 patients exhibited at least one atypical organism (22.82%). Ureaplasma parvum was more prevalent in neonates, while M. pneumoniae and C. pneumoniae were more prevalent in older infants. Atypical bacteria can be present in all seasons of the year, but their prevalence increases during hot weather. Mixed infections due to atypical bacteria may occur. The risk factors related to the development of RDS are prematurity, low weight, and orotracheal intubation. Full article
(This article belongs to the Section Medical Microbiology)
Show Figures

Figure 1

14 pages, 3091 KB  
Case Report
Eosinophilic Pneumonia Triggered by Toxocara canis in a Patient with Primary Ciliary Dyskinesia: A Clinical Case Report
by Kacper Packi, Wanda Fugiel, Violetta Gołąbek, Alicja Rudek and Agnieszka Śliwińska
Medicina 2024, 60(11), 1874; https://doi.org/10.3390/medicina60111874 - 15 Nov 2024
Cited by 1 | Viewed by 2250
Abstract
Primary ciliary dyskinesia (PCD) is a rare genetic disorder that affects the structure and function of cilia, primarily impacting the respiratory system. Kartagener syndrome, a subset of PCD, is characterized by situs inversus, bronchiectasis, and chronic sinusitis. Patients with PCD are prone to [...] Read more.
Primary ciliary dyskinesia (PCD) is a rare genetic disorder that affects the structure and function of cilia, primarily impacting the respiratory system. Kartagener syndrome, a subset of PCD, is characterized by situs inversus, bronchiectasis, and chronic sinusitis. Patients with PCD are prone to recurrent respiratory infections due to impaired ciliary function, which hinders effective mucus clearance and promotes pathogen colonization. This case report describes a 24-year-old woman with congenital Kartagener syndrome who developed eosinophilic pneumonia caused by Toxocara canis, a rare parasitic infection that less commonly affects the lungs. Despite initial treatment for a presumed bacterial infection, the patient’s symptoms persisted. Further diagnostics revealed elevated eosinophil counts, total IgE, and the presence of Toxocara canis antibodies. The patient was treated with albendazole, resulting in significant symptom improvement and a reduction in inflammatory markers. This case underscores the diagnostic challenges in treating PCD patients, where atypical infections must be considered, particularly when standard treatments prove ineffective. The complexity of the patient’s condition required interdisciplinary management, integrating parasitological, immunological, and respiratory expertise to ensure appropriate treatment. The case highlights the need for further research into the interactions between congenital respiratory disorders such as Kartagener syndrome and parasitic infections. It also emphasizes the importance of a comprehensive diagnostic approach in managing rare genetic diseases complicated by opportunistic infections. Early detection of parasitic infections in PCD patients is crucial to preventing severe complications, and this case reinforces the necessity of considering parasitic causes in atypical pneumonia cases. Full article
Show Figures

Figure 1

10 pages, 1793 KB  
Article
Post-Pandemic Epidemiology of Respiratory Infections among Pediatric Inpatients in a Tertiary Hospital in Shanghai, China
by Siyuan Lan, Changjuan Gu, Shuanglong Lu, Ning Zhou and Xiaohong Qiao
Children 2024, 11(9), 1127; https://doi.org/10.3390/children11091127 - 17 Sep 2024
Cited by 5 | Viewed by 1832
Abstract
Background: After the removal of the three-year epidemic control restrictions, Chinese children were confronted with heightened risks of respiratory infections. We aimed to investigate the post-pandemic (2023) epidemiology of respiratory infections among pediatric inpatients in a tertiary hospital in Shanghai, China, and compare [...] Read more.
Background: After the removal of the three-year epidemic control restrictions, Chinese children were confronted with heightened risks of respiratory infections. We aimed to investigate the post-pandemic (2023) epidemiology of respiratory infections among pediatric inpatients in a tertiary hospital in Shanghai, China, and compare it with the pre-pandemic (2019) levels. Methods: A total of 2644 pediatric inpatients were enrolled based on discharge time and divided into group 2019 (n = 1442) and group 2023 (n = 1202). Information on the demographic characteristics, diagnoses, and pathogen test results (Mycoplasma pneumoniae, MP; Chlamydia pneumoniae, CP; Legionella pneumophila, LP; Influenza A, IFA; Influenza B, IFB; Parainfluenza virus, PIV; respiratory syncytial virus, RSV; Coxsackie virus, COX; Adenovirus, ADV; Epstein–Barr virus, EBV) was collected and analyzed. Results: Significant increases were found in the overall test positivity rates (64.6% vs. 46.7%), mixed infection rates (17.4% vs. 9%), and proportion of severe cases (25.5% vs. 3.7%) after the pandemic than those before it. Compared with 2019, the incidences of MP, IFA, LP, RSV, and ADV remarkably increased, while those of IFB and COX decreased, with no obvious differences noted for CP, PIV, and EBV in 2023. A significantly higher MP-positive detection rate was noticed in children aged 1–6 years in 2023 than in 2019. The incidence of RSV infection began to rise in August 2023, earlier than the conventional epidemic season. Conclusions: Compared with the pre-pandemic levels, the overall test positivity rates of atypical pathogens and viruses among pediatric inpatients significantly increased, and alterations in the disease spectrum, epidemic season, and age of prevalence were observed after the COVID-19 pandemic. Full article
Show Figures

Figure 1

6 pages, 868 KB  
Case Report
Unique Presentation of Mycoplasma pneumoniae-Induced Rash and Mucositis with Salivary Gland Inflammation in a Pediatric Patient: A Case Report
by Izabela Kucharek, Klaudia Bednarz and Adam Jerzy Sybilski
J. Clin. Med. 2024, 13(16), 4587; https://doi.org/10.3390/jcm13164587 - 6 Aug 2024
Cited by 1 | Viewed by 5192
Abstract
Background: Mycoplasma pneumoniae (MP) is a significant respiratory pathogen leading to community-acquired pneumonia (CAP), especially in children. Up to 30% of confirmed MP cases can develop dermatological symptoms, with Mycoplasma pneumoniae-induced rash and mucositis (MIRM) being a distinct clinical entity marked [...] Read more.
Background: Mycoplasma pneumoniae (MP) is a significant respiratory pathogen leading to community-acquired pneumonia (CAP), especially in children. Up to 30% of confirmed MP cases can develop dermatological symptoms, with Mycoplasma pneumoniae-induced rash and mucositis (MIRM) being a distinct clinical entity marked by mucous membrane inflammation, with or without skin lesions. Methods: This case report describes a 7-year-old girl admitted with fever, stomatitis, conjunctivitis, and skin lesions. On the second day, a painful neck enlargement was observed, with ultrasound confirming bilateral submandibular salivary gland inflammation and elevated serum amylase levels. The patient later developed pneumonia, confirmed via chest X-ray and pleural ultrasound. MP infection was confirmed via specific IgM antibodies and PCR in a throat swab. Results: The patient was diagnosed with MIRM and was treated with clarithromycin, amoxicillin with clavulanic acid, and methylprednisolone, resulting in a full recovery. Conclusions: This case highlights a unique presentation of MIRM with salivary gland inflammation, not previously described in pediatric mycoplasmal infections. Full article
(This article belongs to the Section Clinical Pediatrics)
Show Figures

Figure 1

15 pages, 1719 KB  
Article
The Epidemiological Features and Pathogen Spectrum of Respiratory Tract Infections, Istanbul, Türkiye, from 2021 to 2023
by Nuran Karabulut, Sema Alaçam, Esranur Şen, Mehmet Karabey and Nurhayat Yakut
Diagnostics 2024, 14(11), 1071; https://doi.org/10.3390/diagnostics14111071 - 22 May 2024
Cited by 4 | Viewed by 2847
Abstract
Respiratory tract infections (RTIs) can lead to both recurrent seasonal epidemic outbreaks and devastating pandemics. The aim of this study was to evaluate the epidemiologic characteristics and pathogen spectrum of RTIs using a multiplex RT-PCR panel. A total of 9354 cases with suspected [...] Read more.
Respiratory tract infections (RTIs) can lead to both recurrent seasonal epidemic outbreaks and devastating pandemics. The aim of this study was to evaluate the epidemiologic characteristics and pathogen spectrum of RTIs using a multiplex RT-PCR panel. A total of 9354 cases with suspected RTIs between February 2021 and July 2023 were included in this study. A total of 11,048 nasopharyngeal and oropharyngeal samples from these patients were analyzed for 23 respiratory tract pathogens using multiplex RT-PCR. H. influenzae and S. pneumoniae were considered as colonizing bacteria. At least one pathogen was detected in 70.66% of the samples; viral pathogens were detected in 48.41% of the samples, bacterial pathogens were detected in 16.06% of the samples, and viral + bacterial pathogens were detected in 35.53% of the samples. The most frequently detected viral pathogen was rhinovirus/enterovirus (RV/EV) (19.99%). Interestingly, in 2021, respiratory syncytial virus A/B showed atypical activity and replaced RV/EV as the most prevalent pathogen. Human bocavirus, H. influenzae, and S. pneumoniae were detected at higher rates in males (p: 0.038, p: 0.042, and p: 0.035, respectively), while SARS-CoV-2 and B. pertussis were detected at higher rates in females (p < 0.001 and p: 0.033). RTIs were found at higher rates in children (p < 0.001). SARS-CoV-2 and human coronaviruses 229E were detected at higher rates in adults (p < 0.001 and p: 0.001). This comprehensive study with a large sample size investigating RTI pathogens was the first in Türkiye. Understanding the current viral circulation using multiplex RT-PCR panels enables clinicians to predict the most likely pathogens affecting patients and contributes to patient management, in addition to anticipating potential threats. Full article
(This article belongs to the Special Issue Laboratory Diagnosis of Infectious Diseases)
Show Figures

Figure 1

21 pages, 4729 KB  
Article
In Vivo Immune-Modulatory Activity of Lefamulin in an Influenza Virus A (H1N1) Infection Model in Mice
by Susanne Paukner, Sandra Kimber, Charlotte Cumper, Tina Rea-Davies, Lorena Sueiro Ballesteros, Christopher Kirkham, Adam Hargreaves, Steven P. Gelone, Claire Richards and Wolfgang W. Wicha
Int. J. Mol. Sci. 2024, 25(10), 5401; https://doi.org/10.3390/ijms25105401 - 15 May 2024
Cited by 1 | Viewed by 1916
Abstract
Lefamulin is a first-in-class systemic pleuromutilin antimicrobial and potent inhibitor of bacterial translation, and the most recent novel antimicrobial approved for the treatment of community-acquired pneumonia (CAP). It exhibits potent antibacterial activity against the most prevalent bacterial pathogens that cause typical and atypical [...] Read more.
Lefamulin is a first-in-class systemic pleuromutilin antimicrobial and potent inhibitor of bacterial translation, and the most recent novel antimicrobial approved for the treatment of community-acquired pneumonia (CAP). It exhibits potent antibacterial activity against the most prevalent bacterial pathogens that cause typical and atypical pneumonia and other infectious diseases. Early studies indicate additional anti-inflammatory activity. In this study, we further investigated the immune-modulatory activity of lefamulin in the influenza A/H1N1 acute respiratory distress syndrome (ARDS) model in BALB/c mice. Comparators included azithromycin, an anti-inflammatory antimicrobial, and the antiviral oseltamivir. Lefamulin significantly decreased the total immune cell infiltration, specifically the neutrophils, inflammatory monocytes, CD4+ and CD8+ T-cells, NK cells, and B-cells into the lung by Day 6 at both doses tested compared to the untreated vehicle control group (placebo), whereas azithromycin and oseltamivir did not significantly affect the total immune cell counts at the tested dosing regimens. Bronchioalveolar lavage fluid concentrations of pro-inflammatory cytokines and chemokines including TNF-α, IL-6, IL-12p70, IL-17A, IFN-γ, and GM-CSF were significantly reduced, and MCP-1 concentrations were lowered (not significantly) by lefamulin at the clinically relevant ‘low’ dose on Day 3 when the viral load peaked. Similar effects were also observed for oseltamivir and azithromycin. Lefamulin also decreased the viral load (TCID50) by half a log10 by Day 6 and showed positive effects on the gross lung pathology and survival. Oseltamivir and lefamulin were efficacious in the suppression of the development of influenza-induced bronchi-interstitial pneumonia, whereas azithromycin did not show reduced pathology at the tested treatment regimen. The observed anti-inflammatory and immune-modulatory activity of lefamulin at the tested treatment regimens highlights a promising secondary pharmacological property of lefamulin. While these results require confirmation in a clinical trial, they indicate that lefamulin may provide an immune-modulatory activity beyond its proven potent antibacterial activity. This additional activity may benefit CAP patients and potentially prevent acute lung injury (ALI) and ARDS. Full article
(This article belongs to the Section Molecular Biology)
Show Figures

Graphical abstract

16 pages, 4006 KB  
Article
Descriptive Epidemiology of Pathogens Associated with Acute Respiratory Infection in a Community-Based Study of K–12 School Children (2015–2023)
by Cristalyne Bell, Maureen Goss, Derek Norton, Shari Barlow, Emily Temte, Cecilia He, Caroline Hamer, Sarah Walters, Alea Sabry, Kelly Johnson, Guanhua Chen, Amra Uzicanin and Jonathan Temte
Pathogens 2024, 13(4), 340; https://doi.org/10.3390/pathogens13040340 - 19 Apr 2024
Cited by 4 | Viewed by 2206
Abstract
School-based outbreaks often precede increased incidence of acute respiratory infections in the greater community. We conducted acute respiratory infection surveillance among children to elucidate commonly detected pathogens in school settings and their unique characteristics and epidemiological patterns. The ORegon CHild Absenteeism due to [...] Read more.
School-based outbreaks often precede increased incidence of acute respiratory infections in the greater community. We conducted acute respiratory infection surveillance among children to elucidate commonly detected pathogens in school settings and their unique characteristics and epidemiological patterns. The ORegon CHild Absenteeism due to Respiratory Disease Study (ORCHARDS) is a longitudinal, laboratory-supported, school-based, acute respiratory illness (ARI) surveillance study designed to evaluate the utility of cause-specific student absenteeism monitoring for early detection of increased activity of influenza and other respiratory viruses in schools from kindergarten through 12th grade. Eligible participants with ARIs provided demographic, epidemiologic, and symptom data, along with a nasal swab or oropharyngeal specimen. Multipathogen testing using reverse-transcription polymerase chain reaction (RT-PCR) was performed on all specimens for 18 respiratory viruses and 2 atypical bacterial pathogens (Chlamydia pneumoniae and Mycoplasma pneumoniae). Between 5 January 2015 and 9 June 2023, 3498 children participated. Pathogens were detected in 2455 of 3498 (70%) specimens. Rhinovirus/enteroviruses (36%) and influenza viruses A/B (35%) were most commonly identified in positive specimens. Rhinovirus/enteroviruses and parainfluenza viruses occurred early in the academic year, followed by seasonal coronaviruses, RSV, influenza viruses A/B, and human metapneumovirus. Since its emergence in 2020, SARS-CoV-2 was detected year-round and had a higher median age than the other pathogens. A better understanding of the etiologies, presentations, and patterns of pediatric acute respiratory infections can help inform medical and public health system responses. Full article
(This article belongs to the Special Issue Recent Advances in Pediatric Infectious Diseases)
Show Figures

Figure 1

14 pages, 1057 KB  
Article
Herpesviridae and Atypical Bacteria Co-Detections in Lower Respiratory Tract Samples of SARS-CoV-2-Positive Patients Admitted to an Intensive Care Unit
by Gašper Grubelnik, Miša Korva, Rok Kogoj, Tina Polanc, Matej Mavrič, Monika Jevšnik Virant, Tina Uršič, Darja Keše, Katja Seme, Miroslav Petrovec, Matjaž Jereb and Tatjana Avšič-Županc
Microorganisms 2024, 12(4), 714; https://doi.org/10.3390/microorganisms12040714 - 31 Mar 2024
Cited by 3 | Viewed by 1904
Abstract
Shortly after the emergence of severe acute respiratory syndrome coronavirus 2 (SARS-CoV-2), cases of viral, bacterial, and fungal coinfections in hospitalized patients became evident. This retrospective study investigates the prevalence of multiple pathogen co-detections in 1472 lower respiratory tract (LRT) samples from 229 [...] Read more.
Shortly after the emergence of severe acute respiratory syndrome coronavirus 2 (SARS-CoV-2), cases of viral, bacterial, and fungal coinfections in hospitalized patients became evident. This retrospective study investigates the prevalence of multiple pathogen co-detections in 1472 lower respiratory tract (LRT) samples from 229 SARS-CoV-2-positive patients treated in the largest intensive care unit (ICU) in Slovenia. In addition to SARS-CoV-2, (rt)RT-PCR tests were used to detect cytomegalovirus (CMV), Epstein–Barr virus (EBV), herpes simplex virus 1 (HSV-1), herpes simplex virus 2 (HSV-2), varicella zoster virus (VZV), and atypical bacteria: Chlamydia pneumoniae, Mycoplasma pneumoniae and Legionella pneumophila/spp. At least one co-detection was observed in 89.1% of patients. EBV, HSV-1, and CMV were the most common, with 74.7%, 58.1%, and 38.0% of positive patients, respectively. The median detection time of EBV, HSV-1, and CMV after initial SARS-CoV-2 confirmation was 11 to 20 days. Bronchoalveolar lavage (BAL) and tracheal aspirate (TA) samples showed equivalent performance for the detection of EBV, CMV, and HSV-1 in patients with both available samples. Our results indicate that SARS-CoV-2 infection could be a risk factor for latent herpesvirus reactivation, especially HSV-1, EBV, and CMV. However, additional studies are needed to elucidate the clinical importance of these findings. Full article
(This article belongs to the Special Issue Detection and Analysis of Clinical Microbial Infections)
Show Figures

Figure 1

12 pages, 6690 KB  
Review
Vancomycin-Resistant Streptococcus thoraltensis: A Case Report of Bacterial Endocarditis and Review of Literature on Infections Caused by This Pathogen
by Roxana Mihaela Chiorescu, Sandor Botond Buksa, Alexandru Botan, Mihaela Mocan, Carmen Costache and Dan Alexandru Toc
Microorganisms 2024, 12(3), 566; https://doi.org/10.3390/microorganisms12030566 - 12 Mar 2024
Cited by 4 | Viewed by 4097
Abstract
Streptococcus thoraltensis is a rare species, part of the viridans streptococcus group, found initially in rabbits and pigs, which can be vancomycin-resistant. We present the case of a 65-year-old patient, a smoker and chronic alcohol consumer with chronic obstructive pulmonary disease (COPD) and [...] Read more.
Streptococcus thoraltensis is a rare species, part of the viridans streptococcus group, found initially in rabbits and pigs, which can be vancomycin-resistant. We present the case of a 65-year-old patient, a smoker and chronic alcohol consumer with chronic obstructive pulmonary disease (COPD) and multiple dental foci who had been diagnosed with bacterial endocarditis caused by Streptococcus thoraltensis. The particular elements of the case consisted of an atypical clinical presentation with diarrheal stools, abdominal pain, concomitant damage to the aortic and tricuspid valves, the presence of large vegetations (>2 cm), and a vancomycin-resistant strain of Streptococcus thoraltensis. The evolution of the patient was unfavorable due to septic embolisms, respiratory failure requiring orotracheal intubation, and septic and cardiogenic shock. Infections with Streptococcus thoraltensis are challenging to treat because of the severity of the clinical form it causes and the pattern of antibiotic resistance in this germ. Based on our brief review, Streptococcus thoraltensis is an extremely rare human pathogen previously described as the etiologic agent of infectious endocarditis in only one case. Full article
(This article belongs to the Special Issue Emerging Pathogens in the Context of One Health)
Show Figures

Figure 1

Back to TopTop