Eosinophilic Pneumonia Triggered by Toxocara canis in a Patient with Primary Ciliary Dyskinesia: A Clinical Case Report
Abstract
1. Introduction
2. Case Presentation
2.1. Childhood Medical History
2.2. First Episode of Hospitalization—Misdiagnosis
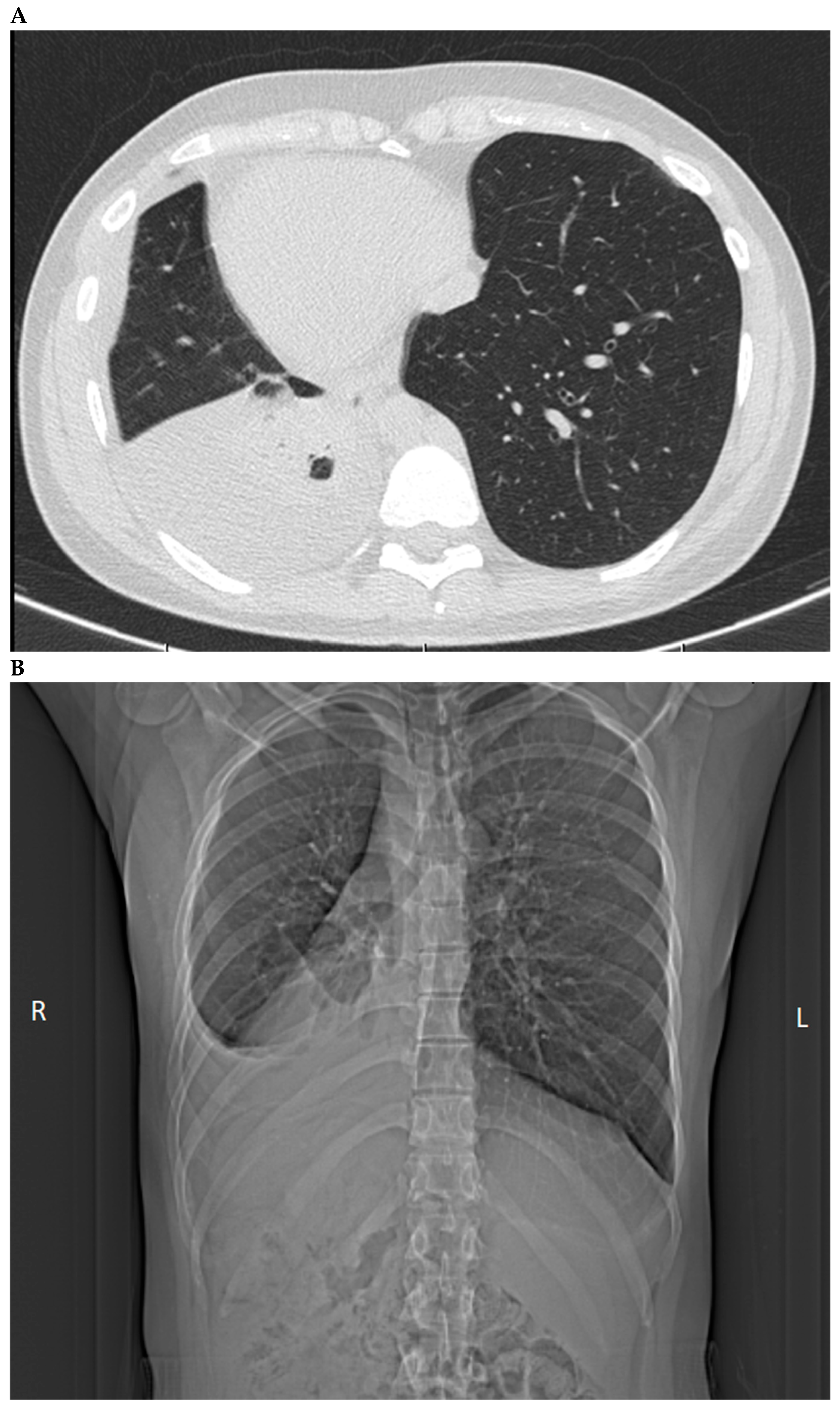
2.3. Second Episode of Hospitalization—Diagnosis of Toxocara canis Infection
2.4. Third Episode of Hospitalization—Control of the Effects of Antiparasitic Treatment
3. Discussion
- High antibody titer against Toxocara canis (1:800);
 - Significant eosinophilia (18% in the peripheral blood smear);
 - Elevated total IgE levels;
 - Characteristic chest X-ray changes.
 
4. Conclusions
Author Contributions
Funding
Institutional Review Board Statement
Informed Consent Statement
Data Availability Statement
Conflicts of Interest
Appendix A. Laboratory Test Results
| Laboratory Findings  | 4 April 2024 | 10 April 2024 | 19 April 2024 | 26 April 2024 | 1 May 2024 | 24 June 2024–28 June 2024 | Reference Interval  | 
| Start of Antibiotic Therapy (First Hospital Stay)  | Identification of Toxocariasis and Implementation of Appropriate Treatment (Second Hospital Stay)  | Control of Treatment (Third Hospital Stay)  | |||||
| Blood morphology | |||||||
| Leukocytes | 10.2 | 7.5 | 8.8 | - | 6.8 | 10.1 | 3.8–10 K/uL | 
| Erythrocytes | 5.3 | 5.44 | 5.55 | - | 5.4 | 5.09 | 3.7–5.1 mln/uL | 
| Hemoglobin | 15.6 | 15.8 | 16.2 | - | 15.6 | 15.0 | 12–16 g/dL | 
| Haematocrit | 43.5 | 45.3 | 44.9 | - | 44.4 | 43.7 | 37–47% | 
| Blood platelets | 225 | 278 | 264 | - | 258 | 233 | 140–440 K/mL | 
| Neutrophils | - | 3.70 | 4.70 | - | - | 7.33 | 2.5–7 K/uL | 
| Lymphocytes | - | 1.77 | 1.6 | - | - | 1.93 | 1–3.5 K/uL | 
| Monocytes | - | 0.83 | 0.87 | - | - | 0.76 | 0.2–1 K/uL | 
| Eosinophils | - | 1.15 | 1.58 | - | - | 0.06 | 0.1–0.5 K/uL | 
| Basophiles | - | 0.0 | 0.0 | - | - | 0.0 | 0–0.1 K/uL | 
| Neutrophils | - | 49.4 | 53.6 | - | - | 72.3 | 40–70% | 
| Lymphocytes | - | 23.7 | 18.2 | - | - | 19.1 | 20–45% | 
| Monocytes | - | 11.1 | 9.9 | - | - | 7.5 | 2–10% | 
| Eosinophils | - | 15.4 | 18.0 | - | - | 0.6 | 1–5% | 
| Basophiles | - | 0.4 | 0.3 | - | - | 0.5 | 0–2% | 
| Biochemistry | |||||||
| Toxocara canis IgG | - | - | - | 16.83 | - | 9.1 | >9 NTU—negative 9–11 inconclusive <11 positive  | 
| LDH | - | - | 228 | - | - | - | 225–450 U/L | 
| Total protein | - | - | 7.1 | - | - | - | 6.4–8.3 g/dL | 
| Total bilirubin | 0.75 | - | 0.66 | - | - | 1.22 | 0–0.9 mg/dL | 
| Glucose | 96 | - | 95 | - | - | 93 | 70–99 mg/dL | 
| GGTP | - | - | 9 | - | - | 6–42 U/L | |
| Urea | - | - | 46.3 | - | 33.4 | 38.6 | 16.6–48.5 mg/dL | 
| Sodium | 136 | - | 140 | - | 141 | 138 | 136–145 mmol/L | 
| Potassium | 3.52 | - | 3.47 | - | 4.05 | 3.69 | 3.5–5.1 mmol/L | 
| Magnesium | 0.91 | - | - | - | - | - | 0.66–1.07 mmol/L | 
| ALT | 11 | - | 12 | - | - | 140 | 0–33 U/L | 
| AST | 17 | - | 17 | - | - | 86 | 0–32 U/L | 
| CK-MB | - | - | - | - | - | 10.2 | 0–25 U/L | 
| Troponin I | <0.100 | - | - | - | - | <0.100 | 0–0.3 ng/mL | 
| NT-proBNP | 33.44 | - | 21.99 | - | - | - | 0–125 pg/mL | 
| Creatinine | 0.87 | - | 1.06 | - | 1.13 | 0.98 | 0.5–0.9 mg/dL | 
| eGFR | 80.0 | 63.7 | - | 59.2 | 69.7 | <90 mL/min/1.73 m2—normal 60–89—mildly reduced 30–59 moderately reduced 15–29 severely reduced >15 renal failure  | |
| Immunochemistry | |||||||
| CRP | 39.45 | 14.13 | 25.18 | - | 5.12 | 4.63 | 0–5 mg/L | 
| Total IgE | - | - | 111.0 | - | - | 9.7 | 0–100 IU/mL | 
| Hormones | |||||||
| TSH | 2.120 | - | 2.270 | - | - | 0.720 | 0.27–4.2 uIU/mL (non-pregnant women)  | 
| ft3 | 3.07 | - | - | - | - | - | 2.04–4.04 ng/dL (non-pregnant women)  | 
| ft4 | 1.28 | - | - | - | - | - | 0.93–1.7 ng/dL (non-pregnant women)  | 
| Arterial Blood Gas | |||||||
| pH | 7.44 | - | 7.48 | - | - | 7.42 | 7.35–7.45 | 
| pCO2 | 25.4 | - | 34.00 | - | - | 32.5 | 35–45 mmHg | 
| pO2 | 68.6 | - | 62.00 | - | - | 60.3 | 80–100 mmHg | 
| Saturation | 94.7 | - | 93.40 | - | - | 91.8 | 90–96% | 
| HCO3 | 17.00 | - | 24.50 | - | - | 20.5 | 20–26 mmol/L | 
| BE | −5.20 | - | 1.50 | - | - | −3.00 | −2.5–5.5 mmol/L | 
| Coaguology | |||||||
| D-dimers | 1.56 | - | - | - | - | 0.41 | 0–0.5 ug/mL | 
| INR | 0.99 | - | 1.16 | - | - | 1.09 | 0.8–1.2 | 
| Prothrombin index | 101 | - | 87 | - | - | 92 | 80–120% | 
| Prothrombin time | 10.5 | - | 12.2 | - | - | 11.3 | 8–12 s | 
| increased parameter, decreased parameter. | |||||||
Appendix B. Description of Diagnostic Imaging Examinations
| Type of Examination | First Hospitalization | Second Hospitalization | Third Hospitalization | 
| Chest X-ray | 5 April 2024:  Fluid in the right pleural cavity, extending up to the ninth rib and entering the oblique fissure. Pulmonary field without focal lesions. Cardiac silhouette within normal limits.  | 22 April 2024:  In the right pleural cavity, fluid up to 29 mm in width is present. No fluid observed in the left pleural cavity. 26 April 2024: In the right pleural cavity, fluid up to 45 mm in width is present. No fluid is observed in the left pleural cavity.  | 24 June 2024:  No signs of fluid were observed in the right or left pleural cavity.  | 
| Abdominal ultrasound | 5 April 2024:  Situs inversus. The liver demonstrates normal echogenicity, is homogeneous, with no focal lesions. The gallbladder has thin walls and is free of stones. The pancreas, within the scope of the examination, is homogeneous and not enlarged. The spleen is homogeneous and not enlarged. The kidneys are of normal shape, size, and position, with no signs of nephrolithiasis. The right kidney shows an enlarged pelvicalyceal system (PCS), with calyces up to 10 mm in width and the renal pelvis up to 27 mm in width. The abdominal aorta, within the scope of the examination, shows no pathological widening of the lumen. No free fluid is observed in the peritoneal cavity. The urinary bladder is empty and cannot be assessed.  | - | - | 
| Pleural cavity ultrasound | 8 April 2024:  In the right pleural cavity, fluid up to 55 mm in width is present. No fluid was observed in the left pleural cavity.  | - | - | 
| Chest CT (without contrast enhancement) | - | 23 April 2024: Exudative pleurisy of the right pleural cavity, associated with Löffler’s syndrome (eosinophilic pneumonia in the context of toxocariasis). Situs inversus with pulmonary inversion. The heart and aortic arch are on the right side. The liver is on the left side, and the spleen is on the right. Fluid is present in the right pleural cavity, up to 40 mm in thickness. It was noted that there are atelectatic/inflammatory changes in the lower lobe of the right lung with an accompanying layer of fluid in the right pleural cavity. No enlarged lymph nodes in the mediastinum. The heart is not enlarged, there is no fluid in the pericardial sac, and the aorta is not dilated. The right kidney shows a segmentally thinned cortical layer with hypodense areas, most likely cysts. Bone structures show no pathological changes.  | - | 
References
- Wee, W.B.; Gatt, D.; Seidl, E.; Santyr, G.; To, T.; Dell, S.D. Estimates of primary ciliary dyskinesia prevalence: A scoping review. ERJ Open Res. 2024, 10, 00989-2023. [Google Scholar] [CrossRef]
 - Horani, A.; Ferkol, T.W. Understanding Primary Ciliary Dyskinesia and Other Ciliopathies. J. Pediatr. 2021, 230, 15–22.e1. [Google Scholar] [CrossRef]
 - Raidt, J.; Loges, N.T.; Olbrich, H.; Wallmeier, J.; Pennekamp, P.; Omran, H. Primary ciliary dyskinesia. Presse Medicale Paris Fr. 1983 2023, 52, 104171. [Google Scholar] [CrossRef]
 - Lu, D.; Yang, W.; Zhang, R.; Li, Y.; Cheng, T.; Liao, Y.; Chen, L.; Liu, H. Clinical Characteristics and Immune Responses in Children with Primary Ciliary Dyskinesia during Pneumonia Episodes: A Case–Control Study. Children 2023, 10, 1727. [Google Scholar] [CrossRef]
 - Wallmeier, J.; Nielsen, K.G.; Kuehni, C.E.; Lucas, J.S.; Leigh, M.W.; Zariwala, M.A.; Omran, H. Motile ciliopathies. Nat. Rev. Dis. Primer 2020, 6, 77. [Google Scholar] [CrossRef]
 - Mirra, V.; Werner, C.; Santamaria, F. Primary Ciliary Dyskinesia: An Update on Clinical Aspects, Genetics, Diagnosis, and Future Treatment Strategies. Front. Pediatr. 2017, 5, 135. [Google Scholar] [CrossRef]
 - Winders, W.T.; Menkin-Smith, L. Toxocara Canis. In StatPearls; StatPearls Publishing: Treasure Island, FL, USA, 2024. Available online: http://www.ncbi.nlm.nih.gov/books/NBK538524/ (accessed on 24 September 2024).
 - Demirci, M.Ü.M. Eosinophilic Pneumonia Due to Toxocariasis: An Adult Case Report. Available online: https://turkiyeparazitolderg.org/articles/doi/tpd.2012.61 (accessed on 29 October 2024).
 - Inoue, K.; Inoue, Y.; Arai, T.; Nawa, Y.; Kashiwa, Y. Chronic Eosinophilic Pneumonia Due to Visceral Larva Migrans. Intern. Med. 2002, 41, 478–482. [Google Scholar] [CrossRef][Green Version]
 - Ma, G.; Rostami, A.; Wang, T.; Hofmann, A.; Hotez, P.J.; Gasser, R.B. Global and regional seroprevalence estimates for human toxocariasis: A call for action. Adv. Parasitol. 2020, 109, 275–290. [Google Scholar] [CrossRef]
 - Woodhall, D.M.; Fiore, A.E. Toxocariasis: A Review for Pediatricians. J. Pediatr. Infect. Dis. Soc. 2014, 3, 154–159. [Google Scholar] [CrossRef]
 - Dattoli, V.C.C.; Freire, S.M.; Mendonça, L.R.; Santos, P.C.; Meyer, R.; Alcantara-Neves, N.M. Toxocara canis infection is associated with eosinophilia and total IgE in blood donors from a large Brazilian centre. Trop. Med. Int. Health 2011, 16, 514–517. [Google Scholar] [CrossRef]
 - Ha, T.V.; Tang, H.K.; Ngo, B.V.; Le, T.P.; Le, D.H.; Tran, Y.M.L.; Dang, D.K.; Vo, T.T. Clinical and laboratory characteristics of Toxocara canis infection among children in Ho Chi Minh City, Vietnam. Trans. R. Soc. Trop. Med. Hyg. 2024, trae057. [Google Scholar] [CrossRef]
 - Cottin, V. Eosinophilic Lung Diseases. Immunol. Allergy Clin. N. Am. 2023, 43, 289–322. [Google Scholar] [CrossRef]
 - Allen, J.; Wert, M. Eosinophilic Pneumonias. J. Allergy Clin. Immunol. Pract. 2018, 6, 1455–1461. [Google Scholar] [CrossRef]
 - Kovalszki, A.; Weller, P.F. Eosinophilia. Prim. Care 2016, 43, 607–617. [Google Scholar] [CrossRef]
 - Magnaval, J.-F.; Glickman, L.T.; Dorchies, P.; Morassin, B. Highlights of human toxocariasis. Korean J. Parasitol. 2001, 39, 1. [Google Scholar] [CrossRef]
 - Fillaux, J.; Magnaval, J.-F. Laboratory diagnosis of human toxocariasis. Vet. Parasitol. 2013, 193, 327–336. [Google Scholar] [CrossRef]
 - Kaneva, E.; Harizanov, R.; Rainova, I.; Kaftandjiev, I. Total serum Immunoglobulin E in Patients with toxocariasis and Clinically Healthy Pesrons in Bulgaria. Acta Zool. Bulg. 2019, 71, 601–609. [Google Scholar]
 - Huang, L.; Appleton, J.A. Eosinophils in Helminth Infection: Defenders and Dupes. Trends Parasitol. 2016, 32, 798–807. [Google Scholar] [CrossRef]
 - Pinelli, E.; Brandes, S.; Dormans, J.; Gremmer, E.; van Loveren, H. Infection with the roundworm Toxocara canis leads to exacerbation of experimental allergic airway inflammation. Clin. Exp. Allergy J. Br. Soc. Allergy Clin. Immunol. 2008, 38, 649–658. [Google Scholar] [CrossRef]
 - Wijers, C.D.; Chmiel, J.F.; Gaston, B.M. Bacterial infections in patients with primary ciliary dyskinesia: Comparison with cystic fibrosis. Chron. Respir. Dis. 2017, 14, 392. [Google Scholar] [CrossRef]
 - Bede, O.; Szénási, Z.; Danka, J.; Gyurkovits, K.; Nagy, D. Toxocariasis associated with chronic cough in childhood: A longitudinal study in Hungary. J. Helminthol. 2008, 82, 357–363. [Google Scholar] [CrossRef]
 - Kuek, L.E.; Lee, R.J. First contact: The role of respiratory cilia in host-pathogen interactions in the airways. Am. J. Physiol.-Lung Cell. Mol. Physiol. 2020, 319, L603. [Google Scholar] [CrossRef]
 - Aghaei, S.; Riahi, S.M.; Rostami, A.; Mohammadzadeh, I.; Javanian, M.; Tohidi, E.; Foroutan, M.; Dooki, M.E. Toxocara spp. infection and risk of childhood asthma: A systematic review and meta-analysis. Acta Trop. 2018, 182, 298–304. [Google Scholar] [CrossRef]
 - Cooper, P.J. Toxocara canis infection: An important and neglected environmental risk factor for asthma? Clin. Exp. Allergy J. Br. Soc. Allergy Clin. Immunol. 2008, 38, 551–553. [Google Scholar] [CrossRef]
 - Ranasuriya, G.; Mian, A.; Boujaoude, Z.; Tsigrelis, C. Pulmonary toxocariasis: A case report and literature review. Infection 2014, 42, 575–578. [Google Scholar] [CrossRef]
 - Gonzalez-Quintela, A.; Gude, F.; Campos, J.; Garea, M.T.; Romero, P.A.; Rey, J.; Meijide, L.M.; Fernandez-Merino, M.C.; Vidal, C. Toxocara Infection Seroprevalence and Its Relationship with Atopic Features in a General Adult Population. Int. Arch. Allergy Immunol. 2006, 139, 317–324. [Google Scholar] [CrossRef]
 - Piloiu, C.; Dumitrascu, D.L. Albendazole-Induced Liver Injury. Am. J. Ther. 2021, 28, e335–e340. [Google Scholar] [CrossRef]
 - Chen, J.; Liu, Q.; Liu, G.H.; Zheng, W.B.; Hong, S.J.; Sugiyama, H.; Zhu, X.Q.; Elsheikha, H.M. Toxocariasis: A silent threat with a progressive public health impact. Infect. Dis. Poverty 2018, 7, 59. [Google Scholar] [CrossRef]
 - Magnaval, J.-F.; Fillaux, J.; Berry, A. A Retrospective Study of the Efficacy of Albendazole and Diethylcarbamazine for the Treatment of Human Toxocariasis. Pathogens 2022, 11, 813. [Google Scholar] [CrossRef]
 - Dion, C.F.; Ashurst, J.V. Streptococcus Pneumoniae. In StatPearls; StatPearls Publishing: Treasure Island, FL, USA, 2024. Available online: http://www.ncbi.nlm.nih.gov/books/NBK470537/ (accessed on 24 September 2024).
 - Torres, A.; Cilloniz, C.; Niederman, M.S.; Menéndez, R.; Chalmers, J.D.; van der Poll, T. Pneumonia. Nat. Rev. Dis. Primer 2021, 7, 25. [Google Scholar] [CrossRef]
 - Gravesande, K.S.V.; Omran, H. Primary ciliary dyskinesia: Clinical presentation, diagnosis and genetics. Ann. Med. 2005, 37, 439–449. [Google Scholar] [CrossRef]
 - Schofield, L.M.; Duff, A.; Brennan, C. Airway Clearance Techniques for Primary Ciliary Dyskinesia is the Cystic Fibrosis literature portable? Paediatr. Respir. Rev. 2018, 25, 73–77. [Google Scholar] [CrossRef]
 - Paff, T.; Omran, H.; Nielsen, K.G.; Haarman, E.G. Current and Future Treatments in Primary Ciliary Dyskinesia. Int. J. Mol. Sci. 2021, 22, 9834. [Google Scholar] [CrossRef]
 






| Laboratory Findings  | First Hospitalization— Misdiagnosis  | Second Hospitalization— Toxocara canis Detection  | Third Hospitalization— Control of Treatment  | Reference  Interval  | 
|---|---|---|---|---|
| Eosinophils | 1.15 (15.4)  | 1.58 (18.0)  | 0.06 (0.6)  | 0.1–0.5 K/µL (1–5%)  | 
| CRP | 14.13 | 25.18 | 4.63 | 0–5 mg/L | 
| IgE total | - | 111.0 | 9.7 | 0–100 IU/mL | 
| Toxocara canis IgG  | - | 16.83 | 9.1 | >9 NTU negative 9–11 inconclusive <11 positive  | 
Disclaimer/Publisher’s Note: The statements, opinions and data contained in all publications are solely those of the individual author(s) and contributor(s) and not of MDPI and/or the editor(s). MDPI and/or the editor(s) disclaim responsibility for any injury to people or property resulting from any ideas, methods, instructions or products referred to in the content.  | 
© 2024 by the authors. Published by MDPI on behalf of the Lithuanian University of Health Sciences. Licensee MDPI, Basel, Switzerland. This article is an open access article distributed under the terms and conditions of the Creative Commons Attribution (CC BY) license (https://creativecommons.org/licenses/by/4.0/).
Share and Cite
Packi, K.; Fugiel, W.; Gołąbek, V.; Rudek, A.; Śliwińska, A. Eosinophilic Pneumonia Triggered by Toxocara canis in a Patient with Primary Ciliary Dyskinesia: A Clinical Case Report. Medicina 2024, 60, 1874. https://doi.org/10.3390/medicina60111874
Packi K, Fugiel W, Gołąbek V, Rudek A, Śliwińska A. Eosinophilic Pneumonia Triggered by Toxocara canis in a Patient with Primary Ciliary Dyskinesia: A Clinical Case Report. Medicina. 2024; 60(11):1874. https://doi.org/10.3390/medicina60111874
Chicago/Turabian StylePacki, Kacper, Wanda Fugiel, Violetta Gołąbek, Alicja Rudek, and Agnieszka Śliwińska. 2024. "Eosinophilic Pneumonia Triggered by Toxocara canis in a Patient with Primary Ciliary Dyskinesia: A Clinical Case Report" Medicina 60, no. 11: 1874. https://doi.org/10.3390/medicina60111874
APA StylePacki, K., Fugiel, W., Gołąbek, V., Rudek, A., & Śliwińska, A. (2024). Eosinophilic Pneumonia Triggered by Toxocara canis in a Patient with Primary Ciliary Dyskinesia: A Clinical Case Report. Medicina, 60(11), 1874. https://doi.org/10.3390/medicina60111874
        
