Sign in to use this feature.

Years

Between: -

Subjects

remove_circle_outline
remove_circle_outline
remove_circle_outline
remove_circle_outline
remove_circle_outline

Journals

Article Types

Countries / Regions

Search Results (20)

Search Parameters:
Keywords = airway provocation

Order results
Result details
Results per page
Select all
Export citation of selected articles as:
16 pages, 1633 KB  
Article
Machine Learning-Driven Lung Sound Analysis: Novel Methodology for Asthma Diagnosis
by Ihsan Topaloglu, Gulfem Ozduygu, Cagri Atasoy, Guntug Batıhan, Damla Serce, Gulsah Inanc, Mutlu Onur Güçsav, Arif Metehan Yıldız, Turker Tuncer, Sengul Dogan and Prabal Datta Barua
Adv. Respir. Med. 2025, 93(5), 32; https://doi.org/10.3390/arm93050032 - 4 Sep 2025
Cited by 1 | Viewed by 1901
Abstract
Introduction: Asthma is a chronic airway inflammatory disease characterized by variable airflow limitation and intermittent symptoms. In well-controlled asthma, auscultation and spirometry often appear normal, making diagnosis challenging. Moreover, bronchial provocation tests carry a risk of inducing acute bronchoconstriction. This study aimed to [...] Read more.
Introduction: Asthma is a chronic airway inflammatory disease characterized by variable airflow limitation and intermittent symptoms. In well-controlled asthma, auscultation and spirometry often appear normal, making diagnosis challenging. Moreover, bronchial provocation tests carry a risk of inducing acute bronchoconstriction. This study aimed to develop a non-invasive, objective, and reproducible diagnostic method using machine learning-based lung sound analysis for the early detection of asthma, even during stable periods. Methods: We designed a machine learning algorithm to classify controlled asthma patients and healthy individuals using respiratory sounds recorded with a digital stethoscope. We enrolled 120 participants (60 asthmatic, 60 healthy). Controlled asthma was defined according to Global Initiative for Asthma (GINA) criteria and was supported by normal spirometry, no pathological auscultation findings, and no exacerbations in the past three months. A total of 3600 respiratory sound segments (each 3 s long) were obtained by dividing 90 s recordings from 120 participants (60 asthmatic, 60 healthy) into non-overlapping clips. The samples were analyzed using Mel-Frequency Cepstral Coefficients (MFCCs) and Tunable Q-Factor Wavelet Transform (TQWT). Significant features selected with ReliefF were used to train Quadratic Support Vector Machine (SVM) and Narrow Neural Network (NNN) models. Results: In 120 participants, pulmonary function test (PFT) results in the asthma group showed lower FEV1 (86.9 ± 5.7%) and FEV1/FVC ratios (86.1 ± 8.8%) compared to controls, but remained within normal ranges. Quadratic SVM achieved 99.86% accuracy, correctly classifying 99.44% of controls and 99.89% of asthma cases. Narrow Neural Network achieved 99.63% accuracy. Sensitivity, specificity, and F1-scores exceeded 99%. Conclusion: This machine learning-based algorithm provides accurate asthma diagnosis, even in patients with normal spirometry and clinical findings, offering a non-invasive and efficient diagnostic tool. Full article
Show Figures

Figure 1

14 pages, 1658 KB  
Article
Development of an AI Model for Predicting Methacholine Bronchial Provocation Test Results Using Spirometry
by SangJee Park, Yehyeon Yi, Seon-Sook Han, Tae-Hoon Kim, So Jeong Kim, Young Soon Yoon, Suhyun Kim, Hyo Jin Lee and Yeonjeong Heo
Diagnostics 2025, 15(4), 449; https://doi.org/10.3390/diagnostics15040449 - 12 Feb 2025
Cited by 1 | Viewed by 2544
Abstract
Background/Objectives: The methacholine bronchial provocation test (MBPT) is a diagnostic test frequently used to evaluate airway hyper-reactivity. MBPT is essential for diagnosing asthma; however, it can be time-consuming and resource-intensive. This study aimed to develop an artificial intelligence (AI) model to predict [...] Read more.
Background/Objectives: The methacholine bronchial provocation test (MBPT) is a diagnostic test frequently used to evaluate airway hyper-reactivity. MBPT is essential for diagnosing asthma; however, it can be time-consuming and resource-intensive. This study aimed to develop an artificial intelligence (AI) model to predict the MBPT results using forced expiratory volume in one second (FEV1) and bronchodilator test measurements from spirometry. Methods: a dataset of spirometry measurements, including Pre- and Post-bronchodilator FEV1, was used to train and validate the model. Results: Among the evaluated models, the multilayer perceptron (MLP) achieved the highest area under the curve (AUC) of 0.701 (95% CI: 0.676–0.725), accuracy of 0.758, and an F1-score of 0.853. Logistic regression (LR) and a support vector machine (SVM) demonstrated comparable performance with AUC values of 0.688, while random forest (RF) and extreme gradient boost (XGBoost) achieved slightly lower AUC values of 0.669 and 0.672, respectively. Feature importance analysis of the MLP model identified key contributing features, including Pre-FEF25–75 (%), Pre-FVC (L), Post FEV1/FVC, Change-FEV1 (L), and Change-FEF25–75 (%), providing insight into the interpretability and clinical applicability of the model. Conclusions: These results highlight the potential of the model to utilize readily available spirometry data, particularly FEV1 and bronchodilator responses, to accurately predict MBPT results. Our findings suggest that AI-based prediction can improve asthma diagnostic workflows by minimizing the reliance on MBPT and enabling faster and more accessible assessments. Full article
Show Figures

Figure 1

13 pages, 1225 KB  
Review
Low Prostaglandin E2 but High Prostaglandin D2, a Paradoxical Dissociation in Arachidonic Acid Metabolism in Aspirin-Exacerbated Airway Disease: Role of Airway Epithelium
by César Picado, Liliana Machado-Carvalho and Jordi Roca-Ferrer
J. Clin. Med. 2024, 13(23), 7416; https://doi.org/10.3390/jcm13237416 - 5 Dec 2024
Cited by 2 | Viewed by 2368
Abstract
In patients with aspirin-exacerbated respiratory disease (AERD), there is disparate regulation of prostaglandin E2 (PGE2) and prostaglandin D2 (PGD2). Both prostanoids are synthesised by cyclooxygenase 1 (COX-1) and cyclooxygenase 2 (COX-2). However, while the basal synthesis of PGE [...] Read more.
In patients with aspirin-exacerbated respiratory disease (AERD), there is disparate regulation of prostaglandin E2 (PGE2) and prostaglandin D2 (PGD2). Both prostanoids are synthesised by cyclooxygenase 1 (COX-1) and cyclooxygenase 2 (COX-2). However, while the basal synthesis of PGE2 tends to decrease, that of PGD2 increases in patients with AERD. Furthermore, both behave differently in response to the inhibitory action of NSAIDs on COX-1: PGE2 levels decrease while PGD2 increases. Increased PGD2 release correlates with nasal, bronchial, and extra-pulmonary symptoms caused by aspirin in AERD. The proposed hypothesis establishes that the answer to this paradoxical dissociation can be found in the airway epithelium. This is based on the observation that reduced COX-2 mRNA and/or protein expression is associated with reduced PGE2 synthesis in cultured fibroblast and epithelial cells from AERD compared to patients with asthma who are aspirin-tolerant and healthy subjects. The low production of PGE2 by the airway epithelium in AERD results in an excessive release of alarmins (TSLP, IL-33), which in turn contributes to activating group 2 innate lymphoid cells (ILC2s) and PGD2 synthesis by mast cells and eosinophils. Aspirin, by further increasing the diminished PGE2 regulation capacity in AERD, leads to respiratory reactions associated with the surge in PGD2 from mast cells and eosinophils. In summary, the downregulation of COX-2 and the subsequent low production of PGE2 by airway cells account for the apparently paradoxical increased production of PGD2 by mast cells and eosinophils at the baseline and after aspirin provocation in patients with AERD. A better understanding of the role of the airway epithelium would contribute to elucidating the mechanism of AERD. Full article
(This article belongs to the Section Respiratory Medicine)
Show Figures

Figure 1

21 pages, 9894 KB  
Article
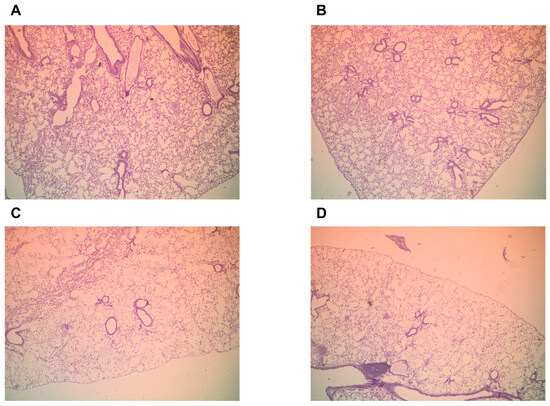
Combined Exercise and Diet Induce Airway Hyperreactivity While Reducing Liver Steatosis in Mice with Diet-Induced Obesity
by Nora F. Marain, Anne-Charlotte Jonckheere, Ellen Dilissen, Jonathan Cremer, Tania Roskams, Marieke Colemont, Dominique M. Bullens, Lieven J. Dupont and Jeroen A. Vanoirbeek
Nutrients 2024, 16(13), 2129; https://doi.org/10.3390/nu16132129 - 3 Jul 2024
Cited by 3 | Viewed by 3131
Abstract
Background: Obesity is a multi-organ system disease, which is associated with, e.g., a higher prevalence of non-alcoholic fatty liver disease (NAFLD) and asthma. Little is known regarding the effect of obesity-related parameters (including liver integrity) and the respiratory phenotype after a combination of [...] Read more.
Background: Obesity is a multi-organ system disease, which is associated with, e.g., a higher prevalence of non-alcoholic fatty liver disease (NAFLD) and asthma. Little is known regarding the effect of obesity-related parameters (including liver integrity) and the respiratory phenotype after a combination of physical activity and diet. Methods: Thirty-two C57BL/6 mice were, after 27 weeks of a high fat diet (HFD), randomly assigned to two dietary interventions for three weeks: a HFD or a normal chow diet (NCD). In both dietary groups, half of the animals were subjected to a sub-maximal exercise protocol. Lung function, lung inflammation, liver histology, and metabolic profile were determined. Results: Mice with obesity did not show airway hyperreactivity after methacholine provocation. Sub-maximal exercise with diet (NCD/E) induced a significant reduction in forced expiratory volume in 0.1 s after methacholine provocation. NCD/E had significantly more neutrophils and inflammation (IFN-γ, TNF-α, IL-4, and IL-17F) in bronchoalveolar lavage compared to non-exercising mice on a HFD (HFD/NE). However, more epithelial injury (serum surfactant protein D and IL-33) was seen in HFD/NE. Additionally, hepatic steatosis and fibrosis were reduced by combined diet and sub-maximal exercise. Conclusions: Combining sub-maximal exercise with diet induced airway hyperreactivity and pulmonary inflammation, while body weight, hepatic steatosis, and fibrosis improved. Full article
(This article belongs to the Section Nutrition and Obesity)
Show Figures

Figure 1

19 pages, 3058 KB  
Article
MicroRNA Profiling of the Inflammatory Response after Early and Late Asthmatic Reaction
by Ruth P. Duecker, Oguzhan Alemdar, Andreas Wimmers, Lucia Gronau, Andreas G. Chiocchetti, Eva M. Valesky, Helena Donath, Jordis Trischler, Katharina Blumchen, Stefan Zielen and Ralf Schubert
Int. J. Mol. Sci. 2024, 25(2), 1356; https://doi.org/10.3390/ijms25021356 - 22 Jan 2024
Cited by 3 | Viewed by 2482
Abstract
A high proportion of house dust mite (HDM)-allergic asthmatics suffer from both an early asthmatic reaction (EAR) and a late asthmatic reaction (LAR) which follows it. In these patients, allergic inflammation is more relevant. MiRNAs have been shown to play an important role [...] Read more.
A high proportion of house dust mite (HDM)-allergic asthmatics suffer from both an early asthmatic reaction (EAR) and a late asthmatic reaction (LAR) which follows it. In these patients, allergic inflammation is more relevant. MiRNAs have been shown to play an important role in the regulation of asthma’s pathology. The aim of this study was to analyze the miRNA profile in patients with mild asthma and an HDM allergy after bronchial allergen provocation (BAP). Seventeen patients with EAR/no LAR and 17 patients with EAR plus LAR, determined by a significant fall in FEV1 after BAP, were differentially analyzed. As expected, patients with EAR plus LAR showed a more pronounced allergic inflammation and FEV1 delta drop after 24 h. NGS-miRNA analysis identified the down-regulation of miR-15a-5p, miR-15b-5p, and miR-374a-5p after BAP with the highest significance in patients with EAR plus LAR, which were negatively correlated with eNO and the maximum decrease in FEV1. These miRNAs have shared targets like CCND1, VEGFA, and GSK3B, which are known to be involved in airway remodeling, basement membrane thickening, and Extracellular Matrix deposition. NGS-profiling identified miRNAs involved in the inflammatory response after BAP with HDM extract, which might be useful to predict a LAR. Full article
(This article belongs to the Section Molecular Immunology)
Show Figures

Figure 1

13 pages, 730 KB  
Review
Exercise-Induced Asthma: Managing Respiratory Issues in Athletes
by Josuel Ora, Patrizia De Marco, Mariachiara Gabriele, Mario Cazzola and Paola Rogliani
J. Funct. Morphol. Kinesiol. 2024, 9(1), 15; https://doi.org/10.3390/jfmk9010015 - 3 Jan 2024
Cited by 15 | Viewed by 11701
Abstract
Asthma is a complex respiratory condition characterized by chronic airway inflammation and variable expiratory airflow limitation, affecting millions globally. Among athletes, particularly those competing at elite levels, the prevalence of respiratory conditions is notably heightened, varying between 20% and 70% across specific sports. [...] Read more.
Asthma is a complex respiratory condition characterized by chronic airway inflammation and variable expiratory airflow limitation, affecting millions globally. Among athletes, particularly those competing at elite levels, the prevalence of respiratory conditions is notably heightened, varying between 20% and 70% across specific sports. Exercise-induced bronchoconstriction (EIB) is a common issue among athletes, impacting their performance and well-being. The prevalence rates vary based on the sport, training environment, and genetics. Exercise is a known trigger for asthma, but paradoxically, it can also improve pulmonary function and alleviate EIB severity. However, athletes’ asthma phenotypes differ, leading to varied responses to medications and challenges in management. The unique aspects in athletes include heightened airway sensitivity, allergen, pollutant exposure, and temperature variations. This review addresses EIB in athletes, focusing on pathogenesis, diagnosis, and treatment. The pathogenesis of EIB involves complex interactions between physiological and environmental factors. Airway dehydration and cooling are key mechanisms, leading to osmotic and thermal theories. Airway inflammation and hyper-responsiveness are common factors. Elite athletes often exhibit distinct inflammatory responses and heightened airway sensitivity, influenced by sport type, training, and environment. Swimming and certain sports pose higher EIB risks, with chlorine exposure in pools being a notable factor. Immune responses, lung function changes, and individual variations contribute to EIB in athletes. Diagnosing EIB in athletes requires objective testing, as baseline lung function tests can yield normal results. Both EIB with asthma (EIBA) and without asthma (EIBwA) must be considered. Exercise and indirect bronchoprovocation tests provide reliable diagnoses. In athletes, exercise tests offer effectiveness in diagnosing EIB. Spirometry and bronchodilation tests are standard approaches, but the diagnostic emphasis is shifting toward provocation tests. Despite its challenges, achieving an optimal diagnosis of EIA constitutes the cornerstone for effective management, leading to improved performance, reduced risk of complications, and enhanced quality of life. The management of EIB in athletes aligns with the general principles for symptom control, prevention, and reducing complications. Non-pharmacological approaches, including trigger avoidance and warming up, are essential. Inhaled corticosteroids (ICS) are the cornerstone of asthma therapy in athletes. Short-acting beta agonists (SABA) are discouraged as sole treatments. Leukotriene receptor antagonists (LTRA) and mast cell stabilizing agents (MCSA) are potential options. Optimal management improves the athletes’ quality of life and allows them to pursue competitive sports effectively. Full article
(This article belongs to the Special Issue Understanding Sports-Related Health Issues)
Show Figures

Figure 1

12 pages, 5893 KB  
Article
Third-Hand Exposure to E-Cigarette Vapour Induces Pulmonary Effects in Mice
by Andrew E. Thorpe, Chantal Donovan, Richard Y. Kim, Howard J. Vindin, Razia Zakarya, Hanna Miyai, Yik L. Chan, David van Reyk, Hui Chen and Brian G. Oliver
Toxics 2023, 11(9), 749; https://doi.org/10.3390/toxics11090749 - 4 Sep 2023
Cited by 13 | Viewed by 9096
Abstract
In the last decade, e-cigarette usage has increased, with an estimated 82 million e-cigarette users globally. This is, in part, due to the common opinion that they are “healthier” than tobacco cigarettes or simply “water vapour”. Third-hand e-vapour exposure is the chemical residue [...] Read more.
In the last decade, e-cigarette usage has increased, with an estimated 82 million e-cigarette users globally. This is, in part, due to the common opinion that they are “healthier” than tobacco cigarettes or simply “water vapour”. Third-hand e-vapour exposure is the chemical residue left behind from e-cigarette aerosols, which is of concern due to its invisible nature, especially among young children. However, there is limited information surrounding third-hand e-vapour exposure. This study aimed to investigate the pulmonary effects of sub-chronic third-hand e-vapour exposure in a murine model. BALB/c mice (4 weeks of age) were exposed to a towel containing nicotine free (0 mg) e-vapour, nicotine (18 mg) e-vapour, or no e-vapour (sham) and replaced daily for 4 weeks. At the endpoint, lung function was assessed, and bronchoalveolar lavage fluid and lungs were collected to measure inflammation and fibrosis. Mice exposed to third-hand e-vapour without nicotine had alveolar enlargement compared to sham exposed controls. Mice exposed to third-hand e-vapour with nicotine had reduced bronchial responsiveness to provocation, increased epithelial thickening in large airways, increased epithelial layers in small airways, alveolar enlargement, and increased small airway collagen deposition, compared to sham exposed controls. In conclusion, our study shows that third-hand e-vapour exposure, particularly in the presence of nicotine, negatively affects the lung health of mice and highlights the need for greater public awareness surrounding the dangers of third-hand exposure to e-cigarette vapour. Full article
(This article belongs to the Special Issue The 10th Anniversary of Toxics)
Show Figures

Figure 1

21 pages, 8098 KB  
Article
Gold Nanoparticles Inhibit Steroid-Insensitive Asthma in Mice Preserving Histone Deacetylase 2 and NRF2 Pathways
by Magda F. Serra, Amanda C. Cotias, Andreza S. Pimentel, Ana Carolina S. de Arantes, Ana Lucia A. Pires, Manuella Lanzetti, Jandir M. Hickmann, Emiliano Barreto, Vinicius F. Carvalho, Patrícia M. R. e Silva, Renato S. B. Cordeiro and Marco Aurélio Martins
Antioxidants 2022, 11(9), 1659; https://doi.org/10.3390/antiox11091659 - 26 Aug 2022
Cited by 19 | Viewed by 3273
Abstract
Background: Gold nanoparticles (AuNPs) can inhibit pivotal pathological changes in experimental asthma, but their effect on steroid-insensitive asthma is unclear. The current study assessed the effectiveness of nebulized AuNPs in a murine model of glucocorticoid (GC)-resistant asthma. Methods: A/J mice were sensitized and [...] Read more.
Background: Gold nanoparticles (AuNPs) can inhibit pivotal pathological changes in experimental asthma, but their effect on steroid-insensitive asthma is unclear. The current study assessed the effectiveness of nebulized AuNPs in a murine model of glucocorticoid (GC)-resistant asthma. Methods: A/J mice were sensitized and subjected to intranasal instillations of ovalbumin (OVA) once a week for nine weeks. Two weeks after starting allergen stimulations, mice were subjected to Budesonide or AuNP nebulization 1 h before stimuli. Analyses were carried out 24 h after the last provocation. Results: We found that mice challenged with OVA had airway hyperreactivity, eosinophil, and neutrophil infiltrates in the lung, concomitantly with peribronchiolar fibrosis, mucus production, and pro-inflammatory cytokine generation compared to sham-challenged mice. These changes were inhibited in mice treated with AuNPs, but not Budesonide. In the GC-resistant asthmatic mice, oxidative stress was established, marked by a reduction in nuclear factor erythroid 2-related factor 2 (NRF2) levels and catalase activity, accompanied by elevated values of thiobarbituric acid reactive substances (TBARS), phosphoinositide 3-kinases δ (PI3Kδ) expression, as well as a reduction in the nuclear expression of histone deacetylase 2 (HDAC2) in the lung tissue, all of which sensitive to AuNPs but not Budesonide treatment. Conclusion: These findings suggest that AuNPs can improve GC-insensitive asthma by preserving HDAC2 and NRF2. Full article
(This article belongs to the Special Issue Airway Inflammation Induced by Oxidative Stress)
Show Figures

Graphical abstract

11 pages, 645 KB  
Article
Application of a Cold Dry Air Provocation Test in Pediatric Patients with Asthma
by Ji Young Ahn and Bong Seok Choi
Children 2022, 9(6), 920; https://doi.org/10.3390/children9060920 - 19 Jun 2022
Cited by 2 | Viewed by 2737
Abstract
Asthma is a chronic inflammatory airway disease characterized by reversible airway obstruction and airway hyperreactivity. We proposed a cold dry air (CDA) provocation test and investigated its application in pediatric patients with asthma. We enrolled 72 children and adolescents older than 5 years [...] Read more.
Asthma is a chronic inflammatory airway disease characterized by reversible airway obstruction and airway hyperreactivity. We proposed a cold dry air (CDA) provocation test and investigated its application in pediatric patients with asthma. We enrolled 72 children and adolescents older than 5 years who presented to our hospital with chronic cough, shortness of breath, and wheezing. We analyzed the results of allergy, pulmonary function, methacholine provocation, and CDA provocation tests. The FEV1 change 5 min after the provocation was recorded as CDA5 dFEV1; that after 15 min was recorded as CDA15 dFEV1. PT10 was the provocation time causing a 10% decrease in FEV1; a decrease of >10% in dFEV1 was considered a positive CDA test. Among the 72 subjects, 51 were diagnosed with asthma. A positive CDA test in patients with asthma correlated with non-eosinophilic asthma. In patients with asthma, sputum eosinophils and eosinophil cationic protein (ECP) levels of the patients with a positive CDA test were significantly lower than those of patients with a negative test. CDA5 dFEV1 correlated with PC20 and total immunoglobulin E. CDA15 dFEV1 correlated with PC20, sputum eosinophils, and ECP. PT10 became shorter as the peripheral blood eosinophil, FVC, FEV1, FEV1/FVC, and FEF25-75 decreased. The CDA provocation test showed airway hyperreactivity to non-specific stimuli, a high correlation with non-eosinophilic asthma, and the possibility of assessing asthma severity via PT10. Full article
(This article belongs to the Special Issue Asthma and Its Impact in Adolescents)
Show Figures

Figure 1

14 pages, 3745 KB  
Article
Segmental Bronchial Allergen Challenge Elicits Distinct Metabolic Phenotypes in Allergic Asthma
by Yanlong Zhu, Stephane Esnault, Ying Ge, Nizar N. Jarjour and Allan R. Brasier
Metabolites 2022, 12(5), 381; https://doi.org/10.3390/metabo12050381 - 22 Apr 2022
Cited by 3 | Viewed by 3146
Abstract
Asthma is a complex syndrome associated with episodic decompensations provoked by aeroallergen exposures. The underlying pathophysiological states driving exacerbations are latent in the resting state and do not adequately inform biomarker-driven therapy. A better understanding of the pathophysiological pathways driving allergic exacerbations is [...] Read more.
Asthma is a complex syndrome associated with episodic decompensations provoked by aeroallergen exposures. The underlying pathophysiological states driving exacerbations are latent in the resting state and do not adequately inform biomarker-driven therapy. A better understanding of the pathophysiological pathways driving allergic exacerbations is needed. We hypothesized that disease-associated pathways could be identified in humans by unbiased metabolomics of bronchoalveolar fluid (BALF) during the peak inflammatory response provoked by a bronchial allergen challenge. We analyzed BALF metabolites in samples from 12 volunteers who underwent segmental bronchial antigen provocation (SBP-Ag). Metabolites were quantified using liquid chromatography-tandem mass spectrometry (LC–MS/MS) followed by pathway analysis and correlation with airway inflammation. SBP-Ag induced statistically significant changes in 549 features that mapped to 72 uniquely identified metabolites. From these features, two distinct inducible metabolic phenotypes were identified by the principal component analysis, partitioning around medoids (PAM) and k-means clustering. Ten index metabolites were identified that informed the presence of asthma-relevant pathways, including unsaturated fatty acid production/metabolism, mitochondrial beta oxidation of unsaturated fatty acid, and bile acid metabolism. Pathways were validated using proteomics in eosinophils. A segmental bronchial allergen challenge induces distinct metabolic responses in humans, providing insight into pathogenic and protective endotypes in allergic asthma. Full article
(This article belongs to the Special Issue Using Metabolomics to Subphenotype Disease and Therapeutic Response)
Show Figures

Graphical abstract

8 pages, 886 KB  
Article
Evaluation of Fractional Exhaled Nitric Oxide in Pediatric Asthma and Allergic Rhinitis
by Yoon Young Jang and Ji Young Ahn
Children 2021, 8(1), 3; https://doi.org/10.3390/children8010003 - 23 Dec 2020
Cited by 4 | Viewed by 3479
Abstract
Fractional exhaled nitric oxide (FeNO) is a non-invasive test for evaluating the degree of airway inflammation and for the diagnosis, evaluation, and treatment of asthma. We attempted to measure FeNO levels in Korean children with asthma and determine its cutoff value for diagnosing [...] Read more.
Fractional exhaled nitric oxide (FeNO) is a non-invasive test for evaluating the degree of airway inflammation and for the diagnosis, evaluation, and treatment of asthma. We attempted to measure FeNO levels in Korean children with asthma and determine its cutoff value for diagnosing asthma. We enrolled 176 children and adolescents between the ages of 5 and 18 years, who visited for the evaluation of chronic cough, shortness of breath, and wheezing. Among them, 138 patients who underwent skin prick tests or inhalation Immuno CAP (UniCAP; Pharmacia, Uppsala, Sweden) tests for allergy testing together with a pulmonary function test were included. FeNO was measured using a NIOX MINO (Aerocrine AB, Solna, Sweden) instrument according to the American Thoracic Society/European Respiratory Society (ATS/ERS) guidelines. There were 29 patients with asthma, 43 with rhinitis, and 38 with asthma and allergic rhinitis. In the asthma group, FeNO levels significantly correlated with total immunoglobulin E (r = 0.572, p < 0.001), but did not show significant correlation with pulmonary function test parameters (forced vital capacity—FVC, forced expiratory volume in one second—FEV1, FEV1/FVC) or PC20 (provocative concentration of methacholine causing a 20% fall in FEV1). The FeNO cutoff values obtained in the asthma and asthma rhinitis groups were 16.5 ppb and 18.5 ppb, respectively. Hence, we provide a FeNO cutoff value according to the presence or absence of rhinitis in pediatric patients with asthma. Full article
(This article belongs to the Special Issue Advances in Pediatric Allergy and Pulmonology)
Show Figures

Figure 1

18 pages, 1139 KB  
Review
Precision Medicine in House Dust Mite-Driven Allergic Asthma
by Ibon Eguiluz-Gracia, Francisca Palomares, Maria Salas, Almudena Testera-Montes, Adriana Ariza, Ignacio Davila, Joan Bartra, Cristobalina Mayorga, Maria Jose Torres and Carmen Rondon
J. Clin. Med. 2020, 9(12), 3827; https://doi.org/10.3390/jcm9123827 - 26 Nov 2020
Cited by 8 | Viewed by 4637
Abstract
House dust mites (HDMs) are the allergenic sources most frequently involved in airway allergy. Nevertheless, not every sensitized patient develops respiratory symptoms upon exposure to HDM, and there is a clinical need to differentiate allergic asthmatics (AAs) from atopic non-allergic asthmatics with HDM [...] Read more.
House dust mites (HDMs) are the allergenic sources most frequently involved in airway allergy. Nevertheless, not every sensitized patient develops respiratory symptoms upon exposure to HDM, and there is a clinical need to differentiate allergic asthmatics (AAs) from atopic non-allergic asthmatics with HDM sensitization. This differentiation sometimes requires in vivo provocations like the bronchial allergen challenge (BAC). Interestingly, recent data demonstrate that non-atopic patients with asthma can also develop positive BAC results. This novel phenotype has been termed local allergic asthma (LAA). The interest in identifying the allergic triggers of asthma resides in the possibility of administering allergen immunotherapy (AIT). AIT is a disease-modifying intervention, the clinical benefit of which persists after therapy discontinuation. Recently, new modalities of sublingual tablets of HDM immunotherapy registered as pharmaceutical products (HDM-SLIT tablets) have become commercially available. HDM-SLIT tablets have demonstrated a robust effect over critical asthma parameters (dose of inhaled corticosteroids, exacerbations, and safety), thus being recommended by international guidelines for patients with HDM-driven AA. In this review, we will summarize the current knowledge on the phenotype and endotype of HDM-driven AA, and LAA, address the difficulties for BAC implementation in the clinic, and discuss the effects of AIT in AA and LAA. Full article
(This article belongs to the Special Issue New Frontiers in Asthma Treatment & Management)
Show Figures

Figure 1

17 pages, 2217 KB  
Article
Are Respiratory Responses to Cold Air Exercise Different in Females Compared to Males? Implications for Exercise in Cold Air Environments
by Michael D. Kennedy, Elisabeth Lenz, Martin Niedermeier and Martin Faulhaber
Int. J. Environ. Res. Public Health 2020, 17(18), 6662; https://doi.org/10.3390/ijerph17186662 - 13 Sep 2020
Cited by 7 | Viewed by 4841
Abstract
Research has shown that cold air exercise causes significant respiratory dysfunction, especially in female athletes. However, how female and male athletes respond to cold air exercise is not known. Thus, we aimed to compare acute respiratory responses (function, recovery and symptoms) in males [...] Read more.
Research has shown that cold air exercise causes significant respiratory dysfunction, especially in female athletes. However, how female and male athletes respond to cold air exercise is not known. Thus, we aimed to compare acute respiratory responses (function, recovery and symptoms) in males and females after high-intensity cold air exercise. Eighteen (nine female) athletes completed two environmental chamber running trials at 0 °C and −20 °C (humidity 34 ± 5%) on different days in a randomized starting order. Spirometry was performed pre, 3, 6, 10, 15 and 20 min post. Respiratory symptoms were measured posttrial and heart rate and rating of perceived exertion were assessed during each trial. No significant differences in delta change (pre to post) were found at either temperature between sexes for FEV1, FVC, FEF50% and FEF25–75%. At −20 °C, FEV1 decreased similarly in both sexes (males: 7.5%, females: 6.3%) but not at 0 °C, p = 0.003. Postexertion respiratory function recovery and reported symptoms were not different between sexes at either temperature. These results indicate no sex-based differences in acute respiratory responses (function, recovery and symptoms) to cold air exercise. However, intense exercise at −20 °C is challenging to the respiratory system in both sexes and may lead to altered respiratory responses compared to mild winter conditions like 0 °C. Full article
(This article belongs to the Special Issue Asthma, Exercise, and the Environment)
Show Figures

Figure 1

12 pages, 3546 KB  
Article
Beneficial Effects of Neurotensin in Murine Model of Hapten-Induced Asthma
by Ewelina Russjan and Katarzyna Kaczyńska
Int. J. Mol. Sci. 2019, 20(20), 5025; https://doi.org/10.3390/ijms20205025 - 11 Oct 2019
Cited by 18 | Viewed by 3286
Abstract
Neurotensin (NT) demonstrates ambiguous activity on inflammatory processes. The present study was undertaken to test the potential anti-inflammatory activity of NT in a murine model of non-atopic asthma and to establish the contribution of NTR1 receptors. Asthma was induced in BALB/c mice by [...] Read more.
Neurotensin (NT) demonstrates ambiguous activity on inflammatory processes. The present study was undertaken to test the potential anti-inflammatory activity of NT in a murine model of non-atopic asthma and to establish the contribution of NTR1 receptors. Asthma was induced in BALB/c mice by skin sensitization with dinitrofluorobenzene followed by intratracheal hapten provocation. The mice were treated intraperitoneally with NT, SR 142948 (NTR1 receptor antagonist) + NT or NaCl. Twenty-four hours after the challenge, airway responsiveness to nebulized methacholine was measured. Bronchoalveolar lavage fluid (BALF) and lungs were collected for biochemical and immunohistological analysis. NT alleviated airway hyperreactivity and reduced the number of inflammatory cells in BALF. These beneficial effects were inhibited by pretreatment with the NTR1 antagonist. Additionally, NT reduced levels of IL-13 and TNF-α in BALF and IL-17A, IL12p40, RANTES, mouse mast cell protease and malondialdehyde in lung homogenates. SR 142948 reverted only a post-NT TNF-α decrease. NT exhibited anti-inflammatory activity in the hapten-induced asthma. Reduced leukocyte accumulation and airway hyperresponsiveness indicate that this beneficial NT action is mediated through NTR1 receptors. A lack of effect by the NTR1 blockade on mast cell activation, oxidative stress marker and pro-inflammatory cytokine production suggests that other pathways can be involved, which requires further research. Full article
(This article belongs to the Special Issue Peptides for Health Benefits 2019)
Show Figures

Figure 1

16 pages, 5593 KB  
Article
Increased Ratio of Matrix Metalloproteinase-9 (MMP-9)/Tissue Inhibitor Metalloproteinase-1 from Alveolar Macrophages in Chronic Asthma with a Fast Decline in FEV1 at 5-Year Follow-up
by Fu-Tsai Chung, Hung-Yu Huang, Chun-Yu Lo, Yu-Chen Huang, Chang-Wei Lin, Chih-Chen He, Jung-Ru He, Te-Fang Sheng and Chun-Hua Wang
J. Clin. Med. 2019, 8(9), 1451; https://doi.org/10.3390/jcm8091451 - 12 Sep 2019
Cited by 30 | Viewed by 5451
Abstract
Chronic asthma is associated with progressive airway remodeling, which may contribute to declining lung function. An increase in matrix metalloproteinases-9 (MMP-9)/tissue inhibitor metalloproteinase-1 (TIMP-1) may indicate airway inflammation and bronchial injury. Bronchial biopsy specimens and alveolar macrophages (AMs) were obtained from patients with [...] Read more.
Chronic asthma is associated with progressive airway remodeling, which may contribute to declining lung function. An increase in matrix metalloproteinases-9 (MMP-9)/tissue inhibitor metalloproteinase-1 (TIMP-1) may indicate airway inflammation and bronchial injury. Bronchial biopsy specimens and alveolar macrophages (AMs) were obtained from patients with asthma under regular treatment with inhaled corticosteroids or combination therapy and normal subjects (n = 10). Asthmatics included those with a slow forced expiratory volume in one second (FEV1) decline (<30 mL/year, n = 13) and those with a fast FEV1 decline (≥30 mL/year, n = 8) in 5-year follow-up. Immunostaining expression of MMP-9 and TIMP-1 was detected in airway tissues. MMP-9 and TIMP-1 was measured from AMs cultured for 24 h. After the 5-year treatment, the methacholine airway hyperresponsiveness of the slow FEV1 decline group was decreased, but that of the fast FEV1 decline group was increased (PC20, provocative concentration causing a 20% decrease in FEV1, 3.12 ± 1.10 to 1.14 ± 0.34 mg/dL, p < 0.05). AMs of asthma with a fast FEV1 decline released a higher level of MMP-9 (8.52 ± 3.53 pg/mL, p < 0.05) than those of a slow FEV1 decline (0.99 ± 0.20 pg/mL). The MMP-9/TIMP ratio in the fast FEV1 decline group (0.089 ± 0.032) was higher than that of the slow FEV1 decline group (0.007 ± 0.001, p < 0.01). The annual FEV1 decline in 5 years was proportional to the level of MMP-9 (r = 57, p < 0.01) and MMP-9/TIMP-1 ratio (r = 0.58, p < 0.01). The airways of asthma with greater yearly decline in FEV1 showed an increased thickness of submucosa and strong expression of MMP-9. An increase in MMP-9 and MMP-9/TIMP-1 in airways or AMs could be indicators of chronic airway inflammation and contribute to a greater decline in lung function of patients with chronic asthma. Full article
Show Figures

Figure 1

Back to TopTop