Sign in to use this feature.

Years

Between: -

Subjects

remove_circle_outline
remove_circle_outline
remove_circle_outline
remove_circle_outline
remove_circle_outline
remove_circle_outline
remove_circle_outline

Journals

Article Types

Countries / Regions

Search Results (6)

Search Parameters:
Keywords = Plumula Nelumbinis

Order results
Result details
Results per page
Select all
Export citation of selected articles as:
23 pages, 44785 KB  
Article
Total Alkaloid Extract of Nelumbinis Plumula Promoted Sleep in PCPA-Induced Insomnia Rats by Affecting Neurotransmitters and Their Receptor Activities
by Wenjun Wei, Dongge Wang, Hangying Li, Hongyu Tian, Zhilei Wang and Suxiang Feng
Int. J. Mol. Sci. 2025, 26(8), 3684; https://doi.org/10.3390/ijms26083684 - 13 Apr 2025
Cited by 1 | Viewed by 1562
Abstract
Insomnia seriously affects people’s health and daily life. There is a growing interest in sleep-promoting agents from natural sources. Nelumbinis Plumula (NP), a traditional Chinese medicine with dual food-medicine homology, has the effects of clearing the heart and calming the mind, showing promising [...] Read more.
Insomnia seriously affects people’s health and daily life. There is a growing interest in sleep-promoting agents from natural sources. Nelumbinis Plumula (NP), a traditional Chinese medicine with dual food-medicine homology, has the effects of clearing the heart and calming the mind, showing promising efficacy in treating insomnia. In this study, the effects of NP extract, total alkaloid extract of NP, and crude polysaccharide of NP were measured in para-chlorophenylalanine-induced insomnia rats combined with the pentobarbital sodium experiment. The results indicated both total alkaloid extract and NP total extract could improve insomnia in rats, with the total alkaloid extract demonstrating a stronger effect than NP total extract. Total alkaloid extract significantly prolonged sleep duration and shortened sleep latency. Therefore, total alkaloids in NP appeared to be the main pharmacological substances that exerted sedative effect. Simultaneously, total alkaloid extract could increase the GABA level and reduce the DA level as well as affect the activities of GABRA1, DRD2, 5-HT1A, and AChE proteins. This study can lay an experimental foundation for the further development and application of NP as a remedy for treating insomnia. Full article
(This article belongs to the Special Issue Molecular Research and Potential Effects of Medicinal Plants)
Show Figures

Figure 1

22 pages, 12354 KB  
Article
Integrated Metabolomic and Transcriptomic Analysis Reveals the Basis for the Difference in Flavonoid Accumulation in Six Medicinal Tissues of Lotus (Nelumbo nucifera Gaertn.)
by Zhibiao Yu, Xiru Zhou, Yuanfang Luo, Lei Liang, Zheng Hu, Zhangfeng Ding and Yihao Jiang
Appl. Sci. 2025, 15(5), 2319; https://doi.org/10.3390/app15052319 - 21 Feb 2025
Cited by 1 | Viewed by 1475
Abstract
(1) Background: Lotus (Nelumbo nucifera Gaertn.) is an aquatic plant with a long history and ornamental, edible, medicinal, and commercial value. All parts of the lotus are important “homologous and different effects” medicinal herbs as distinct parts of the same plant with [...] Read more.
(1) Background: Lotus (Nelumbo nucifera Gaertn.) is an aquatic plant with a long history and ornamental, edible, medicinal, and commercial value. All parts of the lotus are important “homologous and different effects” medicinal herbs as distinct parts of the same plant with different medicinal effects. (2) Methods: Six representative medicinal parts of lotus were selected, i.e., the lotus flower (Nelumbinis Flos, Flo), lotus petiole (Nelumbinis Petiolus, Pet), lotus seedpod (Nelumbinis Receptaculum, Rec), lotus stamen (Nelumbinis Stamen, Sta), lotus seed (Nelumbinis Semen, Sem), and lotus plumule (Nelumbinis Plumula, Plu), and analyzed via UPLC-MS/MS for metabolite profiling and RNA sequencing for gene expression. Weighted gene co-expression network analysis identified several transcription factor families related to flavonoid synthesis. (3) Results: Distinct metabolite accumulation and gene expression patterns were observed, particularly in the flavonoid synthesis pathway. Key findings included important metabolic profiles in stamens, high flavonoid content in light-exposed tissues, and functional differentiation in seeds and plumules. The discovered transcription factor families are essential for flavonoid biosynthesis and contribute to molecular breeding and resource utilization. (4) Conclusion: This study provides an important theoretical basis for molecular breeding of lotus, quality control of medicinal materials, and the rational use of resources obtained from different medicinal parts of lotus. Full article
(This article belongs to the Special Issue Advances in Food Metabolomics)
Show Figures

Figure 1

14 pages, 7061 KB  
Article
Aspergillus oryzae Fermented Plumula Nelumbinis Against Atopic Dermatitis Through AKT/mTOR and Jun Pathways
by Fengfeng Chen, Jing Liu, Xinwei Yu, Honglei Jia, Cheng Yang and Bingtian Zhao
Pharmaceuticals 2025, 18(1), 20; https://doi.org/10.3390/ph18010020 - 27 Dec 2024
Cited by 2 | Viewed by 1510
Abstract
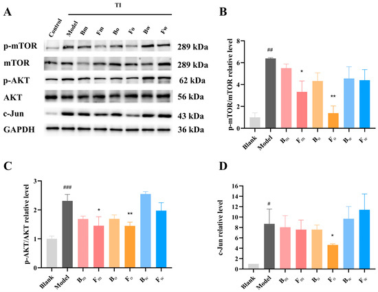
Background/Objectives: Atopic dermatitis (AD) is a chronic inflammatory skin disorder that has attracted global attention, and alkaloids from Plumula Nelumbinis have been shown to have anti-inflammatory activity. Fermentation has been used for the structural modification of natural compounds to improve bioavailability and activity, [...] Read more.
Background/Objectives: Atopic dermatitis (AD) is a chronic inflammatory skin disorder that has attracted global attention, and alkaloids from Plumula Nelumbinis have been shown to have anti-inflammatory activity. Fermentation has been used for the structural modification of natural compounds to improve bioavailability and activity, but the AD therapeutic efficacy and mechanism of the fermented Plumula Nelumbinis (FPN) are still unclear. Methods: The potential targets of FPN for AD were preliminarily screened using network pharmacology, and then PCR and WB were used to prove the therapeutic effect of FPN in AD. Results: Network pharmacology indicated that mTOR and Jun were key targets for AD. The experiments in vitro showed that FPN could effectively block AKT/mTOR and AKT/Jun-mediated inflammatory signaling pathways. Moreover, FPN can also alleviate SDS-induced inflammation in zebrafish. It is also found that the anti-inflammatory activity of Plumula Nelumbinis was enhanced by Aspergillus oryzae fermentation, and the oil phase of the fermentation product showed better activity, which may be due to microbial fermentation changing the structure of the original alkaloids. Conclusions: This study elucidated the potential mechanisms of alkaloids derived from fermented Plumula Nelumbinis against AD; it may also provide a scientific basis for the development of new drugs for AD. Full article
(This article belongs to the Section Pharmacology)
Show Figures

Figure 1

9 pages, 487 KB  
Article
The Effects of Traditional Chinese Herbal Dietary Formula on the Ability of Daily Life and Physical Function in Elderly Patients with Mild Cognitive Impairment
by Xiaofan Xu, Dan Shi, Yuchen Chen, Luyao Wang, Jiehui Jiang and Shuyun Xiao
Brain Sci. 2024, 14(4), 333; https://doi.org/10.3390/brainsci14040333 - 29 Mar 2024
Cited by 1 | Viewed by 3845
Abstract
We aimed to examine the association of traditional Chinese herbal dietary formulas with ability of daily life and physical function in elderly patients with mild cognitive impairment. The current study included 60 cases of elderly patients with mild cognitive impairment from Yueyang Hospital [...] Read more.
We aimed to examine the association of traditional Chinese herbal dietary formulas with ability of daily life and physical function in elderly patients with mild cognitive impairment. The current study included 60 cases of elderly patients with mild cognitive impairment from Yueyang Hospital of Integrated Traditional Chinese Medicine and Western Medicine, Shanghai University of Traditional Chinese Medicine and Hongkou District, Shanghai. The participants were randomly divided into two groups: group A (herbal dietary formula group, consisting of Alpiniae Oxyphyllae Fructus, Nelumbinis plumula, Chinese Yam, Poria cocos, and Jineijin), 30 cases, and group B (vitamin E), 30 cases, treatment for 3 months. Cognitive function was measured using the Montreal Cognitive Assessment (MOCA) and Mini-Mental State Examination (MMSE); body function was measured using the Chinese Simplified Physical Performance Test (CMPPT), including stand static balance, sitting-up timing, squat timing, and six-meter walk timing. Daily life based on ability was measured by grip strength and the Activity of Daily Living Scale (ADL). The lower the scores of the above items, the poorer the disease degree, except for ADL: the lower the score, the higher the self-care ability. After 3 months of treatment, the two-handed grip strength of both the herbal dietary formula group and vitamin E group increased; the ADL, sitting-up timing, squatting timing, and six-meter walking timing decreased after medication, being statistically significantly different (p < 0.05). The two-handed grip strength of group A increased significantly, and the ADL, sitting-up timing, squatting timing, and six-meter walking timing decreased distinctly compared with the vitamin E group. There was a statistically significant difference (p < 0.05). The scores of MMSE, MOCA, total CMPPT, and standing static balance of the herbal dietary formula group increased after medication. The difference was statistically significant (p < 0.05). The vitamin E group’s MMSE and MOCA scores, CMPPT total scores, and standing resting balance scores did not change significantly after medication (p > 0.05). In summary, a traditional Chinese herbal dietary formula can improve body and cognitive function in patients with MCI, and the curative effect is better than that of vitamin E. Traditional Chinese herbal dietary formulas can improve the daily life quality of MCI patients, which has clinical application value. Full article
(This article belongs to the Special Issue Challenges and Perspectives of Neurological Disorders: Series II)
Show Figures

Figure 1

14 pages, 3560 KB  
Article
Optimization of Neferine Purification Based on Response Surface Methodology and Its Anti-Metastasis Mechanism on HepG2 Cells
by Xinzhu Wang, Zhenhuan Wei, Po Hu, Weibo Xia, Zhixin Liao, Israa Assani, Guangming Yang and Yang Pan
Molecules 2023, 28(13), 5086; https://doi.org/10.3390/molecules28135086 - 29 Jun 2023
Cited by 3 | Viewed by 2133
Abstract
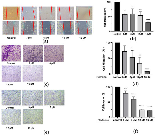
Liver cancer continues to be a focus of scientific research due to its low five-year survival rate. One of its main core issues is the high metastasis of cells, for which there is no effective treatment. Neferine was originally isolated from Plumula nelumbinis [...] Read more.
Liver cancer continues to be a focus of scientific research due to its low five-year survival rate. One of its main core issues is the high metastasis of cells, for which there is no effective treatment. Neferine was originally isolated from Plumula nelumbinis and demonstrated to have a good antitumor effect. In order to extract high-purity Neferine in a more efficient and environmentally friendly manner, response surface methodology (RSM) was used to optimize the isolation and purification procedures in this study. The extract conditions of a 7:3 ratio for the eluent of dichloromethane: methanol, 1:60 for the mass ratio of the extract amount: silica gel, and 3 mL/min of the elution flow rate were shown to be the optimal conditions. These conditions resulted in the highest yield of 6.13 mg per 66.60 mg of starting material, with productivity of 8.76% and purity of 87.04%. Compared with the previous methods, this method can prepare Neferine in large quantities more quickly. We subsequently evaluated the antitumor activity of the purified Neferine against HepG2 hepatic cancer cells. The purified Neferine was found to inhibit the proliferation of HepG2 cells through the CCK-8 assay, with an IC50 of 33.80 μM in 24 h, 29.47 μM in 48 h, 24.35 μM in 72 h and 2.78 μM in 96 h of treatment. Neferine at a concentration of 3 μM could significantly inhibit the migration and invasion abilities of the HepG2 cells in vitro. We also explored the mechanism of action of Neferine via Western blot. We showed that Neferine could reduce RhoA expression by effectively inhibiting the phosphorylation of MYPT1, thereby effectively exerting anti-metastasis activity against HepG2 cells. Thus, we have optimized the isolation procedures for highly pure Neferine by response surface methodology (RSM) in this study, and purified Neferine is shown to play an essential role in the anti-metastasis process of liver cancer cells. The Neferine purification procedure may make a wide contribution to the follow-up development of other anti-metastasis lead compounds. Full article
Show Figures

Figure 1

16 pages, 266 KB  
Article
Protective Effects of Alkaloid Compounds from Nelumbinis Plumula on tert-Butyl Hydroperoxide-Induced Oxidative Stress
by Yong Xie, Yi Zhang, Long-Tao Zhang, Shao-Xiao Zeng, Ze-Bin Guo and Bao-Dong Zheng
Molecules 2013, 18(9), 10285-10300; https://doi.org/10.3390/molecules180910285 - 26 Aug 2013
Cited by 52 | Viewed by 8556
Abstract
This study was conducted to investigate the effect of Nelumbinis Plumula total alkaloid (NPA) and its main alkaloid components on oxidative stress induced by tert-butyl hydroperoxide (t-BHP) in the human hepatocellular HepG2 cell line. According to HPLC analysis, several major [...] Read more.
This study was conducted to investigate the effect of Nelumbinis Plumula total alkaloid (NPA) and its main alkaloid components on oxidative stress induced by tert-butyl hydroperoxide (t-BHP) in the human hepatocellular HepG2 cell line. According to HPLC analysis, several major alkaloid compounds such as liensinine, isoliensinine and neferine were present in NPA. The cytotoxic effects in 0.55 mM t-BHP-induced HepG2 cells were significantly inhibited by NPA and the major compound in NPA, neferine, showed the strongest activities. The protective effect of neferine against oxidative stress induced by t-BHP may be associated with decreased ROS formation, TBARS generation, LDH release and increased GSH levels, suggesting their involvement of the cytoprotective on oxidative stress. The effects were comparable with quercetin, which was used as positive control. Overall, total alkaloid and alkaloid compounds from Nelumbinis Plumula displayed a significant cytoprotective effect against oxidative stress. Further study is needed to elucidate the relationship between the chemical structures of the components in NPA and their protective effect on oxidative stress. Full article
Show Figures

Figure 1

Back to TopTop