Sign in to use this feature.

Years

Between: -

Subjects

remove_circle_outline
remove_circle_outline
remove_circle_outline
remove_circle_outline
remove_circle_outline

Journals

Article Types

Countries / Regions

Search Results (81)

Search Parameters:
Keywords = Paracoccidioides

Order results
Result details
Results per page
Select all
Export citation of selected articles as:
33 pages, 3443 KB  
Article
Virulence and Stress-Related Proteins Are Differentially Enriched and N-Terminally Acetylated in Extracellular Vesicles from Virulent Paracoccidioides brasiliensis
by Carla E. Octaviano-Azevedo, Karolina R. F. Beraldo, Natanael P. Leitão-Júnior, Cássia M. de Souza, Camila P. da Silva, Rita C. Sinigaglia, Erix A. Milán Garcés, Evandro L. Duarte, Alexandre K. Tashima, Maria A. Juliano and Rosana Puccia
J. Fungi 2025, 11(10), 751; https://doi.org/10.3390/jof11100751 - 21 Oct 2025
Viewed by 1104
Abstract
Extracellular vesicles (EVs) are bilayer-membrane cellular components that deliver protected cargo to the extracellular environment and can mediate long-distance signaling. We have previously reported that EVs isolated from the virulent fungal pathogen Paracoccidioides brasiliensis Vpb18 can revert the expression, in the attenuated variant [...] Read more.
Extracellular vesicles (EVs) are bilayer-membrane cellular components that deliver protected cargo to the extracellular environment and can mediate long-distance signaling. We have previously reported that EVs isolated from the virulent fungal pathogen Paracoccidioides brasiliensis Vpb18 can revert the expression, in the attenuated variant Apb18, of stress-related virulence traits. We presently show that the Vev and Aev, respectively, produced by these variants display distinct proteomes, with prevalent functional enrichment in Vev related to oxidative stress response, signal transduction, transport, and localization, in addition to richer protein–protein interaction. Proteome sequences were obtained by nanoflow liquid chromatography coupled with tandem mass spectrometry (nano LC-ESI-MS/MS). The Vev and corresponding Vpb18 proteomes also differed, suggesting a selective bias in vesicle protein cargo. Moreover, sublethal oxidative (VevOxi) and nitrosative (VevNO) stress modulated the Vev proteome and a positive correlation between VevOxi/VevNO-enriched and Vev-enriched (relative to Aev) proteins was observed. Out of 145 fungal virulence factors detected in Vev, 64% were enriched, strongly suggesting that molecules with virulence roles in Paracoccidioides are selectively concentrated in Vev. Our study significantly advanced the field by exploring protein N-terminal acetylation to a dimension rarely investigated in fungal EV proteomics. The proportion of N-terminally acetylated proteins in Vev was higher than in Vpb18 and the presence of Nt-acetylation in Vev-enriched virulence factors varied across the samples, suggesting that it might interfere with protein sorting into EVs and/or protein functionality. Our findings highlight the relevance of our fungal model to unraveling the significance of fungal EVs in pathogenesis and phenotypic transfer. Full article
(This article belongs to the Special Issue Proteomic Studies of Pathogenic Fungi and Hosts)
Show Figures

Graphical abstract

15 pages, 610 KB  
Review
Exploring the Diversity and Distribution of Medico-Veterinary Fungal Diseases in Africa: Harnessing a Multisectoral One Health Strategy for Cost-Effective Prevention and Preparedness
by Ayman Ahmed, Nouh Saad Mohamed and Emmanuel Edwar Siddig
J. Fungi 2025, 11(8), 569; https://doi.org/10.3390/jof11080569 - 30 Jul 2025
Cited by 1 | Viewed by 2143
Abstract
The diversity and distribution of medical and veterinary-relevant fungal diseases in Africa underscore the critical need for a multisectoral One Health strategy to enhance cost-effective preparedness and prevention. This review explores the geographic spread and epidemiology of key medical and veterinary fungi, including [...] Read more.
The diversity and distribution of medical and veterinary-relevant fungal diseases in Africa underscore the critical need for a multisectoral One Health strategy to enhance cost-effective preparedness and prevention. This review explores the geographic spread and epidemiology of key medical and veterinary fungi, including Emergomyces, Blastomyces, Coccidioides, Cryptococcus, Dermatophytes, Histoplasma, Sporothrix, Talaromyces, Paracoccidioides, Aspergillus, and Malassezia. Evidence indicates that many of these infections remain underdiagnosed and underreported, especially in vulnerable immunocompromised populations, due to limited surveillance, diagnostic capacity, and awareness. The increasing prevalence of these diseases, often in tandem with rising HIV rates and environmental changes, highlights the urgent need for coordinated efforts across human, animal, and environmental health sectors. Implementing comprehensive, multisectoral interventions—focused on enhancing diagnostic capabilities, public awareness, surveillance, and cross-sector collaboration—is vital for effective prevention and control of these emerging fungal threats in Africa. Full article
Show Figures

Figure 1

17 pages, 1783 KB  
Article
Acidic pH Modulates Cell Wall and Melanization in Paracoccidioides brasiliensis, Affecting Macrophage Interaction
by Rafael de Souza Silva, Wilson Dias Segura, Rogéria Cristina Zauli, Reinaldo Souza Oliveira, Vitor Vidal, Eduardo Correa Louvandini, Patricia Xander, Suzan Pantaroto Vasconcellos and Wagner Luiz Batista
J. Fungi 2025, 11(7), 504; https://doi.org/10.3390/jof11070504 - 4 Jul 2025
Viewed by 1235
Abstract
Paracoccidioides brasiliensis is a thermally dimorphic fungal pathogen and the main etiological agent of paracoccidioidomycosis (PCM), a neglected systemic mycosis endemic in Latin America. The virulence of P. brasiliensis is closely associated with its capacity to survive under hostile host conditions, including acidic [...] Read more.
Paracoccidioides brasiliensis is a thermally dimorphic fungal pathogen and the main etiological agent of paracoccidioidomycosis (PCM), a neglected systemic mycosis endemic in Latin America. The virulence of P. brasiliensis is closely associated with its capacity to survive under hostile host conditions, including acidic environments. In this study, we demonstrate that acidic pH induces melanization in P. brasiliensis, modulates its cell wall composition, and alters the interaction with macrophages. Cultivation at acidic pH resulted in reduced fungal growth without compromising viability and triggered increased production of melanin-like pigments, as confirmed by enhanced laccase activity and upregulation of genes in the DHN-melanin biosynthetic pathway. Additionally, growth under acidic pH induced significant remodeling of the fungal cell wall, leading to increased chitin on the cell wall surface and reduced mannan content, while β-glucan levels remained unchanged. These modifications correlated with decreased viability to Congo Red, suggesting altered cell wall stability. Importantly, P. brasiliensis grown under acidic conditions exhibited reduced phagocytosis by RAW 264.7 macrophages, along with changes in nitric oxide and cytokine production, indicating potential mechanisms of immune evasion. Collectively, our findings suggest that environmental acidification promotes fungal adaptations that enhance survival and modulate host–pathogen interactions, contributing to P. brasiliensis virulence. Understanding how acidic pH regulates these processes provides new insights into the pathobiology of PCM and may contribute to understanding the mechanisms of fungal immune evasion. Full article
(This article belongs to the Special Issue Recent Advances in Systemic and Emerging Mycoses)
Show Figures

Graphical abstract

20 pages, 3541 KB  
Review
Immunoregulation in Fungal Infections: A Review and Update on the Critical Role of Myeloid-Derived Suppressor Cells
by Valéria de Lima Kaminski, Ana Luiza Oliveira Menezes, Kauan Gonçalves de Lima, Stephani Leonelo de Almeida, Diego Vinícius Alves da Silva, Filipe Nogueira Franco, Nycolas Willian Preite and Flávio Vieira Loures
J. Fungi 2025, 11(7), 496; https://doi.org/10.3390/jof11070496 - 30 Jun 2025
Cited by 7 | Viewed by 2589
Abstract
Myeloid-derived suppressor cells (MDSCs) are a heterogeneous group of immune cells that play a central role in regulating host immune responses during fungal infections. Their recruitment is mediated by pathogen recognition receptors, particularly Dectin-1 and CARD9 signaling, which promote the production of reactive [...] Read more.
Myeloid-derived suppressor cells (MDSCs) are a heterogeneous group of immune cells that play a central role in regulating host immune responses during fungal infections. Their recruitment is mediated by pathogen recognition receptors, particularly Dectin-1 and CARD9 signaling, which promote the production of reactive oxygen species (ROS) and IL-1β. Once activated, MDSCs suppress T-cell and natural killer cell functions through immunosuppressive cytokines like IL-10 and TGF-β, as well as enzymes such as arginase-1 and indoleamine 2,3-dioxygenase 1 (IDO-1). This review explores the role of MDSCs in fungal infections caused by Candida spp., Paracoccidioides brasiliensis, Aspergillus spp., and Cryptococcus neoformans, emphasizing their impact on immune modulation and disease progression. The emerging evidence suggests that fungal bioactive compounds, such as polysaccharides, can influence MDSC activity and restore immune balance. Notably, therapies targeting MDSCs have demonstrated promise in both fungal infections. In particular, infections with P. brasiliensis and C. neoformans show improved T-cell responses following MDSC-targeted interventions. Additionally, polysaccharides from Grifola frondosa and exposure to Aspergillus sydowii affect MDSC behavior, supporting the potential of modulating these cells therapeutically. Together, these findings highlight the relevance of MDSCs in fungal pathogenesis and underscore their potential as targets for immunotherapeutic strategies in infectious diseases. Full article
(This article belongs to the Special Issue Fungal Cell Biology)
Show Figures

Graphical abstract

28 pages, 2253 KB  
Review
Signaling Pathways Regulating Dimorphism in Medically Relevant Fungal Species
by Uriel Ramírez-Sotelo, Manuela Gómez-Gaviria and Héctor M. Mora-Montes
Pathogens 2025, 14(4), 350; https://doi.org/10.3390/pathogens14040350 - 4 Apr 2025
Cited by 5 | Viewed by 6585
Abstract
Pathogenic fungi that exhibit the ability to alternate between hyphal and yeast morphology in response to environmental stimuli are considered dimorphic. Under saprobic conditions, some fungi exist as filamentous hyphae, producing conidia. When conidia are inhaled by mammals or traumatically inoculated, body temperature [...] Read more.
Pathogenic fungi that exhibit the ability to alternate between hyphal and yeast morphology in response to environmental stimuli are considered dimorphic. Under saprobic conditions, some fungi exist as filamentous hyphae, producing conidia. When conidia are inhaled by mammals or traumatically inoculated, body temperature (37 °C) triggers dimorphism into yeast cells. This shift promotes fungal dissemination and immune evasion. Some fungal pathogens undergo dimorphism in the contrary way, forming pseudohyphae and hyphae within the host. While temperature is a major driver of dimorphism, other factors, including CO2 concentration, pH, nitrogen sources, and quorum-sensing molecules, also contribute to morphological shifts. This morphological transition is associated with increased expression of virulence factors that aid in adhesion, colonization, and immune evasion. Candida albicans is a fungus that is commonly found as a commensal on human mucous membranes but has the potential to be an opportunistic fungal pathogen of immunocompromised patients. C. albicans exhibits a dimorphic change from the yeast form to the hyphal form when it becomes established as a pathogen. In contrast, Histoplasma capsulatum is an environmental dimorphic fungus where human infection begins when conidia or hyphal fragments of the fungus are inhaled into the alveoli, where the dimorphic change to yeast occurs, this being the morphology associated with its pathogenic phase. This review examines the main signaling pathways that have been mostly related to fungal dimorphism, using as a basis the information available in the literature on H. capsulatum and C. albicans because these fungi have been widely studied for the morphological transition from hypha to yeast and from yeast to hypha, respectively. In addition, we have included the reported findings of these signaling pathways associated with the dimorphism of other pathogenic fungi, such as Paracoccidioides brasiliensis, Sporothrix schenckii, Cryptococcus neoformans, and Blastomyces dermatitis. Understanding these pathways is essential for advancing therapeutic approaches against systemic fungal infections. Full article
(This article belongs to the Special Issue Rare Fungal Infection Studies)
Show Figures

Figure 1

14 pages, 4490 KB  
Article
Paracoccidioides Species Circulating in the Endemic Area of Rio de Janeiro, Brazil: Updates into Their Genetic Diversity
by Beatriz da Silva Motta, Fernando Almeida-Silva, Marcus de Melo Teixeira, Andréa Reis Bernardes-Engemann, Rodrigo Almeida-Paes, Priscila Marques de Macedo and Rosely Maria Zancopé-Oliveira
J. Fungi 2025, 11(2), 134; https://doi.org/10.3390/jof11020134 - 10 Feb 2025
Viewed by 2429
Abstract
Paracoccidiodomycosis (PCM) is the most important systemic mycosis in Brazil, and is usually associated with rural work. PCM is caused by inhalation of infective propagules of thermodimorphic fungi from the genus Paracoccidioides. In the past, it was believed that Paracoccidioides brasiliensis was [...] Read more.
Paracoccidiodomycosis (PCM) is the most important systemic mycosis in Brazil, and is usually associated with rural work. PCM is caused by inhalation of infective propagules of thermodimorphic fungi from the genus Paracoccidioides. In the past, it was believed that Paracoccidioides brasiliensis was the single species responsible for PCM cases. However, recent advances in molecular methods allowed the description of several new species, using phylogenetic concordance as the gold standard. Aside from P. brasiliensis sensu stricto, Paracoccidioides americana is also endemic in Rio de Janeiro state, Brazil. This study aimed to evaluate intraspecific genetic variability of Paracoccidioides isolates from patients diagnosed with PCM at a reference center for endemic mycoses in Rio de Janeiro state, from 2015 to 2021. Among the sixteen retrieved isolates, three (18.75%) were identified as P. americana and thirteen (81.25%) as P. brasiliensis sensu stricto. No intraspecific genetic variation was observed by the M-13 primer in P. americana isolates from this geographic region. However, P. brasiliensis sensu stricto isolates were clustered into two distinct molecular profiles, despite being grouped in a single clade in the phylogenetic tree after partial sequencing of arf and gp43 genes. The results suggest a single P. americana lineage and two P. brasiliensis populations causing PCM in Rio de Janeiro, Brazil. Full article
Show Figures

Figure 1

9 pages, 1486 KB  
Article
Nano-Enabled Colorimetric Assay for the Detection of Paracoccidioides lutzii: Advancing Diagnostics with Nanotechnology
by Olavo O. Comparato Filho, Marcela A. Cândido, Aveline Ventura, Flavia V. Morais and Leandro Raniero
J. Nanotheranostics 2024, 5(3), 75-83; https://doi.org/10.3390/jnt5030005 - 26 Jun 2024
Cited by 2 | Viewed by 2723
Abstract
Deforestation is a common occurrence driven by agricultural expansion, urbanization, and infrastructure development. These activities often lead to increased human interaction with ecosystems, potentially exposing individuals to Paracoccidioides spores (P. brasiliensis and P. lutzii) found in the soil, resulting in Paracoccidioidomycosis [...] Read more.
Deforestation is a common occurrence driven by agricultural expansion, urbanization, and infrastructure development. These activities often lead to increased human interaction with ecosystems, potentially exposing individuals to Paracoccidioides spores (P. brasiliensis and P. lutzii) found in the soil, resulting in Paracoccidioidomycosis (PCM). This fungal infection is endemic to specific regions in Latin America, such as Brazil, Colombia, Venezuela, and Argentina. Diagnosis typically involves a combination of clinical assessment, imaging techniques, and laboratory examinations. P. lutzii lacks the glycoprotein Gp43, a key antigenic protein utilized in serological tests for PCM diagnosis. In this study, a colorimetric test employing gold nanoparticles (AuNPs) and label-free methodology was employed for P. lutzii detection. The effectiveness of the label-free colorimetric test was assessed using a total of 100 samples. This detection was achieved through the amplification of the gp43 gene and the use of a specific probe (5′CAGGGGTGCG3′) in conjunction with AuNPs. The receiver operating characteristic curve was employed to assess the test, revealing that the method can accurately detect P. lutzii with a sensitivity of 100% and a specificity of 100%. The findings indicate a substantial impact on remote endemic regions attributable to the implementation of cost-effective diagnostic methodologies. Full article
Show Figures

Figure 1

15 pages, 5238 KB  
Article
The Effect of Geoclimatic Factors on the Distribution of Paracoccidioidomycosis in Mato Grosso do Sul, Brazil
by Larissa Rodrigues Fabris, Nathan Guilherme de Oliveira, Bruna Eduarda Bortolomai, Lavínia Cássia Ferreira Batista, Marcos Henrique Sobral, Alisson André Ribeiro, Ursulla Vilella Andrade, Antonio Conceição Paranhos Filho, Lídia Raquel de Carvalho, Ida Maria Foschiani Dias Baptista, Rinaldo Poncio Mendes and Anamaria Mello Miranda Paniago
J. Fungi 2024, 10(3), 165; https://doi.org/10.3390/jof10030165 - 21 Feb 2024
Cited by 7 | Viewed by 3364
Abstract
The incidence of paracoccidioidomycosis (PCM) varies in Latin America, and it is influenced by environmental factors. This study evaluated the distribution of PCM acute/subacute form (AF) cases and their correlation with geoclimatic factors in the Mato Grosso do Sul (MS) state. The study [...] Read more.
The incidence of paracoccidioidomycosis (PCM) varies in Latin America, and it is influenced by environmental factors. This study evaluated the distribution of PCM acute/subacute form (AF) cases and their correlation with geoclimatic factors in the Mato Grosso do Sul (MS) state. The study included 81 patients diagnosed with the PCM/AF at the University Hospital of the Federal University of Mato Grosso do Sul between January 1980 and February 2022. Geographic coordinates, health microregion of patient’s residence, compensated average temperature, relative air humidity (RH), El Niño Southern Oscillation (ENSO), and average global temperature were analyzed. The highest incidence was observed in the Aquidauana (7/100,000 inhabitants), while Campo Grande, the state’s capital, had the highest number (n = 34; 42.4%) and density (4.4 cases/km2) of cases. The number of cases increased during extended periods of the El Niño phenomenon. A positive correlation was found between higher RH and PCM/AF cases. Most PCM/AF cases were found in areas with loamy soils and RH ranging from 60.8 to 73.6%. In MS, the health microregions of PCM/AF patients are characterized by deforestation for agricultural and pasture use, coupled with loamy soils and specific climatic phenomena leading to higher soil humidity. Full article
(This article belongs to the Special Issue New Insights into Paracoccidioides and Paracoccidioidomycosis)
Show Figures

Figure 1

16 pages, 2310 KB  
Article
Standardization of Semi-Quantitative Dot Blotting Assay—Application in the Diagnosis, Follow-Up, and Relapse of Paracoccidioidomycosis
by Beatriz Aparecida Soares Pereira, Ricardo de Souza Cavalcante, Vera Lucia Pereira-Chioccola, Marcia de Souza Carvalho Melhem, Lídia Raquel de Carvalho and Rinaldo Poncio Mendes
Microorganisms 2024, 12(2), 351; https://doi.org/10.3390/microorganisms12020351 - 8 Feb 2024
Cited by 3 | Viewed by 2359
Abstract
Introduction: This study standardized a semi-quantitative dot blotting assay (DB) and a quantitative real-time polymerase chain reaction (qPCR) to detect specific antibodies for Paracoccidioides brasiliensis and its DNA in PCM patients. Methodology: We evaluated 42 confirmed PCM patients upon admission using a serological [...] Read more.
Introduction: This study standardized a semi-quantitative dot blotting assay (DB) and a quantitative real-time polymerase chain reaction (qPCR) to detect specific antibodies for Paracoccidioides brasiliensis and its DNA in PCM patients. Methodology: We evaluated 42 confirmed PCM patients upon admission using a serological double agar gel immunodiffusion test (DID), DB, and molecular tests (qPCR in total blood). The control groups included 42 healthy individuals and 37 patients with other infectious diseases. The serological progress during treatment was evaluated in eight patients, and there was a relapse diagnosis in ten patients using the Pb B.339 strain antigen. The cut-off points for the serological tests were determined by a receiver operator characteristic curve. Results: The DB and DID tests showed similar accuracy, but the DB identified lower antibody concentrations. Cross-reactions were absent in the DB assay. In the relapse diagnoses, DB exhibited much higher sensitivity (90%) than DID (30%). Conclusions: A DB assay is easier and faster than a DID test to be performed; DB and DID tests show the same accuracy, while blood qPCR is not recommended in the diagnosis at the time of admission; cross-reactions were not observed with other systemic diseases; DB and DID tests are useful for treatment monitoring PCM patients; and a DB assay is the choice for diagnosing relapse. These findings support the introduction of semi-quantitative DB assays in clinical laboratories. Full article
(This article belongs to the Special Issue Paracoccidioidomycosis)
Show Figures

Figure 1

18 pages, 366 KB  
Review
The Ecology of Non-Candida Yeasts and Dimorphic Fungi in Cetaceans: From Pathogenicity to Environmental and Global Health Implications
by Victor Garcia-Bustos, Begoña Acosta-Hernández, Marta Dafne Cabañero-Navalón, Javier Pemán, Alba Cecilia Ruiz-Gaitán and Inmaculada Rosario Medina
J. Fungi 2024, 10(2), 111; https://doi.org/10.3390/jof10020111 - 29 Jan 2024
Cited by 3 | Viewed by 3512
Abstract
Cetaceans, which are integral to marine ecosystems, face escalating anthropogenic threats, including climate change and pollution, positioning them as critical sentinel species for ocean and human health. This review explores the neglected realm of non-Candida yeasts in cetaceans, addressing the gaps in [...] Read more.
Cetaceans, which are integral to marine ecosystems, face escalating anthropogenic threats, including climate change and pollution, positioning them as critical sentinel species for ocean and human health. This review explores the neglected realm of non-Candida yeasts in cetaceans, addressing the gaps in the understanding of their prevalence, pathogenicity, and environmental impacts. By examining identified species such as Cryptococcus spp., Paracoccidioides spp., and several dimorphic fungi, this review emphasizes global prevalence, epidemiology and ecology, pathogenicity, and potential zoonotic implications. It also discusses the fine line between yeast commensalism and pathogenicity by considering environmental influences such as pollution, climate shifts, and immune suppression. Environmental impact discussions delve into how rising ocean temperatures and pollution can modify yeast mycobiota, potentially affecting marine host health and broader ecosystem dynamics. The cetacean’s unique physiology and ecological niches are considered, highlighting potential impacts on behaviors, reproductive success, and survival rates. Identifying crucial knowledge gaps, the review calls for intensified research efforts, employing advanced molecular techniques to unravel the cetacean mycobiome. Systematic studies on yeast diversity, antifungal susceptibility, and their influence on environmental and ecosystem health are proposed, and the balance between commensal and pathogenic species emphasizes the significance of the One Health approach. In conclusion, as marine mammals face unprecedented challenges, unveiling non-Candida yeasts in cetaceans emerges as a critical endeavor with far-reaching implications for the conservation of marine ecosystems and for both animal and human public health. Full article
(This article belongs to the Special Issue Fungal Diseases in Animals, 2nd Edition)
2 pages, 177 KB  
Reply
Reply to Vilela, R.; Mendoza, L. Current Nomenclature of Paracoccidioides lobogeorgii’s Disease Name. Comment on “Grotta et al. Fungal Density in Lobomycosis in French Guiana: A Proposal for a New Clinico-Histological and Therapeutic Classification. J. Fungi 2023, 9, 1005”
by Geoffrey Grotta and Romain Blaizot
J. Fungi 2024, 10(1), 19; https://doi.org/10.3390/jof10010019 - 28 Dec 2023
Viewed by 1382
Abstract
We have read with interest the comment sent by Raquel Vilela and Leonel Mendoza [...] Full article
3 pages, 234 KB  
Comment
Current Nomenclature of Paracoccidioides lobogeorgii’s Disease Name. Comment on Grotta et al. Fungal Density in Lobomycosis in French Guiana: A Proposal for a New Clinico-Histological and Therapeutic Classification. J. Fungi 2023, 9, 1005
by Raquel Vilela and Leonel Mendoza
J. Fungi 2024, 10(1), 18; https://doi.org/10.3390/jof10010018 - 28 Dec 2023
Cited by 3 | Viewed by 1736
Abstract
We have read the article by Grotta and collaborators [...] Full article
(This article belongs to the Section Fungal Evolution, Biodiversity and Systematics)
22 pages, 6008 KB  
Article
Proteomics of Paracoccidioides lutzii: Overview of Changes Triggered by Nitrogen Catabolite Repression
by Vanessa Rafaela Milhomem Cruz-Leite, André Luís Elias Moreira, Lana O’Hara Souza Silva, Moises Morais Inácio, Juliana Alves Parente-Rocha, Orville Hernandez Ruiz, Simone Schneider Weber, Célia Maria de Almeida Soares and Clayton Luiz Borges
J. Fungi 2023, 9(11), 1102; https://doi.org/10.3390/jof9111102 - 12 Nov 2023
Cited by 3 | Viewed by 2597
Abstract
Members of the Paracoccidioides complex are the causative agents of Paracoccidioidomycosis (PCM), a human systemic mycosis endemic in Latin America. Upon initial contact with the host, the pathogen needs to uptake micronutrients. Nitrogen is an essential source for biosynthetic pathways. Adaptation to nutritional [...] Read more.
Members of the Paracoccidioides complex are the causative agents of Paracoccidioidomycosis (PCM), a human systemic mycosis endemic in Latin America. Upon initial contact with the host, the pathogen needs to uptake micronutrients. Nitrogen is an essential source for biosynthetic pathways. Adaptation to nutritional stress is a key feature of fungi in host tissues. Fungi utilize nitrogen sources through Nitrogen Catabolite Repression (NCR). NCR ensures the scavenging, uptake and catabolism of alternative nitrogen sources, when preferential ones, such as glutamine or ammonium, are unavailable. The NanoUPLC-MSE proteomic approach was used to investigate the NCR response of Paracoccidioides lutzii after growth on proline or glutamine as a nitrogen source. A total of 338 differentially expressed proteins were identified. P. lutzii demonstrated that gluconeogenesis, β-oxidation, glyoxylate cycle, adhesin-like proteins, stress response and cell wall remodeling were triggered in NCR-proline conditions. In addition, within macrophages, yeast cells trained under NCR-proline conditions showed an increased ability to survive. In general, this study allows a comprehensive understanding of the NCR response employed by the fungus to overcome nutritional starvation, which in the human host is represented by nutritional immunity. In turn, the pathogen requires rapid adaptation to the changing microenvironment induced by macrophages to achieve successful infection. Full article
(This article belongs to the Special Issue Young Investigators of Human Pathogenic Fungi)
Show Figures

Figure 1

18 pages, 2128 KB  
Article
The Response of Paracoccidioides lutzii to the Interaction with Human Neutrophils
by Lana O’Hara Souza Silva, Lilian Cristiane Baeza, Laurine Lacerda Pigosso, Kleber Santiago Freitas e Silva, Maristela Pereira, Marcos Antonio Batista de Carvalho Júnior and Célia Maria de Almeida Soares
J. Fungi 2023, 9(11), 1088; https://doi.org/10.3390/jof9111088 - 7 Nov 2023
Viewed by 2338
Abstract
The fungal pathogen Paracoccidioides lutzii causes systemic mycosis Paracoccidioidomycosis (PCM), which presents a broad distribution in Latin America. Upon infection, the fungus undergoes a morphological transition to yeast cells and provokes an inflammatory granulomatous reaction with a high number of neutrophils in the [...] Read more.
The fungal pathogen Paracoccidioides lutzii causes systemic mycosis Paracoccidioidomycosis (PCM), which presents a broad distribution in Latin America. Upon infection, the fungus undergoes a morphological transition to yeast cells and provokes an inflammatory granulomatous reaction with a high number of neutrophils in the lungs. In this work, we employed proteomic analysis to investigate the in vitro response of the fungus to the interaction with human neutrophils. Proteomic profiling of P. lutzii yeast cells harvested at 2 and 4 h post interaction with human polymorphonuclear cells allowed the identification of 505 proteins differentially accumulated. The data indicated that P. lutzii yeast cells underwent a shift in metabolism from glycolysis to Beta oxidation, increasing enzymes of the glyoxylate cycle and upregulating enzymes related to the detoxification of oxidative and heat shock stress. To our knowledge, this is the first study employing proteomic analysis in the investigation of the response of a member of the Paracoccidioides genus to the interaction with neutrophils. Full article
(This article belongs to the Special Issue Fungal-Related Proteomics in Biotechnology and Health)
Show Figures

Figure 1

14 pages, 6778 KB  
Article
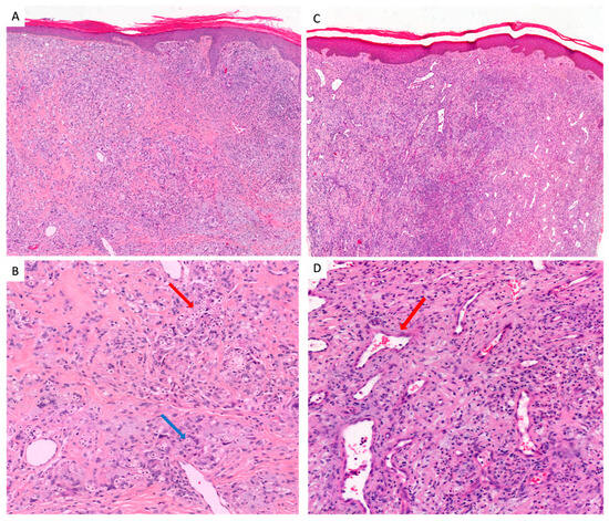
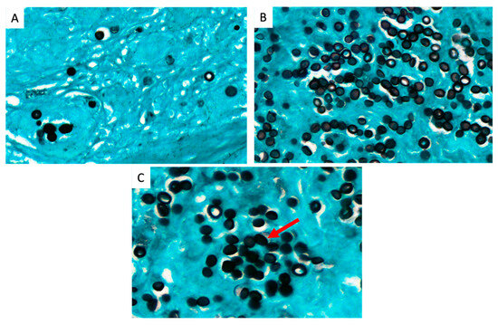
Fungal Density in Lobomycosis in French Guiana: A Proposal for a New Clinico-Histological and Therapeutic Classification
by Geoffrey Grotta, Pierre Couppie, Magalie Demar, Kinan Drak Alsibai and Romain Blaizot
J. Fungi 2023, 9(10), 1005; https://doi.org/10.3390/jof9101005 - 12 Oct 2023
Cited by 6 | Viewed by 2808
Abstract
Background: Lobomycosis is a rare cutaneous tropical neglected disease caused by the fungal agent Lacazia loboi, recently renamed Paracoccidioides lobogeorgii. Our objectives were to present all cases of lobomycosis diagnosed in French Guiana, to offer a precise description of their histopathological [...] Read more.
Background: Lobomycosis is a rare cutaneous tropical neglected disease caused by the fungal agent Lacazia loboi, recently renamed Paracoccidioides lobogeorgii. Our objectives were to present all cases of lobomycosis diagnosed in French Guiana, to offer a precise description of their histopathological features and to propose a new clinico-histological prognostic classification. Methods: All cases of lobomycosis diagnosed in French Guiana between 1959 and 2022 were included. We looked for associations between the occurrence of relapses and the clinic-histological form. Results: 31 patients diagnosed with lobomycosis were included. An epidemiological shift was observed in the 2000s as Brazilian patients became the most important ethnic group. Gold mining, forestry and fishing/sailing were reported as professional exposures. New histological features, such as inflammatory “rosettes” formations were described. We describe two clinic-histological patterns: a major form (high fungal density and/or multifocal lesions) and a minor form (low fungal density, unifocal lesions, association with fewer relapses). Conclusions: The changing epidemiology of lobomycosis in French Guiana is characterized by a shift towards Brazilian patients, mostly gold miners. Minor forms should be treated with surgery, major forms with a combination of surgery followed by nultiple drug therapy (MDT) or posaconazole. Full article
Show Figures

Figure 1

Back to TopTop