Sign in to use this feature.

Years

Between: -

Subjects

remove_circle_outline
remove_circle_outline
remove_circle_outline
remove_circle_outline

Journals

Article Types

Countries / Regions

Search Results (9)

Search Parameters:
Keywords = IgA-mediated vasculitis

Order results
Result details
Results per page
Select all
Export citation of selected articles as:
28 pages, 639 KB  
Review
Cancer Risk in Autoimmune and Immune-Mediated Diseases: A Narrative Review for Practising Clinicians
by David Bernal-Bello, Begoña Frutos-Pérez, Miguel Ángel Duarte-Millán, María Toledano-Macías, Beatriz Jaenes-Barrios and Alejandro Morales-Ortega
J. Clin. Med. 2025, 14(17), 5954; https://doi.org/10.3390/jcm14175954 - 23 Aug 2025
Cited by 1 | Viewed by 4310
Abstract
Background: Autoimmune diseases and other immune-mediated disorders are associated with an increased risk of malignancy, influenced by chronic inflammation, immune dysregulation, and treatment-related factors. Clarifying cancer risk patterns across specific conditions is essential to improve clinical vigilance and inform screening practices. Objective [...] Read more.
Background: Autoimmune diseases and other immune-mediated disorders are associated with an increased risk of malignancy, influenced by chronic inflammation, immune dysregulation, and treatment-related factors. Clarifying cancer risk patterns across specific conditions is essential to improve clinical vigilance and inform screening practices. Objective: The aim of this study was to synthesise current evidence on the association between autoimmune and immune-mediated diseases and cancer, with a focus on practical implications for clinicians. Methods: Recent cohort studies, meta-analyses, and expert consensus documents were analysed to describe cancer epidemiology, pathogenic mechanisms, high-risk phenotypes, and treatment considerations across major autoimmune diseases and other immune-mediated conditions. The review covers idiopathic inflammatory myopathies, Sjögren’s syndrome, systemic sclerosis, systemic lupus erythematosus, rheumatoid arthritis, antiphospholipid syndrome, ANCA-associated vasculitis, giant cell arteritis, polymyalgia rheumatica, sarcoidosis, mixed connective tissue disease, IgG4-related disease, VEXAS syndrome, and eosinophilic fasciitis. Special attention was given to identifying warning features for underlying malignancy and evaluating cancer screening strategies. Results: The magnitude and distribution of cancer risk vary across diseases. In some conditions such as dermatomyositis, systemic sclerosis or Sjögren’s syndrome, increased risk is well established, particularly for haematological and certain solid tumours. However, tumour patterns may differ across populations, and findings are not always consistent. Distinct clinical and serological features help stratify individual cancer risk and may guide the intensity of screening. The first years after disease onset often represent a window of higher vulnerability, during which intensified surveillance may be warranted in selected patients. Conclusions: Cancer risk in autoimmune diseases should be assessed on an individual basis. Awareness of disease-specific risk factors and clinical warning signs supports early recognition of malignancy and informs screening decisions in routine practice. Full article
(This article belongs to the Section Immunology & Rheumatology)
Show Figures

Figure 1

16 pages, 8469 KB  
Case Report
IgG4-Mediated Sclerosing Riedel Thyroiditis: A Multidisciplinary Case Study and Literature Review
by Dumitru Ioachim, Mihai Alin Publik, Dana Terzea, Carmen Adina Cristea, Adina Mariana Ghemigian, Anda Dumitrascu, Eugenia Petrova, Alexandra Voinea, Romeo Smarandache and Mihail Ceausu
Int. J. Mol. Sci. 2025, 26(16), 7786; https://doi.org/10.3390/ijms26167786 - 12 Aug 2025
Viewed by 1666
Abstract
Riedel thyroiditis (RT) is a rare immune-mediated inflammatory disease that destroys the thyroid parenchyma, replacing it with storiform fibrosis extending to the extrathyroidal tissue. Secondary fibrotic lesions can be associated as parts of the systemic IgG4-related disease. We present the case of a [...] Read more.
Riedel thyroiditis (RT) is a rare immune-mediated inflammatory disease that destroys the thyroid parenchyma, replacing it with storiform fibrosis extending to the extrathyroidal tissue. Secondary fibrotic lesions can be associated as parts of the systemic IgG4-related disease. We present the case of a 52-year-old female patient who presented initially with subacute thyroiditis when corticosteroid treatment was initiated. After a year, compressive respiratory symptoms and dysphagia appear, and fine-needle aspiration cytology is performed to rule out malignancy, but without results. Thyroidectomy is performed, and histopathology shows scleroatrophic thyroiditis, with chronic inflammatory infiltrate containing eosinophils extending in the neighboring tissue, rare atrophic follicles, and obliterative vasculitis. Immunohistochemistry proves abundant plasma cells with IgG4 secretion; the macrophage is mainly the M2 subtype. RT is diagnosed, and a CT (computed tomography) scan is performed to detect peritracheal fibrosis and subtle pulmonary modifications. A literature review was performed that situates our findings in the context of the current literature. The last part discusses the immuno-inflammatory mechanisms behind IgG4-related diseases. Full article
Show Figures

Figure 1

10 pages, 479 KB  
Article
Epidemiology of Immune-Mediated Glomerulopathies before and after SARS-CoV-2 Vaccination: A Tertiary Referral Hospital Experience
by Jorge Iván Zamora, Marina López-Martínez, Marc Patricio Liebana, Juan Carlos Leon Román, Sheila Bermejo, Ander Vergara, Irene Agraz, Natalia Ramos Terrades, Maria Antonieta Azancot, Nestor Toapanta, Maria Alejandra Gabaldon and Maria José Soler
J. Clin. Med. 2023, 12(6), 2420; https://doi.org/10.3390/jcm12062420 - 21 Mar 2023
Viewed by 2564
Abstract
Background: Vaccination is a known trigger for the appearance of immune-mediated glomerulopathies (IMG). The appearance of IMG after SARS-CoV-2 vaccination with suspected causality has been described. Our aim is to analyze the incidence of IMG flares before and after SARS-CoV-2 vaccination in our [...] Read more.
Background: Vaccination is a known trigger for the appearance of immune-mediated glomerulopathies (IMG). The appearance of IMG after SARS-CoV-2 vaccination with suspected causality has been described. Our aim is to analyze the incidence of IMG flares before and after SARS-CoV-2 vaccination in our center. Methods: All persons with native kidney biopsy (KB) from January 2019 to March 2022 in our center were included in the study. We compared the incidence of IMG before and after the start of vaccination. We also collected information about whether the patients had received a SARS-CoV-2 vaccine or have suffered from COVID in the six weeks before the IMG. We also evaluated the analytical characteristics of the outbreaks. Results: A total of 386 KB were studied. Of them, 86/218 (39.4%) were IMG performed pre- and 85/168 (50.6%) post-SV (029). The incidence of idiopathic nephrotic syndrome (INS), studied separately, was also significantly increased post-vaccination (n = 18 (10.7%)) compared to pre-vaccination (n = 11 (5%)) (p = 0.036). There were no differences in the incidence of vasculitis or IgA nephropathy. Up to 17 (20%) flares occurred 6 weeks before SARS-CoV-2 vaccination and only 2 (2.4%) within the first 6 weeks after SARS-CoV-2 infection. Within those 17 flares, the most common diagnosis was IgAN (n = 5 (29.4%)); a total of 14 (82.4%) received an mRNA vaccine and 9 (52.9%) took place after the 1st vaccine dose. There were 13 cases of minimal change disease (MCD) with debut/recurrence pre-SV and 20 MCD with debut/recurrence post-SV (p = 0.002). Conclusions: The incidence of IMG, INS and MCD flares in our center increased significantly after SARS-CoV-2 vaccination. Importantly, 20% of IMG flares took place within the first 6 weeks after receiving a vaccine dose, with the first dose being the riskiest one and IgAN the most frequent diagnosis. Full article
(This article belongs to the Section Nephrology & Urology)
Show Figures

Figure 1

9 pages, 731 KB  
Case Report
Sudden Onset of IgA Vasculitis Affecting Vital Organs in Adult Patients following SARS-CoV-2 Vaccines
by Yunjung Choi, Chang Hun Lee, Kyoung Min Kim and Wan-Hee Yoo
Vaccines 2022, 10(6), 923; https://doi.org/10.3390/vaccines10060923 - 9 Jun 2022
Cited by 8 | Viewed by 3796
Abstract
IgA vasculitis is an immune complex-mediated small-vessel vasculitis that mainly occurs in children and is characterized by palpable purpura, arthralgia, abdominal pain, and glomerulonephritis. We report three cases of new-onset IgA vasculitis involving major organs in adult patients after they received either the [...] Read more.
IgA vasculitis is an immune complex-mediated small-vessel vasculitis that mainly occurs in children and is characterized by palpable purpura, arthralgia, abdominal pain, and glomerulonephritis. We report three cases of new-onset IgA vasculitis involving major organs in adult patients after they received either the ChAdOx1 viral vector (Oxford/AstraZeneca) vaccine or the messenger RNA-1273 (Moderna) vaccine. These cases suggest that COVID-19 vaccines have the potential to trigger IgA vasculitis and indicate that physicians need to monitor for this possible complication. Full article
Show Figures

Figure 1

29 pages, 1665 KB  
Review
Pathogenic T-Cell Responses in Immune-Mediated Glomerulonephritis
by Alexandra Linke, Gisa Tiegs and Katrin Neumann
Cells 2022, 11(10), 1625; https://doi.org/10.3390/cells11101625 - 12 May 2022
Cited by 38 | Viewed by 10536
Abstract
Glomerulonephritis (GN) comprises a group of immune-mediated kidney diseases affecting glomeruli and the tubulointerstitium. Glomerular crescent formation is a histopathological characteristic of severe forms of GN, also referred to as crescentic GN (cGN). Based on histological findings, cGN includes anti-neutrophil cytoplasmic antibody (ANCA)-associated [...] Read more.
Glomerulonephritis (GN) comprises a group of immune-mediated kidney diseases affecting glomeruli and the tubulointerstitium. Glomerular crescent formation is a histopathological characteristic of severe forms of GN, also referred to as crescentic GN (cGN). Based on histological findings, cGN includes anti-neutrophil cytoplasmic antibody (ANCA)-associated GN, a severe form of ANCA-associated vasculitis, lupus nephritis associated with systemic lupus erythematosus, Goodpasture’s disease, and IgA nephropathy. The immunopathogenesis of cGN is associated with activation of CD4+ and CD8+ T cells, which particularly accumulate in the periglomerular and tubulointerstitial space but also infiltrate glomeruli. Clinical observations and functional studies in pre-clinical animal models provide evidence for a pathogenic role of Th1 and Th17 cell-mediated immune responses in cGN. Emerging evidence further argues that CD8+ T cells have a role in disease pathology and the mechanisms of activation and function of recently identified tissue-resident CD4+ and CD8+ T cells in cGN are currently under investigation. This review summarizes the mechanisms of pathogenic T-cell responses leading to glomerular damage and renal inflammation in cGN. Advanced knowledge of the underlying immune mechanisms involved with cGN will enable the identification of novel therapeutic targets for the replacement or reduction in standard immunosuppressive therapy or the treatment of refractory disease. Full article
(This article belongs to the Special Issue Immune Mechanisms in Glomerulonephritis)
Show Figures

Figure 1

9 pages, 712 KB  
Article
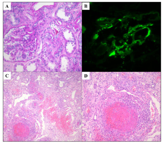
IgA Vasculitis with Nephritis in Adults: Histological and Clinical Assessment
by Lingyun Lai, Shaojun Liu, Maria Azrad, Stacy Hall, Chuanming Hao, Jan Novak, Bruce A. Julian and Lea Novak
J. Clin. Med. 2021, 10(21), 4851; https://doi.org/10.3390/jcm10214851 - 22 Oct 2021
Cited by 7 | Viewed by 3952
Abstract
Patients with IgA vasculitis (IgAV), an immune complex-mediated disease, may exhibit kidney involvement—IgAV with nephritis (IgAVN). The kidney-biopsy histopathologic features of IgAVN are similar to those of IgA nephropathy, but little is known about histopathologic disease severity based on the interval between purpura [...] Read more.
Patients with IgA vasculitis (IgAV), an immune complex-mediated disease, may exhibit kidney involvement—IgAV with nephritis (IgAVN). The kidney-biopsy histopathologic features of IgAVN are similar to those of IgA nephropathy, but little is known about histopathologic disease severity based on the interval between purpura onset and diagnostic kidney biopsy. We assessed kidney histopathology and clinical and laboratory data in a cohort of adult patients with IgAVN (n = 110). The cases were grouped based on the interval between the onset of purpura and kidney biopsy: Group 1 (G1, <1 month, n = 14), Group 2 (G2, 1–6 months, n = 58), and Group 3 (G3, >6 months, n = 38). Glomerular leukocytes were more common in G1 than in the other groups (p = 0.0008). The proportion of neutrophils among peripheral-blood leukocytes was the highest in the patients biopsied within a month after onset of purpura (G1: 71 ± 8%). In the patients with an interval >6 months, the neutrophil proportion was lower, 60%. Moreover, the glomerular mesangial proliferation score correlated with the serum total IgA concentration (p = 0.0056). In conclusion, IgAVN patients biopsied <1 month from purpura onset showed an elevated percentage of blood neutrophils and glomerular leukocytes, consistent with an acute-onset inflammatory reaction. In all IgAVN patients, the mesangial proliferation score correlated with the serum IgA level. Full article
(This article belongs to the Special Issue New Insights into the Pathogenesis and Therapies of IgA Nephropathy)
Show Figures

Figure 1

7 pages, 699 KB  
Case Report
Henoch-Schönlein Purpura Following the First Dose of COVID-19 Viral Vector Vaccine: A Case Report
by Maria Maddalena Sirufo, Martina Raggiunti, Lina Maria Magnanimi, Lia Ginaldi and Massimo De Martinis
Vaccines 2021, 9(10), 1078; https://doi.org/10.3390/vaccines9101078 - 25 Sep 2021
Cited by 37 | Viewed by 9456
Abstract
A 76 year-old female came to our observation one week after the vaccination with ChAdOx1 nCoV-19 AZD1222 for the onset of purpuric rash on her gluteal and legs regions associated with coxalgia and episodes of macrohaematuria. Henoch-Schönlein purpura (HSP) was diagnosed on the [...] Read more.
A 76 year-old female came to our observation one week after the vaccination with ChAdOx1 nCoV-19 AZD1222 for the onset of purpuric rash on her gluteal and legs regions associated with coxalgia and episodes of macrohaematuria. Henoch-Schönlein purpura (HSP) was diagnosed on the basis of the revised criteria developed by the European League Against Rheumatism, the Paediatric Rheumatology International Trials Organization, and the Paediatric Rheumatology European Society (EULAR/PRINTO/PRES). HSP is a common IgA-mediated small vessel vasculitis, typical of childhood, that affects several systems and is characterized by a tetrad of dermatological, abdominal, joint, and renal manifestations. The Etiology of HSP is not completely understood, but it was observed following upper respiratory tract infections, medications, vaccinations, and malignancies. HSP has previously been reported following immunization with various vaccines, mostly within 12 weeks post, suggesting a possible correlation. To our knowledge, this is the first report of the possible association between COVID-19 ChAdOx1 nCoV-19 AZD1222 and the onset of HSP in a previously healthy woman. No similar cases were reported amongst 23.848 participants in the ChAdOx1 nCoV-19 AZD1222 trial. Full article
(This article belongs to the Special Issue Vaccination Related Adverse Reaction)
Show Figures

Figure 1

15 pages, 674 KB  
Review
IgA Vasculitis: Etiology, Treatment, Biomarkers and Epigenetic Changes
by Hitomi Sugino, Yu Sawada and Motonobu Nakamura
Int. J. Mol. Sci. 2021, 22(14), 7538; https://doi.org/10.3390/ijms22147538 - 14 Jul 2021
Cited by 55 | Viewed by 13133
Abstract
IgA, previously called Henoch-Schönlein vasculitis, is an essential immune component that drives the host immune response to the external environment. As IgA has the unique characteristic of a flexible response to broad types of microorganisms, it sometimes causes an autoreactive response in the [...] Read more.
IgA, previously called Henoch-Schönlein vasculitis, is an essential immune component that drives the host immune response to the external environment. As IgA has the unique characteristic of a flexible response to broad types of microorganisms, it sometimes causes an autoreactive response in the host human body. IgA vasculitis and related organ dysfunction are representative IgA-mediated autoimmune diseases; bacterial and viral infections often trigger IgA vasculitis. Recent drug developments and the presence of COVID-19 have revealed that these agents can also trigger IgA vasculitis. These findings provide a novel understanding of the pathogenesis of IgA vasculitis. In this review, we focus on the characteristics of IgA and symptoms of IgA vasculitis and other organ dysfunction. We also mention the therapeutic approach, biomarkers, novel triggers for IgA vasculitis, and epigenetic modifications in patients with IgA vasculitis. Full article
(This article belongs to the Section Molecular Pathology, Diagnostics, and Therapeutics)
Show Figures

Figure 1

14 pages, 484 KB  
Review
Antibiotic Hypersensitivity Mechanisms
by Jenana H. Maker, Cassandra M. Stroup, Vanthida Huang and Stephanie F. James
Pharmacy 2019, 7(3), 122; https://doi.org/10.3390/pharmacy7030122 - 27 Aug 2019
Cited by 28 | Viewed by 11536
Abstract
Antibiotics are commonly prescribed to treat a variety of bacterial infections. As with all medications, hypersensitivity reactions may occur and clinicians should be able to recognize them accurately and recommend appropriate management. Antibiotic related hypersensitivity reactions may be one of four different types: [...] Read more.
Antibiotics are commonly prescribed to treat a variety of bacterial infections. As with all medications, hypersensitivity reactions may occur and clinicians should be able to recognize them accurately and recommend appropriate management. Antibiotic related hypersensitivity reactions may be one of four different types: Type I reactions, which are IgE mediated and may lead to anaphylaxis; Type II reactions that are antibody-mediated and may result in thrombocytopenia, neutropenia, or hemolytic anemia; Type III reaction that involves an immune complex formation such as vasculitis; and Type IV reactions that consist of four subtypes and typically include a rash of varying level of severity with or without systemic signs and symptoms. Herein, we describe the mechanisms of different types of allergic reactions to commonly prescribed antibiotics and offer recommendations for management. Further, we briefly refer to antibiotic reactions that mimic hypersensitivity reactions but are not immune mediated, such as pseudoallergies and serum sickness-like reactions. Full article
(This article belongs to the Special Issue Antibiotic Allergies)
Show Figures

Figure 1

Back to TopTop