Sign in to use this feature.

Years

Between: -

Subjects

remove_circle_outline
remove_circle_outline
remove_circle_outline
remove_circle_outline
remove_circle_outline
remove_circle_outline
remove_circle_outline
remove_circle_outline
remove_circle_outline

Journals

remove_circle_outline
remove_circle_outline
remove_circle_outline
remove_circle_outline
remove_circle_outline
remove_circle_outline
remove_circle_outline
remove_circle_outline
remove_circle_outline
remove_circle_outline
remove_circle_outline
remove_circle_outline
remove_circle_outline
remove_circle_outline
remove_circle_outline
remove_circle_outline
remove_circle_outline
remove_circle_outline
remove_circle_outline
remove_circle_outline
remove_circle_outline
remove_circle_outline
remove_circle_outline

Article Types

Countries / Regions

remove_circle_outline
remove_circle_outline
remove_circle_outline
remove_circle_outline
remove_circle_outline
remove_circle_outline
remove_circle_outline
remove_circle_outline

Search Results (1,357)

Search Parameters:
Keywords = HSV-2

Order results
Result details
Results per page
Select all
Export citation of selected articles as:
23 pages, 7102 KB  
Article
Detection of Uniform Corrosion in Steel Pipes Using a Mobile Artificial Vision System
by Rafael Antonio Rodríguez Ospino, Cristhian Manuel Durán Acevedo and Jeniffer Katerine Carrillo Gómez
Corros. Mater. Degrad. 2026, 7(1), 21; https://doi.org/10.3390/cmd7010021 - 20 Mar 2026
Abstract
Corrosion in steel pipelines can cause critical failures in industrial systems, while conventional inspection methods such as radiography and ultrasonic testing are costly and require specialized personnel. This study presents a mobile computer vision system for automated corrosion detection inside steel pipes using [...] Read more.
Corrosion in steel pipelines can cause critical failures in industrial systems, while conventional inspection methods such as radiography and ultrasonic testing are costly and require specialized personnel. This study presents a mobile computer vision system for automated corrosion detection inside steel pipes using deep learning-based visual analysis. The proposed system consists of a Raspberry Pi 4-based mobile robot equipped with a high-resolution camera for internal inspection. Acquired images were processed using color-space transformations (RGB–HSV), filtering, and segmentation. Convolutional neural networks and semantic segmentation models, including YOLOv8-seg (Instance segmentation) and DeepLabV3 (Semantic segmentation), were trained on a custom corrosion image dataset to identify corroded regions. Real-time visualization was implemented via Flask-based video streaming. Experimental results demonstrated high detection accuracy for uniform corrosion, achieving a mean Intersection over Union (mIoU) above 0.98 and a precision of 0.99 with the YOLOv8-seg model. These results indicate that the proposed system enables reliable and automated corrosion inspection, with the potential to reduce inspection costs and improve operational efficiency. Future work will focus on enhancing real-time performance through hardware optimization. Full article
Show Figures

Figure 1

22 pages, 3299 KB  
Article
DualStream-RTNet: A Multimodal Deep Learning Framework for Grape Cultivar Classification and Soluble Solid Content Prediction
by Zhiguo Liu, Yufei Song, Aoran Liu, Xi Meng, Chang Liu, Shanshan Li, Xiangqing Wang and Guifa Teng
Foods 2026, 15(6), 1095; https://doi.org/10.3390/foods15061095 - 20 Mar 2026
Abstract
Accurate and non-destructive evaluation of grape quality is crucial for intelligent viticulture, yet most existing approaches address cultivar classification and soluble solid content (SSC) prediction as independent tasks based on single-modality data, limiting robustness and practical applicability. This study proposes DualStream-RTNet, a unified [...] Read more.
Accurate and non-destructive evaluation of grape quality is crucial for intelligent viticulture, yet most existing approaches address cultivar classification and soluble solid content (SSC) prediction as independent tasks based on single-modality data, limiting robustness and practical applicability. This study proposes DualStream-RTNet, a unified multimodal deep learning framework that simultaneously performs grape cultivar classification and SSC prediction by integrating RGB-HSV fused images and PCA-compressed hyperspectral spectra. The dual-stream architecture enables the complementary learning of external chromatic–textural cues and internal physicochemical information, while a Transformer-enhanced fusion module strengthens global representation and cross-modal correlation. A dataset of 864 berries from five grape cultivars was used to validate the model. DualStream-RTNet achieved 93.64% classification accuracy, outperforming ResNet18 and other CNN baselines, and produced more compact and consistent confusion-matrix patterns. For SSC prediction, it consistently yielded the highest performance across cultivars, with R2p values up to 0.9693 and RMSE as low as 0.2567, surpassing the PLSR, SVR, LSTM, and Transformer regression models. These results demonstrate the superiority of the proposed framework in capturing both visual and spectral characteristics. DualStream-RTNet provides an efficient and scalable solution for comprehensive grape quality assessment, offering strong potential for real-time sorting, precision grading, and smart agricultural applications. Full article
(This article belongs to the Section Food Engineering and Technology)
Show Figures

Figure 1

22 pages, 17744 KB  
Article
Task-Aware Low-Light Image Enhancement Method for Underground Coal Mine Monitoring
by Zhirui Yan, Yaru Li, Hongwei Wang, Zhixin Jin, Lei Tao and Yide Geng
Sensors 2026, 26(6), 1886; https://doi.org/10.3390/s26061886 - 17 Mar 2026
Viewed by 106
Abstract
Video AI recognition is crucial for coal mine safety, but complex environments often yield low-quality images, hindering intelligent monitoring. Existing enhancement methods typically focus on image quality alone, lacking adaptability to specific tasks. Therefore, we propose Mine-DCE-YDT: a task-aware low-light image enhancement model [...] Read more.
Video AI recognition is crucial for coal mine safety, but complex environments often yield low-quality images, hindering intelligent monitoring. Existing enhancement methods typically focus on image quality alone, lacking adaptability to specific tasks. Therefore, we propose Mine-DCE-YDT: a task-aware low-light image enhancement model that jointly optimizes enhancement with downstream object detection, ensuring enhanced images are both visually clearer and more conducive to accurate detection. Firstly, an improved Zero-DCE algorithm (Mine-DCE) is presented by introducing a Brightness-aware Mask Coordinate Attention (BMCA) module to improve illumination balance in the Value channel of the HSV image and a Multi-scale Detail Enhancement (MDE) module to reinforce textures and suppress noise. Then, Mine-DCE is co-modeled with YOLOv11n by training end-to-end via a joint loss fusing detection and enhancement quality losses to form Mine-DCE-YDT, which can enhance specific details containing image detection targets. Experimental results show that compared with Zero-DCE, Mine-DCE-YDT achieves reductions of 9.5% in NIQE and 35.5% in BRISQUE on the custom-constructed MineDataset and exhibits great enhancement performance on the public dataset LOL-V1. For the miner detection task in MineDataset, the integration of Mine-DCE-YDT with YOLOv11n achieves increases of 2.8% and 8.3% in mAP@0.5 and mAP@0.5:0.95, demonstrating its effectiveness in enhancing task-critical image features. Full article
(This article belongs to the Section Sensing and Imaging)
Show Figures

Figure 1

17 pages, 3401 KB  
Review
Host Immune Response Mechanisms Against Herpes Simplex Virus Type 2 Infection
by Yongming Mei, Hong Teng and Jianbin Wang
Pathogens 2026, 15(3), 319; https://doi.org/10.3390/pathogens15030319 - 16 Mar 2026
Viewed by 114
Abstract
Herpes simplex virus type 2 (HSV-2) is the primary pathogen responsible for genital herpes. Predominantly transmitted via sexual contact, HSV-2 not only poses significant physical and psychological burdens on infected individuals but also substantially elevates the risk of HIV acquisition and represents a [...] Read more.
Herpes simplex virus type 2 (HSV-2) is the primary pathogen responsible for genital herpes. Predominantly transmitted via sexual contact, HSV-2 not only poses significant physical and psychological burdens on infected individuals but also substantially elevates the risk of HIV acquisition and represents a potentially fatal threat to newborns. Following primary infection, HSV-2 establishes lifelong latent infection within the sacral ganglia. Currently, there are no vaccines or therapeutics capable of eradicating this latent virus reservoir or effectively preventing initial infection. The core impediment to developing such interventions lies in the incomplete elucidation of the protective immune mechanisms against HSV-2 and its precise molecular pathogenesis. The host immune response against HSV-2 hinges critically on the coordinated interplay between innate and adaptive immunity. The innate immune system, serving as the first line of defense, acts to curtail early viral replication and initiate adaptive responses. This is achieved through mechanisms, including the genital mucosal barrier, activation of Toll-like receptors (TLRs), the cGAS-STING signaling pathway, interferon (IFN)-mediated antiviral effector functions, and activation of innate immune cells such as natural killer (NK) cells and dendritic cells (DCs). Crucially, however, HSV-2 counteracts these host defenses by expressing immune modulatory proteins (e.g., ICP0, ICP27, ICP35) that target key host antiviral signaling pathways, thereby affecting immune evasion. Within the adaptive immune response, neutralizing antibodies generated by the humoral immunity can provide localized protection at mucosal sites, but their protective efficacy is limited due to sophisticated viral immune evasion mechanisms. Cellular immunity, particularly mediated by CD4+ T cells, constitutes the core mechanism for viral clearance and suppression of recurrent outbreaks. Notably, tissue-resident memory T cells (TRMs) play a pivotal role in controlling the reactivation of latent HSV-2 within the ganglia. This review integrates current research advances to delineate the innate and adaptive immune mechanisms engaged during HSV-2 infection from the perspective of the dynamic host–virus interplay, with an ultimate aim to provide a theoretical foundation informing the rational development of preventive vaccines and therapeutic agents against HSV-2. Full article
Show Figures

Figure 1

14 pages, 16335 KB  
Article
Lemon Juice Activity Against Caprine Alphaherpesvirus-1: An In Vitro Study
by Francesco Pellegrini, Gianvito Lanave, Cristiana Catella, Vanessa Bachmann, Marinella Dibari, Maria Tempesta, Vito Martella, Nicola Decaro, Claudia Maria Trombetta and Michele Camero
Antibiotics 2026, 15(3), 295; https://doi.org/10.3390/antibiotics15030295 - 14 Mar 2026
Viewed by 194
Abstract
Caprine herpesvirus 1 (CpHV-1) is responsible for significant economic losses in goat farming. The CpHV-1 genital infection in goats has been used as a homologous animal model for the study of human herpes simplex virus type 2 (HSV-2). This study aimed to investigate [...] Read more.
Caprine herpesvirus 1 (CpHV-1) is responsible for significant economic losses in goat farming. The CpHV-1 genital infection in goats has been used as a homologous animal model for the study of human herpes simplex virus type 2 (HSV-2). This study aimed to investigate the in vitro virucidal and antiviral effect of lemon juice (LJ) and its main component, citric acid (CA), against CpHV-1 on Madin-Darby Bovine Kidney (MDBK) cells. Cytotoxicity was assessed using an XTT assay, while viral titers were determined by the Reed–Muench method and viral DNA was quantified via qPCR. Pure LJ (pH 2.3) and its corresponding CA solution demonstrated potent and rapid virucidal activity, reducing the viral titer by over 5.0 log10 TCID50/50 µL within 1 min. When applied after viral entry, a non-cytotoxic dilution of LJ (pH 4.32) significantly inhibited viral replication, causing a 2.5 log10 TCID50/50 µL reduction in viral titer and a corresponding decrease in viral DNA. The antiviral effects were minimal at a near-neutral pH of 6.67, probably interacting with envelope structures. These results suggest that LJ could be a potential low-cost topical agent or disinfectant for controlling CpHV-1 in goat populations and offer a basis for translational research on human herpesviruses. Full article
Show Figures

Figure 1

25 pages, 5662 KB  
Article
A Fiducial-Marker-Based Localization Method for Automotive Chassis Bolt Assembly
by Xiangqian Peng, Yingjie Xiao, Zhewu Chen, Kaijie Chen and Hong Huang
Sensors 2026, 26(6), 1818; https://doi.org/10.3390/s26061818 - 13 Mar 2026
Viewed by 192
Abstract
To address the difficulty of accurately localizing automotive chassis bolts during the assembly process—caused by non-uniform illumination, limited camera installation space, and occlusions from the vehicle body structure—a fiducial-marker-based localization method is proposed. In this method, a concentric ring-shaped fiducial marker is affixed [...] Read more.
To address the difficulty of accurately localizing automotive chassis bolts during the assembly process—caused by non-uniform illumination, limited camera installation space, and occlusions from the vehicle body structure—a fiducial-marker-based localization method is proposed. In this method, a concentric ring-shaped fiducial marker is affixed to the bottom of the assembly wrench, and its region of interest (ROI) is extracted using an HSV color space segmentation algorithm. To overcome interference from uneven lighting and insufficient brightness in industrial environments, an improved Retinex-based image enhancement algorithm is introduced, which significantly improves the robustness and accuracy of ROI extraction. The extracted ROI image is subjected to ellipse fitting, and the fitting process is optimized by incorporating the Leitz criterion. Experimental results show that the optimized ellipse fitting algorithm achieves higher accuracy and significantly enhances the reliability of fitting. Since perspective projection of spatial circles leads to displacement of the circle center, the actual projected center of the fiducial marker in the image is calculated by estimating the normal vector of the circular plane using vanishing lines and the ellipse parameter matrix. This enables spatial localization of the bolt end. The proposed method is validated by comparing the localization results with the theoretical coordinates of the bolt holes. Experimental results demonstrate that the method offers high localization accuracy and strong robustness, meeting the practical precision requirements for automatic bolt assembly in industrial applications. Full article
(This article belongs to the Section Sensing and Imaging)
Show Figures

Figure 1

42 pages, 807 KB  
Review
Advances in Nanotechnology for the Treatment of Herpes Virus Infections
by Yohan Oliveira de Carvalho, Bruna Coelho de Almeida, Gabriela Lopes Gama e Silva, Tatielle do Nascimento, Mariana Sato de Souza Bustamante Monteiro and Eduardo Ricci-Junior
Viruses 2026, 18(3), 351; https://doi.org/10.3390/v18030351 - 13 Mar 2026
Viewed by 217
Abstract
Herpes simplex virus (HSV) infections present a major global health burden due to their high morbidity. Conventional therapies offer limited efficacy due to poor bioavailability, the need for frequent administration and potential drug resistance. Recent advances in nanotechnology provide opportunities to overcome these [...] Read more.
Herpes simplex virus (HSV) infections present a major global health burden due to their high morbidity. Conventional therapies offer limited efficacy due to poor bioavailability, the need for frequent administration and potential drug resistance. Recent advances in nanotechnology provide opportunities to overcome these limitations. This review summarizes the latest advances in nanocarrier-based formulations, highlighting their role in improving bioavailability, sustained release, mucosal penetration and antiviral activity. An integrative search was conducted from January 2010 to December 2025. Inclusion and exclusion criteria were used to select the articles. After analyzing the articles, 34 were included in this review with in vitro studies and 14 with in vivo assays. These articles were evaluated in relation to physicochemical characterization studies and in vitro and in vivo assays. Studies were found involving polymeric nanoparticles, metal nanoparticles, solid lipid nanoparticles, liposomes, niosomes, nanoemulsions and nanofibers. Regarding in vitro assays, it was observed that the nanosystems showed increased antiviral activity in cell cultures infected with the herpes simplex virus. In addition, developed nanosystems showed prolonged antiviral activity and lowered toxicity in animal models. Thus, these systems prove to be effective when compared to conventional therapy and can be considered an advance in HSV infection therapy. Full article
(This article belongs to the Special Issue Nanotechnology-Driven Strategy Against Viral Infections)
Show Figures

Graphical abstract

17 pages, 3887 KB  
Article
Immunogenicity and Efficacy of a Trivalent HSV-2 gC2, gD2, gE2 Nucleoside-Modified mRNA-LNP Vaccine Against HSV-1 Eye Infection and Neuroinvasion in Mice
by Alyssa Chalmin Katz, Kevin P. Egan, Zauraiz Syeda, Sarah Son, Bahiyah Watson, Manaswini Gopalakrishnan, Valerie Bromberg, Enrico Radaelli, Charles-Antoine Assenmacher, Sita Awasthi, Gary H. Cohen and Harvey M. Friedman
Vaccines 2026, 14(3), 253; https://doi.org/10.3390/vaccines14030253 - 10 Mar 2026
Viewed by 302
Abstract
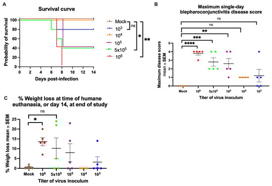
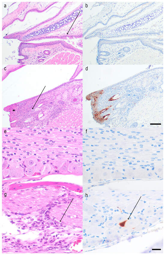
Background/Objectives: Eye infection with herpes simplex virus type 1 (HSV-1) can result in keratitis, a leading cause of corneal blindness. We evaluated whether an experimental vaccine containing HSV-2 immunogens to prevent genital herpes also protects against HSV-1 eye infection and neuroinvasion. Methods: Mice [...] Read more.
Background/Objectives: Eye infection with herpes simplex virus type 1 (HSV-1) can result in keratitis, a leading cause of corneal blindness. We evaluated whether an experimental vaccine containing HSV-2 immunogens to prevent genital herpes also protects against HSV-1 eye infection and neuroinvasion. Methods: Mice were immunized twice, one month apart, with PBS or a nucleoside-modified lipid nanoparticle vaccine containing mRNA encoding for gC2, gD2, and gE2. One month later, 106 plaque forming units (PFU) (10 lethal dose 50, LD50) of the HSV-1 McKrae strain were added to the intact cornea of each eye. Results: The vaccine prevented death and markedly reduced eyelid and attached conjunctival inflammation (blepharoconjunctivitis) and weight loss compared with the PBS group. Tissues from the ocular conjunctiva and eye bulb, olfactory bulb/peduncle, trigeminal ganglia, and brain (brainstem, cerebrum, and cerebellum) were harvested 5 days post-infection from 5 mice each in the PBS and vaccine groups, and from another 10 mice in the vaccine group 7 weeks post-infection. At 5 days, HSV-1 was not detected in any tissue in the vaccine group, while viral titers were positive in 16 of 25 (64%), and HSV-1 DNA was detected in 22 of 25 (88%) individual tissues in the PBS group. Histopathological and immunohistochemical analysis at 5 days post-infection confirmed that the vaccine protected against inflammation; however, some animals experienced breakthrough blepharoconjunctivitis. At 7 weeks, 3 of 10 (30%) mice in the vaccine group had HSV-1 DNA detected in the eyes or trigeminal ganglia tissues, but no animal had HSV-1 DNA detected in brain tissues. The vaccine produced cross-reactive HSV-1 neutralizing antibodies and gD1 IgG binding antibodies, but low or undetectable cross-reactive binding antibodies to gC1 and gE1. Conclusions: Despite occasional mild, localized breakthrough infections, the vaccine provided disease-modifying immunity and was neuroprotective. The results suggest that a single herpes vaccine effective against genital HSV-2 may be neuroprotective against HSV-1 following eye infection. Full article
(This article belongs to the Section Nucleic Acid (DNA and mRNA) Vaccines)
Show Figures

Figure 1

16 pages, 8106 KB  
Article
Construction of a Three-Dimensional Culture Model of HSV-1 Based on the Nano-Self-Assembling Peptide RADA16-I and Preliminary Exploration of the Relationship Between HSV-1 and Autophagy
by Zhen Hu, Yun-E Xu, Jie Zhang, Xue Luo, Jia-Zhe Li, Yu-Tong Wang, Heng-Mei Li, Xin Sun, Sheng-Yu Wang, Hong Song and Di-Shu Ao
Microorganisms 2026, 14(3), 601; https://doi.org/10.3390/microorganisms14030601 - 8 Mar 2026
Viewed by 203
Abstract
Herpes simplex virus type 1 (HSV-1) is a neurotropic alphaherpesvirus that interacts dynamically with host cells within structured tissue environments. Conventional two-dimensional (2D) cultures do not fully recapitulate these spatial and microenvironmental features. In this study, we established a three-dimensional (3D) culture system [...] Read more.
Herpes simplex virus type 1 (HSV-1) is a neurotropic alphaherpesvirus that interacts dynamically with host cells within structured tissue environments. Conventional two-dimensional (2D) cultures do not fully recapitulate these spatial and microenvironmental features. In this study, we established a three-dimensional (3D) culture system using the self-assembling peptide RADA16-I to generate an extracellular matrix–mimetic hydrogel scaffold. This platform supported the formation of stable Vero cell spheroids that remained viable for more than 30 days. Following HSV-1 infection, viral spread initiated at the spheroid periphery and progressively extended toward the core. Sustained viral replication was detected for up to 22 days, indicating long-term maintenance of infection within the 3D structure. Ultrastructural examination identified viral particles and vesicular compartments consistent with autophagy-related organelles. Comparative analysis of autophagy-associated markers revealed distinct temporal patterns between 2D monolayer cultures and 3D spheroids. In the 3D system, LC3B-II levels progressively increased, accompanied by a reduction in p62, suggesting altered regulation of autophagic flux relative to conventional 2D conditions. These findings demonstrate that the RADA16-I-based 3D culture model supports prolonged HSV-1 infection and reproduces key spatial features of viral dissemination. The differential autophagic responses observed between 2D and 3D systems highlight the influence of cellular architecture on host–virus interactions and support the application of 3D culture platforms for mechanistic studies of HSV-1 pathogenesis. Full article
(This article belongs to the Section Virology)
Show Figures

Figure 1

13 pages, 472 KB  
Systematic Review
Risk of HSV-2 Acquisition Among Women with Bacterial Vaginosis: Systematic Review and Meta-Analysis
by Taylor N. Whitt, Alexis Heath, D’Atra J. Hill, Douglas K. Brubaker and Christina Farr Zuend
Viruses 2026, 18(3), 330; https://doi.org/10.3390/v18030330 - 7 Mar 2026
Viewed by 288
Abstract
Objective: Bacterial vaginosis is a dysbiosis of the vaginal microbiome, typically characterized by a loss of Lactobacillus. Lactobacillus plays a crucial role in vaginal immunity and protection against sexually transmitted infections. Herpes simplex virus 2, the primary cause of genital herpes, impacts [...] Read more.
Objective: Bacterial vaginosis is a dysbiosis of the vaginal microbiome, typically characterized by a loss of Lactobacillus. Lactobacillus plays a crucial role in vaginal immunity and protection against sexually transmitted infections. Herpes simplex virus 2, the primary cause of genital herpes, impacts 13% of people worldwide. We undertook this systematic review and meta-analysis to examine the risk of herpes simplex virus 2 acquisition in women with bacterial vaginosis. Secondarily, we examined the impact of bacterial vaginosis on herpes simplex virus 2 shedding, reactivation, and symptoms. Data sources: We searched PubMed, EMBASE, Cochrane, Web of Science, Google Scholar, and ClinicalTrials.gov for articles published before 1 July 2023 for microbiome and herpes simplex virus type 2. Studies were limited to human subjects and the English language. An updated search was performed in January 2026. This study was registered on PROSPERO (CRD42023439139). Methods of study selection: Studies on non-pregnant, reproductive-aged cisgender women that diagnosed bacterial vaginosis by Amsel Criteria, Nugent Scoring or used molecular techniques, and those that detected herpes simplex virus 2 by serological assay or PCR testing were included. Our search identified 863 results with four publications eligible for inclusion. For our secondary outcomes, 40 results were identified regarding herpes simplex virus 2 shedding, with two publications eligible for inclusion, which did not meet our threshold for meta-analysis. There were 21 results identified for herpes simplex virus 2 reaction and 115 results for herpes simplex virus 2 symptoms, with no articles being eligible for inclusion. Tabulation, integration, and results: Quality assessment was performed following data extraction using the quality assessment scales from the Joanna Briggs Institute. Results were extracted, and the pooled hazard ratio was calculated with 95% confidence interval. A total of 1906 women were included in this analysis, and 255 acquired herpes simplex virus 2. The pooled unadjusted hazard ratios produced an effect size of 1.91, (95% confidence interval 1.4649–2.4980), and a p-value of <0.0001, while the pooled adjusted hazard ratios produces an effect size of 1.85, (95% confidence interval of 1.3556–2.5162), and a p-value of 0.0001 indicating that bacterial vaginosis is associated with a increased risk of herpes simplex virus 2 acquisition. Conclusions: This systematic review with meta-analysis indicates that bacterial vaginosis is associated with a significantly increased risk (91% unadjusted, 85% adjusted) of herpes simplex virus 2 acquisition, indicating that bacterial vaginosis treatment may reduce herpes simplex virus 2 acquisition. A notable limitation of these findings is the relatively small number of studies eligible for inclusion in this systematic review and meta-analysis. Full article
(This article belongs to the Section General Virology)
Show Figures

Figure 1

28 pages, 417 KB  
Review
A Comparative Review of Veterinary and Human Vaccine Development Strategies: Insights into Herpesvirus Vaccinology from Latency to Elimination
by Guangyi Liu, Xiaoyang Zhao, Yuezhi Lin, Xiaojun Wang and Diqiu Liu
Vaccines 2026, 14(3), 249; https://doi.org/10.3390/vaccines14030249 - 7 Mar 2026
Viewed by 364
Abstract
Background: Members of the virus family Herpesviridae are among the most successful pathogen groups in evolutionary history. They not only pose a serious public health threat to humans but also cause significant economic losses in the global livestock industry. The primary immunological challenge [...] Read more.
Background: Members of the virus family Herpesviridae are among the most successful pathogen groups in evolutionary history. They not only pose a serious public health threat to humans but also cause significant economic losses in the global livestock industry. The primary immunological challenge in developing sterilizing vaccines is the lifelong latency of herpesviruses in the nervous system or lymphoid tissues. Methods: This analysis compares the vaccine strategies designed against the five most important Alphaherpesvirinae pathogens: HSV-1/2, PRV, BHV-1, EHV-1/4, and FHV-1. The contrast between the globally licensed veterinary vaccines and the relative stagnation in the field of human HSV vaccines is stark. However, there are notable success stories regarding the implementation of ‘Marker Vaccines’ (DIVA strategies) in veterinary medicine. This review examines various vaccine modalities, assessing their potential to mitigate clinical outbreaks and their shortcomings in preventing viral shedding and establishing latency. Results: This study reveals common technical bottlenecks across species, attributed to immune evasion mechanisms such as the downregulation of MHC I, TAP inhibition, the failure to induce robust mucosal IgA, and safety concerns regarding the recombination of live vectors. Conclusions: This review highlights several promising avenues that could lead to enhanced herpesvirus vaccines and recommends the rational design of T-cell epitopes alongside innovative mucosal adjuvants. Furthermore, it bridges the gap between veterinary and human vaccinology from a One Health perspective, suggesting that lessons learned from veterinary practices could facilitate necessary breakthroughs in human medicine. Full article
(This article belongs to the Special Issue Vaccine and Vaccination in Veterinary Medicine)
15 pages, 2830 KB  
Article
Development of a Deep-Learning Model for Automated Detection and Quantification of Bleeding in Unilateral Biportal Endoscopic Spine Surgery
by Takaki Yoshimizu, Daisuke Sakai, Daiki Morita, Meng-Huang Wu, Teruaki Miyake, Sanshiro Saito, Tetsutaro Mizuno, Ushio Nosaka, Keisuke Ishii, Mizuki Watanabe and Kanji Sasaki
J. Clin. Med. 2026, 15(5), 1934; https://doi.org/10.3390/jcm15051934 - 4 Mar 2026
Viewed by 272
Abstract
Objectives: To develop and validate a deep-learning model capable of detecting and quantifying intraoperative bleeding to objectively evaluate visual field impairment in unilateral biportal endoscopic spine surgery (UBE). Methods: Overall, 223,568 still images were extracted from 20 UBE videos and used to train [...] Read more.
Objectives: To develop and validate a deep-learning model capable of detecting and quantifying intraoperative bleeding to objectively evaluate visual field impairment in unilateral biportal endoscopic spine surgery (UBE). Methods: Overall, 223,568 still images were extracted from 20 UBE videos and used to train a U-Net++ segmentation model based on the red masks generated using hue, saturation, and value (HSV) thresholding. The model was fine-tuned using 350 manually annotated images that differentiated clinically relevant bleeding (red masks) from non-bleeding red regions (zero masks). The model performance was evaluated against 180 ground-truth images annotated by three spine surgeons, which were extracted from videos that were separate from those used for training and fine-tuning. Dice and intersection-over-union (IoU) scores were calculated, and correlation analyses were performed based on inter-annotator agreement. Results: The HSV-based model reproduced the red regions with high fidelity; however, it showed limited agreement with the ground-truth bleeding regions (median Dice = 0.57, IoU = 0.40). The fine-tuned model improved substantially. For image-wise binary classification of bleeding presence, the model achieved an accuracy of 86%, with a sensitivity of 93% and a specificity of 60%. For pixel-level segmentation performance, the model achieved a median Dice score of 0.79 and a median IoU of 0.65 on ground-truth-positive images. Dice performance exceeded 0.80 in cases with strong inter-surgeon ground-truth concordance (≥0.80) and substantial bleeding area (>20%). Conclusions: This deep-learning model can accurately detect clinically meaningful intraoperative bleeding in UBE and quantify visual field impairments in still images and surgical videos. Future applications include the evaluation of hemostatic techniques, postoperative image-based assessment of surgical quality, and real-time intraoperative bleeding alerts to support surgical decision-making. Full article
Show Figures

Figure 1

20 pages, 900 KB  
Review
Plastic-Derived Pollutants as Emerging Modifiers of Viral Diseases
by Fatima Hisam, Ramina Kordbacheh, Ebenezer Senu, Spandan Mukherjee, Jon Sin and Erica L. Sanchez
Pathogens 2026, 15(3), 270; https://doi.org/10.3390/pathogens15030270 - 3 Mar 2026
Viewed by 446
Abstract
Plastic pollutants, including phthalates, bisphenol A (BPA), per- and polyfluoroalkyl substances (PFAS), and microplastics (MPs), are increasingly recognized as emerging environmental cofactors that intersect with infectious disease dynamics. These compounds, once considered inert, can alter immune function, reshape host–pathogen interactions, and directly influence [...] Read more.
Plastic pollutants, including phthalates, bisphenol A (BPA), per- and polyfluoroalkyl substances (PFAS), and microplastics (MPs), are increasingly recognized as emerging environmental cofactors that intersect with infectious disease dynamics. These compounds, once considered inert, can alter immune function, reshape host–pathogen interactions, and directly influence viral survival and transmission. In this review, we compile current evidence on the chemistry, environmental occurrence, and biological activity of major plastic-associated pollutants with emphasis on their role in viral infections. Phthalates such as di(2-ethylhexyl) phthalate (DEHP) and its metabolite MEHP modulate innate immune signaling and have been shown to exacerbate infections, including Dengue and Coxsackievirus B3. Other DEHP-like phthalates, such as dibutyl phthalate (DBP), exhibit consistent infection-enhancing effects, while high molecular weight or cyclical phthalates such as polyvinyl acetate phthalate (PVAP) display conflicting results in their modulation of viral infections. BPA, widely detected in human tissues, acts through endocrine and immune disruption, worsening viral myocarditis, and altering influenza outcomes. PFAS, persistent “forever chemicals,” reshape adaptive immune responses and are associated with increased susceptibility, viral persistence, or severity of infection of herpesvirus (HCMV, EBV, HSV-1), hepatitis virus, and influenza infection. Microplastics represent a distinct risk by acting as physical carriers for viruses and bacteria, stabilizing viral RNA, enhancing host cell uptake, and skewing immune responses. Together, these pollutants extend beyond toxicology into virology, providing novel insights into how environmental exposures converge with viral pathogenesis. We highlight mechanistic advances and critical knowledge gaps and propose future directions for integrating environmental health and infectious disease research. Full article
(This article belongs to the Section Viral Pathogens)
Show Figures

Figure 1

16 pages, 2189 KB  
Article
Glucocorticoid Receptor and Cell Cycle Regulator (E2F2) Cooperatively Transactivate a Cis-Regulatory Module in the HSV-1 Infected Cell Protein 0 (ICP0) Promoter
by Kaushalya Jayathilake, Vanessa Claire Santos and Clinton Jones
Cells 2026, 15(5), 445; https://doi.org/10.3390/cells15050445 - 2 Mar 2026
Viewed by 708
Abstract
Human alpha-herpesvirus 1 (HSV-1) acute infection culminates in life-long latency in sensory neurons in trigeminal ganglia and certain neurons in the central nervous system. Previously, E2F family members and glucocorticoid receptor (GR) were shown to stimulate HSV-1 and bovine herpesvirus 1 (BoHV-1) replication. [...] Read more.
Human alpha-herpesvirus 1 (HSV-1) acute infection culminates in life-long latency in sensory neurons in trigeminal ganglia and certain neurons in the central nervous system. Previously, E2F family members and glucocorticoid receptor (GR) were shown to stimulate HSV-1 and bovine herpesvirus 1 (BoHV-1) replication. Consequently, we hypothesized GR and E2F family members activate certain HSV-l promoters. To test this hypothesis, we determined if four HSV-1 ICP0 cis-regulatory modules (CRM) upstream of the ICP0 promoter were activated by E2F. GR and E2F2, but not E2F1, E2F3a, or E2F3b, cooperatively transactivate the ICP0 CRM-C, but not CRM-A, -B, or -D fragments upstream of a minimal promoter in a luciferase reporter construct. CRM-C sequences contain two E2F consensus binding sites, a GC-rich motif that E2F2 can bind, and a consensus ½ GR response element (GRE) adjacent to the consensus E2F #2 binding site. Mutating the ½ GRE or the 3 E2F binding sites significantly reduced GR- and E2F2-mediated transactivation. Chromatin immunoprecipitation studies revealed E2F2 occupied ICP0 CRM-C sequences during productive infection and mutating the E2F binding sites prevented E2F2 binding. These studies reveal GR and E2F2 transactivate ICP0-promoter activity, which may enhance viral replication in certain cell types. Full article
(This article belongs to the Special Issue Multifaceted Nature of Immune Responses to Viral Infection)
Show Figures

Figure 1

27 pages, 4313 KB  
Article
Phosphoproteome Remodeling upon CDK1 Inhibition Restricts HSV-1 IE Gene Transcription and Replication
by Maxim S. Rodzkin, Drew R. Honeycutt and David J. Davido
Cells 2026, 15(5), 407; https://doi.org/10.3390/cells15050407 - 26 Feb 2026
Viewed by 360
Abstract
Cyclin-dependent kinase 1 (CDK1) regulates multiple cellular processes that HSV-1 can exploit to promote its own replication, particularly during the early steps of lytic infection. We investigated whether CDK1 inhibition disrupts immediate-early (IE) gene expression and analyzed the host phosphoproteome early in infection [...] Read more.
Cyclin-dependent kinase 1 (CDK1) regulates multiple cellular processes that HSV-1 can exploit to promote its own replication, particularly during the early steps of lytic infection. We investigated whether CDK1 inhibition disrupts immediate-early (IE) gene expression and analyzed the host phosphoproteome early in infection to identify putative host factors and mechanisms that facilitate HSV-1 IE gene expression and are controlled by CDK1. Human foreskin fibroblasts (HFFs) were pre-treated with a CDK1 inhibitor and showed a 1000-fold reduction in HSV-1 replication and significant reductions in IE mRNAs and protein levels at 4 hpi. We characterized cells after CDK1 inhibition and HSV-1 infection at 3 hpi by tandem mass spectrometry and identified >5500 phosphopetides (~2600 proteins), analyzing differential phosphorylation and protein–protein interactions. We validated CDK1 inhibition by detecting phosphorylation-specific decreases in known CDK1 substrates, as well as Robust Kinase Activity Inference. Rank- and network-based analyses of our dataset highlighted several candidate proteins, linking their CDK-directed phosphorylation to HSV-1 IE gene expression. Notably, the C-terminal domain of the large subunit of RNA polymerase II (RNAPII), POLR2A, is extensively phosphorylated, and its phosphorylation is significantly reduced upon CDK1 inhibition during viral infection. Taken together, these data support a model in which CDK1 activity maintains a transcriptionally permissive cellular state required for efficient HSV-1 IE gene expression. Our data suggest that when CDK1 is pharmacologically inhibited, key transcriptional facilitators are dysregulated, impairing viral transcription and replication. Full article
(This article belongs to the Section Cell Signaling)
Show Figures

Figure 1

Back to TopTop