Sign in to use this feature.

Years

Between: -

Subjects

remove_circle_outline
remove_circle_outline
remove_circle_outline
remove_circle_outline

Journals

Article Types

Countries / Regions

Search Results (36)

Search Parameters:
Keywords = AA-amyloidosis

Order results
Result details
Results per page
Select all
Export citation of selected articles as:
14 pages, 1609 KB  
Review
Multimodal Diagnosis of Cardiac Amyloidosis: Integrating Imaging, Histochemistry, and Proteomics of Precise Typing
by Jakub Kancerek, Łukasz Zniszczoł, Piotr Lewandowski and Romuald Wojnicz
Int. J. Mol. Sci. 2026, 27(2), 820; https://doi.org/10.3390/ijms27020820 - 14 Jan 2026
Viewed by 68
Abstract
Amyloidosis is a group of disorders caused by extracellular deposition of insoluble fibrillar proteins, leading to progressive organ dysfunction. Cardiac amyloidosis is clinically significant, as myocardial infiltration results in restrictive cardiomyopathy, arrhythmias, and heart failure. The main subtypes are light-chain (AL) and transthyretin [...] Read more.
Amyloidosis is a group of disorders caused by extracellular deposition of insoluble fibrillar proteins, leading to progressive organ dysfunction. Cardiac amyloidosis is clinically significant, as myocardial infiltration results in restrictive cardiomyopathy, arrhythmias, and heart failure. The main subtypes are light-chain (AL) and transthyretin (ATTR) amyloidosis, while AA and isolated atrial amyloidosis (IAA) are less common. Accurate subtype identification is crucial for management and prognosis. Diagnosis requires a multimodal approach combining imaging and tissue-based techniques. Echocardiography is usually first-line, showing increased wall thickness, biatrial enlargement, and apical sparing. Cardiac magnetic resonance (CMR) provides superior tissue characterization through late gadolinium enhancement and elevated extracellular volume. Nuclear scintigraphy with 99mTc-labeled tracers enables non-invasive ATTR detection, while amyloid-specific PET tracers show potential for early diagnosis. Histochemical confirmation remains essential. Congo Red staining with apple-green birefringence under polarized light is the diagnostic gold standard, supported by Thioflavin T, PAS, and Alcian Blue stains. Immunohistochemistry and mass spectrometry aid amyloid typing, while electron microscopy provides ultrastructural confirmation. Integrating imaging, histochemical, immunohistochemical, and proteomic techniques enhances early recognition and precise classification, improving therapeutic strategies and patient outcomes. Full article
(This article belongs to the Special Issue Myocardial Disease: Molecular Pathology and Treatments)
Show Figures

Figure 1

18 pages, 2258 KB  
Review
The Interplay Between Rheumatoid Arthritis and Chronic Kidney Disease: From Mechanisms to Treatment
by Kunihiro Ichinose
J. Clin. Med. 2026, 15(1), 108; https://doi.org/10.3390/jcm15010108 - 23 Dec 2025
Viewed by 529
Abstract
Chronic kidney disease (CKD) is a frequent and clinically significant comorbidity in patients with rheumatoid arthritis (RA), with a reported prevalence ranging from 20% to 50% depending on the cohort and definition applied. The high burden of CKD in RA reflects the complex [...] Read more.
Chronic kidney disease (CKD) is a frequent and clinically significant comorbidity in patients with rheumatoid arthritis (RA), with a reported prevalence ranging from 20% to 50% depending on the cohort and definition applied. The high burden of CKD in RA reflects the complex interplay between traditional risk factors (aging, hypertension, diabetes, and dyslipidemia) and RA-specific factors such as persistent systemic inflammation, immune complex deposition, and long-term exposure to nephrotoxic agents, including older DMARDs (gold, D-penicillamine) and calcineurin inhibitors. Histopathologically, RA-associated kidney involvement encompasses a broad spectrum of conditions, including mesangial proliferative glomerulonephritis, membranous nephropathy, AA amyloidosis, and drug-induced interstitial nephritis. Recent advances in RA therapy, particularly the widespread use of biologic DMARDs, have markedly reduced the incidence of AA amyloidosis and may exert indirect renoprotective effects through stringent inflammation control. However, targeted synthetic DMARDs such as Janus kinase (JAK) inhibitors require careful dose adjustment in CKD and heightened infection vigilance. CKD in RA is a strong predictor of cardiovascular events, serious infections, and all-cause mortality. Importantly, recent data indicate that even low-grade albuminuria below the traditional microalbuminuria threshold is associated with excess mortality in RA. Early detection through routine monitoring of eGFR and urinary albumin-to-creatinine ratio (uACR), combined with individualized pharmacologic adjustment and close collaboration with nephrologists, is essential for optimizing long-term outcomes. This review provides an updated synthesis of the epidemiology, pathophysiological mechanisms, therapeutic strategies, and prognostic implications of CKD in RA, with a particular focus on both Japanese and international evidence. Full article
(This article belongs to the Special Issue Rheumatoid Arthritis: Clinical Updates on Diagnosis and Treatment)
Show Figures

Figure 1

10 pages, 2545 KB  
Case Report
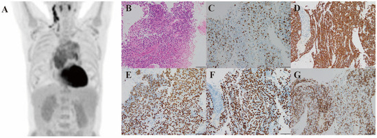
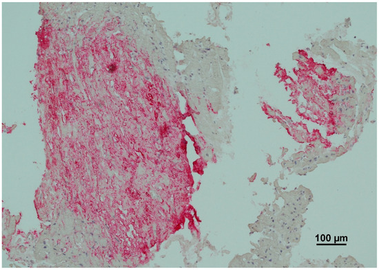
Amyloid A Amyloidosis Secondary to Thymoma
by Mengyuan Li, Su Yao, Lingji Zeng and Jinghua Wang
Diagnostics 2025, 15(23), 3040; https://doi.org/10.3390/diagnostics15233040 - 28 Nov 2025
Viewed by 489
Abstract
Background: Amyloid A (AA) amyloidosis is commonly secondary to chronic inflammatory diseases or malignant neoplasms. Many types of cancers have been described as inducing AA amyloidosis, usually presenting with kidney involvement. However, there are no reported cases of concurrent thymoma and AA amyloidosis. [...] Read more.
Background: Amyloid A (AA) amyloidosis is commonly secondary to chronic inflammatory diseases or malignant neoplasms. Many types of cancers have been described as inducing AA amyloidosis, usually presenting with kidney involvement. However, there are no reported cases of concurrent thymoma and AA amyloidosis. Case Presentation: We describe a 52-year-old male presenting chest tightness. Through a series of examinations, the patient was ultimately confirmed to have AA amyloidosis secondary to thymoma, with kidney, cardiac, nerve, and soft tissue involvement. Conclusions: This case represents, to our knowledge, the first reported case of systemic AA amyloidosis occurring secondary to thymoma. It highlights thymoma as a potential underlying cause of AA amyloidosis, likely due to a chronic inflammatory response driven by the tumor. This association complicates clinical management and prognosis, requiring a heightened awareness of amyloidosis in thymoma patients who present with unexplained multi-organ dysfunction. Full article
(This article belongs to the Section Pathology and Molecular Diagnostics)
Show Figures

Figure 1

14 pages, 652 KB  
Review
The Inflammatory Role of Serum Amyloid A in the Pathogenesis and Progression of Diabetic Nephropathy
by Antigoni Stavrou, Christina A. Kousparou and Argyrios Tsakalis
J. Clin. Med. 2025, 14(23), 8427; https://doi.org/10.3390/jcm14238427 - 27 Nov 2025
Viewed by 1082
Abstract
Diabetic nephropathy (DN) remains the leading cause of end-stage renal disease (ESRD) worldwide, primarily affecting individuals with Type 2 Diabetes Mellitus (T2DM). While traditional risk factors—such as hypertension, poor glycemic control, and dyslipidemia—are well known, recent research has illuminated the pivotal role of [...] Read more.
Diabetic nephropathy (DN) remains the leading cause of end-stage renal disease (ESRD) worldwide, primarily affecting individuals with Type 2 Diabetes Mellitus (T2DM). While traditional risk factors—such as hypertension, poor glycemic control, and dyslipidemia—are well known, recent research has illuminated the pivotal role of inflammation in DN pathogenesis. Inflammatory processes involving chemokines, cytokines, immune cell infiltration, and pro-fibrotic signaling pathways (e.g., NFκB, JAK/STAT) contribute significantly to glomerular and tubulointerstitial damage. Key immune players include macrophages and T lymphocytes, particularly CD4+ T cells, which correlate with disease severity and progression. Serum Amyloid A (SAA), an acute-phase reactant traditionally associated with Serum Amyloid A Amyloidosis (AA amyloidosis), has emerged as both a biomarker and active mediator of renal inflammation in DN. SAA promotes cytokine release, leukocyte recruitment, and extracellular matrix remodeling, contributing to glomerular and tubular injury. Elevated Saa3 expression in experimental models correlates with DN progression, while activation of the advanced glycation end products and the receptors for advanced glycation end products (AGE–RAGE) axis in podocytes enhances SAA upregulation and inflammatory signaling. Increasing evidence now indicates that SAA functions, not only as a marker of systemic inflammation, but also as a mechanistically significant driver of intrarenal injury, bridging metabolic dysregulation with sustained inflammatory and fibrotic signaling. Emerging therapeutic approaches—including interleukin 6 (IL-6) blockade, inhibition of AGE formation, targeted anti-fibrotic agents, and recently developed SAA-directed RNA or peptide therapeutics—underscore the therapeutic potential of modulating SAA activity in DN. Preclinical evidence further supports the efficacy of monoclonal antibodies, signaling inhibitors, and dietary anti-inflammatory compounds in mitigating renal injury. Collectively, these developments position SAA as a central mediator at the intersection of metabolic, inflammatory, and fibrotic pathways, highlighting its promise as both a diagnostic biomarker and a therapeutic target for early intervention in diabetic kidney disease. Full article
(This article belongs to the Section Nephrology & Urology)
Show Figures

Figure 1

13 pages, 2110 KB  
Article
Comparative Histopathological Characteristics of Duodenal Involvement in Different Types of Amyloidosis
by Anna Tebenkova, Zarina Gioeva, Nikolay Shakhpazyan, Valentina Pechnikova, Konstantin Midiber, Vladislav Kalmykov and Liudmila Mikhaleva
Biomedicines 2025, 13(9), 2196; https://doi.org/10.3390/biomedicines13092196 - 8 Sep 2025
Viewed by 3210
Abstract
Background/Objectives: The duodenum is commonly involved in systemic amyloidosis. This retrospective observational study describes histoanatomical distributions of different types of duodenal amyloidosis to improve the diagnostic value of duodenal biopsies. Methods: We examined 21 biopsy and 16 autopsy specimens from duodenal [...] Read more.
Background/Objectives: The duodenum is commonly involved in systemic amyloidosis. This retrospective observational study describes histoanatomical distributions of different types of duodenal amyloidosis to improve the diagnostic value of duodenal biopsies. Methods: We examined 21 biopsy and 16 autopsy specimens from duodenal amyloidosis patients. Immunohistochemical typing was performed using a broad panel of antibodies against different amyloid types. Results: AL lambda amyloidosis was determined in 5 (13%) biopsies and 7 (18%) autopsies, exhibiting interstitial and intravascular amyloid deposition patterns in 11 (92%) cases; AL kappa amyloidosis—in 7 (18%) biopsies and 1 (3%) autopsy, presenting with a combined interstitial and intravascular deposition pattern in 6 (75%) cases; transthyretin amyloidosis—in 2 (5%) biopsies and 2 (5%) autopsies, showing focal interstitial and intravascular deposits; and AA amyloidosis—in 7 (19%) biopsies and 6 (16%) autopsies, demonstrating a combined pattern of amyloid deposition. Regardless of the specific amyloid type, in 33 (89%) of 37 cases, amyloid deposits were determined in the muscularis mucosae and submucosa of the small intestine, while in the lamina propria, amyloid depositions were found only in 29 (78%) cases. Conclusions: When diagnosing duodenal amyloidosis, superficial biopsies can lead to false negative results. This is particularly true for ATTR amyloidosis, where mucosal involvement is rare. The most extensive amyloid deposits were observed in AL kappa amyloidosis. Gastrointestinal bleeding was a more frequent complication of AA amyloidosis stemming from the extensive amyloid deposits within the lamina propria which cause vascular fragility and friability. Full article
(This article belongs to the Section Molecular and Translational Medicine)
Show Figures

Figure 1

10 pages, 1165 KB  
Brief Report
Serum Amyloid A3 Expression Is Enhanced by Gram-Negative Bacterial Stimuli in Bovine Endometrial Epithelial Cells
by Kazuha Aoyagi, Keishi Owaki, Hiroki Sakai, Ayaka Okada and Yasuo Inoshima
Pathogens 2025, 14(8), 729; https://doi.org/10.3390/pathogens14080729 - 23 Jul 2025
Viewed by 803
Abstract
Bovine endometritis is a common postpartum disease that significantly impairs reproductive performance and reduces economic sustainability in dairy and beef cattle. It is primarily caused by gram-negative and -positive bacteria, triggering strong inflammatory responses in the endometrium. Serum amyloid A (SAA) is an [...] Read more.
Bovine endometritis is a common postpartum disease that significantly impairs reproductive performance and reduces economic sustainability in dairy and beef cattle. It is primarily caused by gram-negative and -positive bacteria, triggering strong inflammatory responses in the endometrium. Serum amyloid A (SAA) is an acute-phase protein and precursor of amyloid A (AA) in AA amyloidosis. In cattle, multiple SAA isoforms have been identified; however, the biological functions of SAA3 remain unclear. Hence, this study investigated the role of SAA3 in bovine endometrial epithelial cells (BEnEpCs) following stimulation with gram-negative or -positive bacterial antigens. BEnEpCs were treated with lipopolysaccharide (LPS) and lipoteichoic acid (LTA) and, subsequently, the expression levels of SAA3 and SAA1 mRNA were compared by real-time PCR. To further investigate protein-level changes, immunocytochemistry (ICC) was performed to assess the expressions of SAA3 and SAA1. These analyses revealed that SAA3 mRNA expression was significantly enhanced by LPS and LTA, whereas SAA1 mRNA remained undetectable or showed only minimal responsiveness. Notably, only SAA3 protein expression increased in response to stimulation. These results indicate that SAA3 plays a crucial role in the innate immune response of BEnEpCs against gram-negative bacteria. Our in vitro findings may facilitate understanding of the innate immune activity in bovine uterus. Full article
Show Figures

Figure 1

10 pages, 1531 KB  
Case Report
A Rare Case of Cerebral Amyloidoma Mimicking Thalamic Glioma in a Rheumatoid Arthritis Patient
by Elyaa Saleh, Nour Abdelaziz, Malaak Ramahi, Antonia Loukousia, Theodossios Birbilis and Dimitrios Kanakis
Pathophysiology 2025, 32(3), 31; https://doi.org/10.3390/pathophysiology32030031 - 1 Jul 2025
Viewed by 1176
Abstract
Amyloidosis, often referred to as “the great imitator”, is a condition characterized by the abnormal deposition of amyloid proteins in various tissues, potentially leading to organ dysfunction. When these deposits localize in the brain, they can disrupt neurological function and present with diverse [...] Read more.
Amyloidosis, often referred to as “the great imitator”, is a condition characterized by the abnormal deposition of amyloid proteins in various tissues, potentially leading to organ dysfunction. When these deposits localize in the brain, they can disrupt neurological function and present with diverse clinical manifestations, making diagnosis particularly challenging. Cerebral amyloidosis is a rare entity that frequently mimics other neurological disorders, often resulting in significant delays in recognition and management. This case highlights the diagnostic challenge posed by cerebral amyloidosis and underscores its unique presentation. We present the case of a 76-year-old male with a history of rheumatoid arthritis (RA) who developed progressive right-sided weakness over several months. Three years prior, he experienced numbness on the right side of his face and upper limb. Initial imaging identified a small lesion in the left thalamic region, which was originally diagnosed as a glioma. However, due to the worsening of his clinical symptoms, further evaluation was warranted. Subsequent imaging revealed lesion growth, prompting a biopsy that ultimately confirmed the diagnosis of intracerebral amyloidoma. This case underscores the necessity of considering amyloidosis in the differential diagnosis of atypical neurological deficits, particularly in patients with systemic inflammatory conditions such as RA. The initial presentation of hemiparesis resembling a stroke, coupled with non-specific imaging findings and a prior misdiagnosis of glioma, highlights the complexity of cerebral amyloidosis. Only through brain biopsy was the definitive diagnosis established, emphasizing the need for improved diagnostic modalities to facilitate early detection. Further subtyping of amyloidosis, however, requires mass spectrometry-based proteomics or immunohistochemistry to accurately identify the specific amyloid protein involved. Clinicians should maintain a high index of suspicion for cerebral amyloidosis in patients with RA who present with progressive neurological deficits and atypical brain lesions. Early recognition and accurate diagnosis are essential to guiding appropriate management and improving patient outcomes. Full article
(This article belongs to the Section Systemic Pathophysiology)
Show Figures

Figure 1

17 pages, 2832 KB  
Systematic Review
Digestive Amyloidosis Trends: Clinical, Pathological, and Imaging Characteristics
by Sandica Bucurica, Andreea-Simona Nancoff, Miruna Valeria Moraru, Ana Bucurica, Calin Socol, Daniel-Vasile Balaban, Mihaela Raluca Mititelu, Ionela Maniu, Florentina Ionita-Radu and Mariana Jinga
Biomedicines 2024, 12(11), 2630; https://doi.org/10.3390/biomedicines12112630 - 17 Nov 2024
Cited by 4 | Viewed by 3268
Abstract
Amyloidosis is a group of diseases characterized by the extracellular deposition of abnormally folded, insoluble proteins that lead to organ dysfunction. While it commonly affects the cardiovascular system, gastrointestinal (GI) tract involvement is undetermined. Recent research has focused on understanding the pathophysiology, diagnostic [...] Read more.
Amyloidosis is a group of diseases characterized by the extracellular deposition of abnormally folded, insoluble proteins that lead to organ dysfunction. While it commonly affects the cardiovascular system, gastrointestinal (GI) tract involvement is undetermined. Recent research has focused on understanding the pathophysiology, diagnostic challenges, and therapeutic approaches to GI amyloidosis, particularly in systemic amyloid light-chain (AL) and amyloid A (AA) forms. GI manifestations can include motility disorders, bleeding, and, in severe cases, bowel obstruction. This review highlights the importance of the early recognition of digestive symptoms and associated imagistic findings in GI amyloidosis by analyzing the research that included clinical, pathological, and endoscopic approaches to amyloidosis. A systematic search of the PubMed and Scopus databases identified 19 relevant studies. Our findings showed that amyloid deposits commonly affect the entire GI tract, with AL amyloidosis being the most predominant form. Endoscopic evaluations and biopsy remain key diagnostic tools, with Congo Red staining and mass spectrometry being used to confirm amyloid type. Although progress has been made in diagnosis, the absence of targeted therapies and the indistinct nature of GI symptoms continue to be challenging. Full article
Show Figures

Figure 1

11 pages, 3451 KB  
Article
Real-Time 3D Imaging and Inhibition Analysis of Human Serum Amyloid A Aggregations Using Quantum Dots
by Liangquan Shi, Gegentuya Huanood, Shuto Miura, Masahiro Kuragano and Kiyotaka Tokuraku
Int. J. Mol. Sci. 2024, 25(20), 11128; https://doi.org/10.3390/ijms252011128 - 16 Oct 2024
Viewed by 1489
Abstract
Serum amyloid A (SAA) is one of the most important precursor amyloid proteins discovered during the study of amyloidosis, but its underlying aggregation mechanism has not yet been well elucidated. Since SAA aggregation is a key step in the pathogenesis of AA amyloidosis, [...] Read more.
Serum amyloid A (SAA) is one of the most important precursor amyloid proteins discovered during the study of amyloidosis, but its underlying aggregation mechanism has not yet been well elucidated. Since SAA aggregation is a key step in the pathogenesis of AA amyloidosis, amyloid inhibitors can be used as a tool to study its pathogenesis. Previously, we reported a novel microliter-scale high-throughput screening (MSHTS) system for screening amyloid β (Aβ) aggregation inhibitors based on quantum dot (QD) fluorescence imaging technology. In this study, we report the aggregation of human SAA (hSAA) in phosphate-buffered saline, in which we successfully visualized hSAA aggregation by QD using fluorescence microscopy and confocal microscopy. Two-dimensional and three-dimensional image analyses showed that most aggregations were observed at 40 μM hSAA, which was the optimal aggregation concentration in vitro. The accuracy of this finding was verified by a Thioflavin T assay. The transmission electron microscopy results showed that QD uniformly bound to hSAA aggregation. hSAA aggregation inhibitory activity was also evaluated by rosmarinic acid (RA). The results showed that RA, which is a compound with high inhibitory activity against Aβ aggregation, also exhibited high inhibitory activity against 40 μM hSAA. These results indicate that the MSHTS system is an effective tool for visualizing hSAA aggregation and for screening highly active inhibitors. Full article
(This article belongs to the Special Issue Quantum Dots for Biomedical Applications)
Show Figures

Figure 1

15 pages, 4793 KB  
Article
Histopathological and Immunohistochemical Characteristics of Different Types of Cardiac Amyloidosis
by Zarina V. Gioeva, Liudmila M. Mikhaleva, Nikita A. Gutyrchik, Alexey V. Volkov, Mikhail A. Popov, Nikolay K. Shakhpazyan, Valentina V. Pechnikova, Konstantin Y. Midiber, Elena V. Reznik and Lev V. Kakturskij
Int. J. Mol. Sci. 2024, 25(19), 10667; https://doi.org/10.3390/ijms251910667 - 3 Oct 2024
Cited by 4 | Viewed by 3320
Abstract
Cardiac involvement is the most important factor determining prognosis in patients with systemic amyloidosis. This retrospective observational study of 98 patients with amyloidosis was undertaken to assess the amyloid types that are most likely to affect the heart, describe histopathological and clinical features [...] Read more.
Cardiac involvement is the most important factor determining prognosis in patients with systemic amyloidosis. This retrospective observational study of 98 patients with amyloidosis was undertaken to assess the amyloid types that are most likely to affect the heart, describe histopathological and clinical features of cardiac amyloidosis, and estimate the number of cases not diagnosed clinically prior to death. All cases were divided into two groups based on the method of examination. The first group included 46 patients with cardiac amyloidosis revealed via endomyocardial biopsies (EMBs), and the second group included 52 amyloidosis patients who did not undergo EMBs, in whom cardiac involvement was identified only at autopsy. The EMBs demonstrated that AL amyloidosis was detected in 21 (46%) specimens, ATTR amyloid in 24 cases (52%), and AA amyloid in 1 case (2%). The autopsy reports defined 15 (46%) cases of AL amyloidosis, 21 (40%) of ATTR and 16 (31%) of AA amyloidosis. It should be noted that a clinical diagnosis of ATTR amyloidosis was made only in 9.5% of patients from the autopsy group, suggesting that ATTR may be an underdiagnosed cause of heart failure in elderly patients. The most intense amyloid deposits were determined in biopsy and autopsy specimens of patients with AL kappa amyloidosis, underlying a poorer prognosis. Full article
(This article belongs to the Section Molecular Pathology, Diagnostics, and Therapeutics)
Show Figures

Figure 1

20 pages, 4321 KB  
Article
HGA Triggers SAA Aggregation and Accelerates Fibril Formation in the C20/A4 Alkaptonuria Cell Model
by Pierfrancesco Mastroeni, Alfonso Trezza, Michela Geminiani, Luisa Frusciante, Anna Visibelli and Annalisa Santucci
Cells 2024, 13(17), 1501; https://doi.org/10.3390/cells13171501 - 7 Sep 2024
Cited by 4 | Viewed by 2044
Abstract
Alkaptonuria (AKU) is a rare autosomal recessive metabolic disorder caused by mutations in the homogentisate 1,2-dioxygenase (HGD) gene, leading to the accumulation of homogentisic acid (HGA), causing severe inflammatory conditions. Recently, the presence of serum amyloid A (SAA) has been reported in AKU [...] Read more.
Alkaptonuria (AKU) is a rare autosomal recessive metabolic disorder caused by mutations in the homogentisate 1,2-dioxygenase (HGD) gene, leading to the accumulation of homogentisic acid (HGA), causing severe inflammatory conditions. Recently, the presence of serum amyloid A (SAA) has been reported in AKU tissues, classifying AKU as novel secondary amyloidosis; AA amyloidosis is characterized by the extracellular tissue deposition of fibrils composed of fragments of SAA. AA amyloidosis may complicate several chronic inflammatory conditions, like rheumatoid arthritis, ankylosing spondylitis, inflammatory bowel disease, chronic infections, neoplasms, etc. Treatments of AA amyloidosis relieve inflammatory disorders by reducing SAA concentrations; however, no definitive therapy is currently available. SAA regulation is a crucial step to improve AA secondary amyloidosis treatments. Here, applying a comprehensive in vitro and in silico approach, we provided evidence that HGA is a disruptor modulator of SAA, able to enhance its polymerization, fibril formation, and aggregation upon SAA/SAP colocalization. In silico studies deeply dissected the SAA misfolding molecular pathway and SAA/HGA binding, suggesting novel molecular insights about it. Our results could represent an important starting point for identifying novel therapeutic strategies in AKU and AA secondary amyloidosis-related diseases. Full article
Show Figures

Figure 1

25 pages, 7341 KB  
Review
Implication of the LRR Domain in the Regulation and Activation of the NLRP3 Inflammasome
by Margaux Cescato, Yixiang Y J Zhu, Laurent Le Corre, Bénédicte F Py, Sophie Georgin-Lavialle and Mathieu P Rodero
Cells 2024, 13(16), 1365; https://doi.org/10.3390/cells13161365 - 16 Aug 2024
Cited by 11 | Viewed by 3889
Abstract
The NLRP3 inflammasome is a critical component of the innate immune response. NLRP3 activation is a tightly controlled process involving an initial priming to express NLRP3, pro-IL-1 β, and pro-IL-18, followed by an activation signal. The precise mechanism of activation is not fully [...] Read more.
The NLRP3 inflammasome is a critical component of the innate immune response. NLRP3 activation is a tightly controlled process involving an initial priming to express NLRP3, pro-IL-1 β, and pro-IL-18, followed by an activation signal. The precise mechanism of activation is not fully understood due to the diverse range of activators, yet it effectively orchestrates the activation of caspase-1, which subsequently triggers the release of proinflammatory cytokines IL-1β and IL-18. NLRP3 dysregulation can lead to a variety of inflammatory diseases, highlighting its significant role in immune response and disease pathogenesis. NLRP3 is divided into three domains: the PYD, the NACHT, and the LRR domains. This review focuses on the LRR domain of NLRP3, detailing its structural characteristics, its function in pathogen sensing, its role in the degradation process, and its involvement in inflammasome auto-inhibition and activation. Additionally, we discuss the impact of mutations within the LRR domain found in atypical Cryopyrin-Associated Periodic Syndromes (CAPS), highlighting the clinical relevance of this domain. Full article
Show Figures

Figure 1

10 pages, 1042 KB  
Article
Non-Cardiac Amyloidosis Findings Are Not Increased in African American Carriers of TTR V142I with Heart Failure and/or Arrhythmia
by Scott Kaniper, Dorret Lynch, Samuel M. Owens, Larisa Ibric, Yuliya Vabishchevich, Nana Nyantakyi, Fan Chun, Lionel Sam, Carly Fabrizio, Eman Hamad and Glenn S. Gerhard
J. Pers. Med. 2024, 14(3), 271; https://doi.org/10.3390/jpm14030271 - 29 Feb 2024
Viewed by 3089
Abstract
Transthyretin amyloid cardiomyopathy (ATTR-CM) is a progressive systemic disease involving the extracellular deposition of misfolded transthyretin protein. The hereditary subtype is caused by mutations in the transthyretin (TTR) gene. An estimated 2–3% of individuals of African American (AA) ancestry carry the p.Val142Ile [...] Read more.
Transthyretin amyloid cardiomyopathy (ATTR-CM) is a progressive systemic disease involving the extracellular deposition of misfolded transthyretin protein. The hereditary subtype is caused by mutations in the transthyretin (TTR) gene. An estimated 2–3% of individuals of African American (AA) ancestry carry the p.Val142Ile (V142I, also referred to as V122I) TTR pathogenic variant. The non-specific clinical nature of ATTR-CM makes it challenging to diagnose clinically, and the high allele frequency of TTR V142I suggests that many patients with hereditary ATTR-CM may not have been tested. An analysis of electronic health record data from over 13,000 AA patients with a diagnostic code for heart disease or arrhythmia who also had additional amyloid-related findings were not diagnosed with amyloidosis at higher rates than those with heart failure or arrhythmia who did not have additional amyloid-related clinical diagnoses. Similarly, after genotyping 666 AA patients with heart failure or arrhythmia, TTR V142I carriers appeared to be clinically indistinguishable based on amyloid-related non-cardiac diagnoses from those who did not carry the allele. No additional TTR gene sequence variants were found in the TTR wildtype V142V patients with heart failure or arrhythmia who had additional amyloid-related diagnoses. Genetic testing for ATTR-CM may be important for timely diagnosis. Full article
(This article belongs to the Section Omics/Informatics)
Show Figures

Figure 1

11 pages, 596 KB  
Article
Single Nucleotide Polymorphisms Associated with AA-Amyloidosis in Siamese and Oriental Shorthair Cats
by Stella L. Esders, Kirsten Hülskötter, Tom Schreiner, Peter Wohlsein, Jessica Schmitz, Jan H. Bräsen and Ottmar Distl
Genes 2023, 14(12), 2126; https://doi.org/10.3390/genes14122126 - 25 Nov 2023
Cited by 1 | Viewed by 2225
Abstract
AA-amyloidosis in Siamese and Oriental shorthair cats is a lethal condition in which amyloid deposits accumulate systemically, especially in the liver and the thyroid gland. The age at death of affected cats varies between one and seven years. A previous study indicated a [...] Read more.
AA-amyloidosis in Siamese and Oriental shorthair cats is a lethal condition in which amyloid deposits accumulate systemically, especially in the liver and the thyroid gland. The age at death of affected cats varies between one and seven years. A previous study indicated a complex mode of inheritance involving a major locus. In the present study, we performed a multi-locus genome-wide association study (GWAS) using five methods (mrMLM, FASTmrMLM, FASTmrEMMA, pLARmEB and ISIS EM-BLASSO) to identify variants associated with AA-amyloidosis in Siamese/Oriental cats. We genotyped 20 affected mixed Siamese/Oriental cats from a cattery and 48 healthy controls from the same breeds using the Illumina Infinium Feline 63 K iSelect DNA array. The multi-locus GWAS revealed eight significantly associated single nucleotide polymorphisms (SNPs) on FCA A1, D1, D2 and D3. The genomic regions harboring these SNPs contain 55 genes, of which 3 are associated with amyloidosis in humans or mice. One of these genes is SAA1, which encodes for a member of the Serum Amyloid A family, the precursor protein of Amyloid A, and a mutation in the promotor of this gene causes hereditary AA-amyloidosis in humans. These results provide novel knowledge regarding the complex genetic background of hereditary AA-amyloidosis in Siamese/Oriental cats and, therefore, contribute to future genomic studies of this disease in cats. Full article
(This article belongs to the Section Animal Genetics and Genomics)
Show Figures

Figure 1

15 pages, 10381 KB  
Article
Pathomorphological Features of the Novel Coronavirus Disease in Patients with Systemic Amyloidosis
by Liudmila Mikhaleva, Zarina Gioeva, Valery Varyasin, Elvira Berezhnaja, Rositsa Vandysheva, Nikita Gutyrchik, Valentina Pechnikova, Andrej Kontorshchikov, Konstantin Midiber and Lev Kakturskij
Biomedicines 2023, 11(10), 2811; https://doi.org/10.3390/biomedicines11102811 - 17 Oct 2023
Cited by 2 | Viewed by 1813
Abstract
Amyloidosis is one of the rare systemic illnesses characterized by the deposition of amyloid fibrils in various organs and tissues. There is a common point between COVID-19 and systemic amyloidosis regarding the multiorgan involvement in the pathological process which leads to a heightened [...] Read more.
Amyloidosis is one of the rare systemic illnesses characterized by the deposition of amyloid fibrils in various organs and tissues. There is a common point between COVID-19 and systemic amyloidosis regarding the multiorgan involvement in the pathological process which leads to a heightened risk for severe morbidity and mortality in amyloidosis patients who contracted COVID-19. We performed a pathomorphological analysis of the autopsy records of 22 patients who had COVID-19 and pre-existing systemic amyloidosis. The premortem diagnosis of systemic amyloidosis was established in 55% of patients, and in other 45% of cases, amyloidosis was found at autopsy. Based on the results of immunohistochemical amyloid typing, amyloid A (AA) amyloidosis was detected in 23%, amyloid light chain (AL) lambda in 32%, AL kappa–in 9%, and transthyretin (ATTR) amyloidosis–in 36% of observations. Immunohistochemical staining with an antibody against SARS-CoV-2 Spike (S) protein revealed positive immune reactions in type II alveolocytes in 59% of deceased persons. The analysis of autopsy findings indicates that patients with systemic amyloidosis are more likely to experience an aggressive clinical course of COVID-19 which leads to a multiorgan failure and a higher risk of fatal outcome. Full article
(This article belongs to the Section Cell Biology and Pathology)
Show Figures

Figure 1

Back to TopTop