A Rare Case of Cerebral Amyloidoma Mimicking Thalamic Glioma in a Rheumatoid Arthritis Patient
Abstract
1. Introduction
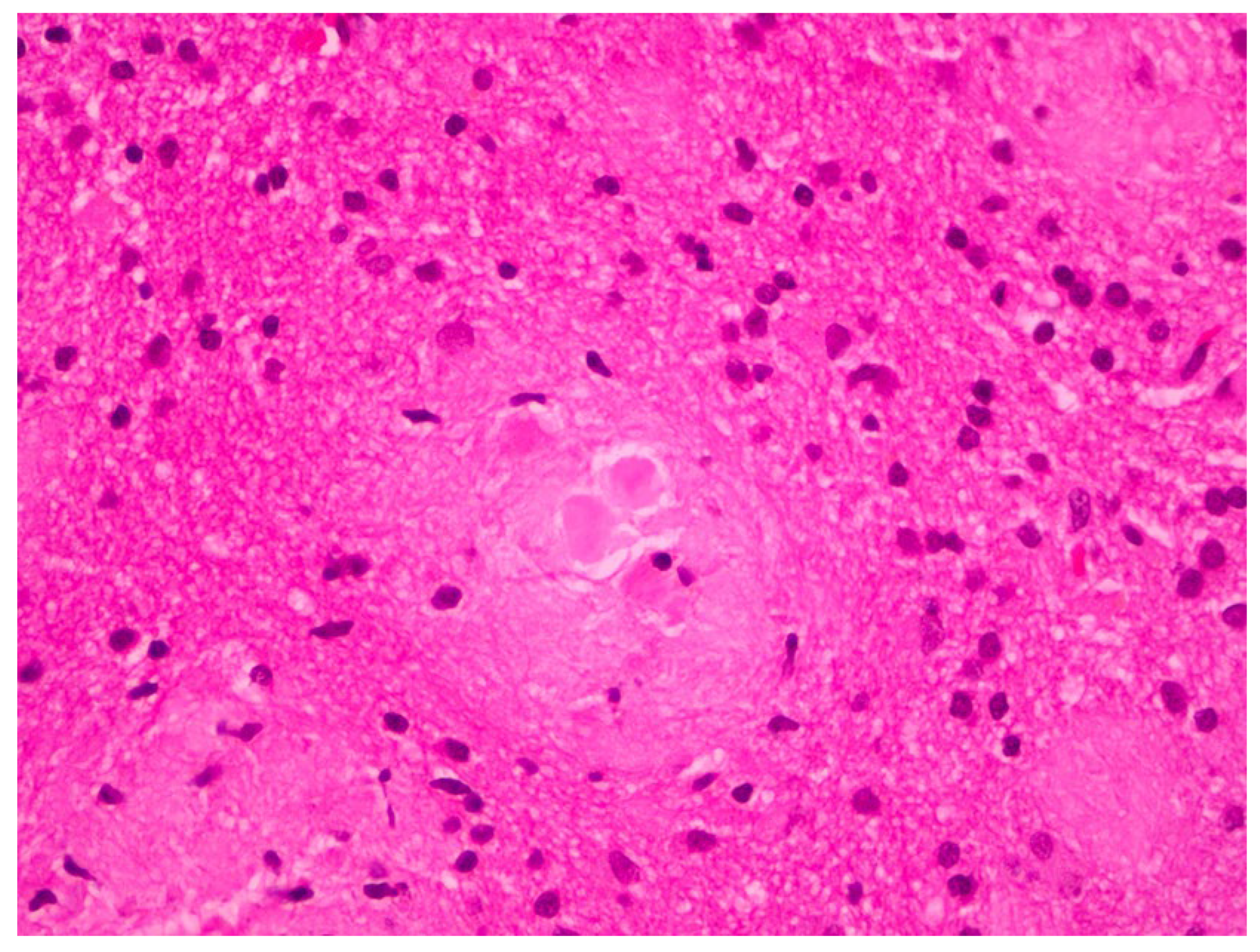
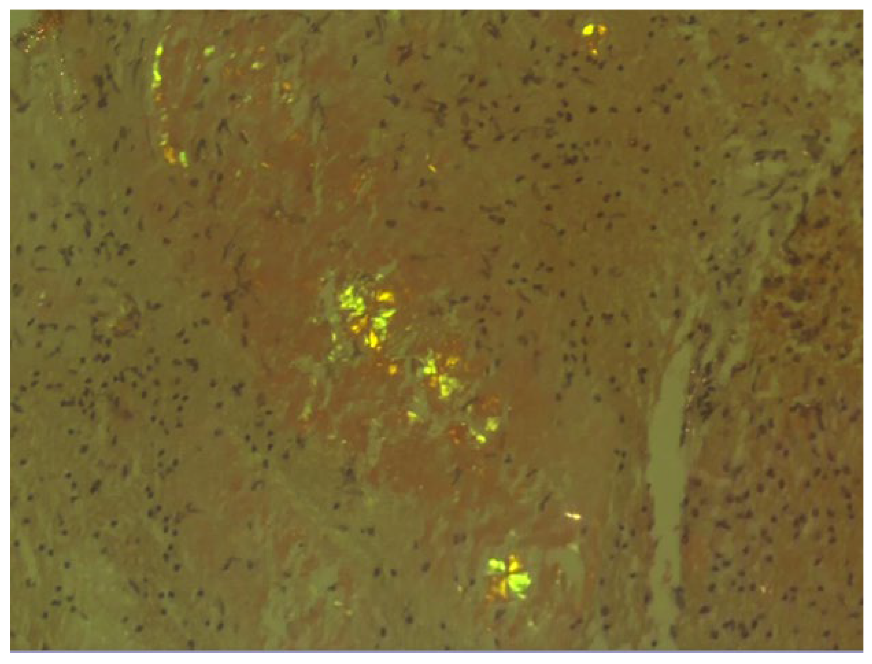
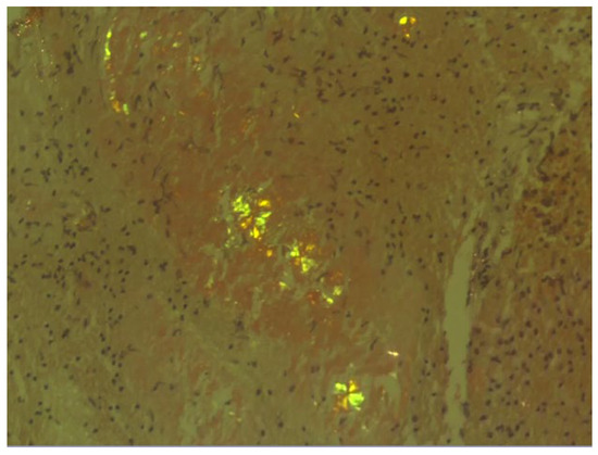
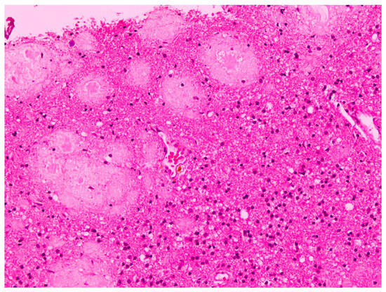
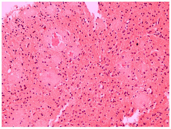
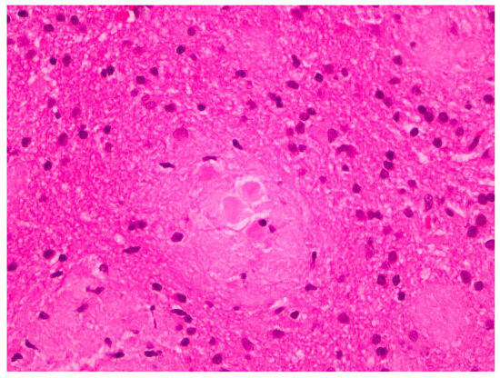
2. Case Report
3. Discussion
4. Conclusions
Author Contributions
Funding
Institutional Review Board Statement
Informed Consent Statement
Data Availability Statement
Conflicts of Interest
Abbreviations
| Abbreviations | Full forms |
| RA | Rheumatoid arthritis |
| CA | Cerebral amyloidosis |
| SAA | Serum amyloid alpha |
| CSF | Cerebrospinal fluid |
| H&E | Hematoxylin and eosin |
| LPSs | Lipopolysaccharides |
| IL | Interleukin |
| TNF | Tumor necrosis factor |
| CAA | Cerebral amyloid angiopathy |
| DMRADs | Disease-modifying anti-rheumatic drugs |
References
- Pozzan, M.; Indennidate, C.; Varrà, G.G.; Sinagra, G.; Merlo, M.; Pagura, L. Amyloidosis and Amyloidogenesis. Heart Fail. Clin. 2024, 20, 249–260. [Google Scholar] [CrossRef] [PubMed]
- Bustamante, J.G.; Zaidi, S.R.H. Amyloidosis. 2023. Available online: https://www.ncbi.nlm.nih.gov/books/NBK470285/ (accessed on 13 March 2025).
- Papa, R.; Lachmann, H.J. Secondary, AA, Amyloidosis. Rheum. Dis. Clin. N. Am. 2018, 44, 585–603. [Google Scholar] [CrossRef] [PubMed]
- Kapoor, A.; Gowda, A.M.; Kaur, S.; Estifan, E.; Maroules, M. A Rare Case of Cerebral Amyloidoma Mimicking a Hemorrhagic Malignant Central Nervous System Neoplasm. Cureus 2020, 12, e7245. [Google Scholar] [CrossRef]
- Sousa, L.; Coelho, T.; Taipa, R. CNS Involvement in Hereditary Transthyretin Amyloidosis. Neurology 2021, 97, 1111–1119. [Google Scholar] [CrossRef]
- Szidonya, L.; Nickerson, J.P. Cerebral Amyloid Angiopathy. Radiol. Clin. N. Am. 2023, 61, 551–562. [Google Scholar] [CrossRef]
- Landau, D.; Avgeropoulos, N.; Ma, J. Cerebral amyloidoma mimicking intracranial tumor: A case report. J. Med. Case Rep. 2010, 4, 308. [Google Scholar] [CrossRef] [PubMed]
- Ragel, B.T.; Blumenthal, D.T.; Browd, S.R.; Salzman, K.L.; Jensen, R.L. Intracerebral Amyloidoma Can Mimic High-Grade Glioma on Magnetic Resonance Imaging and Spectroscopy. Arch. Neurol. 2006, 63, 906–907. [Google Scholar] [CrossRef]
- Ogilvie, J.; Zhao, R.; Camelo-Piragua, S.; Ibrahim, M.; Lobo, R.; Kim, J. Magnetic resonance imaging of a temporal lobe cerebral amyloidoma. Radiol. Case Rep. 2022, 17, 2820–2823. [Google Scholar] [CrossRef]
- Wisniowski, B.; Wechalekar, A. Confirming the Diagnosis of Amyloidosis. Acta Haematol. 2020, 143, 312–321. [Google Scholar] [CrossRef]
- Real de Asua, D.; Galvan, J.M.; Filigghedu, M.T.; Trujillo, D.; Costa, R.; Cadinanos, J. Systemic AA amyloidosis: Epidemiology, diagnosis, and management. Clin. Epidemiol. 2014, 6, 369–377. [Google Scholar] [CrossRef]
- Dhillon, V.; Woo, P.; Isenberg, D. Amyloidosis in the rheumatic diseases. Ann. Rheum. Dis. 1989, 48, 696–701. [Google Scholar] [CrossRef]
- Ishihara, T.; Nagasawa, T.; Yokota, T.; Gondo, T.; Takahashi, M.; Uchino, F. Amyloid protein of vessels in leptomeninges, cortices, choroid plexuses, and pituitary glands from patients with systemic amyloidosis. Hum. Pathol. 1989, 20, 891–895. [Google Scholar] [CrossRef]
- Schröder, R.; Linke, R.P. Cerebrovascular involvement in systemic AA and AL amyloidosis: A clear haematogenic pattern. Virchows Arch. 1999, 434, 551–560. [Google Scholar] [CrossRef]
- Brunger, A.F.; Nienhuis, H.L.A.; Bijzet, J.; Hazenberg, B.P.C. Causes of AA amyloidosis: A systematic review. Amyloid 2019, 27, 1–12. [Google Scholar] [CrossRef]
- De Buck, M.; Gouwy, M.; Wang, J.M.; Van Snick, J.; Proost, P.; Struyf, S.; Van Damme, J. The cytokine-serum amyloid A-chemokine network. Cytokine Growth Factor. Rev. 2016, 30, 55–69. [Google Scholar] [CrossRef]
- Obici, L.; Merlini, G. AA amyloidosis: Basic knowledge, unmet needs and future treatments. Swiss Med. Wkly. 2012, 142, 2122. [Google Scholar] [CrossRef]
- Kuroda, T.; Tanabe, N.; Sato, H.; Nakatsue, T.; Wada, Y.; Murakami, S.; Nakano, M.; Narita, I. Distribution of Amyloid Deposits in the Kidneys of a Patient with Reactive Amyloidosis Associated with Rheumatoid Arthritis. BMC Res. Notes 2013, 6, 231. [Google Scholar] [CrossRef]
- Buck, M.; Gouwy, M.; Wang, J.; Snick, J.; Opdenakker, G.; Struyf, S.; Damme, J. Structure and Expression of Different Serum Amyloid A (SAA) Variants and their Concentration-Dependent Functions During Host Insults. Curr. Med. Chem. 2016, 23, 1725–1755. [Google Scholar] [CrossRef]
- Cunnane, G.; Grehan, S.; Geoghegan, S.; McCormack, C.; Shields, D.; Whitehead, A.S.; Bresnihan, B.; Fitzgerald, O. Serum amyloid A in the assessment of early inflammatory arthritis. J. Rheumatol. 2000, 27, 58–63. [Google Scholar]
- O’Hara, R.; Murphy, E.P.; Whitehead, A.S.; FitzGerald, O.; Bresnihan, B. Acute-phase Serum Amyloid a Production by Rheumatoid Arthritis Synovial Tissue. Arthritis Res. 2000, 2, 142–144. [Google Scholar] [CrossRef]
- Connolly, M.; Marrelli, A.; Blades, M.; McCormick, J.; Maderna, P.; Godson, C.; Mullan, R.; FitzGerald, O.; Bresnihan, B.; Pitzalis, C.; et al. Acute Serum Amyloid A Induces Migration, Angiogenesis, and Inflammation in Synovial Cells In Vitro and in a Human Rheumatoid Arthritis/SCID Mouse Chimera Model. J. Immunol. 2010, 184, 6427–6437. [Google Scholar] [CrossRef]
- Basile, M.S.; Ciurleo, R.; Bramanti, A.; Petralia, M.C.; Fagone, P.; Nicoletti, F.; Cavalli, E. Cognitive Decline in Rheumatoid Arthritis: Insight into the Molecular Pathogenetic Mechanisms. Int. J. Mol. Sci. 2021, 22, 1185. [Google Scholar] [CrossRef]
- Gallucci, M.; Caulo, M.; Splendiani, A.; Russo, R.; Ricci, A.; Galzio, R. Neuroradiological findings in two cases of isolated amyloidoma of the central nervous system. Neuroradiology 2002, 44, 333–337. [Google Scholar] [CrossRef]
- Nossek, E.; Bashat, D.B.; Artzi, M.; Rosenberg, K.; Lichter, I.; Shtern, O.; Ami, H.B.; Aizenstein, O.; Vlodavsky, E.; Constantinescu, M.; et al. The role of advanced MR methods in the diagnosis of cerebral amyloidoma. Amyloid 2009, 16, 94–98. [Google Scholar] [CrossRef]
- Fischer, B.; Palkovic, S.; Rickert, C.; Weckesser, M.; Wassmann, H. Cerebral AL lambda-amyloidoma: Clinical and pathomorphological characteristics. Review of the literature and of a patient. Amyloid 2007, 14, 11–19. [Google Scholar] [CrossRef]
- Dasari, S.; Theis, J.D.; Vrana, J.A.; Rech, K.L.; Dao, L.N.; Howard, M.T.; Dispenzieri, A.; Gertz, M.A.; Hasadsri, L.; Highsmith, W.E.; et al. Amyloid Typing by Mass Spectrometry in Clinical Practice: A Comprehensive Review of 16,175 Samples. Mayo Clin. Proc. 2020, 95, 1852–1864. [Google Scholar] [CrossRef]
- Catafau, A.M.; Bullich, S. Amyloid PET imaging: Applications beyond Alzheimer’s disease. Clin. Transl. Imaging 2015, 3, 39–55. [Google Scholar] [CrossRef][Green Version]
- Foreid, H.; Barroso, C.; Evangelista, T.; Campos, A.; Pimentel, J. Intracerebral amyloidoma: Case report and review of the literature. Clin. Neuropathol. 2010, 29, 217–222. [Google Scholar] [CrossRef]
- Nakamura, T. Amyloid A amyloidosis secondary to rheumatoid arthritis: Pathophysiology and treatments. Clin. Exp. Rheumatol. 2011, 29, 850–857. [Google Scholar]
- Okuda, Y.; Ohnishi, M.; Matoba, K.; Jouyama, K.; Yamada, A.; Sawada, N.; Mokuda, S.; Murata, Y.; Takasugi, K. Comparison of the clinical utility of tocilizumab and anti-TNF therapy in AA amyloidosis complicating rheumatic diseases. Mod. Rheumatol. 2014, 24, 137–143. [Google Scholar] [CrossRef]
- Matsuda, M.; Morita, H.; Ikeda, S. Long-term Follow-up of Systemic Reactive AA Amyloidosis Secondary to Rheumatoid Arthritis: Successful Treatment with Intermediate-dose Corticosteroid. Intern. Med. 2002, 41, 403–407. [Google Scholar] [CrossRef] [PubMed][Green Version]
- Rincón-Arias, N.; Romo, J.A.; Galvis, K.A.; Sierra, M.A.; Pulido, P.A.; Espinosa, S.; Castro, E.; Zorro-Guio, O.F.; Ordoñez-Rubiano, E.G. Long-Term Progression of a Residual Cerebral Amyloidoma: An Illustrative Case and Systematic Review. World Neurosurg. 2024, 190, e1100–e1115. [Google Scholar] [CrossRef] [PubMed]
- Meier, T.; Hazenfield, J.M.; Girnius, S.; Hagen, M.; Warnick, R.E.; Kharofa, J. A rare case of central nervous system amyloidoma treated with fractionated radiotherapy. J. Neurosurg. 2017, 127, 338–341. [Google Scholar] [CrossRef]





Disclaimer/Publisher’s Note: The statements, opinions and data contained in all publications are solely those of the individual author(s) and contributor(s) and not of MDPI and/or the editor(s). MDPI and/or the editor(s) disclaim responsibility for any injury to people or property resulting from any ideas, methods, instructions or products referred to in the content. |
© 2025 by the authors. Licensee MDPI, Basel, Switzerland. This article is an open access article distributed under the terms and conditions of the Creative Commons Attribution (CC BY) license (https://creativecommons.org/licenses/by/4.0/).
Share and Cite
Saleh, E.; Abdelaziz, N.; Ramahi, M.; Loukousia, A.; Birbilis, T.; Kanakis, D. A Rare Case of Cerebral Amyloidoma Mimicking Thalamic Glioma in a Rheumatoid Arthritis Patient. Pathophysiology 2025, 32, 31. https://doi.org/10.3390/pathophysiology32030031
Saleh E, Abdelaziz N, Ramahi M, Loukousia A, Birbilis T, Kanakis D. A Rare Case of Cerebral Amyloidoma Mimicking Thalamic Glioma in a Rheumatoid Arthritis Patient. Pathophysiology. 2025; 32(3):31. https://doi.org/10.3390/pathophysiology32030031
Chicago/Turabian StyleSaleh, Elyaa, Nour Abdelaziz, Malaak Ramahi, Antonia Loukousia, Theodossios Birbilis, and Dimitrios Kanakis. 2025. "A Rare Case of Cerebral Amyloidoma Mimicking Thalamic Glioma in a Rheumatoid Arthritis Patient" Pathophysiology 32, no. 3: 31. https://doi.org/10.3390/pathophysiology32030031
APA StyleSaleh, E., Abdelaziz, N., Ramahi, M., Loukousia, A., Birbilis, T., & Kanakis, D. (2025). A Rare Case of Cerebral Amyloidoma Mimicking Thalamic Glioma in a Rheumatoid Arthritis Patient. Pathophysiology, 32(3), 31. https://doi.org/10.3390/pathophysiology32030031

