Sign in to use this feature.

Years

Between: -

Subjects

remove_circle_outline
remove_circle_outline
remove_circle_outline

Journals

Article Types

Countries / Regions

Search Results (13)

Search Parameters:
Keywords = 99mTc-sestamibi SPECT/CT

Order results
Result details
Results per page
Select all
Export citation of selected articles as:
25 pages, 1305 KB  
Review
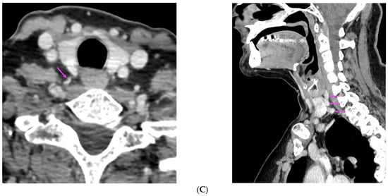
Parathyromatosis: The Pathogenic Background (Post-Parathyroidectomy Seeding or Exceptional Embryologic Remnant) and the Importance of a Fine Clinical Index for Recurrent Primary Hyperparathyroidism (a Narrative Review)
by Ana-Maria Gheorghe, Claudiu Nistor and Mara Carsote
J. Clin. Med. 2025, 14(19), 6937; https://doi.org/10.3390/jcm14196937 - 30 Sep 2025
Abstract
Background: Parathyromatosis, an exceptional clinical and pathological entity, involves multiple small nodules of hyper-functional parathyroid tissue scattered throughout the neck and/or mediastinum, in relationship with a prior parathyroidectomy (mostly) or embryologic remnant. Since its first identification in 1975, many aspects of this condition [...] Read more.
Background: Parathyromatosis, an exceptional clinical and pathological entity, involves multiple small nodules of hyper-functional parathyroid tissue scattered throughout the neck and/or mediastinum, in relationship with a prior parathyroidectomy (mostly) or embryologic remnant. Since its first identification in 1975, many aspects of this condition have remained a matter of debate. Objective: We introduce an updated perspective on parathyromatosis covering the main clinical points for everyday practice, from diagnosis to management, as well as the current level of pathogenic understanding. Methods: A narrative review. Results: A total of 22 patients were identified, with the following characteristics: an age range of 33–68 (mean 46.18) years; 4/22 subjects <40 years; female-to-male ratio = 14:8. Of the 22 subjects, 21 had undergone previous parathyroidectomy for primary (n = 14) or secondary (n = 7) hyperparathyroidism. One case was a surgically naïve patient. Analysis of the surgical procedures (seeding circumstances) revealed the following: parathyroid cyst removal, left/right parathyroidectomy; removal of 3.5 parathyroids ± self-transplantation, VATS for mediastinal parathyroid tumours. Parathyroidectomy was accompanied by thyroid surgery (n = 3 patients), specifically hemi-thyroidectomy, partial left-thyroid lobectomy, and partial thyroidectomy. The shortest timeframe from parathyroidectomy to parathyromatosis-related hyperparathyroidism recognition was 1 year, and the longest was 17 years. The highest number of previous surgeries was four. The recognition of parathyromatosis was due to the clinical picture of associated hyperparathyroidism, except for in 2/21 cases with incidental detection. The implant sites coincided with the prior surgical area, but also with unusual locations (clavicle, pleura, mediastinum, sternocleidomastoid muscle and forearm, thyroid). The imaging evaluation included ultrasound plus CT plus 99m-Tc sestamibi scintigraphy, as well as (variable rates) neck MRI, SPECT/CT, 11-Choline PET-CT, Gallium-68 DOTATATE, and 4D CT. Surgery implied serial procedures in some cases (e.g., up to seven). The surgery spectrum largely varied, including not only cervicotomy, but also thoracoscopy, VATS, pericardial adipose tissue excision and thymectomy, etc. Conclusions: Awareness remains a key factor when approaching such an unusual ailment underlying little-understood pathogenic loops, which, if left unrecognized and untreated, might impair patients’ quality of life and the overall parathyroid disease burden. Full article
Show Figures

Figure 1

4 pages, 3733 KB  
Interesting Images
Simultaneous Identification of Tc-99m-Sestamibi-Positive Autonomous Thyroid Adenoma and Adjacent F-18-Ethylcholine-Positive Parathyroid Adenoma in Patient with Graves’ Disease Using Real-Time Ultrasound Fusion Imaging
by Theresa Leder, Philipp Seifert, Falk Gühne and Martin Freesmeyer
Diagnostics 2025, 15(10), 1262; https://doi.org/10.3390/diagnostics15101262 - 15 May 2025
Viewed by 645
Abstract
A 49-year-old female presented for nuclear medicine diagnostics of a sonographically suspected parathyroid adenoma dorsal to the cranial pole of the right thyroid lobe. The patient received Tc-99m-pertechnetate and Tc-99m-sestamibi (including SPECT/CT) scans, revealing no sestamibi uptake by the suspected parathyroid adenoma but [...] Read more.
A 49-year-old female presented for nuclear medicine diagnostics of a sonographically suspected parathyroid adenoma dorsal to the cranial pole of the right thyroid lobe. The patient received Tc-99m-pertechnetate and Tc-99m-sestamibi (including SPECT/CT) scans, revealing no sestamibi uptake by the suspected parathyroid adenoma but a ventrally adjacent autonomous thyroid adenoma. Additional F-18-ethylcholine-PET/CT as well as subsequent Tc-99m-sestamibi-SPECT/US and F-18-ethylcholine-PET/US fusion imaging confirmed the suspected diagnosis of simultaneous autonomous thyroid adenoma and parathyroid adenoma. A blood analysis showed additional Graves’ disease. Full article
(This article belongs to the Section Medical Imaging and Theranostics)
Show Figures

Figure 1

11 pages, 1102 KB  
Article
Comparative Analysis of Cardiac SPECT Myocardial Perfusion Imaging: Full-Ring Solid-State Detectors Versus Dedicated Cardiac Fixed-Angle Gamma Camera
by Gytis Aleksa, Paulius Jaruševičius, Andrė Pacaitytė and Donatas Vajauskas
Medicina 2025, 61(4), 665; https://doi.org/10.3390/medicina61040665 - 4 Apr 2025
Viewed by 1322
Abstract
Background and Objectives: Single-photon emission computed tomography (SPECT) myocardial perfusion imaging (MPI) is a well-established technique for evaluating myocardial perfusion and function in patients with suspected or known coronary artery disease. While conventional dual-detector SPECT scanners have limitations in spatial resolution and photon [...] Read more.
Background and Objectives: Single-photon emission computed tomography (SPECT) myocardial perfusion imaging (MPI) is a well-established technique for evaluating myocardial perfusion and function in patients with suspected or known coronary artery disease. While conventional dual-detector SPECT scanners have limitations in spatial resolution and photon detection sensitivity, recent advancements, including full-ring solid-state cadmium zinc telluride (CZT) detectors, offer enhanced image quality and improved diagnostic accuracy. This study aimed to compare the performance of Veriton-CT, a full-ring CZT SPECT system, with GE Discovery 530c, a dedicated cardiac fixed-angle gamma camera, in myocardial perfusion imaging and their correlation with coronary angiography findings. Materials and Methods: This was a prospective study that analyzed 21 patients who underwent MPI at the Department of Nuclear Medicine, Lithuanian University of Health Sciences, Kauno Klinikos. A one-day stress–rest protocol using 99mTc-Sestamibi was employed, with stress testing performed via bicycle ergometry or pharmacological induction. MPI was first conducted using GE Discovery 530c (GE Health Care, Boston, MA, USA), followed by imaging on Veriton-CT, which included low-dose CT for attenuation correction. The summed stress score (SSS), summed rest score (SRS), and summed difference score (SDS) were analyzed and compared between both imaging modalities. Coronary angiography results were retrospectively collected, and lesion-based analysis was performed to assess the correlation between imaging results and the presence of significant coronary artery stenosis (≥35% and ≥70% narrowing). Image quality and the certainty of distinguishing the inferior myocardial wall from extracardiac structures were also evaluated by two independent researchers with differing levels of experience. Results: Among the 14 patients included in the final analysis, Veriton-CT was more likely to classify MPI scans as normal (64.3%) compared to GE Discovery 530c (28.6%). Additionally, Veriton-CT provided a better assessment of the right coronary artery (RCA) basin, showing greater agreement with coronary angiography findings than GE Discovery 530c, although the difference was not statistically significant. No significant differences in lesion overlap were observed for the left anterior descending artery (LAD) or left circumflex artery (LCx) basins. Furthermore, the image quality assessment revealed slightly better delineation of extracardiac structures using Veriton-CT (Spectrum Dynamics Medical, Caesarea, Israel), particularly when evaluated by an experienced researcher. However, no significant difference was observed when assessed by a less experienced observer. Conclusions: Our findings suggest that Veriton-CT, with its full-ring CZT detector system, may offer advantages over fixed-angle gamma cameras in improving image quality and reducing attenuation artifacts in MPI. Although the difference in correlations with coronary angiography findings was not statistically significant, Veriton-CT showed a trend toward better agreement, particularly in the RCA basin. These results indicate that full-ring SPECT imaging could improve the diagnostic accuracy of non-invasive MPI, potentially reducing the need for unnecessary invasive angiography. Further studies with larger patient cohorts are required to confirm these findings and evaluate the clinical impact of full-ring SPECT technology in myocardial perfusion imaging. Full article
(This article belongs to the Section Cardiology)
Show Figures

Figure 1

18 pages, 301 KB  
Review
Imaging in Renal Cell Carcinoma Detection
by Dixon Woon, Shane Qin, Abdullah Al-Khanaty, Marlon Perera and Nathan Lawrentschuk
Diagnostics 2024, 14(18), 2105; https://doi.org/10.3390/diagnostics14182105 - 23 Sep 2024
Cited by 5 | Viewed by 5147
Abstract
Introduction: Imaging in renal cell carcinoma (RCC) is a constantly evolving landscape. The incidence of RCC has been rising over the years with the improvement in image quality and sensitivity in imaging modalities resulting in “incidentalomas” being detected. We aim to explore the [...] Read more.
Introduction: Imaging in renal cell carcinoma (RCC) is a constantly evolving landscape. The incidence of RCC has been rising over the years with the improvement in image quality and sensitivity in imaging modalities resulting in “incidentalomas” being detected. We aim to explore the latest advances in imaging for RCC. Methods: A literature search was conducted using Medline and Google Scholar, up to May 2024. For each subsection of the manuscript, a separate search was performed using a combination of the following key terms “renal cell carcinoma”, “renal mass”, “ultrasound”, “computed tomography”, “magnetic resonance imaging”, “18F-Fluorodeoxyglucose PET/CT”, “prostate-specific membrane antigen PET/CT”, “technetium-99m sestamibi SPECT/CT”, “carbonic anhydrase IX”, “girentuximab”, and “radiomics”. Studies that were not in English were excluded. The reference lists of selected manuscripts were checked manually for eligible articles. Results: The main imaging modalities for RCC currently are ultrasound, computed tomography (CT) and magnetic resonance imaging (MRI). Contrast-enhanced US (CEUS) has emerged as an alternative to CT or MRI for the characterisation of renal masses. Furthermore, there has been significant research in molecular imaging in recent years, including FDG PET, PSMA PET/CT, 99mTc-Sestamibi, and anti-carbonic anhydrase IX monoclonal antibodies/peptides. Radiomics and the use of AI in radiology is a growing area of interest. Conclusions: There will be significant change in the field of imaging in RCC as molecular imaging becomes increasingly popular, which reflects a shift in management to a more conservative approach, especially for small renal masses (SRMs). There is the hope that the improvement in imaging will result in less unnecessary invasive surgeries or biopsies being performed for benign or indolent renal lesions. Full article
(This article belongs to the Special Issue Kidney Disease: Biomarkers, Diagnosis, and Prognosis: 3rd Edition)
25 pages, 9037 KB  
Review
Imaging Recommendations for Diagnosis and Management of Primary Parathyroid Pathologies: A Comprehensive Review
by Nivedita Chakrabarty, Abhishek Mahajan, Sandip Basu and Anil K. D’Cruz
Cancers 2024, 16(14), 2593; https://doi.org/10.3390/cancers16142593 - 19 Jul 2024
Cited by 12 | Viewed by 5545
Abstract
Parathyroid pathologies are suspected based on the biochemical alterations and clinical manifestations, and the predominant roles of imaging in primary hyperparathyroidism are localisation of tumour within parathyroid glands, surgical planning, and to look for any ectopic parathyroid tissue in the setting of recurrent [...] Read more.
Parathyroid pathologies are suspected based on the biochemical alterations and clinical manifestations, and the predominant roles of imaging in primary hyperparathyroidism are localisation of tumour within parathyroid glands, surgical planning, and to look for any ectopic parathyroid tissue in the setting of recurrent disease. This article provides a comprehensive review of embryology and anatomical variations of parathyroid glands and their clinical relevance, surgical anatomy of parathyroid glands, differentiation between multiglandular parathyroid disease, solitary adenoma, atypical parathyroid tumour, and parathyroid carcinoma. The roles, advantages and limitations of ultrasound, four-dimensional computed tomography (4DCT), radiolabelled technetium-99 (99mTc) sestamibi or dual tracer 99mTc pertechnetate and 99mTc-sestamibi with or without single photon emission computed tomography (SPECT) or SPECT/CT, dynamic enhanced magnetic resonance imaging (4DMRI), and fluoro-choline positron emission tomography (18F-FCH PET) or [11C] Methionine (11C -MET) PET in the management of parathyroid lesions have been extensively discussed in this article. The role of fluorodeoxyglucose PET (FDG-PET) has also been elucidated in this article. Management guidelines for parathyroid carcinoma proposed by the American Society of Clinical Oncology (ASCO) have also been described. An algorithm for management of parathyroid lesions has been provided at the end to serve as a quick reference guide for radiologists, clinicians and surgeons. Full article
(This article belongs to the Section Cancer Causes, Screening and Diagnosis)
Show Figures

Figure 1

13 pages, 2075 KB  
Article
Machine Learning Integrating 99mTc Sestamibi SPECT/CT and Radiomics Data Achieves Optimal Characterization of Renal Oncocytic Tumors
by Michail E. Klontzas, Emmanouil Koltsakis, Georgios Kalarakis, Kiril Trpkov, Thomas Papathomas, Apostolos H. Karantanas and Antonios Tzortzakakis
Cancers 2023, 15(14), 3553; https://doi.org/10.3390/cancers15143553 - 9 Jul 2023
Cited by 9 | Viewed by 3989
Abstract
The increasing evidence of oncocytic renal tumors positive in 99mTc Sestamibi Single Photon Emission Tomography/Computed Tomography (SPECT/CT) examination calls for the development of diagnostic tools to differentiate these tumors from more aggressive forms. This study combined radiomics analysis with the uptake of [...] Read more.
The increasing evidence of oncocytic renal tumors positive in 99mTc Sestamibi Single Photon Emission Tomography/Computed Tomography (SPECT/CT) examination calls for the development of diagnostic tools to differentiate these tumors from more aggressive forms. This study combined radiomics analysis with the uptake of 99mTc Sestamibi on SPECT/CT to differentiate benign renal oncocytic neoplasms from renal cell carcinoma. A total of 57 renal tumors were prospectively collected. Histopathological analysis and radiomics data extraction were performed. XGBoost classifiers were trained using the radiomics features alone and combined with the results from the visual evaluation of 99mTc Sestamibi SPECT/CT examination. The combined SPECT/radiomics model achieved higher accuracy (95%) with an area under the curve (AUC) of 98.3% (95% CI 93.7–100%) than the radiomics-only model (71.67%) with an AUC of 75% (95% CI 49.7–100%) and visual evaluation of 99mTc Sestamibi SPECT/CT alone (90.8%) with an AUC of 90.8% (95%CI 82.5–99.1%). The positive predictive values of SPECT/radiomics, radiomics-only, and 99mTc Sestamibi SPECT/CT-only models were 100%, 85.71%, and 85%, respectively, whereas the negative predictive values were 85.71%, 55.56%, and 94.6%, respectively. Feature importance analysis revealed that 99mTc Sestamibi uptake was the most influential attribute in the combined model. This study highlights the potential of combining radiomics analysis with 99mTc Sestamibi SPECT/CT to improve the preoperative characterization of benign renal oncocytic neoplasms. The proposed SPECT/radiomics classifier outperformed the visual evaluation of 99mTc Sestamibii SPECT/CT and the radiomics-only model, demonstrating that the integration of 99mTc Sestamibi SPECT/CT and radiomics data provides improved diagnostic performance, with minimal false positive and false negative results. Full article
(This article belongs to the Special Issue Image Analysis and Machine Learning in Cancers)
Show Figures

Figure 1

13 pages, 3082 KB  
Article
Synthetic Attenuation Correction Maps for SPECT Imaging Using Deep Learning: A Study on Myocardial Perfusion Imaging
by Mariana Andrea Prieto Canalejo, Aley Palau San Pedro, Ricardo Geronazzo, Daniel Mauricio Minsky, Luis Eduardo Juárez-Orozco and Mauro Namías
Diagnostics 2023, 13(13), 2214; https://doi.org/10.3390/diagnostics13132214 - 29 Jun 2023
Cited by 5 | Viewed by 2840
Abstract
(1) Background: The CT-based attenuation correction of SPECT images is essential for obtaining accurate quantitative images in cardiovascular imaging. However, there are still many SPECT cameras without associated CT scanners throughout the world, especially in developing countries. Performing additional CT scans implies troublesome [...] Read more.
(1) Background: The CT-based attenuation correction of SPECT images is essential for obtaining accurate quantitative images in cardiovascular imaging. However, there are still many SPECT cameras without associated CT scanners throughout the world, especially in developing countries. Performing additional CT scans implies troublesome planning logistics and larger radiation doses for patients, making it a suboptimal solution. Deep learning (DL) offers a revolutionary way to generate complementary images for individual patients at a large scale. Hence, we aimed to generate linear attenuation coefficient maps from SPECT emission images reconstructed without attenuation correction using deep learning. (2) Methods: A total of 384 SPECT myocardial perfusion studies that used 99mTc-sestamibi were included. A DL model based on a 2D U-Net architecture was trained using information from 312 patients. The quality of the generated synthetic attenuation correction maps (ACMs) and reconstructed emission values were evaluated using three metrics and compared to standard-of-care data using Bland–Altman plots. Finally, a quantitative evaluation of myocardial uptake was performed, followed by a semi-quantitative evaluation of myocardial perfusion. (3) Results: In a test set of 66 test patients, the ACM quality metrics were MSSIM = 0.97 ± 0.001 and NMAE = 3.08 ± 1.26 (%), and the reconstructed emission quality metrics were MSSIM = 0.99 ± 0.003 and NMAE = 0.23 ± 0.13 (%). The 95% limits of agreement (LoAs) at the voxel level for reconstructed SPECT images were: [−9.04; 9.00]%, and for the segment level, they were [−11; 10]%. The 95% LoAs for the Summed Stress Score values between the images reconstructed were [−2.8, 3.0]. When global perfusion scores were assessed, only 2 out of 66 patients showed changes in perfusion categories. (4) Conclusion: Deep learning can generate accurate attenuation correction maps from non-attenuation-corrected cardiac SPECT images. These high-quality attenuation maps are suitable for attenuation correction in myocardial perfusion SPECT imaging and could obviate the need for additional imaging in standalone SPECT scanners. Full article
(This article belongs to the Special Issue Artificial Intelligence in Cardiology Diagnosis )
Show Figures

Figure 1

12 pages, 620 KB  
Review
Molecular Imaging Diagnosis of Renal Cancer Using 99mTc-Sestamibi SPECT/CT and Girentuximab PET-CT-Current Evidence and Future Development of Novel Techniques
by Octavian Sabin Tataru, Michele Marchioni, Felice Crocetto, Biagio Barone, Giuseppe Lucarelli, Francesco Del Giudice, Gian Maria Busetto, Alessandro Veccia, Arturo Lo Giudice, Giorgio Ivan Russo, Stefano Luzzago, Mattia Luca Piccinelli, Mihai Dorin Vartolomei, Gennaro Musi and Matteo Ferro
Diagnostics 2023, 13(4), 593; https://doi.org/10.3390/diagnostics13040593 - 6 Feb 2023
Cited by 31 | Viewed by 3884
Abstract
Novel molecular imaging opportunities to preoperatively diagnose renal cell carcinoma is under development and will add more value in limiting the postoperative renal function loss and morbidity. We aimed to comprehensively review the research on single photon emission computed tomography/computed tomography (SPECT/CT) and [...] Read more.
Novel molecular imaging opportunities to preoperatively diagnose renal cell carcinoma is under development and will add more value in limiting the postoperative renal function loss and morbidity. We aimed to comprehensively review the research on single photon emission computed tomography/computed tomography (SPECT/CT) and positron emission tomography computed tomography (PET-CT) molecular imaging and to enhance the urologists’ and radiologists’ knowledge of the current research pattern. We identified an increase in prospective and also retrospective studies that researched to distinguish between benign and malignant lesions and between different clear cell renal cell carcinoma subtypes, with small numbers of patients studied, nonetheless with excellent results on specificity, sensitivity and accuracy, especially for 99mTc-sestamibi SPECT/CT that delivers quick results compared to a long acquisition time for girentuximab PET-CT, which instead gives better image quality. Nuclear medicine has helped clinicians in evaluating primary and secondary lesions, and has lately returned with new and exciting insights with novel radiotracers to reinforce its diagnostic potential in renal carcinoma. To further limit the renal function loss and post-surgery morbidity, future research is mandatory to validate the results and to clinically implement the diagnostic techniques in the context of precision medicine. Full article
(This article belongs to the Special Issue Future Trends in Radioisotope-Based Imaging 2.0)
Show Figures

Figure 1

10 pages, 254 KB  
Article
Radiation Dose Assessment for Myocardial Perfusion Imaging: A Single Institution Survey
by Essam Alkhybari, Salman Albeshan, Bandar Alanazi, Raghad Alfarraj, Rakan Alduhaim, Intidhar El Bez Chanem and Rima Tulbah
Tomography 2023, 9(1), 264-273; https://doi.org/10.3390/tomography9010021 - 30 Jan 2023
Cited by 2 | Viewed by 2470
Abstract
Objective: This study aims to establish a local diagnostic reference level (LDRL) for single-photon emission tomography/computed tomography (SPECT/CT) and positron emission tomography/CT (PET/CT) with respect to myocardial perfusion imaging (MPI). Materials and Methods: The acquisition protocol and dosimetry data on the MPI procedures [...] Read more.
Objective: This study aims to establish a local diagnostic reference level (LDRL) for single-photon emission tomography/computed tomography (SPECT/CT) and positron emission tomography/CT (PET/CT) with respect to myocardial perfusion imaging (MPI). Materials and Methods: The acquisition protocol and dosimetry data on the MPI procedures of five SPECT/CT scans and one PET/CT scan were collected. Data on technitum-99m sestamibi (99mTc-sestamibi), 99mTc-tetrofosmin, thallium-201 (201Tl), and rubidium-82 (82RB) were all collected from one centre via questionnaire booklets. Descriptive data analysis was used to analyse all variables, and the 50th percentile was used to analyse each radiation dose quantity. Results: The reported 50th percentile dose for a one-day stress/rest protocol using 99mTc-sestamibi (445/1147 MBq) and 99mTc-tetrofosmin (445/1147 MBq) and for a two-day stress/rest protocol using 99mTc-sestamibi (1165/1184 MBq) and 99mTc-tetrofosmin (1221/1184 MBq) are in good agreement with reported national diagnostic reference levels (NDRLs). However, the dose from the study data on a one-day stress/rest protocol using 99mTc-sestamibi was more than the 50th percentile dose from the Brazilian data (370/1110 MBq) on a similar protocol, and the dose from the study data on a two-day stress/rest protocol using 99mTc-tetrofosmin was more than the 50th percentile dose (1084/1110 MBq) from the United States data on MPI scans. Regarding the computed tomography (CT) portion of the SPECT/CT framework, the 50th percentile doses were lower than all the identified doses in the data considered in the literature reviewed. However, regarding the CT component of the PET/CT MPI scans, the 82RB dose was more than the recorded doses in the CT data in the published literature. Conclusion: This study determined the LDRL of five SPECT/CT protocols and one PET/CT MPI protocol. The results suggest that there may be opportunities to optimise the patient radiation burden from administered activities in patients undergoing SPECT examinations and the CT components associated with 82RB PET/CT scans without compromising diagnostic image quality. Full article
(This article belongs to the Topic Cardiac Imaging: State of the Art)
11 pages, 1772 KB  
Article
The Evaluation of Left Ventricle Ischemic Extent in Patients with Significantly Suspicious Cardiovascular Disease by 99mTc-Sestamibi Dynamic SPECT/CT and Myocardial Perfusion Imaging: A Head-to-Head Comparison
by Hung-Pin Chan, Chin-Chuan Chang, Chin Hu, Wen-Hwa Wang, Nan-Jing Peng, Yu-Chang Tyan and Ming-Hui Yang
Diagnostics 2021, 11(6), 1101; https://doi.org/10.3390/diagnostics11061101 - 16 Jun 2021
Cited by 7 | Viewed by 3026
Abstract
Heart disease is the second most common cause of mortality in Taiwan, mainly coronary artery disease (CAD).Quantitative coronary blood flow has been collected by dynamic single-photon emission computed tomography (Dynamic SPECT/CT) for CAD diagnosis in previous studies. However, few studies defined the extent [...] Read more.
Heart disease is the second most common cause of mortality in Taiwan, mainly coronary artery disease (CAD).Quantitative coronary blood flow has been collected by dynamic single-photon emission computed tomography (Dynamic SPECT/CT) for CAD diagnosis in previous studies. However, few studies defined the extent of left ventricle (LV) ischemia on Dynamic SPECT/CT for predicting significant coronary artery stenosis. This study evaluates the extent of LV ischemic blockage in patients suspected of CAD who were referred by cardiologists. A total of 181 patients with suspected CAD were enrolled. They underwent 99mTc-Sestamibi (MIBI) Dynamic SPECT/CT survey before cardiac intervention. Dynamic SPECT/CT has better sensitivity (88%), specificity (96%), and accuracy (94%) compared with those of semi-quantitative MIBI MPI (more than 10%). Results indicated that5% of the LV ischemic extent can yield positive PCI results (>70% stenosis in coronary arteries) compared with the moderate abnormal extent of at least 15% of LV. When the percentage of combined moderate abnormal extent and ischemia extent of LV reaches 27.3%, positive PCI results may be indicated. This study revealed Dynamic SPECT/CT has greater sensitivity, specificity, and accuracy as compared with MPI. Thus, the severity of abnormal perfusion extent of LV on Dynamic SPECT/CT might be beneficial to predict positive PCI results in patients with significant suspicion CAD. Full article
Show Figures

Figure 1

3 pages, 15183 KB  
Interesting Images
Role of 11C-Methionine PET/CT in 99mTc-Sestamibi-Negative Parathyroid Adenoma: A Case Report
by Jang Yoo and Miju Cheon
Diagnostics 2021, 11(5), 831; https://doi.org/10.3390/diagnostics11050831 - 4 May 2021
Cited by 1 | Viewed by 2410
Abstract
We report a case of 16-year-old female primary hyperparathyroidism patient who underwent cervical ultrasonography and 99mTc-sestamibi single photon emission computed tomography/computed tomography, both of which were negative for parathyroid adenoma. Subsequent 11C-methionine positron emission tomography/CT showed positive focal uptake suggesting parathyroid [...] Read more.
We report a case of 16-year-old female primary hyperparathyroidism patient who underwent cervical ultrasonography and 99mTc-sestamibi single photon emission computed tomography/computed tomography, both of which were negative for parathyroid adenoma. Subsequent 11C-methionine positron emission tomography/CT showed positive focal uptake suggesting parathyroid adenoma, which then was confirmed pathologically. Full article
(This article belongs to the Collection Interesting Images)
Show Figures

Figure 1

10 pages, 4152 KB  
Article
Added Value of Subtraction SPECT/CT in Dual-Isotope Parathyroid Scintigraphy
by Julie Wulf Christensen and Martin Krakauer
Diagnostics 2020, 10(9), 639; https://doi.org/10.3390/diagnostics10090639 - 27 Aug 2020
Cited by 3 | Viewed by 3621
Abstract
Background: Adding subtraction single-photon emission computed tomography/computed tomography (SPECT/CT) to dual isotope (I-123 and Tc-99m-sestamibi) subtraction parathyroid scintigraphy is not widely implemented. We aimed to assess the added value of dual isotope subtraction SPECT/CT over single isotope SPECT/CT as an adjunct to dual [...] Read more.
Background: Adding subtraction single-photon emission computed tomography/computed tomography (SPECT/CT) to dual isotope (I-123 and Tc-99m-sestamibi) subtraction parathyroid scintigraphy is not widely implemented. We aimed to assess the added value of dual isotope subtraction SPECT/CT over single isotope SPECT/CT as an adjunct to dual isotope planar pinhole subtraction scintigraphy. Methods: Parathyroid scintigraphies from 106 patients with an estimated total of 415 parathyroid glands who (1) were diagnosed with primary hyperparathyroidism, (2) underwent dual isotope subtraction scintigraphy in the Department of Nuclear Medicine, Gentofte Hospital, Denmark throughout 2017 and (3) underwent subsequent parathyroidectomy, were included. The original dual isotope planar pinhole subtraction plus dual isotope subtraction SPECT/CT (dual/dual method) exams were retrospectively re-evaluated using only Tc-99m-sestamibi SPECT/CT (dual/single method). Statistics were calculated per parathyroid. Surgical results confirmed by pathology served as reference standard. Results: The dual/dual method had higher sensitivity than the dual/single method (82% (95%CI 74%–88%) vs. 69% (95%CI 60%–77%)) while specificity, positive and negative predictive values (PPV and NPV) were similar (specificity 96% vs. 93%, PPV’s 87% vs. 82% and NPV’s 89% vs. 93%). Reader confidence was higher when employing the dual/dual method (p = 0.001). Conclusions: The dual/dual method can be considered superior to the dual/single method in the preoperative imaging in primary hyperparathyroidism. Full article
(This article belongs to the Section Medical Imaging and Theranostics)
Show Figures

Figure 1

16 pages, 2859 KB  
Article
Cardiac Targeting Peptide, a Novel Cardiac Vector: Studies in Bio-Distribution, Imaging Application, and Mechanism of Transduction
by Maliha Zahid, Kyle S. Feldman, Gabriel Garcia-Borrero, Timothy N. Feinstein, Nicholas Pogodzinski, Xinxiu Xu, Raymond Yurko, Michael Czachowski, Yijen L. Wu, Neale S. Mason and Cecilia W. Lo
Biomolecules 2018, 8(4), 147; https://doi.org/10.3390/biom8040147 - 14 Nov 2018
Cited by 45 | Viewed by 9368
Abstract
Our previous work identified a 12-amino acid peptide that targets the heart, termed cardiac targeting peptide (CTP). We now quantitatively assess the bio-distribution of CTP, show a clinical application with the imaging of the murine heart, and study its mechanisms of transduction. Bio-distribution [...] Read more.
Our previous work identified a 12-amino acid peptide that targets the heart, termed cardiac targeting peptide (CTP). We now quantitatively assess the bio-distribution of CTP, show a clinical application with the imaging of the murine heart, and study its mechanisms of transduction. Bio-distribution studies of cyanine5.5-N-Hydroxysuccinimide (Cy5.5) labeled CTP were undertaken in wild-type mice. Cardiac targeting peptide was labeled with Technetium 99m (99mTc) using the chelator hydrazino-nicotinamide (HYNIC), and imaging performed using micro-single photon emission computerized tomography/computerized tomography (SPECT/CT). Human-induced pluripotent stem cell (iPSC)-derived cardiomyocytes (CMCs) were incubated with dual-labeled CTP, and imaged using confocal microscopy. TriCEPs technology was utilized to study the mechanism of transduction. Bio-distribution studies showed peak uptake of CTP at 15 min. 99mTc-HYNIC-CTP showed heart-specific uptake. Robust transduction of beating human iPSC-derived CMCs was seen. TriCEPs experiments revealed five candidate binding partners for CTP, with Kcnh5 being felt to be the most likely candidate as it showed a trend towards being competed out by siRNA knockdown. Transduction efficiency was enhanced by increasing extracellular potassium concentration, and with Quinidine, a Kcnh5 inhibitor, that blocks the channel in an open position. We demonstrate that CTP transduces the normal heart as early as 15 min. 99mTc-HYNIC-CTP targets the normal murine heart with substantially improved targeting compared with 99mTc Sestamibi. Cardiac targeting peptide’s transduction ability is not species limited and has human applicability. Cardiac targeting peptide appears to utilize Kcnh5 to gain cell entry, a phenomenon that is affected by pre-treatment with Quinidine and changes in potassium levels. Full article
(This article belongs to the Special Issue Cell Penetrating Peptides)
Show Figures

Figure 1

Back to TopTop